Sign in to use this feature.

Years

Between: -

Subjects

remove_circle_outline
remove_circle_outline
remove_circle_outline
remove_circle_outline
remove_circle_outline
remove_circle_outline

Journals

Article Types

Countries / Regions

Search Results (155)

Search Parameters:
Keywords = hereditary malignancies

Order results
Result details
Results per page
Select all
Export citation of selected articles as:
18 pages, 430 KB  
Article
Germline Mutations in DNA Repair Genes in Patients with Pancreatic Neuroendocrine Neoplasms: Diagnostic and Therapeutic Implications
by Beata Jurecka-Lubieniecka, Małgorzata Ros-Mazurczyk, Aleksandra Sygula, Alexander J. Cortez, Marcela Krzempek, Anna B. Tuleja, Agnieszka Kotecka-Blicharz, Marta Cieslicka, Malgorzata Oczko-Wojciechowska and Daria Handkiewicz-Junak
Curr. Oncol. 2025, 32(11), 631; https://doi.org/10.3390/curroncol32110631 - 10 Nov 2025
Viewed by 194
Abstract
Pancreatic neuroendocrine neoplasms (pNENs) are the second most common type of pancreatic cancer after pancreatic ductal adenocarcinoma. Germline mutations in DNA repair genes drive several hereditary and sporadic cancers; however, their role in pNENs remains poorly defined. This pilot study aimed to assess [...] Read more.
Pancreatic neuroendocrine neoplasms (pNENs) are the second most common type of pancreatic cancer after pancreatic ductal adenocarcinoma. Germline mutations in DNA repair genes drive several hereditary and sporadic cancers; however, their role in pNENs remains poorly defined. This pilot study aimed to assess the frequency and clinical relevance of germline DNA repair gene mutations in patients with pNENs, both with and without a family history of cancer. Germline DNA from 57 Polish patients with pNENs was analyzed using targeted next-generation sequencing to identify variants in a panel of DNA repair genes. Variant classification followed the American College of Medical Genetics and Genomics/Association for Molecular Pathology guidelines. Germline mutations were identified in 14 patients (24.6%), both with and without a family history of malignancy. Two patients carried pathogenic variants in BRCA2 and CHEK2, while seven carried variants of uncertain significance (VUS). The identified variants have been implicated in various cancer types, including breast, ovarian, prostate, gastric, colorectal, and pancreatic cancers. These findings indicate that germline mutations in DNA repair genes may contribute to the pathogenesis of pNENs, even in patients without a family history. Broader germline testing and population-specific studies are needed to clarify the genetic landscape and clinical implications of these alterations. Full article
(This article belongs to the Special Issue High-Grade Neuroendocrine Neoplasms)
Show Figures

Figure 1

13 pages, 15980 KB  
Article
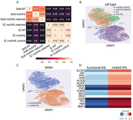
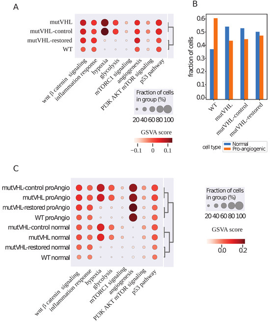
Manipulation with Mutational Status of VHL Regulates Hypoxic Metabolism and Pro-Angiogenic Phenotypes in ccRCC Caki-1 Cells
by Pavel Abramov, Alexandr Mazur, Aleksey Starshin, Svetlana Zhenilo and Egor Prokhortchouk
Int. J. Mol. Sci. 2025, 26(21), 10629; https://doi.org/10.3390/ijms262110629 - 31 Oct 2025
Viewed by 201
Abstract
Clear cell renal cell carcinoma (ccRCC), accounting for 80–90% of renal malignancies, is frequently driven by VHL inactivation—either through mutation or promoter hypermethylation—resulting in constitutive HIF2α activation and pseudohypoxic signaling. VHL gene inactivation is a hallmark of von Hippel–Lindau syndrome, a hereditary [...] Read more.
Clear cell renal cell carcinoma (ccRCC), accounting for 80–90% of renal malignancies, is frequently driven by VHL inactivation—either through mutation or promoter hypermethylation—resulting in constitutive HIF2α activation and pseudohypoxic signaling. VHL gene inactivation is a hallmark of von Hippel–Lindau syndrome, a hereditary disorder predisposing patients to ccRCC and other tumors, underscoring its central role in disease pathogenesis. While VHL dysfunction promotes aggressive tumor phenotypes, the therapeutic potential of VHL restoration remains underexplored. Here, using the Cas9 induced VHL-mutation in the Caki-1 cell line model, we demonstrate that VHL inactivation augments hypoxia-like pathways and enhances anaerobic glycolysis. Rescue of functional VHL reversed these activation patterns and modulated the expression of genes associated with angiogenesis. Using single cell transcriptomics, we show that the VHL-positive and -negative Caki-1 cells are characterized with different proportions of benign and aggressive cells as seen by analysis of specific gene expression. Furthermore, the identified angiogenesis-related genes were linked to affect clinical outcomes in ccRCC patients, suggesting that VHL restoration may mitigate high-risk molecular features. Full article
(This article belongs to the Section Molecular Oncology)
Show Figures

