Sign in to use this feature.

Years

Between: -

Subjects

remove_circle_outline
remove_circle_outline
remove_circle_outline
remove_circle_outline
remove_circle_outline
remove_circle_outline
remove_circle_outline

Journals

Article Types

Countries / Regions

remove_circle_outline
remove_circle_outline
remove_circle_outline

Search Results (342)

Search Parameters:
Keywords = diffusion-weighted imaging (DWI)

Order results
Result details
Results per page
Select all
Export citation of selected articles as:
20 pages, 1320 KB  
Article
Overestimation of the Apparent Diffusion Coefficient in Diffusion-Weighted Imaging Due to Residual Fat Signal and Out-of-Phase Conditions
by Maher Dhanani, Dominika Skwierawska, Tristan Anselm Kuder, Sabine Ohlmeyer, Michael Uder, Sebastian Bickelhaupt and Frederik Bernd Laun
Tomography 2026, 12(1), 11; https://doi.org/10.3390/tomography12010011 - 16 Jan 2026
Viewed by 24
Abstract
Background/Objectives: Diffusion-weighted imaging (DWI) is a magnetic resonance technique used to map the apparent diffusion coefficient (ADC) of water in human tissue. ADC assessment plays a central role in clinical diagnostics, as malignant tissues typically exhibit reduced water mobility and, [...] Read more.
Background/Objectives: Diffusion-weighted imaging (DWI) is a magnetic resonance technique used to map the apparent diffusion coefficient (ADC) of water in human tissue. ADC assessment plays a central role in clinical diagnostics, as malignant tissues typically exhibit reduced water mobility and, thus, lower ADC values. Accurately measuring the ADC requires effective fat suppression to prevent contamination from the residual fat signal, which is commonly believed to cause ADC underestimation. This study aimed to demonstrate that ADC overestimation may occur as well. Methods: Our theoretical analysis shows that out-of-phase conditions between fat and water signals lead to ADC overestimations. We performed demonstration experiments on fat–water phantoms and the breasts of 10 healthy female volunteers. In particular, we considered three out-of-phase conditions: First and second, short-time inversion recovery (STIR) fat suppression with incorrect inversion time and incorrect flip angle, respectively. Third, phase differences due to spectral fat saturation. The ADC values were assessed in regions of interest (ROIs) that included both water and residual fat signals. Results: In the phantoms and the volunteer data, ROIs containing both fat and water signals consistently exhibited lower ADC values under in-phase conditions and higher ADC values under out-of-phase conditions. Conclusions: We demonstrated that out-of-phase conditions can result in ADC overestimation in the presence of residual fat signals, potentially resulting in false-negative classifications where malignant lesions are misinterpreted as benign due to an elevated ADC. Out-of-phase fat and water signals might also reduce lesion conspicuity in high b-value images, potentially masking clinically relevant findings. Full article
23 pages, 852 KB  
Review
Evolving Paradigms in Gastric Cancer Staging: From Conventional Imaging to Advanced MRI and Artificial Intelligence
by Giovanni Balestrucci, Vittorio Patanè, Nicoletta Giordano, Anna Russo, Fabrizio Urraro, Valerio Nardone, Salvatore Cappabianca and Alfonso Reginelli
Diagnostics 2026, 16(2), 284; https://doi.org/10.3390/diagnostics16020284 - 16 Jan 2026
Viewed by 43
Abstract
Background: Accurate preoperative staging is the cornerstone of therapeutic decision-making in gastric cancer (GC), yet standard modalities often fail to capture the full extent of disease, particularly in diffuse and poorly cohesive histotypes. This review aims to provide a comprehensive update on [...] Read more.
Background: Accurate preoperative staging is the cornerstone of therapeutic decision-making in gastric cancer (GC), yet standard modalities often fail to capture the full extent of disease, particularly in diffuse and poorly cohesive histotypes. This review aims to provide a comprehensive update on diagnostic imaging for GC, evaluating the established roles of CT, EUS, and PET/CT alongside the emerging capabilities of Magnetic Resonance Imaging (MRI) and Artificial Intelligence (AI). Methods: A structured narrative review was conducted by searching indexed biomedical databases for studies published between 2015 and 2024. A structured literature search screening process identified 410 relevant studies focusing on T, N, and M staging accuracy, quantitative imaging biomarkers, and radiomics. Results: While Multidetector CT remains the universal first-line modality, its sensitivity declines in infiltrative tumors and low-volume peritoneal carcinomatosis. EUS retains superiority for early (T1-T2) lesions but may offer limited value in advanced stages. Conversely, MRI (leveraging diffusion-weighted imaging (DWI) and multiparametric protocols) indicates superior soft-tissue contrast, potentially outperforming CT in the assessment of serosal invasion, nodal involvement, and occult peritoneal metastases. Furthermore, emerging fibroblast activation protein inhibitor (FAPI) PET tracers show promise in overcoming the limitations of FDG in mucinous and diffuse GC. Finally, radiomics and deep learning models are providing novel quantitative biomarkers for non-invasive risk stratification. Conclusions: Contemporary GC staging requires a tailored, multimodality approach. Evidence supports the increasing integration of MRI and quantitative imaging into clinical workflows to overcome the limitations of conventional techniques and support precision oncology. Full article
(This article belongs to the Special Issue Innovations in Medical Imaging for Precision Diagnostics)
Show Figures

