Sign in to use this feature.

Years

Between: -

Subjects

remove_circle_outline
remove_circle_outline
remove_circle_outline
remove_circle_outline
remove_circle_outline
remove_circle_outline
remove_circle_outline
remove_circle_outline
remove_circle_outline

Journals

Article Types

Countries / Regions

Search Results (22)

Search Parameters:
Keywords = jambu

Order results
Result details
Results per page
Select all
Export citation of selected articles as:
29 pages, 1849 KB  
Review
Botany, Ethnopharmacology, Phytochemistry, and Biological Activities of Acmella oleracea: A Comprehensive Review
by Ba-Wool Lee
Molecules 2026, 31(4), 677; https://doi.org/10.3390/molecules31040677 - 15 Feb 2026
Viewed by 268
Abstract
Acmella oleracea (L.) R. K. Jansen (Asteraceae), commonly known as the “toothache plant” or “jambu,” is a significant medicinal plant that has been traditionally used in Brazil and other tropical and subtropical regions for relieving dental pain, as an anti-inflammatory agent, and as [...] Read more.
Acmella oleracea (L.) R. K. Jansen (Asteraceae), commonly known as the “toothache plant” or “jambu,” is a significant medicinal plant that has been traditionally used in Brazil and other tropical and subtropical regions for relieving dental pain, as an anti-inflammatory agent, and as a culinary spice. Due to its versatile utility, this plant has been extensively studied in modern medicine and pharmacy for its diverse pharmacological properties, including anesthetic, analgesic, anti-inflammatory, antioxidant, and antimicrobial activities. Analytical research on the chemical compositions responsible for these activities has led to the identification of approximately 120 secondary metabolites. These findings provide scientific validation for its traditional uses and have spurred research into the development of ingredients for functional foods and cosmetics. This review incorporates the latest research findings, focusing on biological activities and compounds that have been practically isolated or can be isolated based on quantitative experimental data, to serve as a practical reference for industrial development. Furthermore, factors influencing the content of alkylamides and phenolic compounds, two major bioactive groups, are summarized to support material development. Ultimately, this review aims to provide a clearer understanding of the plant’s utility and contribute to the development of products that enhance human health. Full article
(This article belongs to the Section Medicinal Chemistry)
Show Figures

Figure 1

21 pages, 2489 KB  
Article
Assessment of the Yield and Bioactive Compounds of Jambu (Acmella oleracea) Flowers and Leaves Extracted with CO2, 1,1,1,2-Tetrafluoroethane (R-134a), and Propane
by Marcos Antônio Avibar Ruzza, Raquel Laina Barbosa dos Santos, Nikolas Ramos Bernardes, Carlos Toshiyuki Hiranobe, Dener da Silva Souza, Michael Jones da Silva, Erivaldo Antônio da Silva, Renivaldo José dos Santos and Leandro Ferreira-Pinto
ChemEngineering 2026, 10(1), 9; https://doi.org/10.3390/chemengineering10010009 - 7 Jan 2026
Viewed by 380
Abstract
This study compares the extraction of oils and bioactive compounds from Acmella oleracea using supercritical CO2, pressurized R-134a, and propane under systematically designed experimental conditions. Extraction yields ranged from 1.16–3.35% for CO2, 1.90–2.35% for R-134a, and 1.30–5.42% for propane. [...] Read more.
This study compares the extraction of oils and bioactive compounds from Acmella oleracea using supercritical CO2, pressurized R-134a, and propane under systematically designed experimental conditions. Extraction yields ranged from 1.16–3.35% for CO2, 1.90–2.35% for R-134a, and 1.30–5.42% for propane. Propane achieved the highest yields and the fastest plateau (~35 min), producing extracts dominated by unsaturated fatty acids (linoleic acid ≈ 85%). Supercritical CO2 generated the most diverse chemical profile, combining alkamides (spilanthol), triterpenoids (β-amyrone), and lipids, with a plateau at approximately 50 min, whereas R-134a selectively enriched β-amyrin acetate (~70%) with intermediate kinetics (~45 min). These yield values are typical for non-oilseed species, in which the low natural abundance of the target metabolites renders solvent selectivity more relevant than the total extract mass. Statistical modeling (R2 > 0.96) confirmed that pressure was the main driver of CO2 and propane extraction, whereas temperature dominated R-134a performance. The distinct selectivity patterns revealed by Gas chromatography–mass spectrometry (GC-MS) indicate that each solvent generates compositionally different extracts aligned with specific industrial applications in cosmetics, pharmaceuticals, and nutraceuticals. The unified comparison of these three fluids under a consistent experimental design provides practical insights for rational solvent selection: propane favors unsaturated lipids, CO2 preserves multifunctional compositions, and R-134a targets triterpenoid esters, supporting the economic feasibility of producing enriched, solvent-free plant extracts. Full article
Show Figures

