Sign in to use this feature.

Years

Between: -

Subjects

remove_circle_outline
remove_circle_outline
remove_circle_outline
remove_circle_outline
remove_circle_outline
remove_circle_outline
remove_circle_outline
remove_circle_outline
remove_circle_outline

Journals

remove_circle_outline
remove_circle_outline
remove_circle_outline
remove_circle_outline
remove_circle_outline
remove_circle_outline
remove_circle_outline
remove_circle_outline

Article Types

Countries / Regions

remove_circle_outline
remove_circle_outline
remove_circle_outline
remove_circle_outline
remove_circle_outline
remove_circle_outline

Search Results (879)

Search Parameters:
Keywords = orthogonal test analysis

Order results
Result details
Results per page
Select all
Export citation of selected articles as:
25 pages, 6038 KB  
Article
Design and Testing of a Soil-Removal Device for Peanut Harvesting in Saline–Alkali Soils: Using a Squeezing and Rubbing Method
by Zengcun Chang, Dongwei Wang, Yu Tian, Xu Li, Baiqiang Zuo, Haipeng Yan, Jiayou Zhang, Jialin Hou and Dongjie Li
Agriculture 2026, 16(7), 755; https://doi.org/10.3390/agriculture16070755 (registering DOI) - 28 Mar 2026
Abstract
In response to the pressing issues of unclear adhesion mechanisms during the soil-removal process in peanut harvesting, poor soil fragmentation quality, and difficulties in separating the pods from the soil. Based on TRIZ theory, this study has innovatively designed a separation device that [...] Read more.
In response to the pressing issues of unclear adhesion mechanisms during the soil-removal process in peanut harvesting, poor soil fragmentation quality, and difficulties in separating the pods from the soil. Based on TRIZ theory, this study has innovatively designed a separation device that relies on external forces, such as kneading and squeezing. A mechanical model of soil fragmentation and separation was developed. The key factors affecting the device’s operational performance were identified. Through theoretical analysis and discrete element simulation, this study elucidates the working principle by which the device crushes and separates soil particles using kneading and squeezing forces. Through analysis of one-factor and orthogonal experiments, the optimal operating parameter combination for the device was determined to be: a drum installation clearance of 104.7 mm, a rotational speed difference of 75.2 rpm, and a pattern roughness of Grade III (reticulated). The system’s performance metrics are a soil removal rate of 96.59% and a pod damage rate of 2.48%. Field tests have confirmed that the deviation from simulation results is minimal. The device’s performance meets the requirements of actual production. Full article
(This article belongs to the Section Agricultural Technology)
Show Figures

Figure 1

25 pages, 5074 KB  
Article
Study on the Performance Enhancement Mechanism of Basalt Fiber-Reinforced Hydraulic Concrete in Ship Lock Galleries
by Benkun Lu, Jie Chen, Shuncheng Xiang, Zhe Peng, Changyu Liu and Linna Li
Materials 2026, 19(7), 1333; https://doi.org/10.3390/ma19071333 - 27 Mar 2026
Abstract
This study investigated the enhancement mechanisms and optimal mix proportion of basalt fiber (BF) in concrete for ship lock galleries. It focused on improving crack resistance, freeze–thaw resistance, impermeability, and abrasion–erosion resistance under complex hydraulic environments. Single-factor tests first determined the reasonable parameter [...] Read more.
This study investigated the enhancement mechanisms and optimal mix proportion of basalt fiber (BF) in concrete for ship lock galleries. It focused on improving crack resistance, freeze–thaw resistance, impermeability, and abrasion–erosion resistance under complex hydraulic environments. Single-factor tests first determined the reasonable parameter ranges, which were subsequently used in a three-factor, four-level orthogonal experiment to analyze the effects of the water-to-binder ratio, fiber content, and fiber length on concrete’s mechanical properties. Range analysis of the orthogonal experiment indicated that the water-to-binder ratio was the most dominant factor (R = 57.4), followed by fiber content. Based on this, further durability tests were conducted, including ring restraint cracking, impermeability, freeze–thaw resistance, and abrasion–erosion resistance. Multi-objective optimization was performed using full factorial experiments and a comprehensive performance evaluation system. The final optimal mix proportion was determined as: a water-to-binder ratio of 0.35, a fiber content of 0.2%, and a fiber length of 12 mm. With this mix, the concrete’s ring cracking time was extended by 69.9%, the relative dynamic elastic modulus retention reached 73.0% after 100 freeze–thaw cycles, the relative permeability coefficient was 1.04 × 10−6 cm/h, and the abrasion–erosion resistance strength increased to 7.05 h·m2/kg, which achieved an optimal synergy among the mechanical properties, key durability indicators, and their workability. Mechanism analysis revealed that BF formed a three-dimensional, randomly distributed fiber network that comprehensively enhanced concrete performance through multi-scale mechanisms, including bridging, pore refinement, and energy dissipation. This research has provided systematic experimental evidence and mix proportion support for the durability design and engineering application of BF concrete in ship lock galleries. Full article
Show Figures

