Sign in to use this feature.

Years

Between: -

Subjects

remove_circle_outline
remove_circle_outline
remove_circle_outline
remove_circle_outline
remove_circle_outline
remove_circle_outline
remove_circle_outline

Journals

Article Types

Countries / Regions

Search Results (62)

Search Parameters:
Keywords = metacarpal bones

Order results
Result details
Results per page
Select all
Export citation of selected articles as:
11 pages, 5069 KB  
Article
Three-Dimensional Reconstruction of the Equine Palmar Metacarpal Region Using E12 Plastinated Sections
by Gulsum Eren, Octavio López-Albors, Mirian López Corbalán and Rafael Latorre
Animals 2026, 16(3), 449; https://doi.org/10.3390/ani16030449 - 1 Feb 2026
Viewed by 156
Abstract
Digital technologies have improved the visualization of anatomical structures for veterinary education and clinical practice. In this study, a detailed three-dimensional anatomical model of the equine palmar metacarpal region was generated using E12-based epoxy sheet plastination combined with digital reconstruction in Amira® [...] Read more.
Digital technologies have improved the visualization of anatomical structures for veterinary education and clinical practice. In this study, a detailed three-dimensional anatomical model of the equine palmar metacarpal region was generated using E12-based epoxy sheet plastination combined with digital reconstruction in Amira® V5.6 software. Serial cross-sections of the metacarpal region provided high-resolution visualization of bones, tendons, ligaments, nerves, vessels, fasciae, and synovial structures, with minimal shrinkage or deformation, ensuring improved anatomical accuracy. These sections were digitized, aligned, and manually segmented to accurately delineate anatomical boundaries, particularly in areas of low contrast. The resulting three-dimensional model represents the topographical relationships of key structures, including palmar nerves and vessels, the palmar fascia with the metacarpal flexor retinaculum (MFR), and the common synovial sheath (Vag. synovialis communis mm. flexorum, CSS). The model allows rotation and selective visualization of individual structures, facilitating examination from multiple perspectives. This combined plastination–digital approach provides an accurate anatomical reference with value for veterinary anatomy education, clinical training, surgical planning, and research on equine musculoskeletal disorders. Full article
Show Figures

Figure 1

21 pages, 3422 KB  
Article
Synergistic Effects of 25-Hydroxyvitamin D3, Phytase, and Probiotics on Growth, Calcium and Phosphorus Metabolism, and Bone Development in Weaned Piglets Fed Low Ca-P Diets
by Baoshi Shi, Saiming Gong, Zhenyang Wang, Jingjing Wang, Cunji Shui, Zhiru Tang, Xie Peng, Yetong Xu and Zhihong Sun
Animals 2026, 16(2), 278; https://doi.org/10.3390/ani16020278 - 16 Jan 2026
Viewed by 158
Abstract
Seventy 28-day-old weaned barrow piglets (Duroc × Landrace × Large White; 7.2 ± 0.20 kg) were used to determine the effects of 25-hydroxyvitamin D3 (25-OH-VD3) combined with phytase and probiotics on calcium and phosphorus metabolism and bone development. Five dietary [...] Read more.
Seventy 28-day-old weaned barrow piglets (Duroc × Landrace × Large White; 7.2 ± 0.20 kg) were used to determine the effects of 25-hydroxyvitamin D3 (25-OH-VD3) combined with phytase and probiotics on calcium and phosphorus metabolism and bone development. Five dietary groups were tested: basal diet + 50 µg/kg 25-OH-VD3 (CON); basal diet with 17% reduced calcium and phosphorus + 50 µg/kg 25-OH-VD3 (LCP); LCP + 50 mg/kg phytase (LH); LCP + 10 mg/kg probiotics (LC); LCP + 50 mg/kg phytase + 10 mg/kg probiotics (LHC). The experiment lasted for 31 days, including 3 days adaptation period. Apparent phosphorus digestibility was higher in the LH and LHC groups than in the CON group (p < 0.05). Bone mineral density and calcium content in metacarpal and rib bones were also higher in the LHC group compared with the CON, LCP, LC, and LH groups (p < 0.05). The jejunal mRNA expression of solute carrier family 34 members (SLC34A1, SLC34A2, and SLC34A3) members was higher in the LHC group than the CON, LCP, LC, and LH groups (p < 0.05), while the relative protein expression of the calcium-sensing receptor in the kidneys was lower in the CON group than in the LCP, LH, LC, and LHC groups (p < 0.05). Additionally, supplementation with 25-OH-VD3, either alone or in combination with phytase and probiotics, was associated with an increased abundance of beneficial gut bacteria. Overall, combined supplementation of 25-OH-VD3, phytase and probiotics enhanced bone development in weaned piglets fed a low-calcium, low-phosphorus diet by improving calcium and phosphorus utilization and calcium–phosphorus metabolic regulation. Full article
Show Figures