Figure 1

12 pages, 2004 KB  
Article
Evaluating the Productivity of Jambu (Acmella oleracea) with Effluent from Tambaqui Culture: An Integrated Aquaculture—Agriculture Approach for the Amazon
by Glauber David Almeida Palheta, Andreza Mayra Baena Souza de Jesus, Larissa Matos Lima, Sávio Lucas de Matos Guerreiro, Nuno Filipe Alves Correia de Melo, Ronald Kennedy Luz, Fábio Carneiro Sterzelecki and Jessivaldo Rodrigues Galvão
Agriculture 2025, 15(22), 2332; https://doi.org/10.3390/agriculture15222332 - 9 Nov 2025
Viewed by 715
Abstract
The global demand for sustainable food systems requires innovative strategies that reconcile productivity with environmental stewardship, particularly in biodiversity-rich regions such as the Amazon. This study evaluated the cultivation of Acmella oleracea (jambu) using effluent from Colossoma macropomum (tambaqui) aquaculture as a partial [...] Read more.
The global demand for sustainable food systems requires innovative strategies that reconcile productivity with environmental stewardship, particularly in biodiversity-rich regions such as the Amazon. This study evaluated the cultivation of Acmella oleracea (jambu) using effluent from Colossoma macropomum (tambaqui) aquaculture as a partial substitute for chemical fertilizer. Five treatments were tested under greenhouse conditions: 100% fertilizer, 75% fertilizer, 50% fertilizer, 25% chemical, and 0% fertilizer. Significant treatment effects were observed for leaf number, plant height, stem diameter, and shoot biomass, while root biomass showed no differences. Treatments with 100%, 75%, and 50% fertilizer exhibited statistically similar performance across several growth parameters, indicating that up to 50% of the chemical fertilizer can be replaced by aquaculture effluent without significant yield reduction. Treatments with 50% fertilizer and 0% fertilizer showed reduced growth and higher tissue accumulation of nitrate and ammonium, reflecting nutritional imbalances. In parallel, tambaqui showed 100% survival and satisfactory growth, confirming the stability of the integrated system. These results highlight that, although exclusive use of effluent is insufficient to match chemical fertilizer, partial substitution represents a viable strategy to reduce input costs and recycle nutrients, reinforcing the bioeconomic potential of aqua-culture–agriculture integration in the Amazon. Full article
(This article belongs to the Section Agricultural Soils)
Show Figures

