Sign in to use this feature.

Years

Between: -

Subjects

remove_circle_outline
remove_circle_outline
remove_circle_outline
remove_circle_outline
remove_circle_outline
remove_circle_outline
remove_circle_outline
remove_circle_outline

Journals

remove_circle_outline
remove_circle_outline
remove_circle_outline
remove_circle_outline
remove_circle_outline
remove_circle_outline

Article Types

Countries / Regions

Search Results (205)

Search Parameters:
Keywords = ear canal

Order results
Result details
Results per page
Select all
Export citation of selected articles as:
14 pages, 1784 KB  
Article
Inner Ear Anatomy Variations in Acute Low-Tone Sensorineural Hearing Loss and Unilateral Stage I/II Ménière’s Disease: A Comparative Study
by Qin Liu, Xingqian Shen, Linlin Wang, Yangming Leng, Cen Chen, Ping Lei and Bo Liu
Diagnostics 2026, 16(3), 473; https://doi.org/10.3390/diagnostics16030473 - 3 Feb 2026
Abstract
Objectives: To investigate the differences in inner ear anatomical variations between patients with acute low-tone sensorineural hearing loss (ALHL) and those with unilateral stage I/II Ménière’s disease (MD) based on magnetic resonance imaging (MRI). Methods: A total of 30 patients with [...] Read more.
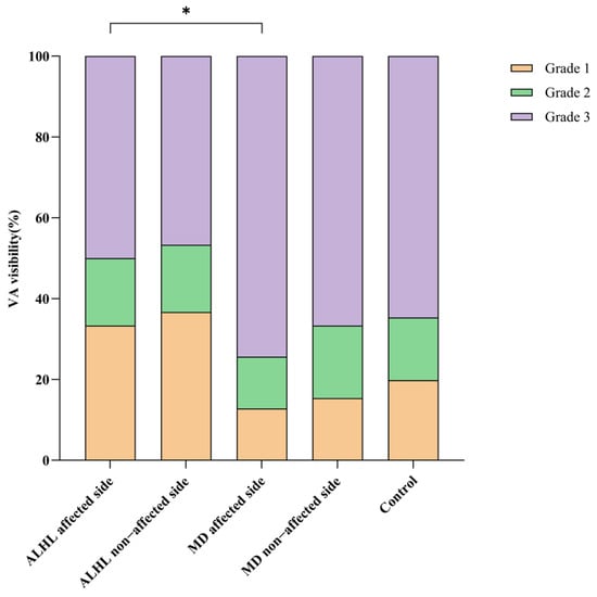
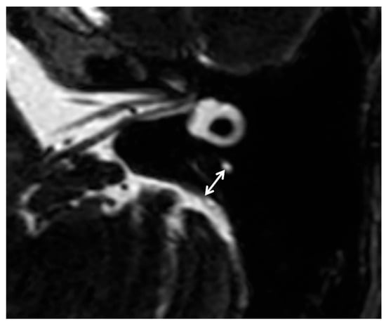
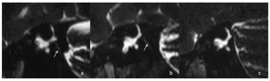
Objectives: To investigate the differences in inner ear anatomical variations between patients with acute low-tone sensorineural hearing loss (ALHL) and those with unilateral stage I/II Ménière’s disease (MD) based on magnetic resonance imaging (MRI). Methods: A total of 30 patients with unilateral ALHL, 41 patients with unilateral stage I/II MD, and 59 healthy controls were enrolled retrospectively. 3.0T MRI was used to evaluate the distance between the vertical part of the posterior semicircular canal and the posterior fossa (PPD) and vestibular aqueduct (VA) visibility. Inter-group and intra-group comparisons and correlation analyses were performed to clarify the characteristics of anatomical variations. Results: (1) There were no significant differences in PPD and VA visibility between ALHL patients and healthy controls; the PPD of unaffected ears in MD patients was significantly shorter than that in healthy controls, while no significant difference was observed in the PPD of affected ears between MD patients and healthy controls. (2) The VA visibility of affected ears in ALHL patients was significantly higher than that in MD patients. (3) No significant intra-group differences in PPD and VA visibility between affected and unaffected ears were noted in ALHL or MD patients. (4) A significant negative correlation was found between the PPD of affected ears and pure tone average of affected ears in MD patients, while no correlations were observed between anatomical indices and clinical characteristics in ALHL patients. Conclusions: Although both ALHL and MD are categorized as hydropic ear diseases, radiological evidences demonstrate that MD patients exhibit inner ear anatomical variations, whereas no significant anatomical variations are observed in ALHL patients. This suggests that anatomical variations in the endolymphatic drainage system may be a predisposing factor for the pathogenesis of unilateral MD rather than for unilateral ALHL. Full article
(This article belongs to the Section Clinical Diagnosis and Prognosis)
Show Figures

