Abstract
Helicobacter pylori causes gastritis, peptic ulcers and gastric cancer and affects more than half of the world’s population. Although this infection can have serious consequences, no novel cure or remedy have been discovered, the present therapy still relies on a variety of known antibiotics and anti-secretory agents. In the present study, the potential effect of combinations between methanolic extracts of four Algerian medicinal plants, garlic (Allium sativum), red onion (Allium cepa), cumin (Cuminum cyminum L.) and fenugreek (T. foenum-graecum L.), with different strains of lactic acid bacteria against H. pylori, was investigated. Similarly, the in vivo antibacterial effect of fenugreek extract combined with Bifidobacterium breve on H. pylori colonization potential to confirm the enhanced effect of the mixture was explored. Helicobacter pylori was inhibited by all combined mixtures of extracts and probiotics with varying results. The highest anti-H. pylori activities were found in fenugreek/B. breve, cumin/B. breve, garlic/B. breve and onion/B. breve combinations with inhibition diameters of 29, 26, 23 and 25 mm, respectively. Preliminary studies on the effect of probiotics against H. pylori revealed that the inhibition was due to lactic acid and bacteriocins and it was also related to the presence of phenolic compounds in the studied plants, such as gallic acid, caffeic acid, quercetin and vanillic acid. Fenugreek extract was found to inhibit the growth of H. pylori in a concentration-dependent manner. When H. pylori-infected rats were administered B. breve, the infection rate of H. pylori was significantly reduced, while the combination of B. breve and fenugreek extract effectively inhibited H. pylori. In addition, the B. breve and fenugreek extract mixture significantly reduced gastritis in H. pylori-infected rats. These results suggest that this complex mixture may be an alternative to treating diseases caused by H. pylori infection.
Keywords:
Helicobacter pylori; probiotics; fenugreek; cumin; garlic; onion; in vivo; combined effect 1. Introduction
Helicobacter pylori (H. pylori) is a Gram-negative spiral-shaped bacterium, which causes gastric infection, leading to diverse outcomes ranging from asymptomatic gastritis to invasive adenocarcinoma [1,2]. Numerous factors have been identified that may contribute to the development of adverse H. pylori infection outcomes; these can be grouped into a triad of risk factors, including host, pathogen and environmental characteristics that interact to promote disease progression [2]. Over half of the people on the planet are its hosts, making this bacterium one of the most common infectious factors in humans [3]. About 70% of the patients showing H. pylori infection of the stomach display no symptoms, only around 10% to 20% will likely develop peptic ulcers and only 1–2 percent will be diagnosed with gastric cancer or mucosa-associated lymphoid tissue lymphoma [4]. In a previous study in Algeria, the prevalence of H. pylori infection was 66.1%, more prevalent in the 60–69 age group (71.43%) and statistically higher in women than in men (69.3% vs. 60.7%) [5]. Raaf et al., (2017) reported that the prevalence of H. pylori infection remains high in Algeria but appears to have decreased in recent years [6]. The decrease in the prevalence of this infection requires the improvement of sanitary conditions and novel therapeutic strategies in place for those patients suffering from H. pylori-related gastric diseases [5]. The classical treatment to eradicate this bacterium from humans involves the use of therapies that include antibiotics, such as clarithromycin, metronidazole or levofloxacin, together with a proton pump inhibitor for a duration of 10 to 14 days [7]. The primary method of treating this infection is the use of antibiotics; however, due to the length of the therapy and the subsequent secondary effects induced by this, alternative methods of treatment should be sought and investigated [8]. According to the World Health Organization (2017), H. pylori that is resistant to clarithromycin falls under the high-priority category in antimicrobial research development and has to be treated as directed [9]. Such a conduct has been conditioned by a sharply growing drug resistance and, as a result, loss of effectiveness of therapy regimens using clarithromycin for the treatment of H. pylori infection [10,11]. The bismuth quadruple therapy consists of two antibiotics, tetracycline and metronidazole, plus bismuth and a Proton pump inhibitor (PPI) for a period of 14 days [5]. This therapy is preferred as a first-line treatment option in areas with a high prevalence of clarithromycin resistance and also as a second-line therapy when initial treatment with the classic triple therapy for H. pylori has failed [7].
Consequently, a lot of research has focused on treating H. pylori infections using herbal remedies. There have been reports of anti-H. pylori activity in a variety of herbal remedies that have historically been used to treat cutaneous wounds and digestive problems [12]. Bi et al., (2014) [13] showed that herbal remedies are efficient in healing stomach ulcers, have fewer adverse effects and have reduced recurrence rates when compared to conventional drugs [13]. Additionally, combining herbal remedies with traditional anti-gastric ulcer medications has a synergistic impact on stomach ulcers [14]. Since most plants contain medicinal chemicals, they can be utilized to treat a variety of ailments [15,16]. Until recently, researchers have evaluated the antibacterial effects of a number of herbal extracts against H. pylori, including those from garlic, onions, cumin and fenugreek, and their results have indicated that some herbs are able to inhibit the growth of H. pylori [17,18,19,20].
Probiotic bacteria are described as living microorganisms that, when given to a host in sufficient quantities, improve their health. Probiotic activity has been associated with Bifidobacteria, Lactobacilli, Streptococcus, Enterococcus and Saccharomyces boulardii [21]. In order to effectively combat infections, probiotic bacteria must not be pathogenic and must generate antibacterial compounds [22]. In order to colonize the gastrointestinal epithelium and persist in situ, they also need to be tolerant to bile salts and gastric acid [23]. Characteristics considered important for probiotic efficacy could be indicative of possible mechanisms that underlie the observed clinical findings. Such characterizations could include survival at relevant body sites, the production of lactic acid or other short-chain fatty acids, adhesion to mucus or intestinal epithelial cells, interaction with human immune cells, resistance to digestive enzymes, bile or acid, antibacterial activity via competitive exclusion or production of bacteriocins or hydrogen peroxide [24]. Probiotics have been proven effective by acting through the competitive exclusion of the pathogenic bacteria [25] from the gastrointestinal tract. It is well established that lactobacilli (L. acidophilus R0052, L. rhamnosus R0011, L. casei Shirota strain and L. johnsonii strain La1) may kill H. pylori in vitro and, to a lesser extent, in vivo [26,27]. Lactobacilli-containing probiotics as an adjunct had a positive effect on improving eradication rates and reducing therapy-related side effects [28]. Furthermore, Lactobacillus administered alone is shown to significantly improve eradicating therapy [29]. Recent research has shown that using oral probiotics is quite helpful for treating H. pylori infection [30]. Natural medicines and probiotics could prove to be a useful alternative to pharmaceuticals for treating the infection since they appear to have an increased efficiency with minimal side effects [22].
The possibility of combined therapy using phenolic phytochemical-linked medicinal plants and lactic acid bacteria with probiotic potential on H. pylori inhibition may represent a novel and affordable approach to treating H. pylori-associated peptic ulcers and active chronic gastritis and impacting their long-term effects [31].
Based on the rationale above, the objective of this research was to evaluate the antimicrobial potential of combined methanolic extracts of some medicinal plants from Algeria, garlic, onion, cumin and fenugreek, with different probiotic strains, such as Bifidobacterium breve, Bifidobacterium bifidum, Bifidobacterium longum, Lacticaseibacillus rhamnosus GG, Lacticaseibacillus rhamnosus LA80, Lactobacillus helviticus, Limosilactobacillus fermentum, Lactiplantibacillus plantarum, Lacticaseibacillus casei, Lactobaccilus acidophilus, Lactobacillus lactis and Streptococcus thermophilus, against H. pylori both in vitro and in vivo. To our best knowledge, this study is the first report on the effect of combined Algerian medicinal plants with probiotics against H. pylori responsible for gastro-duodenal diseases.
2. Material and Methods
2.1. Materials
2.1.1. Plant Material
Samples of garlic (Allium sativum) bulb, onion (Allium cepa) bulb, fenugreek (Trigonella foenum-graecum L.) seeds and cumin (Cuminum cyminum L.) seeds were sorted, washed and dried at room temperature, then ground into a fine powder and sieved through a 200 μm sieve. Resulting powders were used to prepare methanolic extracts using a maceration method; all the extraction procedures were performed and conditions were set as described by Bouhenni et al., (2019a) and Bouhenni et al., (2019b) [32,33]. Briefly, the methods applied to investigate the chemical composition of the tested plant extracts were:
Determination of Total Phenolic Content
An amount of 0.5 mL of varying concentrations of each used extract and 2.5 mL of Folin–Ciocalteu (1/10 dilution in water) were mixed with 1 mL of sodium carbonate (20%). This mixture was incubated in the dark at room temperature for 30 min. The absorbance of the solution was measured at 765 nm using a UV Vis spectrophotometer A calibration curve was established using gallic acid as standard. The results were expressed as milligrams of gallic acid equivalent (GAE) per 100 g of Dry Matter.
