Sign in to use this feature.

Years

Between: -

Subjects

remove_circle_outline
remove_circle_outline
remove_circle_outline
remove_circle_outline
remove_circle_outline
remove_circle_outline
remove_circle_outline
remove_circle_outline
remove_circle_outline

Journals

Article Types

Countries / Regions

Search Results (28)

Search Parameters:
Keywords = nitrofuran derivatives

Order results
Result details
Results per page
Select all
Export citation of selected articles as:
20 pages, 7643 KB  
Article
Analysis of Antimicrobial Resistance and Virulence Factors in Multidrug-Resistant Streptococcus suis Serotype 2 Isolates Using Whole-Genome Sequencing
by Lingling Zhang, Minglu Wang, Jiale Sheng, Lumin Yu, Yike Zhao, Wei Liao, Zitong Liu, Jiang Yu and Xinglin Zhang
Microorganisms 2025, 13(11), 2552; https://doi.org/10.3390/microorganisms13112552 - 7 Nov 2025
Viewed by 191
Abstract
Multidrug-resistant (MDR) Streptococcus suis (S. suis) is a zoonotic pathogen capable of infecting pigs across all age groups, leading to conditions such as meningitis, arthritis, and endocarditis. In humans, infections can result in septic arthritis, meningitis, necrotizing fasciitis, and septicemia, which [...] Read more.
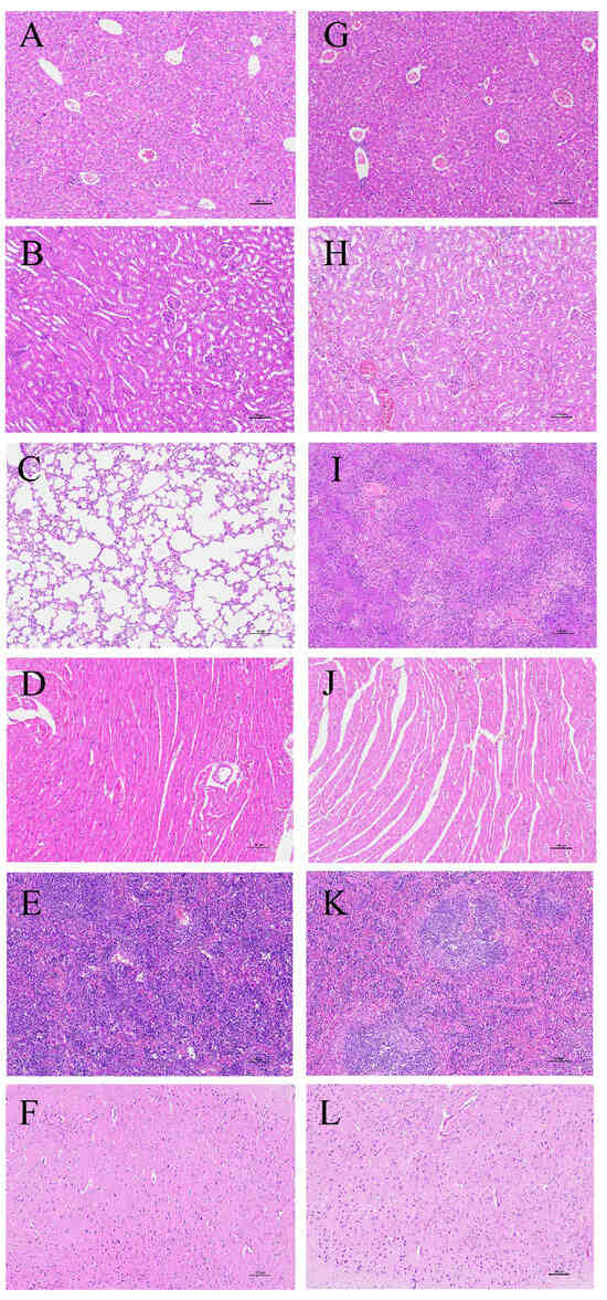
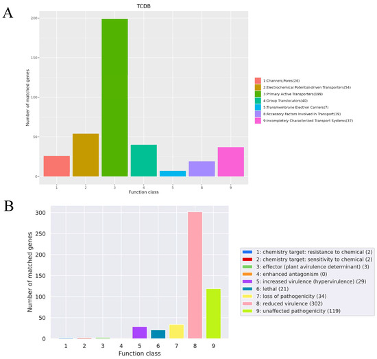
Multidrug-resistant (MDR) Streptococcus suis (S. suis) is a zoonotic pathogen capable of infecting pigs across all age groups, leading to conditions such as meningitis, arthritis, and endocarditis. In humans, infections can result in septic arthritis, meningitis, necrotizing fasciitis, and septicemia, which may be fatal. The absence of a complete genome sequence hinders comprehensive bioinformatic studies of MDR S. suis derived from pigs. In this study, we present the whole-genome sequence of MDR S. suis serotype 2 ST01 isolated from joint fluid samples obtained from pigs. Whole-genome analysis revealed that the ST01 chromosome carries 19 antibiotic resistance genes that confer resistance to major classes of antibiotic including aminoglycosides, tetracyclines, fluoroquinolones, lincosamides, polypeptide, and nitrofurans. Additionally, it contains 15 virulence factors associated with immune modulation, bacterial adherence, and stress survival. Whole-genome analysis identified 84 horizontal gene transfer elements in ST01 (comprising 28 genomic islands, 52 transposons, and 4 prophages), alongside mutations resulting in reduced virulence (302 instances) and loss of pathogenicity (34 instances). Furthermore, 18 antibiotic targets along with 21 lethal mutations were identified as potential targets for preventing, controlling, and treating infection caused by MDR S. suis serotype 2 ST01. In vivo infection experiments demonstrated that intraperitoneal inoculation with ST01 resulted in mortality among Kunming mice, with a median lethal dose (LD50) of 5.62 × 109 CFU/mL. Histopathological analysis revealed varying degrees of lesions in the infected organs of the mice. This study thus provides valuable insights into strategies aimed at combating S. suis infections and their transmission within swine populations. Full article
(This article belongs to the Section Microbiomes)
Show Figures

