Sign in to use this feature.

Years

Between: -

Subjects

remove_circle_outline
remove_circle_outline
remove_circle_outline
remove_circle_outline
remove_circle_outline
remove_circle_outline
remove_circle_outline
remove_circle_outline
remove_circle_outline

Journals

remove_circle_outline
remove_circle_outline
remove_circle_outline
remove_circle_outline
remove_circle_outline
remove_circle_outline
remove_circle_outline
remove_circle_outline
remove_circle_outline
remove_circle_outline
remove_circle_outline
remove_circle_outline
remove_circle_outline
remove_circle_outline
remove_circle_outline
remove_circle_outline
remove_circle_outline
remove_circle_outline
remove_circle_outline

Article Types

Countries / Regions

remove_circle_outline
remove_circle_outline
remove_circle_outline
remove_circle_outline
remove_circle_outline
remove_circle_outline
remove_circle_outline

Search Results (1,159)

Search Parameters:
Keywords = bacterial formulation

Order results
Result details
Results per page
Select all
Export citation of selected articles as:
14 pages, 2033 KB  
Article
Does Culture Age Affect the Viability of Plant Growth-Promoting Bacteria, Including in Interaction with Environmental Factors? A Case Study on Two Wild Strains from the Durum Wheat Rhizosphere
by Annalisa d’Amelio, Antonio Bevilacqua, Maria Rosaria Corbo, Barbara Speranza, Maria Arevalo-Villena and Angela Racioppo
Appl. Sci. 2026, 16(1), 152; https://doi.org/10.3390/app16010152 - 23 Dec 2025
Abstract
Plant growth-promoting bacteria (PGPB) could exert positive effects on plant growth and productivity; however, little is known about the effects of variables during the production of PGPB biomass and how they could affect the performances of these microorganisms. This study investigated the effects [...] Read more.
Plant growth-promoting bacteria (PGPB) could exert positive effects on plant growth and productivity; however, little is known about the effects of variables during the production of PGPB biomass and how they could affect the performances of these microorganisms. This study investigated the effects of pH, temperature, and culture age on the growth of promising PGPBstrains, Bacillus sp. 36M and Stenotrophomonas sp. 20P, isolated from the rhizosphere of durum wheat. A fractional factorial 2k design was applied to evaluate bacterial growth under varying conditions (pH 5.0–7.5; 15–35 °C; 24–72 h precultures). Multifactorial ANOVA revealed that all independent variables and their interactions significantly affected cell concentration (p < 0.05). Bacillus sp. 36M exhibited optimal growth when inoculated from 24 h cultures and incubated under moderate conditions (15 °C, pH 7.5), whereas Stenotrophomonas sp. 20P showed higher viability with 72 h cultures. These results demonstrate that the inoculum physiological state is a critical determinant of PGPB stress tolerance and should be specifically optimized for each strain. The greater technological robustness of Stenotrophomonas sp. 20P suggests its suitability for biofertilizer formulations requiring extended shelf-life or application under variable environmental conditions. In conclusion, this work provides a quantitative framework for tailoring PGPB production protocols to maximize field performance in sustainable agriculture. Full article
(This article belongs to the Special Issue Novel Sources of Plant Biostimulants for Sustainable Agriculture)
Show Figures

