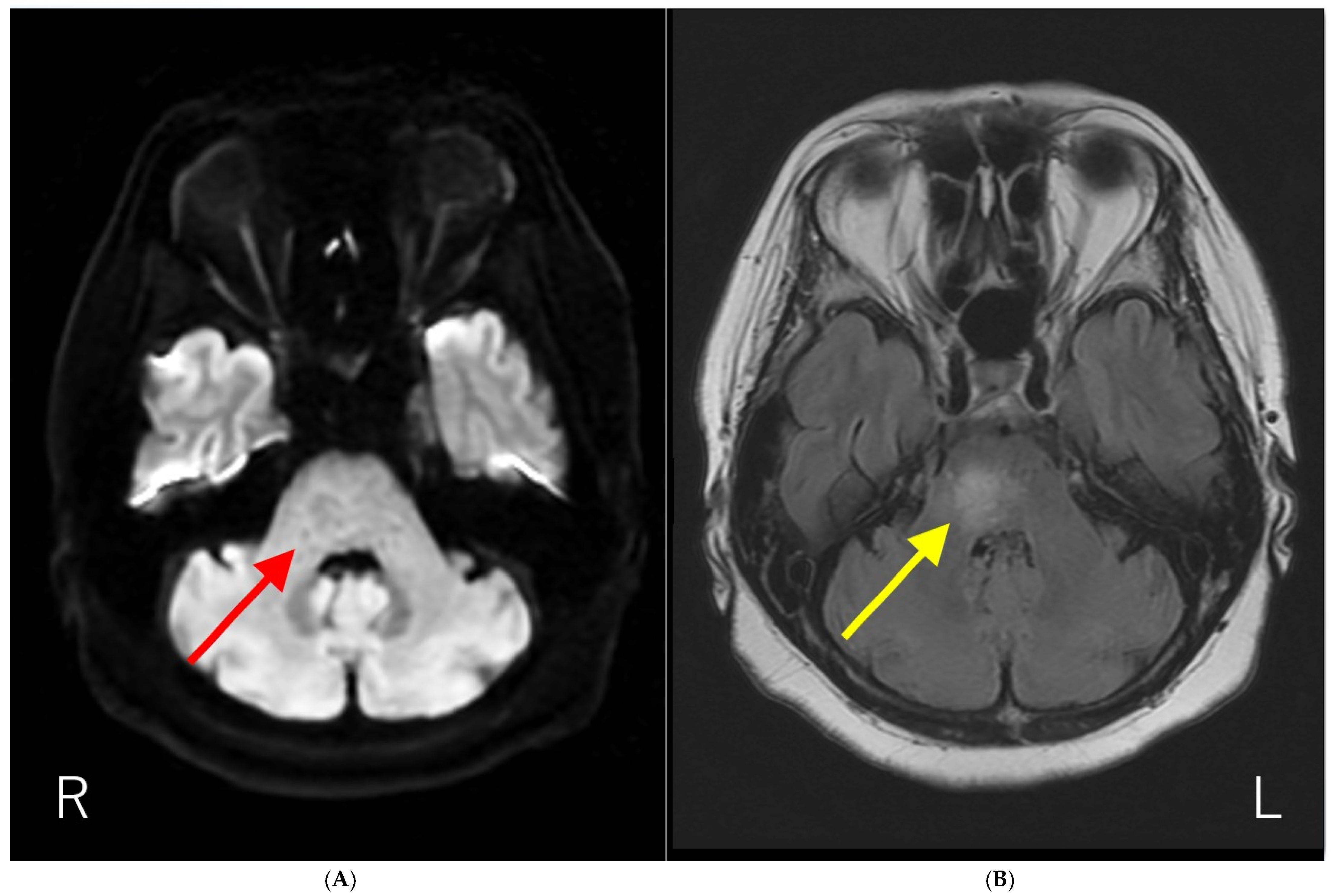
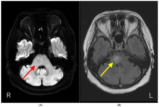
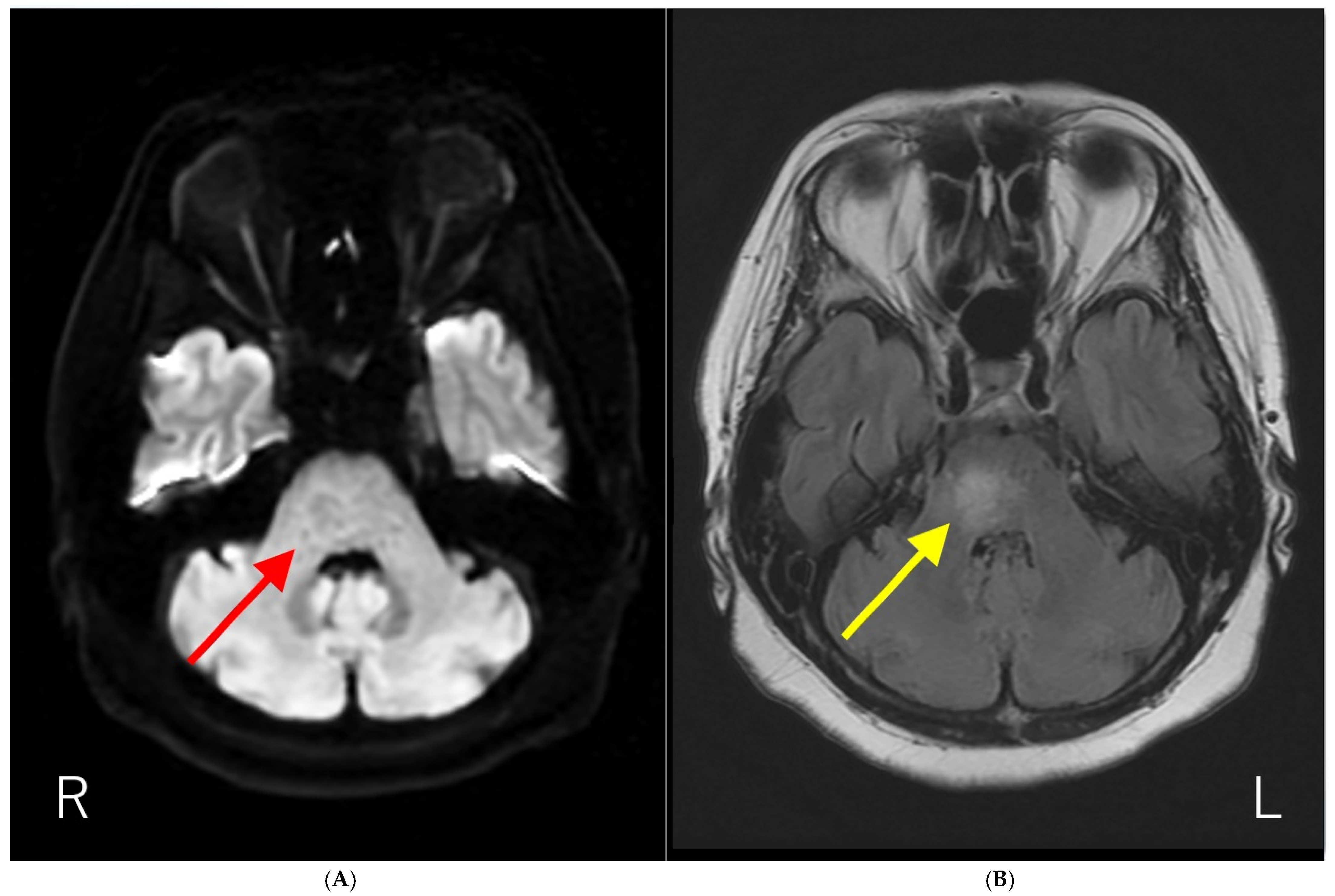
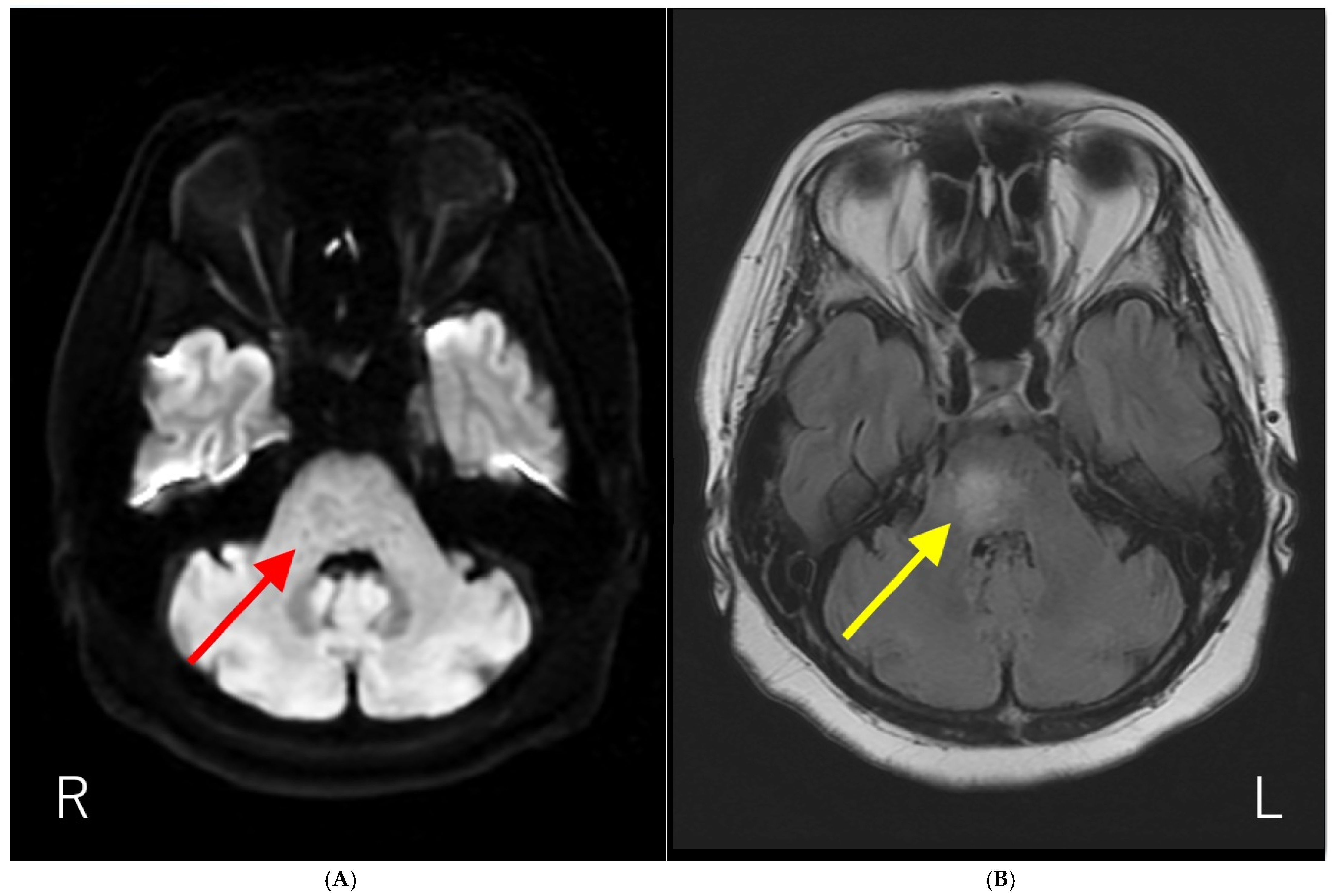
Hyperperfusion Improvement: A Potential Therapeutic Marker in Neuromyelitis Optica Spectrum Disorder (NMOSD)
Abstract


Author Contributions
Funding
Institutional Review Board Statement
Informed Consent Statement
Data Availability Statement
Conflicts of Interest
Abbreviations
| MRI | Magnetic resonance imaging |
| BBB | Blood–brain barrier |
| NMOSD | neuromyelitis optica spectrum disorder |
| ASL | Arterial spin labeling |
| MOGAD | Myelin oligodendrocyte glycoprotein–associated disorders |
| CBF | Cerebral blood flow |
| MS | Multiple sclerosis |
| PML | Progressive multifocal leukoencephalopathy |
| AQP4-Ab | Aquaporin-4 antibodies |
References
- Borisow, N.; Mori, M.; Kuwabara, S.; Scheel, M.; Paul, F. Diagnosis and Treatment of NMO Spectrum Disorder and MOG-Encephalomyelitis. Front. Neurol. 2018, 9, 888. [Google Scholar] [CrossRef] [PubMed]
- Uzawa, A.; Oertel, F.C.; Mori, M.; Paul, F.; Kuwabara, S. NMOSD and MOGAD: An evolving disease spectrum. Nat. Rev. Neurol. 2024, 20, 602–619. [Google Scholar] [CrossRef] [PubMed]
- Weinshenker, B.G.; Wingerchuk, D.M. Neuromyelitis spectrum disorders. Mayo Clin. Proc. 2017, 92, 663–679. [Google Scholar] [CrossRef] [PubMed]
