Sign in to use this feature.

Years

Between: -

Subjects

remove_circle_outline
remove_circle_outline
remove_circle_outline
remove_circle_outline
remove_circle_outline
remove_circle_outline
remove_circle_outline
remove_circle_outline
remove_circle_outline

Journals

remove_circle_outline
remove_circle_outline
remove_circle_outline
remove_circle_outline
remove_circle_outline
remove_circle_outline
remove_circle_outline
remove_circle_outline
remove_circle_outline
remove_circle_outline

Article Types

Countries / Regions

remove_circle_outline
remove_circle_outline
remove_circle_outline
remove_circle_outline
remove_circle_outline
remove_circle_outline
remove_circle_outline

Search Results (1,085)

Search Parameters:
Keywords = BRAF mutation

Order results
Result details
Results per page
Select all
Export citation of selected articles as:
18 pages, 2441 KB  
Article
Advantages of MelArray over Oncomine Focus Assay for Mutation Analysis in Melanoma
by Andrew E. Quacoe, Sandra N. Freiberger, Mitchell P. Levesque, Reinhard Dummer and Egle Ramelyte
Medicina 2026, 62(3), 510; https://doi.org/10.3390/medicina62030510 - 10 Mar 2026
Viewed by 87
Abstract
Background and Objectives: Melanoma is the leading cause of skin cancer-related mortality due to its high propensity for early metastasis, although survival rates have improved with the advent of targeted and immune-based therapies. Accurate detection of targetable mutations and assessment of tumor [...] Read more.
Background and Objectives: Melanoma is the leading cause of skin cancer-related mortality due to its high propensity for early metastasis, although survival rates have improved with the advent of targeted and immune-based therapies. Accurate detection of targetable mutations and assessment of tumor mutational burden are essential for informed therapeutic decision-making. Mutation profiling is routinely performed using next-generation sequencing (NGS). The Oncomine Focus Assay (OFA) detects common alterations in 52 genes across various tumor entities, whereas MelArray is a melanoma-specific NGS panel covering mutations in 190 melanoma-relevant genes and providing a genome-wide copy number analysis. Moreover, tumor mutational burden is being assessed. Materials and Methods: In this retrospective study, we analyzed the phenotypic characteristics of 100 patients with cutaneous melanoma who underwent NGS testing using either OFA or MelArray. The aims were to compare the diagnostic yield of the two panels and to investigate potential associations between mutational profiles and clinicopathological features of melanoma. Results: Tumor location, ulceration, and Breslow thickness showed significant correlations with the melanoma subtypes. BRAF mutations were the most frequent driver alterations across all cutaneous melanoma subtypes; however, no significant correlation between specific driver mutations and phenotypic characteristics was identified. MelArray detected a notably high number of alterations in the TERT promoter and CDKN2A genes, which were not captured by OFA and are of potential therapeutic relevance. Conclusions: In conclusion, MelArray enables a more comprehensive molecular characterization of cutaneous melanoma compared with a small generic cancer panel and may support more personalized therapeutic decision-making. Full article
(This article belongs to the Section Genetics and Molecular Medicine)
Show Figures

Figure 1

15 pages, 2041 KB  
Article
Upregulation of miR-4286 and miR-146a-5p in Metastatic Melanoma, Revealed by Multiplex Expression Analysis
by Iliyan Pochileev, Albena Fakirova, Desislava Tashkova, Aleksandra Gerdgikova, Nevena Ilieva, Denitsa Serteva, Gergana Shalamanova, Hristo Ivanov, Aleksandar Linev and Ivanka Dimova
Curr. Issues Mol. Biol. 2026, 48(3), 279; https://doi.org/10.3390/cimb48030279 - 5 Mar 2026
Viewed by 156
Abstract
Background: Metastatic melanoma is an extremely aggressive malignancy with limited therapeutic options, despite advances in targeted and immunotherapy. MicroRNAs are key post-transcriptional regulators of gene expression and play a critical role in tumor adaptation, invasion, and metastasis. The aim of our study was [...] Read more.
Background: Metastatic melanoma is an extremely aggressive malignancy with limited therapeutic options, despite advances in targeted and immunotherapy. MicroRNAs are key post-transcriptional regulators of gene expression and play a critical role in tumor adaptation, invasion, and metastasis. The aim of our study was to identify dysregulated miRNAs which may serve as novel biomarkers and therapeutic targets. Materials and Methods: The study was conducted on FFPE samples from metastatic melanoma (n = 15), compared to healthy skin tissue (n = 6). BRAF V600E/Ec mutation status was established by Real-Time qPCR. Expression miRNA analysis was performed, using digital counting of 827 miRNAs on the NanoString platform, with data normalization and fold change calculations. Results: Following normalization and quality control metrics, 58 differentially expressed miRNAs were identified in BRAFwt melanoma samples: 6 overexpressed and 52 inderexpressed miRNAs. In BRAFmut melanoma, 37 microRNAs were differentially expressed: 11 overexpressed and 26 underexpressed. Four miRNAs showed elevated expression in both melanoma groups. Among them, miR-146a-5p and miR-4286 demonstrated the highest elevation, especially in BRAFmut tumors. We focused further on their targeted genes. Conclusion: This study demonstrates significant alterations in the miRNA expression profile in metastatic melanoma and highlights the potential of miR-146a-5p and miR-4286 as key regulators of tumor biology. Full article
(This article belongs to the Special Issue Linking Genomic Changes with Cancer in the NGS Era, 3rd Edition)
Show Figures