Figure 1

10 pages, 4034 KB  
Article
MRI Diffusion Imaging as an Additional Biomarker for Monitoring Chemotherapy Efficacy in Tumors
by Małgorzata Grzywińska, Anna Sobolewska, Małgorzata Krawczyk, Ewa Wierzchosławska and Dominik Świętoń
Medicina 2026, 62(1), 173; https://doi.org/10.3390/medicina62010173 - 15 Jan 2026
Viewed by 55
Abstract
Background and Objectives: Soft tissue sarcomas account for approximately 7% of all malignant tumors in the pediatric population. Diffusion-weighted imaging (DWI) with apparent diffusion coefficient (ADC) measurements may provide early functional biomarkers of treatment response by reflecting changes in tumor cellularity. This [...] Read more.
Background and Objectives: Soft tissue sarcomas account for approximately 7% of all malignant tumors in the pediatric population. Diffusion-weighted imaging (DWI) with apparent diffusion coefficient (ADC) measurements may provide early functional biomarkers of treatment response by reflecting changes in tumor cellularity. This study evaluated whether ADC-derived parameters can serve as quantitative biomarkers of neoadjuvant chemotherapy response in pediatric rhabdomyosarcoma. Materials and Methods: This retrospective single-center study included 14 patients aged ≤18 years with histopathologically confirmed rhabdomyosarcoma who underwent MRI before treatment and after three cycles of chemotherapy. Twenty-five patients were initially identified; eleven were excluded due to imaging artifacts or absence of baseline examination. ADC maps were generated on 1.5T and 3T scanners. Regions of interest were placed over the entire lesion and areas with the lowest ADC signal. Relative ADC (rADC) was calculated by normalizing tumor ADC to adjacent healthy muscle. Paired t-tests were used to compare pre- and post-treatment values. Results: At baseline, 13/14 patients (93%) demonstrated diffusion restriction. Mean ADC increased from 1.11 × 10−3 mm2/s (SD ± 0.48) at baseline to 1.63 × 10−3 mm2/s (SD ± 0.67) after treatment. The paired t-test for rADC yielded t = −3.089 (p = 0.0086, 95% CI: −0.79 to −0.14), indicating a statistically significant change. There was a significant difference between the ADC values of the entire lesion and the areas with the lowest signal in tumors with a heterogenic structure, t = 2.862, p = 0.013. Conclusions: ADC and rADC increased significantly after neoadjuvant chemotherapy in pediatric rhabdomyosarcoma, suggesting potential utility as early functional biomarkers of treatment response. These preliminary findings require validation in larger multicenter prospective studies with correlation to histopathological response and clinical outcomes before clinical implementation. Full article
(This article belongs to the Special Issue Interventional Radiology and Imaging in Cancer Diagnosis)
Show Figures

Figure 1

14 pages, 3525 KB  
Article
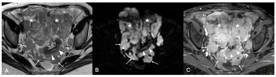
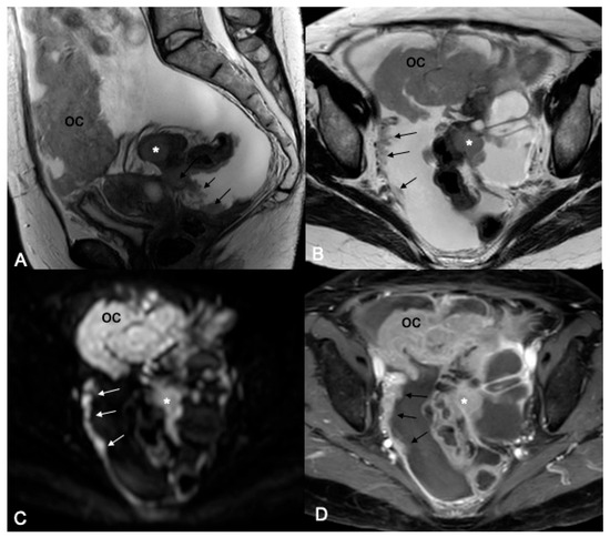
Prediction of Resectability of Peritoneal Disease in Ovarian Cancer Patients Using the Peritoneal Cancer Index (PCI) and Fagotti Score on MRI
by Marianna Konidari, Sofia Gourtsoyianni, Nikolaos Thomakos, Georgia Lymperopoulou, Chara Tzavara, Vasilios Pergialiotis, Alexandros Rodolakis, Lia Angela Moulopoulos and Charis Bourgioti
Cancers 2026, 18(1), 165; https://doi.org/10.3390/cancers18010165 - 2 Jan 2026
Viewed by 388
Abstract
Background/Objectives: Cytoreduction status is a critical prognostic factor in ovarian cancer, yet preoperative selection of patients suitable for primary debulking surgery and accurate prediction of surgical outcome remain challenging. This study aimed to evaluate the prognostic ability of MRI-based Fagotti score and Peritoneal [...] Read more.
Background/Objectives: Cytoreduction status is a critical prognostic factor in ovarian cancer, yet preoperative selection of patients suitable for primary debulking surgery and accurate prediction of surgical outcome remain challenging. This study aimed to evaluate the prognostic ability of MRI-based Fagotti score and Peritoneal Cancer Index (PCI) for predicting resectability of peritoneal disease in ovarian cancer patients. Methods: This was a prospective single-center observational study. Patients with suspected primary ovarian cancer who underwent preoperative MRI of the abdomen and pelvis with a dedicated protocol were considered. MRI-based Fagotti score and PCI were determined by two readers independently, using a combination of T2W, Diffusion-Weighted Imaging (DWI), and contrast-enhanced T1W sequences. In cases of discordance, a third radiologist reviewed the scans and consensus was reached. ROC analysis and logistic regression were used to evaluate prognostic performance. The reference standard to predict resectability was optimal cytoreduction defined as residual disease ≤1 cm. Results: Forty-six women with epithelial ovarian cancer (mean age 56.3 ± 2.6 years) who underwent preoperative MRI, followed by laparoscopy and/or laparotomy, were included in the study. Both MRI-based Fagotti score and PCI showed high predictive value for predicting resectability (AUC 0.92 and 0.94, respectively). Optimal cut-offs were ≤6 for Fagotti score and ≤20 for PCI. Patients with scores below these thresholds had >60-fold (Fagotti) and >100-fold (PCI) increased odds for successful primary cytoreduction (p < 0.001). Conclusions: MRI-based Fagotti score and PCI may serve as powerful noninvasive predictors of surgical outcome in ovarian cancer. MRI may reliably guide treatment decisions, reducing unnecessary laparotomies and optimizing patient selection. Full article
(This article belongs to the Special Issue Updates on Imaging of Common Urogenital Neoplasms 2nd Edition)
Show Figures

