Qualitative and Quantitative Detection of Potentially Virulent Vibrio parahaemolyticus in Drinking Water and Commonly Consumed Aquatic Products by Loop-Mediated Isothermal Amplification
Abstract
1. Introduction
2. Results
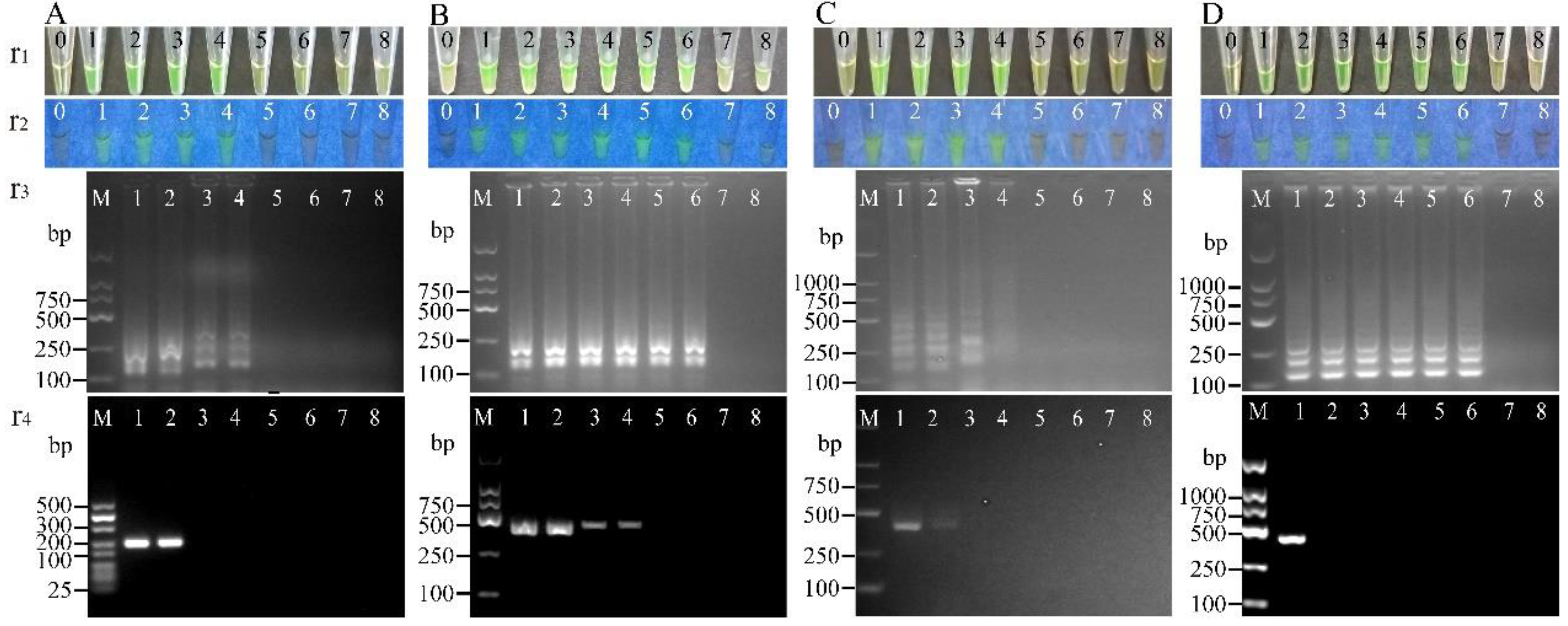
2.1. Specificity of the LAMP Method
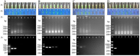
2.2. Sensitivity of the LAMP Method
2.2.1. For the Detection of Cell Culture of V. parahaemolyticus
2.2.2. For the Detection of Genomic DNA of V. parahaemolyticus
2.3. Sensitivity Comparison of the LAMP Method with the Standard PCR Assay
2.3.1. For the Detection of Cell Culture of V. parahaemolyticus
2.3.2. For the Detection of Genomic DNA of V. parahaemolyticus
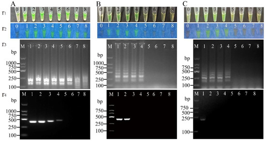
2.4. Sensitivity of the LAMP Method for the Detection of Spiked Fish, Shrimp and Shellfish Samples
2.5. Sensitivity Comparison of the LAMP Method with the Standard PCR Assay for the Detection of Spiked Aquatic Product Samples
2.6. Reproducibility of the LAMP Method
2.7. Detection of Drinking Water and Aquatic Product Samples by the LAMP Method
3. Discussion
4. Materials and Methods
4.1. Bacterial Strains and Culture Conditions
4.2. Genomic DNA Preparation
4.3. Designing of LAMP Primers
4.4. Determination of Specificity and Sensitivity of the LAMP Method
4.5. Preparation and Analysis of Spiked Samples by LAMP
4.6. PCR Assay
4.7. Sample Collection and Analysis
5. Conclusions
Supplementary Materials
Author Contributions
Funding
Data Availability Statement
Acknowledgments
Conflicts of Interest
References
- He, M.; Lei, T.; Jiang, F.; Zhang, J.; Zeng, H.; Wang, J.; Chen, M.; Xue, L.; Wu, S.; Ye, Q.; et al. Genetic diversity and population structure of Vibrio parahaemolyticus isolated from clinical and food sources. Front Microbiol. 2021, 12, 708795. [Google Scholar] [CrossRef]
- Pang, R.; Li, Y.; Chen, M.; Zeng, H.; Lei, T.; Zhang, J.; Ding, Y.; Wang, J.; Wu, S.; Ye, Q.; et al. A database for risk assessment and comparative genomic analysis of foodborne Vibrio parahaemolyticus in China. Sci. Data 2020, 7, 321. [Google Scholar] [CrossRef] [PubMed]
- Anupama, K.P.; Nayak, A.; Karunasagar, I.; Karunasagar, I.; Maiti, B. Evaluation of loop-mediated isothermal amplification assay along with conventional and real-time PCR assay for sensitive detection of pathogenic Vibrio parahaemolyticus from seafood sample without enrichment. Mol. Biol. Rep. 2021, 48, 1009–1016. [Google Scholar] [CrossRef]
- Nemoto, J.; Sugawara, C.; Akahane, K.; Hashimoto, K.; Kojima, T.; Ikedo, M.; Konuma, H.; Hara-Kudo, Y. Rapid and specific detection of the thermostable direct hemolysin gene in Vibrio parahaemolyticus by loop-mediated isothermal amplification. J. Food Prot. 2009, 72, 748–754. [Google Scholar] [CrossRef]
- Park, K.S.; Iida, T.; Yamaichi, Y.; Oyagi, T.; Yamamoto, K.; Honda, T. Genetic characterization of DNA region containing the trh and ure genes of Vibrio parahaemolyticus. Infect. Immun. 2000, 68, 5742–5748. [Google Scholar] [CrossRef]
- Álvarez-Contreras, A.K.; Quiñones-Ramírez, E.I.; Vázquez-Salinas, C. Prevalence, detection of virulence genes and antimicrobial susceptibility of pathogen Vibrio species isolated from different types of seafood samples at “La Nueva Viga” market in Mexico City. Antonie Van Leeuwenhoek 2021, 114, 1417–1429. [Google Scholar] [CrossRef]
- Wan, Y.; Liu, C.; Ma, Q. Structural analysis of a vibrio phospholipase reveals an unusual Ser-His-chloride catalytic triad. J. Biol. Chem. 2019, 294, 11391–11401. [Google Scholar] [CrossRef] [PubMed]
- Liu, M.; Chen, S. A novel adhesive factor contributing to the virulence of Vibrio parahaemolyticus. Sci. Rep. 2015, 5, 14449. [Google Scholar] [CrossRef]
- Liu, M.; Yang, S.; Zheng, C.; Luo, X.; Bei, W.; Cai, P. Binding to type I collagen is essential for the infectivity of Vibrio parahaemolyticus to host cells. Cell Microbiol. 2018, 20, e12856. [Google Scholar] [CrossRef] [PubMed]
- Zhang, Y.; Qiu, Y.; Gao, H.; Sun, J.; Li, X.; Zhang, M.; Xue, X.; Yang, W.; Ni, B.; Hu, L.; et al. OpaR Controls the Metabolism of c-di-GMP in Vibrio parahaemolyticus. Front Microbiol. 2021, 12, 676436. [Google Scholar] [CrossRef]
- Saravanan, A.; Kumar, P.S.; Hemavathy, R.V.; Jeevanantham, S.; Kamalesh, R.; Sneha, S.; Yaashikaa, P.R. Methods of detection of food-borne pathogens: A review. Environ. Chem. Lett. 2021, 19, 189–207. [Google Scholar] [CrossRef]
- Jiang, H.; Sun, Z.; Guo, Q.; Weng, X. Microfluidic thread-based electrochemical aptasensor for rapid detection of Vibrio parahaemolyticus. Biosens. Bioelectron. 2021, 182, 113191. [Google Scholar] [CrossRef]
- Xing, J.; Yu, J.; Liu, Y. Improvement and evaluation of loop-mediated isothermal amplification combined with chromatographic flow dipstick assays for Vibrio parahaemolyticus. J. Microbiol. Methods 2020, 171, 105866. [Google Scholar] [CrossRef] [PubMed]
