Catalytically Active Recombinant Cysteine Proteases of Haemonchus contortus: Their Ability to Degrade Host Blood Proteins and Modulate Coagulation
Abstract
1. Introduction
2. Results
2.1. HcCP Sequence Analysis
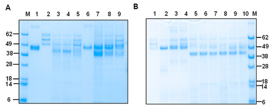
2.2. HcCPs Expressed in E. coli and FreeStyle™ 293-F Cells
2.3. The Presence of HcCPs in H. contortus L3 and Adults
2.4. Protease Activities of mHcCPs on Fg, oHb, IgG, or BSA
2.5. Time-, Dose-, and Temperature-Dependent Fibrinogenolytic Activity of mHcCPs
2.6. mHcCBP1/mHcCP1c and oFg Native Structure-Based Interactions Are Required for Protease Activity
2.7. Inhibition of the Fibrinogenolytic Action of mHcCPs by E-64 Protease Inhibitor
2.8. The Effect of mHcCPs on Recalcification Time (RCT) of Human Reference Plasma
2.9. Cysteine Protease Activity Using the Fluorogenic Peptide Substrate
2.10. Detection of Anti-HcCP Antibodies in Sheep Naturally Infected with H. contortus
3. Discussion
4. Materials and Methods
4.1. Identification and Functional Prediction of HcCP1a-c
4.2. Amino Acid Sequence Alignment and Phylogenetic Construction
4.3. Recombinant H. contortus Cysteine Proteas e (rHcCP) Production
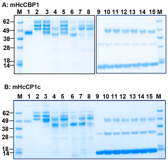
4.4. Purification of rHcCPs
4.5. SDS-PAGE, Coomassie Blue Staining and Western Blotting
4.6. Preparation of Worm Extracts
4.7. Degradation of Blood Protein Substrates by rHcCPs—the Degradation Assay
4.8. pH-, Time-, Dose- or Temperature-Dependent Degradation of Protein Substrates by rHcCPs
4.9. Native Structures as Requirements for mHcCPs to Degrade Fg
4.10. Inhibition of Fibrinogenolytic Action of mHcCPs by a Cysteine Protease-Specific Inhibitor, E-64
4.11. Enzymatic Stability of mHcCBP1 and mHcCP1c
4.12. The Anticoagulant Function of mHcCPs
4.13. Cysteine Protease Activity Using Fluorogenic Peptide Substrates
4.14. Indirect Enzyme Linked Immunosorbent Assay (ELISA)
5. Conclusions
Supplementary Materials
Author Contributions
Funding
Institutional Review Board Statement
Informed Consent Statement
Data Availability Statement
Acknowledgments
Conflicts of Interest
Abbreviations
| bHcCPs | Bacterial recombinant Haemonchus contortus cysteine proteases |
| BSA | Bovine Serum Albumin |
| bFg, oFg, or pFg | Bovine, ovine, or porcine fibrinogen |
| DTT | Dithiothreitol |
| E-64 | L-trans-epoxysuccinyl-leucyl-amido (4-guanidino) butane |
| Fg | Fibrinogen |
| GI | Gastrointestinal |
| Hc | Haemonchus contortus |
| HcCPs | Haemonchus contortus cysteine proteases |
| HcCBP1 and 2 | Haemonchus contortus cathepsin B-like protein 1 and 2 |
| HcCP1a, 1b, 1c | Haemonchus contortus cysteine protease 1a, 1b, 1c |
| Hb | Hemoglobin |
| HEPES | 4- (2-hydroxyethyl)-1-piperazineethanesulfonic acid |
| IgG | Immunoglobulin G |
| IACUC | Institutional Animal Care and Use Committee |
| LT | Lysis Time |
| L3, L4, L5 | Third, fourth, and fifth stage larvae |
| MES | 2- (N-morpholino) ethanesulfonic acid |
| mHcCPs | Mammalian recombinant HcCPs |
| Ni-NTA | Nickel-Nitrilotriacetic Acid |