Figure 1

12 pages, 978 KB  
Article
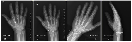
Second Metacarpal Index as a Predictor of Secondary Displacement in Conservatively Treated Distal Radius Fractures
by Alexandru Jecan, Gheorghe Tomoaia, Răzvan Marian Melinte, Diana Jecan-Toader, Roxana Cristina Rad Bodan and Daniel Oltean-Dan
Medicina 2026, 62(1), 105; https://doi.org/10.3390/medicina62010105 - 2 Jan 2026
Viewed by 345
Abstract
Background and Objectives: Distal radius fractures (DRFs) represent the most common fracture in the elderly population and are typically the first fractures to occur in the sequence of fragility fractures. Although fracture instability is an important criteria for guiding treatment, there is no [...] Read more.
Background and Objectives: Distal radius fractures (DRFs) represent the most common fracture in the elderly population and are typically the first fractures to occur in the sequence of fragility fractures. Although fracture instability is an important criteria for guiding treatment, there is no universal consensus on how to define an unstable DRF. Given the demonstrated influence of bone quality on fracture stability, it has been hypothesized that second metacarpal index (2MCI) may also serve as a predictor of instability in DRFs. This study aimed to evaluate the predictive value of 2MCI for fracture instability and to determine its threshold value beyond which surgical management should be considered. Materials and Methods: A retrospective study was conducted between January 2023 and May 2025 investigating conservatively treated DRFs. Radiographic parameters including 2MCI, volar inclination, radial inclination, and ulnar variance were obtained at three time points: pre-reduction, post-reduction, and at 6 weeks of follow-up time. Univariate and multivariate linear regression analysis and receiver operating characteristic (ROC) analysis were conducted to determine the optimal 2MCI threshold for predicting clinically significant displacement. Results: A strong correlation was found between 2MCI and the changes (∆) in volar inclination (p < 0.001), radial inclination (p < 0.001), and ulnar variance (p < 0.001) in univariate regression analysis. In multivariate regression analysis, 2MCI was an independent predictor of ∆ volar inclination (p < 0.001) and ∆ radial inclination (p = 0.004). For ∆ ulnar variance, both 2MCI (p = 0.003) and initial displacement (p = 0.049) were statistically significant predictors. A 2MCI cut-off value of 0.412 predicted a ∆ volar inclination greater than 10° (sensitivity 80.9% and specificity 74.1%, p < 0.001). Conclusions: The results of this study reveal the potential of the 2MCI as a quantitative marker of both fracture instability and bone fragility. Further prospective validation may demonstrate its role as a standard radiographic parameter in DRFs, as well as in guiding treatment selection. Full article
(This article belongs to the Section Orthopedics)
Show Figures

Figure 1

15 pages, 2323 KB  
Case Report
Clinical Diagnosis, Treatment, and Outcome Analysis of a Horse with Proximal Sesamoid Bone Fracture Complicated by Flexor Tendinitis
by Zhiyuan Zhang, Yang Yang, Yuhui Ma, Zhanhai Mai, Han Fu, Xutian Wang, Xiongjian Cao, Tianqing Li, Jianlong Li and Qingyong Guo
Vet. Sci. 2026, 13(1), 40; https://doi.org/10.3390/vetsci13010040 - 2 Jan 2026
Viewed by 346
Abstract
With the growing popularity of equestrian sports, the incidence of athletic injuries in horses has also risen. Among these injuries, proximal sesamoid bone fracture (PSBF) and flexor tendinitis are particularly common in the forelimbs of sport horses and represent major causes of musculoskeletal [...] Read more.
With the growing popularity of equestrian sports, the incidence of athletic injuries in horses has also risen. Among these injuries, proximal sesamoid bone fracture (PSBF) and flexor tendinitis are particularly common in the forelimbs of sport horses and represent major causes of musculoskeletal impairment. A 5-year-old horse presented with obvious symptoms such as swelling at the left fetlock joint and metacarpal region after exercise. Through lameness assessment, diagnostic imaging, and hematological testing, the horse was diagnosed with PSBF complicated by flexor tendinitis. The affected horse was treated with non-steroidal anti-inflammatory drugs combined with low-intensity pulsed ultrasound (LIPUS) therapy. After treatment, local microcirculation at the fracture and flexor tendon sites was improved, tissue healing was accelerated, and clinical indicators were stabilized. This case report demonstrates the potential of LIPUS-assisted therapy in promoting the recovery of horses with PSBF and concurrent flexor tendinitis, providing a valuable clinical reference for the management of complex musculoskeletal injuries in veterinary practice. Full article
Show Figures