- Notomi, T.; Okayama, H.; Masubuchi, H.; Yonekawa, T.; Watanabe, K.; Amino, N.; Hase, T. Loop-mediated isothermal amplification of DNA. Nucleic Acids Res. 2000, 28, e63. [Google Scholar] [CrossRef]
- Thompson, D.; Lei, Y. Mini review: Recent progress in RT-LAMP enabled COVID-19 detection. Sens. Actuators Rep. 2020, 2, 100017. [Google Scholar] [CrossRef]
- John, A.; He, P.J.W.; Katis, I.N.; Galanis, P.P.; Iles, A.H.; Eason, R.W.; Sones, C.L. Capillary-based reverse transcriptase loop-mediated isothermal amplification for cost-effective and rapid point-of-care COVID-19 testing. Anal. Chim. Acta 2021, 1185, 339002. [Google Scholar] [CrossRef] [PubMed]
- Wu, C.; Zeng, Y.; He, Y. Rapid visualization and detection of Staphylococcus aureus based on loop-mediated isothermal amplification. World J. Microbiol. Biotechnol. 2021, 37, 209. [Google Scholar] [CrossRef]
- Mirahmadi, H.; Kazemipour, N.; Yazdiani, A.; Mehravaran, A.; Basseri, H.R.; Mohammadi, L.; Alijani, E. Investigation of LAMP technique in diagnosis type of plasmodium species in anopheles mosquitoes: A fast and practical technique to detect malaria pathogens in the field. Ethiop. J. Health Sci. 2021, 31, 743–752. [Google Scholar] [CrossRef]
- Chu, J.; Shin, J.; Kang, S.; Shin, S.; Chung, Y.J. Rapid and sensitive detection of Salmonella species targeting the hilA gene using a loop-mediated isothermal amplification assay. Genom. Inform. 2021, 19, e30. [Google Scholar] [CrossRef]
- Miyamoto, S.; Sano, S.; Takahashi, K.; Jikihara, T. Method for colorimetric detection of double-stranded nucleic acid using leuco triphenylmethane dyes. Anal. Biochem. 2015, 473, 28–33. [Google Scholar] [CrossRef]
- Toffaletti, J.; Kirvan, K. Spectrophotometric micro method for measurement of dialyzable calcium by use of cresolphthalein complexone and continuous-flow analysis. Clin. Chem. 1980, 26, 1562–1565. [Google Scholar] [CrossRef]
- Tomita, N.; Mori, Y.; Kanda, H.; Notomi, T. Loop-mediated isothermal amplification (LAMP) of gene sequences and simple visual detection of products. Nat. Protoc. 2008, 3, 877–882. [Google Scholar] [CrossRef]
- Kim, J.H.; Kang, M.; Park, E.; Chung, D.R.; Kim, J.; Hwang, E.S. A simple and multiplex loop-mediated isothermal amplification (LAMP) assay for rapid detection of SARS-CoV. BioChip J. 2019, 13, 341–351. [Google Scholar] [CrossRef]
- Golabi, M.; Flodrops, M.; Grasland, B.; Vinayaka, A.C.; Quyen, T.L.; Nguyen, T.; Bang, D.D.; Wolff, A. Development of reverse transcription loop-mediated isothermal amplification assay for rapid and on-site detection of avian influenza virus. Front Cell Infect. Microbiol. 2021, 11, 652048. [Google Scholar] [CrossRef]
- Chi, Y.; Ge, Y.; Zhao, K.; Zou, B.; Liu, B.; Qi, X.; Bian, Q.; Shi, Z.; Zhu, F.; Zhou, M.; et al. Multiplex reverse-transcription loop-mediated isothermal amplification coupled with cascade invasive reaction and nanoparticle hybridization for subtyping of influenza a virus. Sci. Rep. 2017, 7, 44924. [Google Scholar] [CrossRef]
- Kashir, J.; Yaqinuddin, A. Loop mediated isothermal amplification (LAMP) assays as a rapid diagnostic for COVID-19. Med. Hypotheses 2020, 141, 109786. [Google Scholar] [CrossRef] [PubMed]
- Chen, D.; Liang, Z.; Ren, S.; Alali, W.; Chen, L. Rapid and visualized detection of virulence-related genes of Vibrio cholerae in water and aquatic products by loop-mediated isothermal amplification. J. Food Prot. 2021. [CrossRef] [PubMed]
- Xu, M.; Fu, H.; Chen, D.; Shao, Z.; Zhu, J.; Alali, W.Q.; Chen, L. Simple Visualized Detection Method of Virulence-Associated Genes of Vibrio cholerae by Loop-Mediated Isothermal Amplification. Front Microbiol. 2019, 10, 2899. [Google Scholar] [CrossRef]
- Tian, X.; Feng, J.; Wang, Y. Direct loop-mediated isothermal amplification assay for on-site detection of Staphylococcus aureus. FEMS Microbiol. Lett. 2018, 365, fny092. [Google Scholar] [CrossRef] [PubMed]
- Ou, H.; Wang, Y.; Gao, J.; Bai, J.; Zhang, Q.; Shi, L.; Wang, X.; Wang, C. Rapid detection of Salmonella based on loop-mediated isothermal amplification. Ann. Palliat. Med. 2021, 10, 6850–6858. [Google Scholar] [CrossRef] [PubMed]
- Nemoto, J.; Ikedo, M.; Kojima, T.; Momoda, T.; Konuma, H.; Hara-Kudo, Y. Development and evaluation of a loop-mediated isothermal amplification assay for rapid and sensitive detection of Vibrio parahaemolyticus. J. Food Prot. 2011, 74, 1462–1467. [Google Scholar] [CrossRef]
- Chen, S.; Ge, B. Development of a toxR-based loop-mediated isothermal amplification assay for detecting Vibrio parahaemolyticus. BMC Microbiol. 2010, 10, 41. [Google Scholar] [CrossRef]
- Siddique, M.P.; Jang, W.J.; Lee, J.M.; Ahn, S.H.; Suraiya, S.; Kim, C.H.; Kong, I.S. groEL is a suitable genetic marker for detecting Vibrio parahaemolyticus by loop-mediated isothermal amplification assay. Lett. Appl. Microbiol. 2017, 65, 106–113. [Google Scholar] [CrossRef]