Figure 1

10 pages, 226 KB  
Article
Prevalence of BRAF Mutation in Colorectal Cancer Among Lebanese Patients: A Descriptive Study
by Christelle Rahme, Bassil Josianne, Trak Smayra Viviane and Kattan Joseph
J. Clin. Med. 2026, 15(5), 1913; https://doi.org/10.3390/jcm15051913 - 3 Mar 2026
Viewed by 363
Abstract
Background: Although the BRAF gene mutation in colorectal cancer has a prognostic value and a therapeutic interest, very few studies address the prevalence of this mutation in the Middle East, and hardly any among the Lebanese population. Moreover, we studied the correlation [...] Read more.
Background: Although the BRAF gene mutation in colorectal cancer has a prognostic value and a therapeutic interest, very few studies address the prevalence of this mutation in the Middle East, and hardly any among the Lebanese population. Moreover, we studied the correlation between this mutation and other clinical and pathological variables. Methods: In this descriptive, retrospective, single-center study, BRAF mutational status was reviewed in colorectal tumor samples collected from 2015 to 2021 of Lebanese patients with confirmed metastatic colorectal cancer. The genetic analysis was done in two different molecular laboratories. Clinical characteristics were selected from the computerized medical records of included patients. Statistical calculations were performed with SPSS (version 21.0) statistical software. Results: The study included 190 patients. BRAF mutation was detected in 10 patients (5.3%). A positive correlation was observed between the presence of a BRAF mutation and the right-sidedness of the tumor (p = 0.001) as well as with the presence of microsatellite instability (p = 0.004). However, we could not establish a relationship between BRAF mutation and other characteristics such as age (p = 0.682), gender (p = 0.392), the degree of histologic differentiation (p = 0.594), and the presence of peritoneal metastases (p = 0.707). Conclusions: The BRAF mutation was found in 5.3% of colorectal cancers in Lebanon. A positive correlation was suggested with the colon sidedness and the microsatellite instability. However, it was still insufficient to establish statistically significant associations between other variables and the BRAF mutation. Full article
(This article belongs to the Special Issue Current and Emerging Treatment Options in Colorectal Cancer)
13 pages, 246 KB  
Review
Biomarkers in Colorectal Cancer: Clinically Relevant Diagnostic and Prognostic Molecular Features, and the Future of Precision Medicine
by Rebecca Whitmer, Julia Sepulveda, Jason Gandhi, Isha Puri and Rohan Gupta
J. Pers. Med. 2026, 16(3), 132; https://doi.org/10.3390/jpm16030132 - 28 Feb 2026
Viewed by 274
Abstract
Colorectal cancer (CRC) is a major public health concern in the United States. It is currently the fourth most diagnosed cancer and, despite advancements in screening and treatment, the second leading cause of cancer-related deaths. Approximately 153,000 new cases are diagnosed annually, with [...] Read more.
Colorectal cancer (CRC) is a major public health concern in the United States. It is currently the fourth most diagnosed cancer and, despite advancements in screening and treatment, the second leading cause of cancer-related deaths. Approximately 153,000 new cases are diagnosed annually, with over 53,000 deaths reported. Understanding the molecular and genetic underpinnings of CRC biomarkers plays a crucial role in diagnosis, prognosis, and treatment planning. Specific gene mutations, including MMR deficiency leading to high microsatellite instability (MSI), as well as several other common mutations in CRC, including APC, TP53, KRAS, NRAS, SMAD4, PIK3CA and BRAF, provide valuable insights into tumor biology, therapeutic resistance, and response to targeted therapies. This review explores the mutations and co-mutations most relevant to CRC, their prevalence, prognostic significance, and implications for precision oncology. By focusing on these genetic and epigenetic alterations, we aim to contextualize how biomarker-driven strategies are reshaping the management of CRC in both early and advanced disease settings. Full article
(This article belongs to the Special Issue Cancer Biomarker and Molecular Oncology)
39 pages, 2013 KB  
Review
Screening, Prognostic, and Predictive Molecular Tools for Colorectal Cancer: Recent Advances in the Classical Background
by Mihaela Cristina Pavalean, Ioana Maria Lambrescu, Mihai Ioan Pavalean, Gisela Gaina, Laura Cristina Ceafalan and Mihail Eugen Hinescu
Int. J. Mol. Sci. 2026, 27(5), 2251; https://doi.org/10.3390/ijms27052251 - 27 Feb 2026
Viewed by 219
Abstract
Colorectal cancer (CRC) continues to represent a substantial worldwide health burden. Accurate risk classification and early detection have a significant impact on prognosis. There is still a significant percentage of patients who are diagnosed at advanced stages, notwithstanding the progress that has been [...] Read more.
Colorectal cancer (CRC) continues to represent a substantial worldwide health burden. Accurate risk classification and early detection have a significant impact on prognosis. There is still a significant percentage of patients who are diagnosed at advanced stages, notwithstanding the progress that has been made in screening and treatment. Thus, improved molecular tools that encompass the biological complexity of CRC are needed. High-throughput technologies have expanded the biomarker array for CRC screening, prognosis, and therapeutic prediction. This review summarizes evidence on established and emerging molecular tools from tumor tissue, blood, and stool samples, such as DNA mutations, methylation markers, RNA signatures, circulating tumor DNA (ctDNA), circulating cell-free DNA (cfDNA), extracellular vesicles, and multi-omic composite assays. These provide alternatives to conventional approaches that are relatively less invasive and more sensitive. Prognostic biomarkers—such as RAS, BRAF, HER2 alterations, mismatch repair deficiency, tumor mutational burden, methylation signatures, and non-coding RNAs—provide insight into tumor behavior and recurrence risk. To guide targeted therapies, immunotherapies, and chemotherapy response, predictive biomarkers such as RAS/BRAF mutations, HER2 amplification, MSI-H/dMMR status, POLE/POLD1 mutations, DNA methylation panels, miRNAs, lncRNAs, and liquid biopsy markers are crucial. Emerging technologies such as multi-omics, AI-enhanced biomarker discovery, and novel liquid biopsy components (evDNA, circRNAs) pave the way to precision oncology. These molecular tools have the potential to change how CRC is managed by earlier detection and more precise predictive biomarkers. However, large-scale validation and clinical standardization are still crucial for their extensive utilization. Full article
(This article belongs to the Special Issue Molecular Mechanisms and Therapies of Colorectal Cancer: 4th Edition)
Show Figures