Graphical abstract

22 pages, 1736 KB  
Article
Integrating Metabolic and MicroRNA Profiling to the Diagnostics of Endometriosis: A Pilot Study
by Yaroslav D. Shansky, Sulejman S. Esiev, Uliana V. Pokazannikova, Yulia V. Kudryavtseva, Lyudmila A. Chursina and Julia A. Bespyatykh
Int. J. Mol. Sci. 2026, 27(7), 3052; https://doi.org/10.3390/ijms27073052 - 27 Mar 2026
Viewed by 53
Abstract
Endometriosis affects a large number of women of reproductive age, and its pathogenesis is still unclear. It causes severe chronic pelvic pain, which is often misdiagnosed as irritable bowel syndrome, or other disorders. Metabolomics and transcriptomic approaches enable the study of changes in [...] Read more.
Endometriosis affects a large number of women of reproductive age, and its pathogenesis is still unclear. It causes severe chronic pelvic pain, which is often misdiagnosed as irritable bowel syndrome, or other disorders. Metabolomics and transcriptomic approaches enable the study of changes in various physiological or pathological pathways to identify new potential biomarkers. We employed gas chromatography–mass spectrometry (GC–MS) to investigate metabolic alterations, and quantitative real-time polymers-chain reaction (RT-qPCR) to assess changes in miR-451a and miR-125b in saliva in endometriosis. Serum and saliva samples of patients with symptomatic endometriosis and volunteers without it were collected and subjected to GC–MS and qPCR-RT analysis, respectively. Multivariate and univariate statistical analyses were performed. Orthogonal partial least squares discriminant analysis has shown the differences between the two groups. Eicosadienoic acid, arachidonic acid, and miR-451a increased significantly in endometriosis patients. Machine learning methods were used to build the predictive model, which can be used in early low-invasive diagnostics of endometriosis. Receiver operating characteristics analysis has tested the diagnostic power of metabolites. The combination of metabolic and microRNA profiling may improve our knowledge of the pathophysiological and signaling mechanisms in endometriosis and the discovery of new efficient biomarkers of endometriosis. Full article
(This article belongs to the Section Molecular Pathology, Diagnostics, and Therapeutics)
Show Figures

Figure 1

12 pages, 1526 KB  
Article
Added Value of Thin-Section Coronal DWI for Lesion Visualization in Acute Brainstem Infarction: A Retrospective Analysis
by Alberto Negro, Mario Tortora, Ivano Palladino, Laura Gemini, Ciro Riccio, Francesco Pacchiano, Laura Lombardi, Raffaele Iaccarino, Stefano Bianco, Gianvito Pace, Simone Cepparulo, Arturo De Falco, Fabio Tortora, Giuseppe Buono and Vincenzo D’Agostino
Medicina 2026, 62(4), 635; https://doi.org/10.3390/medicina62040635 - 26 Mar 2026
Viewed by 142
Abstract
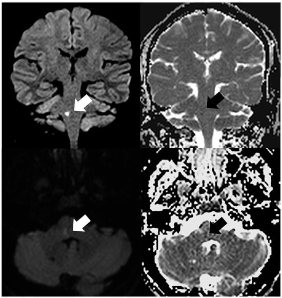
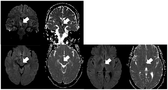
Background and Objectives: Brainstem infarctions remain challenging to identify due to their small size, complex anatomy, and known limitations of conventional axial diffusion-weighted imaging (DWI), particularly in the posterior fossa. Thin-section coronal DWI may improve lesion conspicuity by providing higher spatial resolution and [...] Read more.
Background and Objectives: Brainstem infarctions remain challenging to identify due to their small size, complex anatomy, and known limitations of conventional axial diffusion-weighted imaging (DWI), particularly in the posterior fossa. Thin-section coronal DWI may improve lesion conspicuity by providing higher spatial resolution and an orthogonal imaging perspective. To evaluate whether 3 mm thin-section coronal DWI improves lesion visualization and delineation compared with standard 4 mm axial DWI in patients with MRI-confirmed acute brainstem infarction. Materials and Methods: In this retrospective single-center study, 125 consecutive patients with isolated brainstem infarction confirmed by MRI (January 2021–January 2024) were included. All patients underwent both axial and coronal DWI acquisitions. Lesions were classified by anatomical location and by the imaging plane providing better visualization (“coronal better” vs. “equal”). Lesion volumes were calculated using manual segmentation. Image interpretation was performed independently by two neuroradiologists. Interobserver agreement was assessed using Cohen’s kappa and intraclass correlation coefficient (ICC). Statistical analysis included both parametric and nonparametric tests, with confidence intervals reported. Results: Coronal DWI provided improved or equivalent lesion visualization in all cases. Improved visualization was most frequent in midbrain infarctions (100%) and in a subset of medullary lesions (26.7%). Lesions better visualized on coronal DWI were significantly smaller than those equally visualized (mean volume ~0.23 mL vs. ~0.55 mL, p < 0.0001). Twelve midbrain and eight medullary lesions were identified only on coronal DWI within the imaging protocol, all showing confirmation on ADC and/or FLAIR correlation. Interobserver agreement was substantial to excellent. Conclusions: Thin-section coronal DWI improves visualization and delineation of small brainstem infarctions, particularly in anatomically compact regions. These findings support its role as a complementary sequence rather than a replacement for standard axial imaging. Full article
(This article belongs to the Special Issue Diagnostic Imaging: Recent Advancements and Future Developments)
Show Figures

