Asymmetrical Damage of the Wrist Joint Induces Lateralized Cortical Bone Loss in the Metacarpal Diaphysis in Patients with Rheumatoid Arthritis
Abstract
1. Introduction
2. Materials and Methods
2.1. Subjects
2.2. Methods
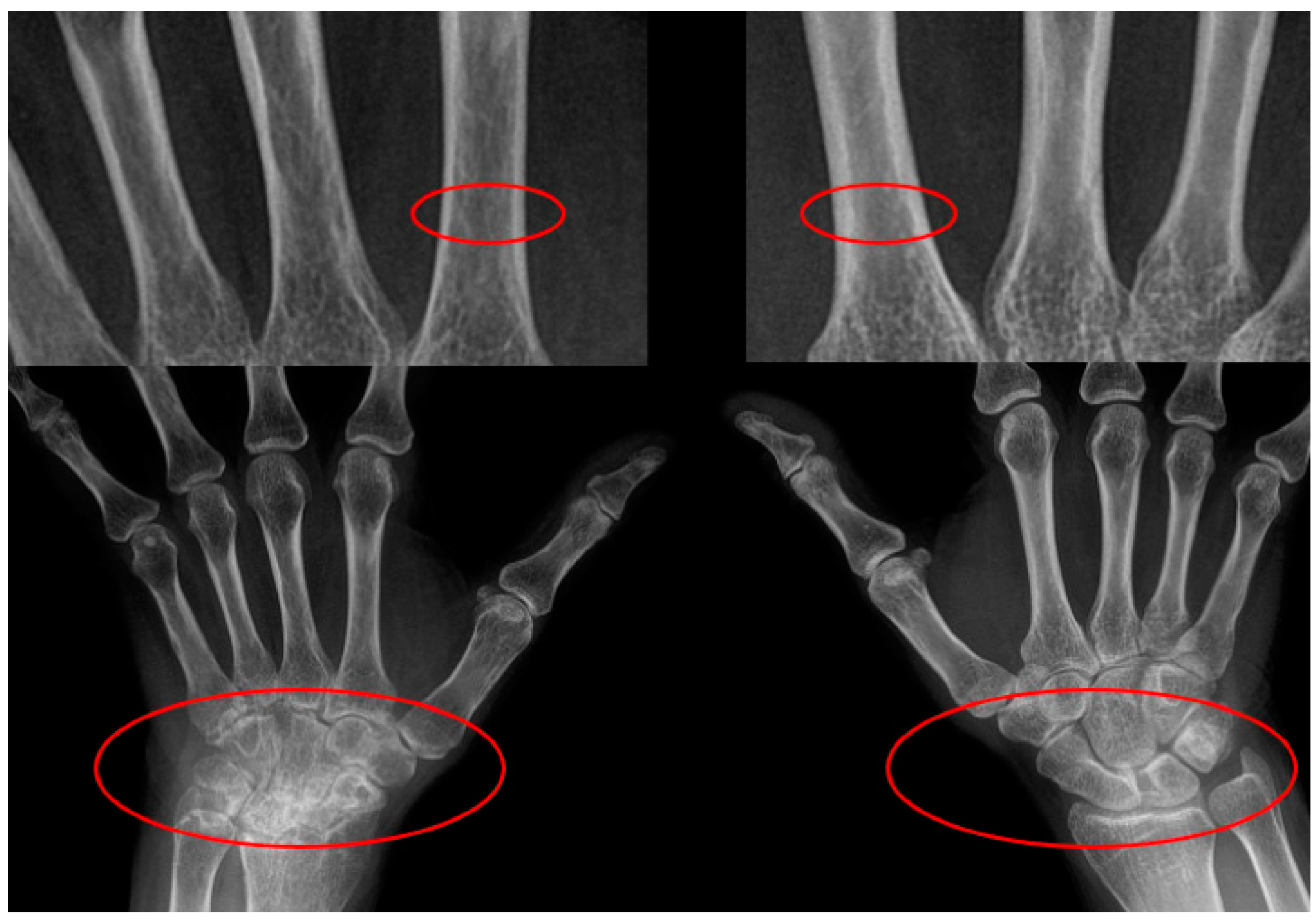
2.3. Radiological Examinations
2.4. Statistical Analyses
3. Results
3.1. Study Participants
3.2. Metacarpal CTR
3.3. Damage to Wrist and Metacarpophalangeal Joints
3.4. Unilateral Reduction of Metacarpal CTR
3.5. Comparative Analysis of Laterality in Metacarpal CTR and WJD
3.6. Relationship Between Thin- and Thick-Side CTRs, Logit CTRR, and Various Parameters (ANCOVA)
3.7. CTR Evaluation in Right and Left Hands Pre- and Post-Biologic Therapy in 30 Patients
4. Discussion
5. Conclusions
Supplementary Materials
Author Contributions
Funding
Institutional Review Board Statement
Informed Consent Statement
Data Availability Statement
Conflicts of Interest
References
- Gravallese, E.M.; Firestein, G.S. Rheumatoid arthritis—Common origins, divergent mechanisms. N. Engl. J. Med. 2023, 388, 529–542. [Google Scholar] [CrossRef] [PubMed]
- Gough, A.K.; Lilley, J.; Eyre, S.; Holder, R.L.; Emery, P. Generalised bone loss in patients with early rheumatoid arthritis. Lancet 1994, 344, 23–27. [Google Scholar] [CrossRef]
- Kroot, E.J.; Nieuwenhuizen, M.G.; de Waal Malefijt, M.C.; van Riel, P.L.; Pasker-de Jong, P.C.; Laan, R.F. Change in bone mineral density in patients with rheumatoid arthritis during the first decade of the disease. Arthritis Rheum. 2001, 44, 1254–1260. [Google Scholar] [CrossRef]
- Laan, R.F.; Buijs, W.C.; Verbeek, A.L.; Draad, M.P.; Corstens, F.H.; van de Putte, L.B.; van Riel, P.L. Bone mineral density in patients with recent onset rheumatoid arthritis: Influence of disease activity and functional capacity. Ann. Rheum. Dis. 1993, 52, 21–26. [Google Scholar] [CrossRef]
- Chan, E.; Pandith, V.; Towheed, T.E.; Brouillard, D.; Zee, B.; Anastassiades, T.P. Comparison of the combined cortical thickness of the second metacarpal with Sharp’s method for scoring hand microradiographs in rheumatoid arthritis. J. Rheumatol. 1998, 25, 1290–1294. [Google Scholar] [PubMed]
- Bayraktar, H.H.; Morgan, E.F.; Niebur, G.L.; Morris, G.E.; Wong, E.K.; Keaveny, T.M. Comparison of the elastic and yield properties of human femoral trabecular and cortical bone tissue. J. Biomech. 2004, 37, 27–35. [Google Scholar] [CrossRef] [PubMed]
- Aguado, F.; Revilla, M.; Villa, L.F.; Rico, H. Cortical bone resorption in osteoporosis. Calcif. Tissue Int. 1997, 60, 323–326. [Google Scholar] [CrossRef] [PubMed]