Figure 1

17 pages, 6458 KB  
Article
Effects of Different Feed Types on Intestinal Microbial Community Diversity and Intestinal Development of Newborn Siamese Crocodiles
by Xinxin Zhang, Jie Wu, Chong Wang, Fuyong You, Peng Liu, Yuan Zhang, Shaofan Li, Yongkang Zhou, Yingchao Wang, Xiaobing Wu and Haitao Nie
J. Zool. Bot. Gard. 2026, 7(1), 1; https://doi.org/10.3390/jzbg7010001 - 23 Dec 2025
Abstract
Conventional alligator farming, characterized by reliance on chilled fish meat, faces significant challenges, including risks of bacterial contamination and nutritional imbalances. These issues heighten increasing disease susceptibility and threaten industry sustainability, underscoring the critical need for developing nutrient-dense, low-pathogenicity compound feeds. This study [...] Read more.
Conventional alligator farming, characterized by reliance on chilled fish meat, faces significant challenges, including risks of bacterial contamination and nutritional imbalances. These issues heighten increasing disease susceptibility and threaten industry sustainability, underscoring the critical need for developing nutrient-dense, low-pathogenicity compound feeds. This study conducted a comparative analysis of newborn Siamese crocodiles fed either chilled fish meat or compound feed formulation. Intestinal microbial samples from both cohorts underwent 16S rRNA gene high-throughput sequencing to evaluate differences in microbial composition, diversity, and predicted functionality. The compound feed, specifically formulated for this investigation, possessed the following nutritional composition: crude protein 52.42%; digestible crude protein/digestible energy 16 mg/kcal; crude fat 12.31%; ash 17.42%; crude fiber 0.45%; starch 7.69%; digestible energy 3450 kcal/kg; lysine 3.66%; threonine 1.92%; methionine 1.27%; arginine 3.07%; total essential amino acids 22.97%; calcium 2.51%; total phosphorus 1.8%; available phosphorus 0.98%. Bioinformatics analysis revealed that the compound feed group exhibited numerically higher richness and alpha diversity indices within the intestinal microbiota compared to the chilled fish group. The microbial communities in both groups were dominated by the phyla Proteobacteria, Bacteroidetes, Fusobacteriota, and Firmicutes, collectively representing over 50% of the relative abundance. Functional prediction indicated that the compound feed group possessed the highest relative abundance in metabolic pathways associated with cofactor and vitamin metabolism, carbohydrate metabolism, amino acid metabolism, terpenoid and polyketide metabolism, lipid metabolism, and replication and repair. In contrast, the chilled fish group exhibited significant functional alterations in glycan biosynthesis and metabolism, translation, nucleotide metabolism, transcription, and biosynthesis of other secondary metabolites. Histomorphological analysis demonstrated greater villus height and crypt depth in the compound diet group compared to chilled fish group, although no significant differences were observed in crypt depth or the villus-to-crypt depth ratio. Collectively, these findings indicate that the compound feed enhances intestinal microbial diversity and optimizes its functional structure. Furthermore, while no statistically significant difference in small intestinal villus height was detected, the results suggest a potential positive influence on intestinal development. This investigation provides a scientific foundation for compound feed development, supporting sustainable breeding practices for Siamese crocodiles. Full article
Show Figures

Figure 1

27 pages, 7024 KB  
Article
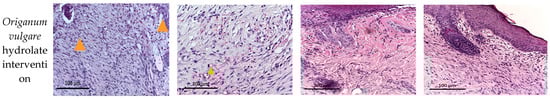
Dual Modulation of Infection and Skin Recovery by Lamiaceae Hydrolate Hydrogels in S. aureus-Infected Burns
by Grigory Demyashkin, Mikhail Parshenkov, Alibek Tokov, Tatiana Sataieva, Anatoly Kubyshkin, Vladimir Shchekin, Sergey Popov, Boris Kuzminov, Nadezhda Zabroda, Artem Volodkin, Kirill Blinov, Petr Shegay and Andrei Kaprin
Antibiotics 2026, 15(1), 20; https://doi.org/10.3390/antibiotics15010020 - 22 Dec 2025
Abstract
Background/Objectives: Burn wound infections caused by Staphylococcus aureus remain a major clinical challenge, leading to delayed healing and high mortality. Natural compounds derived from the Lamiaceae family possess antimicrobial and anti-inflammatory properties that may modulate wound recovery. This study aimed to evaluate the [...] Read more.
Background/Objectives: Burn wound infections caused by Staphylococcus aureus remain a major clinical challenge, leading to delayed healing and high mortality. Natural compounds derived from the Lamiaceae family possess antimicrobial and anti-inflammatory properties that may modulate wound recovery. This study aimed to evaluate the dual modulatory effects of Satureja montana and Origanum vulgare hydrolate-loaded hydrogels on modulation of infection and skin recovery in an experimental rabbit model of S. aureus-infected burns. Methods: Full-thickness (grade IIIa) thermal burns were induced in 25 male New Zealand White rabbits, followed by inoculation with S. aureus (108–109 CFU/mL). Animals were divided into five groups: sham control, burn-infection control, standard-of-care intervention, Satureja montana hydrolate intervention, and Origanum vulgare hydrolate intervention. Treatments were applied twice daily for 14 days. Bacterial load (CFU/g), biochemical markers, histological parameters, and multiplex immunohistochemical indices (Ki-67, CD68, CD163) were analyzed. Results: Both hydrolate-based formulations exhibited pronounced antibacterial effects, significantly reducing S. aureus counts by day 14 compared to untreated burns (p < 0.001). Immunohistochemical analysis revealed enhanced cell proliferation and a rapid shift from pro-inflammatory M1 (CD68+) to reparative M2 (CD163+) macrophages, indicating effective immune resolution. The hydrolate-loaded hydrogels effectively combined antimicrobial activity with tissue-regenerative and immunomodulatory effects. The S. montana formulation demonstrated superior performance, representing a promising adjunctive therapy for infected burn wounds. Conclusions: This study represents the first comparative in vivo evaluation of S. montana and O. vulgare hydrolate-loaded hydrogels in a complex S. aureus-infected burn model. Full article
Show Figures

