Abstract
A 66-year-old female underwent a colonoscopy for persistent left lower abdominal discomfort and mucous stool passage. Endoscopic examination revealed a 3 mm sessile polyp in the ascending colon. Histopathological examination of the polyp showed preserved crypt architecture with a monomorphic spindle-cell proliferation within the lamina propria. Scattered ganglion cells were present and demonstrated immunoreactivity for Calretinin and S100. The lesion was diagnosed as a colonic ganglioneuroma. Ganglioneuromas are rarely localised to the gastrointestinal tract and often detected incidentally during colonoscopic screening. While solitary lesions are typically sporadic; diffuse or multiple ganglioneuromas may be associated with hereditary syndromes such as neurofibromatosis type 1, multiple endocrine neoplasia type 2B, and juvenile polyposis, the latter belonging to the PTEN-hamartoma tumour syndrome spectrum. Clinically, most colonic ganglioneuromas are asymptomatic, although some may present with nonspecific gastrointestinal symptoms. Despite their benign nature, rare cases of malignant transformation and association with adenocarcinoma have been reported.
Figure 1.
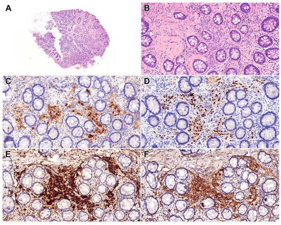
A 66-year-old female patient with a medical history significant for benign essential hypertension, follicular nodular disease of the thyroid, and arthrosis was referred to colonoscopy due to persistent left lower abdominal discomfort lasting for 2 weeks and passage of a mucous stool. During colonoscopic evaluation, a 3 mm polyp (Paris Is, Kudo IIIs) was identified in the ascending colon and successfully removed using a cold snare technique. Examination of the sigmoid colon revealed multiple diverticula, situated within a mildly hyperemic mucosal environment. Microscopic evaluation of the resected polyp demonstrated preserved crypt architecture. Within the lamina propria between intact crypts, a monomorphic spindle-cell proliferation was observed ((A,B), HE, 5× and 20×). Preserved ganglion cells were identified and exhibited immunoreactivity for Calretinin ((C), Calretinin, 20×). The spindle-cell component also demonstrated positivity for PHOX2B ((D), PHOX2B, 20×), S100 ((E), S100, 20×), and Synaptophysin ((F), Synaptophysin, 20×), indicating neural differentiation [1]. Immunohistochemical staining for EMA and GLUT1 was negative. The polyp was completely excised, and based on morphological and immunohistochemical findings, the lesion was diagnosed as a colonic ganglioneuroma. Ganglioneuromas are benign tumours of mesenchymal origin that predominantly arise in the head and neck region or the adrenal glands; gastrointestinal involvement is uncommon, and epidemiological data remain limited [2,3,4]. While most cases are sporadic and are referred to as polypoid ganglioneuromas, based on the description of the current WHO classification, 40% of patients with ganglioneuromas have diffuse ganglioneuromatosis, which may occur in association with hereditary syndromes, including neurofibromatosis type 1, multiple endocrine neoplasia (MEN) type 2B, and juvenile polyposis [2,5,6,7,8]. Solitary colonic ganglioneuromas have also been reported in patients with Cowden syndrome (which forms part of the PTEN-hamartoma tumour syndrome spectrum), tuberous sclerosis, polyposis coli, and juvenile polyposis, as well [2,5,9,10]. Clinical manifestations include solitary ganglioneuroma, diffuse ganglioneuromatosis, and ganglioneuromatous polyposis [2]. Gastrointestinal ganglioneuromas are most frequently localised to the left colon and rectum. Clinically, they are often asymptomatic and may be incidentally detected during routine surveillance colonoscopies [5]. However, when symptomatic, they may present with constipation or diarrhoea, abdominal distension, intussusception, megacolon, or hematochezia [2,4,11,12,13,14]. Endoscopically, ganglioneuromas appear as uncharacteristic mucosal polyps generally not exceeding 2 cm in diameter. Histologically, they are composed of mature ganglion cells and satellite cells may be accompanied by eosinophilic granulocyte infiltration [2,11]. Although ganglioneuromas are benign, rare cases of malignant transformation have been reported, including associations with adenocarcinoma [15]. Currently, endoscopic treatment is considered sufficient, especially in solitary cases [16]. Given their potential association with hereditary syndromes, the identification of such tumours should prompt a thorough evaluation for accompanying clinical features suggestive of systemic involvement.
Figure 1.