Figure 1

9 pages, 2262 KB  
Case Report
Effectiveness of the Temporal Flap in Reconstruction After Advanced External Ear Tumor Resection: A Case Report
by Kostadin Gigov, Petra Kavradzhieva, Ivan Ginev and Mihaela Bogdanova
Clin. Pract. 2026, 16(2), 27; https://doi.org/10.3390/clinpract16020027 - 28 Jan 2026
Viewed by 83
Abstract
Background: Auricular carcinoma is a malignant neoplasm arising from the epithelial or adnexal tissues of the external ear, most commonly representing cutaneous squamous cell carcinoma, basal cell carcinoma, or, less frequently, melanoma, characterized by early cartilage invasion and regional spread due to [...] Read more.
Background: Auricular carcinoma is a malignant neoplasm arising from the epithelial or adnexal tissues of the external ear, most commonly representing cutaneous squamous cell carcinoma, basal cell carcinoma, or, less frequently, melanoma, characterized by early cartilage invasion and regional spread due to the thin soft-tissue envelope of the ear. Such malignancies involve radical resection, producing wide defects, which require complex reconstructive approach. Case Presentation and Methods: We describe a 45-year-old male patient who presented with a basal cell carcinoma, affecting the lobulus of the ear and the retroauricular and mastoid region. He underwent successful tumor resection with clear resection margins in an ENT department with a subsequent referral to our department for reconstruction. This report presents a successful reconstruction of a large post-excisional defect, 10 × 10 cm in diameter, with mastoid process exposure. Temporal muscle flip flap and skin graft, along with the preservation of the external auditory canal with Z-plasty, were incorporated for reconstruction after subtotal auricular amputation due to BCC. It highlights the importance of a diligent long-term follow-up, the preservation of the canal, preventing meatal stenosis, and the reconstructive potential of the muscle flap in patients with mastoid bone exposure in a single stage. Conclusions: A temporalis muscle flap with skin graft coverage offers a reliable, vascularized solution for large post-oncologic auricular defects while preserving the external auditory canal. Z-plasty remains a critical technique for preventing meatal stenosis. Full article
Show Figures

Figure 1

13 pages, 2043 KB  
Article
A Portable Pen-Shaped Otoscope for Telemedicine and Office-Based Otologic Examination: Feasibility and Patient Acceptability
by Nao Hesaka, Takara Nakazawa and Seiji Kakehata
J. Clin. Med. 2026, 15(3), 1028; https://doi.org/10.3390/jcm15031028 - 27 Jan 2026
Viewed by 119
Abstract
Background/Objectives: Otoscopic examination is essential for the evaluation of ear diseases; however, conventional diagnostic devices have limitations related to portability, cost, and patient comfort. This study aimed to evaluate the feasibility and diagnostic performance of a newly developed pen-shaped otoscope compared with [...] Read more.
Background/Objectives: Otoscopic examination is essential for the evaluation of ear diseases; however, conventional diagnostic devices have limitations related to portability, cost, and patient comfort. This study aimed to evaluate the feasibility and diagnostic performance of a newly developed pen-shaped otoscope compared with conventional otologic examination equipment. Methods: In this prospective study, 19 patients (28 ears) who underwent otologic examination at a tertiary referral center between April and June 2024 were included. Images of the external auditory canal and tympanic membrane were obtained using a pen-shaped otoscope, a video endoscope, and a microscope. Visualization of key tympanic membrane structures was assessed by physicians, and patients completed questionnaires evaluating pain, fear, image quality, and understanding of their disease. This prospective pilot feasibility study assessed the safety, usability, and preliminary diagnostic performance of the device. Results: Visualization rates of tympanic membrane structures using the pen-shaped otoscope, video endoscope, and microscope, respectively, were as follows: annulus tympanicus (57.1% vs. 89.3% vs. 9.1%), pars flaccida (89.3% vs. 96.4% vs. 45.5%), handle of the malleus (96.4% vs. 100% vs. 81.8%), and tympanic membrane vasculature (89.3% vs. 100% vs. 100%). No patients reported pain with the pen-shaped otoscope, whereas one patient reported pain with the video endoscope. Despite slightly lower image quality and disease understanding scores, several patients preferred the pen-shaped otoscope because of its ease of use and lack of discomfort. Conclusions: The pen-shaped otoscope provided clear visualization of key tympanic membrane structures, albeit with slightly lower image quality than the endoscope, while demonstrating high safety, portability, and ease of use. Its markedly lower cost supports its potential utility in smaller hospitals, outpatient clinics, and telemedicine applications. Further validation in larger cohorts and pediatric populations is warranted. Full article
(This article belongs to the Section Otolaryngology)
Show Figures