Figure 1

15 pages, 3439 KB  
Article
Acute Ischemic Stroke in Non-Arteritic Anterior Ischemic Optic Neuropathy
by Victor Wenzel, Leon Alexander Danyel, Sophia Meidinger, Eberhard Siebert, Theresia Knoche and Charlotte Pietrock
Diagnostics 2025, 15(24), 3192; https://doi.org/10.3390/diagnostics15243192 - 14 Dec 2025
Viewed by 432
Abstract
Background: Non-arteritic anterior ischemic optic neuropathy (NAION) is a neuroophthalmological disorder characterized by impaired blood flow to the optic nerve head. There is uncertainty about whether, in some cases, NAION may be caused by proximal embolism of the posterior ciliary arteries. Diffusion-weighted magnetic [...] Read more.
Background: Non-arteritic anterior ischemic optic neuropathy (NAION) is a neuroophthalmological disorder characterized by impaired blood flow to the optic nerve head. There is uncertainty about whether, in some cases, NAION may be caused by proximal embolism of the posterior ciliary arteries. Diffusion-weighted magnetic resonance imaging (DWI-MRI) can provide evidence of concurrent cerebral infarction that may indicate a common embolic etiology. Methods: Adults with ophthalmological diagnosis of NAION who underwent cerebral DWI-MRI within 14 days from onset of visual impairment were included in a retrospective cohort study (2013–2021). DWI-MRI images were assessed for presence, location, and type of ischemic stroke by a board-certified neuroradiologist blinded for clinical patient data. Results: Among 122 patients (mean age 64.6 ± 11.9 years), DWI-MRI indicated acute/subacute ischemic stroke in three cases (2.5%), all located within the anterior circulation in the territory of the left middle cerebral artery and ipsilateral to the affected eye in two cases (1.6%). Ischemic stroke location was cortical in one case (0.8%) and subcortical in two cases (1.6%). Acute ischemic stroke indicated by a hyperintense DWI signal and corresponding low ADC was present in one patient (0.8%). Two patients (1.6%) had subacute ischemic stroke (hyperintense DWI signal and normal or elevated ADC signal). Only one NAION patient (0.8%) had acute embolic stroke corresponding to the vascular territory of the affected eye. Conclusions: Concurrent embolic ischemic stroke in NAION is exceedingly rare. Our findings support the prevailing pathophysiological theory of NAION as a non-embolic disease. Full article
(This article belongs to the Section Clinical Diagnosis and Prognosis)
Show Figures