A 66-year-old female patient with a medical history significant for benign essential hypertension, follicular nodular disease of the thyroid, and arthrosis was referred to colonoscopy due to persistent left lower abdominal discomfort lasting for 2 weeks and passage of a mucous stool. During colonoscopic evaluation, a 3 mm polyp (Paris Is, Kudo IIIs) was identified in the ascending colon and successfully removed using a cold snare technique. Examination of the sigmoid colon revealed multiple diverticula, situated within a mildly hyperemic mucosal environment. Microscopic evaluation of the resected polyp demonstrated preserved crypt architecture. Within the lamina propria between intact crypts, a monomorphic spindle-cell proliferation was observed ((A,B), HE, 5× and 20×). Preserved ganglion cells were identified and exhibited immunoreactivity for Calretinin ((C), Calretinin, 20×). The spindle-cell component also demonstrated positivity for PHOX2B ((D), PHOX2B, 20×), S100 ((E), S100, 20×), and Synaptophysin ((F), Synaptophysin, 20×), indicating neural differentiation [1]. Immunohistochemical staining for EMA and GLUT1 was negative. The polyp was completely excised, and based on morphological and immunohistochemical findings, the lesion was diagnosed as a colonic ganglioneuroma. Ganglioneuromas are benign tumours of mesenchymal origin that predominantly arise in the head and neck region or the adrenal glands; gastrointestinal involvement is uncommon, and epidemiological data remain limited [2,3,4]. While most cases are sporadic and are referred to as polypoid ganglioneuromas, based on the description of the current WHO classification, 40% of patients with ganglioneuromas have diffuse ganglioneuromatosis, which may occur in association with hereditary syndromes, including neurofibromatosis type 1, multiple endocrine neoplasia (MEN) type 2B, and juvenile polyposis [2,5,6,7,8]. Solitary colonic ganglioneuromas have also been reported in patients with Cowden syndrome (which forms part of the PTEN-hamartoma tumour syndrome spectrum), tuberous sclerosis, polyposis coli, and juvenile polyposis, as well [2,5,9,10]. Clinical manifestations include solitary ganglioneuroma, diffuse ganglioneuromatosis, and ganglioneuromatous polyposis [2]. Gastrointestinal ganglioneuromas are most frequently localised to the left colon and rectum. Clinically, they are often asymptomatic and may be incidentally detected during routine surveillance colonoscopies [5]. However, when symptomatic, they may present with constipation or diarrhoea, abdominal distension, intussusception, megacolon, or hematochezia [2,4,11,12,13,14]. Endoscopically, ganglioneuromas appear as uncharacteristic mucosal polyps generally not exceeding 2 cm in diameter. Histologically, they are composed of mature ganglion cells and satellite cells may be accompanied by eosinophilic granulocyte infiltration [2,11]. Although ganglioneuromas are benign, rare cases of malignant transformation have been reported, including associations with adenocarcinoma [15]. Currently, endoscopic treatment is considered sufficient, especially in solitary cases [16]. Given their potential association with hereditary syndromes, the identification of such tumours should prompt a thorough evaluation for accompanying clinical features suggestive of systemic involvement.

Author Contributions
Conceptualisation: A.S.; investigation, data curation, and formal analysis: A.S. and T.L.; writing—original draft preparation: A.S.; writing—review and editing: A.S. and T.L.; visualisation: A.S. and T.L.; funding acquisition: A.S. All authors have read and agreed to the published version of the manuscript.
Funding
This work was supported by the University of Szeged, Faculty of Medicine Research Fund-Hetényi Géza Grant (IV-134-62-1/2024.SZAOK). Dr. Anita Sejben was supported by the János Bolyai Research Fellowship of the Hungarian Academy of Sciences.
Institutional Review Board Statement
This work was approved by the Medical Research Council (BM/28834-1/2024; approved on 9 December 2024) and the Regional and Institutional Human Biomedical Research Ethics Committee of the University of Szeged (5670; approved on 14 April 2025).
Informed Consent Statement
Informed consent was obtained from the patient to publish this paper.
Data Availability Statement
The original contributions presented in this study are included in the article. Further inquiries can be directed to the corresponding author.
Conflicts of Interest
The authors declare no conflicts of interest.
