Evaluation of the First Metacarpal Bone Head and Distal Radius Bone Architecture Using Fractal Analysis of Adolescent Hand–Wrist Radiographs
Abstract
1. Introduction
2. Materials and Methods
2.1. Determination of Pubertal Stages
2.2. Fractal Analysis
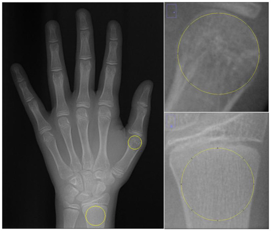
2.3. Region of Interest Selection
2.4. The Steps of İmage Processing
2.5. Statistical Analyses
3. Results


4. Discussion
5. Conclusions
Author Contributions
Funding
Institutional Review Board Statement
Informed Consent Statement
Data Availability Statement
Acknowledgments
Conflicts of Interest
References
- Barnsley, M.F.; Devaney, R.L.; Mandelbrot, B.B.; Peitgen, H.O.; Saupe, D.; Voss, R.F.; Voss, R.F. Fractals in Nature: From Characterization to Simulation; Springer: Berlin, Germany, 1988. [Google Scholar]
- Chappard, D.; Guggenbuhl, P.; Legrand, E.; Baslé, M.F.; Audran, M. Texture analysis of X-ray radiographs is correlated with bone histomorphometry. J Bone Miner Metab. 2005, 23, 24–29. [Google Scholar] [CrossRef] [PubMed]
- Lespessailles, E.; Jullien, A.; Eynard, E.; Harba, R.; Jacquet, G.; Ildefonse, J.P.; Ohley, W.; Benhamou, C.L. Biomechanical properties of human os calcanei: Relationships with bone density and fractal evaluation of bone microarchitecture. J. Biomech. 1998, 31, 817–824. [Google Scholar] [CrossRef]
- Sánchez, I.; Uzcátegui, G. Fractals in dentistry. J. Dent. 2011, 39, 273–292. [Google Scholar] [CrossRef]
- Macdonald, H.; Kontulainen, S.; Petit, M.; Janssen, P.; McKay, H. Bone strength and its determinants in pre- and early pubertal boys and girls. Bone 2006, 39, 598–608. [Google Scholar] [CrossRef]
- Högler, W.; Blimkie, C.; Cowell, C.; Inglis, D.; Rauch, F.; Kemp, A.; Wiebe, P.; Duncan, C.; Farpour-Lambert, N.; Woodhead, H. Sex-specific developmental changes in muscle size and bone geometry at the femoral shaft. Bone 2008, 42, 982–989. [Google Scholar] [CrossRef]
- Houston, W.J.B.; Miller, J.C.; Tanner, J.M. Prediction of the Timing of the Adolescent Growth Spurt from Ossification Events in Hand—Wrist Films. Br. J. Orthod. 1979, 6, 145–152. [Google Scholar] [CrossRef]
- Flores-Mir, C.; Orth, C.; Nebbe, B.; Major, P.W. Use of Skeletal Maturation Based on Hand-Wrist Radiographic Analysis as a Predictor of Facial Growth: A Systematic Review. Angle Orthod. 2004, 74, 118–124. [Google Scholar]
- Köse, E.; Ay Ünüvar, Y.; Uzun, M. Assessment of the relationship between fractal analysis of mandibular bone and orthodontic treatment duration: A retrospective study. J. Orofac. Orthop. 2022, 83, 102–110. [Google Scholar] [CrossRef]
- Williams, K.M. Update on bone health in pediatric chronic disease. Endocrinol. Metab. Clin. 2016, 45, 433–441. [Google Scholar] [CrossRef]
- Parfitt, A.M. The physiologic and clinical significance of bone histomorphometric data. Bone Histomorphometry Tech. Interpret. 1983, 143–223. [Google Scholar]
- Shalof, H.; Dimitri, P.; Shuweihdi, F.; Offiah, A.C. Which skeletal imaging modality is best for assessing bone health in children and young adults compared to DXA? A systematic review and meta-analysis. Bone 2021, 150, 116013. [Google Scholar] [CrossRef] [PubMed]
