Sign in to use this feature.

Years

Between: -

Subjects

remove_circle_outline
remove_circle_outline
remove_circle_outline
remove_circle_outline
remove_circle_outline
remove_circle_outline
remove_circle_outline
remove_circle_outline
remove_circle_outline

Journals

remove_circle_outline
remove_circle_outline
remove_circle_outline
remove_circle_outline
remove_circle_outline
remove_circle_outline
remove_circle_outline
remove_circle_outline
remove_circle_outline
remove_circle_outline
remove_circle_outline
remove_circle_outline
remove_circle_outline
remove_circle_outline
remove_circle_outline
remove_circle_outline
remove_circle_outline
remove_circle_outline
remove_circle_outline
remove_circle_outline
remove_circle_outline
remove_circle_outline
remove_circle_outline
remove_circle_outline

Article Types

Countries / Regions

remove_circle_outline
remove_circle_outline
remove_circle_outline
remove_circle_outline
remove_circle_outline
remove_circle_outline

Search Results (1,572)

Search Parameters:
Keywords = clotting

Order results
Result details
Results per page
Select all
Export citation of selected articles as:
14 pages, 2727 KB  
Article
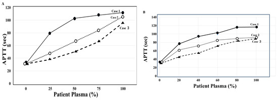
Evaluation of Autoimmune FVIII Inhibitor Using Clot Waveform Analysis in Emicizumab-Treated Patients
by Shigehisa Tamaki, Hideo Wada, Naoki Shinke, Junichiro Nishiki, Ryota Sasao, Atsushi Fujieda, Takeshi Matsumoto, Isao Tawara and Teruto Hashiguchi
J. Clin. Med. 2026, 15(1), 271; https://doi.org/10.3390/jcm15010271 (registering DOI) - 29 Dec 2025
Abstract
Background/Objectives: Autoimmune factor VIII deficiency (AiFVIIID) is a rare disorder that causes severe bleeding. Emicizumab has recently been found to be effective in treating AiFVIIID; however, monitoring with standard coagulation tests presents challenges. Methods: Clot waveform analysis (CWA), which involves CWA-activated [...] Read more.
Background/Objectives: Autoimmune factor VIII deficiency (AiFVIIID) is a rare disorder that causes severe bleeding. Emicizumab has recently been found to be effective in treating AiFVIIID; however, monitoring with standard coagulation tests presents challenges. Methods: Clot waveform analysis (CWA), which involves CWA-activated partial thromboplastin time (APTT), the CWA-small amount of tissue factor activation assay (sTF/FIXa), and clotting time using a small amount of thrombin (sTT), was used to both diagnose AiFVIIID and monitor emicizumab. Results: CWA-sTT reflects the residual FVIII activity in patients with AiFVIIID. Several tests were employed, including APTT, FVIII activity, CWA, mixing tests with normal plasma, FVIII inhibitor assays, and anti-FVIII antibody activity for the diagnosis of AiFVIID in three cases. However, the sensitivity of APTT reagents to AiFVIID differed between thrombocheck-APTT and APTT-SP. Emicizumab treatment was effective for major bleeding, and anti-FVIII antibody activity could be measured using CWA-sTT. Conclusions: The sensitivity of APTT reagents to AiFVIID varies. CWA-sTT may provide utility in the diagnosis of AiFVIIID. Emicizumab is useful for the treatment of AiFVIID, and anti-FVIII antibody activity can be measured even in patients treated with emicizumab. Full article
(This article belongs to the Section Hematology)
Show Figures

