Abstract
Vibrio parahaemolyticus can cause acute gastroenteritis, wound infection, and septicemia in humans. In this study, a simple, specific, and user-friendly diagnostic tool was developed for the first time for the qualitative and quantitative detection of toxins and infection process-associated genes opaR, vpadF, tlh, and ureC in V. parahaemolyticus using the loop-mediated isothermal amplification (LAMP) technique. Three pairs of specific inner, outer, and loop primers were designed for targeting each of these genes, and the results showed no cross-reaction with the other common Vibrios and non-Vibrios pathogenic bacteria. Positive results in the one-step LAMP reaction (at 65 °C for 45 min) were identified by a change to light green and the emission of bright green fluorescence under visible light and UV light (302 nm), respectively. The lowest limit of detection (LOD) for the target genes ranged from 1.46 × 10−5 to 1.85 × 10−3 ng/reaction (25 µL) for the genomic DNA, and from 1.03 × 10−2 to 1.73 × 100 CFU/reaction (25 µL) for the cell culture of V. parahaemolyticus. The usefulness of the developed method was demonstrated by the fact that the bacterium could be detected in water from various sources and commonly consumed aquatic product samples. The presence of opaR and tlh genes in the Parabramis pekinensis intestine indicated a risk of potentially virulent V. parahaemolyticus in the fish.
1. Introduction
V. parahaemolyticus is a Gram-negative bacterium that can cause acute gastroenteritis, wound infection, and septicemia in humans [1]. The bacterium inhabits estuarine and marine environments worldwide, and is also frequently detected in aquatic products [2]. Clinical V. parahaemolyticus isolates produce two major toxins, thermostable direct hemolysin (TDH) and TDH-related hemolysins (TRH), both of which cause hemolysis and cytotoxicity of the host cells [3]. Their encoding genes trh and tdh, sharing approximately 70% homology, are molecular markers for the diagnosis of virulent V. parahaemolyticus isolates [4].
Previous studies have also revealed very important virulence-associated genes in V. parahaemolyticus; for example, an ureC gene encodes urease subunit alpha, which is known to be associated with enterotoxicity, a reasonably good clinical diagnostic marker for trh-positive V. parahaemolyticus isolates [5]. A tlh gene encodes a thermolabile hemolysin (TLH) that is present in pathogenic and non-pathogenic V. parahaemolyticus isolates [6]. The TLH is one of the phospholipases that can hydrolyze glycerophospholipids, the major component of the eukaryotic cell membrane, and disrupt the host cells. Therefore, it is a key virulence factor in many pathogenic bacteria [7]. Pathogen adhesion subverts the host actin cytoskeleton and triggers cellular signaling pathways to facilitate subsequent pathogen invasion [8]; for example, a vpadF gene encodes an adhesion factor that enables V. parahaemolyticus to interact with type I collagen and mediate a type III secretion system on chromosome 2 (T3SS2)-dependent host cell invasion [9]. Additionally, an opaR gene encodes a master quorum sensing (QS) regulator of V. parahaemolyticus, and regulates the transcription of many genes involved in virulence, motility, and biofilm formation [10]. It is regarded as an attractive target to combat bacterial pathogenicity, with the potential to be used as a vaccine candidate [8]. Thus, the diagnosis of these virulence-associated genes in V. parahaemolyticus is imperative for food safety control and human health.
Many methods have been developed to detect pathogenic bacteria, based on microbiology, biochemistry, immunology, spectroscopy, and molecular biology technology [11]. These methods are usually laborious, time consuming, or require costly and bulky equipment [12]. Conversely, the loop-mediated isothermal amplification (LAMP) technique, originally developed by Notomi et al. [13,14], can amplify target genes at a constant temperature with a one-step reaction, exclusion of a thermal cycler that is needed by the standard polymerase chain reaction (PCR), and reverse transcription-PCR (RT-PCR) assays [15]. Successful amplification in LAMP reactions can be directly visualized via a variety of visual indicators, such as hydroxynaphthol blue, phenol red dye, hydroxy naphthol blue and leuco crystal violet, and the nucleic acid dyes SYBR Green I and SYTO 9 [16,17,18,19,20]. Recently, a MnCl2–calcein dye has been applied in LAMP to circumvent the instability problem of other dyes [21]. Calcein can combine with divalent metal ions (such as Ca2+ and Mg2+) to form complexes, and produces strong fluorescence [18]. In the LAMP reaction system, if no target gene amplification occurs, calcein binds with Mn2+ to cause fluorescence quenching, and the reaction is orange–yellow. In contrast, when the target sequence is amplified, the Mn2+ bound to calcein is deprived by the newly generated pyrophosphate ions, and calcein binds to the residual Mg2+ in the reaction system. Consequently, the fluorescence is enhanced and the reaction is green [22]. LAMP technology has been applied in the detection of human infectious diseases, such as severe acute respiratory syndrome (SARS) [23], avian influenza virus (AIV) [24], hemagglutinin 1 neuraminidase 1 (H1N1) [25], coronavirus disease 2019 (COVID-19) [26], as well as common foodborne pathogenic bacteria, e.g., Vibrio cholerae [27,28], Staphylococcus aureus [29], and Salmonella species [30]. Studies have been conducted to test the toxin-associated genes of V. parahaemolyticus by LAMP, such as tdh, trh, toxR, and groEL [3,31,32,33]; nevertheless, current literature in this field for the opaR, tlh, vpadF and ureC genes is rare.
In our previous studies, the LAMP reaction system was well established in our research group; for example, an sssvLAMP method was developed to detect the causative agent of cholera, the V. cholerae-specific gene lolb, the toxin genes ctxA and tcpA, and the virulence-associated genes hapA, mshA, pilA, tlh, nanH, and cri [27,28]. In this study, the qualitative and quantitative detection of the very important virulence-related genes opaR, tlh, vpadF, and ureC of V. parahaemolyticus in drinking water and commonly consumed aquatic products was developed for the first time using the LAMP technique. The objectives of this study were as follows: (1) to design three pairs of specific primers targeting each of the opaR, tlh, ureC, and vpadF genes of V. parahaemolyticus; (2) to determine the specificity and sensitivity of the LAMP method for the detection of cell culture and genomic DNA, as well as spiked samples of V. parahaemolyticus, and compare these with the standard PCR assay; (3) to rapidly screen potentially virulent V. parahaemolyticus in drinking water and commonly consumed fish, shrimp, and shellfish specimens by the LAMP method. The results of this study provide a simple, specific, and user-friendly molecular diagnostic tool for early diagnosis, particularly for the large-scale screening of drinking water and aquatic products contaminated by V. parahaemolyticus, a leading sea foodborne pathogen worldwide.
2. Results
2.1. Specificity of the LAMP Method
A total of 50 bacterial strains were employed in the exclusivity tests, including 7 species of Vibrios (n = 16 strains) and 20 species of non-Vibrios (n = 34 strains) (Table S1). Some common pathogenic bacteria were included, e.g., Vibrio alginolyticus, Vibrio fluvialis, Vibrio harveyi, and Vibrio vulnificus, as well as Aeromonas hydrophila, Enterobacter sakazakii, Klebsiella oxytoca, Klebsiella pneumoniae, Listeria monocytogenes, Pseudomonas aeruginosa, Enterobacter cloacae, and Staphylococcus aureus (Table S1). Pathogenic V. parahaemolyticus ATCC17802 (opaR+/vpadF+/tlh+/ureC+) was used as a positive control strain. For the target gene opaR, the LAMP reaction tube containing the genomic DNA sample extracted from V. parahaemolyticus ATCC17802 (opaR+) showed a color change from orange to light green under visible light, after being reacted at 65 °C for 45 min, whereas the other 50 tubes containing each of the DNA templates extracted from the 50 bacterial strains showed the original color of orange (Figure 1A). The positive reaction tube was also observed under ultraviolet (UV) light (302 nm), which emitted bright green fluorescence, whereas the 50 negative reaction tubes had no fluorescence (Figure 1B).
Figure 1.