Figure 1

14 pages, 4248 KB  
Article
Effect of Additional Aluminum Filtration on the Image Quality in Cone Beam Computed Tomographic Studies of Equine Distal Limbs Using Visual Grading Characteristics Analysis: A Pilot Study
by Luca Papini, Mathieu de Preux, Frederik Pauwels, Joris Missotten and Elke Van der Vekens
Vet. Sci. 2025, 12(11), 1051; https://doi.org/10.3390/vetsci12111051 - 2 Nov 2025
Viewed by 587
Abstract
(1) Background: Cone beam computed tomography (CBCT) is increasingly used in equine practice to diagnose musculoskeletal injuries, including fractures in the distal limb. However, limited detail in the thick cortical bone of the metacarpus/metatarsus hinders accurate diagnosis. In human medicine, the addition of [...] Read more.
(1) Background: Cone beam computed tomography (CBCT) is increasingly used in equine practice to diagnose musculoskeletal injuries, including fractures in the distal limb. However, limited detail in the thick cortical bone of the metacarpus/metatarsus hinders accurate diagnosis. In human medicine, the addition of aluminum filters (AF) enhanced image quality while reducing radiation exposure. This study aimed to evaluate the effect of AF on image quality in CBCT scans of equine distal limbs. (2) Methods: Adult equine cadaver limbs were scanned with a mobile CBCT unit using varying tube currents (10–100 mA) and AF (13–25 mm). Two independent experts assessed the image quality using a four-point visual grading scale, focusing on cortical bone detail and artifacts. (3) Results: Higher tube currents generally improved image quality, but no filter was beneficial for the metacarpal/metatarsal regions. For the proximal phalanx, thicker AF (19–25 mm) improved image quality without significantly increasing the required tube current. (4) Conclusions: The optimal balance between image quality and radiation exposure using the O-arm® CBCT system for equine distal limbs was a tube current of 50 or 64 mA without filtration for the metacarpus/metatarsus, while a tube current of 50 mA with a 19–25 mm AF provided the best image quality for the proximal phalanx. Full article
Show Figures

Figure 1

16 pages, 4839 KB  
Article
Bone Density Assessment Through Sodium Poly-Tungstate Gradient Centrifugation: A Preliminary Study on Decades-Old Human Samples
by Barbara Di Stefano, Chiaramaria Stani, Giorgio Marrubini, Barbara Bertoglio, Solange Sorçaburu Ciglieri, Serena Bonin, Carlo Previderè, Giovanni Birarda and Paolo Fattorini
Separations 2025, 12(10), 263; https://doi.org/10.3390/separations12100263 - 27 Sep 2025
Viewed by 779
Abstract
Bone density is considered one of the many factors influencing bone structure and DNA preservation. For this reason, it is of interest in fields such as anthropology, palaeontology, and genetics. This study describes a method for bone density assessment by gradient centrifugation in [...] Read more.
Bone density is considered one of the many factors influencing bone structure and DNA preservation. For this reason, it is of interest in fields such as anthropology, palaeontology, and genetics. This study describes a method for bone density assessment by gradient centrifugation in Sodium Poly-Tungstate (SPT) solutions (from 2.1 to 2.6 g/cm3). Fifty milligrams of bone powder (size range of 20–50 µm) were used, with an average recovery of 89.9 (IC = 3.3% at 95% of probability). In the first phase of the experiment, the protocol was applied to ten femurs: three exhumed from the WWII mass grave of Ossero, three aged (43–50 years old) femurs from a museum collection and four fresh controls. In the subsequent phase, the analysis was extended to three petrous bones, three metacarpals, and three metatarsals exhumed from the WWII mass grave. The SPT density gradient profiles revealed marked differences among the three femur sample sets: more than 80% of the powder from control femurs was recovered in fractions with a density ≤ 2.2 g/cm3, whereas approximately 45% of the femurs from the mass grave showed a density > 2.6 g/cm3. The remaining three aged femurs displayed peculiar density patterns. Among the other bone types, metatarsals showed the lowest density values, followed by petrous bones and metacarpals. To detect degradation signatures, all nineteen bone powders were also analysed by ATR-FTIR. The femurs from the mass grave exhibited spectral features consistent with mineral recrystallisation and degradation of the organic phase, whereas the other three aged femurs showed peculiar spectral profiles; metacarpals, petrous bones and metatarsals showed intermediate spectra. PCA was applied to SPT and ATR-FTIR data, revealing correlations that support the SPT method as a novel tool for bone quality assessment. Although based on a limited sample size, this preliminary work demonstrates that SPT gradient analysis is an effective, low-cost, rapid and reliable method for assessing bone density, with potential applications in different disciplines studying aged bone samples. Lastly, principal component analysis (PCA) revealed a correlation between bone density and the yield of DNA recovered from the ten femoral specimens. Full article
(This article belongs to the Section Bioanalysis/Clinical Analysis)
Show Figures

