Sign in to use this feature.

Years

Between: -

Subjects

remove_circle_outline
remove_circle_outline
remove_circle_outline
remove_circle_outline
remove_circle_outline
remove_circle_outline
remove_circle_outline
remove_circle_outline
remove_circle_outline

Journals

Article Types

Countries / Regions

Search Results (82)

Search Parameters:
Keywords = flow cessation

Order results
Result details
Results per page
Select all
Export citation of selected articles as:
22 pages, 800 KB  
Article
The Influence of Smoking on Respiratory Function in Medical Students at the University of Medicine, Pharmacy, Science and Technology of Târgu-Mureș
by Edith-Simona Ianosi, Renata-Ingrid Ianosi, Hajnal Finta, Raul-Alexandru Lefter, Anca Meda Văsieșiu, Dragoș Huțanu and Maria-Beatrice Ianosi
Biomedicines 2026, 14(1), 164; https://doi.org/10.3390/biomedicines14010164 - 13 Jan 2026
Viewed by 290
Abstract
Background: Cigarette smoking remains one of the most important preventable causes of respiratory morbidity, exerting detrimental effects even in young adults. Medical students represent a particularly relevant population, as the lifestyle habits they adopt during their training years may influence both their personal [...] Read more.
Background: Cigarette smoking remains one of the most important preventable causes of respiratory morbidity, exerting detrimental effects even in young adults. Medical students represent a particularly relevant population, as the lifestyle habits they adopt during their training years may influence both their personal health and professional credibility. Methods: We conducted a cross-sectional analysis of 264 medical students from the University of Medicine, Pharmacology, Science and Technology of Târgu-Mures, aged 18–30 years, stratified according to smoking status, type of tobacco product used, and lifestyle characteristics (athletic vs. sedentary). Standardized spirometry was performed to assess FVC, FEV1, FEV1/FVC ratio, PEF, and small airway flow parameters (MEF25, MEF50, MEF75). Statistical comparisons between groups were performed using t-tests, Mann–Whitney U tests, chi-square tests, and correlation analyses, with p < 0.05 considered statistically significant. Results: Smokers demonstrated significantly lower values for FEV1, PEF, and MEF parameters compared with non-smokers, confirming early functional impairment of both large and small airways. Within the smoking group, users of e-cigarettes or heated tobacco products exhibited more favorable FEV1 and small airway flow values than conventional cigarette smokers. However, differences in FVC were less pronounced. Significantly, athletes consistently outperformed their sedentary peers across all respiratory parameters, regardless of smoking status, with markedly higher FEV1, FVC, and MEF values and a lower prevalence of obstructive patterns. Cumulative smoking exposure (pack-years) was inversely associated with small airway function, whereas higher levels of physical activity were independently linked to a pronounced protective effect. Conclusions: Even in early adulthood, smoking is related to measurable declines in lung function, particularly affecting small airway dynamics. Although alternative products may appear less harmful than conventional cigarettes, they cannot be considered risk-free. Conversely, regular physical activity demonstrated a protective association in the case–control analysis, attenuating functional decline and supporting the preservation of long-term respiratory health. These findings underscore the importance of integrated prevention strategies in medical universities, combining smoking cessation initiatives with the systematic promotion of physical activity to safeguard the health of future physicians and reinforce their role as credible health advocates. Full article
(This article belongs to the Special Issue New Insights in Respiratory Diseases)
Show Figures