Figure 1

3 pages, 2637 KB  
Interesting Images
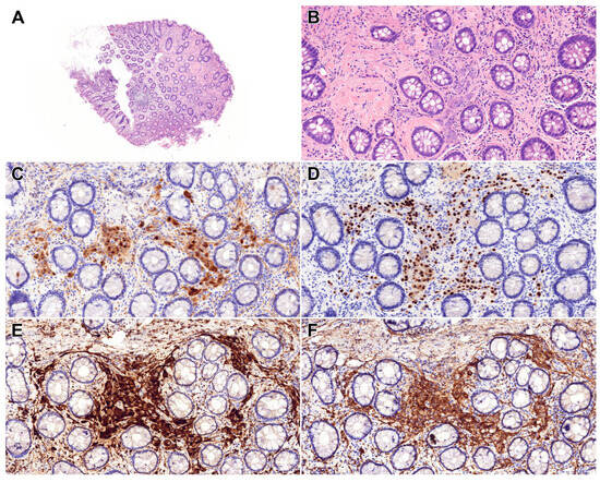
Colonic Ganglioneuroma—A Rare Finding During Colonoscopy
by Anita Sejben and Tamás Lantos
Diagnostics 2025, 15(21), 2716; https://doi.org/10.3390/diagnostics15212716 - 27 Oct 2025
Viewed by 256
Abstract
A 66-year-old female underwent a colonoscopy for persistent left lower abdominal discomfort and mucous stool passage. Endoscopic examination revealed a 3 mm sessile polyp in the ascending colon. Histopathological examination of the polyp showed preserved crypt architecture with a monomorphic spindle-cell proliferation within [...] Read more.
A 66-year-old female underwent a colonoscopy for persistent left lower abdominal discomfort and mucous stool passage. Endoscopic examination revealed a 3 mm sessile polyp in the ascending colon. Histopathological examination of the polyp showed preserved crypt architecture with a monomorphic spindle-cell proliferation within the lamina propria. Scattered ganglion cells were present and demonstrated immunoreactivity for Calretinin and S100. The lesion was diagnosed as a colonic ganglioneuroma. Ganglioneuromas are rarely localised to the gastrointestinal tract and often detected incidentally during colonoscopic screening. While solitary lesions are typically sporadic; diffuse or multiple ganglioneuromas may be associated with hereditary syndromes such as neurofibromatosis type 1, multiple endocrine neoplasia type 2B, and juvenile polyposis, the latter belonging to the PTEN-hamartoma tumour syndrome spectrum. Clinically, most colonic ganglioneuromas are asymptomatic, although some may present with nonspecific gastrointestinal symptoms. Despite their benign nature, rare cases of malignant transformation and association with adenocarcinoma have been reported. Full article
(This article belongs to the Special Issue Advances in Gastrointestinal Pathology)
Show Figures