- Naranje, S.M.; Erali, R.A.; Warner, W.C.; Sawyer, J.R.; Kelly, D.M. Epidemiology of Pediatric Fractures Presenting to Emergency Departments in the United States. J. Pediatr. Orthop. 2016, 36, e45–e48. [Google Scholar] [CrossRef] [PubMed]
- Jenkins, M.; Nimphius, S.; Hart, N.H.; Chivers, P.; Rantalainen, T.; Rueter, K.; Borland, M.L.; McIntyre, F.; Stannage, K.; Siafarikas, A. Appendicular fracture epidemiology of children and adolescents: A 10-year case review in Western Australia (2005 to 2015). Arch Osteoporos. 2018, 13, 63. [Google Scholar] [CrossRef] [PubMed]
- Shah, A.S.; Guzek, R.H.; Miller, M.L.; Willey, M.C.; Mahan, S.T.; Bae, D.S.; the Pediatric Distal Radius Fracture (PDRF) Study Group. Descriptive Epidemiology of Isolated Distal Radius Fractures in Children: Results from a Prospective Multicenter Registry. J. Pediatr. Orthop. 2023, 43, e1–e8. [Google Scholar] [CrossRef]
- Ma, D.; Jones, G. The Association between Bone Mineral Density, Metacarpal Morphometry, and Upper Limb Fractures in Children: A Population-Based Case-Control Study. J. Clin. Endocrinol. Metab. 2003, 88, 1486–1491. [Google Scholar] [CrossRef]
- Faulkner, R.A.; Davison, K.S.; Bailey, D.A.; Mirwald, R.L.; Baxter-Jones, A.D. Size-Corrected BMD Decreases During Peak Linear Growth: Implications for Fracture Incidence During Adolescence. J Bone Miner Res. 2006, 21, 1864–1870. [Google Scholar] [CrossRef]
- Matkovic, V.; Goel, P.; Mobley, S.L.; Badenhop-Stevens, N.E.; Ha, E.-J.; Li, B.; Skugor, M.; Clairmont, A. Decreased bone mass in adolescents with bone fragility fracture but not in young children: A case–control study. Front Endocrinol. 2023, 14, 1124896. [Google Scholar] [CrossRef]
- Hernandez, C.J.; Van Der Meulen, M.C. Understanding Bone Strength Is Not Enough: Understanding bone strength isn’t enough. J. Bone Miner. Res. 2017, 32, 1157–1162. [Google Scholar] [CrossRef]
- Pezzuti, I.L.; Kakehasi, A.M.; Filgueiras, M.T.; De Guimarães, J.A.; De Lacerda, I.A.C.; Silva, I.N. Imaging methods for bone mass evaluation during childhood and adolescence: An update. J. Pediatr. Endocrinol. Metab. 2017, 30, 485–497. [Google Scholar] [CrossRef]
- Akbulut, S.; Bayrak, S.; Korkmaz, Y.N. Prediction of rapid palatal expansion success via fractal analysis in hand-wrist radiographs. Am. J. Orthod. Dentofac. Orthop. 2020, 158, 192–198. [Google Scholar] [CrossRef]
- Apolinário, A.C.; Sindeaux, R.; Figueiredo, P.T.d.S.; Guimarães, A.T.B.; Acevedo, A.C.; Castro, L.C.; de Paula, A.P.; de Paula, L.M.; de Melo, N.S.; Leite, A.F. Dental panoramic indices and fractal dimension measurements in osteogenesis imperfecta children under pamidronate treatment. Dentomaxillofacial Radiol. 2016, 45, 20150400. [Google Scholar] [CrossRef] [PubMed]
- Franciotti, R.; Moharrami, M.; Quaranta, A.; Bizzoca, M.E.; Piattelli, A.; Aprile, G.; Perrotti, V. Use of fractal analysis in dental images for osteoporosis detection: A systematic review and meta-analysis. Osteoporos Int. 2021, 32, 1041–1052. [Google Scholar] [CrossRef] [PubMed]