- Böttcher, J.; Pfeil, A.; Heinrich, B.; Lehmann, G.; Petrovitch, A.; Hansch, A.; Heyne, J.; Mentzel, H.; Malich, A.; Hein, G.; et al. Digital radiogrammetry as a new diagnostic tool for estimation of disease-related osteoporosis in rheumatoid arthritis compared with pQCT. Rheumatol. Int. 2005, 25, 457–464. [Google Scholar] [CrossRef]
- Bottcher, J.; Pfeil, A. Diagnosis of periarticular osteoporosis in rheumatoid arthritis using digital X-ray radiogrammetry. Arthritis Res. Ther. 2008, 10, 103. [Google Scholar] [CrossRef]
- Alenfeld, F.E.; Diessel, E.; Brezger, M.; Sieper, J.; Felsenberg, D.; Braun, J. Detailed analyses of periarticular osteoporosis in rheumatoid arthritis. Osteoporos. Int. 2000, 11, 400–407. [Google Scholar] [CrossRef] [PubMed]
- Deodhar, A.A.; Brabyn, J.; Jones, P.W.; Davis, M.J.; Woolf, A.D. Longitudinal study of hand bone densitometry in rheumatoid arthritis. Arthritis Rheum. 1995, 38, 1204–1210. [Google Scholar] [CrossRef] [PubMed]
- Sambrook, P.N. The skeleton in rheumatoid arthritis: Common mechanisms for bone erosion and osteoporosis. J. Rheumatol. 2000, 27, 2541–2542. [Google Scholar] [PubMed]
- Dolan, A.L.; Moniz, C.; Abraha, H.; Pitt, P. Does active treatment of rheumatoid arthritis limit disease-associated bone loss. Rheumatology 2002, 41, 1047–1051. [Google Scholar] [CrossRef]
- Wolfe, F.; Sharp, J.T. Radiographic outcome of recent-onset rheumatoid arthritis: A 19-year study of radiographic progression. Arthritis Rheum. 1998, 41, 1571–1582. [Google Scholar] [CrossRef] [PubMed]
- Lems, W.F. Bisphosphonates and glucocorticoids: Effects on bone quality. Arthritis Rheum. 2007, 56, 3518–3522. [Google Scholar] [CrossRef] [PubMed]
- Kong, Y.Y.; Feige, U.; Sarosi, I.; Bolon, B.; Tafuri, A.; Morony, S.; Capparelli, C.; Li, J.; Elliott, R.; McCabe, S.; et al. Activated T cells regulate bone loss and joint destruction in adjuvant arthritis through osteoprotegerin ligand. Nature 1999, 402, 304–309. [Google Scholar] [CrossRef] [PubMed]
- Haugeberg, G.; Ørstavik, R.E.; Kvien, T.K. Effects of rheumatoid arthritis on bone. Curr. Opin. Rheumatol. 2003, 15, 469–475. [Google Scholar] [CrossRef]
- Güler-Yüksel, M.; Allaart, C.F.; Goekoop-Ruiterman, Y.P.M.; de Vries-Bouwstra, J.K.; van Groenendael, J.H.L.M.; Mallée, C.; de Bois, M.H.W.; Breedveld, F.C.; Dijkmans, B.A.C.; Lems, W.F. Changes in hand and generalised bone mineral density in patients with recent-onset rheumatoid arthritis. Ann. Rheum. Dis. 2009, 68, 330–336. [Google Scholar] [CrossRef] [PubMed]
- Kalla, A.A.; Meyers, O.L.; Chalton, D.; Heath, S.; Brown, G.M.M.; Smith, P.R.; Burger, M.C. Increased metacarpal bone mass following 18 months of slow-acting antirheumatic drugs for rheumatoid arthritis. Br. J. Rheumatol. 1991, 30, 91–100. [Google Scholar] [CrossRef]