| OD | Optical Density |
| PBS | Phosphate Buffered Saline |
| RCT | Recalcification Time |
| RCF | Relative centrifugal force |
| rHcCP | Recombinant H. contortus cysteine protease |
| SDS-PAGE | Sodium Dodecyl Sulfate Polyacrylamide Gel Electrophoresis |
| Tris | Tris (hydroxymethyl) aminomethane |
| UCRP | Universal Coagulation Reference Plasma |
References
- Adduci, I.; Sajovitz, F.; Hinney, B.; Lichtmannsperger, K.; Joachim, A.; Wittek, T.; Yan, S. Haemonchosis in Sheep and Goats, Control Strategies and Development of Vaccines against Haemonchus contortus. Animals 2022, 12, 2339. [Google Scholar] [CrossRef]
- Palkumbura, P.G.A.S.; Mahakapuge, T.A.N.; Wijesundera, R.R.M.K.K.; Wijewardana, V.; Kangethe, R.T.; Rajapakse, R.P.V.J. Mucosal Immunity of Major Gastrointestinal Nematode Infections in Small Ruminants Can Be Harnessed to Develop New Prevention Strategies. Int. J. Mol. Sci. 2024, 25, 1409. [Google Scholar] [CrossRef] [PubMed]
- Brewer, M.T.; Mertens, M.; Colina-Iturralde, A.; Chelladurai, J.J.; Martin, K.A.; Chinchilla-Vargas, K.; Kelly, S.M.; Narasimhan, B.; Griffith, R.W.; Jones, D.E. Implantation of a Vaccine Platform for Extended Antigen Release (VPEAR) Induces Long-Term Immunity against Haemonchus contortus in Sheep. Sci. Rep. 2025, 15, 12168. [Google Scholar] [CrossRef] [PubMed]
- Kapo, N.; Omeragić, J.; Goletić, Š.; Šabić, E.; Softić, A.; Smajlović, A.; Mujezinović, I.; Škapur, V.; Goletić, T. First Report of Benzimidazole Resistance in Field Population of Haemonchus contortus from Sheep, Goats and Cattle in Bosnia and Herzegovina. Pathogens 2024, 13, 77. [Google Scholar] [CrossRef]
- Flay, K.J.; Hill, F.I.; Muguiro, D.H. A Review: Haemonchus contortus Infection in Pasture-Based Sheep Production Systems, with a Focus on the Pathogenesis of Anaemia and Changes in Haematological Parameters. Animals 2022, 12, 1238. [Google Scholar] [CrossRef] [PubMed]
- Ehsan, M.; Hu, R.-S.; Liang, Q.-L.; Hou, J.-L.; Song, X.; Yan, R.; Zhu, X.-Q.; Li, X. Advances in the Development of Anti-Haemonchus contortus Vaccines: Challenges, Opportunities, and Perspectives. Vaccines 2020, 8, 555. [Google Scholar] [CrossRef]
- Zheng, Y.; Young, N.D.; Wang, T.; Chang, B.C.H.; Song, J.; Gasser, R.B. Systems Biology of Haemonchus contortus—Advancing Biotechnology for Parasitic Nematode Control. Biotechnol. Adv. 2025, 81, 108567. [Google Scholar] [CrossRef]
- Clark, C.H.; Kiesel, G.K.; Goby, C.H. Measurements of Blood Loss Caused by Haemonchus contortus Infection in Sheep. Am. J. Vet. Res. 1962, 23, 977–980. [Google Scholar]
- Rowe, J.B.; Nolan, J.V.; de Chaneet, G.; Teleni, E.; Holmes, P.H. The Effect of Haemonchosis and Blood Loss into the Abomasum on Digestion in Sheep. Br. J. Nutr. 1988, 59, 125–139. [Google Scholar] [CrossRef]
- Newton, S.E.; Munn, E.A. The Development of Vaccines against Gastrointestinal Nematode Parasites, Particularly Haemonchus contortus. Parasitol. Today 1999, 15, 116–122. [Google Scholar] [CrossRef]