Figure 1

23 pages, 5287 KB  
Article
Development and Characterization of Biodegradable Polymer Filaments for Additive Manufacturing
by Tomáš Balint, Jozef Živčák, Radovan Hudák, Marek Schnitzer, Miroslav Kohan, Maria Danko, Richard Staško, Peter Szedlák, Marek Jałbrzykowski, Katarzyna Leszczyńska, Pavol Alexy, Ivana Bírová, Zuzana Vanovčanová and Martina Culenová
Polymers 2025, 17(24), 3328; https://doi.org/10.3390/polym17243328 - 17 Dec 2025
Viewed by 219
Abstract
In this study, the authors focus on optimizing the processing parameters for the fabrication of biodegradable polymer filaments intended for subsequent 3D printing of biomedical structures and implants. Following extrusion and additive manufacturing, the produced materials underwent a comprehensive evaluation that included mechanical, [...] Read more.
In this study, the authors focus on optimizing the processing parameters for the fabrication of biodegradable polymer filaments intended for subsequent 3D printing of biomedical structures and implants. Following extrusion and additive manufacturing, the produced materials underwent a comprehensive evaluation that included mechanical, microbiological, biofilm formation, and electron microscopy analyses. The complexity of these tests aimed to determine the potential of the developed materials for biomedical applications, particularly in the field of scaffold fabrication. At the initial stage, three types of filaments (technical designations 111, 145, and 146) were produced using Fused Filament Fabrication (FFF) technology. These filaments were based on a PLA/PHB matrix with varying types and concentrations of plasticizers. Standardized destructive tensile and compressive mechanical tests were conducted using an MTS Insight 1 kN testing system equipped with an Instron 2620-601 extensometer. Among the tested samples, the filament labeled 111, composed of PLA/PHB thermoplastic starch and a plasticizer, exhibited the most favorable mechanical performance, with a Young’s modulus of elasticity of 4.63 MPa for 100% infill. The filament labeled 146 had a Young’s modulus of elasticity of 4.53 MPa for 100% infill and the material labeled 145 had a Young’s modulus of elasticity of 1.45 MPa for 100% infill. Microbiological assessments were performed to evaluate the capacity of bacteria and fungi to colonize the material surfaces. During bacterial activity assessment, we observed biofilm formation on the examined sample surfaces of each material from the smooth and rough sides. The colony-forming units (CFUs) increased directly with the exposure time. For all samples from each material, the Log10 (CFU) value reached above 9.41 during 72 h of incubation for the activity of each type of bacteria (Staphylococcus aureus, Pseudomonas aeruginosa, Candida albicans). Scanning electron microscopy provided insight into the surface quality of the material and revealed its local quality and purity. Surface defects were eliminated by this method. Overall, the results indicate that the designed biodegradable filaments, especially formulation 111, have promising properties for the development of scaffolds intended for hard tissue replacement and could also be suitable for regenerative applications in the future after achieving the desired biological properties. Full article
Show Figures

Figure 1

18 pages, 2502 KB  
Article
Efficacy of Dual-Antibiotic-Loaded Bone Cement Against Multi-Drug-Resistant Staphylococcus aureus and Enterococcus faecalis in a Galleria mellonella Model of Periprosthetic Joint Infection
by You Zhao, Gopala Krishna Mannala, Raphaëlle Youf, Martina Humez, Ruth Schewior, Klaus-Dieter Kühn, Volker Alt and Martijn Riool
Antibiotics 2025, 14(12), 1280; https://doi.org/10.3390/antibiotics14121280 - 17 Dec 2025
Viewed by 181
Abstract
Background: Antibiotic-loaded bone cement (ALBC) is widely used for local antibiotic delivery in joint arthroplasty to prevent and treat prosthetic joint infections (PJIs). In this study, we evaluated the efficacy of cemented Kirschner (K)-wires coated with various ALBC formulations using a Galleria mellonella [...] Read more.
Background: Antibiotic-loaded bone cement (ALBC) is widely used for local antibiotic delivery in joint arthroplasty to prevent and treat prosthetic joint infections (PJIs). In this study, we evaluated the efficacy of cemented Kirschner (K)-wires coated with various ALBC formulations using a Galleria mellonella infection model against multidrug-resistant (MDR) Staphylococcus aureus and Enterococcus faecalis. Methods: We tested commercially available bone cements, including gentamicin-only formulations (PALACOS R+G) and dual-antibiotic formulations, combining gentamicin with either clindamycin (COPAL G+C) or vancomycin (COPAL G+V), alongside an antibiotic-free control (PALACOS R). In vitro assays—including minimum inhibitory/bactericidal concentration (MIC/MBC) determination, antibiotic release kinetics, agar diffusion, and antibiofilm evaluations—demonstrated effective antibiotic release and significant antimicrobial activity against both planktonic and biofilm-associated bacteria. Results: In vivo, ALBC-coated K-wires were well tolerated in G. mellonella and significantly protected the larvae from S. aureus infection compared to controls. Notably, dual-antibiotic formulations provided superior protection, correlating with substantial reductions in bacterial colonisation on implant surfaces and in surrounding tissues. Conclusions: These findings support the utility of the G. mellonella model as a high-throughput, cost-effective platform for the preclinical evaluation of antimicrobial strategies to prevent and treat PJIs and further demonstrate the effectiveness of dual-loaded ALBC against multidrug-resistant bacteria. Full article
Show Figures

