Sign in to use this feature.

Years

Between: -

Subjects

remove_circle_outline
remove_circle_outline
remove_circle_outline
remove_circle_outline
remove_circle_outline
remove_circle_outline
remove_circle_outline
remove_circle_outline
remove_circle_outline

Journals

remove_circle_outline
remove_circle_outline
remove_circle_outline

Article Types

Countries / Regions

remove_circle_outline
remove_circle_outline
remove_circle_outline
remove_circle_outline
remove_circle_outline

Search Results (554)

Search Parameters:
Keywords = arc protection

Order results
Result details
Results per page
Select all
Export citation of selected articles as:
21 pages, 2591 KB  
Article
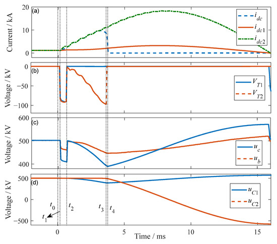
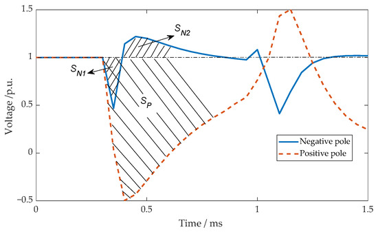
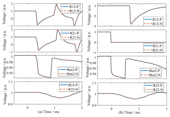
Fast Fault Identification Scheme for MMC-HVDC Grids Based on a Novel Current-Limiting DC Circuit Breaker
by Qiuyu Cao, Zhiyan Li, Xinsong Zhang, Chenghong Gu and Xiuyong Yu
Energies 2026, 19(1), 272; https://doi.org/10.3390/en19010272 - 5 Jan 2026
Viewed by 207
Abstract
The development of high-performance DC circuit breakers (DCCBs) and rapid fault detection schemes is a crucial and challenging part of advancing Modular Multilevel Converter (MMC) HVDC grids. This paper introduces a new current-limiting DCCB that uses the differential discharge times of shunt capacitors [...] Read more.
The development of high-performance DC circuit breakers (DCCBs) and rapid fault detection schemes is a crucial and challenging part of advancing Modular Multilevel Converter (MMC) HVDC grids. This paper introduces a new current-limiting DCCB that uses the differential discharge times of shunt capacitors to generate artificial current zero-crossings, thus facilitating arc quenching. This mechanism significantly reduces the effect of fault currents on the MMC. The shunt capacitors and arresters in the proposed breaker also offer voltage support during faults, effectively stopping transient traveling waves from spreading to nearby non-fault lines. This feature creates an effective line protection boundary in multi-terminal HVDC systems. Additionally, a fast fault detection scheme with primary and backup protection is proposed. A four-terminal MMC-HVDC (±500 kV) simulation model is built in PSCAD/EMTDC to validate the scheme. The results demonstrate the excellent fault detection performance of the proposed method. The voltage and current behavior during the interruption process of the new DCCB is also analyzed and compared with that of a hybrid DCCB. Full article
(This article belongs to the Topic Power System Protection)
Show Figures

Figure 1

12 pages, 1022 KB  
Article
Modulation of Neuropsychiatric Symptoms by a Volatile Phytocomplex from Tetraclinis articulata in an Aβ1–42 Rat Model of Alzheimer’s Disease
by Paula Alexandra Postu, Marius Mihasan, Dragos Lucian Gorgan, Alexandru Bogdan Stache, Fatima Zahra Sadiki, Mostafa El Idrissi and Lucian Hritcu
Appl. Sci. 2026, 16(1), 511; https://doi.org/10.3390/app16010511 - 4 Jan 2026
Viewed by 150
Abstract
Tetraclinis articulata volatile phytocomplexes contain numerous bioactive terpenoids with neuroprotective potential; however, their efficacy in Alzheimer’s disease (AD)-related neuropsychiatric symptoms remain insufficiently explored. This study investigated the therapeutic effects of a Tetraclinis articulata-derived volatile phytocomplex (TLO) administered via inhalation at 1% and [...] Read more.
Tetraclinis articulata volatile phytocomplexes contain numerous bioactive terpenoids with neuroprotective potential; however, their efficacy in Alzheimer’s disease (AD)-related neuropsychiatric symptoms remain insufficiently explored. This study investigated the therapeutic effects of a Tetraclinis articulata-derived volatile phytocomplex (TLO) administered via inhalation at 1% and 3% concentrations for 21 consecutive days in a rat model of AD induced by intracerebroventricular injection of amyloid-beta 1–42 peptide (Aβ1–42). Behavioral assessment revealed that both 1% and 3% TLO significantly ameliorated anxiety- and depression-like behaviors, with effects comparable to diazepam (3 mg/kg, i.p.) and imipramine (20 mg/kg, i.p.), respectively. These behavioral improvements coincided with a partial restoration of brain-derived neurotrophic factor (BDNF) expression in the amygdala, whereas activity-regulated cytoskeleton-associated protein (ARC) levels remained unaffected. TLO also attenuated oxidative stress by reducing malondialdehyde (MDA) accumulation and enhancing superoxide dismutase (SOD) and glutathione peroxidase (GPX) activities, thereby contributing to the recovery of redox homeostasis. Furthermore, TLO provided significant protection against Aβ1–42-induced apoptotic DNA fragmentation, although it produced only minimal reductions in IL-1β expression, indicating limited anti-inflammatory effects. Collectively, these findings demonstrate that inhaled TLO, particularly at 1% and 3%, alleviates Aβ1–42-induced neuropsychiatric disturbances through antioxidant, anti-apoptotic, and BDNF-associated mechanisms, supporting its potential as an adjuvant phytotherapeutic strategy for managing behavioral symptoms in AD. Full article
(This article belongs to the Special Issue New Challenges into Pharmacology)
Show Figures