Figure 1

22 pages, 7936 KB  
Article
Numerical Simulation Study on the Natural Temperature Recovery Characteristics of Reservoirs After Shutdown in a Dual-Well Enhanced Geothermal System
by Jun Zhang, Weixing Yang, Minghe Yang and Xulong Cai
Processes 2026, 14(1), 75; https://doi.org/10.3390/pr14010075 - 25 Dec 2025
Viewed by 379
Abstract
In the context of energy structure transition, Enhanced Geothermal Systems (EGSs) represent a core technology for developing hot dry rock (HDR) resources. However, the ultra-long-term natural recovery patterns of reservoir temperature after heat extraction cessation remain unclear, hindering sustainable lifecycle assessment of the [...] Read more.
In the context of energy structure transition, Enhanced Geothermal Systems (EGSs) represent a core technology for developing hot dry rock (HDR) resources. However, the ultra-long-term natural recovery patterns of reservoir temperature after heat extraction cessation remain unclear, hindering sustainable lifecycle assessment of the system. This study establishes a dual-well EGS numerical model based on the finite element method to simulate the impact mechanisms of flow rate, injection temperature, initial reservoir temperature, and well spacing on natural reservoir temperature compensation during a 1000-year shut-in period following 40 years of heat extraction. Results indicate that reservoir temperature fails to recover to its initial state after shut-in, with final recovery rates ranging from 60.63% to 89.51% of the initial temperature. Each parameter exerts nonlinear control over recovery: lower flow rates yield higher final recovery temperatures (87.62% at 20 kg/s versus 60.63% at 100 kg/s); increased injection temperature from 10 °C to 70 °C reduces the absolute recovery magnitude from 10.65 °C to 7.05 °C but raises the final recovery rate from 78.16% to 86.07%; higher initial reservoir temperatures from 100 °C to 260 °C significantly enhance absolute recovery temperatures from 79.48 °C to 199.58 °C; reduced well spacing from 500 m to 100 m improves final recovery rates from 72.77% to 89.51%. After shut-in in dual-well EGS, the vertical fracture configuration recovered to 78.16% of the initial temperature, the horizontal fracture to 74.39%, and the no-fracture configuration only to 67.87%. Due to optimal heat flow and thermal compensation efficiency, vertical fractures exhibit the best recovery performance, while the no-fracture configuration shows the worst. This study reveals the dynamic mechanism of heat recovery dominated by heat conduction in surrounding rocks, establishes a long-term temperature recovery evaluation framework for EGS, and provides novel scientific evidence and perspectives for the sustainable development and research of geothermal systems. Full article
(This article belongs to the Section Energy Systems)
Show Figures

Figure 1

18 pages, 9598 KB  
Article
Ephemeral Channel Expansion: Predicting Shifts Toward Intermittency in Vulnerable Streams Across Semi-Arid CONUS
by Lea J. Davidson and Adam M. Milewski
Water 2025, 17(23), 3445; https://doi.org/10.3390/w17233445 - 4 Dec 2025
Viewed by 451
Abstract
Broad trends point to the slow drying of streams, with warming temperatures and altered precipitation fueling declines in discharge across the Western United States. Sustained reductions in streamflow have the potential to drive the expansion of non-perennial channel networks, yet this process remains [...] Read more.
Broad trends point to the slow drying of streams, with warming temperatures and altered precipitation fueling declines in discharge across the Western United States. Sustained reductions in streamflow have the potential to drive the expansion of non-perennial channel networks, yet this process remains poorly characterized, with limited understanding of the variables which control stream vulnerability to intermittency or the spatial and temporal extent of these shifts. This research identifies significant trends toward novel intermittency across semi-arid regions of CONUS from 1980 to 2024. Of the 483 stream gages analyzed, more than half demonstrated reductions in discharge and increases in the frequency and duration of flow cessation. The relationship between flow intermittency and physical, hydrologic, climatic, and agricultural variables was further explored through discriminant function analysis (DFA). The timing of wet-season moisture, specifically December and January precipitation, was identified as the primary factor controlling the development of intermittency in semi-arid zones. With forecasted reductions in precipitation across CONUS, many currently perennial systems are vulnerable to developing intermittency. As a result, intermittent flow regimes are projected to expand further into previously perennial streams, as well as exacerbate dry-down across vulnerable channels. Full article
(This article belongs to the Section Water and Climate Change)
Show Figures