Figure 1

17 pages, 2176 KB  
Article
Regenerative Surgery of the Nonunion of Metacarpals and Phalanges: Amniotic Membrane and Bone Micro-Grafts as a Novel Treatment Approach
by Francesco De Francesco, Andrea Marchesini and Michele Riccio
J. Clin. Med. 2025, 14(12), 4024; https://doi.org/10.3390/jcm14124024 - 6 Jun 2025
Cited by 1 | Viewed by 1312
Abstract
Background/Objectives: Atrophic nonunion presents a significant challenge in hand surgery, often resulting in chronic pain and functional disability. Traditional surgical treatments such as bone grafting and internal fixation may be insufficient. This study evaluates the feasibility, safety, and preliminary effectiveness of a [...] Read more.
Background/Objectives: Atrophic nonunion presents a significant challenge in hand surgery, often resulting in chronic pain and functional disability. Traditional surgical treatments such as bone grafting and internal fixation may be insufficient. This study evaluates the feasibility, safety, and preliminary effectiveness of a regenerative-first surgical protocol that combines autologous bone micro-grafts with a fresh human amniotic membrane to create a biologically active regenerative chamber. Methods: A total of 8 patients (6 males, 2 females; age range: 22–56 years) with an atrophic nonunion of metacarpals and phalanges were treated using a regenerative-first surgical approach. Autologous bone was harvested from the iliac crest and mechanically disaggregated via Rigenera® technology to obtain micro-grafts enriched with osteoprogenitor cells and extracellular matrix fragments. These were applied to the bone defect and wrapped in a fresh amniotic membrane, creating a biologically active chamber. Fixation was achieved using low-profile plates or screws, and all patients underwent early protected mobilization. Results: Radiographic consolidation was achieved in all patients within 2 months postoperatively. Functional outcomes at final follow-up demonstrated excellent or good results in Total Active Motion (TAM), with grip and pinch strength within normative ranges and minimal residual pain. Conclusions: This preliminary series suggests that combining autologous bone micro-grafts with an amniotic membrane in a regenerative surgical protocol is a promising strategy for managing atrophic nonunion in the hand. The approach was associated with rapid consolidation and excellent functional recovery. Further research with larger, controlled cohorts is warranted to validate efficacy and define standardized indications and techniques. Full article
(This article belongs to the Special Issue Innovation in Hand Surgery)
Show Figures