Figure 1

44 pages, 2486 KB  
Review
Genetic, Epidemiological, Clinical, and Therapeutic Trajectories in Colon and Rectal Cancers
by Maurizio Capuozzo, Carmine Picone, Francesco Sabbatino, Mariachiara Santorsola, Francesco Caraglia, Domenico Iervolino, Roberto Sirica, Oreste Gualillo, Giordana Di Mauro, Rosa Castiello, Monica Ianniello, Alessia Maria Cossu, Angela Nebbioso, Lucia Altucci, Francesco Izzo, Renato Patrone, Andrea Belli, Massimiliano Berretta, Marco Cascella, Francesco Perri, Anna Chiara Carratù, Guglielmo Nasti, Massimo Di Maio, Antonio Giordano, Giovanni Savarese, Michele Caraglia and Alessandro Ottaianoadd Show full author list remove Hide full author list
Cancers 2025, 17(21), 3438; https://doi.org/10.3390/cancers17213438 - 27 Oct 2025
Viewed by 726
Abstract
Colorectal cancer (CRC) is among the most prevalent malignancies worldwide, representing the second leading cause of cancer-related mortality and accounting for approximately 2 million new cases and nearly half a million deaths annually. Global age-standardized incidence rates are highest in Australia/New Zealand and [...] Read more.
Colorectal cancer (CRC) is among the most prevalent malignancies worldwide, representing the second leading cause of cancer-related mortality and accounting for approximately 2 million new cases and nearly half a million deaths annually. Global age-standardized incidence rates are highest in Australia/New Zealand and other Western countries, and lowest in parts of sub-Saharan Africa and South Asia, reflecting variations in demographics, lifestyle exposures, and screening practices. Colon cancer constitutes the larger fraction of CRC cases, with rectal cancer contributing substantially, and early-onset CRC (<50 years) is increasing across both high-income and emerging regions. Established risk factors include age, hereditary syndromes, obesity, sedentary behavior, dietary patterns, metabolic disorders, and chronic inflammation, with notable distinctions between colon and rectal subsites. This narrative review provides a comprehensive overview of CRC epidemiology, molecular and genetic pathogenesis, staging, and modern therapeutic approaches, addressing colon and rectal cancers separately due to their distinct biology, clinical behavior, and treatment strategies. By integrating current knowledge on genetic drivers, systemic and local therapies, and patient stratification, the review aims to inform clinical practice, support clinical trial design, discuss ongoing challenges and future perspectives, and foster further research toward precision-guided management of CRC. Full article
Show Figures

Figure 1

14 pages, 581 KB  
Review
Surgical Ovarian Suppression and Breast Cancer—What Do We Know About It?
by Angel Yordanov, Ihsan Hasan, Mariela Vasileva-Slaveva, Eva Tsoneva, Stoyan Kostov and Vesselina Yanachkova
Medicina 2025, 61(11), 1905; https://doi.org/10.3390/medicina61111905 - 24 Oct 2025
Viewed by 496
Abstract
Breast cancer (BC) is the most common malignancy in women worldwide, with incidence projected to rise, particularly among younger patients. In premenopausal women with hormone receptor-positive disease, ovarian suppression is an established component of systemic therapy, most often achieved pharmacologically with gonadotropin-releasing hormone [...] Read more.
Breast cancer (BC) is the most common malignancy in women worldwide, with incidence projected to rise, particularly among younger patients. In premenopausal women with hormone receptor-positive disease, ovarian suppression is an established component of systemic therapy, most often achieved pharmacologically with gonadotropin-releasing hormone agonists (GnRHas). Bilateral salpingo-oophorectomy (BSO) represents a surgical alternative that ensures definitive suppression, eliminates compliance issues, and is more cost-effective in the long term. Despite these advantages, BSO induces irreversible menopause, associated with vasomotor symptoms, cardiovascular morbidity, bone loss, cognitive decline, and reduced quality of life. Evidence suggests that BSO is most appropriate in selected cases, including women unable to tolerate or adhere to medical suppression, those with inadequate estradiol suppression, patients approaching natural menopause, individuals with metastatic hormone receptor-positive disease, and carriers of BRCA1 mutations, especially with triple-negative tumors. Conversely, data on its benefit in BRCA2 carriers remain limited. Overall, BSO provides oncologic outcomes comparable to medical suppression but at the cost of permanent systemic effects. The decision between surgical and medical ovarian suppression should be individualized, balancing oncologic efficacy, comorbidities, genetic background, and patient preference. Further studies are needed to define the optimal duration of medical suppression and clarify the role of BSO in hereditary breast cancer. Full article
(This article belongs to the Section Obstetrics and Gynecology)
Show Figures