Graphical abstract

47 pages, 2124 KB  
Review
From Electron Imbalance to Network Collapse: Decoding the Redox Code of Ischemic Stroke for Biomarker-Guided Precision Neuroprotection
by Ionut Bogdan Diaconescu, Adrian Vasile Dumitru, Calin Petru Tataru, Corneliu Toader, Matei Șerban, Răzvan-Adrian Covache-Busuioc and Lucian Eva
Int. J. Mol. Sci. 2025, 26(22), 10835; https://doi.org/10.3390/ijms262210835 - 7 Nov 2025
Cited by 5 | Viewed by 2109
Abstract
Ischemic stroke remains one of the most catastrophic diseases in neurology, in which, due to a disturbance in the cerebral blood flow, the brain is acutely deprived of its oxygen and glucose oligomer, which in turn rapidly leads to energetic collapse and progressive [...] Read more.
Ischemic stroke remains one of the most catastrophic diseases in neurology, in which, due to a disturbance in the cerebral blood flow, the brain is acutely deprived of its oxygen and glucose oligomer, which in turn rapidly leads to energetic collapse and progressive cellular death. There is now increasing evidence that this type of stroke is not simply a type of ‘oxidative stress’ but rather a programmable loss-of-redox homeostasis, within which electron flow and the balance of oxidants/reductants are cumulatively displaced at the level of the single molecule and at the level of the cellular area. The advances being made in cryo-electron microscopy, lipidomics, and spatial omics are coupled with the introduction of a redox code produced by the interaction of the couples NADH/NAD+, NADPH/NADP+, GSH/GSSG, BH4/BH2, and NO/SNO, which determine the end results of the fates of the neurons, glia, endothelium, and pericytes. Within the mitochondria, pathophysiological events, including reverse electron transport, succinate overflow, and permeability transition, are found to be the first events after reperfusion, while signals intercommunicating via ER–mitochondria contact, peroxisomes, and nanotunnels control injury propagation. At the level of the tissue, events such as the constriction of the pericytes, the degradation of the glycocalyx, and the formation of neutrophil extracellular traps underlie microvascular failure (at least), despite the effective recanalization of the vessels. Systemic influences such as microbiome products, oxidized lipids, and free mitochondrial DNA in cells determine the redox imbalance, but this generally occurs outside the brain. We aim to synthesize how the progressive stages of ischemic injury evolve from the cessation of flow to the collapse of the cell structure. Within seconds of injury, there is reverse electron transport (RET) through mitochondrial complex I, with bursts of superoxide (O2) and hydrogen peroxide (H2O2) being produced, which depletes the stores of superoxide dismutase, catalase, and glutathione peroxidase. Accumulated succinate and iron-induced lipid peroxidation trigger ferroptosis, while xanthine oxidase and NOX2/NOX4, as well as uncoupled eNOS/nNOS, lead to oxidative and nitrosative stress. These cascades compromise the function of neuronal mitochondria, the glial antioxidant capacity, and endothelial–pericyte integrity, leading to the degradation of the glycocalyx with microvascular constriction. Stroke, therefore, represents a continuum of redox disequilibrium, a coordinated biochemical failure linking the mitochondrial metabolism with membrane integrity and vascular homeostasis. Full article
(This article belongs to the Special Issue Current Trends in Redox Physiology Research)
Show Figures

Figure 1

17 pages, 8763 KB  
Article
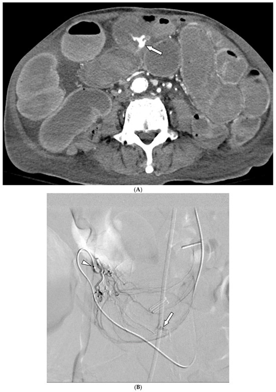
Embolization with Quick-Soluble Gelatin Sponge Particles for Lower Gastrointestinal Bleeding: A Multicenter Study
by Chang Ho Jeon, Seung Boo Yang, Woo Jin Yang, Ji Hoon Shin, Kyu-Pyo Kim, Jung-Hoon Park and Jin-Hyoung Kim
Medicina 2025, 61(11), 1964; https://doi.org/10.3390/medicina61111964 - 31 Oct 2025
Viewed by 814
Abstract
Background and Objectives: Transarterial embolization (TAE) serves as a valuable alternative for gastrointestinal bleeding when endoscopy fails or is inaccessible. Quick-soluble gelatin sponge particles (QS-GSPs) dissolve rapidly and may reduce ischemic complications compared to permanent embolic agents. This study evaluated the safety and [...] Read more.
Background and Objectives: Transarterial embolization (TAE) serves as a valuable alternative for gastrointestinal bleeding when endoscopy fails or is inaccessible. Quick-soluble gelatin sponge particles (QS-GSPs) dissolve rapidly and may reduce ischemic complications compared to permanent embolic agents. This study evaluated the safety and effectiveness of TAE using QS-GSPs for acute lower gastrointestinal bleeding. Materials and Methods: This retrospective multicenter study analyzed patients who underwent TAE with QS-GSPs for acute nonvariceal lower GI bleeding between 2021 and 2024. Technical success (occlusion or stasis of blood flow in the target artery), clinical success (cessation of bleeding symptoms with hemodynamic stability during the week following TAE without major complications), and procedure-related complications were assessed. Results: A total of 29 patients (mean age 64.9 years) were included. Active bleeding was detected in 6 patients (20.7%) on angiography. Embolized arteries included jejunal (n = 7), ileal (n = 7), ileocolic anastomotic (n = 1), cecal (n = 2), colic (n = 7), and rectosigmoid (n = 5) arteries. QS-GSPs (150–350 μm (n = 10) or 350–560 μm (n = 19)), which dissolve completely within several hours, were used as the sole embolic agents. Technical and clinical success rates were 100% and 75.9% (22/29), respectively. Clinical failure occurred in seven patients (24.1%) due to persistent (n = 4) or recurrent (n = 3) bleeding within one week. Transient bowel ischemia occurred in two patients (6.9%) but resolved spontaneously. The clinical success rate did not differ significantly between patients with active bleeding (66.7%) versus those without (73.9%). Conclusions: TAE with QS-GSPs for acute lower GI bleeding demonstrated a favorable safety profile with clinical success exceeding 75%. Transient bowel ischemia occurred in 6.9% of patients with spontaneous resolution, and no bowel infarction was observed. Full article
(This article belongs to the Section Gastroenterology & Hepatology)
Show Figures