Figure 1

23 pages, 3020 KB  
Article
Evaluation of Regression Models for Predicting Cutting Forces Based on Spindle Speed, Feed Speed and Milling Strategy During MDF Board Milling
by Tomáš Čuchor, Peter Koleda, Ján Šustek, Lukáš Štefančin, Richard Kminiak, Pavol Koleda and Zuzana Vyhnáliková
Machines 2026, 14(4), 359; https://doi.org/10.3390/machines14040359 (registering DOI) - 25 Mar 2026
Viewed by 216
Abstract
This study investigates the influence of selected technical and technological parameters on cutting forces and power consumption during the milling of medium-density fibreboards. Unlike previous studies that focus primarily on force measurement, this work integrates experimental analysis with machine learning-based predictive modelling to [...] Read more.
This study investigates the influence of selected technical and technological parameters on cutting forces and power consumption during the milling of medium-density fibreboards. Unlike previous studies that focus primarily on force measurement, this work integrates experimental analysis with machine learning-based predictive modelling to improve process understanding and prediction accuracy. The main objective was to experimentally measure orthogonal cutting force components (Fx, Fy, Fz) and electrical power consumption under varying spindle speeds (14,000, 16,000 and 18,000 rpm), feed speed (6, 8 and 10 m/min), and milling strategies (conventional and climb), and to evaluate the suitability of the obtained data for predictive modelling. Cutting forces were measured using a Kistler 9257B piezoelectric dynamometer, and power consumption was recorded by a three-phase power quality analyser. Statistical analysis confirmed significant effects of machining parameters on force components, total cutting force, and power consumption. Spindle speed showed the strongest influence on total cutting force and power consumption, while milling strategy predominantly affected Fx and Fy components. Power consumption increased with increasing spindle speed. Based on the measured data, several machine learning models were developed to predict the total cutting force. The Fine Tree algorithm demonstrated the best performance, achieving validation metrics of R2 = 0.9 and RMSE = 0.60 (MSE = 0.36, MAE = 0.48), and improved testing performance with R2 = 0.95 and RMSE = 0.44 (MSE = 0.20, MAE = 0.36). After model comparison using RMSE, R2, training time, and model size, a Fine Tree model was identified as the most suitable, achieving high prediction accuracy without signs of overfitting. The results confirm that experimentally obtained data on cutting force and electrical energy consumption are suitable for reliable predictive modelling in CNC milling of MDF boards. However, it is necessary to work with those components that have the greatest dependence on speed, feed, or type of milling, and these are the force components measured on the x and y axes. Full article
(This article belongs to the Special Issue Monitoring and Control of Machining Processes)
Show Figures