Graphical abstract

20 pages, 2887 KB  
Article
Jamamina: A Green Nanostructured Lipid Carrier with NaDES and Curcumin for Redox Modulation and Inflammatory Disorders
by Luís Felipe Romera, Luísa Schuh, Caio Leal, Leonardo Froes de Azevedo Chang, Brenda Martins dos Santos, Pedro Henrique Almeida de Jesus da Rocha, Marina Arantes Radicchi, Eliana Fortes Gris, Leila Falcao, Sônia Nair Báo and Victor Carlos Mello
Int. J. Mol. Sci. 2025, 26(17), 8373; https://doi.org/10.3390/ijms26178373 - 28 Aug 2025
Cited by 2 | Viewed by 4587
Abstract
Plant-derived compounds offer immense therapeutic potential, yet many suffer from limited solubility, instability, and poor bioavailability, restricting their clinical application. Curcumin, a polyphenol extracted from Curcuma longa, is one such molecule, with proven antioxidant and anti-inflammatory properties. To overcome its pharmacokinetic limitations, [...] Read more.
Plant-derived compounds offer immense therapeutic potential, yet many suffer from limited solubility, instability, and poor bioavailability, restricting their clinical application. Curcumin, a polyphenol extracted from Curcuma longa, is one such molecule, with proven antioxidant and anti-inflammatory properties. To overcome its pharmacokinetic limitations, we developed Jamamina, a sustainable nanostructured lipid carrier (NLC) system incorporating curcumin and a Natural Deep Eutectic Solvent (NaDES) phase composed of malic acid and betaine. The bioinspired formulation, based on Amazonian tucumã butter and jambu oil, achieved high encapsulation efficiency (>80%) and curcumin amorphization, enhancing solubility and colloidal stability. In vitro assays with L132 demonstrated potent antioxidant activity (DPPH), a significant reduction in pro-inflammatory cytokines (TNF-α and IL-6), and upregulation of IL-10. The system also suppressed MMP-2/9 activity and preserved cytoskeletal integrity under oxidative stress. These findings highlight Jamamina as a multifunctional, eco-friendly nanoplatform that enables the pharmacological application of plant-derived curcumin, representing a promising platform for modulating redox balance and investigating inflammation in epithelial-like contexts. Full article
(This article belongs to the Special Issue Plant-Derived Bioactive Compounds for Pharmacological Applications)
Show Figures

Graphical abstract

18 pages, 3113 KB  
Article
Assessment of the N-Alkylamide Content and Volatile Profiles in Two Cultivars of Acmella oleracea (L.) R.K. Jansen Grown in Aquaponics
by Marta Ferrati, Beatrice Bartolini, Giulio Lupidi, Lorenzo Freddi, Valentina Bolletta, Marco Cespi, Rita Giovannetti, Marco Zannotti, Riccardo Petrelli, Filippo Maggi and Eleonora Spinozzi
Plants 2025, 14(9), 1401; https://doi.org/10.3390/plants14091401 - 7 May 2025
Cited by 1 | Viewed by 1457
Abstract
Acmella oleracea (L.) R.K. Jansen, also called jambù, is a medicinal and aromatic plant native to the Brazilian Amazon rainforest and phytochemically characterized by N-alkylamides with spilanthol as the main active compound. Jambù recently attracted the interest of many companies because of [...] Read more.
Acmella oleracea (L.) R.K. Jansen, also called jambù, is a medicinal and aromatic plant native to the Brazilian Amazon rainforest and phytochemically characterized by N-alkylamides with spilanthol as the main active compound. Jambù recently attracted the interest of many companies because of its wide range of pharmaceutical, nutraceutical, and cosmetic applications. In this context, it is desirable to identify eco-friendly cultivation methods that not only minimize the environmental footprint but also support the biosynthesis of the plant’s valuable bioactive compounds. The zero-discharge approach of aquaponics makes this growing system an eco-friendly and sustainable production strategy for crops. Thus, a greenhouse experiment was conducted on two jambù cultivars, i.e., cv ‘purple’ and cv ‘yellow’, grown in aquaponic and hydroponic systems. The objective was to compare their contents of N-alkylamides, their numbers of capitula, which are the main source of these bioactives, and their volatile profiles. The results highlighted differences between the two cultivars and among plants harvested at different periods. Interestingly, aquaponics yielded plants with a high N-alkylamide content, which was comparable to that obtained with hydroponics. Overall, this study highlighted the feasibility of adopting aquaponics to grow A. oleracea, paving the way for circular economy-based and sustainable agricultural practices. Full article
(This article belongs to the Special Issue Plant-Derived Natural Products: Development and Utilization)
Show Figures

