Volume and Attenuation Characteristics of Chronic Subdural Hematoma: An Annotated Patient Cohort of 257 Patients with Interrater Reliability Assessments
Simple Summary
Abstract
1. Introduction
2. Materials and Methods
2.1. Study Design
2.2. Study Setting
2.3. Participant Selection
2.4. Data Collection
2.5. Collection of Radiological Data
2.6. Radiological Assessment
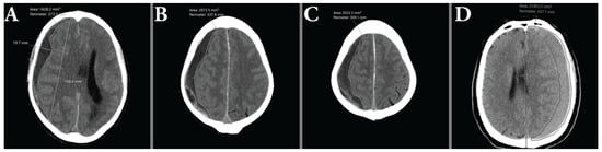
2.7. Hematoma Volumetry
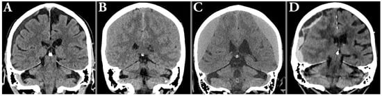
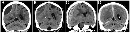
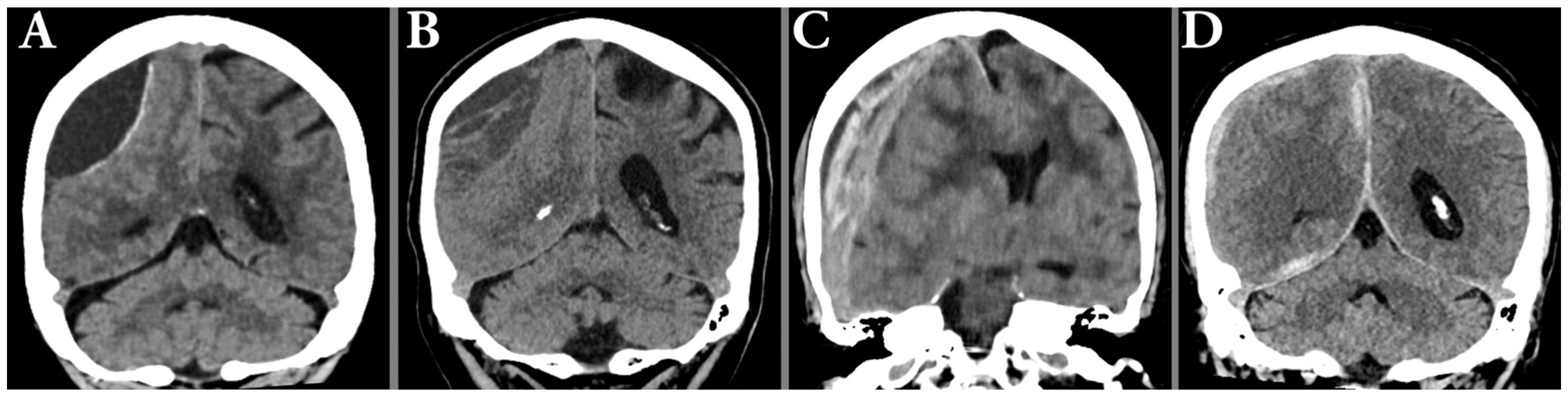
2.8. Hematoma Characterization
2.9. Uni- and Bilateral Hematomas
2.10. Radiological Assessors
2.11. Statistical Analysis
3. Results
3.1. Description of Study Population
3.2. Comparison of Manual Measurements of Hematoma Volume with the ABC/2 Method
3.3. Interrater Reliability of Manual Measurements of Hematoma Volume Based on Three Independent Readers
3.4. Interrater Reliability of Radiological Features of Hematomas
4. Discussion
Limitations
5. Conclusions
Author Contributions
Funding
Institutional Review Board Statement
Informed Consent Statement
Data Availability Statement
Acknowledgments
Conflicts of Interest
Abbreviations
| cSDH | Chronic subdural hematoma |
| eMMA | Embolization of the Middle Meningeal Artery |
| ICH | Intracerebral hemorrhage |
| ICC | Intraclass correlation coefficients |
| IQR | Interquartile range |
| NCCT | Non-contrast CT |
| PACS | Picture Archiving and Communications System |
| QQ plot | Quantile–quantile plot |
| SDH | Subdural hematoma |
References
- Almenawer, S.A.; Farrokhyar, F.; Hong, C.; Alhazzani, W.; Manoranjan, B.; Yarascavitch, B.; Parnian, A.; Benedicto, B.; Kesava, R.; Naresh, M.; et al. Chronic subdural hematoma management: A systematic review and meta-analysis of 34,829 patients. Ann. Surg. 2014, 259, 449–457. [Google Scholar] [CrossRef] [PubMed]
- Feghali, J.; Yang, W.; Huang, J. Updates in Chronic Subdural Hematoma: Epidemiology, Etiology, Pathogenesis, Treatment, and Outcome. World Neurosurg. 2020, 141, 339–345. [Google Scholar] [CrossRef]
- Henry, J.; Amoo, M.; Kissner, M.; Deane, T.; Zilani, G.; Crockett, M.T.; Javadpour, M. Management of Chronic Subdural Hematoma: A Systematic Review and Component Network Meta-analysis of 455 Studies with 103,645 Cases. Neurosurgery 2022, 91, 842–855. [Google Scholar] [CrossRef] [PubMed]
- Balser, D.; Farooq, S.; Mehmood, T.; Reyes, M.; Samadani, U. Actual and projected incidence rates for chronic subdural hematomas in United States Veterans Administration and civilian populations. J. Neurosurg. 2015, 123, 1209–1215. [Google Scholar] [CrossRef]
- Rauhala, M.; Luoto, T.M.; Huhtala, H.; Iverson, G.L.; Niskakangas, T.; Ohman, J.; Helén, P. The incidence of chronic subdural hematomas from 1990 to 2015 in a defined Finnish population. J. Neurosurg. 2019, 132, 1147–1157. [Google Scholar] [CrossRef]
- Ironside, N.; Nguyen, C.; Do, Q.; Ugiliweneza, B.; Chen, C.J.; Sieg, E.P.; James, R.F.; Ding, D. Middle meningeal artery embolization for chronic subdural hematoma: A systematic review and meta-analysis. J. Neurointerv. Surg. 2021, 13, 951–957. [Google Scholar] [CrossRef]