Figure 1

25 pages, 13512 KB  
Article
Vitamin D-Loaded Chitosan Nanostructures for Bone Regeneration: A Combined In Vitro and In Vivo Evaluation in an Osteoporotic Rat Model
by Corina Giorgiana Muresan, Ioana Codruta Mirica, Alina Forray, Nausica Petrescu, Olga Soritau, Luciana-Mădălina Gherman, Simina Angela Lăcrimioara Iusan, Evelyn Vanea, Emilia Oprita, Ana Condor, Maria Aluas, Carmen Mihaela Mihu, Bianca Adina Boşca, Lavinia Patricia Mocan, Madalin Mihai Onofrei, Raluca Maria Pop, Bianca-Astrid Andone, Lucian Barbu-Tudoran, Sanda Boca, Mihaela Hedesiu and Patricia Ondine Lucaciuadd Show full author list remove Hide full author list
Medicina 2026, 62(1), 73; https://doi.org/10.3390/medicina62010073 (registering DOI) - 29 Dec 2025
Abstract
Background and Objectives: Reduced bone quality due to osteoporosis significantly complicates oral rehabilitation and bone regeneration therapies. While Vitamin D (Vit. D3) is crucial for osteogenesis, systemic administration often lacks local efficacy. This study aimed to evaluate the osteoregenerative potential of a [...] Read more.
Background and Objectives: Reduced bone quality due to osteoporosis significantly complicates oral rehabilitation and bone regeneration therapies. While Vitamin D (Vit. D3) is crucial for osteogenesis, systemic administration often lacks local efficacy. This study aimed to evaluate the osteoregenerative potential of a novel Chitosan-based nanostructured scaffold (NS) loaded with Vit. D3, underlining its efficacy in vitro and in an ovariectomized (OVX) rat model of osteoporosis. Materials and Methods: Chitosan NSs were fabricated with varying Vit. D3 concentrations. In vitro assessments included cytotoxicity (MTT assay), cell viability (Alamar Blue), and mineralization (Alizarin Red) using human dental follicle stem cells. In vivo, 30 Wistar rats were ovariectomized to induce osteoporosis (confirmed by biomarkers Osteocalcin and β-CTX) and were divided into three groups (n = 10). Bilateral maxillary bone defects were treated with (1) a Control (clot only), (2) a Hemostatic Sponge with Vit. D3 (HS/Vit. D3), or (3) an NS loaded with Vit. D3 (NS/Vit. D3-6.25 ng/mL). Histological and morphometric analyses were performed at 4 and 8 weeks. Results: In vitro, the NS loaded with 6.25 ng/mL Vit. D3 demonstrated superior cytocompatibility, achieving a cell viability of 117.77% at 72 h and significantly enhanced calcium nodule deposition compared to controls. In vivo, a total of 44 defect sites were analyzed following the exclusion of compromised samples (Control: 16 sites; HS/Vit. D3: 16 sites; NS/Vit. D3: 12 sites). The NS/Vit. D3-6.25 ng/mL group exhibited the highest degree of mature bone formation and vascularization (p < 0.05) compared to the Control and HS/Vit. D3 groups. While cellular activity (osteoblasts/osteocytes) was initially higher in the HS/Vit. D3 group, the NS/Vit. D3-6.25 ng/mL group achieved superior structural integration and scaffold replacement by mature bone tissue over time. Conclusions: The novel Vit. D3-loaded Chitosan NS effectively promotes bone regeneration in osteoporotic conditions. It supports osteogenic differentiation in vitro and enhances bone matrix maturation in vivo, suggesting its potential as a bioactive scaffold for regenerative dentistry. Full article
Show Figures

Figure 1

13 pages, 860 KB  
Article
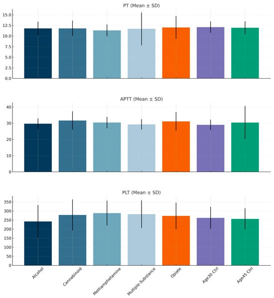
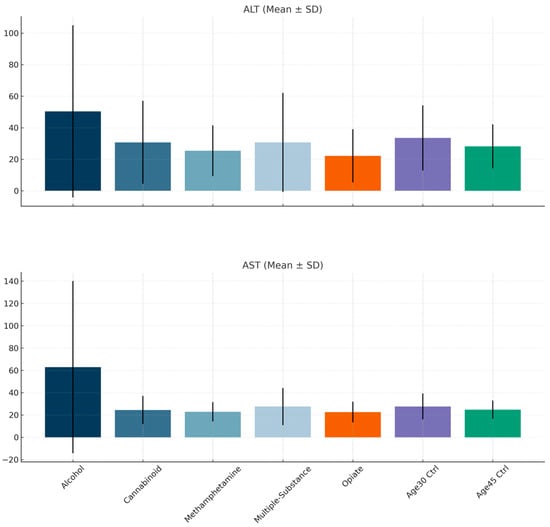
Comparative Analysis of Coagulation and Liver Parameters in Individuals with Alcohol and Substance Use Disorders and Healthy Controls
by Şeyma Bardakçı, Muhammed Raşit Bardakçı, Derya Güzel Erdoğan, Abdülkadir Aydın and Ahmet Bulent Yazici
Diagnostics 2026, 16(1), 52; https://doi.org/10.3390/diagnostics16010052 - 23 Dec 2025
Viewed by 172
Abstract
Background/Objectives: Alcohol Use Disorder (AUD) and Substance Use Disorders (SUDs) can affect both the liver, where clotting factors are synthesized, and the coagulation system, which prevents acute bleeding. Methods: This study included 451 inpatients undergoing addiction detoxification and 150 healthy controls. Patients were [...] Read more.
Background/Objectives: Alcohol Use Disorder (AUD) and Substance Use Disorders (SUDs) can affect both the liver, where clotting factors are synthesized, and the coagulation system, which prevents acute bleeding. Methods: This study included 451 inpatients undergoing addiction detoxification and 150 healthy controls. Patients were stratified by substance type: Alcohol (n = 110), Cannabinoid (n = 71), Methamphetamine (n = 110), Multiple-Substance (Methamphetamine + Cannabinoid, n = 110), and Opioid (n = 50) users. Age-matched control groups (mean ages 45, n = 50; 30, n = 100) were used. Serum levels of Ca, INR, PT, APTT, PLT, AST, and ALT, alongside sociodemographic variables, were assessed. Results: Significant group differences were observed in ALT, AST, PT, APTT, and PLT (p < 0.001). Notably, PT was lower in Multiple Substance and Methamphetamine users; APTT was elevated in Cannabinoid users; AST was higher in Alcohol users; and Methamphetamine and Opioid users exhibited both decreased AST and ALT. Post hoc analyses confirmed substance-specific effects (p < 0.001). Regular cigarette use was significantly more prevalent among alcohol and substance user groups compared to controls; however, smoking did not exert a significant effect on the evaluated biochemical or coagulation parameters. Conclusions: These findings demonstrate that liver enzymes and coagulation parameters can vary significantly by substance type. Observed alterations in AST, ALT, PT, APTT, and PLT suggest that substance use may exert substance-specific effects on hepatic and haemostatic function, highlighting potential risks for bleeding or thrombotic complications. Monitoring these parameters in AUD and SUD patients could provide valuable clinical insights, allowing for more tailored and proactive management strategies. While the underlying mechanisms remain to be fully elucidated, these results emphasize the importance of considering substance-specific physiological impacts when assessing liver and coagulation health in addicted populations. Full article
(This article belongs to the Section Clinical Laboratory Medicine)
Show Figures