- Ndraha, N.; Hsiao, H.I. Influence of climatic factors on the temporal occurrence and distribution of total and pathogenic Vibrio parahaemolyticus in oyster culture environments in Taiwan. Food Microbiol. 2021, 98, 103765. [Google Scholar] [CrossRef]
- Su, C.; Chen, L. Virulence, resistance, and genetic diversity of Vibrio parahaemolyticus recovered from commonly consumed aquatic products in Shanghai, China. Mar. Pollut. Bull. 2020, 160, 111554. [Google Scholar] [CrossRef]
- Kang, C.H.; Shin, Y.; Kim, W.; Kim, Y.; Song, K.; Oh, E.G.; Kim, S.; Yu, H.; So, J.S. Prevalence and antimicrobial susceptibility of Vibrio parahaemolyticus isolated from oysters in Korea. Environ. Sci. Pollut. Res. Int. 2016, 23, 918–926. [Google Scholar] [CrossRef] [PubMed]
- Kim, S.; Chung, H.Y.; Lee, D.H.; Lim, J.G.; Kim, S.K.; Ku, H.J.; Kim, Y.T.; Kim, H.; Ryu, S.; Lee, J.H.; et al. Complete genome sequence of Vibrio parahaemolyticus strain FORC_008, a foodborne pathogen from a flounder fish in South Korea. Pathog. Dis. 2016, 74, ftw044. [Google Scholar] [CrossRef] [PubMed][Green Version]
- Zhou, Q.J.; Lu, J.F.; Su, X.R.; Jin, J.L.; Li, S.Y.; Zhou, Y.; Wang, L.; Shao, X.B.; Wang, Y.H.; Yan, M.C.; et al. Simultaneous detection of multiple bacterial and viral aquatic pathogens using a fluorogenic loop-mediated isothermal amplification-based dual-sample microfluidic chip. J. Fish Dis. 2021, 44, 401–413. [Google Scholar] [CrossRef]
- Liu, Z.; Liu, Q.; Zhang, D.; Wei, S.; Sun, Q.; Xia, Q.; Shi, W.; Ji, H.; Liu, S. Comparison of the proximate composition and nutritional profile of byproducts and edible parts of five species of shrimp. Foods 2021, 10, 2603. [Google Scholar] [CrossRef] [PubMed]
- Rittenschober, D.; Nowak, V.; Charrondiere, U.R. Review of availability of food composition data for fish and shellfish. Food Chem. 2013, 141, 4303–4310. [Google Scholar] [CrossRef]
- Augustine, R.; Hasan, A.; Das, S.; Ahmed, R.; Mori, Y.; Notomi, T.; Kevadiya, B.D.; Thakor, A.S. Loop-mediated isothermal amplification (LAMP): A rapid, sensitive, specific, and gost-effective point-of-care test for coronaviruses in the context of COVID-19 pandemic. Biology 2020, 9, 182. [Google Scholar] [CrossRef] [PubMed]
- Yamazaki, W. Sensitive and rapid detection of cholera toxin-producing Vibrio cholerae using loop-mediated isothermal amplification. Methods Mol. Biol. 2011, 739, 13–22. [Google Scholar] [CrossRef] [PubMed]





| Primer | Target Gene | Reaction | Sequence (5′–3′) | Product Size (bp) | Source |
|---|---|---|---|---|---|
| FIP-opaR | opaR | LAMP | CAGTGACAATCTTGGCTTACGA-CGTGAAAACATCGCAAACA | This study | |
| BIP-opaR | opaR | LAMP | GTTCGAGTGGAGCGCATCAA-TGGTTAGTGCGGTTGGTA | ||
| F3-opaR | opaR | LAMP | TATCGACCTAGACATACACG | ||
| B3-opaR | opaR | LAMP | TTCAATCGCTTTAATGAACATG | ||
| LF-opaR | opaR | LAMP | CTCGATCATCGCATTGGTG | ||
| LB-opaR | opaR | LAMP | TTCGAGTGGAGCGCATCAAC | ||
| F-opaR | opaR | PCR | GTGGTGGTCACGCAGATA | 417 | This study |
| B-opaR | opaR | PCR | CGAACAGCGAGTAACAAA | ||
| FIP-vpadF | vpadF | LAMP | CACGCCTGCGGTATTAGTGAGTACCACCAAAGGCTTATGTGT | This study | |
| BIP-vpadF | vpadF | LAMP | ACCATGCGTACTGGTTAAGCCAACCGCACAAGATGAGGGT | ||
| F3-vpadF | vpadF | LAMP | TCGCTCAACGTTCCCATG | ||
| B3-vpadF | vpadF | LAMP | TTGTAGCGTTGTCATGCCA | ||
| LF-vpadF | vpadF | LAMP | ACCGCACTGGAAATGCC | ||
| LB-vpadF | vpadF | LAMP | TCAAGCTCGGCATAGAT | ||
| F-vpadF | vpadF | PCR | TGCGGTATTAGTGAGTATGG | 198 | This study |
| B-vpadF | vpadF | PCR | AACGCTGTTCCTTTATGTTT | ||
| FIP-tlh | tlh | LAMP | CGCAATGCGTGGGTGTACATGTGGTTTCGTGAACGCGAGT | This study | |
| BIP-tlh | tlh | LAMP | CTCTGAGTGTGCGGCGTCTGTGAGTTGCTGTTGTTGGGT | ||
| F3-tlh | tlh | LAMP | CTTCTGCGCCAGAAGAGC | ||
| B3-tlh | tlh | LAMP | TTTCTCTGCGACATAGCGG | ||
| LF-tlh | tlh | LAMP | CGGTTGATGTCCAAACAAG | ||
| LB-tlh | tlh | LAMP | AAGTTTGTGTTCTGGGATG | ||
| F-tlh | tlh | PCR | AGAACTTCATCTTGATGACACTGC | 401 | [34] |
| B-tlh | tlh | PCR | GCTACTTTCTAGCATTTTCTCTGC | ||
| FIP-ureC | ureC | LAMP | GCCAGGGGTGACTGTTGTAGCTTTTATCGGTGGTGGCACTG | This study | |
| BIP-ureC | ureC | LAMP | TGTTGGAAGCAGTCGATGAGCTCGCTTCTGGTTGACTCACA | ||
| F3-ureC | ureC | LAMP | GGCTTGTCATCGGGTGTC | ||
| B3-ureC | ureC | LAMP | GCTTCAATCTGCTCACGGAT | ||
| LF-ureC | ureC | LAMP | ATTAGTACCAGCTACAGGG | ||
| LB-ureC | ureC | LAMP | ATCAACGTCGGGCTATTC | ||
| F-ureC | ureC | PCR | GACAAAGCCAAGTGACGA | 312 | This study |
| B-ureC | ureC | PCR | CAGTGCCACCACCGATAA |
| Strain | Target Gene | Genomic DNA Dilutions (ng/μL) | LOD (ng/Reaction) | Rate of LOD for Genomic DNA (LAMP/PCR) | Cell Culture Dilutions (CFU/mL) | LOD (CFU/Reaction) | Rate of LOD for Cell Culture (LAMP/PCR) | ||
|---|---|---|---|---|---|---|---|---|---|
| LAMP | PCR | LAMP | PCR | ||||||
| B1-22 | opaR | 4.95 × 102–4.95 × 10−5 | 9.90 × 10−3 | 9.90 × 10−2 | 1.00 × 101 | 1.56 × 109–1.56 | 5.20 × 103 | 5.20 × 104 | 1.00 × 101 |
| B3-8 | opaR | 1.08 × 102–1.08 × 10−5 | 2.16 × 10−1 | 2.16 × 101 | 1.00 × 102 | 1.20 × 109–1.20 | 4.00 × 102 | 4.00 × 106 | 1.00 × 104 |