Figure 1

12 pages, 539 KB  
Review
Isolated Chronic Neutropenia in Adults: Causes, Diagnostic Work-Up, and Management—A Narrative Review
by Linet Njue, Naomi Porret, Martin Andres and Alicia Rovó
J. Clin. Med. 2025, 14(21), 7495; https://doi.org/10.3390/jcm14217495 - 23 Oct 2025
Viewed by 808
Abstract
Neutropenia is certainly of clinical significance due to its increased risk of infections in most patients. Chronic neutropenia is defined as neutropenia that persists for more than 3 months. Isolated chronic neutropenia is rare in clinical practice, and its differential diagnosis can be [...] Read more.
Neutropenia is certainly of clinical significance due to its increased risk of infections in most patients. Chronic neutropenia is defined as neutropenia that persists for more than 3 months. Isolated chronic neutropenia is rare in clinical practice, and its differential diagnosis can be challenging. This rare entity is the focus of this review. Here, we examine the common causes (drugs, hereditary, autoimmune, and idiopathic), diagnostic work-up, and management of chronic isolated neutropenia in adults. We also discuss the Duffy-null-associated neutrophil count (DANC), which has a high prevalence (80–100%) in Sub-Saharan Africans and in Arabs and is not considered a medical condition. It should be highlighted that management decisions in patients with chronic isolated neutropenia should be individualized, mainly taking into account their clinical history over the neutrophil count alone. In this narrative review, we exclusively focus on non-malignant, non-cytotoxic and non-chemotherapy-induced forms of isolated chronic neutropenia in adults. Full article
(This article belongs to the Special Issue Blood Disorders: Diagnosis, Management, and Future Opportunities)
Show Figures

Figure 1

28 pages, 12292 KB  
Review
Benign Cutaneous Neoplasms with Syndromic Associations
by Sean Lider, Chanel Mandap and Pavandeep Gill
Dermatopathology 2025, 12(4), 34; https://doi.org/10.3390/dermatopathology12040034 - 8 Oct 2025
Viewed by 788
Abstract
There are many benign skin neoplasms encountered in dermatopathology practice that can be associated with underlying genetic disorders. Although benign themselves, these lesions can offer insight into the potential for development of internal malignancies in patients with these hereditary syndromes. An astute dermatopathologist [...] Read more.
There are many benign skin neoplasms encountered in dermatopathology practice that can be associated with underlying genetic disorders. Although benign themselves, these lesions can offer insight into the potential for development of internal malignancies in patients with these hereditary syndromes. An astute dermatopathologist will recognize clues that suggest a syndromic association of these lesions, such as the presence of multiple lesions, distinct histologic growth patterns, and the results of ancillary immunohistochemical testing. The dermatopathologist can then guide the referring clinician to obtain additional clinical and family history and, if appropriate, pursue further screening and genetic testing. This review article will provide an overview of the clinical and histologic features associated with select common and uncommon benign skin neoplasms with syndromic associations. Full article
Show Figures

Figure 1

20 pages, 3383 KB  
Review
A Comprehensive Review of the Epidemiology, Pathophysiology, Risk Factors, and Treatment Strategies for Retinoblastoma
by Alpana Kumari, Sarav Paul Singh, Pankaj Kumar, Suresh Babu Kondaveeti, Vivek Kumar Garg, Rabdeep Kaur, Harpal Singh Buttar, Katrin Sak, Kiran Yadav and Vikas Yadav
Diseases 2025, 13(9), 307; https://doi.org/10.3390/diseases13090307 - 19 Sep 2025
Cited by 1 | Viewed by 1192
Abstract
The retinoblastoma gene (RB1), which is located on chromosome 13q14.2, is mutated in retinoblastoma (RB), the most common malignant intraocular tumor in children. About 8000 new cases of retinoblastoma are diagnosed globally each year, accounting for approximately 1 in 17,000 live [...] Read more.
The retinoblastoma gene (RB1), which is located on chromosome 13q14.2, is mutated in retinoblastoma (RB), the most common malignant intraocular tumor in children. About 8000 new cases of retinoblastoma are diagnosed globally each year, accounting for approximately 1 in 17,000 live births. RB is prototypically considered hereditary by nature as thirty to forty percent of cases have autosomal dominant inheritance, and the remaining sixty to seventy percent have non-inherited sporadic inheritance. RB is the most treatable juvenile malignancy, with a high percentage of survival; nevertheless, advanced tumors restrict the amount of globe salvage and are frequently linked to high-risk histological characteristics that indicate spread. Investigating the disease’s molecular causes has also helped to understand its subsequent processes, which has resulted in the identification of biomarkers and relevant targeted treatments. Additionally, advancements in molecular biology techniques facilitated the creation of effective strategies for early disease detection, genetic counseling, and prevention. In the present review, we discuss the risk factors, epidemiology, pathology, and therapeutic approaches for retinoblastoma. We specifically focus on the genetic and molecular characteristics of retinoblastoma, including mutations that cause key signaling pathways involved in the DNA repair, cellular plasticity, and cell proliferation to become dysregulated. Full article
(This article belongs to the Section Oncology)
Show Figures