Figure 1

12 pages, 2210 KB  
Article
Diffusion-Weighted MRI as a Non-Invasive Diagnostic Tool for Ascites Characterization: A Comparative Analysis of Mean and Minimum ADC Values Against the Serum-Ascites Albumin Gradient
by Abdullah Enes Ataş, Şeyma Ünüvar, Hasan Eryeşil and Naile Kökbudak
Diagnostics 2025, 15(24), 3130; https://doi.org/10.3390/diagnostics15243130 - 9 Dec 2025
Viewed by 487
Abstract
Background/Objectives: This study aimed to evaluate the diagnostic accuracy of Apparent Diffusion Coefficient (ADC) values, derived from Diffusion-Weighted Imaging (DWI), in differentiating benign and malignant ascites. Methods: This retrospective study included 150 patients (85 benign, 65 malignant) who underwent abdominal MRI. [...] Read more.
Background/Objectives: This study aimed to evaluate the diagnostic accuracy of Apparent Diffusion Coefficient (ADC) values, derived from Diffusion-Weighted Imaging (DWI), in differentiating benign and malignant ascites. Methods: This retrospective study included 150 patients (85 benign, 65 malignant) who underwent abdominal MRI. All patients were scanned on a DWI sequence (b-values: 0, 500, and 1000 s/mm2). Two experienced radiologists, blinded to clinical and cytological outcomes, measured the mean ADC (ADCmean) from three distinct ROIs and the minimum ADC (ADCmin) from the area of lowest signal intensity on the ADC map. The diagnostic performance of ADC parameters and the Serum-Ascites Albumin Gradient (SAAG) was assessed using Receiver Operating Characteristic (ROC) curve analysis. Results: The mean values of ADCmean (3162 ± 204 × 10−6 mm2/s) and ADCmin (2885 ± 148 × 10−6 mm2/s) in the malignant group were significantly lower than those in the benign group (3596 ± 239 and 3322 ± 218 × 10−6 mm2/s; p = 0.006 and p = 0.0016, respectively). Inter-observer agreement was good for both ADCmean (ICC = 0.844) and ADCmin (ICC = 0.879). In the ROC analysis, ADCmin demonstrated the highest diagnostic performance (AUC: 0.930). An optimal cut-off value for ADCmin of ≤ 2983 × 10−6 mm2/s yielded 81.5% sensitivity and 85.8% specificity. The diagnostic performance of ADCmin was found to be superior to that of ADCmean (AUC: 0.877) and SAAG (AUC: 0.919). Conclusions: ADC values derived from DWI, particularly ADCmin, represent a highly accurate, non-invasive, and reproducible biomarker for differentiating benign from malignant ascites. The identified ADCmin threshold provides quantitative parameter that can aid in patient triage, especially when cytology is inconclusive, potential surrogate for fluid characterization. Full article
(This article belongs to the Section Medical Imaging and Theranostics)
Show Figures

Figure 1

19 pages, 829 KB  
Review
Preoperative Breast MRI and Histopathology in Breast Cancer: Concordance, Challenges and Emerging Role of CEM and mpMRI
by Aikaterini-Gavriela Giannakaki, Maria-Nektaria Giannakaki, Dimitris Baroutis, Sophia Koura, Eftychia Papachatzopoulou, Spyridon Marinopoulos, Georgios Daskalakis and Constantine Dimitrakakis
Diagnostics 2025, 15(23), 3032; https://doi.org/10.3390/diagnostics15233032 - 28 Nov 2025
Viewed by 665
Abstract
Background: Preoperative breast MRI is widely used in surgical planning because of its high sensitivity. However, discrepancies with histopathology remain common and can affect tumor size assessment and treatment decisions. In addition, recent comparative studies have highlighted the growing role of contrast-enhanced mammography [...] Read more.
Background: Preoperative breast MRI is widely used in surgical planning because of its high sensitivity. However, discrepancies with histopathology remain common and can affect tumor size assessment and treatment decisions. In addition, recent comparative studies have highlighted the growing role of contrast-enhanced mammography (CEM) and multiparametric MRI (mpMRI), both of which may improve specificity and accessibility compared to conventional MRI. Methods: A structured literature review was conducted in PubMed (2000–2025) according to PRISMA guidelines. Studies included if they evaluated preoperative breast MRI with histopathological correlation and reported sensitivity, specificity, or concordance outcomes. Data extraction focused on study design, patient and tumor characteristics, imaging methods, and clinical impact. Results: MRI demonstrates high sensitivity, particularly in detecting IDC and ILC. However, overestimation of tumor size remains a concern, particularly in ILC and high-grade DCIS, while underestimation is frequently observed after neoadjuvant therapy, especially in Luminal A tumors. Tumor size and stage significantly affect concordance, with advanced-stage tumors (T2–T3) showing better MRI-histopathology concordance than early-stage lesions (T0–T1). Specificity remains limited, particularly in DCIS and multifocal disease. Emerging evidence suggests that contrast-enhanced mammography (CEM) achieves comparable sensitivity with higher specificity, while multiparametric MRI (mpMRI) incorporating diffusion-weighted imaging (DWI) improves lesion characterization and prediction of treatment response. Conclusions: While MRI remains a valuable diagnostic tool for breast cancer, histopathological validation is essential to guide treatment decisions. Future research should focus on AI-enhanced imaging techniques, CEM and multiparametric MRI to improve concordance rates, reduce overdiagnosis and translate imaging advances into meaningful clinical outcomes. Full article
Show Figures