| B4-13 | opaR | 1.83 × 102–1.83 × 10−5 | 3.66 × 10−2 | 3.66 × 10−1 | 1.00 × 101 | 1.32 ×109–1.32 | 4.40 × 100 | 4.40 × 104 | 1.00 × 104 |
| B4-28 | opaR | 1.34 × 102–1.34 × 10−5 | 2.68 × 10−2 | 2.68 × 101 | 1.00 × 103 | 1.34 × 108–1.34 | 4.47 × 101 | 4.47 × 105 | 1.00 × 104 |
| B6-13 | opaR | 3.02 × 102–3.02 × 10−5 | 6.04 × 10−1 | 6.04 × 100 | 1.00 × 101 | 1.25 × 109–1.25 | 4.17 × 103 | 4.20 × 104 | 1.00 × 101 |
| B7-16 | opaR | 2.59 × 102–2.59 × 10−5 | 5.18 × 10−4 | 5.18 × 100 | 1.00 × 104 | 2.34 × 108–2.34 | 7.80 × 102 | 7.80 × 104 | 1.00 × 102 |
| B9-31 | opaR | 6.58 × 101–6.58 × 10−6 | 1.32 × 10−2 | 1.32 × 101 | 1.00 × 103 | 1.16 × 109–1.16 | 3.87 × 102 | 3.87 × 104 | 1.00 × 102 |
| B9-42 | opaR | 1.60 × 102–1.60 × 10−5 | 3.21 × 10−4 | 3.21 × 100 | 1.00 × 104 | 5.20 × 107–5.20 | 1.73 × 102 | 1.73 × 105 | 1.00 × 103 |
| B10-61 | opaR | 2.30 × 102–2.30 × 10−5 | 4.61 × 10−3 | 4.61 × 10−1 | 1.00 × 102 | 6.40 × 108–6.40 | 2.13 × 102 | 2.13 × 104 | 1.00 × 102 |
| B11-3 | opaR | 1.41 × 102–1.41 × 10−5 | 2.83 × 10−2 | 2.83 × 100 | 1.00 × 102 | 7.00 × 108–7.00 | 2.33 × 101 | 2.33 × 105 | 1.00 × 104 |
| L5-1 | opaR | 2.10 × 102–2.10 × 10−5 | 4.21 × 10−5 | 4.21 × 10−1 | 1.00 × 104 | 1.71 × 108–1.71 | 5.70 × 101 | 5.70 × 104 | 1.00 × 103 |
| L7-7 | opaR | 2.15 × 102–2.15 × 10−5 | 4.30 × 10−1 | 4.30 × 101 | 1.00 × 102 | 2.14 × 109–2.14 | 7.13 × 103 | 7.13 × 106 | 1.00 × 103 |
| L7-45 | opaR | 1.24 × 102–1.24 × 10−5 | 2.49 × 10−4 | 2.49 × 100 | 1.00 × 104 | 1.29 × 109–1.29 | 4.30 × 103 | 4.30 × 105 | 1.00 × 102 |
| L10-15 | opaR | 1.49 × 102–1.49 × 10−5 | 2.98 × 10−3 | 2.98 × 10−1 | 1.00 × 102 | 2.59 × 108–2.59 | 8.63 × 101 | 8.63 × 104 | 1.00 × 103 |
| N2-8 | opaR | 2.36 × 102–2.36 × 10−5 | 4.72 × 10−3 | 4.72 × 10−1 | 1.00 × 102 | 3.10 × 108–3.10 | 1.03 × 103 | 1.03 × 105 | 1.00 × 102 |
| N2-11 | opaR | 9.36 × 101–9.36 × 10−6 | 1.87 × 10−1 | 1.87 × 101 | 1.00 × 102 | 7.40 × 107–7.40 | 2.47 × 103 | 2.47 × 104 | 1.00 × 101 |
| N2-20 | opaR | 1.43 × 102–1.43 × 10−5 | 2.85 × 10−3 | 2.85 × 10−1 | 1.00 × 102 | 1.14 × 109–1.14 | 3.80 × 102 | 3.80 × 103 | 1.00 × 101 |
| N2-25 | opaR | 1.44 × 102–1.44 × 10−5 | 2.89 × 10−5 | 2.89 × 10−1 | 1.00 × 104 | 6.40 × 108–6.40 | 2.13 × 103 | 2.13 × 105 | 1.00 × 102 |
| N3-2 | opaR | 1.20 × 102–1.20 × 10−5 | 2.39 × 10−5 | 2.39 × 101 | 1.00 × 106 | 1.23 × 109–1.23 | 4.10 × 102 | 4.10 × 104 | 1.00 × 102 |
| N3-3 | opaR | 1.11 × 102–1.11 × 10−5 | 2.22 × 10−5 | 2.22 × 100 | 1.00 × 105 | 9.10 × 107–9.10 | 3.03 × 10−1 | 3.03 × 104 | 1.00 × 105 |
| N3-11 | opaR | 1.67 × 102–1.67 × 10−5 | 3.35 × 10−2 | 3.35 × 10−1 | 1.00 × 101 | 8.00 × 108–8.00 | 2.67 × 101 | 2.67 × 105 | 1.00 × 104 |
| N3-13 | opaR | 1.95 × 102–1.95 × 10−5 | 3.90 × 10−4 | 3.90 × 10−2 | 1.00 × 102 | 6.60 × 107–6.60 | 2.20 × 101 | 2.20 × 104 | 1.00 × 103 |
| N3-29 | opaR | 1.29 × 102–1.29 × 10−5 | 2.57 × 10−5 | 2.57 × 10−1 | 1.00 × 104 | 7.50 × 107–7.50 | 2.50 × 100 | 2.50 × 105 | 1.00 × 105 |
| N3-30 | opaR | 1.47 × 102–1.47 × 10−5 | 2.94 × 10−1 | 2.94 × 101 | 1.00 × 102 | 2.10 × 108–2.10 | 7.00 × 102 | 7.00 × 104 | 1.00 × 102 |
| N3-32 | opaR | 6.95 × 101–6.95 × 10−6 | 1.39 × 10−3 | 1.39 × 10−1 | 1.00 × 102 | 2.40 × 108–2.40 | 8.00 × 101 | 8.00 × 104 | 1.00 × 103 |
| N3-33 | opaR | 9.60 × 101–9.60 × 10−6 | 1.92 × 10−2 | 1.92 × 10−1 | 1.00 × 101 | 3.80 × 107–3.80 | 1.27 × 101 | 1.27 × 105 | 1.00 × 104 |
| N4-9 | opaR | 9.72 × 101–9.72 × 10−6 | 1.94 × 10−5 | 1.94 × 10−1 | 1.00 × 104 | 9.40 × 107–9.40 | 3.13 × 100 | 3.13 × 103 | 1.00 × 103 |
| N4-26 | opaR | 7.31 × 101–7.31 × 10−6 | 1.46 × 10−5 | 1.46 × 10−1 | 1.00 × 104 | 8.30 × 107–8.30 | 2.77 × 10−1 | 2.77 × 105 | 1.00 × 106 |
| N4-31 | opaR | 9.37 × 101–9.37 × 10−6 | 1.87 × 10−5 | 1.87 × 10−1 | 1.00 × 104 | 2.70 × 108–2.70 | 9.00 × 100 | 9.00 × 103 | 1.00 × 103 |
| N4-46 | opaR | 8.34 × 101–8.34 × 10−6 | 1.67 × 10−1 | 1.67 × 101 | 1.00 × 102 | 8.60 × 107–8.60 | 2.87 × 102 | 2.87 × 105 | 1.00 × 103 |
| N5-15 | opaR | 7.26 × 101–7.26 × 10−6 | 1.45 × 10−2 | 1.45 × 10−1 | 1.00 × 101 | 1.30 × 108–1.30 | 4.33 × 100 | 4.33 × 103 | 1.00 × 103 |
| N6-7 | opaR | 1.79 × 102–1.79 × 10−5 | 3.58 × 10−5 | 3.58 × 10−2 | 1.00 × 103 | 1.61 × 108–1.61 | 5.37 × 10−2 | 5.37 × 105 | 1.00 × 107 |
| N6-10 | opaR | 1.21 × 102–1.21 × 10−5 | 2.42 × 10−2 | 2.42 × 10−1 | 1.00 × 101 | 1.41 × 108–1.41 | 4.70 × 101 | 4.70 × 104 | 1.00 × 103 |
| N6-16 | opaR | 9.80 × 101–9.80 × 10−6 | 1.96 × 10−3 | 1.96 × 10−2 | 1.00 × 101 | 2.54 × 108–2.4 | 8.47 × 101 | 8.47 × 104 | 1.00 × 103 |
| N6-26 | opaR | 1.20 × 102–1.20 × 10−5 | 2.39 × 10−2 | 2.39 × 100 | 1.00 × 102 | 1.76 × 108–1.76 | 5.87 × 101 | 5.87 × 104 | 1.00 × 103 |
| N7-3 | opaR | 8.79 × 101–8.79 × 10−6 | 1.76 × 10−2 | 1.76 × 101 | 1.00 × 103 | 9.50 × 107–9.50 | 3.17 × 100 | 3.17 × 105 | 1.00 × 105 |
| N7-9 | opaR | 1.53 × 102–1.53 × 10−5 | 3.05 × 10−3 | 3.05 × 10−1 | 1.00 × 102 | 3.60 × 108–3.60 | 1.20 × 101 | 1.20 × 105 | 1.00 × 104 |