Figure 1

22 pages, 55675 KB  
Article
Ecological Assessment Based on the InVEST Model and Ecological Sensitivity Analysis: A Case Study of Huinan County, Tonghua City, Jilin Province, China
by Jialu Tian, Xinyi Su, Kaili Zhang and Huidi Zhou
Land 2026, 15(1), 87; https://doi.org/10.3390/land15010087 - 1 Jan 2026
Viewed by 209
Abstract
With the expansion of urban scale, forests and water areas have suffered a reduction. This reduction has resulted in insufficient carbon sequestration capacity. Strengthening environmental protection, especially enhancing the function of carbon sinks, is of great significance to the ecologically friendly development of [...] Read more.
With the expansion of urban scale, forests and water areas have suffered a reduction. This reduction has resulted in insufficient carbon sequestration capacity. Strengthening environmental protection, especially enhancing the function of carbon sinks, is of great significance to the ecologically friendly development of the region. This study aims to clarify the distribution of regional ecological vulnerability and carbon storage capacity, and proposes a scientifically optimized ecological functional zoning plan. Specifically, we conducted a comprehensive assessment of land use and zoning in Huinan County by integrating ecological sensitivity with the InVEST model. First, based on the DPSIRM model, we evaluated the weights of ecological sensitivity influencing factors by combining the Analytic Hierarchy Process (AHP) and Entropy Weight Method (EWM). Using ArcGIS, we overlaid these factors with their respective weights to obtain the distribution of overall ecological sensitivity. Referencing relevant literature, we classified Huinan County’s ecological sensitivity into five categories. These categories include insensitive areas, low-sensitivity areas, medium-sensitivity areas, high-sensitivity areas, and extremely sensitive areas. Second, the carbon sequestration capacity of this region was visualized using the InVEST model to analyze Huinan County’s carbon storage potential. Finally, using the ArcGIS spatial overlay, we combined sensitivity levels with carbon storage zones. Based on varying degrees of ecological sensitivity and carbon storage distribution, we established five ecological conservation zones. These five ecological protection zones were: ecological buffer zone, restoration zone, stabilization zone, potential zone, and fragility zone. We implemented differentiated measures tailored to distinct regions, thereby advancing ecological restoration and sustainable development. This study provides a policy basis for ecological restoration in Huinan County and offers a replicable framework for ecological conservation in urbanized areas. Consequently, it holds practical significance for enhancing landscape multifunctionality and resilience. Full article
Show Figures