Figure 1

11 pages, 252 KB  
Review
Systemic Molecularly Targeted Therapies for Neoadjuvant and Salvage Craniopharyngioma: A Contemporary Narrative Review
by Joseph J. Neubecker, Daniel W. Griepp, Jeffrey P. Turnbull, Joshua Caskey, Shivum Desai, Adam Mansour, Rabia Ahmed, Andrew Beggs, Annie T. K. Griepp, Heather Heitkotter, Chad F. Claus, Boyd F. Richards and Prashant S. Kelkar
Biomedicines 2026, 14(3), 499; https://doi.org/10.3390/biomedicines14030499 - 25 Feb 2026
Viewed by 238
Abstract
Craniopharyngiomas are rare, histologically benign but locally aggressive intracranial tumors that are associated with substantial visual, endocrine, and hypothalamic morbidity. Advances in molecular characterization have enabled the use of systemic molecularly targeted therapies, particularly in the recurrent or refractory setting, with the goal [...] Read more.
Craniopharyngiomas are rare, histologically benign but locally aggressive intracranial tumors that are associated with substantial visual, endocrine, and hypothalamic morbidity. Advances in molecular characterization have enabled the use of systemic molecularly targeted therapies, particularly in the recurrent or refractory setting, with the goal of limiting further surgical or radiation-related injury to the hypothalamic–pituitary axis. Papillary craniopharyngioma (PCP), defined by near-universal BRAF V600E mutations, exhibits profound and rapid responses to combined BRAF and MEK inhibition, with objective response rates exceeding 90% in prospective studies. These responses can facilitate less extensive surgery, enable de-escalation of radiotherapy, or allow deferral of local treatment. In contrast, adamantinomatous craniopharyngioma (ACP), characterized by CTNNB1 mutations and a cystic phenotype with a prominent inflammatory microenvironment, lacks a single actionable oncogenic driver. Early clinical experience suggests that Interleukin-6/Interleukin-6 receptor (IL-6/IL-6R) blockade, alone or in combination with bevacizumab, may stabilize or reduce cystic components in selected patients, although evidence remains limited to small case series. Other systemic approaches for ACP, including MAPK pathway inhibition and immune-directed strategies, are still under investigation. Across subtypes, adverse events have generally been class-expected and manageable, but data on long-term endocrine, hypothalamic, and neurocognitive outcomes are sparse. This review synthesizes current evidence for neoadjuvant, adjuvant, and palliative craniopharyngioma systemic targeted therapies and highlights the ongoing clinical considerations of this therapy. Full article
(This article belongs to the Special Issue Clinical, Radiological, and Molecular Insights into Craniopharyngioma)
15 pages, 2045 KB  
Article
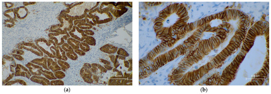
Analysis of Consensus Molecular Subtypes of Colorectal Cancer in Oman with Clinicopathologic Correlation
by Shaista Rehman, Asem Shalaby, Said A. Al-Busafi, Moon Fai Chan, Shaima Al Khabouri, Mustafa Al Hinai, Adhari Al Zaabi, Mohammad Al Masqari, Asim Qureshi and Mohammed Al-Azri
Int. J. Mol. Sci. 2026, 27(4), 2038; https://doi.org/10.3390/ijms27042038 - 21 Feb 2026
Viewed by 432 | Correction
Abstract
Colorectal cancer (CRC) is a major public health challenge in Oman and a leading cause of cancer-related mortality. The rising incidence has been associated with lifestyle changes, urbanization, and genetic factors. The CRC Subtyping Consortium has defined four consensus molecular subtypes (CMS1–CMS4); however, [...] Read more.