Figure 1

18 pages, 1193 KB  
Review
DICER1 Syndrome: What Do We Know of the Pathogenetic Mechanisms?
by Floor A. Jansen, Jette Bakhuizen, Lennart Kester and Ronald R. de Krijger
Cancers 2025, 17(17), 2885; https://doi.org/10.3390/cancers17172885 - 2 Sep 2025
Cited by 1 | Viewed by 1239
Abstract
DICER1 syndrome is a hereditary cancer predisposition syndrome, characterized by a large range of benign and malignant neoplasms. Patients with DICER1 syndrome have a broad phenotype, with pleuropulmonary blastoma, Sertoli–Leydig cell tumor, cystic nephroma, cervical embryonal rhabdomyosarcoma, cystic lung lesions, and thyroid follicular [...] Read more.
DICER1 syndrome is a hereditary cancer predisposition syndrome, characterized by a large range of benign and malignant neoplasms. Patients with DICER1 syndrome have a broad phenotype, with pleuropulmonary blastoma, Sertoli–Leydig cell tumor, cystic nephroma, cervical embryonal rhabdomyosarcoma, cystic lung lesions, and thyroid follicular nodular disease being the most prevalent manifestations. The syndrome is caused by loss-of-function germline variants in the DICER1 gene, and DICER1-related tumors are characterized by second somatic hotspot variants in the RNase IIIb domain of DICER1. DICER1 encodes an endoribonuclease, which is important for RNA interference. This review describes the molecular mechanism of DICER1 function and the pathogenetic mechanisms of tumorigenesis. The purpose of this review is to describe the pathogenesis, genotype–phenotype correlation and tissue specificity of DICER1 syndrome. We conclude that there is a lack of knowledge about the exact molecular mechanisms of DICER1 function and more research is needed to determine the exact role of this altered protein in relation to pathogenesis. Full article
(This article belongs to the Section Pediatric Oncology)
Show Figures

Figure 1

22 pages, 368 KB  
Review
Early Detection of Pancreatic Cancer: Current Advances and Future Opportunities
by Zijin Lin, Esther A. Adeniran, Yanna Cai, Touseef Ahmad Qureshi, Debiao Li, Jun Gong, Jianing Li, Stephen J. Pandol and Yi Jiang
Biomedicines 2025, 13(7), 1733; https://doi.org/10.3390/biomedicines13071733 - 15 Jul 2025
Cited by 1 | Viewed by 9235
Abstract
Pancreatic ductal adenocarcinoma (PDAC) remains among the most lethal malignancies, with a five-year survival rate below 12%, largely attributable to its asymptomatic onset, late-stage diagnosis, and limited curative treatment options. Although PDAC accounts for approximately 3% of all cancers, it is projected to [...] Read more.
Pancreatic ductal adenocarcinoma (PDAC) remains among the most lethal malignancies, with a five-year survival rate below 12%, largely attributable to its asymptomatic onset, late-stage diagnosis, and limited curative treatment options. Although PDAC accounts for approximately 3% of all cancers, it is projected to become the second leading cause of cancer-related mortality in the United States by 2030. A major contributor to its dismal prognosis is the lack of validated early detection strategies for asymptomatic individuals. In this review, we present a comprehensive synthesis of current advances in the early detection of PDAC, with a focus on the identification of high-risk populations, novel biomarker platforms, advanced imaging modalities, and artificial intelligence (AI)-driven tools. We highlight high-risk groups—such as those with new-onset diabetes after age 50, pancreatic steatosis, chronic pancreatitis, cystic precursor lesions, and hereditary cancer syndromes—as priority populations for targeted surveillance. Novel biomarker panels, including circulating tumor DNA (ctDNA), miRNAs, and exosomes, have demonstrated improved diagnostic accuracy in early-stage disease. Recent developments in imaging, such as multiparametric MRI, contrast-enhanced endoscopic ultrasound, and molecular imaging, offer improved sensitivity in detecting small or precursor lesions. AI-enhanced radiomics and machine learning models applied to prediagnostic CT scans and electronic health records are emerging as valuable tools for risk prediction prior to clinical presentation. We further refine the Define–Enrich–Find (DEF) framework to propose a clinically actionable strategy that integrates these innovations. Collectively, these advances pave the way for personalized, multimodal surveillance strategies with the potential to improve outcomes in this historically challenging malignancy. Full article
Show Figures