Figure 1

8 pages, 718 KB  
Article
Emotional and Cognitive Effects of Simulated Temporary Hearing Deficit with Healthy Adults
by Leora Moss Levy and Kinneret Weisler
Audiol. Res. 2026, 16(1), 13; https://doi.org/10.3390/audiolres16010013 - 19 Jan 2026
Viewed by 161
Abstract
Background/Objectives: Accumulation of cerumen (earwax) in the auditory canal is a common condition, particularly in children and older adults, and often causes temporary hearing loss. While chronic hearing loss is known to affect mood and cognition, little is known about the psychological [...] Read more.
Background/Objectives: Accumulation of cerumen (earwax) in the auditory canal is a common condition, particularly in children and older adults, and often causes temporary hearing loss. While chronic hearing loss is known to affect mood and cognition, little is known about the psychological impact of short-term auditory deprivation. This pilot study aimed to examine the emotional and cognitive effects of simulated temporary hearing loss. Methods: Thirty healthy adults (16 females, aged 18–60) participated. Temporary hearing loss was simulated by placing earplugs in both ears for two hours. Participants completed four tests, assessing anxiety, mood, and attention at three time points: before wearing earplugs, during the blocked condition, and after earplug removal. Results: Participants showed a significant increase in state anxiety and a decrease in mood during the earplug condition. Interestingly, visual attention performance improved while hearing was obstructed and remained elevated even after earplug removal. Conclusions: Short-term simulated hearing loss produces measurable emotional and cognitive changes, including increased anxiety but enhanced visual attention. Clinicians should consider these effects when assessing patients with temporary hearing obstruction, such as those with cerumen impaction. The results carry implications for the broader population wearing earplugs on a temporary basis including musicians, construction employees, and, in general, people working in noisy environments. Full article
Show Figures

Figure 1

18 pages, 1419 KB  
Review
How the Vestibular Labyrinth Encodes Air-Conducted Sound: From Pressure Waves to Jerk-Sensitive Afferent Pathways
by Leonardo Manzari
J. Otorhinolaryngol. Hear. Balance Med. 2026, 7(1), 5; https://doi.org/10.3390/ohbm7010005 - 14 Jan 2026
Viewed by 460
Abstract
Background/Objectives: The vestibular labyrinth is classically viewed as a sensor of low-frequency head motion—linear acceleration for the otoliths and angular velocity/acceleration for the semicircular canals. However, there is now substantial evidence that air-conducted sound (ACS) can also activate vestibular receptors and afferents in [...] Read more.
Background/Objectives: The vestibular labyrinth is classically viewed as a sensor of low-frequency head motion—linear acceleration for the otoliths and angular velocity/acceleration for the semicircular canals. However, there is now substantial evidence that air-conducted sound (ACS) can also activate vestibular receptors and afferents in mammals and other vertebrates. This sound sensitivity underlies sound-evoked vestibular-evoked myogenic potentials (VEMPs), sound-induced eye movements, and several clinical phenomena in third-window pathologies. The cellular and biophysical mechanisms by which a pressure wave in the cochlear fluids is transformed into a vestibular neural signal remain incompletely integrated into a single framework. This study aimed to provide a narrative synthesis of how ACS activates the vestibular labyrinth, with emphasis on (1) the anatomical and biophysical specializations of the maculae and cristae, (2) the dual-channel organization of vestibular hair cells and afferents, and (3) the encoding of fast, jerk-rich acoustic transients by irregular, striolar/central afferents. Methods: We integrate experimental evidence from single-unit recordings in animals, in vitro hair cell and calyx physiology, anatomical studies of macular structure, and human clinical data on sound-evoked VEMPs and sound-induced eye movements. Key concepts from vestibular cellular neurophysiology and from the physics of sinusoidal motion (displacement, velocity, acceleration, jerk) are combined into a unified interpretative scheme. Results: ACS transmitted through the middle ear generates pressure waves in the perilymph and endolymph not only in the cochlea but also in vestibular compartments. These waves produce local fluid particle motions and pressure gradients that can deflect hair bundles in selected regions of the otolith maculae and canal cristae. Irregular afferents innervating type I hair cells in the striola (maculae) and central zones (cristae) exhibit phase locking to ACS up to at least 1–2 kHz, with much lower thresholds than regular afferents. Cellular and synaptic specializations—transducer adaptation, low-voltage-activated K+ conductances (KLV), fast quantal and non-quantal transmission, and afferent spike-generator properties—implement effective high-pass filtering and phase lead, making these pathways particularly sensitive to rapid changes in acceleration, i.e., mechanical jerk, rather than to slowly varying displacement or acceleration. Clinically, short-rise-time ACS stimuli (clicks and brief tone bursts) elicit robust cervical and ocular VEMPs with clear thresholds and input–output relationships, reflecting the recruitment of these jerk-sensitive utricular and saccular pathways. Sound-induced eye movements and nystagmus in third-window syndromes similarly reflect abnormally enhanced access of ACS-generated pressure waves to canal and otolith receptors. Conclusions: The vestibular labyrinth does not merely “tolerate” air-conducted sound as a spill-over from cochlear mechanics; it contains a dedicated high-frequency, transient-sensitive channel—dominated by type I hair cells and irregular afferents—that is well suited to encoding jerk-rich acoustic events. We propose that ACS-evoked vestibular responses, including VEMPs, are best interpreted within a dual-channel framework in which (1) regular, extrastriolar/peripheral pathways encode sustained head motion and low-frequency acceleration, while (2) irregular, striolar/central pathways encode fast, sound-driven transients distinguished by high jerk, steep onset, and precise spike timing. Full article
(This article belongs to the Section Otology and Neurotology)
Show Figures