- Sattari, S.A.; Yang, W.; Shahbandi, A.; Feghali, J.; Lee, R.P.; Xu, R.; Jackson, C.; Gonzalez, L.F.; Tamargo, R.J.; Huang, J.; et al. Middle Meningeal Artery Embolization Versus Conventional Management for Patients with Chronic Subdural Hematoma: A Systematic Review and Meta-Analysis. Neurosurgery 2023, 92, 1142–1154. [Google Scholar] [CrossRef]
- Shakir, M.; Irshad, H.A.; Alidina, Z.; Shaikh, T.; Ashfaq, D.; Ali, Z.; Pirzada, S.; Qureshi, A.I.; Thomas, A.; Kan, P.; et al. Middle meningeal artery embolization alone versus combined with conventional surgery in the management of chronic subdural hematoma: A systematic review and meta-analysis. Clin. Neurol. Neurosurg. 2024, 246, 108580. [Google Scholar] [CrossRef]
- Edlmann, E.; Giorgi-Coll, S.; Whitfield, P.C.; Carpenter, K.L.H.; Hutchinson, P.J. Pathophysiology of chronic subdural haematoma: Inflammation, angiogenesis and implications for pharmacotherapy. J. Neuroinflamm. 2017, 14, 108. [Google Scholar] [CrossRef]
- Moshayedi, P.; Liebeskind, D.S. Middle Meningeal Artery Embolization in Chronic Subdural Hematoma: Implications of Pathophysiology in Trial Design. Front. Neurol. 2020, 11, 923. [Google Scholar] [CrossRef] [PubMed]
- Nakaguchi, H.; Tanishima, T.; Yoshimasu, N. Factors in the natural history of chronic subdural hematomas that influence their postoperative recurrence. J. Neurosurg. 2001, 95, 256–262. [Google Scholar] [CrossRef]
- Ban, S.P.; Hwang, G.; Byoun, H.S.; Kim, T.; Lee, S.U.; Bang, J.S.; Han, J.H.; Kim, C.-Y.; Kwon, O.-K.; Oh, C.W. Middle Meningeal Artery Embolization for Chronic Subdural Hematoma. Radiology 2018, 286, 992–999. [Google Scholar] [CrossRef] [PubMed]
- Shotar, E.; Meyblum, L.; Premat, K.; Lenck, S.; Degos, V.; Grand, T.; Cortese, J.; Pouvelle, A.; Pouliquen, G.; Mouyal, S.; et al. Middle meningeal artery embolization reduces the post-operative recurrence rate of at-risk chronic subdural hematoma. J. Neurointerv. Surg. 2020, 12, 1209–1213. [Google Scholar] [PubMed]
- Dian, J.; Linton, J.; Shankar, J.J. Risk of recurrence of subdural hematoma after EMMA vs surgical drainage—Systematic review and meta-analysis. Interv. Neuroradiol. 2021, 27, 577–583. [Google Scholar]
- Kan, P.; Maragkos, G.A.; Srivatsan, A.; Srinivasan, V.; Johnson, J.; Burkhardt, J.K.; Robinson, T.M.; Salem, M.M.; Chen, S.; Riina, H.A.; et al. Middle Meningeal Artery Embolization for Chronic Subdural Hematoma: A Multi-Center Experience of 154 Consecutive Embolizations. Neurosurgery 2021, 88, 268–277. [Google Scholar] [CrossRef]
- Liu, J.; Ni, W.; Zuo, Q.; Yang, H.; Peng, Y.; Lin, Z.; Li, Z.; Wang, J.; Zhen, Y.; Luo, J.; et al. Middle Meningeal Artery Embolization for Nonacute Subdural Hematoma. N. Engl. J. Med. 2024, 391, 1901–1912. [Google Scholar] [CrossRef] [PubMed]
- Davies, J.M.; Knopman, J.; Mokin, M.; Hassan, A.E.; Harbaugh, R.E.; Khalessi, A.; Fiehler, J.; Gross, B.A.; Grandhi, R.; Tarpley, J.; et al. Adjunctive Middle Meningeal Artery Embolization for Subdural Hematoma. N. Engl. J. Med. 2024, 391, 1890–1900. [Google Scholar] [CrossRef] [PubMed]