- Yasa, Y.; Buyuk, S.K.; Genc, E. Comparison of mandibular cortical bone among obese, overweight, and normal weight adolescents using panoramic mandibular index and mental index. Clin. Oral Investig. 2020, 24, 2919–2924. [Google Scholar] [CrossRef] [PubMed]
- Ergun, S.; Saraçoglu, A.; Guneri, P.; Ozpınar, B. Application of fractal analysis in hyperparathyroidism. Dentomaxillofacial Radiol. 2009, 38, 281–289. [Google Scholar] [CrossRef]
- Gumussoy, I.; Miloglu, O.; Cankaya, E.; Bayrakdar, I.S. Fractal properties of the trabecular pattern of the mandible in chronic renal failure. Dentomaxillofacial Radiol. 2016, 45, 20150389. [Google Scholar] [CrossRef]
- Zimmermann, E.A.; Riedel, C.; Schmidt, F.N.; E Stockhausen, K.; Chushkin, Y.; Schaible, E.; Gludovatz, B.; Vettorazzi, E.; Zontone, F.; Püschel, K.; et al. Mechanical Competence and Bone Quality Develop During Skeletal Growth. J. Bone Miner. Res. 2019, 34, 1461–1472. [Google Scholar] [CrossRef]
- Fishman, L.S. Radiographic evaluation of skeletal maturation: A clinically oriented method based on hand-wrist films. Angle Orthod. 1982, 52, 88–112. [Google Scholar]
- Sachan, K.; Sharma, V.P.; Tandon, P. A correlative study of dental age and skeletal maturation. Indian J. Dent. Res. 2011, 22, 882. [Google Scholar] [CrossRef]
- Joshi, V.; Yamaguchi, T.; Matsuda, Y.; Kaneko, N.; Maki, K.; Okano, T. Skeletal maturity assessment with the use of cone-beam computerized tomography. Oral Surg. Oral Med. Oral Pathol. Oral Radiol. 2012, 113, 841–849. [Google Scholar] [CrossRef]
- Pasciuti, E.; Franchi, L.; Baccetti, T.; Milani, S.; Farronato, G. Comparison of three methods to assess individual skeletal maturity. J. Orofac. Orthop./Fortschritte Der Kieferorthopadie 2013, 74, 397–408. [Google Scholar] [CrossRef]
- Hassel, B.; Farman, A.G. Skeletal maturation evaluation using cervical vertebrae. Am. J. Orthod. Dentofac. Orthop. 1995, 107, 58–66. [Google Scholar] [CrossRef] [PubMed]
- Baccetti, T.; Franchi, L.; McNamara, J.A., Jr. The Cervical Vertebral Maturation (CVM) Method for the Assessment of Optimal Treatment Timing in Dentofacial Orthopedics; Elsevier: Amsterdam, The Netherlands, 2005; Volume 11, pp. 119–129. [Google Scholar]
- Domander, R.; Felder, A.A.; Doube, M. BoneJ2-refactoring established research software. Wellcome Open Research 2021, 6, 37. [Google Scholar] [CrossRef] [PubMed]
- Doube, M.; Kłosowski, M.M.; Arganda-Carreras, I.; Cordelières, F.P.; Dougherty, R.P.; Jackson, J.S.; Schmid, B.; Hutchinson, J.R.; Shefelbine, S.J. BoneJ: Free and extensible bone image analysis in ImageJ. Bone 2010, 47, 1076–1079. [Google Scholar] [CrossRef] [PubMed]
- White, S.C.; Rudolph, D.J. Alterations of the trabecular pattern of the jaws in patients with osteoporosis. Oral Surg. Oral Med. Oral Pathol. Oral Radiol. Endodontology 1999, 88, 628–635. [Google Scholar] [CrossRef]