Graphical abstract

13 pages, 9556 KB  
Article
Seasonality’s Effects on the Chemical Composition and Antiradical Capacity of the Floral Essential Oil of Acmella oleracea (L.) R.K. Jansen Cultivated in the Brazilian Amazon
by Lucas Botelho Jerônimo, José Augusto C. de Araújo, Joyce Kelly R. da Silva, Rosa Helena V. Mourão, William N. Setzer and Pablo Luis B. Figueiredo
Horticulturae 2024, 10(9), 925; https://doi.org/10.3390/horticulturae10090925 - 29 Aug 2024
Cited by 2 | Viewed by 1896
Abstract
For the first time, this work reports the seasonal influence on the chemical composition and antiradical capacity of Acmella oleracea floral essential oil, produced from a perennial herb of great nutritional and pharmacological importance in the Amazon region. The species was cultivated and [...] Read more.
For the first time, this work reports the seasonal influence on the chemical composition and antiradical capacity of Acmella oleracea floral essential oil, produced from a perennial herb of great nutritional and pharmacological importance in the Amazon region. The species was cultivated and the plantation was monitored from May to September 2022 between the rainy and dry seasons. The essential oils were obtained by hydrodistillation, analyzed by gas chromatography coupled with a mass spectrometer, and subjected to the free radical inhibition assay using the DPPH method. The highest oil yield (1.61%) occurred in May (rainy season), and the lowest (0.68%) occurred in September (dry season). Despite the difference in the oil yield between the rainy and dry seasons, no significant correlation with weather conditions (p > 0.05) occurred. During the collection period, the class of sesquiterpene hydrocarbons was predominant (16.35–46.01%). The main constituents of A. oleracea were E-caryophyllene (13.57–25.74%), caryophyllene oxide (0.88–31.72%), 1-pentadecene (5.42–16.58%), germacrene D (0.14–15.17%), and myrcene (1.08–11.99%), and a low concentration of its main bioactive spilanthol (0.66–5.2%) was also observed. The antiradical capacity was considered low, with inhibition of 7.96 to 7.53% of free radicals and a Trolox equivalence of 68.4 to 64.7 mg·ET/g. Although there were some changes in the levels of chemical components in A. oleracea essential oils, the species can be considered an alternative source of pharmacologically active compounds such as E-caryophyllene and caryophyllene oxide, in addition to presenting amounts of other bioactive molecules. Full article
Show Figures

Figure 1

22 pages, 4519 KB  
Article
Security Analysis of the Symmetric Cryptosystem TinyJambu
by Amparo Fúster-Sabater and M. E. Pazo-Robles
Symmetry 2024, 16(4), 440; https://doi.org/10.3390/sym16040440 - 5 Apr 2024
Cited by 3 | Viewed by 2186
Abstract
Symmetric cryptography provides the best examples of cryptosystems to be applied in lightweight environments (e.g., IoT). A representative example is the cryptosystem TinyJambu, one of the ten finalists in the NIST Lightweight Cryptography Standardization Project. It is an authentication encryption with associated data [...] Read more.
Symmetric cryptography provides the best examples of cryptosystems to be applied in lightweight environments (e.g., IoT). A representative example is the cryptosystem TinyJambu, one of the ten finalists in the NIST Lightweight Cryptography Standardization Project. It is an authentication encryption with associated data scheme that is extremely lightweight and fast. In this work, we analyze the security of TinyJambu from two distinct and non-symmetric points of view: (1) the improvement of the best cryptanalytical attack found in the literature and (2) a randomness analysis of the generated sequences. Concerning item (1), we launched a differential forgery attack with probability 2−65.9487, which was improved considerably compared with previous numerical results. Concerning item (2), we analyzed the degree of randomness of the TinyJambu keystream sequences with a complete and powerful battery of statistical tests. This non-symmetric study shows the weakness of TinyJambu against cryptanalytic attacks as well as the strength of TinyJambu against statistical analysis. Full article
(This article belongs to the Topic Trends and Prospects in Security, Encryption and Encoding)
Show Figures