Figure 1

29 pages, 1454 KB  
Review
From Vascular Dysfunction to Atherothrombosis: The Pivotal Role of Eicosanoids and Their Receptors in Platelet and Endothelial Imbalance: A Scoping Review
by Giovanna Ritorto, Sara Ussia, Roberta Macrì, Maria Serra, Annamaria Tavernese, Carmen Altomare, Denise Maria Dardano, Chiara Idone, Ernesto Palma, Carolina Muscoli, Maurizio Volterrani, Francesco Barillà, Vincenzo Mollace and Rocco Mollace
Int. J. Mol. Sci. 2026, 27(1), 162; https://doi.org/10.3390/ijms27010162 - 23 Dec 2025
Viewed by 114
Abstract
Vascular endothelium balances antithrombotic and anti-inflammatory activity to control blood vessel tone under physiological conditions. However, endothelial dysfunction impairs these processes, causing a state that promotes clotting and inflammation. Eicosanoids are a major class of bioactive lipid mediators crucial for modulating endothelial and [...] Read more.
Vascular endothelium balances antithrombotic and anti-inflammatory activity to control blood vessel tone under physiological conditions. However, endothelial dysfunction impairs these processes, causing a state that promotes clotting and inflammation. Eicosanoids are a major class of bioactive lipid mediators crucial for modulating endothelial and platelet function. Research has highlighted the roles of eicosanoids in vascular diseases, showing pro-inflammatory, prothrombotic, and protective activities. Specifically, prostaglandin E2 (PGE2) is crucial because of its major role in atherosclerosis development and progression, acting via EP receptors involved in forming, maintaining, and stabilizing atherosclerotic lesions, thereby making PGE2-EP signalling a specific target for treating cardiovascular diseases. This review will explore the evidence on eicosanoids and the role of their receptor modulation in platelet and vascular dysfunction in atherothrombosis. The studies included in this scoping review were retrieved from PubMed, Web of Science, Cochrane, and Scopus in accordance with the Preferred Reporting Items for Scoping Reviews and Meta-Analyses extension for Scoping Reviews (PRISMA-ScR) statement and the Population Intervention Comparison Outcome Population (PICO) framework. Eight clinical studies were found, which highlighted the crucial role of eicosanoids, like prostaglandins and their receptors, in endothelial and platelet dysfunction, and also how pharmacological mechanisms affect atherothrombosis. A new therapeutic approach for cardiovascular dysfunction is indicated by the recent findings, specifically against atherothrombosis, focusing on eicosanoids, their receptors, and processes like oxidative stress. Despite this evidence, there is a lack of comprehensive research results from scientific databases; therefore, further in vitro, in vivo, and clinical studies should be promoted to validate the preliminary results. Full article
Show Figures

Graphical abstract

15 pages, 3223 KB  
Article
First Clinical Description of Coagulation of Whole Blood with Resonant Acoustic Rheometry
by Connor M. Bunch, Weiping Li, Kiera Downey, Timothy L. Hall, Allen Chehimi, Samuel J. Thomas, Afsheen Mansoori, Miguel Velasco, Marie N. Karam, Jenny Chen, Jacob Tuttle, Matthew R. Walsh, Scott G. Thomas, Mark M. Walsh, Joseph B. Miller, Jan P. Stegemann and Cheri X. Deng
Diagnostics 2026, 16(1), 47; https://doi.org/10.3390/diagnostics16010047 - 23 Dec 2025
Viewed by 181
Abstract
Background/Objectives: The timely evaluation of blood clot formation and breakdown is essential in the care of patients with severe bleeding or critical illness. Resonant acoustic rheometry is a novel, non-contact ultrasound method that measures changes in the viscoelastic properties of blood in [...] Read more.
Background/Objectives: The timely evaluation of blood clot formation and breakdown is essential in the care of patients with severe bleeding or critical illness. Resonant acoustic rheometry is a novel, non-contact ultrasound method that measures changes in the viscoelastic properties of blood in a standard microplate format. Here, we present the first clinical description of whole blood coagulation and fibrinolysis assessed with resonant acoustic rheometry, with paired thromboelastography measurements for comparison. Methods: In this retrospective analysis, whole blood samples from three critically ill patients were divided and tested under four different conditions that included a control mixture, kaolin activation, tissue factor activation, and a tissue factor mixture supplemented with tissue plasminogen activator. The resonant acoustic rheometry system obtained real time measurements of resonant surface waves and displacements from the samples. Heat maps and spectrograms of the resonant surface waves were analyzed to determine the onset of clotting, the rate of viscoelastic stiffening, the time to maximum rigidity, and the onset as well as magnitude of fibrinolysis. These measurements were compared with thromboelastography reaction time, clot strength, fibrinogen contribution, and lysis values. Results: Resonant acoustic rheometry detected reproducible transitions from liquid to clot and from clot to lysis in all samples. Activator-dependent changes in clot initiation and propagation matched the expected hierarchy observed in thromboelastography. Significantly, samples exposed to tissue plasminogen activator demonstrated a clear fall in resonant frequency and a corresponding rise in surface displacement that reflected fibrinolysis. The technique also reproduced clinically meaningful patterns of hemostasis that aligned with each patient’s underlying disease. Conclusions: Whole blood clotting can be measured with resonant acoustic rheometry in a manner that aligns with established clinical assays. These results suggest strong potential for future use of resonant acoustic rheometry as a cost-effective, complementary platform for rapid, scalable, and clinically informative hemostatic assessment. Full article
Show Figures