- Drake, M.; Ullberg, T.; Nittby, H.; Marklund, N.; Wassélius, J. Swedish trial on embolization of middle meningeal artery versus surgical evacuation in chronic subdural hematoma (SWEMMA)-a national 12-month multi-center randomized controlled superiority trial with parallel group assignment, open treatment allocation and blinded clinical outcome assessment. Trials 2022, 23, 926. [Google Scholar] [PubMed]
- Miah, I.P.; Tank, Y.; Rosendaal, F.R.; Peul, W.C.; Dammers, R.; Lingsma, H.F.; Hertog, H.M.D.; Jellema, K.; van der Gaag, N.A. Radiological prognostic factors of chronic subdural hematoma recurrence: A systematic review and meta-analysis. Neuroradiology 2021, 63, 27–40, Erratum in Neuroradiology 2021, 63, 159–160. [Google Scholar] [CrossRef]
- Neshige, S.; Kuriyama, M.; Ota, S. Diffusion-weighted imaging findings predictive of postoperative recurrence of chronic subdural hematoma. J. Neurol. Sci. 2024, 467, 123324. [Google Scholar] [CrossRef]
- Bartek, J., Jr.; Sjåvik, K.; Kristiansson, H.; Ståhl, F.; Fornebo, I.; Förander, P.; Jakola, A.S. Predictors of Recurrence and Complications After Chronic Subdural Hematoma Surgery: A Population-Based Study. World Neurosurg. 2017, 106, 609–614. [Google Scholar] [CrossRef]
- Charehsaz, A.; Vayisoglu, T.; Uyaniker, Z.A.; Cekic, E.; Ozturk, E.; Isikay, A.I.; Hanalioglu, S. Relative Cortical Atrophy Index as a Strong Predictor of Recurrence After Surgery for Chronic Subdural Hematoma. Neurosurgery 2024, 95, 1369–1377. [Google Scholar] [CrossRef] [PubMed]
- Akyuz, M.E.; Kadioglu, H.H. Identification of Radiological and Clinical Factors that Increase the Risk of Chronic Subdural Hematoma Recurrence. Turk. Neurosurg. 2023, 33, 990–995. [Google Scholar] [CrossRef] [PubMed]
- Lucke-Wold, B.P.; Turner, R.C.; Josiah, D.; Knotts, C.; Bhatia, S. Do Age and Anticoagulants Affect the Natural History of Acute Subdural Hematomas? Arch. Emerg. Med. Crit. Care 2016, 1, 1010. [Google Scholar]
- MacIntosh, B.J.; Liu, Q.; Schellhorn, T.; Beyer, M.K.; Groote, I.R.; Morberg, P.C.; Poulin, J.M.; Selseth, M.N.; Bakke, R.C.; Naqvi, A.; et al. Radiological features of brain hemorrhage through automated segmentation from computed tomography in stroke and traumatic brain injury. Front. Neurol. 2023, 14, 1244672. [Google Scholar] [CrossRef]
- Hillal, A.; Ullberg, T.; Ramgren, B.; Wassélius, J. Computed tomography in acute intracerebral hemorrhage: Neuroimaging predictors of hematoma expansion and outcome. Insights Imaging 2022, 13, 180. [Google Scholar] [CrossRef]
- Reddy, P.; Priya, P.S. ABC/2 formula versus computer-assisted analysis in calculating intra-cranial haemorrhage volume on computed tomographic imaging. Comput. Med. Biomech. Biomed. Eng. Imaging Vis. 2024, 12, 2327416. [Google Scholar] [CrossRef]
- Tada, A.; Hisada, K.; Suzuki, T.; Kadoya, S. Measurement volume of intracranial hematoma by computed tomography (author’s transl). No Shinkei Geka 1981, 9, 251–256. (In Japanese) [Google Scholar] [PubMed]