- Shibahara, T.; Yamanaka, K.; Matsuoka, M.; Tachibana, M.; Kuroda, J.; Nakane, H. Evaluation of arterial spin labeling in the diagnosis and monitoring of myelin oligodendrocyte glycoprotein-associated cerebral cortical encephalitis. Mult. Scler. 2025, 31, 1011–1013. [Google Scholar] [CrossRef] [PubMed]
- Yeo, C.J.J.; Hutton, G.J.; Fung, S.H. Advanced neuroimaging in Balo's concentric sclerosis: MRI, MRS, DTI, and ASL perfusion imaging over 1 year. Radiol. Case Rep. 2018, 13, 1030–1035. [Google Scholar] [CrossRef] [PubMed]
- Cacciaguerra, L.; Morris, P.; Tobin, W.O.; Chen, J.J.; Banks, S.A.; Elsbernd, P.; Redenbaugh, V.; Tillema, J.M.; Montini, F.; Sechi, E.; et al. Tumefactive demyelination in MOG Ab-associated disease, multiple sclerosis, and AQP-4-IgG-positive neuromyelitis optica spectrum disorder. Neurology 2023, 100, e1418–e1432. [Google Scholar] [CrossRef] [PubMed]
- Khoury, M.N.; Gheuens, S.; Ngo, L.; Wang, X.; Alsop, D.C.; Koralnik, I.J. Hyperperfusion in progressive multifocal leukoencephalopathy is associated with disease progression and absence of immune reconstitution inflammatory syndrome. Brain 2013, 136, 3441–3450. [Google Scholar] [CrossRef] [PubMed]
- Takeshita, Y.; Obermeier, B.; Cotleur, A.C.; Spampinato, S.F.; Shimizu, F.; Yamamoto, E.; Sano, Y.; Kryzer, T.J.; Lennon, V.A.; Kanda, T.; et al. Effects of neuromyelitis optica-IgG at the blood-brain barrier in vitro. Neurol. Neuroimmunol. Neuroinflamm. 2016, 4, e311. [Google Scholar] [CrossRef] [PubMed]