- Jensen, T.; Hansen, M.; Jensen, K.E.; Podenphant, J.; Hansen, T.M.; Hyldstrup, L. Comparison of dual X-ray absorptiometry (DXA), digital X-ray radiogrammetry (DXR), and conventional radiographs in the evaluation of osteoporosis and bone erosions in patients with rheumatoid arthritis. Scand. J. Rheumatol. 2005, 34, 27–33. [Google Scholar] [CrossRef]
- Pfeil, A.; Haugeberg, G.; Renz, D.M.; Reinhardt, L.; Jung, C.; Franz, M.; Wolf, G.; Böttcher, J. Digital X-ray radiogrammetry and its sensitivity and specificity for the identification of rheumatoid arthritis-related cortical hand bone loss. J. Bone Min. Metab. 2017, 35, 192–198. [Google Scholar] [CrossRef]
- Hoff, M.; Haugeberg, G.; Kvien, T.K. Hand bone loss as an outcome measure in established rheumatoid arthritis: 2-year observational study comparing cortical and total bone loss. Arthritis Res. Ther. 2007, 9, R81. [Google Scholar] [CrossRef] [PubMed]
- Book, C.; Algulin, J.; Nilsson, J.A.; Saxne, T.; Jacobsson, L. Bone mineral density in the hand as a predictor for mortality in patients with rheumatoid arthritis. Rheumatology 2009, 48, 1088–1091. [Google Scholar] [CrossRef]
- Wilczek, M.L.; Kälvesten, J.; Algulin, J.; Beiki, O.; Brismar, T.B. Digital X-ray radiogrammetry of hand or wrist radiographs can predict hip fracture risk—A study in 5,420 women and 2,837 men. Eur. Radiol. 2013, 23, 1383–1391. [Google Scholar] [CrossRef] [PubMed]
- Haara, M.; Heliövaara, M.; Impivaara, O.; A Arokoski, J.P.; Manninen, P.; Knekt, P.; Kärkkäinen, A.; Reunanen, A.; Aromaa, A.; Kröger, H. Low metacarpal index predicts hip fracture: A prospective population study of 3,561 subjects with 15 years of follow-up. Acta Orthop. 2006, 77, 9–14. [Google Scholar] [CrossRef]
- Towheed, T.E.; Brouillard, D.; Yendt, E.; Anastassiades, T. Osteoporosis in rheumatoid arthritis: Findings in the metacarpal, spine, and hip and a study of the determinants of both localized and generalized osteopenia. J. Rheumatol. 1995, 22, 440–443. [Google Scholar]
- Arnett, F.C.; Edworthy, S.M.; Bloch, D.A.; Mcshane, D.J.; Fries, J.F.; Cooper, N.S.; Healey, L.A.; Kaplan, S.R.; Liang, M.H.; Luthra, H.S. The American Rheumatism Association 1987 revised criteria for the classification of rheumatoid arthritis. Arthritis Rheum. 1988, 31, 315–324. [Google Scholar] [CrossRef] [PubMed]
- Hamilton, S. Unilateral rheumatoid arthritis in hemiplegia. J. Can. Assoc. Radiol. 1983, 34, 49–50. [Google Scholar] [PubMed]
- Zangger, P.; Keystone, E.C.; Bogoch, E.R. Asymmetry of small joint involvement in rheumatoid arthritis: Prevalence and tendency towards symmetry over time. Jt. Bone Spine. 2005, 72, 241–247. [Google Scholar] [CrossRef] [PubMed]