Specificity of the LAMP method targeting the opaR gene in the 50 bacterial strains (A to B). The results observed by the naked eye under visible light (A), and under UV light (302 nm) (B). Tubes 1 to 50: Vibrio alginolyticus ATCC17749, V. alginolyticus ATCC33787, Vibrio fluvialis ATCC33809, Vibrio harveyi ATCC BAA-1117, V. harveyi ATCC33842, Vibrio metschnikovii ATCC700040, Vibrio mimicus bio-56759, Vibrio vulnificus ATCC27562, V. vulnificus, Aeromonas hydrophila ATCC35654, A. hydrophila, Enterobacter cloacae ATCC13047, E. cloacae, Escherichia coli ATCC8739, E. coli ATCC25922, E. coli K12, Enterobacter sakazakii CMCC45401, Klebsiella oxytoca 0707-27, Klebsiella pneumoniae 0717-1, K. pneumoniae 1202, Klebsiella variicola 0710-01, Lactobacillus casei D31, Lactobacillus casei T9, L. casei K17, Listeria monocytogenes ATCC19115, Pseudomonas aeruginosa ATCC9027, P. aeruginosa ATCC27853, Salmonella enterica subsp. Enterica-Leminor et popoff ATCC13312, Staphylococcus aureus ATCC25923, S. aureus ATCC 8095, S. aureus ATCC29213, S. aureus ATCC6538, S. aureus ATCC6538P, Shigella dysenteriae CMCC51252, Salmonella spp., Shigella flexneri CMCC51572, S. flexneri ATCC12022, S. flexneri CMCC51574, Salmonella paratyphi-ACMCC50093, Shigella sonnei ATCC25931, Shigella sonnet CMCC51592, Salmonella typhimurium ATCC15611, Staphylococcus aureus, Vibrio cholerae TCC39315 (N16961), V. cholerae GIM1.449, V. cholerae 805-38, V. cholerae 717-01, V. cholerae 805-29, V. cholerae 805-32, V. cholerae 717-25, respectively; tube 51: positive control V. parahaemolyticus ATCC17802 (opaR+/vpadF+/tlh+/ureC+); tube 52: negative control.
Similarly, for the target genes tlh, ureC, and vpadF in the exclusivity tests, only the LAMP reaction tubes containing the genomic DNA of V. parahaemolyticus ATCC17802 (vpadF+/tlh+/ureC+) showed the color change and emitted bright green fluorescence, while the other 50 tubes containing the other DNA templates were orange with no emission of fluorescence (figures not shown).
These results were confirmed by standard agarose gel electrophoresis analyses, in which the LAMP products from the positive reaction tube formed characteristic ladder-like DNA patterns [22], while those from the negative reaction tubes showed no DNA bands. Taken together, the LAMP method was highly specific to target each of the opaR, tlh, ureC, and vpadF genes of V. parahaemolyticus (Table 1), and no cross-reaction was observed with the other 7 species of Vibrios and 20 species of non-Vibrios strains tested in this study.
Table 1.
The primers designed and used in this study.
2.2. Sensitivity of the LAMP Method
2.2.1. For the Detection of Cell Culture of V. parahaemolyticus
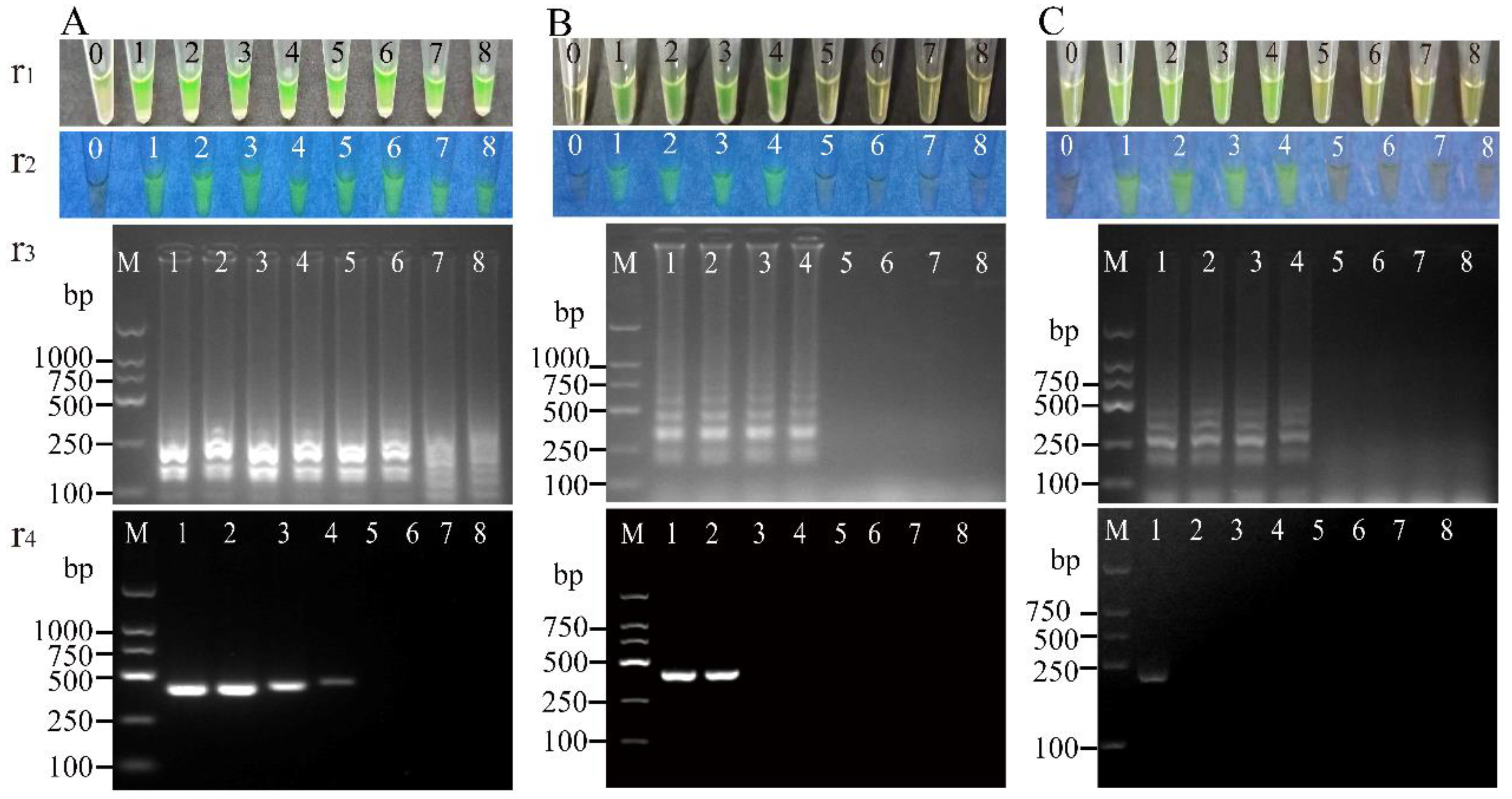
A total of 51 V. parahaemolyticus strains were employed in the inclusivity tests, and the results are presented in Table 2, Table 3 and Table 4. For the target gene opaR, for example, serial dilutions of V. parahaemolyticus B4-13 cell culture (1.32 × 109 to 1.32 × 100 CFU/mL) were added into the LAMP reaction tubes. After being reacted at 65 °C for 45 min, the limit of detection (LOD) was observed in the tube containing 4.40 CFU/reaction (25 µL) of V. parahaemolyticus B4-13 cells, which changed color to light green and emitted bright green fluorescence under visible light and UV light, respectively (Figure 2A(r1 and r2)). The LOD tube also formed characteristic ladder-like DNA patterns in the agarose gel electrophoresis analyses (Figure 2A(r3)). Similarly, for the detection of the V. parahaemolyticus B11-3 cell culture (7.00 × 108–7.00 × 100 CFU/mL), the observed LOD was 2.33 × 101 CFU/reaction, while for the V. parahaemolyticus N3-3 cell culture (9.10 × 107–9.10 × 100 CFU/mL), the LOD was 3.03 × 10−1 CFU/reaction (Figure 2B,C). Additionally, the cell cultures of the other 47 V. parahaemolyticus strains (opaR+) were all tested in the inclusivity tests. For the target gene opaR, the observed LOD values of the LAMP method ranged from 1.03 × 10−2 to 7.13 × 103 CFU/reaction for the detection of the cell cultures of the 50 V. parahaemolyticus strains (Table 2).