Figure 1

20 pages, 827 KB  
Article
Exploring the Antibacterial, Anti-Inflammatory, and Antioxidant Properties of the Natural Food Supplement “Protegol” as a Supportive Strategy in Respiratory Tract Infections
by Alexia Barbarossa, Maria Pia Argentieri, Maria Valeria Diella, Eleonora Spinozzi, Filippo Maggi, Antonio Carrieri, Filomena Corbo, Antonio Rosato and Alessia Carocci
Antibiotics 2025, 14(12), 1260; https://doi.org/10.3390/antibiotics14121260 - 13 Dec 2025
Viewed by 440
Abstract
Background/Objectives: Respiratory tract infections (RTIs) remain a leading cause of morbidity worldwide and are frequently associated with the emergence of multidrug-resistant pathogens. In this context, natural compounds represent a valuable source of novel antimicrobial and immunomodulatory agents. The present study aimed to [...] Read more.
Background/Objectives: Respiratory tract infections (RTIs) remain a leading cause of morbidity worldwide and are frequently associated with the emergence of multidrug-resistant pathogens. In this context, natural compounds represent a valuable source of novel antimicrobial and immunomodulatory agents. The present study aimed to evaluate the antibacterial, anti-inflammatory, and antioxidant activities of Protegol, a natural food supplement enriched in bioactive phytochemicals including hydroalcoholic extracts of propolis and hedge mustard (Sisymbrium officinale (L.) Scop.) aerial parts, together with honey, against clinically relevant bacterial strains and in cellular models of inflammation and oxidative stress. Furthermore, the ability of the multi-herbal formulation to alter the permeability of the bacterial cell wall was assessed. Methods: The antibacterial properties of Protegol were evaluated by determining its minimum inhibitory (MIC) and minimum bactericidal concentrations (MBC) against a panel of Gram-positive and Gram-negative bacteria, using the broth microdilution method. Cell wall permeability was investigated through the propidium iodide (PI) uptake assay. The anti-inflammatory potential was investigated in LPS-stimulated RAW 264.7 macrophages by measuring nitric oxide (NO) production with the Griess assay. The antioxidant activity was evaluated in BALB/3T3 fibroblasts exposed to hydrogen peroxide, using the DCFH-DA assay. Results: Protegol exhibited a broad-spectrum antibacterial effect, with MIC values ranging from 1.5 to 6.2 mg/mL and MBC values between 3.1 and 12.4 mg/mL. The strongest activity was observed against Staphylococcus aureus and Streptococcus pyogenes, including clinical isolates, while moderate efficacy was detected against resistant Klebsiella pneumoniae strains. PI uptake assays confirmed a dose-dependent disruption of bacterial membrane integrity, supporting a direct effect of Protegol on cell wall permeability. In macrophages, Protegol significantly and dose-dependently reduced NO release, lowering production to 44% at the highest concentration tested. In BALB/3T3 cells, Protegol markedly decreased ROS accumulation to 24% at the same concentration. Conclusions: Overall, the findings support the potential of Protegol as a natural adjuvant to the conventional therapies for respiratory tract health by counteracting bacterial pathogens, reducing inflammation, and mitigating oxidative stress, thereby supporting host defense mechanisms in the context of respiratory tract infections. Full article
Show Figures