Figure 1

16 pages, 1786 KB  
Article
Optimisation of the WC-Co Composite Manufacturing Process Using Spark Plasma Sintering Technology with the DOE Methodology
by Robert Kruzel, Tomasz Dembiczak, Zbigniew Bałaga, Marcin Lis, Dariusz Kołacz, Joanna Wachowicz, Sylvia Kuśmierczak and Nataša Náprstková
Materials 2026, 19(7), 1278; https://doi.org/10.3390/ma19071278 - 24 Mar 2026
Viewed by 171
Abstract
The research conducted in this paper is a practical example of the Design of Experiments methodology. In accordance with the assumptions of the experimental design, the authors drew attention to the problem: how should the spark plasma sintering process be planned to obtain [...] Read more.
The research conducted in this paper is a practical example of the Design of Experiments methodology. In accordance with the assumptions of the experimental design, the authors drew attention to the problem: how should the spark plasma sintering process be planned to obtain the maximum amount of information needed to optimise the consolidation of the WC-6Co composite at the lowest possible cost? The DOE methodology—a powerful technique for investigating new processes and gaining knowledge about existing ones in order to optimise them for high performance—was employed in the study. The aim of the research was to optimise the consolidation of the spark-plasma sintering process of the WC-6Co composite using the DoE (Design of Experiments) methodology. Four sintering factors were selected for the study: sintering temperature (factor A, 1300–1400 °C); heating rate (factor B, 100–300 °C/min); sintering time (factor C, 150–600 s); and pressure (factor D, 40–50 MPa). Each consolidation factor was designed to cover three levels. The L9 orthogonal array was used. It was found that sintering temperature and heating rate had the greatest impact on apparent density. To validate the statistical model, sintering tests were performed at a temperature of 1380 °C, a heating rate of 100 °C/min, a sintering time of 150 s and a pressing pressure of 45 MPa. Validation analysis of the statistical model demonstrated consistency with the experimental results. The WC-6Co composite achieved an apparent density of 14.85 g/cm3, corresponding to 97.42% of the theoretical density, with a hardness of 1809 HV30 and total porosity of 2.583%. X-ray diffraction studies revealed the presence of tungsten carbide and cobalt in the structure. Full article
Show Figures

Figure 1

22 pages, 4399 KB  
Article
Analysis of Rock-Breaking Load Characteristics and Efficiency Optimization of Conical Cutterhead Hobs in Urban Hard-Rock SBM
by Geqiang Li, Yunpeng Chen, Zhichong Qi, Dan Lyu, Shuai Wang and Zhenle Dong
Eng 2026, 7(3), 142; https://doi.org/10.3390/eng7030142 - 23 Mar 2026
Viewed by 161
Abstract
To investigate the load characteristics and rock-breaking efficiency of the hobs on the conical cutterhead, a theoretical model of the hob’s rock-breaking load was established based on the plastic-brittle characteristics of rock, with a verification error of less than 5%. A numerical model [...] Read more.
To investigate the load characteristics and rock-breaking efficiency of the hobs on the conical cutterhead, a theoretical model of the hob’s rock-breaking load was established based on the plastic-brittle characteristics of rock, with a verification error of less than 5%. A numerical model of dual-hob rotary rock breaking was developed using ABAQUS 2022 software to comparatively study the influence of penetration depth (P), cutter spacing (S), and rotational speed (V) on the hob’s load behavior and rock-breaking efficiency. The specific energy of rock breaking under various test conditions was obtained through orthogonal experiments. The results indicate that, as the penetration depth increases, the average rock-breaking load of the hob gradually increases, while the specific energy first decreases and then increases. With larger cutter spacing, the average load shows a modest increase, and the specific energy exhibits a gradually rising trend with a diminishing growth rate. As the rotational speed increases, the average load increases slightly, while the specific energy rises with an accelerating growth rate. Range analysis revealed that the order of influence of factors on rock-breaking efficiency is P > S > V. The highest rock-breaking efficiency was achieved at P = 2 mm, S = 60 mm, and V = 7 r/min. At a significance level of 0.05, the penetration depth was found to have a significant effect on specific energy. This study provides a valuable reference for the design of hob layouts and parameter settings of conical cutterheads, contributing to improved rock-breaking efficiency. Full article
(This article belongs to the Section Chemical, Civil and Environmental Engineering)
Show Figures