- Cavallo, F.; Mohn, A.; Chiarelli, F.; Giannini, C. Evaluation of Bone Age in Children: A Mini-Review. Front Pediatr. 2021, 9, 580314. [Google Scholar] [CrossRef]
- Mamoowala, N.; Johnson, N.; Dias, J. Trends in paediatric distal radius fractures: An eight-year review from a large UK trauma unit. Annals 2019, 101, 297–303. [Google Scholar] [CrossRef]
- Bergkvist, A.; Lundqvist, E.; Pantzar-Castilla, E. Distal radius fractures in children aged 5–12 years: A Swedish nationwide register-based study of 25 777 patients. BMC Musculoskelet Disord. 2023, 24, 560. [Google Scholar] [CrossRef]
- Deng, H.; Zhao, Z.; Xiong, Z.; Gao, F.; Tang, S.; Li, Y.; Li, W.; Huang, J.; Cui, S.; Chen, X.; et al. Clinical characteristics of 1124 children with epiphyseal fractures. BMC Musculoskelet Disord. 2023, 24, 598. [Google Scholar] [CrossRef]
- Limb, D.; Loughenbury, P.R. The prevalence of pseudoepiphyses in the metacarpals of the growing hand. J Hand Surg Eur Vol. 2012, 37, 678–681. [Google Scholar] [CrossRef]
- Ferrillo, M.; Curci, C.; Roccuzzo, A.; Migliario, M.; Invernizzi, M.; De Sire, A. Reliability of cervical vertebral maturation compared to hand-wrist for skeletal maturation assessment in growing subjects: A systematic review. BMR 2021, 34, 925–936. [Google Scholar] [CrossRef]
- Pamukcu, U.; Ispir, N.G.; Akay, G.; Karadag Atas, O.; Gungor, K.; Toraman, M. Evaluation of the compatibility of C2, C3, and C4 fractal dimension values with hand-wrist and cervical vertebra maturation methods in determining skeletal maturation. Dentomaxillofacial Radiol. 2022, 51, 20220113. [Google Scholar] [CrossRef] [PubMed]
- Kopecky, G.R.; Fishman, L.S. Timing of cervical headgear treatment based on skeletal maturation. Am. J. Orthod. Dentofac. Orthop. 1993, 104, 162–169. [Google Scholar] [CrossRef] [PubMed]
- Bolat Gümüş, E.; Yavuz, E.; Tufekci, C. Effects of functional orthopedic treatment on mandibular trabecular bone in class II patients using fractal analysis. J. Orofac. Orthop. 2022, 84, 155–164. [Google Scholar] [CrossRef]
- Cesur, E.; Bayrak, S.; Kursun-Çakmak, E.Ş.; Arslan, C.; Köklü, A.; Orhan, K. Evaluating the effects of functional orthodontic treatment on mandibular osseous structure using fractal dimension analysis of dental panoramic radiographs. Angle Orthodontist. 2020, 90, 783–793. [Google Scholar] [CrossRef]
- Arslan, S.; Korkmaz, Y.N.; Buyuk, S.K.; Tekin, B. Effects of reverse headgear therapy on mandibular trabecular structure: A fractal analysis study. Orthod. Craniofacial Res. 2022, 25, 562–568. [Google Scholar] [CrossRef]
- Kang, D.; Kwak, K.H.; Kim, S.S.; Park, S.B.; Son, W.S.; Kim, Y.I. Application of fractal analysis of the midpalatal suture for estimation of pubertal growth spurts. Oral Radiol. 2017, 33, 199–203. [Google Scholar] [CrossRef]
- Kwak, K.H.; Kim, S.S.; Kim, Y.I.; Kim, Y.D. Quantitative evaluation of midpalatal suture maturation via fractal analysis. Korean J. Orthod. 2016, 46, 323. [Google Scholar] [CrossRef]