Colorectal cancer (CRC) is a major public health challenge in Oman and a leading cause of cancer-related mortality. The rising incidence has been associated with lifestyle changes, urbanization, and genetic factors. The CRC Subtyping Consortium has defined four consensus molecular subtypes (CMS1–CMS4); however, data on their distribution in the Gulf region, including Oman, remain limited. This study aimed to characterize the distribution of CMS subtypes in Omani CRC patients and assess their clinicopathologic correlations using a practical immunohistochemistry (IHC) panel supplemented by a limited targeted molecular approach. This study included 273 CRC patients diagnosed between 2023 and 2024 at two major referral hospitals in Muscat. Initially, the mismatch repair (MMR)-deficient tumors (dMMR) were assigned as CMS1, while the MMR-proficient (pMMR) tumors were further evaluated for β-catenin, P53, KRAS, and TGF-β expression. Mutations in BRAF, TP53, and KRAS were analyzed by sequencing. The cohort comprised 51.6% males, with a mean age of 59.1 years. Most tumors were left-sided (70.7%). dMMR (CMS1) comprised 31 cases (11.35%). Out of the pMMR tumors, 111 cases (40.65%) showed positive expression of β-catenin and P53 (CMS2), 63 cases (23.0%) showed KRAS mutations (CMS3), and 68 cases (24.9%) showed TGF-β-positive expression (CMS4). The cases were predominantly concentrated in Muscat (41%). This study demonstrated the feasibility and clinical relevance of CMS-based classification in Oman and its potential role in precision oncology and healthcare planning. Full article
(This article belongs to the Special Issue Novel Therapeutic Targets in Cancers: 4th Edition)
Show Figures

Figure 1

20 pages, 4910 KB  
Article
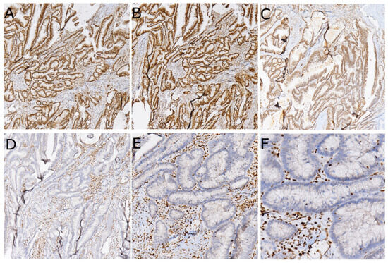
Evaluation of Predictive Markers for Immunotherapy in Colorectal Cancer: Concordance Between MMR Protein Expression and Microsatellite Instability in a Retrospective Series
by Giulia Martinelli, Rossella Bruno, Marco Maria Germani, Anello Marcello Poma, Paola Vignali, Chiara Cremolini and Clara Ugolini
J. Mol. Pathol. 2026, 7(1), 9; https://doi.org/10.3390/jmp7010009 - 20 Feb 2026
Viewed by 281
Abstract
Background/Objectives: In metastatic colorectal cancer (mCRC) the evaluation of mismatch repair (MMR) and microsatellite instability (MSI) status is essential to identify patients eligible for treatment with immune-checkpoint inhibitors (ICI). This study aims to evaluate the potential utility of Comprehensive Genomic Profiling (CGP) in [...] Read more.
Background/Objectives: In metastatic colorectal cancer (mCRC) the evaluation of mismatch repair (MMR) and microsatellite instability (MSI) status is essential to identify patients eligible for treatment with immune-checkpoint inhibitors (ICI). This study aims to evaluate the potential utility of Comprehensive Genomic Profiling (CGP) in assessing MSI status, in addition to other immunotherapy-predictive biomarkers such as high tumor molecular burden (TMB) and the POLE and POLD1 mutations. Methods: A total of 138 mCRC tumor samples underwent a first-level molecular test (MMR status by immunohistochemistry, MSI by a melting-based PCR approach and RAS/BRAF mutational status by a small next-generation sequencing (NGS) panel) and second-level CGP analysis by the FoundationOne CDx assay. The prevalence of dMMR and MSI tumors was reported. Moreover, the concordance between the MMR and MSI status was determined, and discordant cases were discussed. Results: Twelve cases (8.7%) were MMR-deficient (dMMR); 10 showed high MSI and TMB (>10 mut/Mb). MSI status assessed by CGP and PCR was concordant in all cases except one MSH6-deficient tumor. Two dMMR cases were stable with low TMB. Moreover, in two MLH1/PMS2-deficient cases CGP revealed pathogenic alterations in the MSH2 and MSH6 genes; in both cases, the MLH1 promoter was hypermethylated. A high TMB was the only positive biomarker in 11 cases with a proficient MMR system and no MSI. Conclusions: MSI assessment by CGP analysis showed high concordance (98%) with MMR and was helpful in evaluating ICI eligibility in three out of twelve dMMR cases. Overall, compared to standard methods, analyzing a broader range of microsatellite loci and the simultaneous assessment of multiple predictive biomarkers by CGP may increase diagnostic accuracy and improve therapeutic assessment. Full article
Show Figures