Figure 1

27 pages, 1211 KB  
Review
Locally Advanced Cervical Cancer: Multiparametric MRI in Gynecologic Oncology and Precision Medicine
by Sara Boemi, Matilde Pavan, Roberta Siena, Carla Lo Giudice, Alessia Pagana, Marco Marzio Panella and Maria Teresa Bruno
Diagnostics 2025, 15(22), 2858; https://doi.org/10.3390/diagnostics15222858 - 12 Nov 2025
Viewed by 955
Abstract
Background: Locally advanced cervical cancer (LACC) represents a significant challenge in oncology, requiring accurate assessment of local extent and metastatic spread. Multiparametric magnetic resonance imaging (mpMRI) has assumed a central role in the loco-regional characterization of the tumor due to its high soft-tissue [...] Read more.
Background: Locally advanced cervical cancer (LACC) represents a significant challenge in oncology, requiring accurate assessment of local extent and metastatic spread. Multiparametric magnetic resonance imaging (mpMRI) has assumed a central role in the loco-regional characterization of the tumor due to its high soft-tissue resolution and the ability to integrate functional information. Objectives: In this narrative review, we explore the use of mpMRI in the diagnosis, staging, and treatment response of LACC, comparing its performance with that of PET/CT, which remains complementary for remote staging. The potential of whole-body magnetic resonance imaging (WB-MRI) and hybrid PET/MRI techniques is also analyzed, as well as the emerging applications of radiomics and artificial intelligence. The paper also discusses technical limitations, interpretative variability, and the importance of protocol standardization. The goal is to provide an updated and translational summary of imaging in LACC, with implications for clinical practice and future research. Methods: Prospective and retrospective studies, systematic reviews, and meta-analyses on adult patients with cervical cancer were included. Results: Fifty-two studies were included. MRI demonstrated a sensitivity and specificity greater than 80% for parametrial and bladder invasion, but limited sensitivity (45–60%) for lymph node disease, lower than PET/CT. Multiparametric MRI was useful in early prediction of response to chemotherapy and radiotherapy and in distinguishing residual disease from fibrosis. The integration of MRI into Image-Guided Adaptive Brachytherapy (IGABT) resulted in improved oncological outcomes and reduced toxicity. The applications of radiomics and AI demonstrated enormous potential in predicting therapeutic response and lymph node status in the MRI study, but multicenter validation is still needed. Conclusions: MRI is the cornerstone of the local–regional staging of advanced cervical cancer; it has become an essential and crucial tool in treatment planning. Its use, combined with PET/CT for lymph node assessment and metastatic disease staging, is now the standard of care. Future prospects include the use of whole-body MRI and the development of predictive models based on radiomics and artificial intelligence. Full article
(This article belongs to the Section Medical Imaging and Theranostics)
Show Figures

Figure 1

5 pages, 1150 KB  
Interesting Images
Hyperperfusion Improvement: A Potential Therapeutic Marker in Neuromyelitis Optica Spectrum Disorder (NMOSD)
by Koichi Kimura, Koji Hayashi, Mamiko Sato, Yuka Nakaya, Asuka Suzuki, Naoko Takaku, Hiromi Hayashi, Kouji Hayashi, Toyoaki Miura and Yasutaka Kobayashi
Diagnostics 2025, 15(21), 2723; https://doi.org/10.3390/diagnostics15212723 - 27 Oct 2025
Viewed by 747
Abstract
A 70-year-old Japanese woman with longstanding hearing loss and asthma developed floating sensations, left finger numbness, and postural instability one day after influenza vaccination, leading to hospital admission. Neurological examinations showed hearing loss, hyperreflexia, left-predominant ataxia, bilateral mild bathyanesthesia, and inability to tandem [...] Read more.
A 70-year-old Japanese woman with longstanding hearing loss and asthma developed floating sensations, left finger numbness, and postural instability one day after influenza vaccination, leading to hospital admission. Neurological examinations showed hearing loss, hyperreflexia, left-predominant ataxia, bilateral mild bathyanesthesia, and inability to tandem gait. Cerebrospinal fluid (CSF) analysis showed no pleocytosis or malignant cells, but revealed positive oligoclonal bands and elevated myelin basic protein. Despite no contrast agent use due to asthma, brain magnetic resonance imaging (MRI) revealed pontine hyperintensities on diffusion-weighted imaging (DWI) and T2-fluid attenuated inversion recovery (T2-FLAIR) sequences, along with hyperperfusion on arterial spin labeling (ASL) imaging. Serum anti-aquaporin-4 antibodies (AQP4-Ab) were negative by ELISA. Given the temporal proximity to vaccination and elevated demyelination markers, brainstem-type acute disseminated encephalomyelitis (ADEM) was initially suspected. Symptoms nearly resolved after two cycles of methylprednisolone pulse therapy. Notably, hyperperfusion gradually improved on ASL imaging. Post-discharge, a cell-based assay confirmed the diagnosis of neuromyelitis optica spectrum disorder (NMOSD) by detecting positive anti-AQP4-Ab. She has been relapse-free for about a year without any immunosuppressants or biologics. Although contrast-enhanced MRI remains the gold standard modality for lesion evaluation due to its high sensitivity, hyperperfusion on ASL may provide a useful alternative in patients for whom contrast agents are contraindicated, such as those with asthma or impaired renal function. Full article
(This article belongs to the Special Issue Brain MRI: Current Development and Applications)
Show Figures