Figure 1

17 pages, 2426 KB  
Review
Bioactive Compounds of Jambu (Acmella oleracea (L.) R. K. Jansen) as Potential Components of Biodegradable Food Packing: A Review
by Jardilene da Silva Moura, Eveline de Matos Gemaque, Celina Eugenio Bahule, Luiza Helena da Silva Martins, Renan Campos Chisté and Alessandra Santos Lopes
Sustainability 2023, 15(21), 15231; https://doi.org/10.3390/su152115231 - 24 Oct 2023
Cited by 8 | Viewed by 5698
Abstract
The production of biodegradable food packaging with innovative characteristics is a current challenge that contributes to sustainable development and guarantees greater consumer safety. Thus, this review reports the general characteristics of jambu, highlighting the nutritional and medicinal importance, the rich composition of bioactive [...] Read more.
The production of biodegradable food packaging with innovative characteristics is a current challenge that contributes to sustainable development and guarantees greater consumer safety. Thus, this review reports the general characteristics of jambu, highlighting the nutritional and medicinal importance, the rich composition of bioactive compounds and, mainly, the advances in the application of the plant as a multifunctional material for food packaging. The possibility of using jambu in active and “intelligent” films was identified. The addition of bioactive compounds to films can influence the physical, biochemical and sensory properties of foods, increasing the shelf life of packaged products, in addition to adding more economic value to the plant. According to the knowledge obtained by the authors of this review, information about the potential application of bioactive compounds from jambu in the development of films for biodegradable packaging will be presented for the first time in this review. Therefore, this study will provide researchers, food scientists and academics with a more comprehensive understanding of sustainable food packaging, with a focus on active and “intelligent” properties, contributing to the development of future research. Full article
(This article belongs to the Section Sustainable Food)
Show Figures

Figure 1

20 pages, 4633 KB  
Article
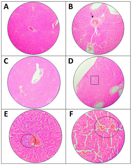
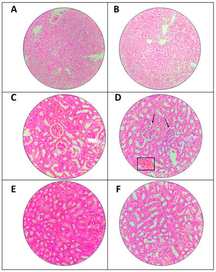
Assessing the Acute Toxicological Effects of Annona muricata Leaf Ethanol Extract on Rats: Biochemical, Histopathological, and Metabolomics Analyses
by Siti Norliyana Zubaidi, Wasim S. M. Qadi, Syahida Maarof, Norazlan Mohmad Misnan, Halimatul Saadiah Mohammad Noor, Hamizah Shahirah Hamezah, Syarul Nataqain Baharum, Nurwahyuna Rosli, Faidruz Azura Jam, Ebtesam Al-Olayan, Chuanyi Wang, Khaoula Hellal, Nawal Buzgaia and Ahmed Mediani
Toxics 2023, 11(8), 688; https://doi.org/10.3390/toxics11080688 - 10 Aug 2023
Cited by 6 | Viewed by 4877
Abstract
Annona muricata is a common plant used in Africa and South America to manage various types of disease. However, there is insufficient toxicological information or published standard available regarding repeated dose animal toxicity data. As part of the safety assessment, we exposed Sprague [...] Read more.
Annona muricata is a common plant used in Africa and South America to manage various types of disease. However, there is insufficient toxicological information or published standard available regarding repeated dose animal toxicity data. As part of the safety assessment, we exposed Sprague Dawley rats to an acute oral toxicity of A. muricata. The intent of the current study was to use advanced proton nuclear magnetic resonance (1H NMR) in serum and urinary metabolomics evaluation techniques to provide the in vivo acute toxicological profile of A. muricata leaf ethanol extract in accordance with the Organization for Economic Co-operation and Development’s (OECD) 423 guidelines. A single 2000 mg/kg dose of A. muricata leaf ethanol extract was administered to Sprague Dawley rats over an observational period of 14 days. The toxicity evaluation (physical and behavior observation, body weight, renal function test, liver function test and 1H NMR analysis) showed no abnormal toxicity. Histopathological analysis manifested mild changes, i.e., the treated kidney manifested mild hypercellularity of mesangial cells and mild red blood cell congestion. In addition, there was mild hemorrhage into tissue with scattered inflammatory cells and mild dilated central vein with fibrosis in the liver. However, the changes were very mild and not significant which correlate with other analyses conducted in this study (biochemical test and 1H NMR metabolomic analysis). On the other hand, urinary 1H NMR analysis collected on day 15 revealed high similarity on the metabolite variations for both untreated and treated groups. Importantly, the outcomes suggest that A. muricata leaf ethanol extract can be safely consumed at a dose of 2000 mg/kg and the LD50 must be more than 2000 mg/kg. Full article
(This article belongs to the Section Agrochemicals and Food Toxicology)
Show Figures