- Kato, C.N.; Barra, S.G.; Tavares, N.P.; Amaral, T.M.; Brasileiro, C.B.; A Mesquita, R.; Abreu, L.G. Use of fractal analysis in dental images: A systematic review. Dentomaxillofacial Radiol. 2020, 49, 20180457. [Google Scholar] [CrossRef]
- Leite, A.F.; Figueiredo, P.T.d.S.; Caracas, H.; Sindeaux, R.; Guimarães, A.T.B.; Lazarte, L.; de Paula, A.P.; de Melo, N.S. Systematic review with hierarchical clustering analysis for the fractal dimension in assessment of skeletal bone mineral density using dental radiographs. Oral Radiol. 2015, 31, 1–13. [Google Scholar] [CrossRef]
- Cavalcante, D.d.S.; Silva, P.G.d.B.; Carvalho, F.S.R.; Quidute, A.R.P.; Kurita, L.M.; Cid, A.M.P.L.; Ribeiro, T.R.; Gurgel, M.L.; Kurita, B.M.; Costa, F.W.G. Is jaw fractal dimension a reliable biomarker for osteoporosis screening? A systematic review and meta-analysis of diagnostic test accuracy studies. Dentomaxillofacial Radiol. 2022, 51, 20210365. [Google Scholar] [CrossRef]
- Oliveira-Santos, N.; Silva, A.G.; Gaêta-Araujo, H.; Oliveira’s, M.L.; Groppo, F.C. Influence of binarization methods on the fractal dimension of alveolar bone using digital radiographs. Oral Surg. Oral Med. Oral Pathol. Oral Radiol. 2023, 136, 649–655. [Google Scholar] [CrossRef] [PubMed]
- Da Silva, M.E.B.; Dos Santos, H.S.; Ruhland, L.; Rabelo, G.D.; Badaró, M.M. Fractal analysis of dental periapical radiographs: A revised image processing method. Oral Surg. Oral Med. Oral Pathol. Oral Radiol. 2023, 135, 669–677. [Google Scholar] [CrossRef] [PubMed]
- Bachrach, L.K.; Gordon, C.M.; Sills, I.N.; Lynch, J.L.; Casella, S.J.; DiMeglio, L.A.; Gonzalez, J.L.; Wintergerst, K.; Kaplowitz, P.B.; Endocrinology, S.O. Bone Densitometry in Children and Adolescents. Pediatrics 2016, 138, e20162398. [Google Scholar] [CrossRef] [PubMed]
- Glüer, C.C. 30 years of DXA technology innovations. Bone 2017, 104, 7–12. [Google Scholar] [CrossRef]
- Medeleanu, M.; Vali, R.; Sadeghpour, S.; Moineddin, R.; Doria, A.S. A systematic review and meta-analysis of pediatric normative peripheral quantitative computed tomography data. Bone Rep. 2021, 15, 101103. [Google Scholar] [CrossRef]
- Ward, K.A.; Link, T.M.; Adams, J.E. Tools for measuring bone in children and adolescents. Bone Health Assess. Pediatr. Guidel. Clin. Pract. 2016, 23–52. [Google Scholar]
- Jones, I.; Williams, S.; Dow, N.; Goulding, A. How many children remain fracture-free during growth? A longitudinal study of children and adolescents participating in the Dunedin Multidisciplinary Health and Development Study. Osteoporos. Int. 2002, 13, 990–995. [Google Scholar] [CrossRef]
- Kalkwarf, H.J.; Laor, T.; Bean, J.A. Fracture risk in children with a forearm injury is associated with volumetric bone density and cortical area (by peripheral QCT) and areal bone density (by DXA). Osteoporos. Int. 2011, 22, 607–616. [Google Scholar] [CrossRef]
- Nishiyama, K.K.; Macdonald, H.M.; Moore, S.A.; Fung, T.; Boyd, S.K.; McKay, H.A. Cortical porosity is higher in boys compared with girls at the distal radius and distal tibia during pubertal growth: An HR-pQCT study. J. Bone Miner. Res. 2012, 27, 273–282. [Google Scholar] [CrossRef]