Figure 1

23 pages, 3665 KB  
Communication
Drug Repurposing for Kala-Azar
by Biljana Arsić, Budimir S. Ilić, Andreas Maier, Michael Hartung, Jovana Janjić, Jelena Milićević and Jan Baumbach
Pharmaceutics 2025, 17(8), 1021; https://doi.org/10.3390/pharmaceutics17081021 - 6 Aug 2025
Cited by 1 | Viewed by 1007
Abstract
Objective: Visceral leishmaniasis (VL), a Neglected Tropical Disease caused by Leishmania donovani, remains insufficiently addressed by current therapies due to high toxicity, poor efficacy, and immunosuppressive complications. This study aimed to identify and characterize repurposed drugs that simultaneously target parasite-encoded and host-associated [...] Read more.
Objective: Visceral leishmaniasis (VL), a Neglected Tropical Disease caused by Leishmania donovani, remains insufficiently addressed by current therapies due to high toxicity, poor efficacy, and immunosuppressive complications. This study aimed to identify and characterize repurposed drugs that simultaneously target parasite-encoded and host-associated mechanisms essential for VL pathogenesis. Methods: Two complementary in silico drug repurposing strategies were employed. The first method utilized electron–ion interaction potential (EIIP) screening followed by molecular docking and molecular dynamics (MD) simulations targeting two L. donovani proteins: Rab5a and pteridine reductase 1 (PTR1). The second approach employed network-based drug repurposing using the Drugst.One platform, prioritizing candidates via STAT3-associated gene networks. Predicted drug–target complexes were validated by 100 ns MD simulations, and pharmacokinetic parameters were assessed via ADMET profiling using QikProp v7.0 and SwissADME web server. Results: Entecavir and valganciclovir showed strong binding to Rab5a and PTR1, respectively, with Glide Scores of −9.36 and −9.10 kcal/mol, and corresponding MM-GBSA ΔG_bind values of −14.00 and −13.25 kcal/mol, confirming their stable interactions and repurposing potential. Network-based analysis identified nifuroxazide as the top candidate targeting the host JAK2/TYK2–STAT3 axis, with high stability confirmed in MD simulations. Nifuroxazide also displayed the most favorable ADMET profile, including oral bioavailability, membrane permeability, and absence of PAINS alerts. Conclusions: This study highlights the potential of guanine analogs such as entecavir and valganciclovir, and the nitrofuran derivative nifuroxazide, as promising multi-target drug repurposing candidates for VL. Their mechanisms support a dual strategy targeting both parasite biology and host immunoregulation, warranting further preclinical investigation. Full article
(This article belongs to the Section Drug Targeting and Design)
Show Figures