Table 2.
Sensitivity of the LAMP method targeting the opaR gene in genomic DNA and cell culture of V. parahaemolyticus strains and comparison with the PCR assay.
Table 3.
Sensitivity of the LAMP method targeting the vpadF gene in genomic DNA and cell culture of V. parahaemolyticus strains and comparison with the PCR assay.
Table 4.
Sensitivity of the LAMP method targeting the tlh and ureC genes in genomic DNA and cell culture of V. parahaemolyticus strains and comparison with the PCR assay.
Figure 2.
Sensitivity of the LAMP method targeting the opaR gene of V. parahaemolyticus cell culture. The results from the LAMP method were observed by the naked eye under visible light (r1) and UV light (302 nm) (r2), and verified by 2% agarose gel electrophoresis analysis (r3). r4: the results from the PCR assay. Lane M: DNA molecular weight marker (D2000 bp, Sangon, China). Tubes/lanes 1 to 8: contained serial dilutions of V. parahaemolyticus B4-13 cells (A); V. parahaemolyticus B11-3 cells (B); V. parahaemolyticus N3-3 cells (C). Tube 0: negative control.
For the target gene vpadF, the cell culture of 39 V. parahaemolyticus strains (vpadF+) was examined in the inclusivity tests (Table 3); for example, serial dilutions of V. parahaemolyticus B7-16 (2.34 × 108 to 2.34× 100 CFU/mL), B9-42 (5.20 × 107 to 5.20× 100 CFU/mL), and N4-46 (8.60 × 107 to 8.60 × 100 CFU/mL) were examined by the LAMP method. The results showed that their LOD tubes contained 7.80 × 101 CFU/reaction, 1.73 CFU/reaction, and 2.87 × 102 CFU/reaction of V. parahaemolyticus, respectively (figures not shown). Similarly, each of the other 36 V. parahaemolyticus strains (vpadF+) were all tested in the inclusivity tests. The results indicated that for the target gene vpadF, the LODs of the LAMP method ranged from 1.73 × 100 to 8.63 × 103 CFU/reaction (Table 3).
For the target gene tlh, the cell culture of 50 V. parahaemolyticus strains (tlh+) was tested in the inclusivity tests. Serial dilutions of their cell culture ranged from 2.14 × 109 to 1.02 × 100 CFU/mL. The results showed that the LODs of the LAMP method targeting the tlh gene ranged from 1.37 × 100 to 9.00 × 103 CFU/reaction (Table 4).
For the target gene ureC, serial dilutions of V. parahaemolyticus ATCC17802 (ureC +, 1.32 × 108 to 1.32 × 100) were tested, and the observed LOD was 4.40 × 10−1 CFU/reaction by the LAMP method (Table 4, figures not shown).
Additionally, the target genes amplified from representative V. parahaemolyticus strains were confirmed by PCR and DNA sequencing analyses. The resulting sequences were deposited in GenBank under the accession numbers listed in Table S2.
Taken together, approximately 41.2% of the V. parahaemolyticus strains (21 of the 51 strains) could be detected in less than 10 CFU/reaction (25 µL) by the LAMP method developed in this study, and the average detection time was 1.5 h, which highlighted the high sensitivity of the LAMP method for the detection of a cell culture of V. parahaemolyticus.
2.2.2. For the Detection of Genomic DNA of V. parahaemolyticus
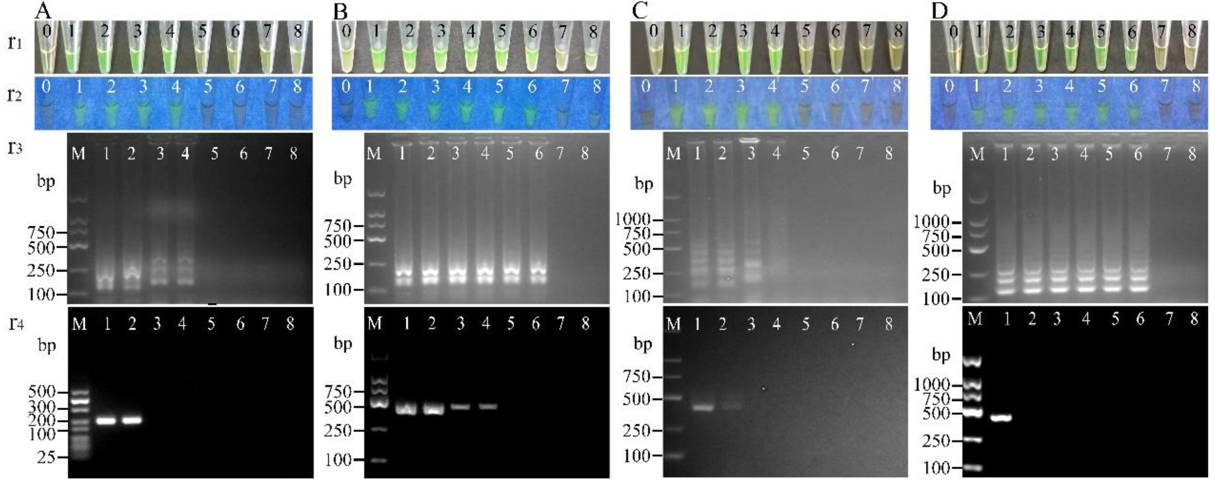
The sensitivity of the LAMP method for the detection of the genomic DNA of the 50 V. parahaemolyticus strains was also determined (Table 2, Table 3 and Table 4). For the target gene opaR, genomic DNA samples extracted from each of the 50 V. parahaemolyticus strains (opaR+) were serially diluted with concentrations ranging from 6.58 × 10−6 to 4.95 × 102 ng/µL, and examined by the LAMP method. To conduct this sensitivity test, genomic DNA dilutions of V. parahaemolyticus L5-1 (2.10 × 102 to 2.10 × 10−5 ng/µL) were added into LAMP reaction tubes. After being reacted at 65 °C for 45 min, eight tubes had positive reactions, showing a light green color, bright green fluorescence, and characteristic ladder-like DNA patterns (Figure 3A). The LOD tube contained 4.21 × 10−5 ng/reaction (25 µL) of genomic DNA. Similarly, genomic DNA dilutions of each of the other 49 V. parahaemolyticus strains were examined by the LAMP method. The results indicated that the LODs targeting the opaR gene ranged from 1.46 × 10−5 to 1.85 × 100 ng/reaction of genomic DNA of V. parahaemolyticus using the LAMP method (Table 2).
Figure 3.
Sensitivity of the LAMP method targeting the opaR, vpadF, and tlh genes of V. parahaemolyticus genomic DNA. The results from the LAMP method were observed by the naked eye under visible light (r1) and UV light (302 nm) (r2), and verified by 2% agarose gel electrophoresis analysis (r3). r4: the results from the PCR assay. Lane M: DNA molecular weight marker (D2000 bp). Tubes/lanes 1 to 8: contained serial dilutions of genomic DNA samples extracted from V. parahaemolyticus L5-1 (A); V. parahaemolyticus N5-15 (B); V. parahaemolyticus N10-48 (C). Tube 0: negative control.
Similarly, for the target gene vpadF, genomic DNA dilutions (6.58 × 10−6 to 4.95 × 102 ng/µL) of each of the 39 V. parahaemolyticus strains (vpadF+) were tested in the LAMP tubes. The results showed that the LODs targeting the vpadF gene ranged from 1.85 × 10−4 to 4.30 × 10−1 ng/reaction using the LAMP method (Table 3, Figure 3B).