| N7-45 | opaR | 1.22 × 102–1.22 × 10−5 | 2.43 × 10−3 | 2.43 × 100 | 1.00 × 103 | 2.76 × 108–2.76 | 9.20 × 10−2 | 9.20 × 104 | 1.00 × 106 |
| N7-19 | opaR | 1.54 × 102–1.54 × 10−5 | 3.07 × 10−5 | 3.07 × 10−1 | 1.00 × 104 | 1.02 × 109–1.02 | 3.40 × 103 | 3.40 × 104 | 1.00 × 101 |
| N8-9 | opaR | 1.09 × 102–1.09 × 10−5 | 2.18 × 10−3 | 2.18 × 100 | 1.00 × 103 | 1.34 × 108–1.34 | 4.47 × 101 | 4.47 × 105 | 1.00 × 104 |
| N8-13 | opaR | 1.82 × 102–1.82 × 10−5 | 3.64 × 10−2 | 3.64 × 10−1 | 1.00 × 101 | 2.45 × 108–2.45 | 8.17 × 10−1 | 8.17 × 104 | 1.00 × 105 |
| N8-36 | opaR | 9.17 × 101–9.17 × 10−6 | 1.83 × 10−5 | 1.83 × 10−1 | 1.00 × 104 | 2.18 × 108–2.18 | 7.27 × 10−1 | 7.27 × 105 | 1.00 × 106 |
| N9-24 | opaR | 1.02 × 102–1.02 × 10−5 | 2.05 × 10−2 | 2.05 × 10−1 | 1.00 × 101 | 3.10 × 107–3.10 | 1.03 × 10−2 | 1.03 × 105 | 1.00 × 107 |
| N9-31 | opaR | 2.08 × 102–2.08 × 10−5 | 4.16 × 10−4 | 4.16 × 100 | 1.00 × 104 | 2.60 × 108–2.60 | 8.67 × 100 | 8.67 × 103 | 1.00 × 103 |
| N10-20 | opaR | 1.00 × 102–1.00 × 10−5 | 2.00 × 10−3 | 2.00 × 10−2 | 1.00 × 101 | 2.53 × 108–2.53 | 8.43 × 100 | 8.43 × 103 | 1.00 × 103 |
| N10-48 | opaR | 1.16 × 102–1.16 × 10−5 | 2.32 × 10−3 | 2.32 × 10−2 | 1.00 × 101 | 2.56 × 108–2.56 | 8.53 × 10−2 | 8.53 × 104 | 1.00 × 106 |
| Q5-6 | opaR | 2.23 × 102–2.23 × 10−5 | 4.46 × 10−5 | 4.46 × 100 | 1.00 × 105 | 1.68 × 108–1.68 | 5.60 × 100 | 5.60 × 105 | 1.00 × 105 |
| Q8-2 | opaR | 8.83 × 101–8.83 × 10−6 | 1.77 × 10−2 | 1.77 × 102 | 1.00 × 104 | 8.90 × 107–8.90 | 2.97 × 101 | 2.97 × 104 | 1.00 × 103 |
| Q8-7 | opaR | 1.89 × 102–1.90 × 10−5 | 3.79 × 10−1 | 3.79 × 102 | 1.00 × 103 | 4.10 × 107–4.10 | 1.37 × 100 | 1.37 × 103 | 1.00 × 103 |
| ATCC 17802 | opaR | 9.26 × 101–9.26 × 10−6 | 1.85 × 100 | 1.85 × 102 | 1.00 × 102 | 1.32 × 108–1.32 | 4.40 × 103 | 4.40 × 105 | 1.00 × 102 |
| Strain | Target Gene | Genomic DNA Dilutions (ng/μL) | LOD (ng/Reaction) | Rate of LOD for Genomic DNA (LAMP/PCR) | Cell Culture Dilutions (CFU/mL) | LOD (CFU/Reaction) | Rate of LOD for Cell Culture (LAMP/PCR) | ||
|---|---|---|---|---|---|---|---|---|---|
| LAMP | PCR | LAMP | PCR | ||||||
| B1-22 | vpadF | 4.95 × 102–4.95 ×10−5 | 9.90 × 10−3 | 9.90 × 100 | 1.00 × 103 | 1.56 × 109–1.56 | 5.20 × 101 | 5.20 × 104 | 1.00 × 103 |
| B3-8 | vpadF | 1.08 × 102–1.08 × 10−5 | 2.16 × 10−3 | 2.16 × 100 | 1.00 × 103 | 1.20 × 109–1.20 | 4.00 × 102 | 4.00 × 104 | 1.00 × 102 |
| B4-13 | vpadF | 1.83 × 102–1.83 × 10−5 | 3.66 × 10−3 | 3.66 × 100 | 1.00 × 103 | 1.32 × 109–1.32 | 4.40 × 102 | 4.40 × 104 | 1.00 × 102 |
| B4-28 | vpadF | 1.34 × 102–1.34 × 10−5 | 2.68 × 10−4 | 2.68 × 10−1 | 1.00 × 103 | 1.34 × 108–1.34 | 4.47 × 101 | 4.47 × 103 | 1.00 × 102 |
| B7-16 | vpadF | 2.59 × 102–2.59 × 10−5 | 5.18 × 10−2 | 5.18 × 100 | 1.00 × 102 | 2.34 × 108–2.34 | 7.80 × 101 | 7.80 × 104 | 1.00 × 103 |
| B9-31 | vpadF | 6.58 × 101–6.58 × 10−6 | 1.32 × 10−1 | 1.32 × 101 | 1.00 × 102 | 1.16 × 109–1.16 | 3.87 × 102 | 3.87 × 104 | 1.00 × 102 |
| B9-42 | vpadF | 1.60 × 102–1.60 × 10−5 | 3.21 × 10−1 | 3.21 × 101 | 1.00 × 102 | 5.20 × 107–5.20 | 1.73 × 100 | 1.73 × 102 | 1.00 × 102 |
| B11-3 | vpadF | 1.41 × 102–1.41 × 10−5 | 2.83 × 10−3 | 2.83 × 100 | 1.00 × 103 | 7.00 × 108–7.00 | 2.33 × 102 | 2.33 × 104 | 1.00 × 102 |
| L5-1 | vpadF | 2.10 × 102–2.10 × 10−5 | 4.21 × 10−1 | 4.21 × 101 | 1.00 × 102 | 1.71 × 108–1.71 | 5.70 × 102 | 5.70 × 104 | 1.00 × 102 |
| L7-7 | vpadF | 2.15 × 102–2.15 × 10−5 | 4.30 × 10−1 | 4.30 × 101 | 1.00 × 102 | 2.14 × 109–2.14 | 7.13 × 102 | 7.13 × 104 | 1.00 × 102 |
| L7-45 | vpadF | 1.24 × 102–1.24 × 10−5 | 2.49 × 10−3 | 2.49 × 100 | 1.00 × 103 | 1.29 × 109–1.29 | 4.30 × 103 | 4.30 × 105 | 1.00 × 102 |
| L10-15 | vpadF | 1.49 × 102–1.49 × 10−5 | 2.98 × 10−2 | 2.98 × 101 | 1.00 × 103 | 2.59 × 108–2.59 | 8.63 × 103 | 8.63 × 105 | 1.00 × 102 |
| N2-8 | vpadF | 2.36 × 102–2.36 × 10−5 | 4.72 × 10−3 | 4.72 × 100 | 1.00 × 103 | 3.10 × 108–3.10 | 1.03 × 102 | 1.03 × 105 | 1.00 × 103 |
| N2-11 | vpadF | 9.36 × 101–9.36 × 10−6 | 1.87 × 10−1 | 1.87 × 101 | 1.00 × 102 | 7.40 × 107–7.40 | 2.47 × 102 | 2.47 × 104 | 1.00 × 102 |
| N2-20 | vpadF | 1.43 × 102–1.43 × 10−5 | 2.85 × 10−3 | 2.85 × 100 | 1.00 × 103 | 1.14 × 109–1.14 | 3.80 × 102 | 3.80 × 104 | 1.00 × 102 |
| N3-2 | vpadF | 1.20 × 102–1.20 × 10−5 | 2.39 × 10−2 | 2.39 × 100 | 1.00 × 102 | 1.23 × 109–1.23 | 4.10 × 102 | 4.10 × 104 | 1.00 × 102 |
| N3-3 | vpadF | 1.11 × 102–1.11 × 10−5 | 2.22 × 10−2 | 2.22 × 101 | 1.00 × 103 | 9.10 × 107–9.10 | 3.03 × 102 | 3.03 × 104 | 1.00 × 102 |
| N3-11 | vpadF | 1.67 × 102–1.67 × 10−5 | 3.35 × 10−2 | 3.35 × 101 | 1.00 × 103 | 8.00 × 108–8.00 | 2.67 × 103 | 2.67 × 105 | 1.00 × 102 |
| N3-13 | vpadF | 1.95 × 102–1.95 × 10−5 | 3.89 × 10−2 | 3.89 × 100 | 1.00 × 102 | 6.60 × 107–6.60 | 2.20 × 101 | 2.20 × 103 | 1.00 × 102 |