Figure 1

27 pages, 4199 KB  
Article
Synthesis of 1-(2-Hydroxy-5-methylphenyl)-5-oxopyrrolidine-3-carboxylic Acid Derivatives as a Promising Scaffold Against Disease-Causing Bacteria Relevant to Public Health
by Karolis Krikštaponis, Jūratė Šiugždaitė, Rita Vaickelionienė, Vytautas Mickevičius and Birutė Grybaitė
Molecules 2025, 30(12), 2639; https://doi.org/10.3390/molecules30122639 - 18 Jun 2025
Viewed by 1766
Abstract
The increasing number of antibiotic-resistant pathogens forces us to accelerate the search for new antimicrobial agents. Based on this, we chose to synthesize a library of 1-(2-hydroxy-5-methylphenyl)-5-oxopyrrolidine-3-carboxylic acid derivatives and evaluate their antibacterial activity against various pathogens. A series of (2-hydroxy-5-methylphenyl)-5-oxopyrrolidine-3-carboxylic acid and [...] Read more.
The increasing number of antibiotic-resistant pathogens forces us to accelerate the search for new antimicrobial agents. Based on this, we chose to synthesize a library of 1-(2-hydroxy-5-methylphenyl)-5-oxopyrrolidine-3-carboxylic acid derivatives and evaluate their antibacterial activity against various pathogens. A series of (2-hydroxy-5-methylphenyl)-5-oxopyrrolidine-3-carboxylic acid and its hydrazide derivatives were prepared and identified by the methods of IR, 1H, and 13C NMR spectroscopy and a microanalysis technique. The resulting compounds were evaluated in vitro for their efficacy against the Gram-positive Staphylococcus aureus (ATCC 9144), Listeria monocytogenes (ATCC 7644), and Bacillus cereus (ATCC 11778) bacterial strains as well as the Gram-negative Escherichia coli (ATCC 8739) bacteria. Oxacillin, ampicillin, and cefuroxime were used as control antibiotics. Among the obtained compounds, hydrazone with a 5-nitrothien-2-yl fragment surpassed the control cefuroxime (7.8 μg/mL) against almost all strains tested. Hydrazone with a 5-nitrofuran-2-yl moiety showed a slightly lower but also potent effect on all bacterial strains. Moreover, hydrazone with a benzylidene moiety demonstrated very strong inhibition of S. aureus (3.9 μg/mL) in comparison with the antibacterial drug cefuroxime (7.8 μg/mL). In addition, some of these compounds exhibited remarkable bactericidal properties. In a complete biofilm disruption study, 5-nitrothienylhydrazone showed excellent results in disrupting S. aureus and E. coli biofilms. The test results show the potential of the newly obtained derivatives as a source of antibacterial agents. Therefore, further studies on the molecular optimization of these compounds are necessary for the development of new antibacterial drugs. Full article
Show Figures

Figure 1

12 pages, 1998 KB  
Article
Assessment of the Ecological Safety of Honey with the Help of “Factor Area” Models
by Igor Palamarchuk, Leonora Adamchuk, Vladyslav Palamarchuk, Mykola Andrushchenko, Olesia Priss, Szymon Glowacki, Taras Hutsol and Olena Bezaltychna
Sustainability 2024, 16(22), 9960; https://doi.org/10.3390/su16229960 - 15 Nov 2024
Viewed by 1388
Abstract
The man-made load on the environment and the decrease in biodiversity cause a direct negative environmental impact on the existence of honey bees and beekeeping products. The priority directions of the food industry are the use of high-quality environmentally friendly raw materials and [...] Read more.
The man-made load on the environment and the decrease in biodiversity cause a direct negative environmental impact on the existence of honey bees and beekeeping products. The priority directions of the food industry are the use of high-quality environmentally friendly raw materials and the prevention of the ingress and formation of harmful substances in food products, including honey. This implies the need to develop methods for assessing the environmental safety of the studied raw materials and products. The purpose of this study was to implement a mathematical modeling method for studying the environmental safety of honey. Five types of honey were studied: Robinia, rapeseed, linden, buckwheat, and sunflower. Mathematical models were built according to the following parameters: total activity of β-emitting radionuclides; residues of levomycetin (chloramphenicol), nitrofuran (according to AOZ and AMOZ), metronidazole, and pesticides (according to hexachloran); and the content of water-insoluble substances (mechanical impurities) and heavy metals. On the basis of the obtained data and established quality criteria, calculation graphic models were built. Using algebraic methods, they derived new formulas for calculating quality coefficients. Multivariate analysis and programming methods were used to evaluate honey using mathematical modeling. The most and least ecologically dangerous contaminants and their share of influence for different types of honey were determined based on the complex of research on negative factors. The proposed mathematical models can be implemented for practical use in specialized laboratories as a tool for determining the environmental safety of honey of various botanical origins. Full article
Show Figures