Figure 1

15 pages, 3183 KB  
Review
The Importance of Ear Canal Microbiota and Earwax in the Prevention of Outer Ear Infections
by Paulina Paprocka, Jakub Spałek, Tamara Daniluk, Szczepan Kaliniak, Bonita Durnaś, Sławomir Okła and Robert Bucki
Int. J. Mol. Sci. 2026, 27(2), 622; https://doi.org/10.3390/ijms27020622 - 8 Jan 2026
Viewed by 656
Abstract
This article describes the microbiome of the outer ear and the earwax in the ear canal, which performs various protective functions against bacterial infections. This article is based on an analysis of literature gathered from databases including PubMed, Google Scholar, Web of Science, [...] Read more.
This article describes the microbiome of the outer ear and the earwax in the ear canal, which performs various protective functions against bacterial infections. This article is based on an analysis of literature gathered from databases including PubMed, Google Scholar, Web of Science, and Scopus, primarily from the last 15 years. The search strategy included MeSH terms: ear canal, microbiome, earwax, cerumen, antibacterial peptides, ear infections, biofilm. Only peer-reviewed articles were included. The natural ear canal microbiota provides so-called colonization resistance, which protects against invasion by pathogenic microorganisms. Earwax is composed primarily of keratin secreted by epithelial cells and substances secreted by sweat and apocrine glands. It plays a key role in the physiology of the ear canal, maintaining a low pH, limiting moisture, and exhibiting antimicrobial properties. Both an excess and a deficiency of earwax can lead to dysbiosis of the outer ear, and consequently to the development of various infections. In an era of increasing antibiotic resistance and the search for new solutions in the fight against pathogenic microorganisms, understanding the natural properties of earwax is becoming increasingly important. Full article
(This article belongs to the Section Molecular Microbiology)
Show Figures

Figure 1

15 pages, 2133 KB  
Article
Impact of Helicopter Vibrations on In-Ear PPG Monitoring for Vital Signs—Mountain Rescue Technology Study (MoReTech)
by Aaron Benkert, Jakob Bludau, Lukas Boborzi, Stephan Prueckner and Roman Schniepp
Sensors 2026, 26(1), 324; https://doi.org/10.3390/s26010324 - 4 Jan 2026
Viewed by 487
Abstract
Pulsoximeters are widely used in the medical care of preclinical patients to evaluate the cardiorespiratory status and monitor basic vital signs, such as pulse rate (PR) and oxygen saturation (SpO2). In many preclinical situations, air transport of the patient by helicopter [...] Read more.
Pulsoximeters are widely used in the medical care of preclinical patients to evaluate the cardiorespiratory status and monitor basic vital signs, such as pulse rate (PR) and oxygen saturation (SpO2). In many preclinical situations, air transport of the patient by helicopter is necessary. Conventional pulse oximeters, mostly used on the patient’s finger, are prone to motion artifacts during transportation. Therefore, this study aims to determine whether simulated helicopter vibration has an impact on the photoplethysmogram (PPG) derived from an in-ear sensor at the external ear canal and whether the vibration influences the calculation of vital signs PR and SpO2. The in-ear PPG signals of 17 participants were measured at rest and under exposure to vibration generated by a helicopter simulator. Several signal quality indicators (SQI), including perfusion index, skewness, entropy, kurtosis, omega, quality index, and valid pulse detection, were extracted from the in-ear PPG recordings during rest and vibration. An intra-subject comparison was performed to evaluate signal quality changes under exposure to vibration. The analysis revealed no significant difference in any SQI between vibration and rest (all p > 0.05). Furthermore, the vital signs PR and SpO2 calculated using the in-ear PPG signal were compared to reference measurements by a clinical monitoring system (ECG and SpO2 finger sensor). The results for the PR showed substantial agreement (CCCrest = 0.96; CCCvibration = 0.96) and poor agreement for SpO2 (CCCrest = 0.41; CCCvibration = 0.19). The results of our study indicate that simulated helicopter vibration had no significant impact on the calculation of the SQIs, and the calculation of vital signs PR and SpO2 did not differ between rest and vibration conditions. Full article
(This article belongs to the Special Issue Novel Optical Sensors for Biomedical Applications—2nd Edition)
Show Figures