Determination of Total Flavonoids Content
The total flavonoid content of plant extracts was determined using the aluminium chloride method. 1.5 mL of various concentrations was mixed with 75 µL of aluminium chloride solution and 0.5 mL of sodium acetate solution; the mixture was completed with distilled water until a volume of 2.5 mL. After an incubation period of 30 min at room temperature in the dark, the absorbance of the solution was measured at 415 nm using a UV-Vis spectrophotometer. The results were expressed as milligrams of quercitin equivalent (QE) per 100 g of Dry Matter.
Determination of Condensed Tannins Content
An amount of 1 mL of each extract was mixed with 2.5 mL of 4% methanol vanillin solution and 2.5 mL of H2SO4. After 15 min, the absorbance was measured at 500 nm. Condensed tannin contents were expressed as milligrams of Catechin equivalent (CE) per 100 g of Dry Matter.
Determination of Hydrolysable Tannins Content
An amount of 500 µL of the extract was added to 3.5 mL of the ferric chloride solution. The contents were then quickly mixed and the absorbance read at 660 nm, 15 secs after the addition of the extract solution. Hydrolysable tannin content was expressed as milligrams of Tannic acid equivalent (TAE) per 100 g of Dry Matter.
Phenolic compounds were identified qualitatively by the HPLC method (Supplementary Materials) and antioxidant activity was measured using a DPPH assay [32,33]. The extracts were carefully stored and later used for assessing their anti-H. pylori effects.
2.1.2. Probiotic Strains
Twelve probiotic strains were used in this study (Table 1): six of them (6) were obtained from the culture collection of the Laboratory of Sciences and Technics of Animal Production, Faculty of Agriculture-Abdelhamid Ibn Badis University, Mostaganem-Algeria; one (1) strain was obtained from the Laboratory of Natural and Local Bioresources, University of Hassiba Benbouali, Chlef-Algeria and the remaining strains (5) were purchased as commercial products in dried form: Lacticaseibacillus rhamnosus GG (Probiolog® Laboratoires Mayoly Spindler, Chatou, France), Lacticaseibacillus rhamnosus LA80 (LACTIBIANE® laboratoire PileJe, Orée-d’Anjou, France), Lactobacillus helviticus (Laxatransit®, laboratoire 3C Pharma, La Chapelle-d’Angillon, France), Bifidobacterium bifidum and Bifidobacterium longum (BENEFLORA® and Laboratoires ORTIS, Bütgenbach, Belgium) [34].
Table 1.
Source and origin of probiotic strains used in the present study.
2.1.3. H. pylori Strains
Fresh gastric biopsy specimens obtained from patients who underwent upper gastrointestinal endoscopy or from symptomatic patients with a positive rapid urease assay at the Youcef Damardji Tiaret Hospital, Algeria were transferred to sterile physiological saline, transported to the laboratory and processed within 4 h after sampling. Biopsy specimens were minced and homogenized in physiological sterile saline (0.5 mL) and then plated immediately on plates containing Colombia agar supplemented with 5% horse blood. The plates were incubated at 37 °C under microaerophilic conditions (10% CO2) using BD GasPak™ (kingtec, Taiwan) for a maximum of 10 days. Suspected isolates were identified as H. pylori by conventional methods using Gram stain, urease, catalase and oxidase tests, API Campy (Bio Merieux. Cedex. France) and polymerase chain reaction (PCR).
2.1.4. Animals
Sixty healthy male Wistar rats (200 ± 3.81 g) obtained from the Pasteur Institute of Algiers (Algeria) were used to evaluate the combined effect of plant extract and probiotic bacteria against H. pylori. The animals were kept in individual cages under appropriate environmental conditions (temperature 22 ± 1 °C, 12/12 h light-dark cycle and relative humidity of 60 ± 10%) for two weeks adaptation period at the Veterinary Sciences Institute, Tiaret University. They were housed according to relevant Algerian national legislation, were fed a commercial diet and were given water ad libitum, except otherwise stated. Throughout the experiments, all animals received special veterinary care according to the criteria outlined in the internationally accepted principal guidelines of the European Union on Animal Care (CEE Council 86/609, Directive 63/2010 on the protection of animals used for scientific purposes). The experimental study took place in the animal house of the Veterinary Institute-Tiaret and the experimental protocol was designed and followed by veterinarians. The authors are members of the Algerian Association of Sciences in Animal Experimentation (AASEA) (Agreement Number:45/DGLPAG/DVA.SDA.14).
2.2. Methods
2.2.1. Polymerase Chain Reaction Identification of H. pylori
Genomic DNAs were extracted from all strains by the guanidinium thiocyanate method. For the PCR detection of H. pylori, specific primers for the ureC gene have been used [35].
2.2.2. Evaluation of Anti-H. pylori Effect of Plant Extracts
Evaluation of the Diameter of Inhibition Zones (DIZ) of Plant Extracts Using Disc Diffusion Method
The disc diffusion test was used for primary screening of the susceptibility of H. pylori to the plant extracts. Bacterial suspensions adjusted to McFarland turbidity standard 0.5 (1.5 × 10−8 CFU/mL) were inoculated on plates containing Muller-Hinton agar with 5% of horse blood. Filter paper discs (6 mm diameter) impregnated with 60 μL of different concentrations of each plant extract (10, 20, 30, 40, 50, 60, 70, 80, 90, 100, 150, 250, 500 and 1000 μg/mL) were placed on the inoculated agar surfaces. Methanol at a concentration of 80% (60 μL) was used as a negative control. The plates were observed for 2 to 3 days at 37 °C under microaerophilic conditions. The antibacterial activity was expressed as the mean of inhibition diameters (mm) produced by the plant extracts [36].
Evaluation of the Minimum Inhibitory Concentration (MIC) of Plant Extracts with the Agar Dilution Method
The extracts presenting an inhibition zone ≥9 mm in diameter were chosen to assay the Minimum Inhibitory Concentration (MIC) with the agar dilution method using Mueller Hinton agar with 5% of horse blood. Methanol (80%) was used in the assay as a negative control. Concentrations of each extract were prepared in methanol 80% and 1 mL of each solution was incorporated in 20 mL of appropriate melted agar and poured into a Petri dish. The final concentrations of the extracts in the medium ranged from 90 to 1000 µg/mL. Agar plates were inoculated with 1 mL of bacteria suspension (1.5 × 108 CFU/mL). The plates were incubated for 5–7 days at 37 °C under microaerophilic conditions. The MIC was defined as the lowest concentration of plant extract inhibiting visible growth [37].
Evaluation of the Minimum Inhibitory Concentration (MIC) and Minimum Bactericidal Concentration (MBC) of Plant Extracts with the Broth Dilution Method
Minimum Inhibitory Concentrations (MIC) and Minimum Bactericidal Concentration (MBC) were measured using tube dilution methods. Fresh bacterial suspensions were prepared in Mueller Hinton broth and adjusted to McFarland turbidity standard 0.5. Serial concentrations were prepared from crude plant extracts within the range of 90 to 1000 μg/mL; then, 1 mL of each extract was added to tubes containing 8 mL of Mueller Hinton broth. Finally, 1 mL of a 1:1000 dilution of bacteria adjusted was added to obtain a 10 mL final volume. Controls of bacteria without extract were also prepared under similar conditions. The tubes were incubated for 2–3 days at 37 °C before recording the MIC. A volume of 0.1 mL of each suspension was spread onto Columbia agar plates containing 5% horse blood. After incubation in microaerophilic conditions at 37 °C for 72 h, the colonies formed were subsequently computed. The MBC was defined as the lowest concentrations of the plant extract, inducing complete inhibition of colony formation of the test bacteria at the latter cultivation [38].
Evaluation of Growth Kinetics of H. pylori in the Presence of Plant Extracts
The ability of several plant extracts to suppress H. pylori growth was tested by adding 1 mL of each plant extract on the 6th hour of development, while the optical density was subsequently measured every 2 h with UV-Vis spectrophotometer at 600 nm to follow the development of H. pylori in the presence of the extract [39].
2.3. Evaluation of Anti-H. pylori Effect of Probiotics (Well Diffusion Assay)
2.3.1. Preparation of Cell-Free Supernatant (CFS) of Probiotics
Cell-free culture supernatants of probiotics were prepared as described by Kim et al. [40]. The culture supernatant was collected from a 24 hr culture by centrifugation at 4.000× g rpm/10 min. The resulting supernatants were filter-sterilized (pore size 0.22 mm). H. pylori cultures were plated on fresh Mueller Hinton agar plates containing 5% horse blood (1.5 × 108 CFU/mL) and wells were drilled into the agar by using sterile Pasteur pipettes; 60 µL of fresh probiotic strains cell-free culture supernatants were introduced in the agar wells. Plates were incubated for 48 to 72 h under microaerophilic conditions at 37 °C and the diameters of inhibition zones around the wells were measured. The antibacterial activity was expressed as the mean of inhibition diameters (mm) produced by each probiotic.