Figure 1

16 pages, 1545 KB  
Article
Acetate Metabolism in Thyroid Cancer Progression
by Enke Baldini, Silvia Cardarelli, Eleonora Lori, Poupak Fallahi, Camilla Virili, Marco Centanni, Vito D’Andrea, Alessandro Antonelli, Salvatore Sorrenti and Salvatore Ulisse
Int. J. Mol. Sci. 2026, 27(4), 2013; https://doi.org/10.3390/ijms27042013 - 20 Feb 2026
Viewed by 418
Abstract
In recent years, several studies have highlighted the ability of malignant cells to use acetate as an alternative energy and biosynthetic source to glucose. In this context, the present study aimed at characterizing the expression profile of genes involved in acetate metabolism in [...] Read more.
In recent years, several studies have highlighted the ability of malignant cells to use acetate as an alternative energy and biosynthetic source to glucose. In this context, the present study aimed at characterizing the expression profile of genes involved in acetate metabolism in thyroid carcinomas. To this end, we analyzed molecular and clinical data from 496 papillary thyroid cancers (PTCs) and 59 normal thyroid tissues from The Cancer Genome Atlas (TGCA). In addition, we examined 57 PTCs and matched normal tissues, and six anaplastic thyroid carcinomas (ATCs) collected in our institutions, using real time RT-PCR. The results show a downregulation of ACSS1, ACSS2, ACACB, PDHA1, SLC16A3 and SLC16A7 genes in PTCs compared with normal tissues, some of which were significantly lower in BRAF-mutated tumors, the more aggressive tall cell variant, and larger and/or metastatic PTCs. Overall, these findings point to a reduction in mitochondrial oxidative pathways that was more evident in advanced or aggressive disease forms. In ATCs, ACSS2 was the only upregulated gene, suggesting further tumor adaptation to the metabolic stress of rapidly growing cancers. In conclusion, our study demonstrates a dysregulated expression pattern of multiple genes involved in acetate metabolism, which could be exploited for the development of new therapeutic strategies. Full article
(This article belongs to the Special Issue Translational Oncology: From Molecular Basis to Therapy)
Show Figures

Figure 1

16 pages, 3111 KB  
Article
Integrated Molecular Profiling of Colorectal Cancer by Tumor Location: Evidence from a Real-World Cohort with Primary and Metastatic Samples
by Andreea-Raluca Cozac-Szoke, Ovidiu Simion Cotoi, Ute Mauer, Konrad Steinestel and Annette Arndt
Cancers 2026, 18(4), 666; https://doi.org/10.3390/cancers18040666 - 18 Feb 2026
Viewed by 341
Abstract
Background/Objectives: Colorectal cancer (CRC) shows significant molecular diversity influenced by tumor location. Right- and left-sided CRCs differ in terms of microsatellite instability (MSI), mutational burden, and actionable biomarkers. This study aimed to characterize the clinicopathological and molecular features of CRC stratified upon tumor [...] Read more.
Background/Objectives: Colorectal cancer (CRC) shows significant molecular diversity influenced by tumor location. Right- and left-sided CRCs differ in terms of microsatellite instability (MSI), mutational burden, and actionable biomarkers. This study aimed to characterize the clinicopathological and molecular features of CRC stratified upon tumor location. Methods: A consecutive series of CRC cases was retrospectively analyzed. Tissue samples were obtained from primary tumors (71%) or metastatic lesions (29%). All cases were evaluated by histopathology, immunohistochemistry (IHC), and targeted next-generation sequencing (NGS). Tumor location was assigned based on the primary tumor (43 right-sided and 35 left-sided cases). Results: Right-sided CRCs were more frequent in older patients and females and showed higher rates of deficient MMR (42% vs. 17%, p = 0.02), MSI-H (39% vs. 14%, p = 0.02), and high tumor mutational burden (TMB-high, ≥10 Mutations/Mb, 56% vs. 28%, p = 0.02). The most frequent pathogenic class 5 mutations were TP53 (65%), APC (49%), and KRAS (44%). APC was the most frequently mutated gene in both pathogenic (class 5) and likely pathogenic (class 4) categories, with class 5 variants more common in left-sided tumors and class 4 variants predominating in right-sided tumors. BRAF mutations showed a statistically significant trend toward higher frequency in right-sided tumors (p = 0.05). HER2/neu overexpression (3+) was seen in 15% of patients, exclusively in MSS left-sided tumors. PD-L1 expression (CPS ≥ 1) was detected in 20% of patients, irrespective of location, and pan-TRK IHC was negative in all cases. The 29% of samples derived from metastatic lesions were predominantly MSS/pMMR (87%). Conclusions: Tumor location in CRC correlates with distinct molecular patterns. Right-sided tumors are associated with dMMR, MSI-H, and higher TMB, while left-sided CRCs display more ERBB2 alterations and class 5 APC mutations. The results highlight the importance of integrating tumor location into personalized molecular diagnostics and therapeutic planning for CRC patients. Full article
Show Figures