- Kirmani, S.; Christen, D.; van Lenthe, G.H.; Fischer, P.R.; Bouxsein, M.L.; McCready, L.K.; Melton, L.J.; Riggs, B.L.; Amin, S.; Müller, R.; et al. Bone Structure at the Distal Radius During Adolescent Growth. J. Bone Miner. Res. 2009, 24, 1033–1042. [Google Scholar] [CrossRef]
- Rauch, F. The dynamics of bone structure development during pubertal growth. J. Musculoskelet Neuronal Interact. 2012, 12, 1–6. [Google Scholar] [PubMed]
- Leder, B.Z.; Wein, M.N. (Eds.) Osteoporosis: Pathophysiology and Clinical Management; Springer International Publishing: Cham, Switzerland, 2020. [Google Scholar] [CrossRef]
- Chen, Q.; Bao, N.; Yao, Q.; Li, Z.Y. Fractal dimension: A complementary diagnostic indicator of osteoporosis to bone mineral density. Med. Hypotheses 2018, 116, 136–138. [Google Scholar] [CrossRef] [PubMed]
- Prokop-Piotrkowska, M.; Marszałek-Dziuba, K.; Moszczyńska, E.; Szalecki, M.; Jurkiewicz, E. Traditional and New Methods of Bone Age Assessment-An Overview. Jcrpe 2021, 13, 251–262. [Google Scholar] [CrossRef]
- Levin, L.S.; Rozell, J.C.; Pulos, N. Distal Radius Fractures in the Elderly. J. Am. Acad. Orthop. Surg. 2017, 25, 179–187. [Google Scholar] [CrossRef]
- Majumdar, S.; Link, T.M.; Millard, J.; Lin, J.C.; Augat, P.; Newitt, D.; Lane, N.; Genant, H.K. In vivo assessment of trabecular bone structure using fractal analysis of distal radius radiographs. Med. Phys. 2000, 27, 2594–2599. [Google Scholar] [CrossRef]
- Damilakis, J.; Adams, J.E.; Guglielmi, G.; Link, T.M. Radiation exposure in X-ray-based imaging techniques used in osteoporosis. Eur. Radiol. 2010, 20, 2707–2714. [Google Scholar] [CrossRef]
- Huda, W.; Gkanatsios, N.A. Radiation Dosimetry for Extremity Radiographs. Health Phys. 1998, 75, 492–499. [Google Scholar] [CrossRef]
- Stagi, S.; Cavalli, L.; Cavalli, T.; De Martino, M.; Brandi, M.L. Peripheral quantitative computed tomography (pQCT) for the assessment of bone strength in most of bone affecting conditions in developmental age: A review. Ital. J. Pediatr. 2016, 42, 88. [Google Scholar] [CrossRef]
- Gabel, L.; Kent, K.; Hosseinitabatabaei, S.; Burghardt, A.J.; Leonard, M.B.; Rauch, F.; Willie, B.M. Recommendations for High-resolution Peripheral Quantitative Computed Tomography Assessment of Bone Density, Microarchitecture, and Strength in Pediatric Populations. Curr. Osteoporos. Rep. 2023, 21, 609–623. [Google Scholar] [CrossRef]
- Al-Malki, M.A.; Abulfaraj, W.H.; Bhuiyan, S.I.; Kinsara, A.A. A study on radiographic repeat rate data of several hospitals in Jeddah. Radiat. Prot. Dosim. 2003, 103, 323–330. [Google Scholar] [CrossRef]
- Leijten, A.D.; Hampsink, B.; Janssen, M.; Klein, W.M.; Draaisma, J.M.T. Can digital X-ray radiogrammetry be an alternative for dual-energy X-ray absorptiometry in the diagnosis of secondary low bone quality in children? Eur. J. Pediatr. 2019, 178, 1433–1441. [Google Scholar] [CrossRef] [PubMed]