Figure 1

22 pages, 1573 KB  
Article
Machine Learning-Based Prognostic Modelling Using MRI Radiomic Data in Cervical Cancer Treated with Definitive Chemoradiotherapy and Brachytherapy
by Kamuran Ibis, Mustafa Durmaz, Deniz Yanik, Irem Bunul, Mustafa Denizli, Erkin Akyuz, Bayarmaa Khishigsuren, Ayca Iribas Celik, Merve Gulbiz Dagoglu Kartal, Nezihe Seden Kucucuk, Inci Kizildag Yirgin and Murat Emec
Curr. Oncol. 2025, 32(11), 602; https://doi.org/10.3390/curroncol32110602 - 27 Oct 2025
Viewed by 711
Abstract
Background: This study aims to evaluate the contribution of clinical and radiomic features to machine learning-based models for survival prediction in patients with locally advanced cervical cancer. Methods: Clinical and radiomic data from 161 patients were retrospectively collected from a single center. Radiomic [...] Read more.
Background: This study aims to evaluate the contribution of clinical and radiomic features to machine learning-based models for survival prediction in patients with locally advanced cervical cancer. Methods: Clinical and radiomic data from 161 patients were retrospectively collected from a single center. Radiomic features were obtained from contrast-enhanced magnetic resonance imaging (MRI) T1-weighted (T1W), T2-weighted (T2W), and diffusion-weighted (DWI) sequences. After data cleaning, feature engineering, and scaling, survival prediction models were created using the CatBoost algorithm with different data combinations (clinical, clinical + T1W, clinical + T2W, clinical + DWI). The performance of the models was evaluated using test accuracy, precision, recall, F1-score, ROC curve, and Bland–Altman analysis. Results: Models using both clinical and radiomic features showed significant improvements in accuracy and F1-score compared to models based solely on clinical data. In particular, the CatBoost_CLI + T2W_DMFS model achieved the best performance, with a test accuracy of 92.31% and an F1-score of 88.62 for distant metastasis-free survival prediction. ROC and Bland–Altman analyses further demonstrated that this model has high discriminative power and prediction consistency. Conclusions: The CatBoost algorithm shows high accuracy and reliability for survival prediction in locally advanced cervical cancer when clinical and radiomic features are combined. The addition of radiomics data significantly improves model performance. Full article
(This article belongs to the Special Issue Clinical Management of Cervical Cancer)
Show Figures

Figure 1

16 pages, 860 KB  
Article
Impact of Preprocedural Collateral Status on Hemorrhagic Transformation and Outcomes After Endovascular Thrombectomy in Acute Ischemic Stroke
by Shiu-Yuan Huang, Nien-Chen Liao, Jin-An Huang, Wen-Hsien Chen and Hung-Chieh Chen
Diagnostics 2025, 15(21), 2701; https://doi.org/10.3390/diagnostics15212701 - 25 Oct 2025
Viewed by 883
Abstract
Background: Hemorrhagic transformation (HT) is a major complication of endovascular thrombectomy (EVT) for acute ischemic stroke (AIS). Objectives: To investigate the factors as sociated with HT in patients with successful recanalization and examine the impact of collateral status (CS) on ischemic [...] Read more.
Background: Hemorrhagic transformation (HT) is a major complication of endovascular thrombectomy (EVT) for acute ischemic stroke (AIS). Objectives: To investigate the factors as sociated with HT in patients with successful recanalization and examine the impact of collateral status (CS) on ischemic progression and outcomes. Methods: We retrospectively analyzed patients with AIS with successful recanalization (modified treatment in cerebral infarction (mTICI) 2B-3) who underwent dual-energy CT (DECT) within 24 h and MRI within 10 days post-EVT. Patients with posterior circulation stroke, missing multiphase CT angiography (CTA) collateral scores, or missing 3-month modified ranking scale scores were excluded from the study. Results: Among the 86 patients, those with HT had a significantly lower proportion of 3-month excellent outcomes and worse imaging scores, including non-contrast CT (NCCT)-Alberta Stroke Program Early CT Score (ASPECTS), virtual non-contrast (VNC)-ASPECTS, and diffusion-weighted imaging (DWI)-ASPECTS. Patients with HT with poor CS had a significantly lower proportion of 3-month excellent outcomes, poorer post-EVT National Institutes of Health Stroke Scale (NIHSS) score, worse imaging scores, including VNC-ASPECTS, and DWI-ASPECTS. In the predictive factor analysis, post-EVT NIHSS and VNC-ASPECTS scores were significantly associated with 3-month excellent functional outcomes (modified Rankin Scale (mRS) 0-1). Conclusions: In patients with successfully recanalized AIS, HT with poor CS was associated with poorer functional outcomes and worse imaging scores, and a 24 h combined measure (post-EVT NIHSS and DECT VNC-ASPECT) show promise for early risk stratification; prospective external validation is warranted before routine use. Full article
(This article belongs to the Special Issue Cerebrovascular Lesions: Diagnosis and Management, 2nd Edition)
Show Figures