Figure 1

20 pages, 449 KB  
Article
Reconsidering the Relationship Between Sengzhao’s Things Do Not Shift and the Doctrine of Kṣaṇikavāda—With a Reassessment of Whether His Thought Reflects Vasubandhu’s Abhidharmakośabhāṣya Doctrinal Affiliation
by Benhua Yang
Religions 2025, 16(10), 1329; https://doi.org/10.3390/rel16101329 - 21 Oct 2025
Viewed by 530
Abstract
International scholars have frequently interpreted Sengzhao’s 僧肇 Things Do Not Shift (wubuqianlun 物不遷論, hereafter TDNS) as reflecting the doctrinal positions of the Sarvāstivāda or Sautrāntika schools. This paper argues that the core issue lies in the relationship between Sengzhao’s concept of [...] Read more.
International scholars have frequently interpreted Sengzhao’s 僧肇 Things Do Not Shift (wubuqianlun 物不遷論, hereafter TDNS) as reflecting the doctrinal positions of the Sarvāstivāda or Sautrāntika schools. This paper argues that the core issue lies in the relationship between Sengzhao’s concept of “not shifting” and Kṣaṇikavāda (the theory of momentary arising and ceasing). A genealogical examination reveals that this interpretive view originated during the Tang dynasty—particularly in Chengguan’s 澄觀 citation of Vasubandhu’s Abhidharmakośabhāṣya (hereafter AKBh), which includes a dual-layered implication: both “not shifting based on Kṣaṇikavāda (cha’na shengmie buqian 剎那生滅不遷)” and “not shifting based on śūnyatā (xingkong buqian 性空不遷)”. However, Chengguan did not make a conclusive judgment. This dual implication was already clearly distinguished by Yanshou 延壽 in the late Tang period. Yanshou pointed out that “not shifting based on Kṣaṇikavāda” presupposes the real existence of dharmic entities, whereas Sengzhao’s view belongs to the Mahāyāna orientation of “not shifting based on śūnyatā”—thus marking a fundamental doctrinal distinction. In contrast, by the late Ming period, Zhencheng 镇澄 misinterpreted Chengguan’s argument out of context and reduced it to a heterodox doctrine of “not shifting based on the abide of inherent nature (xingzhu buqian 性住不遷)”. Later Ming masters such as Deqing 德清, Zhenjie 真界, and Huanyou 幻有 also emphasized the dual aspects in Chengguan’s explanation and directly refuted Zhencheng’s misreading. Therefore, the issue in equating Sengzhao’s TDNS with “not shifting based on Kṣaṇikavāda” does not lie in the difference between “not shifting based on Kṣaṇikavāda” and “not shifting based on śūnyatā” as this distinction was acknowledged on both sides. Rather, the key lies in identifying the doctrinal basis of Sengzhao’s argument: to which category does it properly belong? To answer this, the paper analyzes the conceptual structure of TDNS in contrast to the idea of “not shifting based on Kṣaṇikavāda”, and finds a fundamental divergence in their understanding of whether phenomena are subject to arising and ceasing. Sengzhao’s notion of TDNS is not the same as the concept of “not shifting based on Kṣaṇikavāda”. It will then analyze the differences between the two in their understandings of substance and time, revealing a fundamental divergence in their perspectives on whether phenomena undergo arising and cessation. Sengzhao’s concept in TDNS is not equivalent to the notion of “not shifting based on Kṣaṇikavāda”, nor are they congruent in terms of the consequent conceptions of entities, time, and the view of temporal flow that emerge from these respective frameworks. Full article
(This article belongs to the Section Religions and Humanities/Philosophies)
14 pages, 1791 KB  
Review
Review of Current Management of Myocardial Infarction
by Trisha Saha and Hatem Soliman-Aboumarie
J. Clin. Med. 2025, 14(17), 6241; https://doi.org/10.3390/jcm14176241 - 4 Sep 2025
Cited by 4 | Viewed by 8484
Abstract
Myocardial infarction (MI), commonly known as a heart attack, remains a leading cause of morbidity and mortality worldwide. It arises from a sudden cessation of coronary blood flow, most often due to plaque rupture and subsequent thrombus formation. Over the years, significant advances [...] Read more.
Myocardial infarction (MI), commonly known as a heart attack, remains a leading cause of morbidity and mortality worldwide. It arises from a sudden cessation of coronary blood flow, most often due to plaque rupture and subsequent thrombus formation. Over the years, significant advances in the understanding, diagnosis, and treatment of MI have transformed patient outcomes. This review explores the current approaches to the management of myocardial infarction, highlighting evidence-based practices, recent advancements, and ongoing challenges in optimising care across various healthcare settings. Full article
(This article belongs to the Special Issue Diagnosis, Monitoring, and Treatment of Myocardial Infarction)
Show Figures