Figure 1

21 pages, 2220 KB  
Article
Analytical Physicochemical and Functional Studies to Compare AryoTrust, a Follow-On Biologics, with the Originator Trastuzumab (Herceptin)
by Khalid Kadhem Al-Kinani, Hussein Kadhum Alkufi and Salam Shanta Taher
Pharmaceutics 2026, 18(3), 383; https://doi.org/10.3390/pharmaceutics18030383 - 20 Mar 2026
Viewed by 345
Abstract
Background: Trastuzumab is a blockbuster monoclonal antibody that has revolutionized the treatment of HER2-positive breast and gastric cancers. With the increasing availability of biosimilar monoclonal antibodies in clinical practice, independent verification of biosimilarity using products sampled from a real-world supply chain is [...] Read more.
Background: Trastuzumab is a blockbuster monoclonal antibody that has revolutionized the treatment of HER2-positive breast and gastric cancers. With the increasing availability of biosimilar monoclonal antibodies in clinical practice, independent verification of biosimilarity using products sampled from a real-world supply chain is important to assure clinicians and the patients to use these products confidently. Objective: The aim of this study is to assess the biosimilarity of AryoTrust, a trastuzumab biosimilar, in comparison with the reference product Herceptin. AryoTrust and Herceptin products were randomly withdrawn from Iraqi hospitals to reflect medicines administered in real clinical settings. Methods: AryoTrust and Herceptin were compared using an extensive set of orthogonal analytical techniques which included SDS-PAGE, ion-exchange chromatography, capillary isoelectric focusing, peptide mapping, N-glycan profiling, circular dichroism, differential scanning calorimetry, and surface plasmon resonance. In addition to these teste, functional comparability was also tested using an HER2-dependent cell-based proliferation inhibition bioassay. Results: The results showed that both products have highly comparable profiles in all assessed attributes. The analysis showed similar molecular integrity and purity, identical primary structure, comparable charge heterogeneity, similar isoelectric points (pI) of the main isoform, close glycosylation patterns (mainly, by core-fucosylated complex-type glycans), similar higher-order structural features, and thermal stability. The receptor binding studies exhibited comparable binding affinities with Fcγ receptors and FcRn. Finally, the cell-based bioassay revealed comparable dose–response curves with similar EC50 values and relative potency. Conclusions: The integrated analytical and functional data support the biosimilarity of AryoTrust to the reference product Herceptin, which has been marketed and used in Iraq. This study provides real-world scientific evidence supporting confidence in the quality and comparability of this trastuzumab biosimilar and reduces any doubt in the product and at the same time emphasizes the value of independent post-marketing biosimilarity assessments. Full article
(This article belongs to the Special Issue Medical Applications of Biologic Drugs)
Show Figures

Figure 1

18 pages, 4115 KB  
Article
The Design of a Bionic Frog Robot
by Zhengxian Song, Lan Yan and Feng Jiang
Machines 2026, 14(3), 325; https://doi.org/10.3390/machines14030325 - 13 Mar 2026
Viewed by 297
Abstract
This study developed a biomimetic jumping robot inspired by frogs to enhance its obstacle-crossing capabilities. The biological principles underlying the jumping biomechanics of frog hindlimbs were integrated into the robotic mechanism; quantitative analysis of the bionic structure and its jumping performance not only [...] Read more.
This study developed a biomimetic jumping robot inspired by frogs to enhance its obstacle-crossing capabilities. The biological principles underlying the jumping biomechanics of frog hindlimbs were integrated into the robotic mechanism; quantitative analysis of the bionic structure and its jumping performance not only provides mechanical engineering insights for investigating frog locomotion mechanics but also offers practical design references for the development of biomimetic mobile robots. Through theoretical calculations and application scenario analysis, a six-bar linkage mechanism was designed to simulate the force generation of frog hindlimbs, with tension springs mimicking the elastic energy storage function of the semimembranosus and gastrocnemius muscles. A reducer was integrated into the trunk to enable energy storage, and an adjustable single-hinge structure was adopted for the forelegs to realize take-off angle adjustment and shock absorption. Finite element simulations were conducted to validate the load-bearing capacity and strength of critical components. Multi-body dynamics and the particle swarm optimization (PSO) algorithm were employed to explore the relationship between input parameters and output performance metrics (jumping height and jumping distance), while orthogonal experimental analysis was used for comprehensive parameter evaluation. Finally, a physical prototype was fabricated, and its performance parameters were tested. The prototype has a mass of 150 g, generates a ground push force of 50 N, attains a jumping height of 380 mm, and achieves a maximum jumping distance of 500 mm. This study establishes a biologically inspired working principle for jumping robots and provides a novel practical prototype for research into biomimetic mobile robots. Full article
(This article belongs to the Special Issue Control and Mechanical System Engineering, 2nd Edition)
Show Figures