Figure 1

23 pages, 6939 KB  
Article
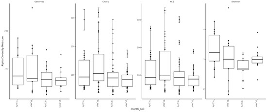
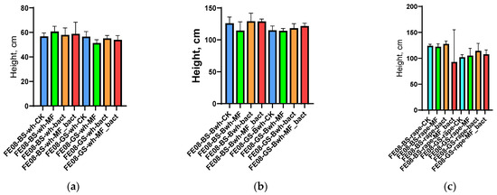
Microbial Consortium Application Under Temperature Stress: Effects on the Rhizosphere Microbiome and Plant Growth
by Ekaterina Alexeevna Sokolova, Natalya Valentinovna Smirnova, Valeria Aleksandrovna Fedorets, Inna Viktorovna Khlistun, Olga Viktorovna Mishukova, Irina Nikolaevna Tromenschleger, Oleg Aleksandrovich Savenkov, Oleg Igorevich Saprikin, Evgeny Ivanovich Rogaev, Maria Dmitrievna Buyanova, Irina Mikhailovna Filippova, Taisiya Maksimovna Mayorova, Marina Andreevna Glukhova, Mitina Maria Ivanovna, Andrey Dmitrievich Manakhov and Elena Nikolaevna Voronina
Int. J. Mol. Sci. 2025, 26(24), 11814; https://doi.org/10.3390/ijms262411814 - 7 Dec 2025
Viewed by 219
Abstract
The aim of the present study was to investigate the effect of a synthetic microbial consortium (SMC) containing five functionally different bacterial strains (Rahnella aquatilis, Rothia endophytica, Stenotrophomonas indicatrix, Burkholderia contaminans, Lelliotia amnigena) on the growth and [...] Read more.
The aim of the present study was to investigate the effect of a synthetic microbial consortium (SMC) containing five functionally different bacterial strains (Rahnella aquatilis, Rothia endophytica, Stenotrophomonas indicatrix, Burkholderia contaminans, Lelliotia amnigena) on the growth and development of three agricultural crops (wheat, buckwheat, and rapeseed) on two soil types (chernozem and gray forest soil) under field conditions. The experiment was conducted from June to September 2024 under extreme field conditions, with temperatures reaching 43.8 °C. This study evaluates SMC efficacy under severe abiotic stress, reflecting increasingly common climate extremes. Metagenomic data analysis showed that the introduced strains did not establish stable populations in the soil, possibly due to heat-induced bacterial mortality, though other factors including competition with indigenous microflora and lack of protective formulations may have also contributed. No statistically significant effects on plant morphometric parameters were observed. The extreme temperature and water stress conditions appear to have been the dominant limiting factors, overriding any potential benefits from microbial inoculation, as evidenced by the lack of response to mineral fertilizer application as well. Crop-specific effects were revealed: when cultivating rapeseed on chernozem, a significant increase in available phosphorus content was noted (from 278 ± 45 to 638 ± 92 mg/kg with SMC application, p < 0.001). Full article
(This article belongs to the Section Molecular Plant Sciences)
Show Figures

Figure 1

20 pages, 492 KB  
Article
Control of Bacterial Canker in Kiwifruit Using Botanical Products from Adesmia balsamica Bertero ex Colla in Kiwifruit cv. Hayward Orchards
by María Isabel Chávez, Martín Balladares, Jessica Ahumada, Jael Coloma, Paula Molina, Alejandro Madrid, Rolando Chamy and Katy Díaz
Plants 2025, 14(24), 3726; https://doi.org/10.3390/plants14243726 - 6 Dec 2025
Viewed by 320
Abstract
Global kiwifruit production has been severely affected by Pseudomonas syringae pv. actinidiae (Psa), which causes kiwifruit bacterial canker. The main strategies for controlling this pathogen involve the use of copper-based compounds and antibiotics, which are insufficient and promote the development of [...] Read more.
Global kiwifruit production has been severely affected by Pseudomonas syringae pv. actinidiae (Psa), which causes kiwifruit bacterial canker. The main strategies for controlling this pathogen involve the use of copper-based compounds and antibiotics, which are insufficient and promote the development of bacterial resistance. Therefore, this study evaluates the efficacy of different botanical products obtained from wild-grown and in vitro-grown plants, with 25–75% hydroalcoholic extracts (ethanol–water; 0.7 L/ha) effectively reducing the symptoms of the disease in kiwifruit, both in vitro and in vivo during a growing season. Additionally, field trials confirmed that the formulations promote better fruit yield and quality, demonstrating through acute oral toxicity testing in rats that the botanical product administered has no toxicity, making these botanical products a promising and sustainable alternative strategy for combating plant pathogen-induced diseases in an environmentally friendly manner. Full article
Show Figures

Figure 1

21 pages, 2086 KB  
Article
Composition of Organic Fertilizers Containing Microorganisms and Their Effect on Soil Microbiological Activity and Plant Growth
by Māris Seņkovs, Laila Dubova, Ina Alsiņa, Ingrīda Krīgere, Dagnija Lazdiņa, Viktorija Vendiņa, Sandra Marcinkeviča and Vizma Nikolajeva
Appl. Biosci. 2025, 4(4), 57; https://doi.org/10.3390/applbiosci4040057 - 5 Dec 2025
Viewed by 200
Abstract
The conversion of livestock manure and peat into value-added fertilizers provides an environmentally sustainable approach to nutrient recycling and waste management. In this study, organic fertilizers were formulated from poultry, pig, and cattle manure mixed with peat and wood ash, with or without [...] Read more.
The conversion of livestock manure and peat into value-added fertilizers provides an environmentally sustainable approach to nutrient recycling and waste management. In this study, organic fertilizers were formulated from poultry, pig, and cattle manure mixed with peat and wood ash, with or without inoculation of the phosphate-solubilizing bacterium Priestia megaterium. Their efficiency was evaluated through plant growth and soil microbiological experiments involving conifer seedlings, herbaceous crops, and ornamental plants. Germination and growth trials with Norway spruce (Picea abies) and Scots pine (Pinus sylvestris) revealed clear species-specific responses: spruce seedlings performed best in substrates containing poultry or cattle manure, while pine showed enhanced growth with pig manure combined with bacterial inoculant. In pansies (Viola × wittrockiana), growth responses varied by cultivar; cattle manure enriched with bacteria increased leaf projection area, whereas poultry manure markedly suppressed growth. For cucumbers, basil, barley, radish, and garden beans, yields were lower than with mineral fertilizers, yet bacterial inoculation significantly influenced soil microbial activity by modifying respiration rates and hydrolytic enzyme intensity in plant- and manure-specific ways. The results demonstrate that microbial supplementation can alter soil biological processes and nutrient turnover, though its effects on plant productivity remain inconsistent. Further research is required to assess long-term performance under field conditions, as practical application will depend on achieving stable and reproducible results. Full article
Show Figures