- Ruiz, A.; Molina, J.; González, J.; Conde, M.; Martín, S.; Hernández, Y. Immunoprotection in Goats against Haemonchus contortus after Immunization with Cysteine Protease Enriched Protein Fractions. Vet. Res. 2004, 35, 565–572. [Google Scholar] [CrossRef] [PubMed]
- Bakshi, M.; Tuo, W.; Aroian, R.V.; Zarlenga, D. Immune Reactivity and Host Modulatory Roles of Two Novel Haemonchus contortus Cathepsin B-like Proteases. Parasites Vectors 2021, 14, 580. [Google Scholar] [CrossRef]
- Noon, J.B.; Schwarz, E.M.; Ostroff, G.R.; Aroian, R.V. A Highly Expressed Intestinal Cysteine Protease of Ancylostoma ceylanicum Protects Vaccinated Hamsters from Hookworm Infection. PLoS Negl. Trop. Dis. 2019, 13, e0007345. [Google Scholar] [CrossRef] [PubMed]
- Schmitz, J.; Gilberg, E.; Löser, R.; Bajorath, J.; Bartz, U.; Gütschow, M. Cathepsin B: Active Site Mapping with Peptidic Substrates and Inhibitors. Bioorganic Med. Chem. 2019, 27, 1–15. [Google Scholar] [CrossRef] [PubMed]
- Kongkerd, N.; Uparanukraw, P.; Morakote, N.; Sajid, M.; McKerrow, J.H. Identification and Characterization of a Cathepsin L-like Cysteine Protease from Gnathostoma spinigerum. Mol. Biochem. Parasitol. 2008, 160, 129–137. [Google Scholar] [CrossRef]
- Liu, H.; Zhang, Y.; Liu, F.; Ye, L.; Liu, X.; Wang, C.; Hu, M. Progress and Challenges for Developing Vaccines against Gastrointestinal Nematodes of Ruminants. Vet. Vaccine 2023, 2, 100041. [Google Scholar] [CrossRef]
- Blaxter, M.; Koutsovoulos, G. The Evolution of Parasitism in Nematoda. Parasitology 2015, 142, S26–S39. [Google Scholar] [CrossRef]
- Knox, D.P.; Redmond, D.L.; Jones, D.G. Characterization of Proteinases in Extracts of Adult Haemonchus contortus, the Ovine Abomasal Nematode. Parasitology 1993, 106, 395–404. [Google Scholar] [CrossRef]
- Rhoads, M.L.; Fetterer, R.H. Developmentally Regulated Secretion of Cathepsin L-like Cysteine Proteases by Haemonchus contortus. J. Parasitol. 1995, 81, 505. [Google Scholar] [CrossRef]
- Knox, D. Proteases in Blood-Feeding Nematodes and Their Potential as Vaccine Candidates. In Cysteine Proteases of Pathogenic Organisms; Robinson, M.W., Dalton, J.P., Eds.; Advances in Experimental Medicine and Biology; Springer: Boston, MA, USA, 2011; Volume 712, pp. 155–176. ISBN 978-1-4419-8413-5. [Google Scholar]
- Boisvenue, R.J.; Stiff, M.I.; Tonkinson, L.V.; Cox, G.N.; Hageman, R. Fibrinogen-Degrading Proteins from Haemonchus contortus Used to Vaccinate Sheep. Am. J. Vet. Res. 1992, 53, 1263–1265. [Google Scholar] [CrossRef]
- Knox, D.P.; Smith, S.K.; Smith, W.D. Immunization with an Affinity Purified Protein Extract from the Adult Parasite Protects Lambs against Infection with Haemonchus contortus. Parasite Immunol. 1999, 21, 201–210. [Google Scholar] [CrossRef] [PubMed]
- Loukas, A.; Bethony, J.M.; Williamson, A.L.; Goud, G.N.; Mendez, S.; Zhan, B.; Hawdon, J.M.; Elena Bottazzi, M.; Brindley, P.J.; Hotez, P.J. Vaccination of Dogs with a Recombinant Cysteine Protease from the Intestine of Canine Hookworms Diminishes the Fecundity and Growth of Worms. J. Infect. Dis. 2004, 189, 1952–1961. [Google Scholar] [CrossRef]