Figure 1

18 pages, 827 KB  
Article
Beyond Fixed Thresholds: Cluster-Derived MRI Boundaries Improve Assessment of Crohn’s Disease Activity
by Jelena Pilipovic Grubor, Sanja Stojanovic, Dijana Niciforovic, Marijana Basta Nikolic, Zoran D. Jelicic, Mirna N. Radovic and Jelena Ostojic
J. Clin. Med. 2025, 14(21), 7523; https://doi.org/10.3390/jcm14217523 - 23 Oct 2025
Viewed by 627
Abstract
Background/Objectives: Crohn’s disease (CD) requires precise, noninvasive monitoring to guide therapy and support treat-to-target management. Magnetic resonance enterography (MRE), particularly diffusion-weighted imaging (DWI), is the preferred cross-sectional technique for assessing small-bowel inflammation. Indices such as the Magnetic Resonance Index of Activity (MaRIA) and [...] Read more.
Background/Objectives: Crohn’s disease (CD) requires precise, noninvasive monitoring to guide therapy and support treat-to-target management. Magnetic resonance enterography (MRE), particularly diffusion-weighted imaging (DWI), is the preferred cross-sectional technique for assessing small-bowel inflammation. Indices such as the Magnetic Resonance Index of Activity (MaRIA) and its diffusion-weighted variant (DWI MaRIA) are widely used for grading disease activity. This study evaluated whether unsupervised clustering of MRI-derived features can complement these indices by providing more coherent and biologically grounded stratification of disease activity. Materials and Methods: Fifty patients with histologically confirmed CD underwent 1.5 T MRE. Of 349 bowel segments, 84 were pathological and classified using literature-based thresholds (MaRIA, DWI MaRIA) and unsupervised clustering. Differences between inactive, active, and severe disease were analyzed using multivariate analysis of variance (MANOVA), analysis of variance (ANOVA), and t-tests. Mahalanobis distances were calculated to quantify and compare separation between categories. Results: Using MaRIA thresholds, 5, 16, and 63 segments were classified as inactive, active, and severe (Mahalanobis distances 2.60, 4.95, 4.12). Clustering redistributed them into 22, 37, and 25 (9.26, 24.22, 15.27). For DWI MaRIA, 21, 14, and 49 segments were identified under thresholds (3.59, 5.72, 2.85) versus 21, 37, and 26 with clustering (7.40, 16.35, 9.41). Wall thickness dominated cluster-derived separation, supported by diffusion metrics and the apparent diffusion coefficient (ADC). Conclusions: Cluster-derived classification yielded clearer and more biologically consistent separation of disease-activity groups than fixed thresholds, emphasizing its potential to refine boundary definition, enhance MRI-based assessment, and inform future AI-driven diagnostic modeling. Full article
(This article belongs to the Section Gastroenterology & Hepatopancreatobiliary Medicine)
Show Figures

Figure 1

16 pages, 875 KB  
Review
Preoperative Assessment of Surgical Resectability in Ovarian Cancer Using Ultrasound: A Narrative Review Based on the ISAAC Trial
by Juan Luis Alcázar, Cristian Morales, Carolina Venturo, Florencia de la Maza, Laura Lucio, Manuel Lozano, José Carlos Vilches, Rodrigo Orozco and Manuela Ludovisi
Onco 2025, 5(4), 46; https://doi.org/10.3390/onco5040046 - 16 Oct 2025
Viewed by 1044
Abstract
Background: Ovarian cancer remains a major contributor to cancer-related morbidity and mortality worldwide. Primary cytoreductive surgery is the cornerstone of treatment, and accurate preoperative assessment of tumor resectability is critical to guiding optimal therapeutic strategies in patients with advanced tubo-ovarian cancer. Methods: [...] Read more.
Background: Ovarian cancer remains a major contributor to cancer-related morbidity and mortality worldwide. Primary cytoreductive surgery is the cornerstone of treatment, and accurate preoperative assessment of tumor resectability is critical to guiding optimal therapeutic strategies in patients with advanced tubo-ovarian cancer. Methods: A narrative review about the role of ultrasound for assessing tumor spread and prediction of tumor resectability was performed. Results: The ISAAC study represents the largest prospective multicenter trial to date comparing the diagnostic performance of ultrasound (US), computed tomography (CT), and whole-body diffusion-weighted magnetic resonance imaging (WB-DWI/MRI) in predicting non-resectability, using surgical and histopathological findings as the reference standard. Key strengths of the study include the use of standardized imaging and intraoperative reporting protocols across ESGO-accredited high-volume oncologic centers. All three imaging modalities were performed within four weeks prior to surgery by independent, blinded expert operators. US demonstrated diagnostic accuracy comparable to that of CT and WB-DWI/MRI. The study also defined modality-specific thresholds for the Peritoneal Cancer Index (PCI) and Predictive Index Value (PIV), offering quantitative tools to support surgical decision-making. A noteworthy secondary finding was patient preference: in a cohort of 144 participants who underwent all three imaging modalities, nearly half preferred US, while WB-DWI/MRI was the least favored due to discomfort and examination duration. Conclusions: The ISAAC study represents a significant advancement in imaging-based prediction of surgical non-resectability in tubo-ovarian cancer. Its findings suggest that, in expert hands, ultrasound can match or even surpass cross-sectional imaging for preoperative staging, supporting its integration into routine clinical practice, particularly in resource-constrained settings. Full article
Show Figures