2.3.2. Evaluation of Growth Kinetics of H. pylori in the Presence of Probiotics
A pre-culture tube of the H. pylori strain was inoculated in Mueller Hinton broth and incubated at 37 °C for 18 h, from which three standardized (0.5 MacFarland) culture tubes were prepared and the measurement of the bacterial growth of the pathogen strain was carried out by measuring the optical density every 2 h with UV-Vis spectrophotometer at 600 nm. After 6 h, 1 mL of each supernatant (normal/organic acid-free/H2O2 free prepared as described below) was added to the culture tubes; the optical density was then measured every 2 hr up to 24 hr and the OD = f (t) curve was drawn [39].
Influence of Organic Acids (Lactic and Acetic Acids)
Lactic acid bacteria can produce inhibitor molecules of H. pylori, such as organic acids, bacteriocins and hydrogen peroxide. To ensure the presence of these molecules, we took an 18 h culture of different strains of probiotics which were transferred to 50 mL of modified MRS broth and incubated at 37 °C for 18 h. After incubation, the tubes were centrifuged at 4.000× g rpm/10 min in order to recover the supernatant [39].
Influence of Bacteriocins
In order to study the effect of bacteriocins on the growth of H. pylori, the effect of organic acids, in particular lactic and acetic acids, was eliminated and the supernatant was neutralized (pH = 7) by adding a 0.1 N NaOH solution [39].
Influence of Hydrogen Peroxide
The effect of H2O2 was inhibited by incubating the supernatant fluid with catalase enzyme solutions prepared to a final concentration of 1 mg mL−1 in phosphate-buffered saline (pH 7.0).
The inhibitory effect of the agent was tested by eliminating the possible effect of organic acids by adjustment of the cells-free supernatants’ pH to 7 and that of hydrogen peroxide in the presence of catalase.
2.4. Combined Effect of Medicinal Plants with Probiotics on H. pylori
2.4.1. Determination of DIZ Using Disc Diffusion Method
Fresh Mueller Hinton agar plates containing 5% horse blood were inoculated with 1.5 × 108 CFU/mL of H. pylori; filter paper discs (6 mm diameter) impregnated with 30 μL of fresh supernatants of probiotics +30 μL of plant extracts were placed on the inoculated agar surfaces (each probiotic has been combined with all four extracts). Plates were incubated for 48 to 72 h under microaerophilic conditions at 37 °C and the diameters of inhibition zones around discs were measured.
2.4.2. Evaluation of Growth Kinetics of H. pylori in the Presence of Combined Solutions (Plant Extracts with Probiotics)
Different mixtures of probiotics with plant extracts were examined for inhibition of H. pylori growth. The measurement of H. pylori growth was carried out by measuring the optical density with UV-Vis spectrophotometer at 600 nm every 2 h after adding 500 µL of probiotic supernatant +500 µL of plant extract on the 6th hour of growth (each probiotic has been combined with all four extracts).
2.5. In Vivo Study Protocol
The inhibition of H. pylori growth by probiotics and plant extracts was investigated using the Wistar rat model. Depending on the results, we have chosen the strongest probiotic and extract (B. breve and fenugreek extract) based on their anti-H. pylori effect in order to complete the in vivo study. The rats were divided into 9 groups; 6 groups (G1–G6) were infected for 2 weeks, then treated for the 2 following weeks and 3 preventive groups (G7–G9) were infected and treated orally at the same time once daily for 2 weeks. More precisely, the groups were: Group 1 G1 (NC. n = 6); negative control H. pylori-infected 1.5 × 108 CFU without treatment; G2 (PC. n = 6); positive control H. pylori-infected and treated using second-line therapy clarithromycin with metronidazole in combination with amoxicillin and omeprazole; G3 (TFE1 n = 6): H. pylori-infected and treated with fenugreek extract- TFE) 150 µg/kg; G4 (TFE2. n = 6): H. pylori-infected and treated with fenugreek extract 300 µg/kg; G5 (TBB. n = 6): H. pylori-infected and treated with B. breve (TBB) 1.2 × 109 CFU; G6 (TFE1 + TBB, n = 6): H. pylori-infected and treated with fenugreek extract 150 µg/kg and B. breve 1.2 × 109 CFU; G7 (HP + TFE, n = 6): H. pylori infected and treated with fenugreek extract 150 µg/kg; G8 (HP + TBB. n = 6): H. pylori infected and treated with B. breve 1.2 × 109 CFU and G9 (HP + TFE + TBB. n = 6): H. pylori infected and treated with fenugreek extract 150 µg/kg and B. breve 1.2 × 109 CFU. Doses were calculated using the following formula: Injected volume (mL) = [animal weight (kg) x drug dose to be administrated (mg/kg)]/drug concentration (mg/mL).
At the end of the experiment, the rats were euthanized with diethyl ether and a full necropsy was performed.
2.6. Histopathologic Analysis of Gastric Tissue Samples
After removal, the stomach of each animal was opened through the longer curvature with sterile surgical instruments. Urease activity was determined in one half and the other half was fixed in 10% buffered formalin, trimmed to include all areas of the stomach, then processed by standard methods [41] and embedded in paraffin. From each block, two 5 µm sections were made, one being stained by hematoxylin and eosin (H&E) and the other by a Giemsa stain for H. pylori detection. All cases were examined in a blind manner by a veterinary pathologist, according to criteria established by Lee et al. [42]. Histopathological examination completed for stomach specimens were ranked according to the intensity of H. pylori colonization as follows: severe infection (3), moderate infection (2), mild infection (1) and free from infection (0) [43]. Gastritis was defined by the presence of lymphocytic or neutrophilic infiltration.
In Giemsa-stained sections, examining the different anatomical regions of the H. pylori-infected and treated rats, H. pylori bacteria colonizing the glands were graded on a scale of 0 to 4 as follows: 0, absence of bacteria; 1, bacteria isolated and randomly distributed; 2, reduced number of bacteria; 3, large number of bacteria and 4, very high number of bacteria.
2.7. Statistical Analysis
The data were collected and statistically analyzed by use of MS Excel 2007 and presented as mean ± SD of three replicates.
3. Results and Discussion
3.1. Results of Phytochemical Analysis and Screening
Phytochemical analysis showed that phenols are the largest group of metabolites in the four studied plants. Results of phytochemical screening of our plants using HPLC revealed the presence of caffeic acid, isoquercetin, vanillic acid, myricetin 3-0-rutinoside, syringaresinol, citrusine, rosmarinic acid and p-coumaric acid in cumin seeds, gallic acid, sinapic acid, caffeic acid, asterogenic acid, pyrogallol, hyperoside and ferulic acid in fenugreek seeds, gallic acid, quercitin, rutin, hyperoside and karempferol in red onion and one molecule for garlic extract which is gallic acid [32,33].
3.2. Results of Isolation and Identification of H. pylori
3.2.1. Results of Biochemical Identification
After incubation for 5 days at 37 °C in a microaerophilic atmosphere, the results of the reading were reflected by the appearance of small colonies 1 to 2 mm in diameter. The colonies were grayish or transparent in color, shiny, round and had a regular outline. Microscopic observation in the fresh state showed that H. pylori is a small curved, mobile bacillus.
The Gram stain performed on smears from the individual colonies indicated the presence of Gram-negative bacteria. The biochemical tests showed that the strain was positive for urease, catalase and oxidase and therefore had a significant enzymatic activity.
3.2.2. Results of H. pylori Identification by PCR
Real-time PCR assay for the identification of the H. pylori isolated strain showed amplification lines for the targeted gene (ureC). A 294 bp fragment was obtained in all H. pylori isolates after amplification of the ureC gene (Figure 1).
Figure 1.
PCR-amplified products of the Ure C gene of H. pylori visualized by Gel Red TM at 1.5% of agarose gels analyzed by electrophoresis. E1: sample 1. T+: Positive control (294 bp); T−: Negative control (water); M: size marker (100–3000 bp) (Promega. Madison, WI, USA). 99% H. pylori HUP-B14. complete genome (HP).
Sequence ID: CP003486.1 >TA3_P.UR --16…270 of sequence CAAACCATCGCCGGTTTTAGCGTAATCGCTAAAAATGATATGCCCGCTTGCTCGCCTCCAAAATTGGCTTTATTCAATGCATGCATTCGCTCACAAACTTATCCCCAATCGCGCAATGCTTCAATTCTAAATCTTGGGATTTTAAGTATTCTTTAAGGGCTAAATTACTCATGTTTGTAGCGACAATTGCTTGAGAAGAAAGGGCGTTTTTAGATTTTTGA TAAACCCCTAACACCCCTAAAAGCTTCACCCG.