Figure 1

12 pages, 817 KB  
Article
Jambu Flower Extract (Acmella oleracea) Increases the Antioxidant Potential of Beer with a Reduced Alcohol Content
by Suelem Paixão da Silva, José Augusto Lacerda Fernandes, Alberdan Silva Santos and Nelson Rosa Ferreira
Plants 2023, 12(8), 1581; https://doi.org/10.3390/plants12081581 - 7 Apr 2023
Cited by 6 | Viewed by 4600
Abstract
Craft beers with different sensory perceptions have received the attention of more demanding consumers. In this sense, the application of plant extracts as brewing adjuncts is being increasingly studied. Allied with these perspectives is the consumption of lower alcoholic beverages, which also represents [...] Read more.
Craft beers with different sensory perceptions have received the attention of more demanding consumers. In this sense, the application of plant extracts as brewing adjuncts is being increasingly studied. Allied with these perspectives is the consumption of lower alcoholic beverages, which also represents the desire for a market niche that has been growing gradually. The present work aimed to produce craft lager beer with the addition of plant extract and reduced alcohol content by partial replacement of malt with malt bagasse. The physical-chemical analyzes of the beer produced showed that it was possible to reduce the alcohol content by 40.5% compared to the control sample. In addition, an extract of Acmella oleracea (Jambu) obtained by supercritical extraction was added to increase the beer’s antioxidant capacity. The ABTS, DPPH, and ORAC methods evaluated the antioxidant capacity. These assays were performed again after six months of storage. The quantification and identification of the significant substance in the extract (spilanthol) were performed using Gas Chromatography (GC-FID), Thin Layer Chromatography (TLC), and Attenuated Total Reflectance Infrared Spectroscopy (FTIR-ATR). The results showed significant increases in antioxidant activity compared to the sample without extract. This positive aspect opens a perspective for using jambu flower extract as a prominent antioxidant adjunct in beer. Full article
(This article belongs to the Special Issue Plant Bioactive Compounds and Prospects for Their Use in Beverages)
Show Figures

Figure 1

14 pages, 638 KB  
Article
Thermal Degradation of Carotenoids from Jambu Leaves (Acmella oleracea) during Convective Drying
by Jardilene da Silva Moura, Railson Pontes e Sousa, Luiza Helena da Silva Martins, Carlos Emmerson Ferreira da Costa, Renan Campos Chisté and Alessandra Santos Lopes
Foods 2023, 12(7), 1452; https://doi.org/10.3390/foods12071452 - 29 Mar 2023
Cited by 13 | Viewed by 4250
Abstract
Jambu (Acmella oleracea) is a vegetable used in human food. Drying is an alternative to increase the shelf life of the product. High temperatures can induce the degradation of carotenoids and reduce the health benefits of these compounds. This study investigated the [...] Read more.
Jambu (Acmella oleracea) is a vegetable used in human food. Drying is an alternative to increase the shelf life of the product. High temperatures can induce the degradation of carotenoids and reduce the health benefits of these compounds. This study investigated the effect of the Jambu leaves’ drying temperature on the carotenoid composition. It was performed previously by screening 16 plants from different localities based on the total carotenoid content. The process of drying by convection was carried out at temperatures of 35, 40, 50, and 60 °C in an air circulation oven, at an air velocity of 1.4 m/s−1 and a processing time of ~20 h. The drying data were fitted to six mathematical models and the quantification of the carotenoid retention was determined by HPLC-DAD. The study demonstrates that the carotenoid content among the samples collected from the 16 producers varied by 72% (lower—175 ± 16 μg/g, higher—618 ± 46 μg/g). Among the models, the Page model was found to be the most suitable model to explain the variation of the experimental data. The drying process at 40 °C reduces the Jambu leaves’ carotenoid content significantly (p < 0.05) (All-trans-β-carotene—86 ± 2 μg/g, All-trans-lutein—141 ± 0.2 μg/g) but does not alter the carotenoid profile. The occurrence of similar reduction behavior was observed for the different carotenoids at all the temperatures studied. The drying process at 35 °C was the condition that ensured the highest retention of carotenoids, and also a product classified as a very high source of carotenoids (total carotenoids—748 ± 27 μg/g, vitamin A—17 ± 1 μg RAE/g). Thus, this study concludes that a temperature of 35 °C for 14 h (air velocity—1.4 m/s−1) is the best drying condition for Jambu leaves using a low-cost dryer and as a possibility for the preservation and marketing of this Amazonian raw material. Full article
(This article belongs to the Section Food Engineering and Technology)
Show Figures