Figure 1

22 pages, 4615 KB  
Article
Selection of Candidate Bacteria for Microbial Enrichment of Soil Amendments to Manage Contaminants of Emerging Concern in Agricultural Soils
by Rossana Sidari, Maria Teresa Rodinò, Giulio Scarpino, Stefano Mocali, Sara Del Duca, Elisabetta Loffredo and Antonio Gelsomino
Agriculture 2025, 15(23), 2507; https://doi.org/10.3390/agriculture15232507 - 2 Dec 2025
Viewed by 305
Abstract
Recycled bio-wastes such as compost and vermicompost, and bioenergy byproducts such as digestate and biochar are widely acknowledged for their role as soil conditioners capable of preserving soil fertility, maintaining soil health, and acting as a bio-adsorbent of organic soil pollutants (BIOSORs). Moreover, [...] Read more.
Recycled bio-wastes such as compost and vermicompost, and bioenergy byproducts such as digestate and biochar are widely acknowledged for their role as soil conditioners capable of preserving soil fertility, maintaining soil health, and acting as a bio-adsorbent of organic soil pollutants (BIOSORs). Moreover, they are attracting increasing attention for use as effective carriers of microbial consortia into arable soils. This study aims to combine selection of bacteria tolerating contaminants of emerging concern (CECs) and their use to fortify BIOSORs. Seventeen bacterial strains isolated from commercial bio-stimulant formulations were studied together with three strains previously isolated and identified as Bacillus subtilis, Bacillus licheniformis, and Serratia plymuthica. All the strains were tested in vitro for their ability to grow under increasing concentrations (0, 0.2, 0.5 and 1 mg L−1) of CECs: bisphenol A, 4-nonylphenol, penconazole, and S-metolachlor. Results highlighted a variability in the tolerance of the bacteria to the tested CECs. The B. subtilis, B. licheniformis, and S. plymuthica were the most promising strains, individually or as consortium, to tolerate individual CECs and their mix. Moreover, they exhibited metabolic activity when inoculated in the BIOSORs. Nevertheless, additional investigations such as quantitative assessment of CECs are needed to validate the methodology. This work contributes to investigate the feasibility of stable and functionally active microbially enriched bio-sorbents (Me-BIOSORs) and provides preliminary evidence supporting the potential to be used in soil–plant systems at the field scale. Full article
Show Figures

Graphical abstract

14 pages, 3688 KB  
Article
Chelerythrine-Mediated Growth Inhibition and Resistance Mechanism in Bacillus tropicus
by Jueyu Wang, Hongxia Wan, Wenqi Chai, Daizong Cui and Min Zhao
Microorganisms 2025, 13(12), 2731; https://doi.org/10.3390/microorganisms13122731 - 29 Nov 2025
Viewed by 224
Abstract
Chelerythrine (CHE) is a naturally occurring benzophenanthridine alkaloid obtained from plants such as Chelidonium majus L. It has received notable attention in pharmacology and microbial control because of its broad-spectrum activity and marked anti-inflammatory, apoptosis-inducing, and antibacterial effects. In this study, Bacillus tropicus [...] Read more.
Chelerythrine (CHE) is a naturally occurring benzophenanthridine alkaloid obtained from plants such as Chelidonium majus L. It has received notable attention in pharmacology and microbial control because of its broad-spectrum activity and marked anti-inflammatory, apoptosis-inducing, and antibacterial effects. In this study, Bacillus tropicus, which frequently presents in the soil environment, was selected as the target microorganism to systematically examine the dose-dependent inhibitory influence of CHE on its growth curve, biofilm development, and survival rate. Furthermore, by simulating an antibiotic pressure environment in vitro, the original strain was subjected to continuous subculturing (30 times), and a highly drug-resistant B. tropicus strain capable of stable growth under high concentrations of CHE (300 mg/L) was successfully acclimated. After that, transcriptomics analysis was employed to compare the genetic differences between the wild-type bacterium and drug-resistant bacterium to determine how bacterial cells are able to resist CHE. A total of 868 genes in the CHE-resistant bacterium were revealed to be more active, while 539 genes were less active. These results indicate that the CHE resistance characteristics of the strain may be related to the adjustment of its sugar metabolism pathway and the biofilm formation pathway. As a widely used biological control bacterial strain, the successful acclimation of the B. tropicus strain with resistance to CHE has made it possible to use the combined formulation of these two agents for the prevention and control of plant diseases. Full article
(This article belongs to the Section Environmental Microbiology)
Show Figures