3.3. Results of Evaluation of Anti-H. pylori Effect of the Plant Extracts
3.3.1. Results of Evaluation of DIZ of Plant Extracts Using the Disc Diffusion Method
The inhibitory effect of the methanolic extracts on the growth of H. pylori is shown in Table 2. The results indicated a concentration-dependent increase in the DIZ against H. pylori for all plant extracts. The DIZ started from 6 mm for the different plant extracts at 10 µg initial concentration. High DIZ were recorded for the cumin and fenugreek extracts at 90 µg concentrations and above, with slight primacy of the fenugreek extract (16.00 ± 0.00) at 1000 µg.
Table 2.
Results of determination of DIZ of plant extracts against H. pylori.
3.3.2. Evaluation of Minimum Inhibitory Concentration (MIC) and Minimum Bactericidal Concentration (MBC) of Plant Extracts
The results of plant extracts induced MIC and MBC against H. pylori are presented in Table 3. The strongest MIC and the MBC against H. pylori were obtained with the fenugreek extract at 100 and 150 µg/mL, respectively. The other extracts rendered as follows: cumin extract 150 µg/mL (MIC) and 250 µg/mL (MBC), while for the onion and garlic extracts, the concentrations needed to be much higher to attain the same MIC and MIBs. This suggested that fenugreek extract provided the best antibacterial effect at the lowest concentrations among all extracts evaluated in the present study.
Table 3.
Results of determination of MIC and MBC of plant extracts against H. pylori.
3.3.3. Results of Evaluation of Growth Kinetics of H. pylori in the Presence of Plant Extracts
The inhibition kinetics evaluation showed that plants extract had antibacterial activity against H. pylori (Figure 2). Almost similar growth kinetics were recorded for all plant extracts with relatively overlapping curves up to 6 h when adding plant extracts, followed by a marked decrease in H. pylori growth recorded with the fenugreek extract compared to other extracts.
Figure 2.
Results of evaluation of growth kinetics of H. pylori in the presence of plant extracts.
According to the results, fenugreek extract caused the highest growth inhibition of H. pylori, followed by cumin, garlic and onion, respectively.
3.4. Results of Evaluation of Probiotics Effect on H. pylori
3.4.1. Evaluation of DIZ of Probiotics against H. pylori Using Well Diffusion Assay
The antibacterial activity of 12 probiotic strains was evaluated in vitro by the well diffusion method against H. pylori. Table 4 summarizes the microbial growth inhibition of H. pylori in the presence of probiotics’ supernatants. While most probiotic strains (Lactobacillus genus) showed the mean diameter of inhibition zones (DIZ) ranging from 10 to 10.67 mm (L. rhamnosus LA80, L. rhamnosus GG, L. helviticus, L. lactis and S. thermophilus), a very high DIZ (20.33 ± 0.58 mm) was recorded for B. breve strain.
Table 4.
Results of evaluation of DIZ provided by probiotics against H. pylori.
3.4.2. Results of Evaluation of Growth Kinetics of H. pylori in the Presence of Probiotics
The results of evaluation of the growth kinetics of H. pylori showed a slight decrease in the presence of probiotics (Figure 3, Figure 4 and Figure 5). An important inhibition effect was recorded when the cell-free supernatant obtained from a culture of probiotics was used, indicating that a diffusible molecule (organic acids) should be present in this supernatant. However, a slightly lower inhibitory effect was obtained using bacteriocin-free and H2O2-free (neutralized) supernatants.
Figure 3.
Results of evaluation of growth kinetics of H. pylori in the presence of supernatant of probiotics.
Figure 4.
Results of evaluation of growth kinetics of H. pylori in the presence of neutralized supernatant of probiotics.
Figure 5.
Results of evaluation of growth kinetics of H. pylori in the presence of supernatant of probiotics+ catalase.
- ✓
- Influence of organic acids (lactic and acetic acids)
Among the tested probiotics, B. breve was responsible for an important growth decrease in H. pylori that could be explained by the high production of organic acids.
- ✓
- Influence of bacteriocins
Looking at the inhibition by organic acids, a highly reduced growth rate of H. pylori was induced by B. breve, suggesting its ability to synthesize more bacteriocins than the other tested probiotics.
- ✓
- Influence of hydrogen peroxide (H2O2)
No significant changes were observed with the suppression of H2O2 activity for all tested bacteria suggesting that it has no effect on H. pylori growth.
3.5. Results of Combined Effects of Medicinal Plants with Probiotics on H. pylori
3.5.1. Quantifying the DIZ Using the Disc Diffusion Method
Results of the determination of DIZ of medicinal plants combined with probiotics against H. pylori are shown in Table 5). The combined effect of most probiotics with plant extracts is quite similar, except for B. longum, B. bifidum and B. breve showing highly distinct DIZ values. The highest DIZ values were obtained with all B. breve combinations, especially with fenugreek extract giving 28.67 ± 0.58 mm DIZ against the H. pylori strain.
Table 5.
Results of determination of DIZ of medicinal plants with probiotics against H. pylori.
3.5.2. Evaluation of Growth Kinetics of H. pylori in the Presence of Combined Extract Plants with Probiotics
The results of the evaluation of H. pylori growth kinetics showed a remarkable decrease in the presence of probiotics combined with plant extracts (Figure 6, Figure 7, Figure 8 and Figure 9). All probiotics have induced an important decrease in the growth of H. pylori in combination with plant extracts. However, the most notable decrease in growth was recorded with the fenugreek extract when combined with B. breve (Figure 8).
Figure 6.
Results of evaluation of growth kinetics of H. pylori growth kinetics in the presence of probiotics supernatant + garlic extract.
Figure 7.
Results of evaluation of growth kinetics of H. pylori growth kinetics in the presence of probiotics supernatant + onion extract.
Figure 8.
Results of evaluation of growth kinetics of H. pylori growth kinetics in the presence of probiotics supernatant + cumin extract.
Figure 9.
Results of evaluation of growth kinetics of H. pylori growth kinetics in the presence of probiotics supernatant + fenugreek extract.
3.6. Results of the In Vivo Study
During the acclimation and the experimental periods, most of the rats did not show any treatment-dependent clinical signs, except those in group 9 (HP + TFE + TBB), where severe weight loss that could be attributed to the number of gavage (three consecutive gavages per day) was observed. No gross lesions were observed during the necropsy at the end of the experimental period.
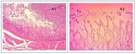
The histological results obtained by administering the combination between B. breve and fenugreek extract in order to evaluate their effect on H. pylori-induced stomach inflammation in vivo were shown in Figure 10.

Figure 10.
Histopathologic evaluation of antral gastric samples from H. pylori-infected rat groups, A non-treated showing moderate inflammatory infiltration in the lamina propria ((A1): H&E, ×100); note the severe colonization of antral mucosa with H. pylori bacteria ((A2): Giemsa stain, ×400); B, gastric samples of animals treated with second-line therapy showed reduced number of inflammatory cells in the lamina propria ((B1): H&E, ×400), no changes of colonizing bacteria were observed ((B2): Giemsa stain, ×400); C, treatment with TFE2 and TBB have significantly reduced the severity of inflammatory infiltration ((C1): H&E, ×400) with slight reduction in bacterial colonization ((C2): Giemsa stain, ×400); D, tissue from animals in all preventive groups showed normal gastric histology ((D1): H&E, ×400), with significant reduction in bacterial colonization ((D2): Giemsa stain, ×400).
3.7. Discussion
H. pylori isolated from biopsy samples of gastric ulcer patients were identified by different tests as described above. The detection of the ureC gene of the H. pylori strain was further confirmed by PCR amplification of the ureC gene specific to the strain of H. pylori. Our results of PCR were similar to the previous study by Lage et al., (1995) that showed the amplification of curves for the targeted gene (ureC) [35].
The evaluation of the antibacterial effect of methanolic extracts from tested plant materials against H. pylori clinical isolates using a disc diffusion test and by evaluating the MIC on solid media and MBC on broth media indicated an inhibitory activity in high percentages. The results presented in this study emphasize the significant antibacterial effect of methanol extracts, especially for fenugreek extract, which was higher than that of cumin, onion and garlic extracts, respectively; all tested plants showed substantial but broadly different anti-H. pylori effects with an MBC ranging from 150 to 1000 µg/mL.