Figure 1

13 pages, 8270 KB  
Article
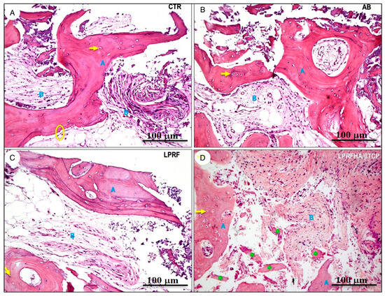
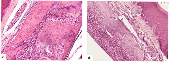
Short-Term Bone Healing in Anterior Maxillary Sockets Using L-PRF With or Without Synthetic HA/β-TCP: A Randomized Clinical Trial
by Pricila da Silva Gusmão, Cássia Pereira da Silva, Víctor Ravelo, Akinori Cardozo Nagato, Sergio Olate and Henrique Duque
J. Funct. Biomater. 2026, 17(1), 6; https://doi.org/10.3390/jfb17010006 - 22 Dec 2025
Viewed by 278
Abstract
Tooth extraction induces changes in both hard and soft tissues, which may compromise implant placement. Leukocyte- and platelet-rich fibrin (L-PRF) is used to promote tissue healing, either alone or in combination with other grafting materials. Objective: This study aimed to compare post-extraction socket [...] Read more.
Tooth extraction induces changes in both hard and soft tissues, which may compromise implant placement. Leukocyte- and platelet-rich fibrin (L-PRF) is used to promote tissue healing, either alone or in combination with other grafting materials. Objective: This study aimed to compare post-extraction socket healing using L-PRF alone or combined with a biphasic calcium phosphate graft (HA/β-TCP) after eight weeks. Materials and Methods: 15 patients, both sexes, mean age 56.7 ± 8.2 years, requiring alveolar ridge preservation after single-rooted tooth extraction for subsequent implant placement, were included. Sockets were randomly assigned to four groups: control with blood clot only (CTR), autogenous bone graft (AB), L-PRF membrane (LPRF), and L-PRF combined with HA/β-TCP (LPRFHA). The protocol consisted of tooth extraction and immediate graft placement, followed by bone biopsy at 8 weeks for histomorphometric analysis and implant installation. New Bone Formation (NBF) was quantified from ten photomicrographs per sample using ImageJ software (version 1.54, 5 February 2025). One-way ANOVA with Bonferroni post hoc tests was applied, with statistical significance set at p ≤ 0.05. Results: A significant difference in NBF (%) was observed between the control and LPRFHA groups (p = 0.014), with greater bone formation in the control group (62.4 ± 18.6%) compared with LPRFHA (55.8 ± 17.2%; p = 0.012). No significant differences were found among AB, LPRF, and LPRFHA groups. LPRF and AB showed comparable bone formation (60.2 ± 17.5% and 60.1 ± 20.0%, respectively). Conclusions: L-PRF, either alone or combined with HA/β-TCP, can be used for alveolar ridge preservation in maxillary sockets. L-PRF, alone or with synthetic HA/β-TCP graft, effectively preserves the anterior maxillary ridge for early loading at eight weeks. All treatments achieved bone formation for implant placement, with the blood clot alone showing superior results. Full article
Show Figures