For the target gene tlh, genomic DNA dilutions of each of the 50 V. parahaemolyticus strains (tlh+) were tested in the LAMP tubes. The results showed that the LODs of the LAMP method for the vpadF gene ranged from 1.85 × 10−4 to 3.35 × 101 ng/reaction (Table 4, Figure 3C).
For the target gene ureC, genomic DNA dilutions (9.26 × 101 to 9.26 × 10−6 ng/μL) of V. parahaemolyticus ATCC17802 (ureC+) were examined by the LAMP method. The LOD tube contained 1.85 × 10−3 ng/reaction of genomic DNA for the ureC gene (Table 4, figures not shown).
Taken together, approximately 76.5% of the genomic DNA samples from all the V. parahaemolyticus strains (39 of the 51 strains) could be detected at less than 10 pg/reaction (25 µL) by the LAMP method developed in this study, which demonstrated the high sensitivity of the LAMP method for the detection of the genomic DNA of V. parahaemolyticus.
2.3. Sensitivity Comparison of the LAMP Method with the Standard PCR Assay
2.3.1. For the Detection of Cell Culture of V. parahaemolyticus
To compare the sensitivity of the LAMP method with the standard PCR assay, serial dilutions of each of the 50 V. parahaemolyticus cell cultures (2.14 × 109 to 1.02 × 100 CFU/mL) were examined by the PCR assay. For the target gene opaR, the observed LOD values of the PCR assay ranged from 7.13 × 106 to 1.37 × 103 CFU/reaction via the routine agarose gel electrophoresis analysis (Table 2); for example, when serial dilutions of V. parahaemolyticus B4-13 cell culture were tested, the observed LOD of the PCR assay was 4.40 × 104 CFU/reaction (Figure 2D), which was 1.00 × 104-fold lower than that of the LAMP method (4.40 CFU/reaction) (Figure 2A(r4)).
Similarly, for the target gene vpadF, the cell culture of the 39 V. parahaemolyticus strains (vpadF+, 2.14 × 109 to 1.02 × 100 CFU/mL) was tested by the PCR assay. The resulting LODs of the PCR assay were 1.73 × 102 to 8.63 × 105 CFU/reaction (Table 3). Serial dilutions of V. parahaemolyticus B7-16, B9-42, and N4-46 were also examined by the PCR assay. The results showed that their LODs were 7.80 × 104, 1.73 × 102, and 2.87 × 104, which were 1000-, 100-, and 100-fold lower than those obtained by the LAMP method (7.80 × 101 CFU/reaction, 1.73 CFU/reaction, and 2.87 × 102 CFU/reaction), respectively (Table 3, figures not shown).
For the target gene tlh, the cell culture of the 50 V. parahaemolyticus strains (tlh+) was tested by the PCR assay, and the observed LODs were recorded to range from 7.90 × 101 to 9.20 × 106 CFU/reaction. The LAMP method was 1.00 × 101- to 1.00 × 104-fold more sensitive than the PCR assay (Table 4).
For the target gene ureC, serial dilutions of V. parahaemolyticus ATCC17802 cell culture (ureC +) were examined by the PCR assay. The LOD of the PCR assay was 4.40 × 100 CFU/reaction, which was 10-fold less sensitive than the LAMP method (4.40 × 10−1 CFU/reaction; Table 4, figures not shown).
These results demonstrated that the lowest LODs, obtained using the PCR assay, targeting the opaR, tlh, ureC, and vpadF genes in the cell culture of V. parahaemolyticus strains, were 1.00 × 101- to 1.00 × 107-fold lower than those obtained using the PCR assay.
2.3.2. For the Detection of Genomic DNA of V. parahaemolyticus
Genomic DNA dilutions of each of the 50 V. parahaemolyticus strains (6.58 × 10−6 to 4.95 × 102 ng/µL) were also examined by the PCR assay, and the resulting data are presented in Table 2, Table 3 and Table 4. For the target gene opaR, the observed LODs for the detection of the genomic DNA of the 50 V. parahaemolyticus strains (opaR+) ranged from 1.96 × 10−2 to 3.79 × 102 ng/reaction using the PCR assay, which was 1.00 × 101- to 1.00 × 106-fold lower than those obtained using the LAMP method (Table 2, Figure 3).
Similarly, for the target gene vpadF, the LODs for the detection of the genomic DNA of the 39 V. parahaemolyticus strains (vpadF+) were 2.68 × 10−1 to 4.16 × 102 ng/reaction using the PCR assay, which was 1.00 × 101- to 1.00 × 104-fold lower than those obtained using the LAMP method (Table 3, Figure 3).
For the target gene tlh, the LODs for the detection of the genomic DNA of the 50 V. parahaemolyticus strains (tlh+) were 3.05 × 10−2 to 6.04 × 102 ng/reaction using the PCR assay, which was 1.00 × 101- to 1.00 × 104-fold lower than those obtained using the LAMP method (Table 4, Figure 3).
For the target gene ureC, the observed LOD for the detection of the genomic DNA of V. parahaemolyticus ATCC17802 (ureC+) was 1.85 × 10−1 ng/reaction using the PCR assay, which was 100-fold lower than that obtained using the LAMP method (Table 4, figures not shown).
These results demonstrated that the sensitivity of the LAMP method was 1.00 × 101- to 1.00 × 106-fold higher than that of the routine PCR assay for the detection of the genomic DNA of V. parahaemolyticus strains.
2.4. Sensitivity of the LAMP Method for the Detection of Spiked Fish, Shrimp and Shellfish Samples
Cell cultures of the V. parahaemolyticus strains ATCC17802 (opaR+/vpadF+/tlh+/ureC+) and N7-19 (opaR+/vpadF+/tlh+/ureC-) were individually spiked into each of six species of commonly consumed aquatic animal samples, including the following four species of fish: Aristichthys nobilis, Carassius auratus, Ctenopharyngodon idella, and Parabramis pekinensis; the following species of shrimp: Litopenaeus vannamei; the following species of shellfish: Mytilus edulis. The sensitivity of the LAMP method was determined for each of the target genes, and the resulting data are presented in Table 5.
Table 5.
Sensitivity of the LAMP method and the PCR assay for the detection of aquatic product samples spiked with V. parahaemolyticus strains.
When the cell culture of V. parahaemolyticus N7-19 (2.96 × 108 to 2.96 CFU/mL) was spiked into the samples, for the target gene opaR, the resulting LODs were recorded to range from 9.87 × 100 to 9.87 × 102 CFU/reaction for the spiked fish; 9.87 × 10−2 CFU/reaction for the spiked L. vannamei; 9.87 × 102 CFU/reaction for the spiked M. edulis samples. For the target gene vpadF, the LOD values were 9.87 × 10−1 to 9.87 × 102 CFU/reaction for the spiked fish; 9.87 × 100 CFU/reaction for the spiked shrimp; 9.87 × 102 CFU/reaction for the spiked shellfish. For the target gene tlh, the LOD values of the LAMP method ranged from 9.87 × 102 to 9.87 × 103 CFU/reaction for the spiked fish; 9.87 × 102 CFU/reaction for the spiked shrimp; 9.87 × 104 CFU/reaction for the spiked shellfish samples (Table 5, Figure 4).
Figure 4.
Sensitivity of the LAMP method for the detection of virulence-associated genes in spiked aquatic product samples. (A–D): the detection of opaR gene in C. idella, vpadF gene in P. pekinensis, tlh gene in L. vannamei, and ureC gene in M. edulis samples spiked with V. parahaemolyticus N7-19 (2.96 × 108–2.96 CFU/mL) (A–C), and V. parahaemolyticus ATCC17802 (2.75 × 108–2.75 CFU/mL). The results were observed by the naked eye under the visible light (r1) and the UV light (302 nm) (r2), and verified by 2% agarose gel electrophoresis analysis (r3) by the LAMP method. r4: the results by the PCR assay. Lane M: DNA molecular weight Marker (D2000 bp, and 25-500 bp, Sangon, China). Tube 0: negative control.