Figure 1

12 pages, 1543 KB  
Case Report
Cochlear Implantation in Narrow Duplicated Internal Auditory Canal: Case Report and Systematic Review
by Eleonora Lovati, Davide Soloperto, Michele Pellegrino, Elisabetta Genovese and Daniele Marchioni
J. Otorhinolaryngol. Hear. Balance Med. 2026, 7(1), 2; https://doi.org/10.3390/ohbm7010002 - 31 Dec 2025
Viewed by 302
Abstract
Background: Narrow duplicated internal auditory canal (IAC) is a rare congenital malformation frequently associated with severe-to-profound sensorineural hearing loss. Case Presentation: We present a one-year-old girl with bilateral narrow duplicated IAC and profound hearing loss evaluated through CT/MRI and electrically evoked auditory brainstem [...] Read more.
Background: Narrow duplicated internal auditory canal (IAC) is a rare congenital malformation frequently associated with severe-to-profound sensorineural hearing loss. Case Presentation: We present a one-year-old girl with bilateral narrow duplicated IAC and profound hearing loss evaluated through CT/MRI and electrically evoked auditory brainstem response (EABR). Methods: We conducted a systematic review (1990–2023), identifying 59 published cases of which 24 were bilateral. The mean age at diagnosis was 10.34 years, and 25 cases presented additional inner ear malformations. Only seven patients underwent cochlear implantation, and EABR was performed in four cases. Outcomes of cochlear implantation were heterogeneous. Discussion: In our case, EABR showed a reproducible wave V on the right side, supporting candidacy for cochlear implantation which led to positive early auditory responses. Conclusions: This case and review highlight the role of EABR in identifying residual cochlear nerve functionality and guiding candidacy for cochlear implantation in narrow duplicated IAC. Full article
(This article belongs to the Special Issue Etiology, Diagnosis, and Treatment of Congenital Hearing Loss)
Show Figures

Figure 1

13 pages, 1912 KB  
Article
Vibro-Acoustic Radiation Analysis for Detecting Otitis Media with Effusion
by Gyuyoung Yi, Jonghoon Jeon, Kyunglae Gu, Junhong Park and Jae Ho Chung
Appl. Sci. 2026, 16(1), 4; https://doi.org/10.3390/app16010004 - 19 Dec 2025
Viewed by 346
Abstract
Otitis media with effusion (OME) is a common middle ear disease characterized by fluid accumulation without acute infection, leading to conductive hearing loss. Conventional diagnostic tools, such as tympanometry and otoscopy, have limited sensitivity and rely on expert interpretation. This study investigates vibro-acoustic [...] Read more.
Otitis media with effusion (OME) is a common middle ear disease characterized by fluid accumulation without acute infection, leading to conductive hearing loss. Conventional diagnostic tools, such as tympanometry and otoscopy, have limited sensitivity and rely on expert interpretation. This study investigates vibro-acoustic radiation (VAR) as a novel, non-invasive, and objective method for OME detection. VAR signals were obtained from 36 OME patients (43 ears) and 15 normal ears using bone-conduction excitation and stereo microphones, and the frequency response functions were analyzed. OME increases the mechanical loading of the tympanic membrane and ossicular chain, thereby modifying sound transmission across the middle ear. Using a simplified theoretical model, we estimated acoustic parameters of the ear canal, eardrum, and middle ear, including specific acoustic impedance and resonance frequency ranges, to interpret changes in VAR. VAR analysis revealed significantly reduced signal amplitude in the 8–10 kHz range in OME ears compared with normal ears (p < 0.05). A classification algorithm based on these features achieved 86.7% accuracy, 85.0% sensitivity, and 80.0% specificity, with an area under the ROC curve of 0.986. These findings suggest that VAR has strong potential as a non-invasive diagnostic tool for OME, warranting validation in larger clinical studies. Full article
Show Figures