Figure 1

11 pages, 518 KB  
Article
Liquid Trisilanol i-Octyl POSS Achieves Rapid Hemostasis and Pneumostasis in Experimental Lung Injury
by Michelle Tucci, Robert C. O′Brien, Joseph D. Lichtenhan, Hamed Benghuzzi and Drew Hildebrandt
Pathophysiology 2026, 33(1), 1; https://doi.org/10.3390/pathophysiology33010001 - 22 Dec 2025
Viewed by 118
Abstract
Background/Objectives: No effective intervention currently exists for non-compressible pulmonary injury, especially in a prehospital setting. Visco-liquids like trisilanol i-octyl POSS could remedy this. POSS resists hemorrhage and activates clotting; this can be augmented with kaolin (22.5%; PK) or chitin (10%; PC). Methods [...] Read more.
Background/Objectives: No effective intervention currently exists for non-compressible pulmonary injury, especially in a prehospital setting. Visco-liquids like trisilanol i-octyl POSS could remedy this. POSS resists hemorrhage and activates clotting; this can be augmented with kaolin (22.5%; PK) or chitin (10%; PC). Methods: We tested the efficacy of POSS, PK, and PC in treating incisional lung wounds in swine (39 ± 1 kg; n = 10). An incisional wound was made in the lung via a left thoracotomy, allowed to bleed freely for 30 s, and then no treatment (UNT), gauze with compression (GC), or POSS, PK, or PC was applied (1.5 mL). Each treatment was applied once per animal for a total of 5 wounds. Wounds were observed for 10 min for hemostasis and pneumostasis; GC treatments were assessed at 3 min intervals. Results: POSS and PC produced hemostasis in 8 of 10 wounds; GC: 7 (all significant from UNT); PK: 5 and UNT: 1. PK was not different from any group. POSS (2 ± 0.3 min) and PC (1.4 ± 0.4 min) clotted more quickly than GC (8 ± 3 min); PK was intermediate (3.8 ± 2 min) and not different from any other group. Pneumostasis was achieved in all POSS, PC, and PK, and only after hemostasis in the GC group. Conclusions: Because both POSS and PC provided quick and lasting hemorrhage and pneumatic control in this model, without need for compression, these results support the concept that these types of liquid POSS compounds could prove to be efficacious in prehospital treatment of non-compressible trauma wounds. Full article
Show Figures

Figure 1

25 pages, 4686 KB  
Review
Beyond Direct Fibrinolysis: Novel Approaches to Thrombolysis
by Alexey M. Shibeko, Nikita S. Nikitin, Nadezhda A. Podoplelova, Valentin A. Manuvera and Vassili N. Lazarev
Pharmaceuticals 2026, 19(1), 10; https://doi.org/10.3390/ph19010010 - 20 Dec 2025
Viewed by 320
Abstract
Fibrinolysis is a natural component of hemostasis in which a no-longer-needed clot is gradually dissolved to restore blood flow. Under pathological thrombotic conditions, this process can be pharmacologically enhanced to promote clot removal. However, thrombolytic therapy has limited efficacy and is associated with [...] Read more.
Fibrinolysis is a natural component of hemostasis in which a no-longer-needed clot is gradually dissolved to restore blood flow. Under pathological thrombotic conditions, this process can be pharmacologically enhanced to promote clot removal. However, thrombolytic therapy has limited efficacy and is associated with a risk of bleeding complications, including intracranial hemorrhage. Fibrinolysis targets only the fibrin-rich part of the thrombus, whereas a substantial fraction of the clot is enriched with non-fibrin components such as extracellular DNA, von Willebrand factor, and extracellular matrix proteins, including collagen, fibronectin, and laminin. These structural regions, which may constitute half or more of the clot volume, remain resistant to classical fibrinolytic agents. To overcome these limitations, recent therapeutic strategies aim to degrade these non-fibrin elements to improve thrombolytic efficacy and reduce adverse effects. In this review, we summarize current trends in pharmacological clot dissolution, discuss novel agents in clinical use and development, and outline how targeting non-fibrin components may influence the future of thrombolytic therapy. Full article
(This article belongs to the Special Issue Pharmacotherapy of Thromboembolism)
Show Figures

Figure 1

17 pages, 821 KB  
Review
Viscoelastic Hemostatic Assays in the Management of Trauma-Induced Coagulopathy: A Clinical Update
by Daniele Natalini, Rikardo Xhemalaj and Simone Carelli
J. Clin. Med. 2026, 15(1), 12; https://doi.org/10.3390/jcm15010012 - 19 Dec 2025
Viewed by 921
Abstract
The recognition of trauma-induced coagulopathy (TIC) as an endogenous response to traumatic injuries rather than a consequence of therapeutic interventions has shifted the clinical approach toward an early and physiologically based hemostatic resuscitation. Prompt identification and correction of fibrinolysis and fibrinogen level derangements, [...] Read more.
The recognition of trauma-induced coagulopathy (TIC) as an endogenous response to traumatic injuries rather than a consequence of therapeutic interventions has shifted the clinical approach toward an early and physiologically based hemostatic resuscitation. Prompt identification and correction of fibrinolysis and fibrinogen level derangements, dysregulated thrombin generation, and platelet dysfunction represent the cornerstones of the treatment strategies. Currently available viscoelastic hemostatic assays (VHAs) are point-of-care devices able to rapidly assess the phases of clot initiation, propagation, stabilization, and degradation, as well as isolate the contribution of specific elements—e.g., fibrinogen—to the coagulation process in fully automated analyses by multi-channel single-use cartridges. As a result, in the last decade, VHAs have been widely investigated as tools to implement individualized protocols of hemostatic resuscitation. Current guidelines support their use to optimize transfusion load in a goal-directed strategy. Nevertheless, contrasting evidence has emerged regarding the improvement in main clinical outcomes induced by the VHA-based algorithm of hemostatic resuscitation compared with those guided by conventional coagulation tests, and their place in the management of this peculiar population is still a matter of debate. We propose a narrative review ranging from TIC physiopathology as a proper substrate for viscoelastic diagnostic technique, through the strengths and weaknesses of VHAs, to their application in clinical practice. Full article
(This article belongs to the Section Intensive Care)
Show Figures