Figure 1

11 pages, 2769 KB  
Article
Design, Synthesis, and Evaluation of Doxifluridine Derivatives as Nitroreductase-Responsive Anticancer Prodrugs
by Xinmeng Zhang, Taimin Dong, Xu Li, Changjie Xu, Fanghui Chen, Shiben Wang and Xuekun Wang
Molecules 2024, 29(21), 5077; https://doi.org/10.3390/molecules29215077 - 27 Oct 2024
Cited by 1 | Viewed by 1729
Abstract
Antimetabolite antitumor drugs interfere with nucleic acid and DNA synthesis, causing cancer cell death. However, they also affect rapidly dividing normal cells and cause serious side effects. Doxifluridine (5′-deoxy-5-fluorouridine [5′-DFUR]), a 5-fluorouracil (5-FU) prodrug converted to 5-FU by thymidine phosphorylase (TP), exerts antitumor [...] Read more.
Antimetabolite antitumor drugs interfere with nucleic acid and DNA synthesis, causing cancer cell death. However, they also affect rapidly dividing normal cells and cause serious side effects. Doxifluridine (5′-deoxy-5-fluorouridine [5′-DFUR]), a 5-fluorouracil (5-FU) prodrug converted to 5-FU by thymidine phosphorylase (TP), exerts antitumor effects. Since TP is distributed in tumor and normal tissues, 5′-DFUR features side effects. Here we designed a series of novel 5′-DFUR derivatives based on high nitroreductase (NTR) levels in the hypoxic microenvironment of tumor tissues by introducing nitro-containing moieties into the 5′-DFUR structure. These derivatives exert their antitumor effects by producing 5-FU under the dual action of TP and NTR in the tumor microenvironment. The derivatives were synthesized and their stability, release, and cytotoxicity evaluated in vitro and antitumor activity evaluated in vivo. Compound 2c, featuring nitrofuran fragments, was stable in phosphate-buffered saline and plasma at different pH values and reduced rapidly in the presence of NTR. The in vitro cytotoxicity evaluation indicated that compound 2c showed excellent selectivity in the MCF-7 and HT29 cell lines. Moreover, it exhibited antitumor effects comparable to those of 5′-DFUR in vivo without significant toxic side effects. These results suggest that compound 2c is a promising antitumor prodrug. Full article
Show Figures

Figure 1

13 pages, 7506 KB  
Article
Nifuratel Induces Triple-Negative Breast Cancer Cell G2/M Phase Block and Apoptosis by Regulating GADD45A
by Yuhang Hou, Hongyun Hao, Yan Yuan, Jing Zhang, Zhengrui Liu, Yimin Nie, Shichang Zhang, Shengtao Yuan and Mei Yang
Pharmaceuticals 2024, 17(10), 1269; https://doi.org/10.3390/ph17101269 - 26 Sep 2024
Cited by 2 | Viewed by 2093
Abstract
(1) Background: Nifuratel (NF113), derived from nitrofuran, has a specific anti-tumor effect. However, the potential mechanisms of NF113 in triple-negative breast cancer remain unknown. (2) Methods: In the study, CCK8 assay and colony formation assays were used to evaluate the inhibition effect of [...] Read more.
(1) Background: Nifuratel (NF113), derived from nitrofuran, has a specific anti-tumor effect. However, the potential mechanisms of NF113 in triple-negative breast cancer remain unknown. (2) Methods: In the study, CCK8 assay and colony formation assays were used to evaluate the inhibition effect of NF113 on cell proliferation. Apoptosis and cell cycle distribution were tested by flow cytometry. The mechanism of NF113’s anti-tumor effect was predicted by transcriptome sequencing and verified by using PCR and Western blot experiments. Breast cancer organoids constructed from the patient-derived tumor xenograft model and the MDA-MB-468 xenograft mouse model were established to evaluate the effect of NF113. (3) Results: Our study showed that NF113 had an anti-tumor effect on triple-negative breast cancer both in vitro and in vivo. NF113 also induced apoptosis and G2/M phase arrest in triple-negative breast cancer cells. Our experimental data further verified that NF113 reduced GADD5A mRNA and protein expression, which were significantly upregulated in breast cancer, with downstream CDC25C and AKT phosphorylation changes. (4) Conclusions: Our data provided compelling evidence that NF113 inhibited breast cancer growth via upregulating GADD45A. Conclusion: NF113 was able to exert inhibitory effects on the proliferation of triple-negative breast cancer in vivo and in vitro, which may induce G2/M phase arrest via the GADD45A/CyclinB/CDK1 pathway and apoptosis via GADD45A/JNK/P38. Full article
(This article belongs to the Section Pharmacology)
Show Figures