Abbreviations
The following abbreviations are used in this manuscript:
| EMA | Epithelial membrane antigen |
| GLUT1 | Glucose transporter 1 |
| HE | Hematoxylin and eosin |
| MEN | Multiple endocrine neoplasia |
| PHOX2B | Paired-like homeobox 2B |
| PTEN | Phosphatase and tensin homolog |
| S100 | S100 protein |
| WHO | World Health Organization |
References
- Chupin, A.; Dudoignon, B.; Couque, N.; Bokov, P.; Mayer, S.; Simaga, E.; Guthier-Villars, M.; Masserot, C.; Benkaddouss, S.; Philippe-Chomette, P.; et al. PHOX2B-associated congenital central hypoventilation syndrome revealed upon treatment with Dinutuximab-beta. J. Pediatr. Hematol. Oncol. 2025, 47, 144–147. [Google Scholar] [CrossRef] [PubMed]
- WHO. Classification of Tumours Editorial Board. Digestive System Tumours, 5th ed.; International Agency for Research on Cancer: Lyon, France, 2019. [Google Scholar]
- Tayyem, O.; Bilal, M.; Reep, G. Every polyp is not an adenoma: Ganglioneuroma of the colon. Dig. Liv. Dis. 2018, 50, 411. [Google Scholar] [CrossRef] [PubMed]
- Mahdi, M.; Afaneh, K.; Mahdi, A.; Tayyem, O. Colonic ganglioneuroma: A rare incidental finding. Kans. J. Med. 2023, 16, 112–113. [Google Scholar] [CrossRef] [PubMed]
- Agarwal, S.; Wang, Y.; Iyer, P.G.; Leggett, C.L. Incidental colonic ganglioneuroma on surveillance colonoscopy. ACG Case Rep. J. 2022, 9, e00727. [Google Scholar] [CrossRef] [PubMed]
- Ozawa, T. A case of polypoid type ganglioneuroma of the descending colon. Jpn. J. Gastroenterol. 2008, 105, 543–549. [Google Scholar]
- Mendez, I.M.; Pereda, T.; Rodriguez, F.J.; Funez, R.; Sanchez, A. Solitary colonic polypoid ganglioneuroma. Diagn. Pathol. 2008, 3, 20. [Google Scholar] [CrossRef] [PubMed]
- Bahmad, H.F.; Trinh, S.; Qian, L.; Terp, K.; Alloush, F.; Elajami, M.K.; Kilinc, E.; Poppiti, R. Colonic ganglioneuroma: A combined single-institution experience and review of the literature of forty-three patients. Diseases 2023, 11, 69. [Google Scholar] [CrossRef] [PubMed]
- Atta, I.S.; AlQahtani, F.N. Thyroid, renal, and breast carcinomas, chondrosarcoma, colon adenomas, and ganglioneuroma: A new cancer syndrome, FAP, or just coincidence. Case Rep. Med. 2016, 2016, 2928084. [Google Scholar] [CrossRef] [PubMed]
- Stanich, P.P.; Pilarski, R.; Rock, J.; Frankel, W.L.; El-Dika, S.; Meyer, M.M. Colonic manifestations of PTEN hamartoma tumor syndrome: Case series and systematic review. World J. Gastroenterol. 2014, 20, 1833–1838. [Google Scholar] [CrossRef] [PubMed]
- Soccorso, G.; Puls, F.; Richards, C.; Pringle, H.; Nour, S. A ganglioneuroma of the sigmoid colon presenting as leading point of intussusception in a child: A case report. J. Pediatr. Surg. 2009, 44, e17–e20. [Google Scholar] [CrossRef] [PubMed]
- Samaan, F.A.; Alhimyar, M.; Alhalbouni, M.; Aldirani, A.; Assad, L. Isolated diffuse intestinal ganglioneuromatosis presented as a redundant sigmoid colon: A case report. Ann. Med. Surg. 2023, 85, 219–224. [Google Scholar] [CrossRef] [PubMed]
- Nehme, C.; Ghazaleh, S.; Patel, D.; Hasan, S.; Nawras, A. Incidental ascending colon ganglioneuroma in the setting of hematochezia. Cureus 2020, 12, e9447. [Google Scholar] [CrossRef] [PubMed]
- Abraham, G.; Prakash, S.R. Solitary colonic ganglioneuroma: A rare incidental finding of hematochezia. Case Rep. Gastrointest. Med. 2015, 2015, 794985. [Google Scholar] [CrossRef] [PubMed]
- Nakamura, K.; Seishima, R.; Emoto, K.; Kawahara, T.; Matsui, S.; Shigeta, K.; Okabayashi, K.; Hosoe, N.; Kitagawa, Y. Development of colon adenocarcinoma on a ganglioneuroma in a patient with nonhereditary disease. Am. J. Gastroenterol. 2022, 117, 1028. [Google Scholar] [CrossRef] [PubMed]
- Arai, T.; Yamada, H.; Edagawa, T.; Yoshida, S.; Maekura, S.; Nakachi, K. Endoscopic treatment of solitary colonic ganglioneuroma. Case Rep. Gastroenterol. 2020, 14, 34–38. [Google Scholar] [CrossRef] [PubMed]
Disclaimer/Publisher’s Note: The statements, opinions and data contained in all publications are solely those of the individual author(s) and contributor(s) and not of MDPI and/or the editor(s). MDPI and/or the editor(s) disclaim responsibility for any injury to people or property resulting from any ideas, methods, instructions or products referred to in the content. |
© 2025 by the authors. Licensee MDPI, Basel, Switzerland. This article is an open access article distributed under the terms and conditions of the Creative Commons Attribution (CC BY) license (https://creativecommons.org/licenses/by/4.0/).