Figure 1

15 pages, 5860 KB  
Article
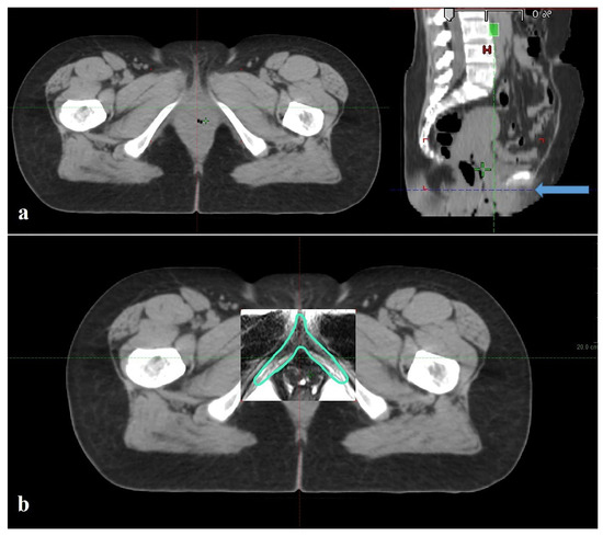
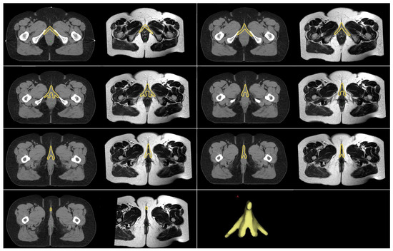
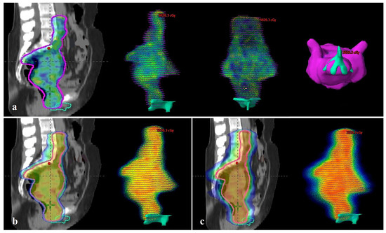
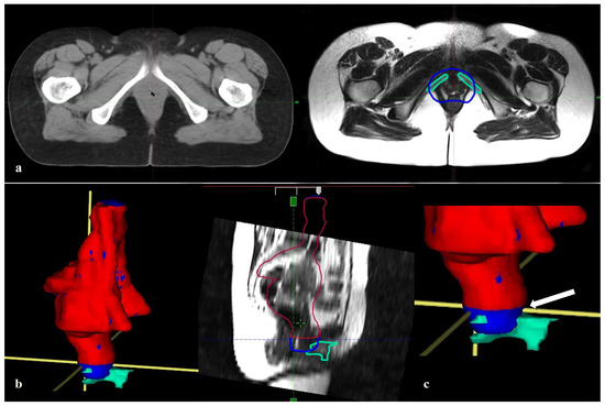
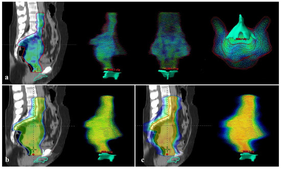
The “Undefined and Ignored Normal Tissue” Bulboclitoral Complex in Locally Advanced Cervical Cancer Treated with Definitive Radiochemotherapy: Is It Not the Organ at Risk?
by Kamuran Ibis, Mahmut Hudai Aydin, Korhan Kokce, Leyla Suncak, Ozlem Guler Guniken, Can Ilgin, Deniz Bolukbas, Nezihe Seden Kucucuk and Inci Kizildag Yirgin
Medicina 2026, 62(1), 14; https://doi.org/10.3390/medicina62010014 - 21 Dec 2025
Viewed by 170
Abstract
Background and Objectives: The bulboclitoral complex (BCC) is an essential organ for female sexual health. However, it is not defined as an organ at risk in any guideline defining target volumes in radiotherapy of gynecological cancers, and there is no information about dose [...] Read more.
Background and Objectives: The bulboclitoral complex (BCC) is an essential organ for female sexual health. However, it is not defined as an organ at risk in any guideline defining target volumes in radiotherapy of gynecological cancers, and there is no information about dose constraint. Materials and Methods: Simulation computed tomography scans of 20 patients diagnosed with locally advanced cervical cancer were used retrospectively. The volumetric modulated arc therapy treatment plan with a total dose of 45 Gy in 25 fractions was created using the planning target volume (PTV)-standard, which was created without considering the BCC, and the PTV-BCC spared, which were contoured and included in the optimization. Bulboclitoral complex doses in PTV-standard and PTV-BCC spared plans were compared using the paired simple t test. Results: Median BCC volume was 17.6 cm3 (11.20–25.50). Bulboclitoral complex maximum dose (Dmax) was median 49.07 Gy (48.49–50.25) and 28.81 Gy (18.14–44.61) in the PTV-standard and PTV-BCC spared plans, respectively, and the BCC Dmax was statistically significantly lower in the PTV-BCC spared plan (p < 0.001). When comparing BCC percentage of volume receiving 45 Gy (V45), the median values for PTV-standard and PTV-BCC spared plans were 37.5% (13.3–82.6) and 0%, respectively (p ≤ 0.001). Conclusions: The bulboclitoral complex can be dosimetrically protected from radiation by contouring and optimizing it as an organ at risk in the radiotherapy plan. The clinical effects of protecting the BCC from radiation as an organ at risk on sexual health need to be investigated. Full article
(This article belongs to the Special Issue New Advances in Radiation Therapy)
Show Figures