Figure 1

21 pages, 5654 KB  
Article
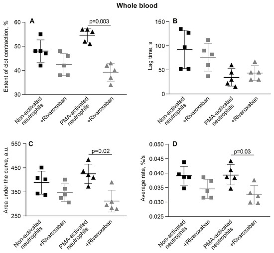
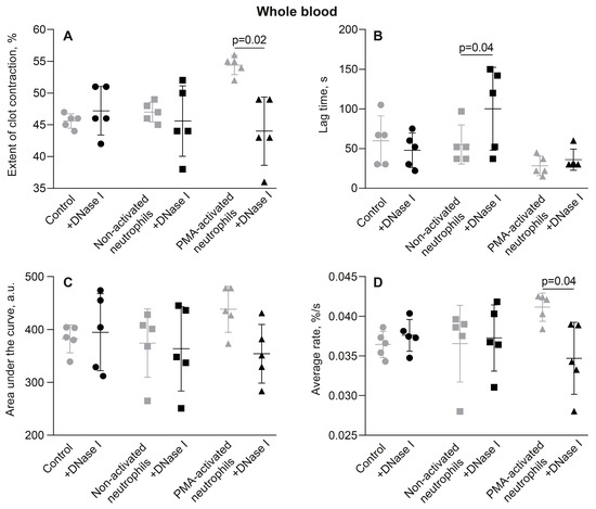
Neutrophil Extracellular Traps Promote Platelet-Driven Contraction of Inflammatory Blood Clots via Local Generation of Endogenous Thrombin and Softening of the Fibrin Network
by Shakhnoza M. Saliakhutdinova, Rafael R. Khismatullin, Alina I. Khabirova, Rustem I. Litvinov and John W. Weisel
Cells 2025, 14(24), 2018; https://doi.org/10.3390/cells14242018 - 18 Dec 2025
Viewed by 392
Abstract
Immunothrombosis can substantially affect the course and outcomes of severe infections and immune-mediated diseases. While inflammatory thrombi are neutrophil-rich, impact of neutrophils on clot contraction, a key modulator of thrombus stability and obstructiveness, was unknown. This study investigated how neutrophils and neutrophil extracellular [...] Read more.
Immunothrombosis can substantially affect the course and outcomes of severe infections and immune-mediated diseases. While inflammatory thrombi are neutrophil-rich, impact of neutrophils on clot contraction, a key modulator of thrombus stability and obstructiveness, was unknown. This study investigated how neutrophils and neutrophil extracellular traps (NETs) affect the rate and extent of platelet-driven clot contraction. Isolated human neutrophils were stimulated with phorbol-12-myristate-13-acetate (PMA) to induce NETosis, confirmed by fluorescence microscopy and scanning electron microscopy. Thrombin-induced clots, formed from whole blood or platelet-rich plasma, were supplemented with non-activated or PMA-activated neutrophils. Clot contraction kinetics and viscoelasticity were analyzed. PMA-activated neutrophils significantly enhanced the rate and final extent of clot contraction compared to controls. This promoting effect was abolished by deoxyribonuclease (DNAse) I, confirming that it was mediated by NETs embedded in the fibrin network. The factor Xa inhibitor rivaroxaban also abrogated this effect, indicating a role for NET-induced endogenous thrombin generation and platelet hyperactivation. Thromboelastography revealed that NETs made clots softer and more deformable. We conclude that activated neutrophils promote clot contraction via NETs embedded in the fibrin network, which enhance platelet contractility via endogenous thrombin production and increase clot deformability, suggesting that inflammatory thrombosis may require treatments addressing this enhanced contractility. Full article
(This article belongs to the Special Issue Molecular and Cellular Insights into Platelet Function, 2nd Edition)
Show Figures

