You are currently viewing a new version of our website. To view the old version click .
Cancers
  • This is an early access version, the complete PDF, HTML, and XML versions will be available soon.
  • Article
  • Open Access

2 January 2026

Prediction of Resectability of Peritoneal Disease in Ovarian Cancer Patients Using the Peritoneal Cancer Index (PCI) and Fagotti Score on MRI

,
,
,
,
,
,
,
and
1
1st Department of Radiology, School of Medicine, National and Kapodistrian University of Athens, Areteion Hospital, 11528 Athens, Greece
2
1st Department of Obstetrics and Gynecology, School of Medicine, National and Kapodistrian University of Athens, Alexandra Hospital, 11528 Athens, Greece
3
Biostatistics Department, National and Kapodistrian University of Athens, 15784 Athens, Greece
*
Author to whom correspondence should be addressed.
Cancers2026, 18(1), 165;https://doi.org/10.3390/cancers18010165 
(registering DOI)
This article belongs to the Special Issue Updates on Imaging of Common Urogenital Neoplasms 2nd Edition

Simple Summary

Optimal cytoreduction is the strongest prognostic factor in ovarian cancer presenting with peritoneal disease. However, selecting patients for primary cytoreductive surgery versus neoadjuvant chemotherapy remains challenging. In this study, we evaluated the prognostic performance of MRI-based Fagotti score and Peritoneal Cancer Index (PCI) in women with ovarian cancer. Both MRI-based Fagotti score and PCI demonstrated high accuracy for predicting surgical feasibility, with optimal cut-offs (Fagotti ≤ 6, PCI ≤ 20) strongly associated with optimal cytoreduction. These findings suggest that MRI-based scores can serve as an alternative noninvasive tool for guiding treatment decisions and surgical planning in ovarian cancer patients.