Figure 1

25 pages, 6202 KB  
Article
Identification of Novel Isatin Derivative Bearing a Nitrofuran Moiety as Potent Multi-Isoform Aldehyde Dehydrogenase Inhibitor
by Krishne Gowda, Asif Raza, Venugopal Vangala, Nazir Ahmad Lone, Jyh Ming Lin, Jaikee Kumar Singh, Sandeep Kumar Srivastava, Todd D. Schell, Gavin P. Robertson, Shantu Amin and Arun K. Sharma
Molecules 2024, 29(13), 3114; https://doi.org/10.3390/molecules29133114 - 29 Jun 2024
Cited by 3 | Viewed by 2342
Abstract
Aldehyde dehydrogenases (ALDHs) are a family of enzymes that aid in detoxification and are overexpressed in several different malignancies. There is a correlation between increased expression of ALDH and a poor prognosis, stemness, and resistance to several drugs. Several ALDH inhibitors have been [...] Read more.
Aldehyde dehydrogenases (ALDHs) are a family of enzymes that aid in detoxification and are overexpressed in several different malignancies. There is a correlation between increased expression of ALDH and a poor prognosis, stemness, and resistance to several drugs. Several ALDH inhibitors have been generated due to the crucial role that ALDH plays in cancer stem cells. All of these inhibitors, however, are either ineffective, very toxic, or have yet to be subjected to rigorous testing on their effectiveness. Although various drug-like compounds targeting ALDH have been reported in the literature, none have made it to routine use in the oncology clinic. As a result, new potent, non-toxic, bioavailable, and therapeutically effective ALDH inhibitors are still needed. In this study, we designed and synthesized potent multi-ALDH isoform inhibitors based on the isatin and indazole pharmacophore. Molecular docking studies and enzymatic tests revealed that among all of the synthesized analogs, compound 3 is the most potent inhibitor of ALDH1A1, ALDH3A1, and ALDH1A3, exhibiting 51.32%, 51.87%, and 36.65% inhibition, respectively. The ALDEFLUOR assay further revealed that compound 3 acts as an ALDH broad spectrum inhibitor at 500 nM. Compound 3 was also the most cytotoxic to cancer cells, with an IC50 in the range of 2.1 to 3.8 µM for ovarian, colon, and pancreatic cancer cells, compared to normal and embryonic kidney cells (IC50 7.1 to 8.7 µM). Mechanistically, compound 3 increased ROS activity due to potent multi-ALDH isoform inhibition, which increased apoptosis. Taken together, this study identified a potent multi-isoform ALDH inhibitor that could be further developed as a cancer therapeutic. Full article
(This article belongs to the Section Medicinal Chemistry)
Show Figures

Graphical abstract

14 pages, 1209 KB  
Article
5-Nitrofuran-Tagged Oxazolyl Pyrazolopiperidines: Synthesis and Activity against ESKAPE Pathogens
by Elizaveta Rogacheva, Lyudmila Kraeva, Alexey Lukin, Lyubov Vinogradova, Kristina Komarova, Mikhail Chudinov, Maxim Gureev and Evgeny Chupakhin
Molecules 2023, 28(18), 6491; https://doi.org/10.3390/molecules28186491 - 7 Sep 2023
Cited by 3 | Viewed by 2041
Abstract
A series of eight 5-nitrofuran-tagged oxazolyl tetrahydropyrazolopyridines (THPPs) has been prepared in six stages with excellent regioselectivity. The testing of these compounds against pathogens of the ESKAPE panel showed a good activity of lead compound 1-(2-methoxyethyl)-5-(5-nitro-2-furoyl)-3-(1,3-oxazol-5-yl)-4,5,6,7-tetrahydro-1H-pyrazolo[4,3-c] pyridine (13g), which [...] Read more.
A series of eight 5-nitrofuran-tagged oxazolyl tetrahydropyrazolopyridines (THPPs) has been prepared in six stages with excellent regioselectivity. The testing of these compounds against pathogens of the ESKAPE panel showed a good activity of lead compound 1-(2-methoxyethyl)-5-(5-nitro-2-furoyl)-3-(1,3-oxazol-5-yl)-4,5,6,7-tetrahydro-1H-pyrazolo[4,3-c] pyridine (13g), which is superior to nitrofurantoin. These results confirmed the benefit of combining a THPP scaffold with a nitrofuran warhead. Certain structure–activity relationships were established in the course of this study which were rationalized by the induced-fit docking experiments in silico. Full article
Show Figures