Figure 1

7 pages, 224 KB  
Case Report
Venom-Induced Recurrent Thrombocytopenia: A Model of Intervention-Driven Platelet Modulation
by Mojca Dobaja Borak, Katarina Reberšek, Tihana Kurtović, Adrijana Leonardi, Igor Križaj and Miran Brvar
Toxins 2025, 17(12), 605; https://doi.org/10.3390/toxins17120605 - 17 Dec 2025
Viewed by 222
Abstract
We present the case of a Vipera ammodytes ammodytes (Vaa, nose-horned viper)-bitten patient with recurrent thrombocytopenia. A 53-year-old patient envenomated by Vaa experienced three episodes of venom-dependent thrombocytopenia (4, 57 and 11 × 109/L), all of which we managed [...] Read more.
We present the case of a Vipera ammodytes ammodytes (Vaa, nose-horned viper)-bitten patient with recurrent thrombocytopenia. A 53-year-old patient envenomated by Vaa experienced three episodes of venom-dependent thrombocytopenia (4, 57 and 11 × 109/L), all of which we managed with antivenom Fab fragments. Despite these three severe episodes of thrombocytopenia within 24 h, platelet function remained intact, as demonstrated by normal thromboelastometry and aggregometry (96, 126, and 150 U) results after antivenom was administered and the platelet count normalized. Furthermore, flow cytometry showed only 0.3–1.7% expression of P-selectin on platelets, indicating that platelets did not activate but remained functional during and after thrombocytopenia. We assessed platelet function using rotational thromboelastometry, which evaluates the overall kinetics of hemostasis, including clot formation and stability. We performed aggregometry, which also reflects platelet function, only when the platelet count was within the normal range. Flow cytometry quantified P-selectin expression as a key marker of platelet activation. This case demonstrates that a component of Vaa venom can repeatedly induce venom-dependent thrombocytopenia, which is reversible by intervention, while platelet function remains intact. Full article
(This article belongs to the Section Animal Venoms)
15 pages, 1886 KB  
Systematic Review
PerClot for Use in Surgical Hemostasis: A Systemic Review and Meta-Analysis of Clinical Data
by Terri Siebert, Stephen Dierks, Piotr Maniak and Torben Colberg
Surgeries 2025, 6(4), 111; https://doi.org/10.3390/surgeries6040111 - 16 Dec 2025
Viewed by 158
Abstract
Objective: To demonstrate that PerClot’s efficacy is non-inferior to other hemostatic treatments and its safety is non-inferior to the standard of care (SoC) during surgery. Methods: Applying keywords and inclusion criteria, we queried electronic databases to conduct a systematic (e.g., Embase and Cochrane [...] Read more.
Objective: To demonstrate that PerClot’s efficacy is non-inferior to other hemostatic treatments and its safety is non-inferior to the standard of care (SoC) during surgery. Methods: Applying keywords and inclusion criteria, we queried electronic databases to conduct a systematic (e.g., Embase and Cochrane Library, etc.) and manual search (e.g., Google Scholar, etc.) for studies from 1 January 2008 (first CE marked date) to 30 March 2024. Results: Five published studies were included in this systematic review. From the included studies, 691 patients received either PerClot (n = 315) or other hemostatic agents/SoC/control (n = 376) in different surgical specialties. All five studies had comparable outcome measures, interventions, and control groups, allowing for the pooling of the study data. The primary outcomes were the achievement of hemostasis and time to hemostasis. At 7 min post-application, PerClot demonstrated non-inferior hemostasis performance as compared to Arista (absolute difference: −1.4%; 95% CI: −7.54, 4.74; p = 0.65). The time to achieve hemostasis was comparable between PerClot and other hemostatic agents (mean difference: 0.00 min; 95% CI: 0.00, 0.00; p = 1.00). No statistically significant difference in adverse event occurrence was observed between PerClot and other hemostatic agents/SoC groups (absolute difference: 0.02; 95% CI: −0.30, 0.35; p = 0.2691) and the absence of new unknown adverse events indicates the safety profile of PerClot. The results of all outcome measures are statistically insignificant. Conclusions: Our systematic review demonstrated that PerClot achieved comparable hemostasis with no new safety concerns and a statistically significant reduction in postoperative drainage volume, indicating its safety, efficacy, and performance as an alternative for hemostasis across multiple surgical specialties. Full article
Show Figures

Graphical abstract

16 pages, 1076 KB  
Article
A Deletion Variant of Human Factor VIII Displaying Low Immunogenicity in a Murine Model of Hemophilia A
by Erika de Simone Molina, Theri Leica Degaki, Mari Cleide Sogayar and Marcos Angelo Almeida Demasi
Int. J. Mol. Sci. 2025, 26(24), 12093; https://doi.org/10.3390/ijms262412093 - 16 Dec 2025
Viewed by 203
Abstract
The therapeutic clotting factor VIII (FVIII) is known for its particular immunogenicity, with nearly 30% of hemophilic patients developing neutralizing antibodies against the infused protein. The root cause of this immunogenicity is still not well understood, but intrinsic factors, such as FVIII byproducts, [...] Read more.
The therapeutic clotting factor VIII (FVIII) is known for its particular immunogenicity, with nearly 30% of hemophilic patients developing neutralizing antibodies against the infused protein. The root cause of this immunogenicity is still not well understood, but intrinsic factors, such as FVIII byproducts, have been linked to the immunological response elicited. Bioengineering of the FVIII molecule has been improving its recombinant (rhFVIII) production in many aspects, mainly enhancing its expression and stability. Assessment of immunogenicity for novel recombinant isoforms is crucial for further development and scaling-up processes, particularly due to the unpredictable antigenic properties and their impact on neutralizing antibody formation. In the present study, we describe a bioengineered human recombinant FVIII (rhFVIII-H6A), which induces lower immunogenicity in a murine model of hemophilia A. The rhFVIII-H6A product is characterized by a B-domain-deleted heavy chain (HCh), with the C-terminal of the B-domain fused to the light chain (BΔ-LCh). Compared to plasma-derived FVIII (pdFVIII) and rhFVIII reference products, treating hemophilic mice with rhFVIII-H6A induced lower levels of anti-FVIII antibody formation, including those with inhibitory neutralizing activity, while no difference was observed in the functional activity of rhFVIII-H6A in reverting the in vivo hemophilia phenotype. In addition, our results indicate that deleting the major part of the B-domain from the HCh might lower the immunogenicity of novel rhFVIII products. Full article
Show Figures