Figure 1

7 pages, 200 KB  
Article
Outpatient Management of Aural Fullness: A Retrospective Case Series of 100 Patients with Cerumen Impaction, Keratosis Obturans, and External Auditory Canal Cholesteatoma
by Giovanni Motta, Domenico Testa, Giuseppe Barba, Rosa Grassia, Francesco Chiari, Arianna Di Stadio and Giuseppe Tortoriello
Life 2025, 15(12), 1936; https://doi.org/10.3390/life15121936 - 18 Dec 2025
Viewed by 492
Abstract
Background: Aural fullness is a common symptom in routine otolaryngological practice. Although it is most commonly attributed to cerumen impaction, other, less frequent conditions may present similar symptoms and are often initially misdiagnosed as cerumen. These include keratosis obturans (KO) and external auditory [...] Read more.
Background: Aural fullness is a common symptom in routine otolaryngological practice. Although it is most commonly attributed to cerumen impaction, other, less frequent conditions may present similar symptoms and are often initially misdiagnosed as cerumen. These include keratosis obturans (KO) and external auditory canal cholesteatoma (EACC). Accurate differentiation among these entities is crucial for appropriate management. These distinctions are crucial for appropriate management. Methods: We retrospectively reviewed 100 patients who presented with a chief complaint of aural fullness from 2021 to 2025. All patients underwent microscopic and/or micro/endoscopic otologic evaluation and were subsequently treated with outpatient otologic procedures. These procedures ranged from simple cerumen removal for CI cases to aural toilettage of the external auditory canal for KO and initial debridement attempts for EACC. Results: Among 100 patients, 87 were diagnosed with CI, 10 were diagnosed with KO, and 3 were diagnosed with EACC. In 97 patients, outpatient microscopic management was effective and successful, leading to the complete removal of the underlying condition and resolution of the ear fullness. In the remaining 3 cases—all diagnosed with EACC—microscopic outpatient debridement was not sufficient. These patients were subsequently scheduled for surgical intervention following audiological and temporal bone CT evaluations. Conclusions: Our findings confirm that CI is the most frequent cause of aural fullness and that microscopic outpatient removal represents an excellent standard of care. However, clinicians should remain aware that KO and EACC may present similar symptoms. Their management is often more complex, potentially requiring multiple sessions and, in the case of EACC, can necessitate surgical intervention. Accurate diagnosis is, therefore, essential to ensure effective and appropriate treatment. Full article
(This article belongs to the Special Issue New Trends in Otorhinolaryngology)
12 pages, 2145 KB  
Article
Intraoperative Management of Lateral Semicircular Canal Fistula in Cholesteatoma Surgery: Retrospective Case Series and Audiovestibular Follow-Up
by Maria Denisa Zica, Catalina Voiosu, Andreea Rusescu, Irina Ionita, Luana Maria Gherasie, Oana Ruxandra Alius, Alexandra Bizdu Branovici, Razvan Hainarosie and Viorel Zainea
Medicina 2025, 61(12), 2144; https://doi.org/10.3390/medicina61122144 - 30 Nov 2025
Viewed by 782
Abstract
Background and Objectives: To evaluate the surgical management and outcomes of lateral semicircular canal fistulas (LSCFs) in patients with middle ear cholesteatoma, focusing on hearing preservation and vestibular function. Materials and Methods: A retrospective study was conducted on nine adult patients diagnosed with [...] Read more.
Background and Objectives: To evaluate the surgical management and outcomes of lateral semicircular canal fistulas (LSCFs) in patients with middle ear cholesteatoma, focusing on hearing preservation and vestibular function. Materials and Methods: A retrospective study was conducted on nine adult patients diagnosed with LSCFs secondary to cholesteatoma who underwent surgery at a tertiary referral center between 2018 and 2024. The preoperative evaluation included otoscopy, audiometry, vestibular testing (HINTS), and high-resolution CT (HRCT) of the temporal bone. Surgical techniques included canal wall up (CWU) or canal wall down (CWD) mastoidectomy, depending on the disease extent. Cholesteatoma matrix removal from the fistula was performed carefully. Fistula closure involved layered grafts of temporalis fascia, temporalis muscle, and/or gelfoam. The postoperative follow-up included audiometry and vestibular assessments. Results: Nine patients with LSCFs were identified (one Type III, three Type IIb, and four Type I/IIa). Five patients were found to have additional disease complications intraoperatively, including facial nerve involvement and middle fossa dehiscence. Postoperatively, hearing outcomes varied, with some patients experiencing improvement, others demonstrating stable hearing, and some exhibiting further decline, particularly in cases with extensive disease. Vestibular symptoms, including vertigo, generally resolved postoperatively, although some patients required prolonged vestibular rehabilitation. Conclusions: LSCF management in cholesteatoma surgery requires a careful preoperative assessment, meticulous surgical technique, and individualized fistula closure based on the size and type. While hearing preservation remains a challenge, particularly in extensive cases, the “underwater technique” and layered grafting may contribute to minimizing further damage and promoting fistula closure. Vestibular rehabilitation plays a crucial role in managing postoperative balance issues. A long-term follow-up is essential to monitor for recurrence and assess both auditory and vestibular function. Full article
(This article belongs to the Special Issue Recent Advances in Otological Diseases)
Show Figures