Similarly, when the cell culture of V. parahaemolyticus ATCC17802 (2.75 × 109 to 2.75 CFU/mL) was spiked into the aquatic product samples, for the target gene ureC, the observed LODs by the LAMP method ranged from 9.17 × 103 to 9.17 × 102 CFU/reaction for the spiked A. nobilis, C. auratus, C. idella, and P. pekinensis; 9.17 × 102 CFU/reaction for the spiked L. vannamei; 9.17 × 101 CFU/reaction for the spiked M. edulis samples (Table 5, Figure 4).
2.5. Sensitivity Comparison of the LAMP Method with the Standard PCR Assay for the Detection of Spiked Aquatic Product Samples
The sensitivity of the detection of the spiked aquatic product samples with a cell culture of V. parahaemolyticus ATCC17802 (opaR+/vpadF+/tlh+/ureC+) and N7-19 (opaR+/vpadF+/tlh+/ureC−) was also determined by the standard PCR assay (Table 5); for example, when V. parahaemolyticus N7-19 was spiked into the samples, for the target gene opaR, the observed LODs using the PCR assay were 9.87 × 101 to 9.87 × 104 CFU/reaction for the spiked A. nobilis, C. auratus, C. idella, and P. pekinensis; 9.87 × 103 CFU/reaction for the spiked L. vannamei; 9.87 × 103 CFU/reaction for the spiked M. edulis samples. Similarly, for the target gene vpadF, the observed LODs using the PCR assay were 9.87 × 102 to 9.87 × 104 CFU/reaction for the spiked fish; 9.87 × 103 CFU/reaction for the spiked shrimp; 9.87 × 104 CFU/reaction for the spiked shellfish samples. For the target gene tlh, the observed LODs using the PCR assay were 9.87 × 104 to 9.87 × 105 CFU/reaction for the spiked fish; 9.87 × 103 CFU/reaction for the spiked shrimp; 9.87 × 105 CFU/reaction for the spiked shellfish samples (Table 5, Figure 4).
Similarly, when V. parahaemolyticus 17802 was spiked into the samples, for the target gene ureC, the observed LODs using the PCR assay were 9.17 × 104 to 9.17 × 105 CFU/reaction for the spiked fish; 9.17 × 104 CFU/reaction for the spiked shrimp; 9.17 × 102 CFU/reaction for the spiked shellfish samples (Table 5, Figure 4).
These results demonstrated that the sensitivity of the PCR assay was 1.00 × 101- to 1.00 × 105-fold lower than that of the LAMP method for the detection of the opaR, tlh, ureC, and vpadF genes in the spiked aquatic product samples.
2.6. Reproducibility of the LAMP Method
For the target genes opaR, tlh, ureC, and vpadF of V. parahaemolyticus, all the positive results could be repeated in all the tests performed for the detection of cell culture and genomic DNA samples, as well as of the spiked aquatic product samples, indicating high reproductivity (100%) of the LAMP method developed in this study.
2.7. Detection of Drinking Water and Aquatic Product Samples by the LAMP Method
Water samples from various sources were collected in Shanghai, China, in August 2021, including mineral water (n = 3), tap water (n = 3), river water (n = 3), lake water (n = 3), and estuarine water (n = 3). The samples were promptly screened by the LAMP method for the virulence-associated genes opaR, vpadF, tlh, and ureC of V. parahaemolyticus. As shown in Table 6, all the water samples tested negative for the target genes.
Table 6.
Detection of the virulence-related genes of V. parahaemolyticus in drinking water and aquatic product samples by the LAMP method.
In addition, six species of commonly consumed aquatic product samples were collected from the fish market in Shanghai, China, in September 2021, and were examined by the LAMP method. The results showed that all the meat samples and most the intestine samples were negative for the opaR, vpadF, tlh, and ureC genes of V. parahaemolyticus. However, the opaR and tlh genes were detected in the intestine sample of P. pekinensis (Table 6, Figure 5), which were confirmed by routine microbial isolation and identification methods [35] (data not shown). These results suggested the risk of potentially virulent V. parahaemolyticus strains in the fish product.
Figure 5.
The detection of opaR (A) and tlh (B) genes in aquatic product samples by the LAMP method. The results were observed by the naked eye under visible light (r1) and UV light (302 nm) (r2). Tubes 0 to 5: negative control, positive control, and intestine samples of A. nobilis, C. auratus, C. idella, and P. pekinensis, respectively.
3. Discussion
V. parahaemolyticus is the most prevalent gastroenteritis-causing pathogen in Asian countries [36,37]. Appropriate tools for the diagnosis of V. parahaemolyticus contamination in drinking water and aquatic products are the key to fight against outbreaks of the disease [38]. In this study, for the first time, we successfully developed a LAMP method for the detection of toxins and infection process-associated genes opaR, tlh, ureC, and vpadF of V. parahaemolyticus. Our data demonstrated high specificity of the inner, outer, and loop primers designed for each of the target genes in this study. No cross-reaction was observed with the other 7 species of Vibrios and 20 species of non-Vibrios strains, including common pathogenic bacteria, such as V. cholerae, V. alginolyticus, V. fluvialis, V. harveyi, and V. vulnificus, as well as L. monocytogenes, K. pneumoniae, K. oxytoca, A. hydrophila, and S. aureus.
Different sensitivity of the LAMP technique has been reported in the detection of foodborne pathogens; for example, Anupama et al. reported LODs of 1 pg/reaction and 1 CFU/reaction when targeting the tdh and trh genes of V. parahaemolyticus by LAMP [3]. The toxR-LAMP assay was able to detect 47–470 V. parahaemolyticus cells per reaction tube [32]. The LODs of the LAMP assays targeting the rpoD and toxR genes of V. parahaemolyticus were 3.7 and 450 CFU per test, respectively [31]. For the artificially contaminated seafood and seawater, the LODs of the LAMP assay were 120 and 150 fg per reaction for the groEL gene of V. parahaemolyticus [33]. In this study, inclusivity tests were conducted for each of the target genes with 50 V. parahaemolyticus strains. In a 25 µL LAMP system, the lowest observed LODs were 14.6 fg/reaction and 0.0103 CFU/reaction when targeting the opaR gene; 1.85 × 10−4 ng/reaction and 1.73 CFU/reaction when targeting the vpadF gene; 1.85 × 10−4 ng/reaction and 1.37 CFU/reaction when targeting the tlh gene; 1.85 pg/reaction and 0.44 CFU/reaction when targeting the ureC gene. The LAMP method developed in this study was more sensitive, with lower LODs, than the previous reports [3,31,32,33], not only for the detection of genomic DNA, but also for bacterial cell samples in water.
The influence of different aquatic product matrixes on the sensitivity of the LAMP method was observed in this study; for example, when the cell culture of V. parahaemolyticus ATCC17802 (2.75 × 109–2.75 CFU/mL) was spiked into the aquatic product samples, the observed LODs ranged from 9.17 × 103 to 9.17 × 101 CFU/reaction when targeting the ureC gene for the spiked fish, shrimp, and shellfish samples, which was 2.08× 102- to 2.08× 104-fold lower than those obtained for the detection of V. parahaemolyticus cells in water (4.40 × 10−1 CFU/reaction). Moreover, our data revealed that the L. vannamei matrix appeared to interfere with the LAMP method more than those from the fish and shellfish. The L. vannamei matrix contained higher contents of proteins (23.3%) and crude fat (15.09%) [39] than the P. pekinensis (15.6% and 6.6%, respectively) and M. edulis (10.8% and 1.4%, respectively) matrixes [40], which may explain the observation. It will be interesting to investigate possible components in the L. vannamei matrix that contributed to the influence.