Figure 1

11 pages, 1551 KB  
Article
Volume and Attenuation Characteristics of Chronic Subdural Hematoma: An Annotated Patient Cohort of 257 Patients with Interrater Reliability Assessments
by Mattias Drake, Emma Hall, Birgitta Ramgren, Björn M. Hansen and Johan Wassélius
Tomography 2025, 11(12), 141; https://doi.org/10.3390/tomography11120141 - 16 Dec 2025
Viewed by 193
Abstract
Background: Accurate volumetry and imaging characterization of chronic subdural hematoma (cSDH) are essential for prognostication and treatment planning, but manual assessment is time-consuming and therefore underutilized. Methods: We retrospectively analyzed preoperative non-contrast CT (NCCT) scans of 257 patients undergoing first-time surgery for uni- [...] Read more.
Background: Accurate volumetry and imaging characterization of chronic subdural hematoma (cSDH) are essential for prognostication and treatment planning, but manual assessment is time-consuming and therefore underutilized. Methods: We retrospectively analyzed preoperative non-contrast CT (NCCT) scans of 257 patients undergoing first-time surgery for uni- or bilateral cSDH. Hematoma volumes were measured manually using a semi-automated area-outlining tool on every second axial slice and compared with the volumes estimated through the ABC/2 formula. Hematoma attenuation patterns and components were categorized, and interrater reliability was assessed for volume, maximum diameter, and imaging features using intraclass correlation coefficients (ICCs) and Cohen’s κ. Results: A total of 339 hematomas were evaluated. Manual and ABC/2 volume measurements correlated strongly (R2 = 0.83, ICC [3, 1] = 0.90). The interrater agreement for manual volumetry was excellent (ICC [2, 1] = 0.96). Agreement was also excellent for maximum diameter (ICC [2, 1] > 0.9) and good for midline shift assessment (κ = 0.81). Agreement was moderate for the identification of fresh clots, trabeculations, and laminations (κ = 0.62–0.72) but poor for general attenuation patterns (κ = 0.44). Conclusions: The manual volumetry of cSDH is feasible and highly reproducible between raters of different experience levels. These results provide a robust reference standard for the validation of automated volumetry tools and support the implementation of quantitative hematoma assessment in future clinical trials and routine care. Full article
(This article belongs to the Section Neuroimaging)
Show Figures

Figure 1

26 pages, 5051 KB  
Article
Catalytically Active Recombinant Cysteine Proteases of Haemonchus contortus: Their Ability to Degrade Host Blood Proteins and Modulate Coagulation
by Athira C. Karunakaran, Mariam Bakshi, Arunraj M. Rajendrakumar, Jennifer H. Wilson-Welder, Raffi V. Aroian, Erich M. Schwarz, E. Jane Homan, Gary R. Ostroff, Ethiopia Beshah, Eliseo Miramontes, Marianne Dias Papadopoulos, Scott A. Bowdridge, Dante S. Zarlenga, Xiaoping Zhu and Wenbin Tuo
Int. J. Mol. Sci. 2025, 26(24), 12077; https://doi.org/10.3390/ijms262412077 - 16 Dec 2025
Viewed by 279
Abstract
Haemonchus contortus is a blood-feeding gastrointestinal nematode that significantly impacts the health and productivity of small ruminants. The burden of parasitism and the escalating incidence of anthelmintic resistance necessitate alternative control methods. Here, we characterize the enzymatic activities of five mammalian cell-expressed recombinant [...] Read more.
Haemonchus contortus is a blood-feeding gastrointestinal nematode that significantly impacts the health and productivity of small ruminants. The burden of parasitism and the escalating incidence of anthelmintic resistance necessitate alternative control methods. Here, we characterize the enzymatic activities of five mammalian cell-expressed recombinant H. contortus cysteine proteases (HcCPs), which include two cathepsin B-like proteins (HcCBP1 and HcCBP2) and three cysteine protease 1 proteins (HcCP1a, HcCP1b, and HcCP1c). We hypothesize that these enzymes degrade host blood proteins, thereby facilitating the parasite’s nutrient acquisition and survival. Using synthetic cathepsin (cat) substrates, we show that HcCBP2 was the only protein that exhibited high catB/L but low catB or catK activity, which was inhibited by the cysteine protease inhibitor E-64. All mHcCPs degraded fibrinogen (Fg), which led to delayed plasma clotting, reduced clot density, and lysed plasma clots. All HcCPs partially degraded hemoglobin (Hb), except for mHcCBP2, which degraded Hb and bovine serum albumin completely and bovine IgG partially in the presence of a reducing agent. In conclusion, by sustaining blood feeding and facilitating immune evasion and nutrient acquisition, the HcCPs may play an essential role in the parasite’s survival. Thus, vaccines or cysteine protease inhibitors targeting these parasitic enzymes may mitigate or prevent infections. Full article
Show Figures

Figure 1

Back to TopTop