Figure 1

48 pages, 17329 KB  
Article
Novel Active Homo-Aza (Lactam) Steroidal Antimetabolites for the Treatment of Human Pancreatic and Colorectal Cancer
by Konstantinos E. Alifieris, Panagiotis Dalezis, Sofia Sagredou, Ioanna A. Anastasiou, Maria Deligiorgi, Christos Siokatas, Nikolaos Spanakis, Konstantinos Almpanakis, Maria Voura, Kyriakos Orfanakos, Mihalis Panayiotidis, Vasiliki Sarli and Dimitrios T. Trafalis
Pharmaceuticals 2026, 19(2), 331; https://doi.org/10.3390/ph19020331 - 17 Feb 2026
Viewed by 705
Abstract
Background: Colorectal and pancreatic cancers remain therapeutically challenging, with limitations in efficacy and limitations due to toxicity from conventional antimetabolites such as 5-fluorouracil (5-FU), methotrexate (MTX), and gemcitabine (GEM). Steroidal conjugation offers an approach to enhance selectivity and toxicokinetics. Methods: Five novel [...] Read more.
Background: Colorectal and pancreatic cancers remain therapeutically challenging, with limitations in efficacy and limitations due to toxicity from conventional antimetabolites such as 5-fluorouracil (5-FU), methotrexate (MTX), and gemcitabine (GEM). Steroidal conjugation offers an approach to enhance selectivity and toxicokinetics. Methods: Five novel hybrid homo-aza (lactam) steroidal antimetabolites (GE23, CS18, CS23, KA44, MV16) were synthesized and tested against three pancreatic and four colorectal carcinoma cell lines with distinct molecular characteristics. Antiproliferative activity (MTT), apoptosis (Annexin V/PI), and cell cycle effects were assessed. Thymidylate synthase (TS) and dihydrofolate reductase (DHFR) inhibition was examined via molecular docking, Western blot, and enzymatic assays. Correlations between docking binding scores (DBS) and biological data were analyzed, and effects were compared with reference drugs (5-FU, MTX, GEM). Results: CS23, CS18, and KA44 exhibited the most potent cytostatic activity (mean GI50 10–80 µM). CS23 also induced high cytocidal effects, strong apoptosis (40% at 72 h), and G1/S arrest. Moreover, docking predicted the high binding affinity of CS23 for both TS (−11.2 kcal/mol) and DHFR (−11.5 kcal/mol), which was validated by Western blot and enzymatic inhibition (IC50 ≈ 20 nM). Correlation analyses showed significant relationships between hybrid steroidal antimetabolites’ cytostatic efficacy and DBS for TS (r = −0.75) and DHFR (r = −0.76), and combined DBS values predicted growth inhibition (r = −0.81, p < 0.01). No simple, universal correlation with single mutations of KRAS, BRAF, PI3K, or TP53 was found. Conclusions: Lactam steroidal antimetabolite hybrids, particularly CS23, act as dual TS/DHFR inhibitors, inducing apoptosis and cell cycle arrest with improved selectivity. Their strong in silico–in vitro concordance provides a compelling preclinical rationale for further evaluation of steroidal antimetabolites as next-generation therapeutics for resistant gastrointestinal malignancies. Full article
Show Figures