Figure 1

20 pages, 1980 KB  
Article
Evaluation of the First Metacarpal Bone Head and Distal Radius Bone Architecture Using Fractal Analysis of Adolescent Hand–Wrist Radiographs
by Kader Azlağ Pekince and Adem Pekince
J. Imaging 2025, 11(3), 82; https://doi.org/10.3390/jimaging11030082 - 13 Mar 2025
Viewed by 2134
Abstract
The purpose of this study was to investigate changes in bone trabecular structure during adolescence using the fractal analysis (FA) method on hand–wrist radiographs (HWRs) and to evaluate the relationship of these changes with pubertal growth stages. HWRs of healthy individuals aged 8–18 [...] Read more.
The purpose of this study was to investigate changes in bone trabecular structure during adolescence using the fractal analysis (FA) method on hand–wrist radiographs (HWRs) and to evaluate the relationship of these changes with pubertal growth stages. HWRs of healthy individuals aged 8–18 years were included (N = 600). Pubertal stages were determined by the Fishman method and divided into 10 groups (early puberty [EP], pre-peak [PRPK], peak [PK], post-peak [PTPK], late puberty [LP]). FA was performed using FIJI (ImageJ) software and the BoneJ plugin on circular regions of interest (ROIs) selected from the first metacarpal bone head and distal radius. Image processing steps were applied according to the White and Rudolph method. Differences between groups were statistically evaluated. Fractal dimension (FD) values of the distal radius (RAFAM) and metacarpal bone head (MAFAM) showed significant differences according to pubertal growth stages (p < 0.05). The highest FD value was observed in the LP group, and the lowest FD value was observed in the EP group (except MAFAM in females). FD generally increased from EP to LP in the whole population, but a significant decrease was observed in all groups during the PK period. This decrease was more pronounced in RAFAM of males. These findings suggest a potential decrease of bone mechanical properties in the PK, which is found the be more suitable for orthodontic treatment in the literature. FA on HWRs is a useful and sensitive tool for quantitatively assessing pubertal changes in trabecular bone microarchitecture. The findings demonstrate a significant decrease in FD in both bone regions during the pubertal growth spurt, particularly at the peak period. This may indicate a temporary reduction in bone mechanical strength during this critical stage and could contribute to increased distal radius fracture incidence. Clinically, the relationship between FD and pubertal stages suggests this method could serve as a valuable biomarker in orthodontic treatment planning, allowing for optimized timing of interventions. Furthermore, it may aid in pediatric fracture risk assessment, potentially leading to preventative strategies for high-risk individuals. Full article
(This article belongs to the Special Issue Advances and Challenges in Bone Imaging)
Show Figures

Figure 1

19 pages, 3825 KB  
Article
Molecular Identification of the Italian Soldiers Found in the Second World War Mass Grave of Ossero
by Barbara Di Stefano, Barbara Bertoglio, Filomena Melchionda, Monica Concato, Solange Sorçaburu Ciglieri, Alessandro Bosetti, Pierangela Grignani, Eros Azzalini, Yasmine Addoum, Raffaella Vetrini, Fabiano Gentile, Francesco Introna, Serena Bonin, Chiara Turchi, Carlo Previderè and Paolo Fattorini
Genes 2025, 16(3), 326; https://doi.org/10.3390/genes16030326 - 11 Mar 2025
Cited by 3 | Viewed by 1734
Abstract
Background/objectives: DNA analysis is the most reliable method for the identification of human skeletal remains, especially the ones found in mass disasters or recovered from mass graves. To this aim, DNA was extracted from bones and teeth allegedly belonging to 27 Italian soldiers [...] Read more.
Background/objectives: DNA analysis is the most reliable method for the identification of human skeletal remains, especially the ones found in mass disasters or recovered from mass graves. To this aim, DNA was extracted from bones and teeth allegedly belonging to 27 Italian soldiers executed during the Second World War and exhumed from a mass grave in Ossero (Croatia). Methods: A selection of 131 different bone samples (petrous bones, femurs, metacarpal, and metatarsal bones) and 16 molar teeth were used for DNA extraction. Autosomal and Y-chromosome STR profiles were determined using a conventional CE approach, while a panel of 76 microhaplotypes was investigated through MPS. Results: Overall, 24 different autosomal consensus male profiles and six (unexpected) female profiles were identified; the male profiles were then compared with 21 alleged living relatives of the missing soldiers belonging to 14 unrelated Italian families. The DVI module of the Familias software was used for computing the LRs and the posterior probabilities (PP). The combination of autosomal STRs and microhaplotypes led to the identification of six victims and to a very likely identification of another one, supported by Y-haplotype sharing between victim and relative. Three distant victim–relative relationships resulting in low LR values for the autosomal markers showed Y-STR haplotype-sharing patterns, thus suggesting very strong support for a paternal relationship. Conclusions: The results of this study confirmed the effectiveness of the genetic approach and highlighted the presence of more individuals than expected in the mass grave, among which six were female subjects. Full article
(This article belongs to the Section Molecular Genetics and Genomics)
Show Figures