Figure 1

32 pages, 2342 KB  
Review
Hypochlorous Acid: Clinical Insights and Experience in Dermatology, Surgery, Dentistry, Ophthalmology, Rhinology, and Other Specialties
by Vanda Haralović, Mislav Mokos, Sanja Špoljar, Lorena Dolački, Mirna Šitum and Liborija Lugović-Mihić
Biomedicines 2025, 13(12), 2921; https://doi.org/10.3390/biomedicines13122921 - 28 Nov 2025
Viewed by 1610
Abstract
Background: Hypochlorous acid (HOCl) is an integral component of the human innate immune system. It possesses antimicrobial properties and is available in solution, dermal spray, and scar gel forms. Objectives/Methods: This review presents data from studies on the clinical use of HOCl in [...] Read more.
Background: Hypochlorous acid (HOCl) is an integral component of the human innate immune system. It possesses antimicrobial properties and is available in solution, dermal spray, and scar gel forms. Objectives/Methods: This review presents data from studies on the clinical use of HOCl in various specialties, including dermatology, surgery, dentistry, ophthalmology, and rhinology. Results: Due to its anti-inflammatory/antimicrobial/immunomodulatory and healing properties, HOCl is advantageous in treating various skin disorders: ulcus cruris (and wound care), diabetic ulcers, atopic dermatitis, seborrheic dermatitis, pruritus, acne vulgaris, etc. Also, the application of a HOCl spray/gel after surgical procedures may prevent infection, reduce inflammation, and accelerate healing. HOCl is also effective and safe for the prevention and treatment of hypertrophic and keloid scars. Growing evidence shows a broader role for HOCl in limiting cancer cell survival and slowing tumor growth. It is also important in treating various viral infections like SARS-CoV-2 (coronavirus), influenza, and herpes, thereby helping to prevent the spread of aerosols. In addition, since HOCl is an endogenous compound naturally present in mammals with a high safety profile, it may be an effective bacterial disinfectant in dental waterlines. In ophthalmology, adjuvant treatment with HOCl ophthalmic spray can reduce the duration of antibiotic/corticosteroid use, even in severe blepharitis. To fully harness the protective/therapeutic properties of HOCl, future advancements will rely on the development of new chemical compounds and sophisticated pharmaceutical formulations. Conclusions: The majority of clinical studies have confirmed that HOC1 is useful in therapy, although the results are not entirely consistent. Further research is essential to optimize HOCl dosing and to develop controlled-release systems aimed at maximizing its anti-inflammatory and photoprotective effects while minimizing tissue irritation and damage. Full article
(This article belongs to the Section Drug Discovery, Development and Delivery)
Show Figures

Figure 1

16 pages, 783 KB  
Article
From Isolation to Application: Designing a Multi-Target Phage Cocktail for Bivalve Safety
by Pedro Costa, Carla Pereira, Jesús L. Romalde and Adelaide Almeida
Microorganisms 2025, 13(12), 2708; https://doi.org/10.3390/microorganisms13122708 - 27 Nov 2025
Viewed by 328
Abstract
Narrow host specificity and bacterial resistance often limit single-phage treatments. Phage cocktails address these challenges by expanding the host range, reducing resistance, and enhancing bacterial inactivation. This study aimed to develop an optimised phage cocktail targeting Escherichia coli, Salmonella enterica serovar Typhimurium, [...] Read more.
Narrow host specificity and bacterial resistance often limit single-phage treatments. Phage cocktails address these challenges by expanding the host range, reducing resistance, and enhancing bacterial inactivation. This study aimed to develop an optimised phage cocktail targeting Escherichia coli, Salmonella enterica serovar Typhimurium, Salmonella enterica serovar Enteritidis, and Aeromonas hydrophila, key pathogens in bivalve consumption. Twelve phages were isolated, purified, and screened for bacterial inactivation using resazurin-based viability assays. Host range analysis showed that all phages infected at least one additional bacterial species, with four (phEc4, phSE1, phAh2, phAh4) targeting three of the four bacteria. Cocktail formulation aimed to maximise bacterial reduction while balancing host range expansion with factors such as the risks of resistance development and inter-phage competition. Among the tested combinations, the most effective cocktail consisted of E. coli phage phEc3, S. Typhimurium phage phST1, S. Enteritidis phage phSE1, and A. hydrophila phage phAh2. Future studies should evaluate the cocktail’s efficacy in vitro and assess both safety and performance in vivo in bivalve depuration systems. Full article
(This article belongs to the Collection Feature Papers in Antimicrobial Agents and Resistance)
Show Figures