Graphical abstract

30 pages, 2385 KB  
Review
Vitamin C in the Treatment of Colorectal Cancer: Between Hope and Despair
by Mathias Wasmer, Markus Weber and Seraina Faes
Cancers 2026, 18(4), 654; https://doi.org/10.3390/cancers18040654 - 17 Feb 2026
Viewed by 645
Abstract
Despite recent progress in different treatment modalities, colorectal cancer remains a leading cause of cancer-related death, highlighting the need to further develop novel treatment strategies. In this context, over recent decades, several experimental studies have demonstrated that high doses of vitamin C provide [...] Read more.
Despite recent progress in different treatment modalities, colorectal cancer remains a leading cause of cancer-related death, highlighting the need to further develop novel treatment strategies. In this context, over recent decades, several experimental studies have demonstrated that high doses of vitamin C provide anti-cancer benefits in various colorectal cancer models. Intravenous administrations of vitamin C are necessary to reach these high concentrations in tumors. Tumors harboring KRAS or BRAF mutations or driven by the HIF1α signaling pathway are particularly sensitive to high-dose vitamin C. In addition, high doses of vitamin C increase the efficacy of other treatments when used in combination, including chemotherapies, targeted therapies, and immunotherapies. Whilst results of experimental studies were promising, their translation into clinical protocols has been disappointing. So far, very few clinical data support the anti-cancer benefits of vitamin C in colorectal cancer patients. This lack of success highlights the need to ameliorate the selection of patients based on biomarkers and to refine treatment protocols to achieve high-dose vitamin C in tumors. In this review, we analyze in vitro and in vivo studies that investigated the effect of vitamin C in colorectal cancer cells and point out the anti-cancer mechanisms of vitamin C. We further examine clinical trials that tested vitamin C in colorectal cancer patients and address several points that still need to be investigated in order to fully define the role of vitamin C in the treatment of colorectal cancer. Full article
(This article belongs to the Section Cancer Therapy)
Show Figures

Figure 1

25 pages, 7728 KB  
Article
Onconase Induces Apoptosis in Dabrafenib-Resistant Melanoma Cell Lines Through Dysregulation of ROS Homeostasis, Antioxidant Protein Expression, and Mitochondrial Dynamics
by Carlotta Passarini, Alessia Cardile, Filippo Zuanetti, Valentina Zanrè, Raffaella Pacchiana, Adriana Celesia, Federica Danzi, Alessandra Fiore, Giovanni Gotte and Marta Menegazzi
Int. J. Mol. Sci. 2026, 27(4), 1638; https://doi.org/10.3390/ijms27041638 - 7 Feb 2026
Viewed by 334
Abstract
Advanced melanoma remains difficult to treat due to its intrinsic resistance to conventional therapies and the frequent development of acquired resistance to targeted agents, such as BRAF inhibitors. Onconase (ONC), an amphibian ribonuclease with established antitumor activity, had been previously shown to have [...] Read more.
Advanced melanoma remains difficult to treat due to its intrinsic resistance to conventional therapies and the frequent development of acquired resistance to targeted agents, such as BRAF inhibitors. Onconase (ONC), an amphibian ribonuclease with established antitumor activity, had been previously shown to have selective cytotoxicity toward melanoma cells. In this study, we investigated the molecular mechanisms underlying ONC-induced cytotoxicity in BRAF-mutated melanoma cell lines that are either sensitive or resistant to the BRAF inhibitor dabrafenib. We focused on oxidative stress regulation, mitochondrial dynamics, and cell death-related signaling pathways. ONC treatment resulted in a marked increase in reactive oxygen species (ROS) levels, concomitant with a pronounced downregulation of NRF2 and multiple NRF2-dependent antioxidant proteins. These effects were particularly evident in dabrafenib-resistant melanoma cells. In parallel, ONC impaired mitochondrial plasticity by inhibiting mitochondrial biogenesis and fission, as evidenced by reduced PGC1α, DRP1, and FIS1 expression. Confocal analysis confirmed the presence of more enlarged mitochondria in ONC-treated cells. Mitophagy and autophagy are hindered by ONC due to the downregulation of PINK1, beclin1, ATG3 expression, as well as the lack of LC3B activation. These mitochondrial defects were associated with mitochondrial-dependent apoptosis, characterized by caspase-9 activation and strong downregulation of the antiapoptotic protein survivin. Lipid peroxidation was also induced by ONC, especially in the A375 cell line. Additionally, ONC inhibited key proliferation-related signaling pathways, including STAT3 and NF-κB, and reduced cyclin-dependent kinase 1, 2, and 4 activities. Collectively, these findings demonstrate that ONC disrupts redox homeostasis, mitochondrial function, and survival signaling in melanoma cells, exerting particularly potent effects in BRAF inhibitor-resistant populations. This study provides mechanistic insight into the anti-melanoma activity of ONC and supports its potential therapeutic application in drug-resistant melanoma. Full article
(This article belongs to the Special Issue Environmental Influences on Cellular Responses)
Show Figures