- Roldan, J.F.; Del Rincon, I.; Escalante, A. Loss of cortical bone from the metacarpal diaphysis in patients with rheumatoid arthritis: Independent effects of systemic inflammation and glucocorticoids. J. Rheumatol. 2006, 33, 508–516. [Google Scholar]
- Aletaha, D.; Neogi, T.; Silman, A.J.; Funovits, J.; Felson, D.T.; Bingham, C.O.; Birnbaum, N.S.; Burmester, G.R.; Bykerk, V.P.; Cohen, M.D.; et al. 2010 rheumatoid arthritis classification criteria: An American College of Rheumatology/European League Against Rheumatism collaborative initiative. Ann. Rheum. Dis. 2010, 69, 1580–1588. [Google Scholar] [CrossRef]
- Levin, A.; Stevens, P.E. Summary of KDIGO 2012 CKD Guideline: Behind the scenes, need for guidance, and a framework for moving forward. Kidney Int. 2014, 85, 49–61. [Google Scholar] [CrossRef] [PubMed]
- Steinbrocker, O.; Traeger, C.H.; Batterman, R.C. Therapeutic criteria in rheumatoid arthritis. J. Am. Med. Assoc. 1949, 140, 659–662. [Google Scholar] [CrossRef]
- Vehmas, T.; Solovieva, S.; Riihimaki, H.; Luoma, K.; Leino-Arjas, P. Hand workload and the metacarpal cortical index. a study of middle-aged teachers and dentists. Osteoporos. Int. 2005, 16, 672–680. [Google Scholar] [CrossRef]
- Hagino, H. Revised osteoporosis diagnostic criteria and Japanese practice guideline on osteoporosis. Clin. Calcium. 2014, 24, 11–18. [Google Scholar] [PubMed]
- Clarke, G.S.; Buckland-Wright, J.C.; Grahame, R. Symmetry of radiological features in the wrist and hands of patients with early to moderate rheumatoid arthritis: A quantitative microfocal radiographic study. Br. J. Rheumatol. 1994, 33, 249–254. [Google Scholar] [CrossRef]
- Halla, J.T.; Fallahi, S.; Hardin, J.G. Small joint involvement: A systematic roentgenographic study in rheumatoid arthritis. Ann. Rheum. Dis. 1986, 45, 327–330. [Google Scholar] [CrossRef]
- Koh, J.H.; Jung, S.M.; Lee, J.J.; Kang, K.Y.; Kwok, S.-K.; Park, S.-H.; Ju, J.H. Radiographic structural damage is worse in the dominant than the non-dominant hand in individuals with early rheumatoid arthritis. PLoS ONE 2015, 10, e0135409. [Google Scholar] [CrossRef] [PubMed]
- Yaku, A.; Hashimoto, M.; Furu, M.; Ito, H.; Yamakawa, N.; Yamamoto, W.; Fujii, T.; Matsuda, F.; Mimori, T.; Terao, C. Relationship between handedness and joint involvement in rheumatoid arthritis. Sci. Rep. 2016, 6, 39180. [Google Scholar] [CrossRef]
- Zakaria, D.; Robertson, J.; MacDermid, J.; Hartford, K.; Koval, J. Work-related cumulative trauma disorders of the upper extremity: Navigating the epidemiologic literature. Am. J. Ind. Med. 2002, 42, 258–269. [Google Scholar] [CrossRef] [PubMed]
- Miyadera, H.; Tokunaga, K. Associations of human leukocyte antigens with autoimmune diseases: Challenges in identifying the mechanism. J. Hum. Genet. 2015, 60, 697–702. [Google Scholar] [CrossRef] [PubMed]