Graphical abstract

10 pages, 931 KB  
Article
Nitrofuran Derivatives Cross-Resistance Evidence—Uropathogenic Escherichia coli Nitrofurantoin and Furazidin In Vitro Susceptibility Testing
by Filip Bielec, Małgorzata Brauncajs and Dorota Pastuszak-Lewandoska
J. Clin. Med. 2023, 12(16), 5166; https://doi.org/10.3390/jcm12165166 - 8 Aug 2023
Cited by 9 | Viewed by 5471
Abstract
The treatment of urinary tract infections is usually empirical. For example, nitrofuran derivatives, mainly nitrofurantoin (but also furazidin), are used in Eastern Europe. A significant problem is the assessment of the usefulness of furazidin, as there are no standards for susceptibility testing. Additionally, [...] Read more.
The treatment of urinary tract infections is usually empirical. For example, nitrofuran derivatives, mainly nitrofurantoin (but also furazidin), are used in Eastern Europe. A significant problem is the assessment of the usefulness of furazidin, as there are no standards for susceptibility testing. Additionally, a high percentage of strains resistant to nitrofurantoin should prompt caution when choosing furazidin in therapy. This study aimed to answer the question of whether it is possible to use nitrofurantoin susceptibility for furazidin drug susceptibility analyses and if there is any cross-resistance in the nitrofuran derivatives group. One hundred E. coli clinical isolates, obtained from the Central Teaching Hospital of the Medical University of Lodz, were cultured from positive urine samples. For susceptibility testing, microdilution and disk diffusion methods, following EUCAST guidelines, were used. The results showed that the MICs of furazidin were equal to or lower than those of nitrofurantoin in 89% of the tested strains. The MIC50/90 values for furazidin were two times lower than those for nitrofurantoin. Positive correlations were found between MICs and growth inhibition zones for both antibiotics. Based on the obtained data and previous studies, it was assumed that the transfer of susceptibility testing results from nitrofurantoin to furazidin is acceptable due to cross-resistance in nitrofuran derivatives. Full article
(This article belongs to the Section Pharmacology)
Show Figures

Figure 1

7 pages, 769 KB  
Communication
Comparison of Substance Sources in Experimental Antimicrobial Susceptibility Testing
by Filip Bielec, Małgorzata Brauncajs and Dorota Pastuszak-Lewandoska
Sci. Pharm. 2023, 91(1), 10; https://doi.org/10.3390/scipharm91010010 - 9 Feb 2023
Cited by 4 | Viewed by 3852
Abstract
Funding is often a constraint when planning research, especially in countries where basic research is underfunded. Researchers must take into account these limitations, e.g., in relation to the selection of appropriate reagents, the source of which may affect the study’s final results. The [...] Read more.
Funding is often a constraint when planning research, especially in countries where basic research is underfunded. Researchers must take into account these limitations, e.g., in relation to the selection of appropriate reagents, the source of which may affect the study’s final results. The aim of this article was to compare the results of bacteria susceptibility testing using three different sources of antimicrobial: the pure powder available from the supplier and two tablet formulations with different excipients. The chosen substance was furazidin (nitrofuran derivative). The susceptibility was tested on a group of 45 uropathogenic Enterobacterales using both microdilution and disk diffusion methods. The obtained results indicated that despite the relatively higher price, the powder appeared to be the best substance for scientific purposes, especially for quantitative determinations. Full article
Show Figures

Figure 1

8 pages, 1618 KB  
Communication
Interference Free HPLC-SERS for the Trace Analysis of Residual Furazolidones in the Aquaculture Sediment
by Boming Zeng, Yuting Huang and Meikun Fan
Chemosensors 2022, 10(12), 508; https://doi.org/10.3390/chemosensors10120508 - 30 Nov 2022
Cited by 8 | Viewed by 2339
Abstract
Furazolidone (FZD), a typical highly effective nitrofuran antibiotic, has been banned in aquaculture for its carcinogenicity and other adverse health effects, but it is still wildly used for its low cost and significant efficacy. Since FZD will be rapidly metabolized in living organisms, [...] Read more.
Furazolidone (FZD), a typical highly effective nitrofuran antibiotic, has been banned in aquaculture for its carcinogenicity and other adverse health effects, but it is still wildly used for its low cost and significant efficacy. Since FZD will be rapidly metabolized in living organisms, the traditional standard mass spectrometry method can quantitatively analyze trace amount of FZD by detecting its derivative. However, a rapid qualitative analysis method is more consistent with market demand in regular monitoring. In this study, high performance liquid chromatography (HPLC) was used to separate and purify FZD from the sea cucumber culture sediment, and the purified effluent was combined with a substrate of gold nanoparticles (Au NPs) for surface enhanced Raman spectroscopy (SERS) detection. The absolute detection limit of FZD by SERS is 1 ng, and the detection limit of FZD in actual sediment samples is less than 1 μg/kg. The cost and period of FZD analysis by HPLC-SERS are greatly reduced for the omission of derivatization compared with the traditional mass spectrometry method, which can better meet the requirements of practical applications. Full article
(This article belongs to the Special Issue Nanoparticles in Chemical and Biological Sensing)
Show Figures