Graphical abstract

19 pages, 6000 KB  
Article
An Integrated Clinical, Germline, Somatic, and In Silico Approach to Assess a Novel PMS2 Gene Variant Identified in Two Unrelated Lynch Syndrome Families
by Candida Fasano, Antonia Lucia Buonadonna, Giovanna Forte, Martina Lepore Signorile, Valentina Grossi, Katia De Marco, Paola Sanese, Andrea Manghisi, Nicoletta Maria Tutino, Raffaele Armentano, Anna Maria Valentini, Vittoria Disciglio and Cristiano Simone
Cancers 2025, 17(14), 2308; https://doi.org/10.3390/cancers17142308 - 11 Jul 2025
Viewed by 1054
Abstract
Background: Lynch syndrome (LS) is an autosomal dominant disease caused by germline pathogenic variants in one of the DNA mismatch repair (MMR) genes (MLH1, MSH2, MSH6, and PMS2) or the EPCAM gene. LS patients harboring genetic variants in [...] Read more.
Background: Lynch syndrome (LS) is an autosomal dominant disease caused by germline pathogenic variants in one of the DNA mismatch repair (MMR) genes (MLH1, MSH2, MSH6, and PMS2) or the EPCAM gene. LS patients harboring genetic variants in one of the MMR genes display a heterogeneous phenotype in terms of cancer penetrance (lifetime cancer risk) and expressivity (malignancies in gastrointestinal or other specific organs). Methods: DNA samples from the index cases of Family 1 and Family 2 were analyzed using a next-generation sequencing (NGS) multigene panel comprising 25 genes involved in major hereditary cancer predisposition syndromes. This NGS analysis revealed a variant of uncertain significance (VUS) in the PMS2 gene (NM_000535.7: c.184G>A; p.Gly62Arg) of both index cases, which was validated by Sanger sequencing. The structural and functional impact of this VUS was evaluated in silico using twelve different prediction tools and by immunohistochemical analysis of MMR proteins. Results: Based on the personal and family history of the two families, tumor pathology, and protein in silico analysis, the novel PMS2 gene variant described in this study may be associated with hereditary LS. Considering the low penetrance of PMS2 gene variants in LS-associated tumors and the intrafamilial variability of the associated clinical phenotypes, the multidisciplinary approach proposed in this study could significantly support the evaluation of suspected LS cases carrying PMS2 variants. Full article
Show Figures