- Mendes, Y.B.E.; Bergmann, J.R.; Pellissari, M.F.; Hilgenberg, S.P.; Coelho, U. Analysis of skeletal maturation in patients aged 13 to 20 years by means of hand wrist radiographs. Dent. Press J. Orthod. 2010, 15, 74–79. [Google Scholar] [CrossRef]
- Özer, T.; Kama, J.D.; Özer, S.Y. A practical method for determining pubertal growth spurt. Am. J. Orthod. Dentofac. Orthop. 2006, 130, e1–e131. [Google Scholar] [CrossRef] [PubMed]
- Tsutsui, T.; Iizuka, S.; Sakamaki, W.; Maemichi, T.; Torii, S. Growth until Peak Height Velocity Occurs Rapidly in Early Maturing Adolescent Boys. Children 2022, 9, 1570. [Google Scholar] [CrossRef]
- Armento, A.; Heronemus, M.; Truong, D.; Swanson, C. Bone Health in Young Athletes: A Narrative Review of the Recent Literature. Curr. Osteoporos. Rep. 2023, 21, 447–458. [Google Scholar] [CrossRef]




| PUBC | Age Distrubution on Pubertal Stages | N (%) | Mean Chronological Age (Years) ± SD | RAFAM ± SD | MAFAM ± SD | ||||||||||||
|---|---|---|---|---|---|---|---|---|---|---|---|---|---|---|---|---|---|
| 8 | 9 | 10 | 11 | 12 | 13 | 14 | 15 | 16 | 17 | 18 | |||||||
| Females | EP | 18 | 14 | 15 | 9 | 4 | 0 | 0 | 0 | 0 | 0 | 0 | 60 (10%) | 9.45 ± 1.254 | 1.113 ± 0.108 | 1.193 ± 0.196 | |
| PRPK | 0 | 4 | 20 | 21 | 7 | 8 | 0 | 0 | 0 | 0 | 0 | 60 (10%) | 10.92 ± 1.124 | 1.195 ± 0.086 | 1.216 ± 0.069 | ||
| PK | 0 | 0 | 0 | 24 | 25 | 11 | 0 | 0 | 0 | 0 | 0 | 60 (10%) | 11.79 ± 0.739 | 1.165 ± 0.144 | 1.209 ± 0.121 | ||
| PTPK | 0 | 0 | 1 | 7 | 17 | 25 | 10 | 0 | 0 | 0 | 0 | 60 (10%) | 12.60 ± 0.960 | 1.241 ± 0.154 | 1.235 ± 0.145 | ||
| LP | 0 | 0 | 1 | 1 | 4 | 24 | 17 | 10 | 2 | 1 | 0 | 60 (10%) | 13.64 ± 1.193 | 1.292 ± 0.113 | 1.280 ± 0.098 | ||
| Total per Age in Females | 18 | 18 | 37 | 62 | 57 | 68 | 27 | 10 | 2 | 1 | 0 | 300 (50%) | |||||
| Males | EP | 7 | 12 | 14 | 17 | 9 | 1 | 0 | 0 | 0 | 0 | 0 | 60 (10%) | 10.20 ± 1.299 | 1.131 ± 0.111 | 1.220 ± 0.169 | |
| PRPK | 0 | 2 | 10 | 14 | 17 | 9 | 8 | 0 | 0 | 0 | 0 | 60 (10%) | 11.75 ± 1.361 | 1.249 ± 0.063 | 1.252 ± 0.114 | ||
| PK | 0 | 0 | 0 | 0 | 7 | 22 | 22 | 9 | 0 | 0 | 0 | 60 (10%) | 13.55 ± 0.891 | 1.163 ± 0.162 | 1.206 ± 0.118 | ||
| PTPK | 0 | 0 | 0 | 0 | 1 | 15 | 20 | 17 | 7 | 0 | 0 | 60 (10%) | 14.23 ± 1.015 | 1.247 ± 0.153 | 1.245 ± 0.134 | ||
| LP | 0 | 0 | 0 | 0 | 0 | 3 | 15 | 25 | 12 | 2 | 3 | 60 (10%) | 15.06 ± 1.118 | 1.290 ± 0.125 | 1.278 ± 0.095 | ||
| Total per Age in Males | 7 | 14 | 24 | 31 | 34 | 50 | 65 | 51 | 19 | 2 | 3 | 300 (50%) | |||||
| Total | EP | 25 | 26 | 29 | 26 | 13 | 1 | 0 | 0 | 0 | 0 | 0 | 120 (20%) | 9.82 ± 1.326 | 1.122 ± 0.110 | 1.206 ± 0.184 | |
| PRPK | 0 | 6 | 30 | 35 | 24 | 17 | 8 | 0 | 0 | 0 | 0 | 120 (20%) | 11.33 ± 1.311 | 1.222 ± 0.101 | 1.234 ± 0.100 | ||
| PK | 0 | 0 | 0 | 24 | 32 | 33 | 22 | 9 | 0 | 0 | 0 | 120 (20%) | 12.67 ± 1.205 | 1.164 ± 0.153 | 1.207 ± 0.110 | ||
| PTPK | 0 | 0 | 1 | 7 | 18 | 40 | 30 | 17 | 7 | 0 | 0 | 120 (20%) | 13.42 ± 1.281 | 1.244 ± 0.135 | 1.240 ± 0.173 | ||
| LP | 0 | 0 | 1 | 1 | 4 | 27 | 32 | 35 | 14 | 3 | 3 | 120 (20%) | 14.35 ± 1.358 | 1.291 ± 0.119 | 1.279 ± 0.069 | ||