Figure 1

12 pages, 2610 KB  
Article
Combined Use of Diffusion- and Perfusion-Weighted Magnetic Resonance Imaging in the Differential Diagnosis of Sellar Tumors: A Single-Centre Experience
by Adrian Korbecki, Marek Łukasiewicz, Arkadiusz Kacała, Michał Sobański, Agata Zdanowicz-Ratajczyk, Karolina Szałata, Mateusz Dorochowicz, Justyna Korbecka, Grzegorz Trybek, Anna Zimny and Joanna Bladowska
J. Clin. Med. 2025, 14(20), 7168; https://doi.org/10.3390/jcm14207168 - 11 Oct 2025
Viewed by 779
Abstract
Background/Objectives: To evaluate whether incorporating both diffusion-weighted imaging (DWI) and perfusion-weighted imaging (PWI) in pituitary MRI examinations improves differential diagnosis by providing additional diagnostic value. Methods: A retrospective analysis was performed on 88 patients with histologically confirmed sellar or parasellar tumors who underwent [...] Read more.
Background/Objectives: To evaluate whether incorporating both diffusion-weighted imaging (DWI) and perfusion-weighted imaging (PWI) in pituitary MRI examinations improves differential diagnosis by providing additional diagnostic value. Methods: A retrospective analysis was performed on 88 patients with histologically confirmed sellar or parasellar tumors who underwent 1.5T MRI with DWI and dynamic susceptibility contrast PWI (DSC-PWI) between October 2007 and April 2023. DWI parameters included minimum apparent diffusion coefficient (ADCmin) and relative ADCmin (rADCmin). PWI parameters included mean and maximum relative cerebral blood volume (rCBV, rCBVmax) and relative peak height (rPH, rPHmax), normalized to white matter. Tumor regions of interest were manually segmented, excluding calcified or hemorrhagic areas. Group comparisons and ROC analyses assessed diagnostic performance of individual and combined parameters. Results: Significant differences in diffusion and perfusion metrics were observed among the five tumor types. The combined analysis of DWI and PWI improved diagnostic accuracy in selected comparisons. The greatest benefit occurred in distinguishing meningiomas from solid non-functional pituitary adenomas (pituitary neuroendocrine tumors-PitNET), where the combination of ADCmin and rPHmax yielded an AUC of 0.818, sensitivity of 88%, and specificity of 76%, exceeding the performance of either parameter alone. In other comparisons, including meningiomas versus invasive PitNETs and adamantinomatous craniopharyngiomas, combined analysis did not substantially improve accuracy when single parameters, particularly rCBVmax (AUC = 0.995), already demonstrated excellent performance. Conclusions: Integration of DWI and PWI into pituitary MRI protocols enhances diagnostic performance in selected tumor groups. The additive value is context-dependent, supporting the tailored application of these sequences in the evaluation of sellar and parasellar tumors. Full article
(This article belongs to the Section Nuclear Medicine & Radiology)
Show Figures

Figure 1

40 pages, 3002 KB  
Review
Monitoring Pharmacological Treatment of Breast Cancer with MRI
by Wiktoria Mytych, Magdalena Czarnecka-Czapczyńska, Dorota Bartusik-Aebisher, David Aebisher and Aleksandra Kawczyk-Krupka
Curr. Issues Mol. Biol. 2025, 47(10), 807; https://doi.org/10.3390/cimb47100807 - 1 Oct 2025
Viewed by 2058
Abstract
Breast cancer is one of the major health threats to women worldwide; thus, a need has arisen to reduce the number of instances and deaths through new methods of diagnostic monitoring and treatment. The present review is the synthesis of the recent clinical [...] Read more.
Breast cancer is one of the major health threats to women worldwide; thus, a need has arisen to reduce the number of instances and deaths through new methods of diagnostic monitoring and treatment. The present review is the synthesis of the recent clinical studies and technological advances in the application of magnetic resonance imaging (MRI) to monitor the pharmacological treatment of breast cancer. The specific focus is on high-risk groups (carriers of BRCA mutations and recipients of neoadjuvant chemotherapy) and the use of novel MRI methods (dynamic contrast-enhanced (DCE) MRI, diffusion-weighted imaging (DWI), and radiomics tools). All the reviewed studies show that MRI is more sensitive (up to 95%) and specific than conventional imaging in detecting malignancy particularly in dense breast tissue. Moreover, MRI can be used to assess the response and residual disease in a tumor early and accurately for personalized treatment, de-escalate unneeded interventions, and maximize positive outcomes. AI-based radiomics combined with deep-learning models also expand the ability to predict the therapeutic response and molecular subtypes, and can mitigate the risk of overfitting models when using complex methods of modeling. Other developments are hybrid PET/MRI, image guidance during surgery, margin assessment intraoperatively, three-dimensional surgical templates, and the utilization of MRI in surgery planning and reducing reoperation. Although economic factors will always play a role, the diagnostic and prognostic accuracy and capability to aid in targeted treatment makes MRI a key tool for modern breast cancer. The growing complement of MRI and novel curative approaches indicate that breast cancer patients may experience better survival and recuperation, fewer recurrences, and a better quality of life. Full article
(This article belongs to the Section Molecular Medicine)
Show Figures

Graphical abstract

Back to TopTop