Figure 1

32 pages, 30205 KB  
Article
Assessing the Multifunctional Potential and Performance of Cultivated Land in Historical Irrigation Districts: A Case Study of the Mulanbei Irrigation District in China
by Yuting Zhu, Zukun Zhang, Xuewei Zhang and Tao Lin
Land 2025, 14(12), 2421; https://doi.org/10.3390/land14122421 - 15 Dec 2025
Viewed by 383
Abstract
Historical irrigation districts (HIDs) are integrated systems of natural and cultural assets, with cultivated land providing critical functions such as food security, environmental conservation, and cultural inheritance. This study presents a research framework for evaluating multifunctional potential, performance, and geographical matching along the [...] Read more.
Historical irrigation districts (HIDs) are integrated systems of natural and cultural assets, with cultivated land providing critical functions such as food security, environmental conservation, and cultural inheritance. This study presents a research framework for evaluating multifunctional potential, performance, and geographical matching along the “potential-performance” dimensions using analytical tools such as SPSS26.0, ArcGIS pro3.5.2, GeoDa1.22, InVEST3.13, and bivariate spatial autocorrelation. We use Mulanbei HID in China as a case study because of its thousand-year irrigation history and unique location at the intersection of coastal urban and rural communities. The results show the following: (1) In the Mulanbei HID, multifunctional cultivated land exhibits functions in the following order: producing functions, ecological functions, landscape–cultural functions, and social functions. The production function has a homogenous distribution characterized by high values. The ecological function, on the other hand, is distinguished by high-value clusters that decrease significantly as building land approaches its periphery. Social and landscape–cultural roles continue to be undervalued, with high-value places isolated on metropolitan margins. (2) In terms of matching multifunctional potential and performance, in the High-Potential–High-Performance cluster, production and ecological functions account for 19% and 20%, respectively, while in the High-Potential–Low-Performance cluster, social and landscape–cultural functions account for 33% and 27%. The Low-Potential–Low-Performance cluster has 4% production, 4% ecological, 10% social, and 13% landscape–cultural functions, but all four functions are less than 4% in the Low-Potential–High-Performance cluster. These findings provide a scientific foundation for improving cultivated land zoning and governance with a focus on heritage protection. Full article
(This article belongs to the Special Issue Spatial Optimization for Multifunctional Land Systems)
Show Figures

Figure 1

30 pages, 3121 KB  
Article
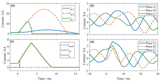
Hybrid Switch with Dynamic Thyristor Control for Fast Arc Extinction in Three-Phase LV Networks
by Karol Nowak, Katarzyna Pietrucha-Urbanik, Slawomir Rabczak and Krzysztof Nowak
Energies 2025, 18(24), 6526; https://doi.org/10.3390/en18246526 - 12 Dec 2025
Viewed by 379
Abstract
Arc faults in low-voltage three-phase systems are a major hazard for both people and equipment, requiring extremely fast and selective protective measures. This paper presents the concept and simulation analysis of a hybrid arc eliminator that combines multi-section thyristor branches with a fast [...] Read more.
Arc faults in low-voltage three-phase systems are a major hazard for both people and equipment, requiring extremely fast and selective protective measures. This paper presents the concept and simulation analysis of a hybrid arc eliminator that combines multi-section thyristor branches with a fast mechanical short-circuit device. The arc eliminator enables phase-selective arc suppression, ensuring that only the faulted phase is shunted while healthy phases remain in service. Simulations carried out in ATPDraw, supported by experimental reference data, demonstrate effective arc extinction within sub-millisecond to millisecond time scales across the range of inductances typically encountered in real circuits. This study analyzes the influence of circuit inductance on commutation dynamics and arc duration, as well as the distribution of conduction time among thyristor sections to balance thermal stress. A dynamic I2t-based control strategy is proposed to enhance reliability and component utilization, and preliminary perspectives on optimization supported by artificial intelligence are discussed. The results indicate that the arc eliminator can significantly improve personnel safety and equipment resilience, particularly in critical installations such as data centers, mining infrastructure, ships, or photovoltaic and electric vehicle systems. Full article
(This article belongs to the Special Issue Advances in Solar Energy and Energy Efficiency—2nd Edition)
Show Figures