Figure 1

21 pages, 2900 KB  
Review
Scaffold Using Chitosan, Agarose, Cellulose, Dextran and Protein for Tissue Engineering—A Review
by Antony V. Samrot, Mahendran Sathiyasree, Sadiq Batcha Abdul Rahim, Robinson Emilin Renitta, Kasirajan Kasipandian, Sivasuriyan Krithika Shree, Deenadhayalan Rajalakshmi, Nagarajan Shobana, Shanmugaboopathi Dhiva, Sasi Abirami, Sridevi Visvanathan, Basanta Kumar Mohanty, Gokul Shankar Sabesan and Suresh V. Chinni
Polymers 2023, 15(6), 1525; https://doi.org/10.3390/polym15061525 - 19 Mar 2023
Cited by 48 | Viewed by 7923
Abstract
Biological macromolecules like polysaccharides/proteins/glycoproteins have been widely used in the field of tissue engineering due to their ability to mimic the extracellular matrix of tissue. In addition to this, these macromolecules are found to have higher biocompatibility and no/lesser toxicity when compared to [...] Read more.
Biological macromolecules like polysaccharides/proteins/glycoproteins have been widely used in the field of tissue engineering due to their ability to mimic the extracellular matrix of tissue. In addition to this, these macromolecules are found to have higher biocompatibility and no/lesser toxicity when compared to synthetic polymers. In recent years, scaffolds made up of proteins, polysaccharides, or glycoproteins have been highly used due to their tensile strength, biodegradability, and flexibility. This review is about the fabrication methods and applications of scaffolds made using various biological macromolecules, including polysaccharides like chitosan, agarose, cellulose, and dextran and proteins like soy proteins, zein proteins, etc. Biopolymer-based nanocomposite production and its application and limitations are also discussed in this review. This review also emphasizes the importance of using natural polymers rather than synthetic ones for developing scaffolds, as natural polymers have unique properties, like high biocompatibility, biodegradability, accessibility, stability, absence of toxicity, and low cost. Full article
(This article belongs to the Special Issue Chitosan, Chitin, and Cellulose Nanofiber Biomaterials II)
Show Figures

Figure 1

18 pages, 14802 KB  
Article
Evaluation of the Toxic Effect of Bauhinia purpurea Mediated Synthesized Silver Nanoparticles against In-vitro and In-vivo Models
by Nagarajan Shobana, Pandurangan Prakash, Antony V. Samrot, Subramanian Saigeetha, Mahendran Sathiyasree, Rajendran Thirugnanasambandam, Sridevi Visvanathan, Basanta Kumar Mohanty, Gokul Shankar Sabesan, Shanmugaboopathi Dhiva, Rajan Renuka Remya, Senthilkumar Pachiyappan and Samraj Wilson
Toxics 2023, 11(1), 9; https://doi.org/10.3390/toxics11010009 - 22 Dec 2022
Cited by 5 | Viewed by 2903
Abstract
Metal nanoparticles, such as gold nanoparticles, silver nanoparticles, etc., have many benefits and have been in use for a very long time. Nevertheless, a number of concerns have been raised about the environmental impact and the possibility of exposure to various living systems [...] Read more.
Metal nanoparticles, such as gold nanoparticles, silver nanoparticles, etc., have many benefits and have been in use for a very long time. Nevertheless, a number of concerns have been raised about the environmental impact and the possibility of exposure to various living systems at the moment. Thus, in this study, silver nanoparticles were synthesized by using plant gum from Bauhinia purpurea and characterization was done using UV—Visible Spectroscopy, Scanning Electron Microscopy, X—ray Diffraction, etc. To determine the accumulation and toxic effects caused by the nanoparticles, Eudrilus eugeniae, Danio rerio, and their embryos were exposed to the synthesized silver nanoparticles and evaluated using microscopic observation, histology, and Inductively Coupled Plasma Optical Emission Spectrometry (ICP—OES). Full article
Show Figures