Figure 1

6 pages, 160 KB  
Article
Does Superior Semicircular Canal Dehiscence Surgery Resolve or Exacerbate Positional Vertigo?
by Gerard Joseph Gianoli
Audiol. Res. 2025, 15(6), 165; https://doi.org/10.3390/audiolres15060165 - 28 Nov 2025
Viewed by 539
Abstract
Does Superior Semicircular Canal Dehiscence Surgery Resolve or Exacerbate BPPV? Background/Objectives: BPPV is commonly found to be associated with other inner ear disorders. It has been found to occur with Superior Semicircular Canal Dehiscence (SSCD) as well as postoperatively following SSCD surgical repair. [...] Read more.
Does Superior Semicircular Canal Dehiscence Surgery Resolve or Exacerbate BPPV? Background/Objectives: BPPV is commonly found to be associated with other inner ear disorders. It has been found to occur with Superior Semicircular Canal Dehiscence (SSCD) as well as postoperatively following SSCD surgical repair. This paper will analyze the preoperative and postoperative incidence of positional vertigo in patients undergoing SSCD surgery. Methods: This is a retrospective chart review of 50 consecutive patients with SSCD undergoing surgical repair. They were evaluated preoperatively, at 1 week postoperative, at 6 weeks postoperative, and at 12 weeks postoperative for evidence of BPPV. Information collected included demographics, the semicircular canal involved, type of BPPV, and whether the patient required canalith repositioning. Results: Preoperatively, 33 (66%) patients reported symptoms of positionally induced vertigo with confirmation during VNG testing. No patient was treated for BPPV prior to surgery. At one week postoperative, 17 (35%) patients continued to have symptoms of positionally induced vertigo; at 6 weeks postoperative, 9 (18%), and at 12 weeks postoperative, 5 (10%) patients had positional vertigo requiring canalith repositioning (p < 0.05). Three patients (6%) had no evidence of BPPV preoperatively but had positional vertigo at the one-week postoperative evaluation. At the 6-week post-op visit, only one of the patients had new-onset postoperative positional vertigo. At the 3-month visit, no patient had new-onset postoperative positional vertigo. Conclusions: BPPV and positional vertigo symptoms were found commonly prior to SSCD surgery and in the week after SSCD surgery. However, BPPV resolved by 6 weeks after SSCD surgery without additional intervention for most of these patients, while the others underwent canalith repositioning. A small percentage developed BPPV after surgery who had none preoperatively and in the contralateral ear. Full article
(This article belongs to the Special Issue A Tribute to John M. Epley)
14 pages, 538 KB  
Article
Prevalence and Antimicrobial Resistance of Staphylococcus aureus and Staphylococcus schleiferi Isolated from Dogs with Otitis Externa and Healthy Dogs
by Ionela Popa, Ionica Iancu, Vlad Iorgoni, Janos Degi, Alexandru Gligor, Kalman Imre, Emil Tîrziu, Timea Bochiș, Călin Pop, Ana-Maria Plotuna, Paula Nistor, Marius Pentea, Viorel Herman and Ileana Nichita
Antibiotics 2025, 14(12), 1194; https://doi.org/10.3390/antibiotics14121194 - 24 Nov 2025
Cited by 1 | Viewed by 677
Abstract
Background/Objectives: Antimicrobial resistance (AMR) in companion animals is a growing One Health concern due to the close interaction between pets and humans. Staphylococcus aureus (S. aureus) and Staphylococcus schleiferi (S. schleiferi) are common colonizers of the canine ear [...] Read more.
Background/Objectives: Antimicrobial resistance (AMR) in companion animals is a growing One Health concern due to the close interaction between pets and humans. Staphylococcus aureus (S. aureus) and Staphylococcus schleiferi (S. schleiferi) are common colonizers of the canine ear canal and can act as reservoirs of resistance. This study aimed to assess the prevalence and antimicrobial resistance profiles of S. aureus and S. schleiferi isolated from dogs with otitis externa and clinically healthy dogs in western Romania. Methods: A total of 973 canine ear swabs were collected, 503 from dogs with otitis externa and 470 from healthy dogs. Isolates were identified using MALDI-TOF MS. Antimicrobial susceptibility testing was performed using the VITEK® 2 Compact system, bioMérieux, Marcy-l’Étoile, France, and interpreted according to CLSI VET01 guidelines, with 13 antimicrobials representing multiple drug classes. ResultsS. aureus was more prevalent in healthy dogs (20%) than in otitis cases (4%), while S. schleiferi was more common in otitic samples (7.5% vs. 4%). Among S. aureus isolates from otitic dogs, penicillin resistance was highest (65%), and 25% were multidrug-resistant (MDR). In healthy dogs, S. aureus showed 54.3% penicillin resistance and 16% MDR prevalence. Four MRSA strains (4.3%) were identified only in healthy dogs. S. schleiferi exhibited the highest resistance to clindamycin, with MDR rates of 10.6% in otitic and 5.6% in healthy dogs. No MRSS strains were detected. Conclusions: Clinically healthy dogs may serve as asymptomatic carriers of resistant Staphylococcus strains, including MRSA. Routine antimicrobial susceptibility testing is essential to inform treatment choices and mitigate resistance dissemination within veterinary and public health contexts. Full article
Show Figures