Figure 1

18 pages, 3754 KB  
Article
Challenges of Sustainable Water Management in a Heavily Industrialized Urban Basin, Case of Bytomka River, Poland
by Ewa Katarzyn Janson and Adam Hamerla
Sustainability 2025, 17(13), 5707; https://doi.org/10.3390/su17135707 - 20 Jun 2025
Viewed by 1017
Abstract
Industrial and urban activity has inevitably changed the water environment and caused significant impacts on water resources’ quality and quantity. The identification of related impacts is particularly important in the context of increasing water shortages due to climate change. Overlapping industrial impacts and [...] Read more.
Industrial and urban activity has inevitably changed the water environment and caused significant impacts on water resources’ quality and quantity. The identification of related impacts is particularly important in the context of increasing water shortages due to climate change. Overlapping industrial impacts and drought occurrence have resulted in the long-lasting deterioration of surface water status. Therefore, the mitigation of negative impacts is crucial for relevant and sustainable water management in river basins. One of the most impactful branches of industry is underground coal mining, which requires dewatering deposits and excavations. Mine waters discharged into rivers have induced significant increases of salinity, while urban wastewaters have increased biogenic contamination in surface waters. Sustainable development goals require water protection, energy transition, and circularity; therefore, coal will be repurposed in favor of alternative sources of energy. The phasing out of coal and cessation of dewatering of mines would rapidly reduce mine waters’ impact on the environment. However, in heavily industrialized urban basins, the share of natural waters in river flows is exceptionally low—due to significant and long-lasting transformations, industrial and urban wastewaters are the main constitutive components in certain river hydrological regimes. The case study of Bytomka in the Upper Silesian Coal Basin, Southern Poland is a vivid example of a river basin significantly impacted by urban and industrial activity over a long-term period. The Bytomka River’s water status and the development of its watershed area is an example of complex and overlapping impacts, wherein sustainable water management requires proper recognition of prevailing factors such as mine water discharges, climate change and drought periods, wastewater impacts, and urbanization of the water basin area. The presented study reveals key findings showing that future coal mine closures would result in significant water resource shortages due to a reduction of mine water discharges, significant biogenic (N and P) pollution increases, and hazards of harmful algal blooms. Therefore, there is an urgent need to increase the retention potential of the watershed, use nature-based solutions, and mitigate negative impacts of the coal mining transition. The increase in treatment capability of industrial wastewater and sewage discharge would help to cope with the natural water vulnerability induced by the impacts of climate change. Full article
(This article belongs to the Special Issue Sustainable Use of Water Resources in Climate Change Impacts)
Show Figures

Figure 1

18 pages, 4318 KB  
Article
The Genesis and Hydrochemical Formation Mechanism of Karst Springs in the Central Region of Shandong Province, China
by Yuanqing Liu, Le Zhou, Xuejun Ma, Dongguang Wen, Wei Li and Zheming Shi
Water 2025, 17(12), 1805; https://doi.org/10.3390/w17121805 - 17 Jun 2025
Cited by 1 | Viewed by 899
Abstract
With the intensification of human activities, the water resource environment in the karst mountainous area of central Shandong has undergone significant changes, directly manifested in the cessation of karst spring flows and the occurrence of karst collapses within the spring basin in the [...] Read more.
With the intensification of human activities, the water resource environment in the karst mountainous area of central Shandong has undergone significant changes, directly manifested in the cessation of karst spring flows and the occurrence of karst collapses within the spring basin in the Laiwu Basin. To support the scientific development and management of karst water, this study utilizes comprehensive analysis and deuterium-oxygen isotope test data from surveys and sampling of 20 typical karst springs conducted between 2016 and 2018. By integrating mathematical statistics, correlation analysis, and ion component ratio methods, the study analyzes the genesis, hydrochemical ion component sources, and controlling factors of typical karst springs in the Laiwu Basin. The results indicate that the genesis of karst springs in the Laiwu Basin is controlled by three factors: faults, rock masses, and lithology, and can be classified into four types: water resistance controlled by lithology, by faults, by basement, and by rock mass. The karst springs are generally weakly alkaline freshwater, with the main ion components being HCO3 and Ca2+, accounting for approximately 55.02% and 71.52% of the anion and cation components, respectively; about 50% of the sampling points have a hydrochemical type of HCO3·SO4-Ca·Mg. Stable isotope (δ18O and δD) results show that atmospheric precipitation is the primary recharge source for karst springs in the Laiwu Basin. There are varying degrees of evaporative fractionation and water–rock interaction during the groundwater flow process, resulting in significantly higher deuterium excess (d-excess) in the sampling points on the southern side of the basin compared to the northern side, indicating clear differentiation. The hydrochemical composition of the karst groundwater system is predominantly governed by water–rock interactions during flow processes and anthropogenic influences. Carbonate dissolution (primarily calcite) serves as the principal source of HCO3, SO42−, Ca2+, and Mg2+, while evaporite dissolution and reverse cation exchange contribute to the slight enrichment of Ca2+ and Mg2+ alongside depletion of Na+ and K+ in spring waters. Saturation indices (SI) reveal that spring waters are saturated with respect to gypsum, aragonite, calcite, and dolomite, but undersaturated for halite. The mixing of urban domestic sewage, agricultural planting activities, and the use of manure also contributes to the formation of Cl and NO3 ions in karst springs. Full article
(This article belongs to the Topic Human Impact on Groundwater Environment, 2nd Edition)
Show Figures