- Collins, P.R.; Stack, C.M.; O’Neill, S.M.; Doyle, S.; Ryan, T.; Brennan, G.P.; Mousley, A.; Stewart, M.; Maule, A.G.; Dalton, J.P.; et al. Cathepsin L1, the Major Protease Involved in Liver Fluke (Fasciola hepatica) Virulence. J. Biol. Chem. 2004, 279, 17038–17046. [Google Scholar] [CrossRef]
- De La Riva, L.; Willing, S.E.; Tate, E.W.; Fairweather, N.F. Roles of Cysteine Proteases Cwp84 and Cwp13 in Biogenesis of the Cell Wall of Clostridium difficile. J. Bacteriol. 2011, 193, 3276–3285. [Google Scholar] [CrossRef]
- Newport, G.R.; McKerrow, J.H.; Hedstrom, R.; Petitt, M.; McGarrigle, L.; Barr, P.J.; Agabian, N. Cloning of the Proteinase That Facilitates Infection by Schistosome Parasites. J. Biol. Chem. 1988, 263, 13179–13184. [Google Scholar] [CrossRef]
- Dresden, M.H.; Rege, A.A.; Murrell, K.D. Strongyloides ransomi: Proteolytic Enzymes from Larvae. Exp. Parasitol. 1985, 59, 257–263. [Google Scholar] [CrossRef]
- MacLENNAN, K.; McLEAN, K.; Knox, D.P. Serpin Expression in the Parasitic Stages of Trichostrongylus vitrinus, an Ovine Intestinal Nematode. Parasitology 2005, 130, 349–357. [Google Scholar] [CrossRef]
- Li, A.H.; Moon, S.-U.; Park, Y.-K.; Na, B.-K.; Hwang, M.-G.; Oh, C.-M.; Cho, S.-H.; Kong, Y.; Kim, T.-S.; Chung, P.-R. Identification and Characterization of a Cathepsin L-like Cysteine Protease from Taenia solium Metacestode. Vet. Parasitol. 2006, 141, 251–259. [Google Scholar] [CrossRef]
- Williamson, A.L.; Brindley, P.J.; Abbenante, G.; Prociv, P.; Berry, C.; Girdwood, K.; Pritchard, D.I.; Fairlie, D.P.; Hotez, P.J.; Dalton, J.P.; et al. Cleavage of Hemoglobin by Hookworm Cathepsin D Aspartic Proteases and Its Potential Contribution to Host Specificity. FASEB J. 2002, 16, 1458–1460. [Google Scholar] [CrossRef] [PubMed]
- Williamson, A.L.; Brindley, P.J.; Abbenante, G.; Datu, B.J.D.; Prociv, P.; Berry, C.; Girdwood, K.; Pritchard, D.I.; Fairlie, D.P.; Hotez, P.J.; et al. Hookworm Aspartic Protease, Na-APR-2, Cleaves Human Hemoglobin and Serum Proteins in a Host-Specific Fashion. J. Infect. Dis. 2003, 187, 484–494. [Google Scholar] [CrossRef] [PubMed]
- Brindley, P.J.; Kalinna, B.H.; Wong, J.Y.; Bogitsh, B.J.; King, L.T.; Smyth, D.J.; Verity, C.K.; Abbenante, G.; Brinkworth, R.I.; Fairlie, D.P.; et al. Proteolysis of Human Hemoglobin by Schistosome Cathepsin D. Mol. Biochem. Parasitol. 2001, 112, 103–112. [Google Scholar] [CrossRef]
- Koehler, J.W.; Morales, M.E.; Shelby, B.D.; Brindley, P.J. Aspartic Protease Activities of Schistosomes Cleave Mammalian Hemoglobins in a Host-Specific Manner. Mem. Inst. Oswaldo Cruz 2007, 102, 83–85. [Google Scholar] [CrossRef]
- Liu, R.D.; Meng, X.Y.; Li, C.L.; Long, S.R.; Cui, J.; Wang, Z.Q. Molecular Characterization and Determination of the Biochemical Properties of Cathepsin L of Trichinella spiralis. Vet. Res. 2022, 53, 48. [Google Scholar] [CrossRef] [PubMed]