- Zheng, H.F.; Tobias, J.H.; Duncan, E.; Evans, D.M.; Eriksson, J.; Paternoster, L.; Yerges-Armstrong, L.M.; Lehtimäki, T.; Bergström, U.; Kähönen, M.; et al. WNT16 influences bone mineral density, cortical bone thickness, bone strength, and osteoporotic fracture risk. PLoS Genet. 2012, 8, e1002745. [Google Scholar] [CrossRef] [PubMed]
- Hoff, M.; Kvien, T.K.; Kälvesten, J.; Elden, A.; Haugeberg, G. Adalimumab therapy reduces hand bone loss in early rheumatoid arthritis: Explorative analyses from the PREMIER study. Ann. Rheum. Dis. 2009, 68, 1171–1176. [Google Scholar] [CrossRef]
- Baker, J.F.; Long, J.; Mostoufi-Moab, S.; Denburg, M.; Jorgenson, E.; Sharma, P.; Zemel, B.S.; Taratuta, E.; Ibrahim, S.; Leonard, M.B. Muscle Deficits in Rheumatoid Arthritis Contribute to Inferior Cortical Bone Structure and Trabecular Bone Mineral Density. J. Rheumatol. 2017, 44, 1777–1785. [Google Scholar] [CrossRef]



| Variable | Values (n = 143) |
|---|---|
| Age (yrs.) | Median (IQR): 64 (54–71) |
| Sex (female/male) | 107/36 |
| Disease duration (yrs) | Median (IQR): 8 (4–14) |
| Height (cm) | 156.9 ± 9.4 |
| Weight (kg) | Median (IQR): 52.3 (46.2–61.4) |
| Body mass index | 22.0 ± 3.1 |
| Smoking, n (%) | 25 (17.5%) |
| Alcohol drinking, n (%) | 23 (16.1%) |
| Right-handedness, n (%) | 126 (88.1%) |
| Operation (hand), n (%) | 7 (4.9%) |
| Diabetes mellitus, n (%) | 18 (12.6%) |
| Chronic kidney disease, n (%) | 6 (4.2%) |
| CRP (mg/dL) | Median (IQR): 0.10 (0.00–0.30) |
| ESR (mm/1 h) | Median (IQR): 16 (9–29) |
| DAS28-CRP | Median (IQR): 1.73 (1.24–2.40) |
| DAS28-ESR | 2.79 ± 1.10 |
| CDAI | Median (IQR): 2.2 (0–5.16) |
| SDAI | Median (IQR): 2.4 (0.3–5.5) |
| RF positive, n (%) | 92/113 (81.4%) |
| ACPA positive, n (%) | 53/71 (74.6%) |
| Methotrexate, n (%) | 95 (66.4%) |
| Dose (mg/week) | 4.8 ± 4.1 |
| Prednisolone, n (%) | 73 (51.0%) |
| Dose (mg/day) | 1.8 ± 2.5 |
| DMARDs, n (%) | 47 (32.8%) |
| Biologic therapy, n (%) | 56 (39.2%) |
| Bisphosphonate, n (%) | 43 (30.1%) |
| Vitamin D, n (%) | 25 (17.5%) |
| Other anti-osteoporosis drug, n (%) | 3 (2.1%) |
| Values (n = 143) | |
|---|---|
| Thin-side CTR | 0.399 ± 0.125 |
| Thick-side CTR | 0.446 ± 0.124 |
| Mean of thin- and thick-side CTRs | 0.423 ± 0.123 |
| Low CTR (thin-side), n (%) | 114 (79.7%) |
| Low CTR (thick-side), n (%) | 95 (66.4%) |
| Low CTR (only thin-side), n (%) | 19 (13.2%) |
| Normal CTR (both thin- and thick-sides), n (%) | 29 (20.3%) |
| Joint damage | |
| Wrist joint: none, n (%) | 77 (53.8%) |
| Wrist joint: unilateral, n (%) | 24 (16.7%) |
| Wrist joint: bilateral, n (%) | 42 (29.4%) |
| 2nd MP joint: none, n (%) | 113 (79.0%) |
| 2nd MP joint: unilateral, n (%) | 8 (5.6%) |