Figure 1

12 pages, 470 KB  
Article
A Comparative Study on the Multidimensional Features of Hereditary and Sporadic Medullary Thyroid Carcinoma Patients: A Single-Center Retrospective Study
by Muzaffer Serdar Deniz, Narin Nasiroglu Imga, Belma Ozlem Tural Balsak, Asiye Safak Bulut, Furkan Savas, Busranur Cavdarli, Cevdet Aydin, Oya Topaloglu, Reyhan Ersoy and Bekir Cakir
Medicina 2025, 61(7), 1164; https://doi.org/10.3390/medicina61071164 - 27 Jun 2025
Viewed by 593
Abstract
Background and Objectives: Medullary thyroid carcinoma is a rare neuroendocrine malignancy, with sporadic and hereditary forms accounting for 75% and 25% of cases, respectively. This study compares the clinicopathological features of sporadic medullary thyroid carcinoma (sMTC) and hereditary medullary thyroid carcinoma (hMTC) using [...] Read more.
Background and Objectives: Medullary thyroid carcinoma is a rare neuroendocrine malignancy, with sporadic and hereditary forms accounting for 75% and 25% of cases, respectively. This study compares the clinicopathological features of sporadic medullary thyroid carcinoma (sMTC) and hereditary medullary thyroid carcinoma (hMTC) using real-world data to provide risk factors that aid in the early detection of the disease. Materials and Methods: The retrospective study comprised 77 patients with confirmed MTC treated at a tertiary referral center between January 2019 and December 2024. Patients were classified as hMTC (n = 11) or sMTC (n = 66) based on RET proto-oncogene (RET) genetic testing, whereas harboring a germline RET mutation indicated hMTC. Demographic, clinical, laboratory, radiological, histopathological, and genetic data were collected. Results: hMTC patients were significantly younger at diagnosis, with a comparable gender distribution (p = 0.738), and more often had a previous case of MTC within the family history. Pheochromocytoma occurred exclusively in hMTC. Multicentric tumors were more frequent in hMTC, and non-diagnostic Bethesda I cytology was higher in hMTC. Conclusions: While confirming established differences, this study provides detailed pre-operative diagnostic parameters and surgical approaches that can guide clinical decision-making in resource-limited settings where genetic testing may not be immediately available. Full article
(This article belongs to the Section Endocrinology)
Show Figures

Figure 1

47 pages, 706 KB  
Review
Overcoming Barriers in Cancer Biology Research: Current Limitations and Solutions
by Giovanni Colonna
Cancers 2025, 17(13), 2102; https://doi.org/10.3390/cancers17132102 - 23 Jun 2025
Cited by 4 | Viewed by 2107
Abstract
Cancer research faces significant biological, technological, and systemic limitations that hinder the development of effective therapies and improved patient outcomes. Traditional preclinical models, such as 2D and 3D cell cultures, murine xenografts, and organoids, often fail to reflect the complexity of human tumor [...] Read more.
Cancer research faces significant biological, technological, and systemic limitations that hinder the development of effective therapies and improved patient outcomes. Traditional preclinical models, such as 2D and 3D cell cultures, murine xenografts, and organoids, often fail to reflect the complexity of human tumor architecture, microenvironment, and immune interactions. This discrepancy results in promising laboratory findings not always translating effectively into clinical success. A core obstacle is tumor heterogeneity, characterized by diverse genetic, epigenetic, and phenotypic variations within tumors, which complicates treatment strategies and contributes to drug resistance. Hereditary malignancies and cancer stem cells contribute strongly to generating this complex panorama. Current early detection technologies lack sufficient sensitivity and specificity, impeding timely diagnosis. The tumor microenvironment, with its intricate interactions and resistance-promoting factors, further promotes treatment failure. Additionally, we only partially understand the biological processes driving metastasis, limiting therapeutic advances. Overcoming these barriers involves not only the use of new methodological approaches and advanced technologies, but also requires a cultural effort by researchers. Many cancer studies are still essentially observational. While acknowledging their significance, it is crucial to recognize the shift from deterministic to indeterministic paradigms in biomedicine over the past two to three decades, a transition facilitated by systems biology. It has opened the doors of deep metabolism where the functional processes that control and regulate cancer progression operate. Beyond biological barriers, systemic challenges include limited funding, regulatory complexities, and disparities in cancer care access across different populations. These socio-economic factors exacerbate research stagnation and hinder the translation of scientific innovations into clinical practice. Overcoming these obstacles requires multidisciplinary collaborations, advanced modeling techniques that better emulate human cancer, and innovative technologies for early detection and targeted therapy. Strategic policy initiatives must address systemic barriers, promoting health equity and sustainable research funding. While the complexity of cancer biology and systemic challenges are formidable, ongoing scientific progress and collaborative efforts inspire hope for breakthroughs that can transform cancer diagnosis, treatment, and survival outcomes worldwide. Full article
(This article belongs to the Section Methods and Technologies Development)
15 pages, 781 KB  
Article
Expanding the Genomic Landscape of HBOC and Cancer Risk Among Mutation Carriers
by Maria Teresa Vietri, Chiara Della Pepa, Gemma Caliendo, Alessia Mignano, Luisa Albanese, Marialaura Zitiello, Marianna Stilo and Anna Maria Molinari
Int. J. Mol. Sci. 2025, 26(13), 5928; https://doi.org/10.3390/ijms26135928 - 20 Jun 2025
Viewed by 1637
Abstract
Hereditary breast and ovarian cancer (HBOC) syndrome is primarily associated with mutations in BRCA1 and BRCA2, but increasing evidence links it to other malignancies, including male breast, prostate, and pancreatic cancers. Advances in genetic testing have led to the use of multigene panels, [...] Read more.
Hereditary breast and ovarian cancer (HBOC) syndrome is primarily associated with mutations in BRCA1 and BRCA2, but increasing evidence links it to other malignancies, including male breast, prostate, and pancreatic cancers. Advances in genetic testing have led to the use of multigene panels, revealing that additional genes contribute to HBOC risk. We tested 280 patients with suspected HBOC using a multigene panel including BRCA1, BRCA2, and other genes involved in homologous recombination (HR) and additional DNA repair mechanisms. Variants were classified as pathogenic variants (PVs), variants of uncertain significance (VUS), or novel. In silico tools were used to predict the clinical relevance of VUS and novel variants. The clinical phenotype of families carrying a PV was evaluated. PVs were identified in 19.3% of patients: 8.9% in BRCA1/2 and 10.4% in other genes, mainly CHEK2, ATM, PALB2, and BRIP1. An additional 1.8% of cases harbored likely pathogenic VUS or novel variants according to bioinformatic prediction. Breast and ovarian cancer were the most frequent malignancies in our population, both in the BRCA group and in those with PVs in other susceptibility genes. Broad genetic testing beyond BRCA improves HBOC diagnostics, supports identification of at-risk families, and enables more personalized surveillance and treatment. Full article
(This article belongs to the Section Molecular Genetics and Genomics)
Show Figures