A comparison of the sensitivity of the LAMP method with the standard PCR assay revealed that the lowest LODs of the PCR assay ranged from 1.96 × 10−2 to 3.79 × 102 ng/reaction and 1.37 × 103 to 7.13 × 106 CFU/reaction when targeting the opaR gene of V. parahaemolyticus; 3.05 × 10−2 to 6.04 × 102 ng/reaction and 7.90 × 101 to 9.20 × 106 CFU/reaction when targeting the tlh gene; 1.85 × 10−1 ng/reaction and 4.40 × 100 CFU/reaction when targeting the ureC gene; 2.68 × 10−1 to 4.16 × 102 ng/reaction and 1.73 × 102 to 8.63 × 105 CFU/reaction when targeting the vpadF gene. These LODs were 1.00 × 101- to 1.00 × 106-fold, for the genomic DNA, and 1.00 × 101- to 1.00 × 107-fold, for the cell culture, lower than those obtained using the LAMP method. Although the aquatic product matrixes interfered with the sensitivity of the LAMP method, it was still more sensitive than the PCR assay.
The main limitation of the LAMP-based method is the complexity of the primer design to achieve the specificity of the detection. Another possible limitation of this method is that it could generate false-positive results due to the carry-over from previous experiments (due to its high sensitivity), especially when upgraded to an automated platform [41]. However, compared with the routine PCR and RT-PCR assays, the LAMP method developed in this study can be performed with a simple dry or water bath, which is more suitable for laboratories with less equipment [28]. Moreover, unlike the former two assays, the LAMP method does not require the reaction tubes to be opened, so there is no probable cross-contamination, and this method supports the field screening of potentially virulent V. parahaemolyticus with a larger diagnostic capacity.
4. Materials and Methods
4.1. Bacterial Strains and Culture Conditions
Bacterial strains used in this study are listed in Supplementary Table S1. Culture media were purchased as described previously [28]. Vibrio strains were incubated in 3% NaCl, pH 8.5 media, while non-Vibrio strains were incubated in 1% NaCl, pH 7.0 media [28].
4.2. Genomic DNA Preparation
Bacterial genomic DNA was prepared using TIANamp Bacterial Genomic DNA Extraction kit DP302 (Tiangen Biotech (Beijing) Co., Ltd., Beijing, China), or extracted by a thermal lysis method [28] with minor modifications. Briefly, 100 µL of bacteria cell culture was added into 900 µL 1 x phosphate-buffered saline (PBS, pH 7.4–7.6; Shanghai Sangon Biological Engineering Technology and Services Co., Ltd., Shanghai, China), mixed well, and then serially diluted. Cell pellet of each dilution was collected by centrifugation, resuspended with 200 µL sterile ultrapure water. The cell suspension was heated at 95 °C for 10 min, and then transferred onto ice for cooling. After centrifugation at 12,000 rpm for 5 min, the resulting lysis solution was used as DNA template. Extracted DNA samples were analyzed, and DNA concentrations and purity (A260/A280) were determined as described previously [28].
4.3. Designing of LAMP Primers
Sequences of target genes (opaR, tlh, ureC, and vpadF) in V. parahaemolyticus were retrieved from National Center for Biotechnology Information (NCBI, https://www.ncbi.nlm.nih.gov/; accessed on 9 December 2020 to 23 May 2021) with GenBank accession numbers listed in Supplementary Table S1. The FIP and BIP, F3 and B3, and LF and LB primers targeting conserved sequences of each gene were designed using Primer Explorer Version 5 and SnapGene Viewer version 4.1.4 software (GSL Biotech LLC, Chicago, IL, USA) as described previously [28]. All primers (Table 1) were synthesized and DNA sequencing of PCR products was carried out by Sangon (Shanghai, China).
Following this, 1.6 µM of FIP and BIP primers, 0.05 µM of F3 and B3 primers, and 0.20 µM of LF and LB primers were used in a 25 µL LAMP reaction system. The system also contained 6 mM Mg2+, 1.0 mM dNTP, 8 units of bacillus stearothermophilus (Bst) DNA polymerase, and MnCl2 (15.60 mM)–calcein (1.30 mM) [27,28]. The one-step LAMP reaction was performed at 65 °C for 45 min.
4.4. Determination of Specificity and Sensitivity of the LAMP Method
Exclusivity (determined as 100% negative detection of non-target strains) and inclusivity (determined as 100% positive detection of target strains) tests of the LAMP method were determined as described previously [27,28]. The 50 bacterial strains and 51 V. parahaemolyticus strains used in this study for the exclusivity and inclusivity tests are listed in Supplementary Table S1 and Table 2, Table 3, Table 4, respectively. Genomic DNA samples extracted from each of these strains were serially diluted with DNase-/RNase-free deionized water (Tiangen Biotech Co., Ltd., Beijing, China), and used as DNA templates.
For the detection of V. parahaemolyticus cells, overnight cultures of each V. parahaemolyticus strain were inoculated (1%, v/v) into fresh media (Supplementary Table S1) and bacterial cells grown at mid-logarithmic phase were harvested by centrifugation, resuspended, diluted, and enumerated as described previously [27,28].
4.5. Preparation and Analysis of Spiked Samples by LAMP
Spiked aquatic product samples were prepared according to the method described previously [42]. Fresh fish (A. nobilis, C. auratus, C. idellus, and P. pekinensis) (n = 3 per fish species, >500 g/sample), shrimp (L. vannamei, 500 g), and shellfish (M. edulis, 500 g) were purchased from Huangweixing aquatic product market in Nanhui New Town, Pudong New Area, Shanghai, China in September 2021. Twenty-five grams (wet weight) of mussel samples without skin or shell, or intestine samples, were cut with a sterile scalpel and homogenized with 225 mL of 1 × PBS (pH 7.4–7.6, Sangon, China) using BagMixer 400 (Interscience, Paris, France) homogenizer. Only the homogenate samples that were detected as negative for V. parahaemolyticus and the virulence-associated genes were used in the following spiked experiments [28,35].
Serial 10-fold dilutions of V. parahaemolyticus ATCC17802 and N7-19 culture were prepared, and calculated by plate counting method [28]. Further, 100 µL of each dilution was spiked into 900 µL fresh homogenate. Two microliters of 10-fold dilution of the mixture was used for the LAMP method [28].
4.6. PCR Assay
Primers used for the PCR assay in this study are listed in Table 1. The 10 µL PCR reaction solutions were prepared, and 30 cycles of PCR reactions were performed using Mastercycler Rpro PCR thermal cycler (Eppendorf, Hamburg, Germany), according to the methods described previously [28]. Amplicons were analyzed by agarose gel electrophoresis, then visualized and recorded [28].
4.7. Sample Collection and Analysis
Water samples were collected from various sources in August 2021 in Shanghai, China (Table 5). Freshwater fish (A. nobilis, C. auratus, C. idellus, and P. pekinensis) (n = 3 per fish species, >500 g/sample), shrimp (L. vannamei, 500 g), and shellfish (M. edulis, 500 g) samples were collected from the local aquatic product market as described above. All samples were maintained at 4 °C, immediately transported to the laboratory in Shanghai Ocean University (Shanghai, China), and analyzed according to the National Standards of the People’s Republic of China; we used the standard inspection methods for drinking water, the collection and preservation of water samples (GB/T 5750.2-2006), the direct processing of samples (SN/T 2332-2009), and the methods described previously by our research group [27,28].