- De Keyser, J.; Steen, C.; Mostert, J.P.; Koch, M.W. Hypoperfusion of the cerebral white matter in multiple sclerosis: Possible mechanisms and pathophysiological significance. J. Cereb. Blood Flow Metab. 2008, 28, 1645–1651. [Google Scholar] [CrossRef] [PubMed]
- Ongphichetmetha, T.; Aungsumart, S.; Siritho, S.; Apiwattanakul, M.; Tanboon, J.; Rattanathamsakul, N.; Prayoonwiwat, N.; Jitprapaikulsan, J. Tumefactive demyelinating lesions: A retrospective cohort study in Thailand. Sci. Rep. 2024, 14, 1426. [Google Scholar] [CrossRef] [PubMed]
- Contestabile, A.; Monti, B.; Polazzi, E. Neuronal-glial interactions define the role of nitric oxide in neural functional processes. Curr. Neuropharmacol. 2012, 10, 303–310. [Google Scholar] [CrossRef] [PubMed]
- Barakat, R.; Redzic, Z. The role of activated microglia and resident macrophages in the neurovascular unit during cerebral ischemia: Is the jury still out? Med. Princ. Pract. 2016, 25 (Suppl. 1), 3–14. [Google Scholar] [CrossRef] [PubMed]
- Muñoz, M.F.; Puebla, M.; Figueroa, X.F. Control of the neurovascular coupling by nitric oxide-dependent regulation of astrocytic Ca2+ signaling. Front. Cell. Neurosci. 2015, 9, 59. [Google Scholar] [CrossRef] [PubMed]