Figure 1

10 pages, 1532 KB  
Article
Radiographic and Clinical Assessment of Unidirectional Porous Beta-Tricalcium Phosphate to Treat Benign Bone Tumors
by Toshiyuki Kunisada, Eiji Nakata, Tomohiro Fujiwara, Haruyoshi Katayama, Takuto Itano, Takanao Kurozumi, Teruhiko Ando and Toshifumi Ozaki
Biomimetics 2025, 10(2), 101; https://doi.org/10.3390/biomimetics10020101 - 10 Feb 2025
Viewed by 1227
Abstract
The purpose of this study was to evaluate radiographic changes, clinical outcomes, and complications following unidirectional porous beta-tricalcium phosphate (UDPTCP) implantation for the treatment of benign bone tumors. We retrospectively analyzed 46 patients who underwent intralesional resection. The patients were divided into two [...] Read more.
The purpose of this study was to evaluate radiographic changes, clinical outcomes, and complications following unidirectional porous beta-tricalcium phosphate (UDPTCP) implantation for the treatment of benign bone tumors. We retrospectively analyzed 46 patients who underwent intralesional resection. The patients were divided into two cohorts: Cohort 1 (n = 32), which included all bones except the phalanges and metacarpal/tarsal bones, and Cohort 2 (n = 14), which included the phalanges and metacarpal/tarsal bones. Radiographic changes were assessed at each reading based on resorption of the implanted UDPTCP and bone trabeculation through the defect. UDPTCP resorption and bone trabeculation were observed on radiographs within 3 months of surgery in all patients. Bone remodeling in the cavity progressed steadily for up to 3 years postoperatively. In Cohort 1, resorption and trabeculation progressed significantly in young patients, and trabeculation developed significantly in small lesions. The rates of resorption and trabeculation at 3 months postoperatively correlated statistically with their increased rates at one year. There was no statistical difference in resorption and trabeculation rates between Cohort 1 and Cohort 2. There were no cases of postoperative deep infections or allergic reactions related to the implant. UDPTCP is a useful bone-filling substitute for the treatment of benign bone tumors and has a low complication rate. Full article
Show Figures

Figure 1

13 pages, 2051 KB  
Article
Aspect-Related Mechanical Properties of the Cortical Bone in the Third Metacarpal Bone of Mares
by Bernard Turek, Grzegorz Mikułowski, Tomasz Szara, Michał Dołasiński, Tomasz Jasiński and Małgorzata Domino
Appl. Sci. 2025, 15(3), 1593; https://doi.org/10.3390/app15031593 - 5 Feb 2025
Cited by 1 | Viewed by 1946
Abstract
Complete fractures of the third metacarpal bone (MC III) diaphysis pose a significant clinical challenge, prompting advanced veterinary medicine to utilize constitutive and biomechanical modeling to better understand bone behavior. This study aims to compare the elastic modulus of the MC III cortical [...] Read more.
Complete fractures of the third metacarpal bone (MC III) diaphysis pose a significant clinical challenge, prompting advanced veterinary medicine to utilize constitutive and biomechanical modeling to better understand bone behavior. This study aims to compare the elastic modulus of the MC III cortical bone, supported by measurements of cortical bone thickness and relative density, across the dorsal, lateral, medial, and palmar aspects of the MC III, as well as to evaluate the cortical bone’s response to compressive forces applied in different directions. Given the bone structure can exhibit sex-related differences, MC III bones were isolated from six equine cadaver limbs collected exclusively from mares and imaged using computed tomography (CT) to measure thickness and density. Cortical bone samples were collected from the four aspects of the MC III and subjected to mechanical testing followed by the elastic modulus calculation. Bone thickness and elastic modulus varied across the MC III aspects. Thinner cortical bone on the palmar aspect coincided with a lower sample reaction force-based elastic modulus in the externo-internal direction and a lower axial compression force elastic modulus in the proximo-distal direction. Regardless of the MC III aspect, the cortical bone demonstrated greater resistance to compressive forces when loaded in the vertical plane than in the horizontal plane. The returning of different values in mechanical tests depending on the direction of loading may be attributed to the anisotropic behavior of the cortical bone, which may implicate the increased risk of complete fractures of the MC III diaphysis due to a kick from another horse or a fall, rather than from training or competition-related overload. Full article
(This article belongs to the Section Applied Biosciences and Bioengineering)
Show Figures