Figure 1

13 pages, 1149 KB  
Article
Development and Validation of a HPLC–MS/MS Method to Measure Nifuroxazide and Its Application in Healthy and Glioblastoma-Bearing Mice
by Tommaso Ceruti, Quintino Giorgio D’Alessandris, Roberta Frapolli, Jay Gopalakrishnan, Mariachiara Buccarelli, Marina Meroni, Liverana Lauretti, Lucia Ricci-Vitiani, Roberto Pallini and Massimo Zucchetti
Pharmaceutics 2022, 14(10), 2071; https://doi.org/10.3390/pharmaceutics14102071 - 28 Sep 2022
Cited by 3 | Viewed by 2348
Abstract
Nifuroxazide (NAZ), a nitrofuran derivative used to treat diarrhea, has been recently shown to possess anticancer activity. However, its pharmacokinetic profile is poorly known. The pharmacokinetic profile of NAZ was thus investigated in mice using a newly developed method based on high-performance liquid [...] Read more.
Nifuroxazide (NAZ), a nitrofuran derivative used to treat diarrhea, has been recently shown to possess anticancer activity. However, its pharmacokinetic profile is poorly known. The pharmacokinetic profile of NAZ was thus investigated in mice using a newly developed method based on high-performance liquid chromatography–tandem mass spectrometry (HPLC–MS/MS). We determined the concentrations of NAZ in the plasma and brain tissue of mice treated with the drug. The method proved to be specific, reproducible, precise, and accurate. It also demonstrated high sensitivity, reaching an LOQ in the order of ppb for both matrices, using samples of 100 µL or 0.2 g. The new HPLC–MS/MS assay was successfully applied to study the pharmacokinetics of NAZ after chronic intraperitoneal administration in mice at a dose of 30 mg/kg. One hour after treatment, plasma concentrations of NAZ were in the range of 336–2640 ng/mL. Moreover, unlike the brains of healthy mice or those with healed mechanical injuries, we found that NAZ was able to cross the injured blood–brain barrier of tumor-infiltrated brains. Thus, following i.p. administration, NAZ reaches systemic levels suitable for testing its efficacy in preclinical models of glioblastoma. Overall, these pharmacokinetic data provide robust evidence supporting the repositioning of NAZ as an antitumor drug. Full article
Show Figures

Figure 1

23 pages, 6685 KB  
Article
Synthesis, In Vitro Antiproliferative Activity, and In Silico Evaluation of Novel Oxiranyl-Quinoxaline Derivatives
by Vincent Montero, Marc Montana, Omar Khoumeri, Florian Correard, Marie-Anne Estève and Patrice Vanelle
Pharmaceuticals 2022, 15(7), 781; https://doi.org/10.3390/ph15070781 - 23 Jun 2022
Cited by 9 | Viewed by 3451
Abstract
The quinoxaline core is a promising scaffold in medicinal chemistry. Multiple quinoxaline derivatives, such as the topoisomerase IIβ inhibitor XK-469 and the tissue transglutaminase 2 inhibitor GK-13, have been evaluated for their antiproliferative activity. Previous work reported that quinoxaline derivatives bearing an oxirane [...] Read more.
The quinoxaline core is a promising scaffold in medicinal chemistry. Multiple quinoxaline derivatives, such as the topoisomerase IIβ inhibitor XK-469 and the tissue transglutaminase 2 inhibitor GK-13, have been evaluated for their antiproliferative activity. Previous work reported that quinoxaline derivatives bearing an oxirane ring present antiproliferative properties against neuroblastoma cell lines SK-N-SH and IMR-32. Likewise, quinoxalines with an arylethynyl group displayed promising antineoplastic properties against glioblastoma and lung cancer cell lines, U87-MG and A549 respectively. Here, 40 new quinoxaline derivatives bearing an oxirane ring were synthesized using a tetrakis(dimethylamino)ethylene (TDAE) strategy and a Sonogashira cross-coupling reaction. Each reaction with TDAE furnished a pair of diastereoisomers cis and trans. These new compounds formed two series according to the substitution of position 2 on the quinoxaline core, with chlorine or phenylacetylene respectively. Each of these isomers was evaluated for antiproliferative activity against neuroblastoma cell lines SK-N-SH and IMR-32 by MTT assay. All cell viability assay results were analyzed using R programming, as well as a statistical comparison between groups of compounds. Our evaluation showed no difference in drug sensitivity between the two neuroblastoma cell lines. Moreover, trans derivatives were observed to display better activities than cis derivatives, leading us to conclude that stereochemistry plays an important role in the antiproliferative activity of these compounds. Further support for this hypothesis is provided by the lack of improvement in antineoplastic activity following the addition of the phenylacetylene moiety, probably due to steric hindrance. As a result, compounds with nitrofuran substituents from the TDAE series demonstrated the highest antiproliferative activity with IC50 = 2.49 ± 1.33 μM and IC50 = 3.96 ± 2.03 μM for compound 11a and IC50 = 5.3 ± 2.12 μM and IC50 = 7.12 ± 1.59 μM for compound 11b against SK-N-SH and IMR-32, respectively. Furthermore, an in silico study was carried out to evaluate the mechanism of action of our lead compounds and predict their pharmacokinetic properties. Full article
(This article belongs to the Topic Compounds with Medicinal Value)
Show Figures