| Total per Age in All | 25 | 32 | 61 | 93 | 91 | 118 | 92 | 61 | 21 | 3 | 3 | 600 (100%) | |||||
| Distal Radius | Metacarpal Bone Head | ||||||||||||||
|---|---|---|---|---|---|---|---|---|---|---|---|---|---|---|---|
| Tukey Pairwise Comparisons | One-Way ANOVA | Tukey Pairwise Comparisons | One-Way ANOVA | ||||||||||||
| PUBC | N | RAFAM Mean FD | Grouping | p | PUBC | MAFAM Mean FD | Grouping | p | |||||||
| Females | LP | 60 | 1.29238 | A | 0.000 * | LP | 1.28032 | A | 0.000 * | ||||||
| PTPK | 60 | 1.24128 | B | PTPK | 1.2356 | B | |||||||||
| PRPK | 60 | 1.19540 | C | PRPK | 1.21622 | B | C | ||||||||
| PK | 60 | 1.16533 | C | PK | 1.20897 | B | C | ||||||||
| EP | 60 | 1.11318 | D | EP | 1.1932 | C | |||||||||
| Males | LP | 60 | 1.29070 | A | 0.000 * | LP | 1.27822 | A | 0.000 * | ||||||
| PRPK | 60 | 1.24930 | B | PRPK | 1.25203 | A | B | ||||||||
| PTPK | 60 | 1.24733 | B | PTPK | 1.2459 | A | B | ||||||||
| PK | 60 | 1.1630 | C | EP | 1.2201 | B | C | ||||||||
| EP | 60 | 1.13127 | C | PK | 1.20682 | C | |||||||||
| Total | LP | 120 | 1.29154 | A | 0.000 * | LP | 1.27927 | A | 0.000 * | ||||||
| PTPK | 120 | 1.24431 | B | PTPK | 1.24075 | B | |||||||||
| PRPK | 120 | 1.22235 | B | PRPK | 1.23413 | B | |||||||||
| PK | 120 | 1.16419 | C | PK | 1.20789 | C | |||||||||
| EP | 120 | 1.12222 | D | EP | 1.20665 | C | |||||||||
Disclaimer/Publisher’s Note: The statements, opinions and data contained in all publications are solely those of the individual author(s) and contributor(s) and not of MDPI and/or the editor(s). MDPI and/or the editor(s) disclaim responsibility for any injury to people or property resulting from any ideas, methods, instructions or products referred to in the content. |
© 2025 by the authors. Licensee MDPI, Basel, Switzerland. This article is an open access article distributed under the terms and conditions of the Creative Commons Attribution (CC BY) license (https://creativecommons.org/licenses/by/4.0/).
Share and Cite
Azlağ Pekince, K.; Pekince, A. Evaluation of the First Metacarpal Bone Head and Distal Radius Bone Architecture Using Fractal Analysis of Adolescent Hand–Wrist Radiographs. J. Imaging 2025, 11, 82. https://doi.org/10.3390/jimaging11030082
Azlağ Pekince K, Pekince A. Evaluation of the First Metacarpal Bone Head and Distal Radius Bone Architecture Using Fractal Analysis of Adolescent Hand–Wrist Radiographs. Journal of Imaging. 2025; 11(3):82. https://doi.org/10.3390/jimaging11030082
Chicago/Turabian StyleAzlağ Pekince, Kader, and Adem Pekince. 2025. "Evaluation of the First Metacarpal Bone Head and Distal Radius Bone Architecture Using Fractal Analysis of Adolescent Hand–Wrist Radiographs" Journal of Imaging 11, no. 3: 82. https://doi.org/10.3390/jimaging11030082
APA StyleAzlağ Pekince, K., & Pekince, A. (2025). Evaluation of the First Metacarpal Bone Head and Distal Radius Bone Architecture Using Fractal Analysis of Adolescent Hand–Wrist Radiographs. Journal of Imaging, 11(3), 82. https://doi.org/10.3390/jimaging11030082