- Kianifard, L.; Yakhchali, M.; Imani, M. The Effects of pH and Temperature on Cysteine Protease (Cathepsin B) Activity in Miracidia and Eggs of Fasciola hepatica. Iran. J. Parasitol. 2020, 15, 233–239. [Google Scholar] [CrossRef] [PubMed]
- Skelly, P.J.; Da’dara, A.A.; Li, X.-H.; Castro-Borges, W.; Wilson, R.A. Schistosome Feeding and Regurgitation. PLoS Pathog. 2014, 10, e1004246. [Google Scholar] [CrossRef]
- Turk, B.; Bieth, J.G.; Björk, I.; Dolenc, I.; Turk, D.; Cimerman, N.; Kos, J.; Colic, A.; Stoka, V.; Turk, V. Regulation of the Activity of Lysosomal Cysteine Proteinases by pH-Induced Inactivation and/or Endogenous Protein Inhibitors, Cystatins. Biol. Chem. Hoppe Seyler 1995, 376, 225–230. [Google Scholar] [CrossRef]
- Jílková, A.; Řezáčová, P.; Lepšík, M.; Horn, M.; Váchová, J.; Fanfrlík, J.; Brynda, J.; McKerrow, J.H.; Caffrey, C.R.; Mareš, M. Structural Basis for Inhibition of Cathepsin B Drug Target from the Human Blood Fluke, Schistosoma mansoni. J. Biol. Chem. 2011, 286, 35770–35781. [Google Scholar] [CrossRef] [PubMed]
- Wilkesman, J.; Kurz, L. Zymography Principles. In Zymography; Wilkesman, J., Kurz, L., Eds.; Methods in Molecular Biology; Springer: New York, NY, USA, 2017; Volume 1626, pp. 3–10. ISBN 978-1-4939-7109-1. [Google Scholar]
- Berasain, P.; Carmona, C.; Frangione, B.; Dalton, J.P.; Goñi, F. Fasciola hepatica: Parasite-Secreted Proteinases Degrade All Human IgG Subclasses: Determination of the Specific Cleavage Sites and Identification of the Immunoglobulin Fragments Produced. Exp. Parasitol. 2000, 94, 99–110, Erratum in Exp. Parasitol. 2002, 100, 208. https://doi.org/10.1016/S0014-4894(02)00025-5. [Google Scholar] [CrossRef]
- Shin, M.H.; Kita, H.; Park, H.Y.; Seoh, J.Y. Cysteine Protease Secreted by Paragonimus westermani Attenuates Effector Functions of Human Eosinophils Stimulated with Immunoglobulin G. Infect. Immun. 2001, 69, 1599–1604. [Google Scholar] [CrossRef]
- Marković, S.; Andrejević, N.S.; Milošević, J.; Polović, N.Đ. Structural Transitions of Papain-like Cysteine Proteases: Implications for Sensor Development. Biomimetics 2023, 8, 281. [Google Scholar] [CrossRef]
- Corvo, I.; Ferraro, F.; Merlino, A.; Zuberbühler, K.; O’Donoghue, A.J.; Pastro, L.; Pi-Denis, N.; Basika, T.; Roche, L.; McKerrow, J.H.; et al. Substrate Specificity of Cysteine Proteases Beyond the S2 Pocket: Mutagenesis and Molecular Dynamics Investigation of Fasciola hepatica Cathepsins L. Front. Mol. Biosci. 2018, 5, 40. [Google Scholar] [CrossRef] [PubMed]
- Sajid, M.; McKerrow, J.H. Cysteine Proteases of Parasitic Organisms. Mol. Biochem. Parasitol. 2002, 120, 1–21, Erratum in Mol. Biochem. Parasitol. 2002, 121, 159. https://doi.org/10.1016/S0166-6851(02)00043-9. [Google Scholar] [CrossRef]
- Sundararaj, S.; Singh, D.; Saxena, A.K.; Vashisht, K.; Sijwali, P.S.; Dixit, R.; Pandey, K.C. The Ionic and Hydrophobic Interactions Are Required for the Auto Activation of Cysteine Proteases of Plasmodium falciparum. PLoS ONE 2012, 7, e47227. [Google Scholar] [CrossRef]