| 2nd MP joint: bilateral, n (%) | 22 (15.4%) |
| 3rd MP joint: none, n (%) | 117 (81.8%) |
| 3rd MP joint: unilateral, n (%) | 12 (8.4%) |
| 3rd MP joint: bilateral, n (%) | 14 (9.8) |
| 4th MP joint: none, n (%) | 122 (85.3%) |
| 4th MP joint: unilateral, n (%) | 12 (8.4%) |
| 4th MP joint: bilateral, n (%) | 8 (5.6%) |
| WJD Lateral (+) | WJD Lateral (−) | ||
|---|---|---|---|
| CTRR lateral (+) | 12 | 12 | 24 |
| CTRR lateral (−) | 12 | 107 | 119 |
| 24 | 119 | 143 |
| Analysis 1 | Analysis 2 | Analysis 3 | ||||||||
| F | df | p-value | F | df | p-value | F | df | p-value | ||
| Thin-side CTR | Age | 63.54 | 1, 125 | <0.001 ** | 72.18 | 1, 138 | <0.001 ** | 72.78 | 1, 139 | <0.001 ** |
| Sex (Female) | 0.99 | 1, 125 | 0.32 | not included | not included | |||||
| Dominant hand | 0.00 | 1, 125 | 0.95 | not included | not included | |||||
| Thin-side WJD | 334.40 | 1, 8.041 | <0.001 ** | 33.60 | 1, 1.060 | 0.10 | 8.00 | 1, 136 | 0.005 ** | |
| Thick-side WJD | 114.22 | 1, 8.041 | <0.001 ** | 46.58 | 1, 1.030 | 0.09 | 8.69 | 1, 139 | 0.004 ** | |
| Interaction † | 0.01 | 1, 125 | 0.92 | 0.19 | 1, 138 | 0.67 | not included | |||
| Analysis 1 | Analysis 2 | Analysis 3 | ||||||||
| F | df | p-value | F | df | p-value | F | df | p-value | ||
| Thick-side CTR | Age | 72.78 | 1, 125 | <0.001 ** | 86.36 | 1, 138 | <0.001 ** | 86.22 | 1, 139 | <0.001 ** |
| Sex (Female) | 0.91 | 1, 125 | 0.34 | not included | not included | |||||
| Dominant hand | 0.00 | 1, 125 | 0.96 | not included | not included | |||||
| Thin-side WJD | 1.83 | 1, 1.028 | 0.40 | 0.72 | 1, 1.014 | 0.55 | 0.24 | 1, 139 | 0.63 | |
| Thick-side WJD | 6.64 | 1, 1.023 | 0.23 | 23.74 | 1, 1.007 | 0.13 | 21.10 | 1, 139 | <0.001 ** | |
| Interaction † | 1.28 | 1, 125 | 0.26 | 0.77 | 1, 138 | 0.38 | not included | |||
| Analysis 2 | ||||||||||
| F | df | p-value | ||||||||
| Logit CTRR | Age | 0.41 | 1, 138 | 0.52 | ||||||
| Thin-side WJD | 2.95 | 1, 1.003 | 0.34 | |||||||
| Thick-side WJD | 0.30 | 1, 1.001 | 0.68 | |||||||
| Interaction † | 3.94 | 1, 138 | <0.05 * | |||||||
| Thinner side CTR, Analysis 3 | ||||||
| Thick-side WJD (−) | Thick-side WJD (+) | EM mean | Main effect | p-value | ||
| Thin-side WJD (−) | 0.443 | 0.383 | 0.413 | −0.056 | 0.005 ** | |
| Thin-side WJD (+) | 0.387 | 0.326 | 0.356 | |||
| EM mean | 0.415 | 0.354 | ||||
| Main effect | −0.060 | |||||
| p-value | 0.004 ** | |||||
| Thicker side CTR, Analysis 3 | ||||||
| Thick-side WJD (−) | Thick-side WJD (+) | EM mean | Main effect | p-value | ||
| Thin-side WJD (−) | 0.482 | 0.390 | 0.436 | −0.010 | 0.63 | |
| Thin-side WJD (+) | 0.473 | 0.380 | 0.426 | |||
| EM mean | 0.477 | 0.385 | ||||
| Main effect | −0.093 | |||||