Similar results were obtained by other investigators for anti-H. pylori activities of the studied plants. Thus, O’Gara et al. [17] and Cellini [44] showed that garlic exhibited a potential anti-H. pylori effect with MIC ranging from 250 to 500 μg/mL and a MBC ranging from 250 to 500 μg/mL [17,44]. The in vitro anti-H.pylori activity of extracts and compounds obtained from garlic has been extensively documented [44,45]. An aqueous garlic extract had a MIC of 40 μg/mL against H. pylori, and for other garlic compounds (allicin, ajoenes, vinyldithiins, thiosulphinates), the MIC values were approximately 10 to 25 μg/mL [45,46]. Similarly, the other plants studied in this research represented subject to investigations of other groups. Onion extracts presented a good anti-H. pylori activity, according to Yordanov et al. [18], while cumin showed a MIC of 691 μg/mL against H. pylori [19] and, finally, fenugreek was observed to moderately (68%) inhibit the growth of H. pylori according to Manjegowda and Dharmesh [20]. The bactericidal activity of plant preparations against H. pylori significantly depends on the type of the extract and its components, concentration and exposure time and the density of the tested bacterial strains [47]. In previous studies, phytochemical screening of four plants was carried out and the results revealed the presence of eight phytochemical compounds in cumin extract, seven molecules in fenugreek extract, five compounds found in red onion extracts and one compound in garlic [32,33]. From these phytochemical studies, phenols are the largest group of metabolites in the studied plants and many compounds are believed to have remarkable anti-H. pylori effect in vitro and, to some extent, in vivo. Studies that have attempted to elucidate the mechanism of action of plant extracts or compounds on H. pylori are available. Some of these studies, for example, investigated the effect of various compounds on bacterial virulence factors such as urease, adhesion, vacuolization, motility or on specific metabolic enzymes [48]. The antimicrobial activity of the secondary metabolites of plants is related to the -OH group bound to the phenolic ring [49].
The anti-H. pylori mechanism of action of some of the phytochemicals listed above is described. Some of the phenolic acids demonstrated antimicrobial activity similar to antibiotics [50]. For instance, quercetin showed activity against several bacteria causing inhibition of FabZ enzyme [51] and, in the same way, to kaempferol by inhibition of peptidoglycan synthesis, activity of β-lactamase, decrease in fatty acids and increase in cytoplasmic membrane permeability [52]. Caffeic acid is able to rupture cell membranes, interfere with aerobic metabolism [53] and inhibit efflux pump [54]. In a separate study, several phenolic acids, including vanillic acid, syringic acid, p-coumaric acid and ferulic acid, from Polish wild mushrooms demonstrated intermediate antibacterial activities against a range of Gram-negative and Gram-positive bacteria [55]. Hyperoside, ferulic acid, rutin and ellagic acid found in the extracts of three species of Potentilla displayed a good anti-bacterial activity against both Gram-positive and Gram-negative bacteria [56].
The anti-H. pylori activity in vitro of garlic extracts and compounds has been extensively reported; for example, the gallic acid potentially enhanced the activity of antibiotics against several P. aeruginosa isolates by altering the cell wall integrity [57]. In their study, Borges et al., found that ferulic acid and gallic acid had antimicrobial activity against four pathogenic bacteria by producing local damage and leakage (pore formation) of cellular components [58].
Out of the tested probiotic strains, Bifidobacterium breve showed the highest antibacterial activity against H. pylori. Moreover, the antibacterial activity of the other Bifidobacterium strains, B. bifidum and B. longum, was also higher than that of the reference strains (L. rhamnosus GG, L. rhamnosus LA80 and L. helviticus) and of isolated probiotic strains (L. fermentum, L. plantarum, L. casei, L. acidophilus, L. lactis and S. thermophilus). Further studies on the inhibition kinetics showed that B. breve presents the highest antibacterial activity against H. pylori when compared to other probiotic strains. Regarding the results of growth kinetics of H. pylori in the presence of probiotics, when investigating the influence of different variables (organic acids, bacteriocins and hydrogen peroxide), it was clear that the inhibition effect was due to the presence of organic acids, such as lactic and acetic acids and bacteriocins. Thus, in accordance with the bacterial death criteria of Pearson et al. [59], the effect of L. fermentum UCO-979C strain at 24 h can be considered lethal for H. pylori. Further, after repeating this assay at shorter times and using the same Pearson criteria for interpretation of the results, the death of H. pylori after 6 h of treatment with B. breve was noticed. Nevertheless, other researchers found different results when evaluating the anti-H. pylori effect of some probiotics. Bae et al., investigated the inhibitory effects of different Bifidobacterium spp. on the growth of H. pylori and indicated that significant suppression of H. pylori growth occurred, especially in the presence of B. breve [60]. García et al., establish that L. fermentum, L. casei and L. rhamnosus induced an inhibition ranging from 2 to 5 mm [30]. Boyanova et al. [61], when looking at the anti-H. pylori effect of some Lactobacillus strains, indicated that three strains suppressed the growth of >86% of H. pylori strains at low pH values and two strains suppressed the growth of >53% of the test strains at neutral pH values [61]. Further studies by Boyanova et al. [62] revealed that the DIZ of some Lactobacillus strains were higher, from 13 to 16 mm, while Chen et al. [63] found that L. rhamnosus and L. acidophilus exhibited an inhibitory effect against H. pylori reference strain 26695 demonstrated by a DIZs of 12.3 and 11.3 mm, respectively [62,63]. However, Paucar-Carrión et al. [61], when analyzing the anti-H. pylori activity of L. fermentum, concluded that the activity was mild with DIZ between 1 mm and 2 mm [64].
Among probiotics, Bifidobacterium is one of the favorites, is generally used for the prevention of gastrointestinal infection and it is commonly incorporated in fermented dairy products or food supplements. Bifidobacterium exerts an in vitro anti-H. pylori effect and inhibits adhesion to the mucosa by competitive exclusion [65]. Several studies have demonstrated a direct relationship between the addition of potential probiotic strains and the in vitro inhibition of H. pylori growth. Such strains were Lactobacillus acidophilus [66] and Lactobacillus casei Shirota strain [26], which, among others, have an antagonistic effect on H. pylori. Since most organic acids are produced by the Bifidobacterium spp. inhibited the growth of H. pylori, while the H. pylori growth was not inhibited by organic acids produced in some other Bifidobacteria-cultured media, it was suggested that those Bifidobacterium strains might produce antibiotic-like compounds (bacteriocins) [60]. The results of the present study confirm the findings of Zacharof and Lovitt [67], which imply the effects of organic acids and other bioactive substances of the Bifidobacterium and Lactobacillus strains and a higher activity of bacteriocins at lower pH values [67]. The activity of the neutralized and catalase-treated supernatants was approximately similar with regard to the H. pylori growth inhibition effect. Bacteriocin activity depended on numerous factors of the test strains, such as the bacterial cell envelope/membrane composition, reduction in bacteriocin binding/insertion, bacteriocin sequestering and degradation or efflux pumping [68].
In this study, we confirmed in in vitro experiments the inhibitory activity of B. breve complex mixture containing fenugreek extracts on H. pylori. The fenugreek extract inhibited the growth of H. pylori in a dose-dependent manner (100 µg/mL). In addition, the inhibitory effect on H. pylori of B. breve and fenugreek extract, when applied as a complex mixture rather than individual components, was confirmed to be superior.
H. pylori was inhibited by all combined mixtures of extracts and probiotics with varying results, while fenugreek/B. breve, cumin/B. breve, garlic/B. breve and onion/B. breve combinations exhibited relevant anti-H. pylori activities with DIZ of 26, 29, 23 and 25 mm, respectively. Preliminary studies on the effect of probiotics against H. pylori revealed that inhibition may be due to lactic acids and bacteriocins. However, the presence of phenolic compounds, such as gallic acid, caffeic acid, quercetin and vanillic acid, in plant extracts may also have an influence.
Few studies investigate the antimicrobial effects of combinations between probiotics and plant extracts. Lee et al. [69] demonstrated that the treatment with a complex mixture of L. paracasei HP7, including the extract of P. frutescens and G. glabra, could inhibit the growth of H. pylori and, thus, is a promising treatment for patients with gastric symptoms, such as gastritis caused by H. pylori infection [69]. Behrad et al. [70] recorded that a mixture of cinnamon extract, L. acidophilus LA-5 and NCFM, Bifidobacterium Bb-12, L.casei LC-10 and Streptococcus thermophilus Th-4 exhibited the strongest inhibitory effect on H. pylori growth in vitro (13.5 mm) [70]. Other studies contradict the synergic effect between plant extracts and probiotics. Kang et al., (2021) investigated the anti-H. pylori effects of Lactobacillus plantarum (pH3A), monolaurin, grapefruit seed extract and their synergies in vitro and in vivo [71]. Monolaurin and grapefruit seed extract suppressed H. pylori growth at a MIC of 62.5 ppm. Additionally, L. plantarum pH3A significantly inhibited H. pylori growth. In the in vivo study, H. pylori colonization of the mouse stomach was significantly reduced by L. plantarum treatment, but the addition of monolaurin or grapefruit seed extract did not contribute to these anti-H. pylori activities. Therefore, the L. plantarum strain can potentially be applied as an alternative anti-H. pylori therapy, but evidence of its synergy with monolaurin or grapefruit seed extract in vivo is still lacking. Sadeghi et al. [72] examined the synergistic effect of broccoli sprout extract with probiotics on H. pylori growth inhibition and the findings showed a synergistic effect of the mixture on bacterial inhibition and suggested the use of broccoli sprout extract and probiotic bacteria in a yogurt form that is effective in the therapy of H. pylori infection [72].