5. Conclusions
Vibrio parahaemolyticus can cause acute gastroenteritis, wound infection, and septicemia in humans. The bacterium is found growing in aquatic environments worldwide. The detection of V. parahaemolyticus in drinking water and aquatic products is essential for food safety control and human health. In this study, a simple, specific, and user-friendly diagnostic tool was developed for the first time, for the qualitative and quantitative detection of toxins and infection process-associated genes opaR, vpadF, tlh, and ureC in V. parahaemolyticus, using the LAMP technique. Three pairs of specific inner, outer, and loop primers were designed for targeting each of these genes, and the results showed no cross-reaction with the other common Vibrios and non-Vibrios pathogenic bacteria. Positive results in the one-step LAMP reaction (at 65 °C for 45 min) were identified by a change to light green and the emission of bright green fluorescence under visible light and UV light (302 nm), respectively. The lowest limit of detection (LOD) of the LAMP method for the target genes ranged from 1.46 × 10−5 to 1.85 × 10−3 ng/reaction (25 µL) for the genomic DNA, and from 1.03 × 10−2 to 1.73 × 100 CFU/reaction (25 µL) for the cell culture of V. parahaemolyticus, which were 1.00 × 101–1.00 × 106 and 1.00 × 101–1.00 × 107 more sensitive than the standard polymerase chain reaction (PCR) assay. Similarly high efficiency was observed for the detection of spiked aquatic product samples. Water from various sources, and commonly consumed fish (A. nobilis, C. auratus, C. idellus, and P. pekinensis), shrimp (L. vannamei), and shellfish (M. edulis) samples, were promptly screened by the LAMP method, and V. parahaemolyticus was detected by the presence of opaR and tlh genes in the intestine of P. pekinensis, indicating a risk of potentially pathogenic V. parahaemolyticus in the fish product. Overall, this study provides a molecular diagnostic tool for early diagnosis, particularly for the large-scale screening of drinking water and aquatic products contaminated by V. parahaemolyticus, a leading sea foodborne pathogen worldwide.
Supplementary Materials
The following are available online at https://www.mdpi.com/article/10.3390/pathogens11010010/s1: Table S1: bacterial strains and media used in this study; Table S2: target gene sequences in some representative V. parahaemolyticus strains used in this study.
Author Contributions
Conceptualization, L.C.; formal analysis, Y.L.; investigation, Z.S.; data curation, Z.S.; writing—original draft preparation, Z.S.; writing—review and editing, L.C.; funding acquisition, L.C. All authors have read and agreed to the published version of the manuscript.
Funding
This study was supported by Science and Technology Commission of Shanghai Municipality, grant number 17050502200, and National Natural Science Foundation of China, grant number 31671946.
Data Availability Statement
The datasets generated during and/or analyzed during the current study can be find in the main text and the Supplementary Materials.
Acknowledgments
The authors are grateful to Lianzhi Yang for his help in some data analysis.
Conflicts of Interest
The authors declare no conflict of interest.
References
- He, M.; Lei, T.; Jiang, F.; Zhang, J.; Zeng, H.; Wang, J.; Chen, M.; Xue, L.; Wu, S.; Ye, Q.; et al. Genetic diversity and population structure of Vibrio parahaemolyticus isolated from clinical and food sources. Front Microbiol. 2021, 12, 708795. [Google Scholar] [CrossRef]
- Pang, R.; Li, Y.; Chen, M.; Zeng, H.; Lei, T.; Zhang, J.; Ding, Y.; Wang, J.; Wu, S.; Ye, Q.; et al. A database for risk assessment and comparative genomic analysis of foodborne Vibrio parahaemolyticus in China. Sci. Data 2020, 7, 321. [Google Scholar] [CrossRef] [PubMed]
- Anupama, K.P.; Nayak, A.; Karunasagar, I.; Karunasagar, I.; Maiti, B. Evaluation of loop-mediated isothermal amplification assay along with conventional and real-time PCR assay for sensitive detection of pathogenic Vibrio parahaemolyticus from seafood sample without enrichment. Mol. Biol. Rep. 2021, 48, 1009–1016. [Google Scholar] [CrossRef]
- Nemoto, J.; Sugawara, C.; Akahane, K.; Hashimoto, K.; Kojima, T.; Ikedo, M.; Konuma, H.; Hara-Kudo, Y. Rapid and specific detection of the thermostable direct hemolysin gene in Vibrio parahaemolyticus by loop-mediated isothermal amplification. J. Food Prot. 2009, 72, 748–754. [Google Scholar] [CrossRef]
- Park, K.S.; Iida, T.; Yamaichi, Y.; Oyagi, T.; Yamamoto, K.; Honda, T. Genetic characterization of DNA region containing the trh and ure genes of Vibrio parahaemolyticus. Infect. Immun. 2000, 68, 5742–5748. [Google Scholar] [CrossRef]
- Álvarez-Contreras, A.K.; Quiñones-Ramírez, E.I.; Vázquez-Salinas, C. Prevalence, detection of virulence genes and antimicrobial susceptibility of pathogen Vibrio species isolated from different types of seafood samples at “La Nueva Viga” market in Mexico City. Antonie Van Leeuwenhoek 2021, 114, 1417–1429. [Google Scholar] [CrossRef]
- Wan, Y.; Liu, C.; Ma, Q. Structural analysis of a vibrio phospholipase reveals an unusual Ser-His-chloride catalytic triad. J. Biol. Chem. 2019, 294, 11391–11401. [Google Scholar] [CrossRef] [PubMed]
- Liu, M.; Chen, S. A novel adhesive factor contributing to the virulence of Vibrio parahaemolyticus. Sci. Rep. 2015, 5, 14449. [Google Scholar] [CrossRef]
- Liu, M.; Yang, S.; Zheng, C.; Luo, X.; Bei, W.; Cai, P. Binding to type I collagen is essential for the infectivity of Vibrio parahaemolyticus to host cells. Cell Microbiol. 2018, 20, e12856. [Google Scholar] [CrossRef] [PubMed]
- Zhang, Y.; Qiu, Y.; Gao, H.; Sun, J.; Li, X.; Zhang, M.; Xue, X.; Yang, W.; Ni, B.; Hu, L.; et al. OpaR Controls the Metabolism of c-di-GMP in Vibrio parahaemolyticus. Front Microbiol. 2021, 12, 676436. [Google Scholar] [CrossRef]
- Saravanan, A.; Kumar, P.S.; Hemavathy, R.V.; Jeevanantham, S.; Kamalesh, R.; Sneha, S.; Yaashikaa, P.R. Methods of detection of food-borne pathogens: A review. Environ. Chem. Lett. 2021, 19, 189–207. [Google Scholar] [CrossRef]
- Jiang, H.; Sun, Z.; Guo, Q.; Weng, X. Microfluidic thread-based electrochemical aptasensor for rapid detection of Vibrio parahaemolyticus. Biosens. Bioelectron. 2021, 182, 113191. [Google Scholar] [CrossRef]
- Xing, J.; Yu, J.; Liu, Y. Improvement and evaluation of loop-mediated isothermal amplification combined with chromatographic flow dipstick assays for Vibrio parahaemolyticus. J. Microbiol. Methods 2020, 171, 105866. [Google Scholar] [CrossRef] [PubMed]
- Notomi, T.; Okayama, H.; Masubuchi, H.; Yonekawa, T.; Watanabe, K.; Amino, N.; Hase, T. Loop-mediated isothermal amplification of DNA. Nucleic Acids Res. 2000, 28, e63. [Google Scholar] [CrossRef]
- Thompson, D.; Lei, Y. Mini review: Recent progress in RT-LAMP enabled COVID-19 detection. Sens. Actuators Rep. 2020, 2, 100017. [Google Scholar] [CrossRef]
- John, A.; He, P.J.W.; Katis, I.N.; Galanis, P.P.; Iles, A.H.; Eason, R.W.; Sones, C.L. Capillary-based reverse transcriptase loop-mediated isothermal amplification for cost-effective and rapid point-of-care COVID-19 testing. Anal. Chim. Acta 2021, 1185, 339002. [Google Scholar] [CrossRef] [PubMed]