- Petrov, A.; Kashevnik, A.; Haleev, M.; Ali, A.; Ivanov, A.; Samochernykh, K.; Rozhchenko, L.; Bobinov, V. AI-Based Approach to One-Click Chronic Subdural Hematoma Segmentation Using Computed Tomography Images. Sensors 2024, 24, 721. [Google Scholar] [CrossRef]
- Kellogg, R.T.; Vargas, J.; Barros, G.; Sen, R.; Bass, D.; Mason, J.R.; Levitt, M. Segmentation of Chronic Subdural Hematomas Using 3D Convolutional Neural Networks. World Neurosurg. 2021, 148, e58–e65. [Google Scholar] [CrossRef]
- Fang, C.; Ji, X.; Pan, Y.; Xie, G.; Zhang, H.; Li, S.; Wan, J. Combining Clinical-Radiomics Features with Machine Learning Methods for Building Models to Predict Postoperative Recurrence in Patients with Chronic Subdural Hematoma: Retrospective Cohort Study. J. Med. Int. Res. 2024, 26, e54944. [Google Scholar] [CrossRef] [PubMed]
- Rudolph, J.; Rueckel, J.; Döpfert, J.; Ling, W.X.; Opalka, J.; Brem, C.; Hesse, N.; Ingenerf, M.; Koliogiannis, V.; Solyanik, O.; et al. Artificial intelligence-based rapid brain volumetry substantially improves differential diagnosis in dementia. Alzheimers Dement. 2024, 16, e70037. [Google Scholar] [CrossRef]
- Kral, J.; Cabal, M.; Kasickova, L.; Havelka, J.; Jonszta, T.; Bar, M. Machine learning volumetry of ischemic brain lesions on CT after thrombectomy-prospective diagnostic accuracy study in ischemic stroke patients. Neuroradiology 2020, 62, 1239–1245. [Google Scholar] [CrossRef] [PubMed]
- Bonkhoff, A.K.; Hong, S.; Bretzner, M.; Schirmer, M.D.; Regenhardt, R.W.; Arsava, E.M.; Donahue, K.; Nardin, M.; Dalca, A.; Giese, A.-K.; et al. Association of Stroke Lesion Pattern and White Matter Hyperintensity Burden with Stroke Severity and Outcome. Neurology 2022, 99, e1364–e1379. [Google Scholar] [CrossRef] [PubMed]






| Characteristic | All Hematomas (n = 339) | Left-Sided Hematomas (n = 179) | Right-Sided Hematomas (n = 160) |
|---|---|---|---|
| Hematoma volume | |||
| Manual, mL (median, IQR) | 111 (79–147) | 116 (80–153) | 109.5 (69.5–142.5) |
| ABC/2, mL (median IQR) | 122 (80–155) | 126 (85–156) | 117.5 (70–155) |
| General attenuation pattern N (%) | |||
| Homogenous: | |||
| Hypo- | 134 (39.5) | 73 (40.8) | 61 (38.1) |
| Iso- | 40 (11.8) | 21 (11.7) | 19 (11.9) |
| Hyper- | 5 (1.5) | 3 (1.7) | 2 (1.3) |
| Heterogenous: | |||
| Diffuse pattern | 125 (36.9) | 62 (34.6) | 63 (39.4) |
| Separated pattern | 35 (10.3) | 20 (11.2) | 15 (9.4) |
| Hematoma components N (%) | |||
| Fresh clot | 209 (61.7) | 113 (63.1) | 96 (60.0) |
| Trabeculations | 225 (66.4) | 125 (69.8) | 100 (62.5) |
| Laminations | 37 (10.9) | 22 (12.3) | 15 (9.4) |
| Maximum Diameter, mm (mean, SD) | |||
| Coronal plane | 19.5 (14–24) | 20 (14–25) | 19 (14–23) |
| Transversal plane | 21 (16–26) | 22 (17–27) | 20 (16–25) |
| Midline shift to opposite side, N (%) | |||
| None | 105 (31.0) | 48 (26.8) | 57 (35.6) |
| 1–5 mm | 43 (12.7) | 22 (12.3) | 21 (13.1) |
| 6–10 mm | 93 (27.4) | 57 (31.8) | 36 (22.5) |