Graphical abstract

23 pages, 4964 KB  
Article
Evaluation of the Anti-Histoplasma capsulatum Activity of Indole and Nitrofuran Derivatives and Their Pharmacological Safety in Three-Dimensional Cell Cultures
by Carolina Orlando Vaso, Níura Madalena Bila, Fabiana Pandolfi, Daniela De Vita, Martina Bortolami, Jean Lucas Carvalho Bonatti, Rosângela Aparecida De Moraes Silva, Larissa Naiara Carvalho Gonçalves, Valeria Tudino, Roberta Costi, Roberto Di Santo, Maria José Soares Mendes-Giannini, Caroline Barcelos Costa-Orlandi, Luigi Scipione and Ana Marisa Fusco-Almeida
Pharmaceutics 2022, 14(5), 1043; https://doi.org/10.3390/pharmaceutics14051043 - 12 May 2022
Cited by 12 | Viewed by 3571
Abstract
Histoplasma capsulatum is a fungus that causes histoplasmosis. The increased evolution of microbial resistance and the adverse effects of current antifungals help new drugs to emerge. In this work, fifty-four nitrofurans and indoles were tested against the H. capsulatum EH-315 strain. Compounds with [...] Read more.
Histoplasma capsulatum is a fungus that causes histoplasmosis. The increased evolution of microbial resistance and the adverse effects of current antifungals help new drugs to emerge. In this work, fifty-four nitrofurans and indoles were tested against the H. capsulatum EH-315 strain. Compounds with a minimum inhibitory concentration (MIC90) equal to or lower than 7.81 µg/mL were selected to evaluate their MIC90 on ATCC G217-B strain and their minimum fungicide concentration (MFC) on both strains. The quantification of membrane ergosterol, cell wall integrity, the production of reactive oxygen species, and the induction of death by necrosis–apoptosis was performed to investigate the mechanism of action of compounds 7, 11, and 32. These compounds could reduce the extracted sterol and induce necrotic cell death, similarly to itraconazole. Moreover, 7 and 11 damaged the cell wall, causing flaws in the contour (11), or changing the size and shape of the fungal cell wall (7). Furthermore, 7 and 32 induced reactive oxygen species (ROS) formation higher than 11 and control. Finally, the cytotoxicity was measured in two models of cell culture, i.e., monolayers (cells are flat) and a three-dimensional (3D) model, where they present a spheroidal conformation. Cytotoxicity assays in the 3D model showed a lower toxicity in the compounds than those performed on cell monolayers. Overall, these results suggest that derivatives of nitrofurans and indoles are promising compounds for the treatment of histoplasmosis. Full article
(This article belongs to the Special Issue Recent Advances in Antifungal Drugs)
Show Figures

Figure 1

19 pages, 5032 KB  
Article
Differences in the Structure and Antimicrobial Activity of Hydrazones Derived from Methyl 4-Phenylpicolinimidate
by Katarzyna Gobis, Małgorzata Szczesio, Andrzej Olczak, Izabela Korona-Głowniak, Ewa Augustynowicz-Kopeć, Ida Mazernt-Politowicz, Dagmara Ziembicka and Marek L. Główka
Materials 2022, 15(9), 3085; https://doi.org/10.3390/ma15093085 - 24 Apr 2022
Cited by 6 | Viewed by 2356
Abstract
Four novel methyl 4-phenylpicolinoimidate derivatives of hydrazone have been synthesized and evaluated for their antimicrobial activity, including tuberculostatic activity. The compounds obtained are condensates of hydrazonamide or hydrazide with 5-nitro-2-furaldehyde or 5-nitro-2-thiophenecarboxaldehyde. The antimicrobial activity of the tested compounds varied. Compound 3b exhibited [...] Read more.
Four novel methyl 4-phenylpicolinoimidate derivatives of hydrazone have been synthesized and evaluated for their antimicrobial activity, including tuberculostatic activity. The compounds obtained are condensates of hydrazonamide or hydrazide with 5-nitro-2-furaldehyde or 5-nitro-2-thiophenecarboxaldehyde. The antimicrobial activity of the tested compounds varied. Compound 3b exhibited significant activity against the tested Gram-positive bacteria (7.8–250 µg/mL). The results of structural tests revealed that the compound is the only one obtained in the form of a Z isomer. Tuberculostatic activity tests showed higher activity of derivatives 3a and 4a containing nitrofuran systems (MICs 3.1–12.5 µg/mL). This research allowed us to identify hydrazone 3b as a starting point for further optimization in the search for antimicrobial drugs. Likewise, compound 4a appears to be a good guiding structure for use in future research on new anti-tuberculosis drugs. Full article
Show Figures

Figure 1

Back to TopTop