Figure 1

18 pages, 1383 KB  
Review
Rare, Yet Targetable: New Perspectives on Ampullary Carcinomas
by James Gutmans, Alex Friedlaender and Hiba Mechahougui
Int. J. Mol. Sci. 2026, 27(3), 1597; https://doi.org/10.3390/ijms27031597 - 6 Feb 2026
Viewed by 520
Abstract
Ampullary carcinoma (AC) is a rare gastrointestinal malignancy with dual intestinal and pancreatobiliary differentiation, complicating diagnosis, staging, and treatment. This review synthesizes current epidemiology, pathology, and multi-omic data to outline a pragmatic care pathway: lineage-first at presentation, mutation-fast at progression. Histology remains the [...] Read more.
Ampullary carcinoma (AC) is a rare gastrointestinal malignancy with dual intestinal and pancreatobiliary differentiation, complicating diagnosis, staging, and treatment. This review synthesizes current epidemiology, pathology, and multi-omic data to outline a pragmatic care pathway: lineage-first at presentation, mutation-fast at progression. Histology remains the primary classifier: the intestinal subtype generally aligns with colorectal regimens, whereas pancreatobiliary and mixed subtypes favor pancreaticobiliary therapy. In selected fit patients, modified FOLFIRINOX may address mixed phenotypes. Next-generation sequencing adds precision by identifying therapeutically relevant alterations, including ERBB2/HER2 amplifications, MSI-high/dMMR, BRAF V600E, and rare NTRK or RET fusions, while KRAS mutations are enriched in pancreatobiliary tumors. We recommend early application of a rapid-core panel (KRAS/BRAF, MSI/dMMR, ERBB2/HER2, RNA-based fusions) to capture high-impact targets, followed by comprehensive profiling at first progression. Liquid biopsy, plasma circulating tumor DNA (ctDNA), or bile-derived DNA may complement tissue and help identify the dominant lineage. Research priorities include ampulla-enriched umbrella trials, explicit AC subcohorts in tissue-agnostic studies, and ctDNA-informed endpoints. This lineage-first, mutation-fast paradigm supports precision care and evidence generation in AC. Full article
(This article belongs to the Special Issue Genomic Research in Carcinogenesis, Cancer Progression and Recurrence)
Show Figures

Figure 1

14 pages, 952 KB  
Article
Prognostic Impact of Blood Tumor Mutational Burden in pMMR/MSS Metastatic Colorectal Cancer Assessed by FoundationOne® Liquid CDx
by Benoist Chibaudel, Elisabeth Carola, Hamid Mekranter, Perrine Goyer, Arnaud Saget, Olivier Oberlin, Hélène Marijon, Hubert Richa, Ida Iurisci, Honorine Gervais, Nathalie Perez-Staub, Linda Dainese, Pascal Pujol, Hanah Lamallem, Clémentine Besnard, Sofya Latrache, Alain Toledano and Aimery de Gramont
Cancers 2026, 18(3), 515; https://doi.org/10.3390/cancers18030515 - 4 Feb 2026
Viewed by 353
Abstract
Background/Objectives: The prognostic significance of blood tumor mutational burden (bTMB) in metastatic colorectal cancer (mCRC) remains poorly defined. While tissue-based TMB has been associated with favorable outcomes in selected colorectal cancer subgroups, the clinical meaning of bTMB in real-world practice is unclear. This [...] Read more.
Background/Objectives: The prognostic significance of blood tumor mutational burden (bTMB) in metastatic colorectal cancer (mCRC) remains poorly defined. While tissue-based TMB has been associated with favorable outcomes in selected colorectal cancer subgroups, the clinical meaning of bTMB in real-world practice is unclear. This study evaluated the prognostic impact of bTMB measured through liquid biopsy in an unselected cohort of patients with mCRC. Methods: This monocentric, real-world study included 255 adult patients with pMMR/MSS mCRC who underwent routine comprehensive genomic profiling using the FoundationOne® Liquid CDx assay. bTMB was quantified in mutations per megabase (mut/Mb), and patients were classified into bTMB-low and bTMB-high groups using the cohort median. The primary endpoint was overall survival (OS). Subgroup analyses, including stratification by RAS/BRAF mutation status, were descriptive. Results: The median bTMB was 5 mut/Mb. Patients in the bTMB-high group had an increased risk of death compared with those in the bTMB-low group (hazard ratio (HR) 1.88). The adverse prognostic effect for OS of high bTMB was more pronounced in patients with RAS mutant tumors (HR 2.32) than with RAS/BRAF wild-type tumors (HR 1.81), while no prognostic impact was observed in BRAFV600E mutant tumors (HR 0.90). bTMB was strongly correlated with ctDNA fraction (p < 0.0001). Conclusions: In routine clinical practice, elevated bTMB is associated with poor prognosis in pMMR/MSS mCRC, particularly in RAS mutant tumors. These results contrast with prior tissue-based studies and indicate that bTMB may reflect tumor burden and aggressive disease biology rather than tumor immunogenicity. Prospective studies integrating bTMB with ctDNA fraction, tumor burden metrics, and longitudinal molecular dynamics are warranted to refine its clinical utility. Full article
(This article belongs to the Special Issue Oncogenetics of Colorectal Cancer (2nd Edition))
Show Figures

Figure 1

Back to TopTop