Figure 1

22 pages, 35558 KB  
Article
Mapping Pastoral Mobility: A Geospatial Inventory of Temporary Dwellings Within the Southern Carpathians
by Emil Marinescu, Sidonia Marinescu and Liliana Popescu
ISPRS Int. J. Geo-Inf. 2025, 14(12), 494; https://doi.org/10.3390/ijgi14120494 - 11 Dec 2025
Viewed by 479
Abstract
Temporary pastoral settlements are a keystone of high-mountain ecologies, yet they are not included in any official datasets. Therefore, to fill this gap, this research aims to create the first systematic spatial inventory of high-altitude rural temporary dwellings (sheepfolds and shelters) and land [...] Read more.
Temporary pastoral settlements are a keystone of high-mountain ecologies, yet they are not included in any official datasets. Therefore, to fill this gap, this research aims to create the first systematic spatial inventory of high-altitude rural temporary dwellings (sheepfolds and shelters) and land use in the central part of the Southern Carpathians, one of the major traditional areas for sheep breeding in Romania. The data sources include 1:5000 orthophotos, 1:25,000-scale topographic maps, the Corine Land Cover model, field investigation campaigns, and forestry maps. Each one provided complementary information, which was integrated through cross-comparison and ground truth validation for settlement status and the consistent classification of land-use categories. The methodological steps followed are as follows: digitizing shelters, sheepfolds, and agricultural surfaces; overlaying elements of interest for the study; using Data Management, Spatial Analyst, Conversion Tools, and Field Calculation; and interpreting graphical and cartographical materials. Through overlay analysis, we examined how temporary settlements correlate with land-use categories; the ArcGIS Saptial Analyst tools enabled the identification of altitudinal patterns and spatial clusters. We identified 753 sheepfolds and 5411 shelters in this part of the Carpathians, situated at high altitudes, closely connected to the transhumance and pendulation phenomenon. The analysis of land use for the altitude-temporary settlements within the Parâng-Cindrel Mountains highlighted the fact that the traditional agriculture is still carried on by the locals, but biodiversity is at stake where fields are abandoned. Implications regarding the ecological and environmental impact of grazing in the area, conflict mitigation, and livestock protection as well as the cultural dimension are discussed. The study provides the first spatially explicit inventory of these shelters and sheepfolds, providing a cornerstone for interdisciplinary policy-making, conservation, and local development priorities. Full article
Show Figures

Figure 1

25 pages, 35474 KB  
Article
The Relationship Between Relief and Transport Infrastructure—Case Study: Rucăr–Bran Corridor
by Eduard-Cristian Popescu, Laura Comănescu, Alexandru Nedelea and Robert-Răzvan Dobre
Sustainability 2025, 17(24), 10969; https://doi.org/10.3390/su172410969 - 8 Dec 2025
Viewed by 303
Abstract
The Rucăr–Bran Corridor, a critical transit route in the Carpathian Arc, has been the subject of interdisciplinary research in the fields of geology and physical and human geography. This paper aims to design a safe, efficient, and sustainable high-speed expressway that will improve [...] Read more.
The Rucăr–Bran Corridor, a critical transit route in the Carpathian Arc, has been the subject of interdisciplinary research in the fields of geology and physical and human geography. This paper aims to design a safe, efficient, and sustainable high-speed expressway that will improve regional connectivity while respecting the natural, social, and economic constraints of the area. Based on bibliographic sources and using Geographic Information Systems, this study integrates geomorphological, lithological, protected area, and infrastructure data to identify the most suitable route. The methodology includes data collection, multi-criteria analysis, and environmental impact assessment. The land suitability map resulting from the multi-criteria analysis using the specialized QGIS software led to the routing of a 41.7 km expressway connecting the two extreme localities of the area: Rucăr and Bran. This study demonstrates the value of integrated geomorphological analysis in infrastructure planning, offering a model for the development of economically viable express roads in challenging geomorphological terrain. The proposed route enhances regional socio-economic integration by improving access to isolated areas, promoting tourism, and reducing travel times, aligning with national and European transport strategies. Full article
Show Figures

Figure 1

17 pages, 1209 KB  
Article
Assessment of Land Cover Changes and an Exploration of the Sustainability Key Factors at Al-Ahsa Oasis in Saudi Arabia
by Ghada F. Alkhaldi, Ezzeddine B. Mosbah and Abda A. Emam
Sustainability 2025, 17(23), 10821; https://doi.org/10.3390/su172310821 - 3 Dec 2025
Viewed by 730
Abstract
Since 2018, Al-Ahsa Oasis has become a UNESCO site because of the integration of the natural, agricultural, and cultural elements. The objective of this research is to investigate land cover changes (LCC) in this region and the key sustainability factors that influence their [...] Read more.
Since 2018, Al-Ahsa Oasis has become a UNESCO site because of the integration of the natural, agricultural, and cultural elements. The objective of this research is to investigate land cover changes (LCC) in this region and the key sustainability factors that influence their likelihood of occurrence between 2000 and 2020. A two-stage methodology was employed, first estimating the LCC level using USA-ArcGIS 10.3 and USA-ENVI 5.4 on digital data gathered from satellites visualizations (LANDSAT). Second, it evaluates the LCC occurrence variables using a binary logistic model (BLM) based on data from 105 surveyed farmers. The major findings reveal a decline in the vegetation area by 324.35 ha and in the desert area by 1625.81 ha. Meanwhile, the areas of bare ground and the city have increased by 1389.79 ha and 560.37 ha, respectively. According to the BLM findings, climate change, elderly farmers (more than 50 years), and small holding size raised the likelihood of LCC occurrence, with an odds ratio superior to one. Meanwhile, it was negatively impacted by the use of modern irrigation methods (drip and sprinkler), technology, and the availability of scavenger manpower in the oasis. Their odds ratios are inferior to one. The urban sprawl had a non-significant negative effect on the LCC. To preserve the identity of the zone as a sustainable agricultural and UNESCO heritage site, the researchers advocate for awareness and extension efforts aimed at the elderly to improve traditional production practices, enhance plant resilience, increase farm sizes for better earnings, and combat climate change effects to protect native plant species. Full article
(This article belongs to the Collection Sustainable Soil Management in a Changing Climate)
Show Figures