- Matsuka, Y.V.; Pillai, S.; Gubba, S.; Musser, J.M.; Olmsted, S.B. Fibrinogen Cleavage by the Streptococcus pyogenes Extracellular Cysteine Protease and Generation of Antibodies That Inhibit Enzyme Proteolytic Activity. Infect. Immun. 1999, 67, 4326–4333. [Google Scholar] [CrossRef]
- Liu, M.; Zang, X.; Vlahakis, N.W.; Rodriguez, J.A.; Ohashi, M.; Tang, Y. Enzymatic Combinatorial Synthesis of E-64 and Related Cysteine Protease Inhibitors. Nat. Chem. Biol. 2025, 21, 1783–1793. [Google Scholar] [CrossRef]
- Barrett, A.J.; Kembhavi, A.A.; Brown, M.A.; Kirschke, H.; Knight, C.G.; Tamai, M.; Hanada, K. L-trans-Epoxysuccinyl-leucylamido(4-Guanidino)butane (E-64) and Its Analogues as Inhibitors of Cysteine Proteinases Including Cathepsins B, H and L. Biochem. J. 1982, 201, 189–198. [Google Scholar] [CrossRef]
- Xavier, M.A.; Tirloni, L.; Torquato, R.; Tanaka, A.; Pinto, A.F.M.; Diedrich, J.K.; Yates, J.R.; Da Silva Vaz, I.; Seixas, A.; Termignoni, C. Blood Anticlotting Activity of a Rhipicephalus microplus Cathepsin L-like Enzyme. Biochimie 2019, 163, 12–20. [Google Scholar] [CrossRef] [PubMed]
- Weisel, J.W.; Litvinov, R.I. Fibrin Formation, Structure and Properties. In Fibrous Proteins: Structures and Mechanisms; Parry, D.A.D., Squire, J.M., Eds.; Subcellular Biochemistry; Springer International Publishing: Cham, Switzerland, 2017; Volume 82, pp. 405–456. ISBN 978-3-319-49672-6. [Google Scholar]
- Yang, H.R.; Hwang, D.H.; Prakash, R.L.M.; Kim, J.-H.; Hong, I.-H.; Kim, S.; Kim, E.; Kang, C. Exploring the Fibrin(Ogen)Olytic, Anticoagulant, and Antithrombotic Activities of Natural Cysteine Protease (Ficin) with the κ-Carrageenan-Induced Rat Tail Thrombosis Model. Nutrients 2022, 14, 3552. [Google Scholar] [CrossRef] [PubMed]
- Allan, P.; Uitte De Willige, S.; Abou-Saleh, R.H.; Connell, S.D.; Ariëns, R.A.S. Evidence That Fibrinogen Γ′ Directly Interferes with Protofibril Growth: Implications for Fibrin Structure and Clot Stiffness. J. Thromb. Haemost. 2012, 10, 1072–1080. [Google Scholar] [CrossRef] [PubMed]
- Cooper, A.V.; Standeven, K.F.; Ariëns, R.A.S. Fibrinogen Gamma-Chain Splice Variant Γ′ Alters Fibrin Formation and Structure. Blood 2003, 102, 535–540. [Google Scholar] [CrossRef]
- Siebenlist, K.R.; Mosesson, M.W.; Hernandez, I.; Bush, L.A.; Di Cera, E.; Shainoff, J.R.; Di Orio, J.P.; Stojanovic, L. Studies on the Basis for the Properties of Fibrin Produced from Fibrinogen-Containing γ′ Chains. Blood 2005, 106, 2730–2736. [Google Scholar] [CrossRef]
- Mebius, M.M.; Op Heij, J.M.J.; Tielens, A.G.M.; De Groot, P.G.; Urbanus, R.T.; Van Hellemond, J.J. Fibrinogen and Fibrin Are Novel Substrates for Fasciola hepatica Cathepsin L Peptidases. Mol. Biochem. Parasitol. 2018, 221, 10–13. [Google Scholar] [CrossRef] [PubMed]
- Chan, V.J.; Selzer, P.M.; McKerrow, J.H.; Sakanari, J.A. Expression and Alteration of the S2 Subsite of the Leishmania major Cathepsin B-like Cysteine Protease. Biochem. J. 1999, 340 Pt 1, 113–117. [Google Scholar] [CrossRef]