The histopathological examination of gastric mucosa showed a moderate inflammatory infiltration in the antrum and fundus of animals in the non-treated groups infected with H. pylori and severe colonization of antral mucosa with H. pylori bacteria by use of Giemsa stain. Gastric samples of H. pylori-infected animals treated with second-line therapy showed a reduced number of inflammatory cells in the lamina propria; however, no changes in colonizing bacteria were observed in the Giemsa-stained samples. Tissue samples of rats infected with H. pylori and treated with TFE2 and TBB showed a significant decrease in infiltrating inflammatory cells and colonizing bacteria scores (1–0 and 1–1) for inflammation and colonization, respectively. However, the group of rats receiving the lowest dose of fenugreek extract (TFE1, 150 mg/kg) showed a slight decrease in inflammatory infiltration and colonization of gastric mucosa (score 2–2) compared to the higher dose group animals.
All animals in preventive groups showed normal gastric histology with a significant reduction in bacterial colonization (score 1). However, the gastric mucosa of treated animals exhibited mild inflammation due to infiltration by lymphocytes from previous H. pylori infections. Animals in the H. pylori-infected group treated with fenugreek extract associated with B. breve showed normal gastric histology with a total absence of H. pylori characteristic forms of colonialization in Giemsa-stained samples.
Data from the current study suggest that administration of TFE, TBB or their associations to H. pylori-infected rats can moderately reduce the number of H. pylori colonizing the gastric mucosa with an important effect on associated gastritis. However, prophylactic administration of TFE, TBB or their associations could prevent gastric inflammation and considerably reduce or completely eliminate H. pylori colonization.
In vivo anti-H. pylori activity of the fenugreek extract and/or B. breve has been confirmed by histopathological and urease tests. These compounds have suggestively reduced the number of animals with a positive urease test and the number of detected microorganisms in histological sections stained by Giemsa, exceedingly even the standard medications, thus preventing the presence of these organisms in the gastric mucosa.
None of the animals in the control and treated groups exhibited atrophy or metaplasia of the gastric mucosa. Similarly, important differences in the antral and fundic mucosa with respect to colonization by H. pylori and the associated gastritis were observed between the treated and control groups, as also reported by Sgouras et al. [26]. It has been suggested in previous in vivo studies in rats that the fenugreek extract forms a protective barrier over the gastric epithelial lining due to the presence of galactomannans, H. pylori possibly interacting with epithelial cells through secretory molecules (vitexin-7-O-glucoside, vicenin-1, luteolin and orientin) or as a result of adherence [73].
The significant reduction in the severity of gastritis observed in animals treated with the extract indicated a possible role as an anti-inflammatory and anti-secretory agent [73,74]. However, this gastro-protective action was not attributed exclusively to the alteration of gastric pH or acidity since the response of the extract was consistent in both in vivo and in vitro studies [73]. Additionally, it has been suggested that the in vivo activity of the extract may not result solely from the topical action but may also take place from a systemic component [75].
Several probiotics showed beneficial effects in animal models of H. pylori infection. In mice infection models, a combination of probiotics—L. acidophilus R0052 + L. rhamnosus R0011 and L. casei Shirota strain + L. johnsonii strain La1—were found to reduce the effects of H. pylori infection by decreasing H. pylori colonization and alleviating H. pylori-induced inflammation of the gastric mucosa [26,27].
There are numerous possible mechanisms by which probiotic bacteria can prevent H. pylori adhesion [76]. Lactobacilli, such as L. johnsonii La1 [77] or L. acidophilus LB [78], may exert anti-adhesion activity by secreting antimicrobial substances and strains, such as L. reuteri, can inhibit H. pylori growth by competing with adhesion sites. Non-specific rather than specific receptor site blockage is the most likely mechanism [79].
In vivo studies demonstrated that previous colonization with probiotics prevents or reduces H. pylori infection in experimental animals [27]. Consequently, regardless of the mechanisms of inhibition of the H. pylori adherence to epithelial cells, probiotics could prevent H. pylori colonization by inhibiting bacterial adhesion to gastric epithelial cells [80].
4. Conclusions
The administration of a complex mixture of Bifidobacterium breve and T. foenum-graecum L. extract was more effective than that of B. breve alone or T. foenum-graecum L. extract alone, the combination induced a higher antibacterial effect against H. pylori and prevented the inflammation induced by H. pylori. The present study confirmed that the administration of this mixture reduced the damage of the gastric mucous membrane. The mechanism probably relied on the inhibitory effect of B. breve on the adhesion of H. pylori to the gastric mucosa combined with the increased secretion of gastric mucosal mucin induced by T. foenum-graecum L. extract. Thus, a complex mixture of B. breve, including the extract of T. foenum-graecum L., could be used to treat patients with gastric symptoms, including ulcers caused by H. pylori. These results demonstrated that the complex mixture of B. breve, including the extract of T. foenum-graecum L. is a promising therapeutic agent for patients with gastric symptoms, such as for gastroduodenal diseases caused by H. pylori infection.
Supplementary Materials
The following supporting information can be downloaded at: https://www.mdpi.com/article/10.3390/microorganisms11051242/s1, The molecular separation of garlic, red onion, fenugreek and cumin methanolic extracts was achieved by HPLC at three wavelengths: 254 nm, 326 nm and 360 nm. The findings obtained are visible in the peaks and retention time of chromatograms of each molecule. The results obtained are shown in the chromatograms with peaks and retention time of each molecule (Figures S1–S4) [32,33]. HPLC results revealed the presence of five components in red onion extract (Figure S1), one component in garlic extract (Figure S2), fifteen compounds in cumin extract (Figure S3) and eight compounds in fenugreek (Figure S4), The identification of molecules found in the samples is based on comparing their retention times (Rt) with that of pure standards under the same experimental conditions (Table S1).
Author Contributions
Conceptualization, B.H., H.H., D.K. and B.A.; methodology, B.H., H.H., D.K. and B.A.; validation, B.H., H.H., D.K. and B.A.; investigation, B.H., H.H., D.K. and B.A.; resources, B.H., H.H. and D.K. data curation, S.M., U.E. and D.K.; writing—original draft, B.H., H.H. and B.A.; writing—review and editing, B.H., H.H., D.K., S.M. and U.E. All authors have read and agreed to the published version of the manuscript.
Funding
This research received no external funding.
Informed Consent Statement
Not applicable.
Data Availability Statement
Not applicable.
Acknowledgments
All of the authors are grateful to the staff of the department of Infectious diseases and Clinical Sciences, University of Agriculture Sciences and Veterinary Medicine, Cluj Napoca, Romania, and the Institute of Veterinary Sciences at the University of Tiaret for facilitating the experimental study. We are thankful to Dahou Abdelkader Elamine, University of Mostaganem and Hellal Nouria, University of Tissemsilt for their help and support.
Conflicts of Interest
The authors declare no conflict of interest.