| N3-29 | vpadF | 1.29 × 102–1.29 × 10−5 | 2.57 × 10−3 | 2.57 × 100 | 1.00 × 103 | 7.50 × 107–7.50 | 2.50 × 102 | 2.50 × 104 | 1.00 × 102 |
| N3-30 | vpadF | 1.47 × 102–1.47 × 10−5 | 2.94 × 10−1 | 2.94 × 101 | 1.00 × 102 | 2.10 × 108–2.10 | 7.00 × 102 | 7.00 × 105 | 1.00 × 103 |
| N3-32 | vpadF | 6.95 × 101–6.95 × 10−6 | 1.39 × 10−2 | 1.39 × 100 | 1.00 × 102 | 2.40 × 108–2.40 | 8.00 × 103 | 8.00 × 105 | 1.00 × 102 |
| N4-9 | vpadF | 9.72 × 101–9.72 × 10−6 | 1.94 × 10−3 | 1.94 × 100 | 1.00 × 103 | 9.40 × 107–9.40 | 3.13 × 103 | 3.13 × 105 | 1.00 × 102 |
| N4-26 | vpadF | 7.31 × 101–7.31 × 10−6 | 1.46 × 10−2 | 1.46 × 101 | 1.00 × 103 | 8.30 × 107–8.30 | 2.77 × 103 | 2.77 × 104 | 1.00 × 101 |
| N4-31 | vpadF | 9.37 × 101–9.37 × 10−6 | 1.87 × 10−1 | 1.87 × 101 | 1.00 × 102 | 2.70 × 108–2.70 | 9.00 × 102 | 9.00 × 104 | 1.00 × 102 |
| N4-46 | vpadF | 8.34 × 101–8.34 × 10−6 | 1.67 × 10−3 | 1.67 × 100 | 1.00 × 103 | 8.60 × 107–8.60 | 2.87 × 102 | 2.87 × 104 | 1.00 × 102 |
| N5-15 | vpadF | 7.26 × 101–7.26 × 10−6 | 1.45 × 10−2 | 1.45 × 100 | 1.00 × 102 | 1.30 × 108–1.30 | 4.33 × 103 | 4.33 × 105 | 1.00 × 102 |
| N6-16 | vpadF | 9.80 × 101–9.80 × 10−6 | 1.96 × 10−2 | 1.96 × 101 | 1.00 × 103 | 2.54 × 108–2.40 | 8.47 × 103 | 8.47 × 104 | 1.00 × 101 |
| N6-26 | vpadF | 1.20 × 102–1.20 × 10−5 | 2.39 × 10−3 | 2.39 × 100 | 1.00 × 103 | 1.76 × 108–1.76 | 5.87 × 102 | 5.87 × 104 | 1.00 × 102 |
| N7-45 | vpadF | 1.22 × 102–1.22 × 10−5 | 2.43 × 10−1 | 2.43 × 101 | 1.00 × 102 | 2.76 × 108–2.76 | 9.20 × 102 | 9.20 × 104 | 1.00 × 102 |
| N7-19 | vpadF | 1.54 × 102–1.54 × 10−5 | 3.07 × 10−4 | 3.07 × 10−1 | 1.00 × 103 | 1.02 × 107–1.02 | 3.40 × 102 | 3.40 × 105 | 1.00 × 103 |
| N8-9 | vpadF | 1.09 × 102–1.09 × 10−5 | 2.18 × 10−3 | 2.18 × 100 | 1.00 × 103 | 1.34 × 108–1.34 | 4.47 × 102 | 4.47 × 104 | 1.00 × 102 |
| N8-13 | vpadF | 1.82 × 102–1.82 × 10−5 | 3.64 × 10−3 | 3.64 × 100 | 1.00 × 103 | 2.45 × 108–2.45 | 8.17 × 102 | 8.17 × 104 | 1.00 × 102 |
| N8-36 | vpadF | 9.17 × 101–9.17 × 10−6 | 1.83 × 10−1 | 1.83 × 100 | 1.00 × 101 | 2.18 × 108–2.18 | 7.27 × 102 | 7.27 × 104 | 1.00 × 102 |
| N9-24 | vpadF | 1.02 × 102–1.02 × 10−5 | 2.05 × 10−1 | 2.05 × 101 | 1.00 × 102 | 3.10 × 107–3.10 | 1.03 × 103 | 1.03 × 104 | 1.00 × 101 |
| N9-31 | vpadF | 2.08 × 102–2.08 × 10−5 | 4.16 × 10−1 | 4.16 × 102 | 1.00 × 103 | 2.60 × 108–2.60 | 8.67 × 101 | 8.67 × 104 | 1.00 × 103 |
| Q5-6 | vpadF | 2.23 × 102–2.23 × 10−5 | 4.46 × 10−4 | 4.46 × 100 | 1.00 × 104 | 1.68 × 108–1.68 | 5.60 × 102 | 5.60 × 105 | 1.00 × 103 |
| Q8-15 | vpadF | 1.10 × 102–1.10 × 10−5 | 2.21 × 10−2 | 2.21 × 101 | 1.00 × 103 | 2.37 × 108–2.37 | 7.90 × 102 | 7.90 × 104 | 1.00 × 102 |
| ATCC 17802 | vpadF | 9.26 × 101–9.26 × 10−6 | 1.85 × 10−4 | 1.85 × 100 | 1.00 × 104 | 1.32 × 108–1.32 | 4.40 × 102 | 4.40 × 103 | 1.00 × 101 |
| Strain | Target Gene | Genomic DNA Dilutions (ng/μL) | LOD (ng/Reaction) | Rate of LOD for Genomic DNA (LAMP/PCR) | Cell Culture Dilutions (CFU/mL) | LOD (CFU/Reaction) | Rate of LOD for Cell Culture (LAMP/PCR) | ||
|---|---|---|---|---|---|---|---|---|---|
| LAMP | PCR | LAMP | PCR | ||||||
| B1-22 | tlh | 4.95 × 102–4.95 × 10−5 | 9.90 × 10−2 | 9.90 × 101 | 1.00 × 103 | 1.56 × 109–1.56 | 5.20 × 101 | 5.20 × 103 | 1.00 × 102 |
| B3-8 | tlh | 1.08 × 102–1.08 × 10−5 | 2.16 × 10−1 | 2.16 × 100 | 1.00 × 101 | 1.20 × 109–1.20 | 4.00 × 102 | 4.00 × 105 | 1.00 × 103 |
| B4-13 | tlh | 1.83 × 102–1.83 × 10−5 | 3.66 × 100 | 3.66 × 101 | 1.00 × 101 | 1.32 × 109–1.32 | 4.40 × 102 | 4.40 × 105 | 1.00 × 103 |
| B4-28 | tlh | 1.34 × 102–1.34 × 10−5 | 2.68 × 101 | 2.68 × 102 | 1.00 × 101 | 1.34 × 108–1.34 | 4.47 × 101 | 4.47 × 102 | 1.00 × 101 |
| B6-13 | tlh | 3.02 × 102–3.02 × 10−5 | 6.04 × 100 | 6.04 × 102 | 1.00 × 102 | 1.25 × 109–1.25 | 4.17 × 103 | 4.17 × 105 | 1.00 × 102 |
| B7-16 | tlh | 2.59 × 102–2.59 × 10−5 | 5.18 × 10−3 | 5.18 × 101 | 1.00 × 104 | 2.34 × 108–2.34 | 7.80 × 101 | 7.80 × 102 | 1.00 × 101 |
| B9-31 | tlh | 6.58 × 101–6.58 × 10−6 | 1.32 × 10−1 | 1.32 × 100 | 1.00 × 101 | 1.16 × 109–1.16 | 3.87 × 102 | 3.87 × 105 | 1.00 × 103 |
| B9-42 | tlh | 1.60 × 102–1.60 × 10−5 | 3.21 × 100 | 3.21 × 101 | 1.00 × 101 | 5.20 × 107–5.20 | 1.73 × 103 | 1.73 × 105 | 1.00 × 102 |
| B10-61 | tlh | 2.30 × 102–2.30 × 10−5 | 4.61 × 10−3 | 4.61 × 10−1 | 1.00 × 102 | 6.40 × 108–6.40 | 2.13 × 103 | 2.13 × 106 | 1.00 × 103 |
| B11-3 | tlh | 1.41 × 102–1.41 × 10−5 | 2.83 × 10−1 | 2.83 × 102 | 1.00 × 103 | 7.00 × 108–7.00 | 2.33 × 102 | 2.33 × 105 | 1.00 × 103 |
| L5-1 | tlh | 2.10 × 102–2.10 × 10−5 | 4.21 × 10−2 | 4.21 × 100 | 1.00 × 102 | 1.71 × 108–1.71 | 5.70 × 103 | 5.70 × 105 | 1.00 × 102 |
| L7-7 | tlh | 2.15 × 102–2.15 × 10−5 | 4.29 × 10−1 | 4.29 × 101 | 1.00 × 102 | 2.14 × 109–2.14 | 7.13 × 103 | 7.13 × 106 | 1.00 × 103 |
| L7-45 | tlh | 1.24 × 102–1.24 × 10−5 | 2.49 × 100 | 2.49 × 102 | 1.00 × 102 | 1.29 × 109–1.29 | 4.30 × 102 | 4.30 × 105 | 1.00 × 103 |