- D’haeseleer, M.; Hostenbach, S.; Peeters, I.; El Sankari, S.; Nagels, G.; De Keyser, J.; D’hooghe, M.B. Cerebral hypoperfusion: A new pathophysiologic concept in multiple sclerosis? J. Cereb. Blood Flow Metab. 2015, 35, 1406–1410. [Google Scholar] [CrossRef] [PubMed]
- D’haeseleer, M.; Beelen, R.; Fierens, Y.; Cambron, M.; Vanbinst, A.M.; Verborgh, C.; Demey, J.; De Keyser, J. Cerebral hypoperfusion in multiple sclerosis is reversible and mediated by endothelin-1. Proc. Natl. Acad. Sci. USA 2013, 110, 5654–5658. [Google Scholar] [CrossRef] [PubMed]
- Solomon, J.M.; Paul, F.; Chien, C.; Oh, J.; Rotstein, D.L. A window into the future? MRI for evaluation of neuromyelitis optica spectrum disorder throughout the disease course. Ther. Adv. Neurol. Disord. 2021, 14, 17562864211014389. [Google Scholar] [CrossRef] [PubMed]
Disclaimer/Publisher’s Note: The statements, opinions and data contained in all publications are solely those of the individual author(s) and contributor(s) and not of MDPI and/or the editor(s). MDPI and/or the editor(s) disclaim responsibility for any injury to people or property resulting from any ideas, methods, instructions or products referred to in the content. |
© 2025 by the authors. Licensee MDPI, Basel, Switzerland. This article is an open access article distributed under the terms and conditions of the Creative Commons Attribution (CC BY) license (https://creativecommons.org/licenses/by/4.0/).