Figure 1

17 pages, 1266 KB  
Article
Malassezia pachydermatis Acquires Resistance to Polyenes in the Laboratory Model
by Urszula Czyżewska, Sandra Chmielewska, Marek Bartoszewicz and Adam Tylicki
Pathogens 2025, 14(11), 1162; https://doi.org/10.3390/pathogens14111162 - 14 Nov 2025
Viewed by 1064
Abstract
This study presents a model investigation into the development of tolerance to polyene antifungal drugs (nystatin and natamycin) in strains of Malassezia pachydermatis. This species, commonly associated with external ear canal infections in dogs, has emerged as increasingly significant in the broader [...] Read more.
This study presents a model investigation into the development of tolerance to polyene antifungal drugs (nystatin and natamycin) in strains of Malassezia pachydermatis. This species, commonly associated with external ear canal infections in dogs, has emerged as increasingly significant in the broader context of growing fungal resistance to treatment. In the experiment, 10 strains of M. pachydermatis were passaged over a period of 105 weeks on media containing sublethal concentrations of nystatin and natamycin. Minimal inhibitory (MIC) and minimal fungicidal concentration (MFC) values were regularly assessed to monitor tolerance development. The results revealed a varied response among the strains: Some were eliminated during the process, while others showed a gradual increase in MIC values, up to fivefold in the case of nystatin. In several strains, acquired resistance remained stable even after passaging in drug-free conditions, whereas others reverted to their original susceptibility. The model demonstrated that resistance does not emerge immediately; significant changes appeared only after 30–45 passages. The authors propose this model as a valuable tool for tracking sequential changes that lead to resistance development. Such an approach may support targeted therapy development and help identify strains predisposed to drug adaptation. These findings hold promise for assessing therapeutic risk in immunosuppressed patients and for building resistance datasets that can support artificial intelligence algorithms in predicting fungal resistance mechanisms. Full article
(This article belongs to the Section Fungal Pathogens)
Show Figures

Figure 1

15 pages, 999 KB  
Article
Spontaneous SSCD Auto-Plugging: Clinical, Electrophysiological and Radiological Evidence
by Pierre Reynard, Eugenia Mustea, Aïcha Ltaief-Boudrigua, Andrea Castellucci, Hung Thai-Van and Eugen C. Ionescu
J. Clin. Med. 2025, 14(22), 8054; https://doi.org/10.3390/jcm14228054 - 13 Nov 2025
Viewed by 533
Abstract
Background: Superior semicircular canal dehiscence (SSCD) is characterized by a bony defect of the superior semicircular canal (SSC), leading to vestibular and auditory symptoms. A process of spontaneous “auto-plugging,” in which the overlying dura mater progressively occludes the SSC, may replicate the effects [...] Read more.
Background: Superior semicircular canal dehiscence (SSCD) is characterized by a bony defect of the superior semicircular canal (SSC), leading to vestibular and auditory symptoms. A process of spontaneous “auto-plugging,” in which the overlying dura mater progressively occludes the SSC, may replicate the effects of surgical canal plugging but remains under-recognized. The present study reports diverse clinical, instrumental, and 3d High Resolution MRI findings in patients with SSCD and subsequently confirmed to present with spontaneous complete or partial auto-plugging. Methods: We retrospectively reviewed 11 patients with SSCD diagnosed on high-resolution CT and suspected auto-plugging based on clinical atypia and large dehiscence (>4 mm). Patients underwent comprehensive neurotological assessment, including pure-tone audiometry, vestibular testing, and HR MRI with 3D labyrinthine reconstructions to identify partial or complete auto-plugging. Auto-plugging was classified as partial (Canalis semicircularis superior depressus) or complete (absence of endolymph fluid signal; Canalis semicircularis superior obturatus). Results: Among 13 ears with auto-plugging, 6 were partial and 7 complete. The mean SSCD size in auto-plugged ears was 5.5 mm. Most ears had normal or near-normal vestibular function on VHIT, with minimal air-bone gaps and preserved VEMP responses. Imaging demonstrated varying degrees of dural contact with the SSC, confirming partial or complete canal occlusion. Conclusions: Spontaneous auto-plugging of the SSC is a plausible, under-recognized phenomenon that may reproduce functional effects of surgical plugging. Dedicated 3D labyrinthine MRI enhances detection and characterization. Prospective multimodal studies are needed to clarify the pathophysiology, progression, and clinical implications, optimizing patient selection for surgical versus conservative management. Full article
(This article belongs to the Special Issue Clinical Diagnosis and Management of Vestibular Disorders)
Show Figures

Figure 1

Back to TopTop