| L10-15 | tlh | 1.49 × 102–1.49 × 10−5 | 2.98 × 101 | 2.98 × 102 | 1.00 × 101 | 2.59 × 108–2.59 | 8.63 × 103 | 8.63 × 105 | 1.00 × 102 |
| N2-8 | tlh | 2.36 × 102–2.36 × 10−5 | 4.72 × 10−2 | 4.72 × 10−1 | 1.00 × 101 | 3.10 × 108–3.10 | 1.03 × 102 | 1.03 × 103 | 1.00 × 101 |
| N2-11 | tlh | 9.36 × 101–9.36 × 10−6 | 1.87 × 101 | 1.87 × 102 | 1.00 × 101 | 7.40 × 107–7.40 | 2.47 × 103 | 2.47 × 105 | 1.00 × 102 |
| N2-20 | tlh | 1.43 × 102–1.43 × 10−5 | 2.85 × 10−2 | 2.85 × 101 | 1.00 × 103 | 1.14 × 109–1.14 | 3.80 × 103 | 3.80 × 106 | 1.00 × 103 |
| N2-25 | tlh | 1.44 × 102–1.45 × 10−5 | 2.89 × 100 | 2.89 × 101 | 1.00 × 101 | 6.40 × 107–6.40 | 2.13 × 103 | 2.13 × 105 | 1.00 × 102 |
| N3-2 | tlh | 1.20 × 102–1.20 × 10−5 | 2.39 × 10−2 | 2.39 × 101 | 1.00 × 103 | 1.23 × 109–1.23 | 4.10 × 102 | 4.10 × 105 | 1.00 × 103 |
| N3-3 | tlh | 1.11 × 102–1.11 × 10−5 | 2.22 × 10−1 | 2.22 × 101 | 1.00 × 102 | 9.10 × 107–9.10 | 3.03 × 103 | 3.03 × 105 | 1.00 × 102 |
| N3-11 | tlh | 1.67 × 102–1.67 × 10−5 | 3.35 × 101 | 3.35 × 102 | 1.00 × 101 | 8.00 × 108–8.00 | 2.67 × 102 | 2.67 × 105 | 1.00 × 103 |
| N3-13 | tlh | 1.95 × 102–1.95 × 10−5 | 3.90 × 10−2 | 3.90 × 101 | 1.00 × 103 | 6.60 × 107–6.60 | 2.20 × 102 | 2.20 × 105 | 1.00 × 103 |
| N3-29 | tlh | 1.29 × 102–1.29 × 10−5 | 2.57 × 101 | 2.57 × 102 | 1.00 × 101 | 7.50 × 107–7.50 | 2.50 × 103 | 2.50 × 104 | 1.00 × 101 |
| N3-30 | tlh | 1.47 × 102–1.47 × 10−5 | 2.94 × 101 | 2.94 × 102 | 1.00 × 101 | 2.10 × 108–2.10 | 7.00 × 103 | 7.00 × 104 | 1.00 × 101 |
| N3-32 | tlh | 6.95 × 101–6.95 × 10−6 | 1.39 × 10−1 | 1.39 × 101 | 1.00 × 102 | 2.40 × 108–2.40 | 8.00 × 103 | 8.00 × 104 | 1.00 × 101 |
| N3-33 | tlh | 9.60 × 101–9.60 × 10−6 | 1.92 × 100 | 1.92 × 101 | 1.00 × 101 | 3.80 × 107–3.80 | 1.27 × 102 | 1.27 × 104 | 1.00 × 102 |
| N4-9 | tlh | 9.72 × 101–9.72 × 10−6 | 1.94 × 101 | 1.94 × 102 | 1.00 × 101 | 9.40 × 107–9.40 | 3.13 × 102 | 3.13 × 105 | 1.00 × 103 |
| N4-26 | tlh | 7.31 × 101–7.31 × 10−6 | 1.46 × 100 | 1.46 × 102 | 1.00 × 102 | 8.30 × 107–8.30 | 2.77 × 103 | 2.77 × 105 | 1.00 × 102 |
| N4-31 | tlh | 9.37 × 101–9.37 × 10−6 | 1.87 × 10−4 | 1.87 × 100 | 1.00 × 104 | 2.70 × 108–2.70 | 9.00 × 103 | 9.00 × 105 | 1.00 × 102 |
| N4-46 | tlh | 8.34 × 101–8.34 × 10−6 | 1.67 × 10−2 | 1.67 × 100 | 1.00 × 102 | 8.60 × 107–8.60 | 2.87 × 103 | 2.87 × 104 | 1.00 × 101 |
| N5-15 | tlh | 7.26 × 101–7.26 × 10−6 | 1.45 × 10−3 | 1.45 × 10−1 | 1.00 × 102 | 1.30 × 108–1.30 | 4.33 × 103 | 4.33 × 104 | 1.00 × 101 |
| N6-7 | tlh | 1.79 × 102–1.79 × 10−5 | 3.58 × 10−2 | 3.58 × 100 | 1.00 × 102 | 1.61 × 108–1.61 | 5.37 × 103 | 5.37 × 104 | 1.00 × 101 |
| N6- 10 | tlh | 1.21 × 102–1.21 × 10−5 | 2.42 × 10−3 | 2.42 × 10−1 | 1.00 × 102 | 1.41 × 108–1.41 | 4.70 × 103 | 4.70 × 105 | 1.00 × 102 |
| N6-16 | tlh | 9.80 × 101–9.80 × 10−6 | 1.96 × 101 | 1.96 × 102 | 1.00 × 101 | 2.54 × 108–2.40 | 8.47 × 102 | 8.47 × 103 | 1.00 × 101 |
| N6-26 | tlh | 1.20 × 102–1.20 × 10−5 | 2.39 × 10−1 | 2.39 × 101 | 1.00 × 102 | 1.76 × 108–1.76 | 5.87 × 103 | 5.87 × 104 | 1.00 × 101 |
| N7-3 | tlh | 8.79 × 101–8.79 × 10−6 | 1.76 × 100 | 1.76 × 101 | 1.00 × 101 | 9.50 × 107–9.50 | 3.17 × 103 | 3.17 × 105 | 1.00 × 102 |
| N7-9 | tlh | 1.53 × 102–1.53 × 10−5 | 3.05 × 10−3 | 3.05 × 10−2 | 1.00 × 101 | 3.60 × 108–3.60 | 1.20 × 103 | 1.20 × 106 | 1.00 × 103 |
| N7-45 | tlh | 1.22 × 102–1.22 × 10−5 | 2.43 × 10−1 | 2.43 × 100 | 1.00 × 101 | 2.76 × 108–2.76 | 9.20 × 102 | 9.20 × 106 | 1.00 × 104 |
| N7-19 | tlh | 1.54 × 102–1.54 × 10−5 | 3.07 × 10−1 | 3.07 × 102 | 1.00 × 103 | 1.02 × 109–1.02 | 3.40 × 102 | 3.40 × 105 | 1.00 × 103 |
| N8-9 | tlh | 1.09 × 102–1.09 × 10−5 | 2.18 × 10−1 | 2.18 × 101 | 1.00 × 102 | 1.34 × 108–1.34 | 4.47 × 103 | 4.47 × 105 | 1.00 × 102 |
| N8-13 | tlh | 1.82 × 102–1.82 × 10−5 | 3.64 × 100 | 3.64 × 102 | 1.00 × 102 | 2.45 × 108–2.45 | 8.17 × 103 | 8.17 × 105 | 1.00 × 102 |
| N8-36 | tlh | 9.17 × 101–9.17 × 10−6 | 1.83 × 10−1 | 1.83 × 102 | 1.00 × 103 | 2.18 × 108–2.18 | 7.27 × 102 | 7.27 × 105 | 1.00 × 103 |
| N9-24 | tlh | 1.02 × 102–1.02 × 10−5 | 2.05 × 10−1 | 2.05 × 101 | 1.00 × 102 | 3.10 × 107–3.10 | 1.03 × 102 | 1.03 × 105 | 1.00 × 103 |
| N9-31 | tlh | 2.08 × 102–2.08 × 10−5 | 4.16 × 10−1 | 4.16 × 102 | 1.00 × 103 | 2.60 × 108–2.60 | 8.67 × 103 | 8.67 × 104 | 1.00 × 101 |
| N10-20 | tlh | 1.00 × 102–1.00 × 10−5 | 2.00 × 100 | 2.00 × 102 | 1.00 × 102 | 2.53 × 108–2.53 | 8.43 × 103 | 8.43 × 105 | 1.00 × 102 |
| N10-48 | tlh | 1.16 × 102–1.16 × 10−5 | 2.32 × 10−1 | 2.32 × 102 | 1.00 × 103 | 2.56 × 108–2.56 | 8.53 × 102 | 8.53 × 104 | 1.00 × 102 |
| Q5-6 | tlh | 2.23 × 102–2.23 × 10−5 | 4.46 × 10−3 | 4.46 × 100 | 1.00 × 103 | 1.68 × 108–1.68 | 5.60 × 101 | 5.60 × 103 | 1.00 × 102 |
| Q8-7 | tlh | 1.89 × 102–1.90 × 10−5 | 3.79 × 10−2 | 3.79 × 100 | 1.00 × 102 | 4.10 × 107–4.10 | 1.37 × 100 | 1.37 × 102 | 1.00 × 102 |
| Q8-15 | tlh | 1.10 × 102–1.10 × 10−5 | 2.21 × 10−1 | 2.21 × 101 | 1.00 × 102 | 2.37 × 108–2.37 | 7.90 × 100 | 7.90 × 101 | 1.00 × 101 |