Figure 1

21 pages, 3296 KB  
Article
A Multi-Agent Simulation-Based Decision Support Tool for Sustainable Tourism Land Use Planning in Rural China
by Puwei Zhang, Anna Huang, Li Wu, Rui Li and Ziting Fu
Land 2025, 14(12), 2342; https://doi.org/10.3390/land14122342 - 28 Nov 2025
Viewed by 563
Abstract
The sustainable development of Rural Summer Health Tourism for the Urban Elderly (RSHTUE) is fundamentally tied to the rational utilization of rural land. Land use is a dynamic process involving multiple stakeholders; it requires predictive modeling of its evolution to ensure long-term sustainability. [...] Read more.
The sustainable development of Rural Summer Health Tourism for the Urban Elderly (RSHTUE) is fundamentally tied to the rational utilization of rural land. Land use is a dynamic process involving multiple stakeholders; it requires predictive modeling of its evolution to ensure long-term sustainability. This study integrates key factors under rigid boundary constraints to establish decision-making rules for government, villager, and tourist agents. Taking Zhongyuan Township as a research site, we constructed a multi-agent simulation model by integrating environmental data processed in ArcGIS with decision-making rules encoded in NetLogo. Through scenario analysis, we simulate the evolution of tourism land use for 2028 and 2033 under three distinct development scenarios: tourism-led, ecological protection, and rural belt joint. The results demonstrate that each scenario leads to markedly different spatial patterns. The model developed in this study can directly simulate land use in RSHTUE destination villages while also being applicable to other types of rural tourism by adjusting relevant parameters. The model serves as a “policy laboratory” to simulate and compare the effects of different policy scenarios, thereby enabling the generation of land use strategies that balance multi-stakeholder sustainable development and providing an empirical basis for policy formulation and optimization. Full article
Show Figures

Figure 1

30 pages, 15652 KB  
Article
The Spatial and Temporal Characteristics and Influencing Factors of Intangible Cultural Heritage in Fujian Province
by Yan Gu, Yaowen Zhang, Masato Akihara, Yudie Zhang and Harrison Huang
Land 2025, 14(12), 2319; https://doi.org/10.3390/land14122319 - 25 Nov 2025
Cited by 1 | Viewed by 539
Abstract
Background: The UNESCO has defined the concept of intangible cultural heritage (ICH). Additionally, China joined the related convention in 2004, incorporating the protection of intangible heritage into its national strategy. By conducting a detailed analysis of the spatial distribution of national and provincial [...] Read more.
Background: The UNESCO has defined the concept of intangible cultural heritage (ICH). Additionally, China joined the related convention in 2004, incorporating the protection of intangible heritage into its national strategy. By conducting a detailed analysis of the spatial distribution of national and provincial ICHs in Fujian Province, this study aims to explore the characteristics of their spatio-temporal evolution and the related influencing mechanisms, thereby offering theoretical references for the protection of intangible heritage. Utilizing five batches of national-level and seven batches of provincial-level ICH projects in Fujian as samples, this study employs ArcGIS for data organization and applies geographical concentration indices, average nearest neighbor indices, kernel density, and GeoDetector to explore the spatiotemporal distribution characteristics and influencing mechanisms of intangible heritage. There are at least three key findings in our research: First, ICH resources in Fujian exhibit a coastal concentration and inland dispersion pattern, with notable regional and hierarchical disparities. Second, univariate analysis reveals that socio-economic variables (e.g., GDP, population density) exert stronger explanatory power on overall ICH distribution, whereas cultural factors demonstrate more localized effects in less-developed or peripheral areas. Third, bivariate interaction results indicate that the combined influence between some specific socio economic/cultural variables and the other 20 variables generates enhanced synergistic effects, especially in shaping the distribution of selected ICH in national and provincial levels with distinct performances, highlighting the importance of multi-factor coordination in heritage recognition and protection. Full article
Show Figures