| p-value | <0.001 ** | |||||
| Logit CTRR, Analysis 2 | ||||||
| Thick-side WJD (−) | Thick-side WJD (+) | Simple main effect | OR | p-value | ||
| Thin-side WJD (−) | 2.883 a | 2.642 b | b-a | −0.242 | 0.785 | 0.57 |
| Thin-side WJD(+) | 1.423 c | 2.255 d | d-c | 0.833 | 2.300 | 0.014 * |
| c-a | d-b | |||||
| Simple main effect | −1.461 | −0.386 | ||||
| OR | 0.232 | 0.680 | ||||
| p-value | <0.001 ** | 0.38 | ||||
| Pre-Biologics | Post-Biologics | Number | p-Value | |
|---|---|---|---|---|
| CTR (right) | 0.460 ± 0.105 | 0.413 ± 0.107 | 30 | <0.001 ** |
| CTR (left) | 0.457 ± 0.106 | 0.423 ± 0.113 | 30 | 0.029 * |
| CTR (right) # | 0.569 ± 0.275 | 0.497 ± 0.855 | 11 | 0.018 * |
| CTR (left) # | 0.567 ± 0.390 | 0.506 ± 0.102 | 10 | 0.041 * |
Disclaimer/Publisher’s Note: The statements, opinions and data contained in all publications are solely those of the individual author(s) and contributor(s) and not of MDPI and/or the editor(s). MDPI and/or the editor(s) disclaim responsibility for any injury to people or property resulting from any ideas, methods, instructions or products referred to in the content. |
© 2024 by the authors. Licensee MDPI, Basel, Switzerland. This article is an open access article distributed under the terms and conditions of the Creative Commons Attribution (CC BY) license (https://creativecommons.org/licenses/by/4.0/).
Share and Cite
Nakashima, A.; Fujii, H.; Kuroda, M.; Zoshima, T.; Mizushima, I.; Nomura, H.; Kawano, M. Asymmetrical Damage of the Wrist Joint Induces Lateralized Cortical Bone Loss in the Metacarpal Diaphysis in Patients with Rheumatoid Arthritis. J. Clin. Med. 2024, 13, 7652. https://doi.org/10.3390/jcm13247652
Nakashima A, Fujii H, Kuroda M, Zoshima T, Mizushima I, Nomura H, Kawano M. Asymmetrical Damage of the Wrist Joint Induces Lateralized Cortical Bone Loss in the Metacarpal Diaphysis in Patients with Rheumatoid Arthritis. Journal of Clinical Medicine. 2024; 13(24):7652. https://doi.org/10.3390/jcm13247652
Chicago/Turabian StyleNakashima, Akikatsu, Hiroshi Fujii, Masahiro Kuroda, Takeshi Zoshima, Ichiro Mizushima, Hideki Nomura, and Mitsuhiro Kawano. 2024. "Asymmetrical Damage of the Wrist Joint Induces Lateralized Cortical Bone Loss in the Metacarpal Diaphysis in Patients with Rheumatoid Arthritis" Journal of Clinical Medicine 13, no. 24: 7652. https://doi.org/10.3390/jcm13247652
APA StyleNakashima, A., Fujii, H., Kuroda, M., Zoshima, T., Mizushima, I., Nomura, H., & Kawano, M. (2024). Asymmetrical Damage of the Wrist Joint Induces Lateralized Cortical Bone Loss in the Metacarpal Diaphysis in Patients with Rheumatoid Arthritis. Journal of Clinical Medicine, 13(24), 7652. https://doi.org/10.3390/jcm13247652