Figure 1

17 pages, 5294 KB  
Article
A Study on the UV Degradation Performance of Rhodamine B by Zn-TiO2 Photocatalysts and Cement Mortar-Based Zn-TiO2 Composites
by Peng Wang, Zihao Jiang, Lanshuo Xing, Jiale Xiao, Ze Wu, Haiyang Chen, Yichen Xu and Hai Wang
Materials 2026, 19(6), 1094; https://doi.org/10.3390/ma19061094 - 12 Mar 2026
Viewed by 173
Abstract
Zn-TiO2 composites were synthesized via a hydrothermal method, and their photocatalytic performance was optimized using an orthogonal design. Among the factors of hydrothermal temperature, reaction time, and Ti/Zn molar ratio, hydrothermal temperature showed the most significant influence on the photocatalytic performance of [...] Read more.
Zn-TiO2 composites were synthesized via a hydrothermal method, and their photocatalytic performance was optimized using an orthogonal design. Among the factors of hydrothermal temperature, reaction time, and Ti/Zn molar ratio, hydrothermal temperature showed the most significant influence on the photocatalytic performance of Zn-TiO2. The Zn-TiO2 obtained under the optimal conditions (120 °C, 10 h, and a Ti/Zn molar ratio of 100:5) exhibited the best photocatalytic performance, with a 26% improvement in the photocatalytic degradation efficiency of Rhodamine B (RB) compared to pure TiO2 under identical conditions. The composition, morphology, and structure of the Zn-TiO2 photocatalysts were characterized by XRD, SEM-EDS, N2 adsorption–desorption, and XPS, thereby enabling analysis of the mechanism for the enhancement of its photocatalytic performance. In this work, air-entrained composite mortar (ACM) with a double-layer structure was designed as a contrast to conventional cement mortar (CM). Novel green building materials with pollutant-degradation capability were developed by loading Zn-TiO2 and TiO2 photocatalysts onto these different mortar surfaces. Photocatalytic tests and cyclic aging experiments demonstrated that the Zn-TiO2/ACM achieved the superior degradation effect on the RB solution and maintained good catalytic stability. These findings suggest broad application prospects in the field of green building materials. Full article
Show Figures

Figure 1

22 pages, 6176 KB  
Article
A Study on the Directional Cultivation of Mechanization-Adapted Watermelon Scion Seedlings in a Plant Factory
by Chongyang Yan, Yinghui Mu, Yexin Wu, Song Gu, Yichi Wang, Zhiyu Ma and Xingping Chen
Horticulturae 2026, 12(3), 327; https://doi.org/10.3390/horticulturae12030327 - 9 Mar 2026
Viewed by 204
Abstract
Achieving high morphological uniformity and mechanical strength is critical for the automation of watermelon grafting; yet, specific light protocols targeting these traits are lacking. This study employed LED lighting to regulate the morphological development of watermelon scion seedlings in a controlled plant factory [...] Read more.
Achieving high morphological uniformity and mechanical strength is critical for the automation of watermelon grafting; yet, specific light protocols targeting these traits are lacking. This study employed LED lighting to regulate the morphological development of watermelon scion seedlings in a controlled plant factory environment. Using the watermelon cultivar ‘Heimeiling’ as the experimental material, three sequential experiments were conducted: (1) Under conditions of 95 μmol·m−2·s−1 light intensity and a 12 h photoperiod, seven red/blue light ratios and a white light control were tested to identify the appropriate light quality. (2) Under the R3B1 light quality, gradients of the daily light integral (DLI) ranging from 2.88 to 17.28 mol·m−2·d−1 were established by adjusting the light intensity and photoperiod to determine the optimal DLI. (3) Based on the above results, an orthogonal experiment was designed, with factors including the light quality (R7B1, R3B1, R1B1; where R7B1 represents 87.5% red light and 12.5% blue light), light intensity (120, 160, 200 μmol·m−2·s−1), and photoperiod (16 h, 20 h, 24 h) to identify the optimal light environment combination for mechanical grafting. Results indicated that while monochromatic red light induced excessive elongation and suppressed metabolism, the R3B1 spectrum significantly enhanced the stem diameter, mechanical strength, and carbon–nitrogen accumulation while maintaining hormonal balance. Regarding the daily light integral (DLI), seedlings exhibited an optimal performance at 11.52 mol·m−2·d−1. Lower DLI levels led to etiolation, whereas higher levels caused photoinhibition and PSII damage. Furthermore, orthogonal analysis revealed that light intensity was the dominant factor driving stem thickening and biomass accumulation, while light quality primarily regulated plant height. Consequently, a combination of R3B1 light quality, 200 μmol·m−2·s−1 intensity, and a 20 h photoperiod was identified as the optimal strategy to satisfy the stringent morphological requirements for mechanical grafting. Full article
(This article belongs to the Special Issue Optimized Light Management in Controlled-Environment Horticulture)
Show Figures