References
- Crowe, S.E. Helicobacter infection, chronic inflammation, and the development of malignancy. Curr. Opin. Gastroenterol. 2005, 21, 32–38. [Google Scholar] [PubMed]
- Haley, K.P.; Gaddy, J.A. Helicobacter pylori: Genomic insight into the host-pathogen interaction. Int. J. Genom. 2015, 2015, 386905. [Google Scholar] [CrossRef] [PubMed]
- Gotteland, M.; Brunser, O.; Cruchet, S. Systematic review: Are probiotics useful in controlling gastric colonization by Helicobacter pylori? Aliment. Pharmacol. Ther. 2006, 23, 1077–1086. [Google Scholar] [CrossRef] [PubMed]
- The IMW Group. IARC Monographs on the Evaluation of Carcinogenic Risks to Humans: International Agency for Research on Cancer. In Part B: Biological Agents; 2011; Volume 100. [Google Scholar]
- Kasmi, H.; Doukani, K.; Ali, A.; Tabak, S.; Bouhenni, H. Epidemiological profile of Helicobacter pylori infection in patients with digestive symptoms in Algeria. J. Epidemiol. Glob. Health 2020, 10, 293. [Google Scholar] [CrossRef]
- Raaf, N.; Amhis, W.; Saoula, H.; Abid, A.; Nakmouche, M.; Balamane, A.; Ali Arous, N.; Ouar-Korichi, M.; Vale, F.F.; Bénéjat, L. Prevalence, antibiotic resistance, and MLST typing of Helicobacter pylori in Algiers, Algeria. Helicobacter 2017, 22, e12446. [Google Scholar] [CrossRef]
- Goderska, K.; Agudo Pena, S.; Alarcon, T. Helicobacter pylori treatment: Antibiotics or probiotics. Appl. Microbiol. Biotechnol. 2018, 102, 1–7. [Google Scholar] [CrossRef]
- Garrido-Treviño, L.; López-Martínez, M.; Flores-Hinojosa, J.; Tijerina-Rodríguez, L.; Bosques-Padilla, F. Empiric treatment vs susceptibility-guided treatment for eradicating H. pylori: Is it possible to change that paradigm using modern molecular methods? Rev. Gastroenterol. 2022, 87, 330–341. [Google Scholar] [CrossRef]
- Savoldi, A.; Carrara, E.; Graham, D.Y.; Conti, M.; Tacconelli, E. Prevalence of antibiotic resistance in Helicobacter pylori: A systematic review and meta-analysis in World Health Organization regions. Gastroenterology 2018, 155, 1372–1382.e1317. [Google Scholar] [CrossRef]
- Abadi, A.T.B. Helicobacter pylori treatment: New perspectives using current experience. J. Glob. Antimicrob. Resist. 2017, 8, 123–130. [Google Scholar] [CrossRef]
- Elrais, A.M.; Arab, W.S.; Sallam, K.I.; Elmegid, W.A.; Elgendy, F.; Elmonir, W.; Imre, K.; Morar, A.; Herman, V.; Elaadli, H. Prevalence, Virulence Genes, Phylogenetic Analysis, and Antimicrobial Resistance Profile of Helicobacter Species in Chicken Meat and Their Associated Environment at Retail Shops in Egypt. Foods 2022, 11, 1890. [Google Scholar] [CrossRef]
- Ngan, L.T.M.; Dung, P.P.; Nhi, N.V.T.Y.; Hoang, N.v.M.; Hieu, T.T. Antibacterial activity of ethanolic extracts of some Vietnamese medicinal plants against Helicobacter pylori. In Proceedings of the AIP Conference Proceedings, Phuket, Thailand, 6–8 June 2017; AIP Publishing LLC: College Park, MD, USA, 2017; p. 020030. [Google Scholar]
- Bi, W.-P.; Man, H.-B.; Man, M.-Q. Efficacy and safety of herbal medicines in treating gastric ulcer: A review. World J. Gastroenterol. WJG 2014, 20, 17020. [Google Scholar] [CrossRef]
- Krzyżek, P.; Junka, A.; Słupski, W.; Dołowacka-Jóźwiak, A.; Płachno, B.J.; Sobiecka, A.; Matkowski, A.; Chodaczek, G.; Płusa, T.; Gościniak, G. Antibiofilm and antimicrobial-enhancing activity of Chelidonium majus and Corydalis cheilanthifolia extracts against multidrug-resistant Helicobacter pylori. Pathogens 2021, 10, 1033. [Google Scholar] [CrossRef]
- Mintah, S.O.; Asafo-Agyei, T.; Archer, M.-A.; Junior, P.A.-A.; Boamah, D.; Kumadoh, D.; Appiah, A.; Ocloo, A.; Boakye, Y.D.; Agyare, C. Medicinal plants for treatment of prevalent diseases. Pharmacogn. Med. Plants 2019, 1–19. [Google Scholar]
- Spînu, M.; Niculae, M.; Paştiu, A.I.; Şandru, C.D.; Pall, E.; Vasiu, A. Vegetal extracts influence in vitro on the cell-mediated immunity in carnivores depending on health status, target species and plant taxonomy. Ind. Crops Prod. 2016, 88, 44–47. [Google Scholar] [CrossRef]
- O’Gara, E.A.; Hill, D.J.; Maslin, D.J. Activities of garlic oil, garlic powder, and their diallyl constituents against Helicobacter pylori. Appl. Environ. Microbiol. 2000, 66, 2269–2273. [Google Scholar] [CrossRef]
- Yordanov, D.; Boyanova, L.; Markovska, R.; Ilieva, J.; Andreev, N.; Gergova, G.; Mitov, I. Influence of dietary factors on Helicobacter pylori and CagA seroprevalence in Bulgaria. Gastroenterol. Res. Pract. 2017, 2017, 9212143. [Google Scholar] [CrossRef]
- Nakhaei, M.; Khajeh, K.A.M.; Ramezani, M. Inhibition of Helicobacter pylori growth in vitro by saffron (Crocus sativus L.). Iran. J. Basic Med. Sci. 2008, 11, 91–96. [Google Scholar]
- Belagihalli, S.M.; Dharmesh, S.M. Anti-Helicobacter pylori, proton pump inhibitory and antioxidant properties of selected dietary/medicinal plants. Int. J. Phytomed. 2012, 4, 573. [Google Scholar]
- Morelli, L.; Capurso, L. FAO/WHO guidelines on probiotics: 10 years later. J. Clin. Gastroenterol. 2012, 46, S1–S2. [Google Scholar] [CrossRef]
- Vítor, J.M.; Vale, F.F. Alternative therapies for Helicobacter pylori: Probiotics and phytomedicine. FEMS Immunol. Med. Microbiol. 2011, 63, 153–164. [Google Scholar] [CrossRef]
- Peres, C.M.; Alves, M.; Hernandez-Mendoza, A.; Moreira, L.; Silva, S.; Bronze, M.R.; Vilas-Boas, L.; Peres, C.; Malcata, F.X. Novel isolates of lactobacilli from fermented Portuguese olive as potential probiotics. LWT-Food Sci. Technol. 2014, 59, 234–246. [Google Scholar] [CrossRef]
- Binda, S.; Hill, C.; Johansen, E.; Obis, D.; Pot, B.; Sanders, M.E.; Tremblay, A.; Ouwehand, A.C. Criteria to Qualify Microorganisms as “Probiotic” in Foods and Dietary Supplements. Front. Microbiol. 2020, 11, 1662. [Google Scholar] [CrossRef] [PubMed]
- Raheem, A.; Liang, L.; Zhang, G.; Cui, S. Modulatory effects of probiotics during pathogenic infections with emphasis on immune regulation. Front. Immunol. 2021, 12, 616713. [Google Scholar] [CrossRef] [PubMed]
- Sgouras, D.; Maragkoudakis, P.; Petraki, K.; Martinez-Gonzalez, B.; Eriotou, E.; Michopoulos, S.; Kalantzopoulos, G.; Tsakalidou, E.; Mentis, A. In vitro and in vivo inhibition of Helicobacter pylori by Lactobacillus casei strain Shirota. Appl. Environ. Microbiol. 2004, 70, 518–526. [Google Scholar] [CrossRef]
- Johnson-Henry, K.C.; Mitchell, D.J.; Avitzur, Y.; Galindo-Mata, E.; Jones, N.L.; Sherman, P.M. Probiotics reduce bacterial colonization and gastric inflammation in H. pylori-infected mice. Dig. Dis. Sci. 2004, 49, 1095–1102. [Google Scholar] [CrossRef]
- Zou, J.; Dong, J.; Yu, X. Meta-analysis: Lactobacillus containing quadruple therapy versus standard triple first-line therapy for Helicobacter pylori eradication. Helicobacter 2009, 14, 449–459. [Google Scholar] [CrossRef]
- Zheng, X.; Lyu, L.; Mei, Z. Lactobacillus-containing probiotic supplementation increases Helicobacter pylori eradication rate: Evidence from a meta-analysis. Rev. Esp. Enferm. Dig. 2013, 105, 445–453. [Google Scholar] [CrossRef]
- Garcia-Castillo, V.; Zelaya, H.; Ilabaca, A.; Espinoza-Monje, M.; Komatsu, R.; Albarracín, L.; Kitazawa, H.; Garcia-Cancino, A.; Villena, J. Lactobacillus fermentum UCO-979C beneficially modulates the innate immune response triggered by Helicobacter pylori infection in vitro. Benef. Microbes 2018, 9, 829–841. [Google Scholar] [CrossRef]