- Wu, C.; Zeng, Y.; He, Y. Rapid visualization and detection of Staphylococcus aureus based on loop-mediated isothermal amplification. World J. Microbiol. Biotechnol. 2021, 37, 209. [Google Scholar] [CrossRef]
- Mirahmadi, H.; Kazemipour, N.; Yazdiani, A.; Mehravaran, A.; Basseri, H.R.; Mohammadi, L.; Alijani, E. Investigation of LAMP technique in diagnosis type of plasmodium species in anopheles mosquitoes: A fast and practical technique to detect malaria pathogens in the field. Ethiop. J. Health Sci. 2021, 31, 743–752. [Google Scholar] [CrossRef]
- Chu, J.; Shin, J.; Kang, S.; Shin, S.; Chung, Y.J. Rapid and sensitive detection of Salmonella species targeting the hilA gene using a loop-mediated isothermal amplification assay. Genom. Inform. 2021, 19, e30. [Google Scholar] [CrossRef]
- Miyamoto, S.; Sano, S.; Takahashi, K.; Jikihara, T. Method for colorimetric detection of double-stranded nucleic acid using leuco triphenylmethane dyes. Anal. Biochem. 2015, 473, 28–33. [Google Scholar] [CrossRef]
- Toffaletti, J.; Kirvan, K. Spectrophotometric micro method for measurement of dialyzable calcium by use of cresolphthalein complexone and continuous-flow analysis. Clin. Chem. 1980, 26, 1562–1565. [Google Scholar] [CrossRef]
- Tomita, N.; Mori, Y.; Kanda, H.; Notomi, T. Loop-mediated isothermal amplification (LAMP) of gene sequences and simple visual detection of products. Nat. Protoc. 2008, 3, 877–882. [Google Scholar] [CrossRef]
- Kim, J.H.; Kang, M.; Park, E.; Chung, D.R.; Kim, J.; Hwang, E.S. A simple and multiplex loop-mediated isothermal amplification (LAMP) assay for rapid detection of SARS-CoV. BioChip J. 2019, 13, 341–351. [Google Scholar] [CrossRef]
- Golabi, M.; Flodrops, M.; Grasland, B.; Vinayaka, A.C.; Quyen, T.L.; Nguyen, T.; Bang, D.D.; Wolff, A. Development of reverse transcription loop-mediated isothermal amplification assay for rapid and on-site detection of avian influenza virus. Front Cell Infect. Microbiol. 2021, 11, 652048. [Google Scholar] [CrossRef]
- Chi, Y.; Ge, Y.; Zhao, K.; Zou, B.; Liu, B.; Qi, X.; Bian, Q.; Shi, Z.; Zhu, F.; Zhou, M.; et al. Multiplex reverse-transcription loop-mediated isothermal amplification coupled with cascade invasive reaction and nanoparticle hybridization for subtyping of influenza a virus. Sci. Rep. 2017, 7, 44924. [Google Scholar] [CrossRef]
- Kashir, J.; Yaqinuddin, A. Loop mediated isothermal amplification (LAMP) assays as a rapid diagnostic for COVID-19. Med. Hypotheses 2020, 141, 109786. [Google Scholar] [CrossRef] [PubMed]
- Chen, D.; Liang, Z.; Ren, S.; Alali, W.; Chen, L. Rapid and visualized detection of virulence-related genes of Vibrio cholerae in water and aquatic products by loop-mediated isothermal amplification. J. Food Prot. 2021. [CrossRef] [PubMed]
- Xu, M.; Fu, H.; Chen, D.; Shao, Z.; Zhu, J.; Alali, W.Q.; Chen, L. Simple Visualized Detection Method of Virulence-Associated Genes of Vibrio cholerae by Loop-Mediated Isothermal Amplification. Front Microbiol. 2019, 10, 2899. [Google Scholar] [CrossRef]
- Tian, X.; Feng, J.; Wang, Y. Direct loop-mediated isothermal amplification assay for on-site detection of Staphylococcus aureus. FEMS Microbiol. Lett. 2018, 365, fny092. [Google Scholar] [CrossRef] [PubMed]
- Ou, H.; Wang, Y.; Gao, J.; Bai, J.; Zhang, Q.; Shi, L.; Wang, X.; Wang, C. Rapid detection of Salmonella based on loop-mediated isothermal amplification. Ann. Palliat. Med. 2021, 10, 6850–6858. [Google Scholar] [CrossRef] [PubMed]
- Nemoto, J.; Ikedo, M.; Kojima, T.; Momoda, T.; Konuma, H.; Hara-Kudo, Y. Development and evaluation of a loop-mediated isothermal amplification assay for rapid and sensitive detection of Vibrio parahaemolyticus. J. Food Prot. 2011, 74, 1462–1467. [Google Scholar] [CrossRef]
- Chen, S.; Ge, B. Development of a toxR-based loop-mediated isothermal amplification assay for detecting Vibrio parahaemolyticus. BMC Microbiol. 2010, 10, 41. [Google Scholar] [CrossRef]
- Siddique, M.P.; Jang, W.J.; Lee, J.M.; Ahn, S.H.; Suraiya, S.; Kim, C.H.; Kong, I.S. groEL is a suitable genetic marker for detecting Vibrio parahaemolyticus by loop-mediated isothermal amplification assay. Lett. Appl. Microbiol. 2017, 65, 106–113. [Google Scholar] [CrossRef]
- Ndraha, N.; Hsiao, H.I. Influence of climatic factors on the temporal occurrence and distribution of total and pathogenic Vibrio parahaemolyticus in oyster culture environments in Taiwan. Food Microbiol. 2021, 98, 103765. [Google Scholar] [CrossRef]
- Su, C.; Chen, L. Virulence, resistance, and genetic diversity of Vibrio parahaemolyticus recovered from commonly consumed aquatic products in Shanghai, China. Mar. Pollut. Bull. 2020, 160, 111554. [Google Scholar] [CrossRef]
- Kang, C.H.; Shin, Y.; Kim, W.; Kim, Y.; Song, K.; Oh, E.G.; Kim, S.; Yu, H.; So, J.S. Prevalence and antimicrobial susceptibility of Vibrio parahaemolyticus isolated from oysters in Korea. Environ. Sci. Pollut. Res. Int. 2016, 23, 918–926. [Google Scholar] [CrossRef] [PubMed]
- Kim, S.; Chung, H.Y.; Lee, D.H.; Lim, J.G.; Kim, S.K.; Ku, H.J.; Kim, Y.T.; Kim, H.; Ryu, S.; Lee, J.H.; et al. Complete genome sequence of Vibrio parahaemolyticus strain FORC_008, a foodborne pathogen from a flounder fish in South Korea. Pathog. Dis. 2016, 74, ftw044. [Google Scholar] [CrossRef] [PubMed][Green Version]
- Zhou, Q.J.; Lu, J.F.; Su, X.R.; Jin, J.L.; Li, S.Y.; Zhou, Y.; Wang, L.; Shao, X.B.; Wang, Y.H.; Yan, M.C.; et al. Simultaneous detection of multiple bacterial and viral aquatic pathogens using a fluorogenic loop-mediated isothermal amplification-based dual-sample microfluidic chip. J. Fish Dis. 2021, 44, 401–413. [Google Scholar] [CrossRef]
- Liu, Z.; Liu, Q.; Zhang, D.; Wei, S.; Sun, Q.; Xia, Q.; Shi, W.; Ji, H.; Liu, S. Comparison of the proximate composition and nutritional profile of byproducts and edible parts of five species of shrimp. Foods 2021, 10, 2603. [Google Scholar] [CrossRef] [PubMed]
- Rittenschober, D.; Nowak, V.; Charrondiere, U.R. Review of availability of food composition data for fish and shellfish. Food Chem. 2013, 141, 4303–4310. [Google Scholar] [CrossRef]
- Augustine, R.; Hasan, A.; Das, S.; Ahmed, R.; Mori, Y.; Notomi, T.; Kevadiya, B.D.; Thakor, A.S. Loop-mediated isothermal amplification (LAMP): A rapid, sensitive, specific, and gost-effective point-of-care test for coronaviruses in the context of COVID-19 pandemic. Biology 2020, 9, 182. [Google Scholar] [CrossRef] [PubMed]
- Yamazaki, W. Sensitive and rapid detection of cholera toxin-producing Vibrio cholerae using loop-mediated isothermal amplification. Methods Mol. Biol. 2011, 739, 13–22. [Google Scholar] [CrossRef] [PubMed]
Publisher’s Note: MDPI stays neutral with regard to jurisdictional claims in published maps and institutional affiliations. |
© 2021 by the authors. Licensee MDPI, Basel, Switzerland. This article is an open access article distributed under the terms and conditions of the Creative Commons Attribution (CC BY) license (https://creativecommons.org/licenses/by/4.0/).