Figure 1

24 pages, 2384 KB  
Article
An Application of the Ecosystem Services Assessment Approach to the Provision of Groundwater for Human Supply and Aquifer Management Support
by Malgorzata Borowiecka, Mar Alcaraz and Marisol Manzano
Hydrology 2025, 12(6), 137; https://doi.org/10.3390/hydrology12060137 - 3 Jun 2025
Viewed by 2187
Abstract
Increasing pressures on groundwater in the last decades have led to a deterioration in the quality of groundwater for human consumption around the world. Beyond the essential evaluation of groundwater dynamics and quality, analyzing the situation from the perspective of the Ecosystem Services [...] Read more.
Increasing pressures on groundwater in the last decades have led to a deterioration in the quality of groundwater for human consumption around the world. Beyond the essential evaluation of groundwater dynamics and quality, analyzing the situation from the perspective of the Ecosystem Services Assessment (ESA) approach can be useful to support aquifer management plans aiming to recover aquifers’ capacity to provide good quality water. This work illustrates how to implement the ESA using groundwater flow and nitrate transport modelling for evaluating future trends of the provisioning service Groundwater of Good Quality for Human Supply. It has been applied to the Medina del Campo Groundwater Body (Spain), where the intensification of agricultural activities and groundwater exploitation since the 1970s caused severe nitrate pollution. Nitrate status and future trends under different fertilizer and aquifer exploitation scenarios were modelled with MT3DMS coupled to a MODFLOW model calibrated with piezometric time series. Historical land use and fertilizer data were compiled to assess nitrogen loadings. Besides the uncertainties of the model, the results clearly show that: (i) managing fertilizer loads is more effective than managing aquifer exploitation; and (ii) only the cessation of nitrogen application by the year 2030 would improve the evaluated provisioning service in the long term. The study illustrates how the ESA can be incorporated to evaluate the expected relative impact of different management actions aimed at improving significant groundwater services to humans. Full article
Show Figures

Figure 1

10 pages, 2722 KB  
Article
Stable Isotope Investigations of Icicle Formation and Evolution
by Thomas Brubaker and R. V. Krishnamurthy
Hydrology 2025, 12(2), 30; https://doi.org/10.3390/hydrology12020030 - 9 Feb 2025
Viewed by 1433
Abstract
Icicles are elongated structures formed from water flowing over hangings and crystallizing in sub-freezing conditions. These features are ubiquitous in several parts of the world that experience severe to moderate winter seasons. It has been suggested that they could be a source of [...] Read more.
Icicles are elongated structures formed from water flowing over hangings and crystallizing in sub-freezing conditions. These features are ubiquitous in several parts of the world that experience severe to moderate winter seasons. It has been suggested that they could be a source of recharge to groundwater. Icicles are presumed to affect groundwater quality via incorporation of atmospheric and roof top contaminants. Relatively little attention has been paid to these wintry features, insofar as only a few theoretical models have attempted to describe their formation. Stable isotope measurements (δ18O and δ2H) of icicles that were melted stepwise into fractions are presented as support for the models that invoke the rapid formation of icicles. Icicles exhibit minimal fraction to fraction isotope variation, suggesting a lack of isotope equilibrium and that kinetic effects dominate the freezing process. Deviations from the Global Meteoric Water Line (GMWL), which is similar to the Local Meteoric Water Line (LMWL), indicate that post-depositional processes, namely sublimation, may occur throughout the freezing process. Isotopic evidence lends support to a “growth-cessation-growth” variation of the already proposed methods of rapid icicle formation, where a cessation period occurs between pulses of rapid freezing during icicle growth. Full article
(This article belongs to the Special Issue Isotope Hydrology in the U.S.)
Show Figures