Figure 1

19 pages, 2179 KB  
Article
Assay of Two Antibacterial/Anticoccidial Drugs in Combination with Vitamin K3 for Oral Solutions: Stability Studies and Method Development Using HPLC-DAD: Appraisal of the Method’s Eco-Friendliness and Functionality
by Lateefa A. Al-Khateeb, Mohamed Ahmed Elsayed, Rehab Moussa Tony and Mohammed Gamal
Chemosensors 2025, 13(12), 406; https://doi.org/10.3390/chemosensors13120406 - 24 Nov 2025
Viewed by 504
Abstract
A novel, green, stability-illustrating HPLC-DAD method was validated for the simultaneous analysis of menadione (MND), dimetridazole (DMT), and sulfadimethoxine sodium (SLF) in a veterinary powder for the first time. These compounds are commonly combined in veterinary premixes and powders to enhance animal growth, [...] Read more.
A novel, green, stability-illustrating HPLC-DAD method was validated for the simultaneous analysis of menadione (MND), dimetridazole (DMT), and sulfadimethoxine sodium (SLF) in a veterinary powder for the first time. These compounds are commonly combined in veterinary premixes and powders to enhance animal growth, prevent bacterial infections, and improve feed efficiency. Separation was achieved isocratically on a C18 column using a mobile phase of 0.05M KH2PO4: acetonitrile (80:20, v/v) at a flow rate of 2.0 mL/min, with detection at 260 nm. The represented HPLC-DAD method was rapid, yielding retention times under 5.2 min, and exhibited excellent linearity over the tested ranges (10.0–30.0, 20.0–60.0, and 20.0–60.0 µg/mL for MND, DMT, and SLF, respectively). Forced degradation studies, conducted according to the International Council for Harmonisation (ICH) guidelines, confirmed the method’s specificity in distinguishing the active pharmaceutical ingredients from their degradation products. The highest degradation was observed for MND (photolytic, 26.52%), DMT (alkaline, 21.12%), and SLF (oxidative, 27.16%). The method’s environmental sustainability was evaluated using the Analytical GREEnness (AGREE) metric (score: 0.75) and the Green Analytical Procedure Index (GAPI), while its practicality was supported by a high Blue Applicability Grade Index (BAGI) score of 80.0. This stability-indicating method represents the first robust, green, and reliable analytical approach for this triple veterinary formulation. Full article
(This article belongs to the Section Analytical Methods, Instrumentation and Miniaturization)
Show Figures

Figure 1

20 pages, 1594 KB  
Article
Development and Evaluation of a BCG/BCP-Based Cellulose Acetate Freshness Indicator for Beef Loin During Cold Storage
by Kyung-Jik Lim, Jun-Seo Kim, Yu-Jin Heo and Han-Seung Shin
Foods 2025, 14(23), 4017; https://doi.org/10.3390/foods14234017 - 23 Nov 2025
Viewed by 418
Abstract
Monitoring the freshness of perishable foods remains a challenge due to the lack of simple and reliable indicators that can visually reflect chemical and microbial changes. In this study, a colorimetric freshness indicator was developed using bromocresol green (BCG) and bromocresol purple (BCP), [...] Read more.
Monitoring the freshness of perishable foods remains a challenge due to the lack of simple and reliable indicators that can visually reflect chemical and microbial changes. In this study, a colorimetric freshness indicator was developed using bromocresol green (BCG) and bromocresol purple (BCP), two pH-sensitive dyes with complementary transition ranges, to provide a visible and quantitative response corresponding to beef quality during cold storage. Cellulose acetate (CA) films were prepared by incorporating the dyes with different plasticizers—glycerol and polyethylene glycol (PEG 200 and PEG 400)—at varying ratios, resulting in 24 formulations. Based on color stability and sensitivity to trimethylamine (TMA) vapor, two optimized indicators were selected for further packaging tests with beef samples stored at 4 °C. Beef freshness was evaluated by total bacterial count (TBC), total volatile basic nitrogen (TVB-N), and pH, while volatile amines in the headspace were quantified using solid-phase microextraction–gas chromatography–flame ionization detection (SPME–GC–FID). The color difference (ΔE) of the indicators showed strong correlations with TBC and TVB-N, and a threshold of ΔE ≈ 12 provided a practical visual cue corresponding to the microbiological safety limit. The two indicators exhibited complementary functions, with G100-1 acting as an early-warning sensor and G100-2 maintaining contrast at later stages. These findings demonstrate the potential of this dual-indicator system as a simple, non-destructive tool for intelligent packaging applications. Full article
(This article belongs to the Section Food Packaging and Preservation)
Show Figures

Figure 1

Back to TopTop