Share and Cite
Kimura, K.; Hayashi, K.; Sato, M.; Nakaya, Y.; Suzuki, A.; Takaku, N.; Hayashi, H.; Hayashi, K.; Miura, T.; Kobayashi, Y. Hyperperfusion Improvement: A Potential Therapeutic Marker in Neuromyelitis Optica Spectrum Disorder (NMOSD). Diagnostics 2025, 15, 2723. https://doi.org/10.3390/diagnostics15212723
Kimura K, Hayashi K, Sato M, Nakaya Y, Suzuki A, Takaku N, Hayashi H, Hayashi K, Miura T, Kobayashi Y. Hyperperfusion Improvement: A Potential Therapeutic Marker in Neuromyelitis Optica Spectrum Disorder (NMOSD). Diagnostics. 2025; 15(21):2723. https://doi.org/10.3390/diagnostics15212723
Chicago/Turabian StyleKimura, Koichi, Koji Hayashi, Mamiko Sato, Yuka Nakaya, Asuka Suzuki, Naoko Takaku, Hiromi Hayashi, Kouji Hayashi, Toyoaki Miura, and Yasutaka Kobayashi. 2025. "Hyperperfusion Improvement: A Potential Therapeutic Marker in Neuromyelitis Optica Spectrum Disorder (NMOSD)" Diagnostics 15, no. 21: 2723. https://doi.org/10.3390/diagnostics15212723
APA StyleKimura, K., Hayashi, K., Sato, M., Nakaya, Y., Suzuki, A., Takaku, N., Hayashi, H., Hayashi, K., Miura, T., & Kobayashi, Y. (2025). Hyperperfusion Improvement: A Potential Therapeutic Marker in Neuromyelitis Optica Spectrum Disorder (NMOSD). Diagnostics, 15(21), 2723. https://doi.org/10.3390/diagnostics15212723