| >10 mm | 98 (28.9) | 52 (29.1) | 46 (28.8) |
| Parafalcine component, N (%) | 15 (4.4) | 9 (5.0) | 6 (3.8) |
| Characteristic | Rater 1 | Rater 3 | ICC/κ (95% CI) |
|---|---|---|---|
| Hematoma volume | |||
| Manual, mL (median, IQR) | 115.5 (72–156) | 123 (78–168) | ICC [3, 1] 0.95 (0.93–0.97) |
| General attenuation pattern N (%) | κ: 0.44 (0.29–0.60) | ||
| Homogenous: | |||
| Hypo- | 27 (38.6) | 14 (20.0) | |
| Iso- | 7 (10.0) | 5 (7.1) | |
| Hyper- | 1 (1.4) | 2 (2.9) | |
| Heterogenous: | |||
| Diffuse pattern | 26 (37.1) | 30 (42.9) | |
| Separated pattern | 9 (12.9) | 19 (27.1) | |
| Hematoma components N (%) | |||
| Fresh clot | 43 (61.4) | 29 (41.4) | κ: 0.62 (0.44–0.79) |
| Trabeculations | 49 (30.0) | 51 (72.9) | κ: 0.72 (0.54–0.91) |
| Laminations | 9 (12.9) | 5 (7.1) | κ: 0.69 (0.39–0.98) |
| Maximum diameter, mm (median, IQR) | |||
| Coronal plane | 19 (16–24) | 19 (17–25) | ICC [3, 1] 0.94 (0.90–0.96) |
| Transversal plane | 21 (18–27) | 23 (18–27) | ICC [3, 1] 0.92 (0.87–0.95) |
| Midline shift to opposite side, N (%) | κ: 0.81 (0.69–0.92) | ||
| None | 21 (30.0) | 19 (27.1) | |
| 1–5 mm | 11 (15.7) | 12 (17.1) | |
| 6–10 mm | 15 (21.4) | 17 (24.3) | |
| >10 mm | 23 (32.9) | 22 (31.4) | |
Disclaimer/Publisher’s Note: The statements, opinions and data contained in all publications are solely those of the individual author(s) and contributor(s) and not of MDPI and/or the editor(s). MDPI and/or the editor(s) disclaim responsibility for any injury to people or property resulting from any ideas, methods, instructions or products referred to in the content. |
© 2025 by the authors. Licensee MDPI, Basel, Switzerland. This article is an open access article distributed under the terms and conditions of the Creative Commons Attribution (CC BY) license (https://creativecommons.org/licenses/by/4.0/).
Share and Cite
Drake, M.; Hall, E.; Ramgren, B.; Hansen, B.M.; Wassélius, J. Volume and Attenuation Characteristics of Chronic Subdural Hematoma: An Annotated Patient Cohort of 257 Patients with Interrater Reliability Assessments. Tomography 2025, 11, 141. https://doi.org/10.3390/tomography11120141
Drake M, Hall E, Ramgren B, Hansen BM, Wassélius J. Volume and Attenuation Characteristics of Chronic Subdural Hematoma: An Annotated Patient Cohort of 257 Patients with Interrater Reliability Assessments. Tomography. 2025; 11(12):141. https://doi.org/10.3390/tomography11120141
Chicago/Turabian StyleDrake, Mattias, Emma Hall, Birgitta Ramgren, Björn M. Hansen, and Johan Wassélius. 2025. "Volume and Attenuation Characteristics of Chronic Subdural Hematoma: An Annotated Patient Cohort of 257 Patients with Interrater Reliability Assessments" Tomography 11, no. 12: 141. https://doi.org/10.3390/tomography11120141
APA StyleDrake, M., Hall, E., Ramgren, B., Hansen, B. M., & Wassélius, J. (2025). Volume and Attenuation Characteristics of Chronic Subdural Hematoma: An Annotated Patient Cohort of 257 Patients with Interrater Reliability Assessments. Tomography, 11(12), 141. https://doi.org/10.3390/tomography11120141