- Turk, V.; Stoka, V.; Vasiljeva, O.; Renko, M.; Sun, T.; Turk, B.; Turk, D. Cysteine Cathepsins: From Structure, Function and Regulation to New Frontiers. Biochim. Biophys. Acta 2012, 1824, 68–88. [Google Scholar] [CrossRef] [PubMed]
- Schwarz, E.M.; Hu, Y.; Antoshechkin, I.; Miller, M.M.; Sternberg, P.W.; Aroian, R.V. The Genome and Transcriptome of the Zoonotic Hookworm Ancylostoma ceylanicum Identify Infection-Specific Gene Families. Nat. Genet. 2015, 47, 416–422, Erratum in Nat. Genet. 2015, 47, 689. https://doi.org/10.1038/ng0615-689a. [Google Scholar] [CrossRef]
- Doyle, S.R.; Tracey, A.; Laing, R.; Holroyd, N.; Bartley, D.; Bazant, W.; Beasley, H.; Beech, R.; Britton, C.; Brooks, K.; et al. Genomic and Transcriptomic Variation Defines the Chromosome-Scale Assembly of Haemonchus contortus, a Model Gastrointestinal Worm. Commun. Biol. 2020, 3, 656. [Google Scholar] [CrossRef]
- Howe, K.L.; Bolt, B.J.; Shafie, M.; Kersey, P.; Berriman, M. WormBase ParaSite—A Comprehensive Resource for Helminth Genomics. Mol. Biochem. Parasitol. 2017, 215, 2–10. [Google Scholar] [CrossRef] [PubMed]
- Emms, D.M.; Kelly, S. OrthoFinder: Phylogenetic Orthology Inference for Comparative Genomics. Genome Biol. 2019, 20, 238. [Google Scholar] [CrossRef]
- Käll, L.; Krogh, A.; Sonnhammer, E.L.L. A Combined Transmembrane Topology and Signal Peptide Prediction Method. J. Mol. Biol. 2004, 338, 1027–1036. [Google Scholar] [CrossRef]
- Nguyen, L.-T.; Schmidt, H.A.; von Haeseler, A.; Minh, B.Q. IQ-TREE: A Fast and Effective Stochastic Algorithm for Estimating Maximum-Likelihood Phylogenies. Mol. Biol. Evol. 2015, 32, 268–274. [Google Scholar] [CrossRef]
- Lemoine, F.; Domelevo Entfellner, J.-B.; Wilkinson, E.; Correia, D.; Dávila Felipe, M.; De Oliveira, T.; Gascuel, O. Renewing Felsenstein’s Phylogenetic Bootstrap in the Era of Big Data. Nature 2018, 556, 452–456. [Google Scholar] [CrossRef]
- Patro, R.; Duggal, G.; Love, M.I.; Irizarry, R.A.; Kingsford, C. Salmon Provides Fast and Bias-Aware Quantification of Transcript Expression. Nat. Methods 2017, 14, 417–419. [Google Scholar] [CrossRef]
- Laing, R.; Kikuchi, T.; Martinelli, A.; Tsai, I.J.; Beech, R.N.; Redman, E.; Holroyd, N.; Bartley, D.J.; Beasley, H.; Britton, C.; et al. The Genome and Transcriptome of Haemonchus contortus, a Key Model Parasite for Drug and Vaccine Discovery. Genome Biol. 2013, 14, R88. [Google Scholar] [CrossRef]
- Madeira, F.; Madhusoodanan, N.; Lee, J.; Eusebi, A.; Niewielska, A.; Tivey, A.R.N.; Lopez, R.; Butcher, S. The EMBL-EBI Job Dispatcher Sequence Analysis Tools Framework in 2024. Nucleic Acids Res. 2024, 52, W521–W525. [Google Scholar] [CrossRef] [PubMed]
- Chhetri, G.; Kalita, P.; Tripathi, T. An Efficient Protocol to Enhance Recombinant Protein Expression Using Ethanol in Escherichia coli. MethodsX 2015, 2, 385–391. [Google Scholar] [CrossRef] [PubMed]
- Park, S.; Park, J.K. Back to Basics: The Coagulation Pathway. Blood Res. 2024, 59, 35. [Google Scholar] [CrossRef]