Figure 1

16 pages, 525 KB  
Article
Effects of Exercise Speed and Circle Diameter on Markers of Bone and Joint Health in Juvenile Sheep as an Equine Model
by Renee M. Harbowy, Brian D. Nielsen, Aimee C. Colbath, Cara I. Robison, Daniel D. Buskirk and Alyssa A. Logan
Animals 2025, 15(3), 414; https://doi.org/10.3390/ani15030414 - 2 Feb 2025
Viewed by 3022
Abstract
Though circular exercise is commonly used in equestrian disciplines, it may be at the detriment of horses’ musculoskeletal system. To investigate the effects of circular exercise on bone and joint health, 42 lambs were randomly assigned to a non-exercised control, straight-line, small circle, [...] Read more.
Though circular exercise is commonly used in equestrian disciplines, it may be at the detriment of horses’ musculoskeletal system. To investigate the effects of circular exercise on bone and joint health, 42 lambs were randomly assigned to a non-exercised control, straight-line, small circle, or large circle exercise regime at a slow (1.3 m/s) or fast (2.0 m/s) speed for 12 wk. Blood samples were taken biweekly. Animals were humanely euthanized upon study completion, and the fused third and fourth metacarpals were collected for biomechanical testing and bone density analysis. Fast groups were found to have more bone formation and less resorption activity than slow groups as evidenced by serum biomarker concentrations (p < 0.05). Sheep in the large fast group tended to have greater flexural rigidity and fracture force for the outside leg compared to the inside leg (p < 0.1). Sheep in the small slow group tended to have increased bone mineral density of the outside leg compared to the inside leg, whereas the opposite occurred in the large slow group (p < 0.1). These results provide further evidence for potential asymmetric musculoskeletal adaptations to circular exercise while emphasizing the importance of speed as a positive influence on bone metabolism and strength. Full article
(This article belongs to the Section Animal Physiology)
Show Figures

Figure 1

12 pages, 2604 KB  
Article
Three-Dimensional Planning for Vascularized Bone Grafts: Implementation and Surgical Application for Complex Bone Reconstruction in the Hand and Forearm
by Maximilian Zaussinger, Karl Schwaiger, Jürgen Schwarzbauer, Kathrin Bachleitner, Matthias Holzbauer, Gudrun Ehebruster and Manfred Schmidt
J. Clin. Med. 2025, 14(2), 440; https://doi.org/10.3390/jcm14020440 - 11 Jan 2025
Cited by 2 | Viewed by 1479
Abstract
Background/Objectives: Vascularized bone grafts have been successfully established for complex bone defects. The integration of three-dimensional (3D) simulation and printing technology may aid in more precise surgical planning and intraoperative bone shaping. The purpose of the present study was to describe the implementation [...] Read more.
Background/Objectives: Vascularized bone grafts have been successfully established for complex bone defects. The integration of three-dimensional (3D) simulation and printing technology may aid in more precise surgical planning and intraoperative bone shaping. The purpose of the present study was to describe the implementation and surgical application of this innovative technology for bone reconstruction. Methods: This prospective pilot study was conducted between June 2019 and June 2024. For this evaluation, patients who received vascularized bone reconstruction assisted with 3D technology were included. For reconstruction, the free medial femoral condyle (MFC) flap was used as the vascularized bone graft. Patient-specific 3D-printed templates, based on individual 3D simulations according to defect characteristics, were used for surgical planning, including flap elevation, shaping and inset. Results: A total of six patients (five male) with an average age of 39 years (range 19–62 years) and a mean follow-up time of 15 months (range 5–24 months) were analysed. The indications were as follows: avascular necrosis of the carpal bones, a metacarpal defect after tumor resection and pseudoarthrosis after a fractured ulna. Three patients received an osteochondral and three patients received a cortico-cancellous MFC flap. Conclusions: Our evaluation of clinical application revealed enhanced preoperative planning as well as intraoperative performance. Although the implementation for this technology is challenging, the new insights gained in planning and surgical guidance have led us to incorporate this technology into our standard routine. Full article
Show Figures