| ATCC 17802 | tlh | 9.26 × 101–9.26 × 10−6 | 1.85 × 10−4 | 1.85 × 10−1 | 1.00 × 103 | 1.32 × 108–1.32 | 4.40 × 101 | 4.40 × 103 | 1.00 × 102 |
| ATCC 17802 | ureC | 9.26 × 101–9.26 ×10−6 | 1.85 × 10−3 | 1.85 × 10−1 | 1.00 × 102 | 1.32 × 108–1.32 | 4.40 × 10−1 | 4.40 × 100 | 1.00 × 101 |
| Target Gene | Aquatic Product | Spiked Strain | Cell Culture Dilutions (CFU/mL) | LOD (CFU/Reaction) | Rate of LOD (LAMP/PCR) | |
|---|---|---|---|---|---|---|
| LAMP | PCR | |||||
| opaR | Aristichthys nobilis | N7-19 | 2.96 × 108–2.96 | 9.87 × 100 | 9.87 × 101 | 1.00 × 101 |
| Carassius auratus | 9.87 × 101 | 9.87 × 102 | 1.00 × 101 | |||
| Ctenopharyngodon idella | 9.87 × 100 | 9.87 × 102 | 1.00 × 102 | |||
| Parabramis pekinensis | 9.87 × 102 | 9.87 × 104 | 1.00 × 102 | |||
| Mytilus edulis | 9.87 × 102 | 9.87 × 103 | 1.00 × 101 | |||
| Litopenaeus vannamei | 9.87 × 10−2 | 9.87 × 103 | 1.00 × 105 | |||
| vpadF | Aristichthys nobilis | N7-19 | 2.96 × 108–2.96 | 9.87 × 100 | 9.87 × 103 | 1.00 × 103 |
| Carassius auratus | 9.87 × 10−1 | 9.87 × 102 | 1.00 × 103 | |||
| Ctenopharyngodon idella | 9.87 × 102 | 9.87 × 104 | 1.00 × 102 | |||
| Parabramis pekinensis | 9.87 × 102 | 9.87 × 104 | 1.00 × 102 | |||
| Mytilus edulis | 9.87 × 102 | 9.87 × 104 | 1.00 × 102 | |||
| Litopenaeus vannamei | 9.87 × 100 | 9.87 × 103 | 1.00 × 103 | |||
| tlh | Aristichthys nobilis | N7-19 | 2.96 × 108–2.96 | 9.87 × 103 | 9.87 × 105 | 1.00 × 102 |
| Carassius auratus | 9.87 × 102 | 9.87 × 104 | 1.00 × 102 | |||
| Ctenopharyngodon idella | 9.87 × 103 | 9.87 × 104 | 1.00 × 101 | |||
| Parabramis pekinensis | 9.87 × 103 | 9.87 × 105 | 1.00 × 102 | |||
| Mytilus edulis | 9.87 × 104 | 9.87 × 105 | 1.00 × 101 | |||
| Litopenaeus vannamei | 9.87 × 102 | 9.87 × 103 | 1.00 × 101 | |||
| ureC | Aristichthys nobilis | ATCC17802 | 2.75 × 109–2.75 | 9.17 × 103 | 9.17 × 105 | 1.00 × 102 |
| Carassius auratus | 9.17 × 102 | 9.17 × 104 | 1.00 × 102 | |||
| Ctenopharyngodon idella | 9.17 × 103 | 9.17 × 104 | 1.00 × 101 | |||
| Parabramis pekinensis | 9.17 × 103 | 9.17 × 105 | 1.00 × 102 | |||
| Mytilus edulis | 9.17 × 101 | 9.17 × 102 | 1.00 × 101 | |||
| Litopenaeus vannamei | 9.17 × 102 | 9.17 × 104 | 1.00 × 102 | |||
| Sample | No. of Sample | Virulence-Related Gene | No. of Sample |
|---|---|---|---|
| Water sample | |||
| Mineral water | 3 | opaR-/vpadF-/tlh-/ureC- | 3 |
| Tap water | 3 | opaR-/vpadF-/tlh-/ureC- | 3 |
| River water | 3 | opaR-/vpadF-/tlh-/ureC- | 3 |
| Lake water | 3 | opaR-/vpadF-/tlh-/ureC- | 3 |
| Estuarine water | 3 | opaR-/vpadF-/tlh-/ureC- | 3 |
| Meat sample | |||
| Aristichthys nobilis | 3 | opaR-/vpadF-/tlh-/ureC- | 3 |
| Carassius auratus | 3 | opaR-/vpadF-/tlh-/ureC- | 3 |
| Ctenopharyngodon idella | 3 | opaR-/vpadF-/tlh-/ureC- | 3 |
| Parabramis pekinensis | 3 | opaR-/vpadF-/tlh-/ureC- | 3 |
| Mytilus edulis | 3 | opaR-/vpadF-/tlh-/ureC- | 3 |
| Litopenaeus vannamei | 3 | opaR-/vpadF-/tlh-/ureC- | 3 |
| Intestine sample | |||
| Aristichthys nobilis | 3 | opaR-/vpadF-/tlh-/ureC- | 3 |
| Carassius auratus | 3 | opaR-/vpadF-/tlh-/ureC- | 3 |
| Ctenopharyngodon idella | 3 | opaR-/vpadF-/tlh-/ureC- | 3 |
| Parabramis pekinensis | 3 | opaR+/vpadF-/tlh+/ure C- | 3 |
| Mytilus edulis | 3 | opaR-/vpadF-/tlh-/ureC- | 3 |
| Litopenaeus vannamei | 3 | opaR-/vpadF-/tlh-/ureC- | 3 |
Publisher’s Note: MDPI stays neutral with regard to jurisdictional claims in published maps and institutional affiliations. |
© 2021 by the authors. Licensee MDPI, Basel, Switzerland. This article is an open access article distributed under the terms and conditions of the Creative Commons Attribution (CC BY) license (https://creativecommons.org/licenses/by/4.0/).
Share and Cite
Shen, Z.; Liu, Y.; Chen, L. Qualitative and Quantitative Detection of Potentially Virulent Vibrio parahaemolyticus in Drinking Water and Commonly Consumed Aquatic Products by Loop-Mediated Isothermal Amplification. Pathogens 2022, 11, 10. https://doi.org/10.3390/pathogens11010010
Shen Z, Liu Y, Chen L. Qualitative and Quantitative Detection of Potentially Virulent Vibrio parahaemolyticus in Drinking Water and Commonly Consumed Aquatic Products by Loop-Mediated Isothermal Amplification. Pathogens. 2022; 11(1):10. https://doi.org/10.3390/pathogens11010010
Chicago/Turabian StyleShen, Zhengke, Yue Liu, and Lanming Chen. 2022. "Qualitative and Quantitative Detection of Potentially Virulent Vibrio parahaemolyticus in Drinking Water and Commonly Consumed Aquatic Products by Loop-Mediated Isothermal Amplification" Pathogens 11, no. 1: 10. https://doi.org/10.3390/pathogens11010010
APA StyleShen, Z., Liu, Y., & Chen, L. (2022). Qualitative and Quantitative Detection of Potentially Virulent Vibrio parahaemolyticus in Drinking Water and Commonly Consumed Aquatic Products by Loop-Mediated Isothermal Amplification. Pathogens, 11(1), 10. https://doi.org/10.3390/pathogens11010010