Figure 1

19 pages, 1912 KB  
Article
Maternal and Infant Characteristics and Pumping Profiles of Women That Predominantly Pump Milk for Their Infants
by Zoya Gridneva, Ashleigh H. Warden, Jacki L. McEachran, Sharon L. Perrella, Ching Tat Lai and Donna T. Geddes
Nutrients 2025, 17(2), 366; https://doi.org/10.3390/nu17020366 - 20 Jan 2025
Cited by 3 | Viewed by 4658
Abstract
Background: Whilst it is inconvenient and time-intensive, predominantly (PP) and exclusively pumping (EP) mothers rely on breast expression to provide milk for their infants and to ensure continued milk supply, yet these populations are poorly understood. Methods: We assessed and characterised Western Australian [...] Read more.
Background: Whilst it is inconvenient and time-intensive, predominantly (PP) and exclusively pumping (EP) mothers rely on breast expression to provide milk for their infants and to ensure continued milk supply, yet these populations are poorly understood. Methods: We assessed and characterised Western Australian PP mothers (n = 93) regarding 24 h milk production (MP) and infant milk intake and demographics, perinatal complications and breastfeeding difficulties, the frequencies of which were compared with published general population frequencies. Pumping efficacy and milk flow parameters during a pumping session in PP mothers (n = 32) were compared with those that pump occasionally (reference group, n = 60). Results: PP mothers had a higher frequency of pregnancy complications and breastfeeding difficulties than the general population. Exclusive pumping did not impact the 24 h MP and the amount of milk available to the infant. PP mothers had more milk ejections, longer active flow duration and lower milk removal efficacy ratios; however, responsiveness to pump (time to first milk ejection), total flow duration, time to stop pumping, percentage of available milk removed and comfort parameters were not different to the reference group. Conclusions: Despite the reported challenges, when an effective pump is used, predominant or exclusive pumping does not negatively affect the 24 h MP and the amount of milk available to the infant. Increasing awareness of the impacts of perinatal and breastfeeding complications on women may assist health professionals in early identification of mothers at high risk for early cessation of breastfeeding, escalating early postpartum intervention and targeted breastfeeding support. Full article
Show Figures

Graphical abstract

16 pages, 6966 KB  
Article
An Immunocytochemistry Method to Investigate the Translationally Active HIV Reservoir
by Guoxin Wu, Samuel H. Keller, Ryan T. Walters, Yuan Li, Jan Kristoff, Brian C. Magliaro, Paul Zuck, Tracy L. Diamond, Jill W. Maxwell, Carol Cheney, Qian Huang, Carl J. Balibar, Thomas Rush, Bonnie J. Howell and Luca Sardo
Int. J. Mol. Sci. 2025, 26(2), 682; https://doi.org/10.3390/ijms26020682 - 15 Jan 2025
Cited by 2 | Viewed by 2584
Abstract
Despite the success of combination antiretroviral therapy (cART) to suppress HIV replication, HIV persists in a long-lived reservoir that can give rise to rebounding viremia upon cART cessation. The translationally active reservoir consists of HIV-infected cells that continue to produce viral proteins even [...] Read more.
Despite the success of combination antiretroviral therapy (cART) to suppress HIV replication, HIV persists in a long-lived reservoir that can give rise to rebounding viremia upon cART cessation. The translationally active reservoir consists of HIV-infected cells that continue to produce viral proteins even in the presence of cART. These active reservoir cells are implicated in the resultant viremia upon cART cessation and likely contribute to chronic immune activation in people living with HIV (PLWH) on cART. Methodologies to quantify the active reservoir are needed. Here, an automated immunocytochemistry (ICC) assay coupled with computational image analysis to detect and quantify intracellular Gag capsid protein (CA) is described (CA-ICC). For this purpose, fixed cells were deposited on microscopy slides by the cytospin technique and stained with antibodies against CA by an automated stainer, followed by slide digitization. Nuclear staining was used to count the number of cells in the specimen, and the chromogenic signal was quantified to determine the percentage of CA-positive cells. In comparative analyses, digital ELISA, qPCR, and flow cytometry were used to validate CA-ICC. The specificity and sensitivity of CA-ICC were assessed by staining a cell line that expresses CA (MOLT IIIB) alongside a control cell line (Jurkat) devoid of this marker, as well as peripheral blood mononuclear cells (PBMCs) from HIV seronegative donors before or after ex vivo infection with an HIV laboratory strain. The sensitivity of CA-ICC was further assayed by spiking MOLT IIIB cells into uninfected Jurkat cells in limiting dilutions. In those analyses, CA-ICC could detect down to 10 CA-positive cells per million with a sensitivity superior to flow cytometry. To demonstrate the application of CA-ICC in pre-clinical research, bulk PBMCs obtained from mouse and non-human primate animal models were stained to detect HIV CA and SIV p27, respectively. The level of intracellular CA quantified by CA-ICC in PBMCs obtained from animal models was associated with plasma viral loads and cell-associated CA measured by qPCR and ELISA, respectively. The application of CA-ICC to evaluate the activity of small-molecule targeted activator of cell-kill (TACK) in clinical specimens is presented. Overall, CA-ICC offers a simple imaging method for specific and sensitive detection of CA-positive cells in bulk cell preparations. Full article
Show Figures