Figure 1

32 pages, 7818 KB  
Article
Analysis of Mechanical Properties of Steel Tube Crossing Frame for Power Transmission Project
by Shuang Wang, Zhenghai Guo, Guanmin Zhu, Pengcheng Zhang, Qiyun Han and Bo Tang
Metals 2026, 16(3), 299; https://doi.org/10.3390/met16030299 - 7 Mar 2026
Viewed by 290
Abstract
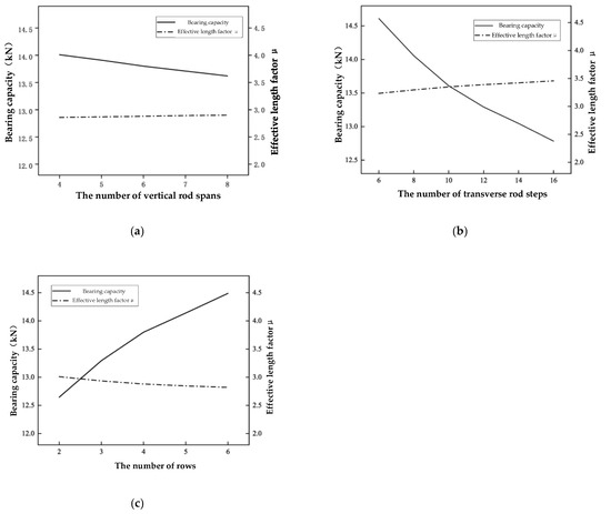
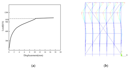
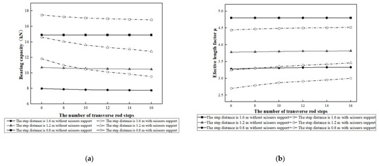
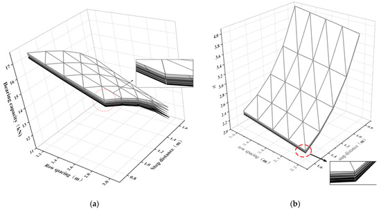
In this study, compared with traditional scaffolds, the arrangement and structural dimensions of steel tubular crossing frames used in transmission engineering are significantly different, making it difficult to efficiently and accurately evaluate their structural stability using existing specifications and conventional methods. Therefore, a [...] Read more.
In this study, compared with traditional scaffolds, the arrangement and structural dimensions of steel tubular crossing frames used in transmission engineering are significantly different, making it difficult to efficiently and accurately evaluate their structural stability using existing specifications and conventional methods. Therefore, a finite element model of a steel tubular crossing frame considering the semi-rigid characteristics of joints was established, and the influence of frame parameters on structural stability and the effective length factor (μ) of the vertical members was analyzed. On this basis, the main factors affecting the effective length factor μ were identified using orthogonal testing and multiple linear regression, and a predictive formula was obtained through curve fitting. The results show that the step distance and number of steps of the horizontal members are the primary factors influencing the bearing capacity and μ value of the crossing frame, followed by the spacing of vertical members, the number of spans, and the number of rows. The height of the bottom sweeping member has a weak influence within the range of 0.1–0.6 m but becomes significantly more influential when it exceeds 0.7 m. The installation of peripheral cross bracing increases the bearing capacity of the crossing frame by at least 20%. The accuracy of the proposed formula was verified by comparing the stresses of the vertical members calculated using the formula, the specifications JGJ130-2019 and BS5975-2019, and the finite element analysis results. The findings provide a useful reference for the stability assessment and erection scheme design of steel tubular crossing frames in transmission engineering. Full article
Show Figures

Figure 1

21 pages, 3170 KB  
Article
Estimation of the Elastic Modulus of Granite Under Uniaxial Compression at the Pre-Peak Stage Using the PROS Method for Approximating Experimental Data
by Gennady Kolesnikov and Vitali Shekov
Appl. Sci. 2026, 16(5), 2571; https://doi.org/10.3390/app16052571 - 7 Mar 2026
Viewed by 359
Abstract
This study investigates the application of the Pure Random Orthogonal Search (PROS) method, introduced in the literature in 2021, for approximating force and displacement measurement data obtained from rock specimen testing, using granite as a case study. The primary objective is to simplify [...] Read more.
This study investigates the application of the Pure Random Orthogonal Search (PROS) method, introduced in the literature in 2021, for approximating force and displacement measurement data obtained from rock specimen testing, using granite as a case study. The primary objective is to simplify the data approximation procedure and improve the accuracy of experimental data analysis by reducing the influence of subjective factors within a predefined protocol. The research focuses on determining the maximum value of the tangent modulus of elasticity during the pre-peak deformation stage of granite specimens under uniaxial compression. The study employs methods of mathematical modeling of rock mechanical behavior and experimental data analysis. To approximate the experimental data, a modified two-parameter S-curve equation is proposed. The optimal parameter values are determined using the PROS method, which reduces the problem to solving a two-dimensional objective function minimization task. The dimensionality of this optimization problem remains independent of the number of experimental data points, thereby enhancing computational efficiency. A systematic computational procedure is developed for the automated calculation of the approximating equation’s parameters and the determination of the maximum tangent modulus of elasticity. In the context of challenges associated with accurately measuring displacements using conventional testing machines, a numerical correction procedure is proposed and implemented to account for the compliance of the loading system. The results of the study are consistent with both the literature-reported experimental data and the data obtained in this work. The methodology and findings can be adapted for analyzing the properties of concrete as an artificial analog of natural rock materials. Full article
Show Figures