Figure 1

21 pages, 398 KB  
Review
A Review of the NIST Lightweight Cryptography Finalists and Their Fault Analyses
by Hasindu Madushan, Iftekhar Salam and Janaka Alawatugoda
Electronics 2022, 11(24), 4199; https://doi.org/10.3390/electronics11244199 - 15 Dec 2022
Cited by 32 | Viewed by 9078
Abstract
The security of resource-constrained devices is critical in the IoT field, given that everything is interconnected. Therefore, the National Institute of Standards and Technology (NIST) initialized the lightweight cryptography (LWC) project to standardize the lightweight cryptography algorithms for resource-constrained devices. After two rounds, [...] Read more.
The security of resource-constrained devices is critical in the IoT field, given that everything is interconnected. Therefore, the National Institute of Standards and Technology (NIST) initialized the lightweight cryptography (LWC) project to standardize the lightweight cryptography algorithms for resource-constrained devices. After two rounds, the NIST announced the finalists in 2021. The finalist algorithms are Ascon, Elephant, GIFT-COFB, Grain-128AEAD, ISAP, PHOTON-Beetle, Romulus, SPARKLE, TinyJambu, and Xoodyak. The final round of the competition is still in progress, and the NIST will select the winner based on their and third-party evaluations. In this paper, we review the 10 finalists mentioned above, discuss their constructions, and classify them according to the underlying primitives. In particular, we analyze these ciphers from different perspectives, such as cipher specifications and structures, design primitives, security parameters, advantages and disadvantages, and existing cryptanalyses. We also review existing analyses of these finalists with a specific focus on the review of fault attacks. We hope the study compiled in this paper will benefit the cryptographic community by providing an easy-to-grasp overview of the NIST LWC finalists. Full article
(This article belongs to the Section Computer Science & Engineering)
Show Figures

Figure 1

22 pages, 15459 KB  
Review
A Review of the Chemistry and Biological Activities of Acmella oleracea (“jambù”, Asteraceae), with a View to the Development of Bioinsecticides and Acaricides
by Eleonora Spinozzi, Marta Ferrati, Cecilia Baldassarri, Loredana Cappellacci, Margherita Marmugi, Alice Caselli, Giovanni Benelli, Filippo Maggi and Riccardo Petrelli
Plants 2022, 11(20), 2721; https://doi.org/10.3390/plants11202721 - 14 Oct 2022
Cited by 30 | Viewed by 9052
Abstract
Human pathologies, environmental pollution, and resistance phenomena caused by the intensive use of chemical pesticides have shifted the attention of the agrochemical industries towards eco-friendly insecticides and acaricides. Acmella oleracea (L.) R. K. Jansen (jambù) is a plant native to South America, widely [...] Read more.
Human pathologies, environmental pollution, and resistance phenomena caused by the intensive use of chemical pesticides have shifted the attention of the agrochemical industries towards eco-friendly insecticides and acaricides. Acmella oleracea (L.) R. K. Jansen (jambù) is a plant native to South America, widely distributed and cultivated in many countries due to its numerous pharmacological properties. This review analyzes literature about the plant, its uses, and current knowledge regarding insecticidal and acaricidal activity. Acmella oleracea has proven to be a potential pesticide candidate against several key arthropod pest and vector species. This property is inherent to its essential oil and plant extract, which contain spilanthol, the main representative of N-alkylamides. As a result, there is a scientific basis for the industrial exploitation of jambù in the preparation of green insecticides. However, studies related to its toxicity towards non-target species and those aimed at formulating and developing marketable products are lacking. Full article
(This article belongs to the Special Issue Insecticidal Activity of Plant Secondary Metabolites)
Show Figures

Figure 1

Back to TopTop