- Choi, J.-H.; Kim, S. In Vitro Antithrombotic, Hematological Toxicity, and Inhibitor Studies of Protocatechuic, Isovanillic, and p-Hydroxybenzoic Acids from Maclura tricuspidata (Carr.) Bur. Molecules 2022, 27, 3496. [Google Scholar] [CrossRef]
- Rottenberger, Z.; Komorowicz, E.; Szabó, L.; Bóta, A.; Varga, Z.; Machovich, R.; Longstaff, C.; Kolev, K. Lytic and Mechanical Stability of Clots Composed of Fibrin and Blood Vessel Wall Components. J. Thromb. Haemost. 2013, 11, 529–538. [Google Scholar] [CrossRef] [PubMed]











Disclaimer/Publisher’s Note: The statements, opinions and data contained in all publications are solely those of the individual author(s) and contributor(s) and not of MDPI and/or the editor(s). MDPI and/or the editor(s) disclaim responsibility for any injury to people or property resulting from any ideas, methods, instructions or products referred to in the content. |
© 2025 by the authors. Licensee MDPI, Basel, Switzerland. This article is an open access article distributed under the terms and conditions of the Creative Commons Attribution (CC BY) license (https://creativecommons.org/licenses/by/4.0/).
Share and Cite
Karunakaran, A.C.; Bakshi, M.; Rajendrakumar, A.M.; Wilson-Welder, J.H.; Aroian, R.V.; Schwarz, E.M.; Homan, E.J.; Ostroff, G.R.; Beshah, E.; Miramontes, E.; et al. Catalytically Active Recombinant Cysteine Proteases of Haemonchus contortus: Their Ability to Degrade Host Blood Proteins and Modulate Coagulation. Int. J. Mol. Sci. 2025, 26, 12077. https://doi.org/10.3390/ijms262412077
Karunakaran AC, Bakshi M, Rajendrakumar AM, Wilson-Welder JH, Aroian RV, Schwarz EM, Homan EJ, Ostroff GR, Beshah E, Miramontes E, et al. Catalytically Active Recombinant Cysteine Proteases of Haemonchus contortus: Their Ability to Degrade Host Blood Proteins and Modulate Coagulation. International Journal of Molecular Sciences. 2025; 26(24):12077. https://doi.org/10.3390/ijms262412077
Chicago/Turabian StyleKarunakaran, Athira C., Mariam Bakshi, Arunraj M. Rajendrakumar, Jennifer H. Wilson-Welder, Raffi V. Aroian, Erich M. Schwarz, E. Jane Homan, Gary R. Ostroff, Ethiopia Beshah, Eliseo Miramontes, and et al. 2025. "Catalytically Active Recombinant Cysteine Proteases of Haemonchus contortus: Their Ability to Degrade Host Blood Proteins and Modulate Coagulation" International Journal of Molecular Sciences 26, no. 24: 12077. https://doi.org/10.3390/ijms262412077
APA StyleKarunakaran, A. C., Bakshi, M., Rajendrakumar, A. M., Wilson-Welder, J. H., Aroian, R. V., Schwarz, E. M., Homan, E. J., Ostroff, G. R., Beshah, E., Miramontes, E., Papadopoulos, M. D., Bowdridge, S. A., Zarlenga, D. S., Zhu, X., & Tuo, W. (2025). Catalytically Active Recombinant Cysteine Proteases of Haemonchus contortus: Their Ability to Degrade Host Blood Proteins and Modulate Coagulation. International Journal of Molecular Sciences, 26(24), 12077. https://doi.org/10.3390/ijms262412077