Figure 1

29 pages, 6334 KB  
Article
Soybean Seedling-Stage Weed Detection and Distribution Mapping Based on Low-Altitude UAV Remote Sensing and an Improved YOLOv11n Model
by Yaohua Yue and Anbang Zhao
Agronomy 2025, 15(12), 2693; https://doi.org/10.3390/agronomy15122693 - 22 Nov 2025
Cited by 2 | Viewed by 476
Abstract
Seedling-stage weeds are one of the key factors affecting the crop growth and yield formation of soybean. Accurate detection and density mapping of these weeds are crucial for achieving precise weed management in agricultural fields. To overcome the limitations of traditional large-scale uniform [...] Read more.
Seedling-stage weeds are one of the key factors affecting the crop growth and yield formation of soybean. Accurate detection and density mapping of these weeds are crucial for achieving precise weed management in agricultural fields. To overcome the limitations of traditional large-scale uniform herbicide application, this study proposes an improved YOLOv11n-based method for weed detection and spatial distribution mapping by integrating low-altitude UAV imagery with field elevation data. The second convolution in the C3K2 module was replaced with Wavelet Convolution (WTConv) to reduce complexity. A SENetv2-based C2PSA module was introduced to enhance feature representation and context fusion with minimal parameter increase. Soft-NMS-SIoU replaced traditional NMS, improving detection accuracy and robustness for dense overlaps. The improved YOLOv11n algorithm achieved a 3.4% increase in mAP@50% on the test set, outperforming the original YOLOv11n in FPS, while FLOPs and parameter count increased by only 1.2% and 0.2%, respectively. More importantly, the model reliably detected small grass weeds with morphology highly similar to soybean seedlings, which were undetectable by the original model, thus meeting agricultural production monitoring requirements. In addition, the pixel-level weed detection results from the model were converted into coordinates and interpolated using Kriging in ArcGIS (10.8.1) Pro to generate continuous weed density maps, resulting in high-resolution spatial distribution maps directly applicable to variable-rate spraying equipment. The proposed approach greatly improves both the precision and operational efficiency of weed detection and management across large agricultural fields, providing scientific support for intelligent variable-rate spraying using plant protection UAVs and ground-based sprayers, thereby promoting sustainable agriculture. Full article
(This article belongs to the Section Weed Science and Weed Management)
Show Figures

Figure 1

45 pages, 4215 KB  
Review
Bilayer Coating Systems: Functional Interlayers and Top Layers for Enhanced Performance
by Natalia A. Shapagina and Vladimir V. Dushik
Materials 2025, 18(22), 5217; https://doi.org/10.3390/ma18225217 - 18 Nov 2025
Viewed by 1064
Abstract
This review article summarizes the most widely used and effective technologies for producing protective and functional bilayer coatings. Particular attention is given to methods such as electroplating and electroless metallization, chemical vapor deposition, thermal spray and vacuum arc deposition, conversion treatments, laser modification, [...] Read more.
This review article summarizes the most widely used and effective technologies for producing protective and functional bilayer coatings. Particular attention is given to methods such as electroplating and electroless metallization, chemical vapor deposition, thermal spray and vacuum arc deposition, conversion treatments, laser modification, and organic layer deposition. Bilayer architectures are highlighted for their ability to overcome the limitations of single-layer coatings by combining complementary functionalities, resulting in enhanced adhesion, improved corrosion resistance through pore sealing or superhydrophobic surface states, and increased wear and crack resistance. This article is intended for researchers, materials scientists, and engineers engaged in surface engineering, corrosion protection, and advanced manufacturing, providing them with a clear understanding of the mechanisms, advantages, and practical applications of bilayer coatings. By synthesizing recent developments, comparative analyses, and performance data, the review enables readers to make informed decisions about the selection, design, and implementation of bilayer coatings for diverse industrial applications, ranging from aerospace and automotive components to medical devices and energy systems. Full article
(This article belongs to the Special Issue Advances in Surface Corrosion Protection of Alloys)
Show Figures