Figure 1

13 pages, 1092 KB  
Opinion
Epigenetic DNA Methylation Under the Influence of Low-Dose Ionizing Radiation, and Supplementation with Vitamin B12 and Folic Acid: Harmful or Beneficial for Professionals?
by Borivoje Savic, Bozidar Savic and Svetlana Stanojlovic
Epigenomes 2025, 9(2), 17; https://doi.org/10.3390/epigenomes9020017 - 31 May 2025
Viewed by 2560
Abstract
This review paper highlights the importance of educating current and future professionals about epigenetic mechanisms and recognizing epigenetics as a crucial model for protection against ionizing radiation. Two basic models for radiation-induced DNA damage are currently in use. The association between mutations and [...] Read more.
This review paper highlights the importance of educating current and future professionals about epigenetic mechanisms and recognizing epigenetics as a crucial model for protection against ionizing radiation. Two basic models for radiation-induced DNA damage are currently in use. The association between mutations and chromosomal aberrations provides a framework for analyzing risks at low radiation doses and exposure to small doses. However, there is no monitoring of epigenetic changes in professionals exposed to low doses of ionizing radiation. Epigenetic events regulate gene activity and expression not only during cell development and differentiation but also in response to environmental stimuli, such as ionizing radiation. Furthermore, the potential occurrence of malignant and hereditary diseases at low doses of ionizing radiation is linearly correlated and is considered a scientifically accepted assumption, despite recognized scientific limitations associated with this assessment. The aim of this review is to integrate novel and intriguing radiobiological paradigms regarding the effects of ionizing radiation on DNA methylation and epigenetic regulation of the DNA molecule. Several hypothesized biological responses to ionizing radiation are examined, linking them to epigenetic mechanisms involved in health risk assessment for professionals. The second part of the review includes published research related to epigenetics, supplementation, and virus reactivation in the context of epigenetic modifications of the DNA molecule. We hypothesize that different cycles lead to changes in the epigenome, which may be associated with the reactivation of certain viruses and the deficiency of specific dietary elements. These findings are linked to minimal deficiencies in vitamin B12 and folic acid, which may contribute to epigenomic changes. This aspect is crucial for the immune status of individuals working in high-risk environments. Full article
(This article belongs to the Special Issue Features Papers in Epigenomes 2025)
Show Figures

Figure 1

Back to TopTop