Figure 1

18 pages, 2794 KB  
Article
Formulation Optimization, Quality Characterization, and Flavor Profiling of Cookies Enriched with Ultrafine Dark Tea Powder
by Xiaoping Huang, Ang Li, Xiao Zhou, Peiran Li, Jiaojunnan Huang, Lin Shao and Yaqiong Pei
Foods 2026, 15(5), 880; https://doi.org/10.3390/foods15050880 - 4 Mar 2026
Viewed by 198
Abstract
Ultrafine dark tea powder (UDTP) was prepared by superfine grinding and sieving through a 200-mesh sieve, and incorporated into cookies to improve their textural properties, sensory acceptability and flavor characteristics. Through single-factor experiments and orthogonal testing, the optimal formulation was determined. The quality [...] Read more.
Ultrafine dark tea powder (UDTP) was prepared by superfine grinding and sieving through a 200-mesh sieve, and incorporated into cookies to improve their textural properties, sensory acceptability and flavor characteristics. Through single-factor experiments and orthogonal testing, the optimal formulation was determined. The quality of cookies was evaluated by texture analysis, sensory evaluation, electronic nose (E-nose), and gas chromatography-mass spectrometry (GC-MS). Results showed that cookies supplemented with 4 g UDTP per 80 g butter exhibited significantly lower hardness and comparable fracturability, along with higher sensory scores in texture, odor and taste compared to basic butter cookies. E-nose and GC-MS analyses revealed that UDTP enrichment promoted the formation of desirable volatile compounds, particularly aldehydes, ketones, and heterocyclic compounds, which contributed to floral, fruity, roasted nutty, and caramel aromas. This study demonstrates that UDTP can effectively improve both the textural and flavor properties of cookies, providing a viable approach for developing tea-fortified baked products with enriched sensory profiles. Full article
Show Figures

Figure 1

17 pages, 3495 KB  
Article
Parameter Optimization and Engineering Effect of Cut-and-Fill Mining Technology
by Xiaolei Lv, Zhiqiang Wang, Baowei Meng, Weiping Shi, Yaohua Yv and Changxiang Wang
Appl. Sci. 2026, 16(5), 2391; https://doi.org/10.3390/app16052391 - 28 Feb 2026
Viewed by 196
Abstract
To address the limitations of existing subsidence control technologies in coal mining, this study systematically investigates the fundamental principles of cut-and-fill mining, the stability mechanism of the filling body, and the influence law of key parameters on mining engineering effects, through a comprehensive [...] Read more.
To address the limitations of existing subsidence control technologies in coal mining, this study systematically investigates the fundamental principles of cut-and-fill mining, the stability mechanism of the filling body, and the influence law of key parameters on mining engineering effects, through a comprehensive research framework integrating theoretical analysis, similar material simulation and numerical simulation. Firstly, the mechanical characteristics of horizontal and diagonal shear failure of gangue pillars are revealed via theoretical derivation. It is clarified that the diagonal stability of the gangue pillar can be guaranteed when its aspect ratio is ≤0.5, and the lateral constraint of metal mesh can effectively enhance its horizontal stability. Secondly, based on a physical model with a size similarity ratio of 1:100, the overburden failure characteristics are obtained: only local cracks appear in the immediate roof and the basic roof presents gentle subsidence after cut-and-fill mining, which directly verifies the effective control effect of this technology on mining-induced overburden movement and surface subsidence. On this basis, multiple sets of orthogonal tests are designed using FLAC3D software (5.0) to analyze the effects of roof cutting width, filling width and coal seam thickness on roof displacement and filling area stress. Combined with grey correlation analysis, it is determined that coal seam thickness is the most critical factor affecting the mining effect, with the correlation coefficients for roof displacement and filling area stress reaching 0.79 and 0.93, respectively. The research shows that the parameter combination of 10 m roof cutting width + 10 m filling width (Group 10-10-X) can achieve the optimal balance between subsidence control efficiency and filling engineering benefit; for working faces with higher requirements for surface subsidence control, the combination of 5 m roof cutting width + 10 m filling width is recommended. The research results clarify the action mechanism of cut-and-fill mining, optimize the key engineering parameters, and provide a solid theoretical basis and technical support for the engineering popularization of this technology and high-precision surface subsidence control. Full article
(This article belongs to the Special Issue Advanced Technologies in Intelligent and Sustainable Coal Mining)
Show Figures

Figure 1

Back to TopTop