Graphical abstract

20 pages, 16078 KB  
Article
Shielding Gas Effect on Dendrite-Reinforced Composite Bronze Coatings via WAAM Cladding: Minimizing Defects and Intergranular Bronze Penetration into 09G2S Steel
by Artem Okulov, Yulia Khlebnikova, Olga Iusupova, Lada Egorova, Teona Suaridze, Yury Korobov, Boris Potekhin, Michael Sholokhov, Tushar Sonar, Majid Naseri, Tao He and Zaijiu Li
Technologies 2025, 13(11), 525; https://doi.org/10.3390/technologies13110525 - 13 Nov 2025
Viewed by 422
Abstract
Bronze materials are indispensable across numerous industries for enhancing the durability and performance of components, primarily due to their excellent tribological properties, corrosion resistance, and machinability. This study investigates the impact of different atmospheric conditions on the properties of WAAM (wire arc additive [...] Read more.
Bronze materials are indispensable across numerous industries for enhancing the durability and performance of components, primarily due to their excellent tribological properties, corrosion resistance, and machinability. This study investigates the impact of different atmospheric conditions on the properties of WAAM (wire arc additive manufacturing) cladded bronze coatings on 09G2S steel substrate. Specifically, the research examines how varying atmospheres—including ambient air (N2/O2, no shielding gas), pure argon (Ar), carbon dioxide (CO2), and 82% Ar + 18% CO2 (Ar/CO2) mixture—influence coating defectiveness (porosity, cracks, non-uniformity), wettability (manifested as uniform layer formation and strong adhesion), and the extent of intergranular penetration (IGP), leading to the formation of characteristic infiltrated cracks or “bronze whiskers”. Modern investigative techniques such as optical microscopy (OM), scanning electron microscopy (SEM), energy-dispersive X-ray spectroscopy (EDS), and X-ray diffraction (XRD) were employed for comprehensive material characterization. Microhardness testing was also carried out to evaluate and confirm the homogeneity of the coating structure. The findings revealed that the bronze coatings primarily consisted of a dominant, highly textured FCC α-Cu phase and a minor BCC α-Fe phase, with Rietveld refinement quantifying a α-Fe volume fraction of ~5%, lattice parameters of a = 0.3616 nm for α-Cu and a = 0.2869 nm for α-Fe, and a modest microstrain of 0.001. The bronze coating deposited under a pure Ar atmosphere exhibited superior performance, characterized by excellent wettability, a uniform, near-defect-free structure with minimal porosity and cracks, and significantly suppressed formation of bronze whiskers, both in quantity and size. Conversely, the coating deposited without a protective atmosphere demonstrated the highest degree of defectiveness, including agglomerated pores and cracks, leading to an uneven interface and extensive whisker growth of varied morphologies. Microhardness tests confirmed that while the Ar-atmosphere coating displayed the lowest hardness (~130 HV0.1), it maintained consistent values across the entire analyzed area, indicating structural homogeneity. These results underscore the critical role of atmosphere selection in WAAM processing for achieving high-quality bronze coatings with enhanced interfacial integrity and functional performance. Full article
Show Figures

Graphical abstract

18 pages, 5143 KB  
Article
Application of CMT-Twin DED-Arc Process on the Fabrication of Invar 36 by In Situ Alloying
by Amaia Iturrioz, Juan Carlos Pereira and Eneko Ukar
Materials 2025, 18(22), 5146; https://doi.org/10.3390/ma18225146 - 12 Nov 2025
Cited by 1 | Viewed by 389
Abstract
This research explored the technical feasibility of creating a controlled chemical composition for Fe-Ni alloys using a Directed Energy Deposition (DED) arc metal additive manufacturing (AM) process in its twin wire feed mode. This method employs two independently controlled arc power sources to [...] Read more.
This research explored the technical feasibility of creating a controlled chemical composition for Fe-Ni alloys using a Directed Energy Deposition (DED) arc metal additive manufacturing (AM) process in its twin wire feed mode. This method employs two independently controlled arc power sources to feed two different wires into a single torch, creating a unified melt pool protected by a single shielding gas nozzle. The research focused on producing Invar 36 (EN 1.3912), a low thermal expansion alloy, by melting and mixing steel and Ni-Fe wires using Cold Metal Transfer-Twin (CMT-Twin) technology. This method enables the fabrication of multi-material components featuring regions with distinct chemical compositions, including functional gradients, with the aim of leveraging the advantageous properties of each individual material. Furthermore, this new manufacturing route offers the possibility to avoid using some alloying elements, such as Nb, an element considered a critical raw material (CRM) in the European Union (EU). Microstructure and mechanical properties were analyzed and compared to commercial Invar 36 obtained by DED-Arc with single wire as well as the effect of the absence of Nb. Results showed that the in situ obtained alloy had 10–20% lower strength but exhibited 10–15% higher elongation compared to the commercial alloy, making it a promising alternative for advanced manufacturing by using this new manufacturing route. Full article
(This article belongs to the Section Manufacturing Processes and Systems)
Show Figures

Figure 1

Back to TopTop