Abstract

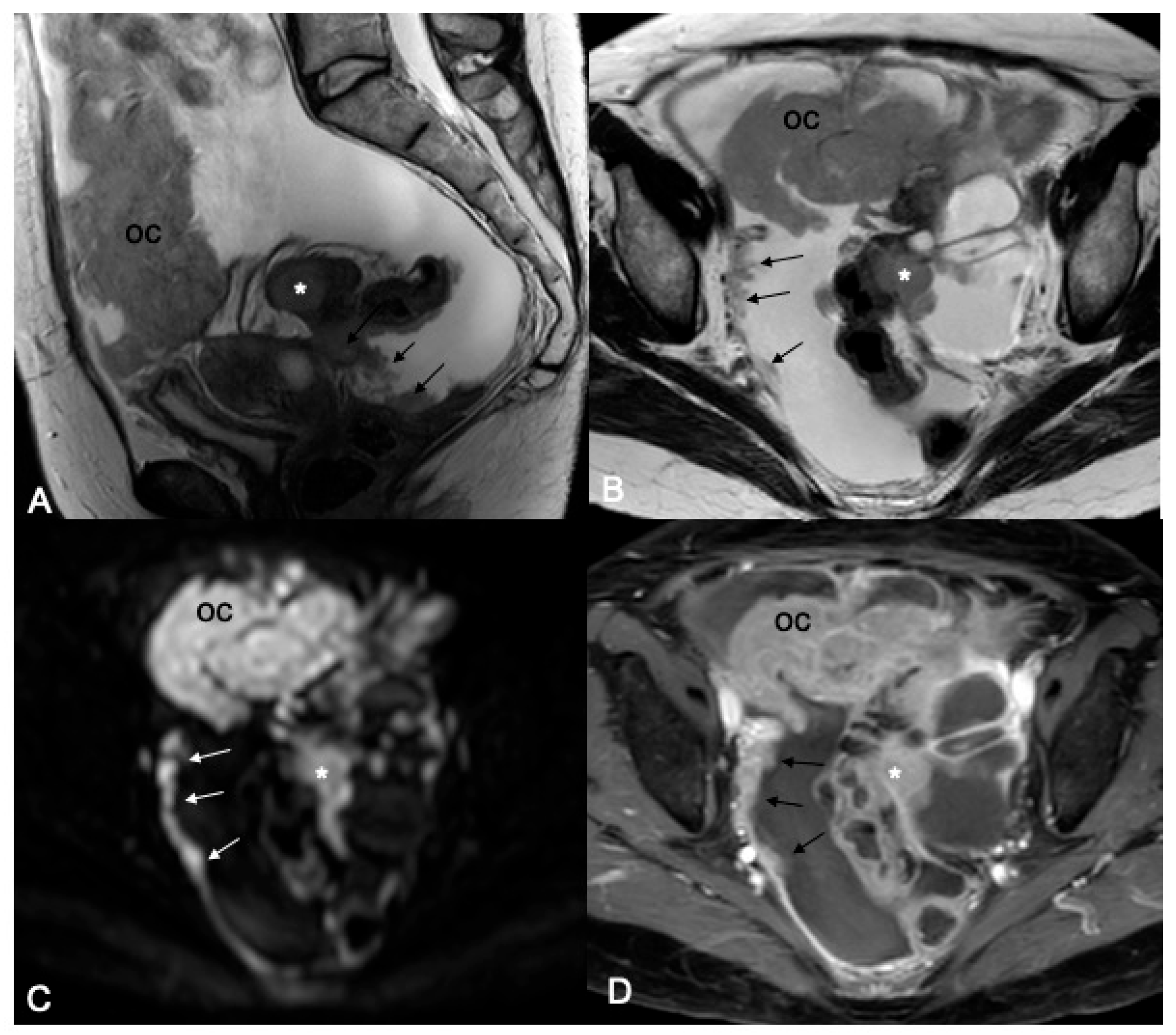
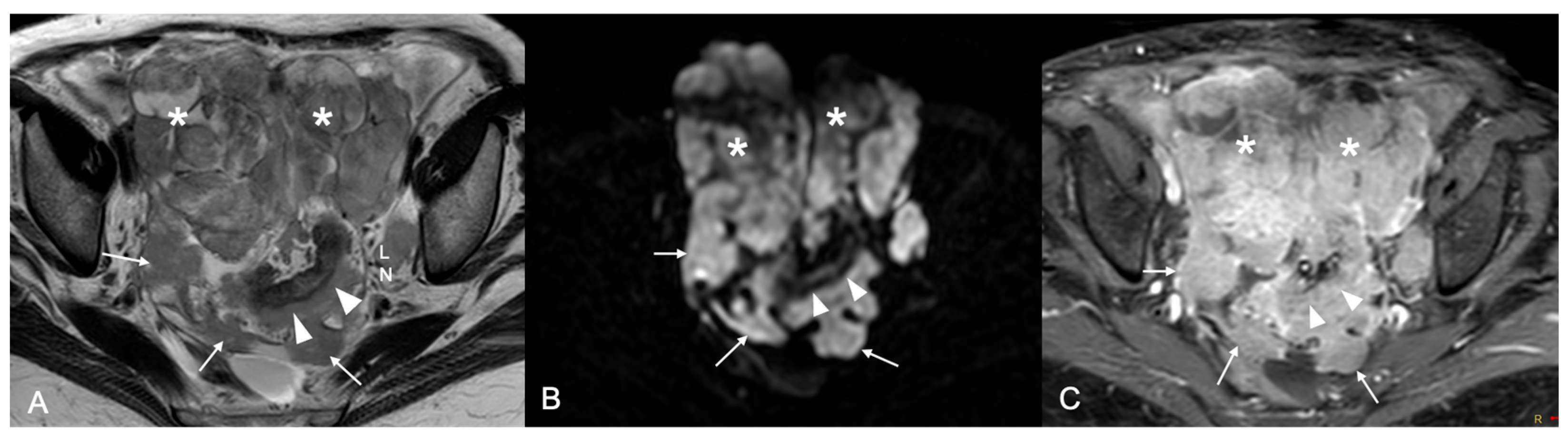
Background/Objectives: Cytoreduction status is a critical prognostic factor in ovarian cancer, yet preoperative selection of patients suitable for primary debulking surgery and accurate prediction of surgical outcome remain challenging. This study aimed to evaluate the prognostic ability of MRI-based Fagotti score and Peritoneal Cancer Index (PCI) for predicting resectability of peritoneal disease in ovarian cancer patients. Methods: This was a prospective single-center observational study. Patients with suspected primary ovarian cancer who underwent preoperative MRI of the abdomen and pelvis with a dedicated protocol were considered. MRI-based Fagotti score and PCI were determined by two readers independently, using a combination of T2W, Diffusion-Weighted Imaging (DWI), and contrast-enhanced T1W sequences. In cases of discordance, a third radiologist reviewed the scans and consensus was reached. ROC analysis and logistic regression were used to evaluate prognostic performance. The reference standard to predict resectability was optimal cytoreduction defined as residual disease ≤1 cm. Results: Forty-six women with epithelial ovarian cancer (mean age 56.3 ± 2.6 years) who underwent preoperative MRI, followed by laparoscopy and/or laparotomy, were included in the study. Both MRI-based Fagotti score and PCI showed high predictive value for predicting resectability (AUC 0.92 and 0.94, respectively). Optimal cut-offs were ≤6 for Fagotti score and ≤20 for PCI. Patients with scores below these thresholds had >60-fold (Fagotti) and >100-fold (PCI) increased odds for successful primary cytoreduction (p < 0.001). Conclusions: MRI-based Fagotti score and PCI may serve as powerful noninvasive predictors of surgical outcome in ovarian cancer. MRI may reliably guide treatment decisions, reducing unnecessary laparotomies and optimizing patient selection.

Article Metrics

Citations

Article Access Statistics

Article metric data becomes available approximately 24 hours after publication online.