Figure 1

14 pages, 1103 KB  
Article
Asymmetrical Damage of the Wrist Joint Induces Lateralized Cortical Bone Loss in the Metacarpal Diaphysis in Patients with Rheumatoid Arthritis
by Akikatsu Nakashima, Hiroshi Fujii, Masahiro Kuroda, Takeshi Zoshima, Ichiro Mizushima, Hideki Nomura and Mitsuhiro Kawano
J. Clin. Med. 2024, 13(24), 7652; https://doi.org/10.3390/jcm13247652 - 16 Dec 2024
Viewed by 2534
Abstract
Background/Objectives: Osteoporosis is common in rheumatoid arthritis (RA), occurring either systemically or locally around inflamed joints. Decreased metacarpal bone density is a known marker of RA progression and hand function impairment. Although RA is generally characterized by symmetrical arthritis, some patients exhibit [...] Read more.
Background/Objectives: Osteoporosis is common in rheumatoid arthritis (RA), occurring either systemically or locally around inflamed joints. Decreased metacarpal bone density is a known marker of RA progression and hand function impairment. Although RA is generally characterized by symmetrical arthritis, some patients exhibit asymmetrical joint involvement. This study investigates the frequency of unilateral metacarpal bone density reduction in RA patients and aims to identify associated factors. Methods: This study included 143 RA patients (107 females, mean age 62.4 yrs., mean disease duration 11.1 yrs.). Bilateral hand X-rays were used to measure the cortical thickness rate (CTR) of the 2nd to 4th metacarpals. Unilateral bone density reduction was defined as a thin-to-thick-side CTR ratio (CTRR) < 0.8. Associations between CTR reduction and unilateral wrist joint damage (WJD) were analyzed. Results: Unilateral CTR reduction (CTRR < 0.8) was observed in 16.8% of patients, significantly associated with unilateral WJD. Among patients with unilateral WJD, 50.0% showed CTRR lateral (+) compared to 10.1% without unilateral WJD (p < 0.01). ANCOVA revealed significant effects of WJD laterality on CTRR, with an interaction effect showing greater CTRR laterality when thin-side WJD was present without thick-side WJD. Post-biologic treatment, CTR values decreased in both hands, indicating no improvement in bone density reduction. Conclusions: Approximately 17% of RA patients exhibited unilateral relative metacarpal bone density reduction, closely associated with unilateral WJD. This first detailed report on bone density laterality in RA underscores the need for early intervention and rehabilitation strategies in RA patients with hand involvement. Full article
(This article belongs to the Special Issue Rheumatoid Arthritis: Clinical Updates on Diagnosis and Treatment)
Show Figures

Figure 1

9 pages, 1143 KB  
Article
Treatment Outcome of 2nd to 5th Metacarpal Fractures: Kirschner Wires Versus Intramedullary Screws
by Melissa Walde, Dirk Johannes Schaefer and Alexandre Kaempfen
J. Clin. Med. 2024, 13(24), 7626; https://doi.org/10.3390/jcm13247626 - 14 Dec 2024
Cited by 3 | Viewed by 4579
Abstract
Background/Objectives: Most metacarpal fractures are isolated, simple, closed, and stable fractures and located distally. They are often caused by accidental falls, strikes by humans, by objects or traffic accidents. The majority can be treated conservatively. When unstable, angulated, malrotated or shortened, a [...] Read more.
Background/Objectives: Most metacarpal fractures are isolated, simple, closed, and stable fractures and located distally. They are often caused by accidental falls, strikes by humans, by objects or traffic accidents. The majority can be treated conservatively. When unstable, angulated, malrotated or shortened, a surgical fixation of these frequent fractures is needed. To treat simple, spiral, distal or shaft fractures, intramedullary Kirschner wiring (KW) or intramedullary compression screws (ISs) are used. We wanted to compare the outcomes of those two treatments. Methods: In a retrospective study we analyzed the prospectively collected data of our hospital on the indication factors and outcome factors of selected patients with simple or spiral, distal or shaft metacarpal fractures of the second to fifth finger. Indication factors were sex, age, profession, hand dominance, comorbidities, metacarpal finger number, total active range of motion (TAM), rotation, soft tissue damage, localization, articular involvement, fracture type, dislocation and axial shortening. Outcome factors were TAM, rotation, splint time, return to work, bone healing and complications. Results: Out of 750 patients, 59 fractures could be included in this study, containing 34 in the KW Group and 25 in the IS Group. Only fracture localization and fracture type were significantly different in the two groups, with more shaft and spiral fractures in the IS Group. The primary outcome of TAM and rotation as well as the secondary outcome of splint time, return to work, bone healing and complication rates showed no significant difference. Only a difference in mean follow-up time was seen. Conclusions: Intramedullary screw fixation seems a valid alternative to KW fixation for certain fracture types regarding active range of motion and rotation after treatment, splint time, bone healing and return to work time. Only the tendency of an earlier return to work and a higher rate of full TAM after treatment was seen in favor of intramedullary screws. Full article
Show Figures

Figure 1

Back to TopTop