Figure 1

14 pages, 5291 KB  
Article
Temporal Changes in Freshwater Invertebrate Communities During the Drying Phase of a Newly Intermittent River in Central Italy
by Antonio Di Sabatino, Floriana Rossi and Giada Ercolino
Environments 2024, 11(12), 295; https://doi.org/10.3390/environments11120295 - 20 Dec 2024
Cited by 3 | Viewed by 1901
Abstract
The transition from a perennial to an intermittent regime in newly intermittent rivers (nIRs) negatively affects both taxonomic and functional diversity, with significant repercussions on freshwater ecosystem processes and services. However, to better understand how changes in the natural flow regime may influence [...] Read more.
The transition from a perennial to an intermittent regime in newly intermittent rivers (nIRs) negatively affects both taxonomic and functional diversity, with significant repercussions on freshwater ecosystem processes and services. However, to better understand how changes in the natural flow regime may influence the structure and functioning of freshwater ecosystems, it is fundamental to assess variations in abiotic and biotic parameters throughout the hydrological phases characterizing nIRs. For these reasons, we evaluated the temporal changes in community structure and composition during the drying phase of a Central Apennines stream (Italy) over two consecutive drought years. We demonstrated that the different hydrological regime of the pre-drought phase profoundly affected the structure and composition of freshwater communities. The reduced discharge during the low-flow conditions of 2024 led to a transition from insect- to non-insect-dominated communities, with small-sized, lentic-adapted and generalist taxa replacing rheophile and more sensitive insect taxa. We also found marked interannual differences in temporal beta diversity. However, in both years, taxa richness did not exhibit a negative stepped response pattern during the sequence of channel contraction, flow cessation and pools formation. Consequently, we can assume that in newly intermittent Apennine rivers, the response of freshwater communities to drying is strictly dependent on the local and interannual variable hydrological context. This study emphasizes the need for further investigation to better understand the ecological impacts of increasing intermittence in formerly perennial streams and rivers. Full article
Show Figures

Figure 1

19 pages, 658 KB  
Review
Drug-Induced Myocardial Infarction: A Review of Pharmacological Triggers and Pathophysiological Mechanisms
by Ioana Boarescu and Paul-Mihai Boarescu
J. Cardiovasc. Dev. Dis. 2024, 11(12), 406; https://doi.org/10.3390/jcdd11120406 - 18 Dec 2024
Cited by 5 | Viewed by 20512
Abstract
Myocardial infarction (MI) is a significant cardiovascular event caused by the decrease in or complete cessation of blood flow to a portion of the myocardium. It can arise from a variety of etiological factors, including pharmacological triggers. This review aims to explore the [...] Read more.
Myocardial infarction (MI) is a significant cardiovascular event caused by the decrease in or complete cessation of blood flow to a portion of the myocardium. It can arise from a variety of etiological factors, including pharmacological triggers. This review aims to explore the diverse drugs and substances that might lead to drug-induced myocardial infarction, focusing on their mechanisms of action and the pathophysiological processes involved. Various established and emerging pharmacological agents that could elevate the risk of myocardial infarction, such as nonsteroidal anti-inflammatory drugs, hormonal therapies, anticoagulants, and antipsychotic medications, are discussed. The role of drug-induced endothelial dysfunction, coronary artery spasm, and thrombosis are presented in order to highlight the underlying mechanisms. This review emphasizes the need for increased awareness among healthcare professionals to mitigate the risks associated with different pharmacological therapies to improve patient outcomes. Full article
Show Figures

Figure 1

Back to TopTop