- Ranilla, L.G.; Apostolidis, E.; Shetty, K. Antimicrobial activity of an Amazon medicinal plant (Chancapiedra) (Phyllanthus niruri L.) against Helicobacter pylori and lactic acid bacteria. Phytother. Res. 2012, 26, 791–799. [Google Scholar] [CrossRef]
- Bouhenni, H.; Doukani, K.; Şekeroğlu, N.; Gezici, S.; Tabak, S. Comparative study on chemical composition and antibacterial activity of fenugreek (Trigonella foenum graecum L.) and cumin (Cuminum cyminum L.) seeds. Ukr. Food J. 2019, 8, 755–767. [Google Scholar] [CrossRef]
- Bouhenni, H.; Doukani, K.; Sekeroglu, N.; Tabak, S. Proximate composition and antibacterial potentials of cultivated garlic (Allium sativum L.) and onion (Allium cepa L.) in Algeria. Int. J. Ecosyst. Ecol. Sci. 2019, 9, 383–394. [Google Scholar] [CrossRef]
- Oberg, T.S.; McMahon, D.J.; Culumber, M.D.; McAuliffe, O.; Oberg, C.J. Invited review: Review of taxonomic changes in dairy-related lactobacilli. J. Dairy Sci. 2022, 105, 2750–2770. [Google Scholar] [CrossRef]
- Lage, A.P.; Godfroid, E.; Fauconnier, A.; Burette, A.; Butzler, J.-P.; Bollen, A.; Glupczynski, Y. Diagnosis of Helicobacter pylori infection by PCR: Comparison with other invasive techniques and detection of cagA gene in gastric biopsy specimens. J. Clin. Microbiol. 1995, 33, 2752–2756. [Google Scholar] [CrossRef]
- Nostro, A.; Cannatelli, M.; Crisafi, G.; Musolino, A.; Procopio, F.; Alonzo, V. Modifications of hydrophobicity, in vitro adherence and cellular aggregation of Streptococcus mutans by Helichrysum italicum extract. Lett. Appl. Microbiol. 2004, 38, 423–427. [Google Scholar] [CrossRef]
- Arbyn, M.; Anttila, A.; Jordan, J.; Ronco, G.; Schenck, U.; Segnan, N.; Wiener, H.; Herbert, A.; Von Karsa, L. European guidelines for quality assurance in cervical cancer screening—Summary document. Ann. Oncol. 2010, 21, 448–458. [Google Scholar] [CrossRef]
- Wang, Y.-C.; Huang, T.-L. Anti-Helicobacter pylori activity of Plumbago zeylanica L. FEMS Immunol. Med. Microbiol. 2005, 43, 407–412. [Google Scholar] [CrossRef]
- Barefoot, S.F.; Klaenhammer, T.R. Detection and activity of lactacin B, a bacteriocin produced by Lactobacillus acidophilus. Appl. Environ. Microbiol. 1983, 45, 1808–1815. [Google Scholar] [CrossRef]
- Kim, M.-R.; Lee, S.-J.; Seul, K.-J.; Park, Y.-M.; Ghim, S.-Y. Characterization of antimicrobial substance produced by Lactobacillus paraplantarum KNUC25 isolated from kimchi. Microbiol. Biotechnol. Lett. 2009, 37, 24–32. [Google Scholar]
- Suvarna, K.S.; Layton, C.; Bancroft, J.D. Bancroft’s Theory and Practice of Histological Techniques E-Book; Elsevier Health Sciences: Amsterdam, The Netherlands, 2018. [Google Scholar]
- Lee, A.; O’Rourke, J.; De Ungria, M.C.; Robertson, B.; Daskalopoulos, G.; Dixon, M.F. A standardized mouse model of Helicobacter pylori infection: Introducing the Sydney strain. Gastroenterology 1997, 112, 1386–1397. [Google Scholar] [CrossRef]
- Dixon, M.F.; Genta, R.M.; Yardley, J.H.; Correa, P. Classification and grading of gastritis: The updated Sydney system. Am. J. Surg. Pathol. 1996, 20, 1161–1181. [Google Scholar] [CrossRef]
- Cellini, L.; Di Campli, E.; Masulli, M.; Di Bartolomeo, S.; Allocati, N. Inhibition of Helicobacter pylori by garlic extract (Allium sativum). FEMS Immunol. Med. Microbiol. 1996, 13, 273–277. [Google Scholar] [CrossRef] [PubMed]
- Mahady, G.B.; Matsuura, H.; Pendland, S.L.; Allixin, A. Phytoalexin From Garlic, Inhibits The Growth of Helicobacter Pylori in Vitro. Off. J. Am. Coll. Gastroenterol. ACG 2001, 96, 3454–3455. [Google Scholar] [CrossRef] [PubMed]
- Sivam, G.P.; Lampe, J.W.; Ulness, B.; Swanzy, S.R.; Potter, J.D. Helicobacter pylori—In vitro susceptibility to garlic (Allium sativum) extract. Nutr. Cancer 1997, 27, 118–121. [Google Scholar] [CrossRef] [PubMed]
- Ngan, L.; Tan, M.; Hoang, N.; Thanh, D.; Linh, N.; Hoa, T.; Nuong, N.; Hieu, T. Antibacterial activity of Hibiscus rosa-sinensis L. red flower against antibiotic-resistant strains of Helicobacter pylori and identification of the flower constituents. Braz. J. Med. Biol. Res. 2021, 54. [Google Scholar] [CrossRef] [PubMed]
- Ayala, G.; Escobedo-Hinojosa, W.I.; de la Cruz-Herrera, C.F.; Romero, I. Exploring alternative treatments for Helicobacter pylori infection. World J. Gastroenterol. WJG 2014, 20, 1450. [Google Scholar] [CrossRef] [PubMed]
- Brglez Mojzer, E.; Knez Hrnčič, M.; Škerget, M.; Knez, Ž.; Bren, U. Polyphenols: Extraction methods, antioxidative action, bioavailability and anticarcinogenic effects. Molecules 2016, 21, 901. [Google Scholar] [CrossRef]
- Alibi, S.; Crespo, D.; Navas, J. Plant-derivatives small molecules with antibacterial activity. Antibiotics 2021, 10, 231. [Google Scholar] [CrossRef]
- Geethalakshmi, R.; Sundaramurthi, J.C.; Sarada, D.V. Antibacterial activity of flavonoid isolated from Trianthema decandra against Pseudomonas aeruginosa and molecular docking study of FabZ. Microb. Pathog. 2018, 121, 87–92. [Google Scholar] [CrossRef]
- Siriwong, S.; Teethaisong, Y.; Thumanu, K.; Dunkhunthod, B.; Eumkeb, G. The synergy and mode of action of quercetin plus amoxicillin against amoxicillin-resistant Staphylococcus epidermidis. BMC Pharmacol. Toxicol. 2016, 17, 39. [Google Scholar] [CrossRef]
- Kępa, M.; Miklasińska-Majdanik, M.; Wojtyczka, R.D.; Idzik, D.; Korzeniowski, K.; Smoleń-Dzirba, J.; Wąsik, T.J. Antimicrobial potential of caffeic acid against Staphylococcus aureus clinical strains. BioMed Res. Int. 2018, 2018, 7413504. [Google Scholar] [CrossRef]
- Dey, D.; Ghosh, S.; Ray, R.; Hazra, B. Polyphenolic secondary metabolites synergize the activity of commercial antibiotics against clinical isolates of β-Lactamase-producing Klebsiella pneumoniae. Phytother. Res. 2016, 30, 272–282. [Google Scholar] [CrossRef]
- Nowacka, N.; Nowak, R.; Drozd, M.; Olech, M.; Los, R.; Malm, A. Antibacterial, antiradical potential and phenolic compounds of thirty-one polish mushrooms. PLoS ONE 2015, 10, e0140355. [Google Scholar] [CrossRef]
- Wang, S.-S.; Wang, D.-M.; Pu, W.-J.; Li, D.-W. Phytochemical profiles, antioxidant and antimicrobial activities of three Potentilla species. BMC Complement. Altern. Med. 2013, 13, 1–11. [Google Scholar] [CrossRef]
- Jayaraman, P.; Sakharkar, M.K.; Lim, C.S.; Tang, T.H.; Sakharkar, K.R. Activity and interactions of antibiotic and phytochemical combinations against Pseudomonas aeruginosa in vitro. Int. J. Biol. Sci. 2010, 6, 556. [Google Scholar] [CrossRef]
- Borges, A.; Ferreira, C.; Saavedra, M.J.; Simões, M. Antibacterial activity and mode of action of ferulic and gallic acids against pathogenic bacteria. Microb. Drug Resist. 2013, 19, 256–265. [Google Scholar] [CrossRef]
- Pearson, R.; Steigbigel, R.; Davis, H.; Chapman, S. Method of reliable determination of minimal lethal antibiotic concentrations. Antimicrob. Agents Chemother. 1980, 18, 699–708. [Google Scholar] [CrossRef]
- Bae, E.-A.; Kim, D.-H.; Han, M.-J. Anti-Helicobacter pylori activity of Bifidobacterium spp. J. Microbiol. Biotechnol. 2000, 10, 532–534. [Google Scholar]
- Boyanova, L.; Stephanova-Kondratenko, M.; Mitov, I. Anti-Helicobacter pylori activity of Lactobacillus delbrueckii subsp. bulgaricus strains: Preliminary report. Lett. Appl. Microbiol. 2009, 48, 579–584. [Google Scholar] [CrossRef]
- Boyanova, L.; Gergova, G.; Markovska, R.; Yordanov, D.; Mitov, I. Bacteriocin-like inhibitory activities of seven Lactobacillus delbrueckii subsp. bulgaricus strains against antibiotic susceptible and resistant Helicobacter pylori strains. Lett. Appl. Microbiol. 2017, 65, 469–474. [Google Scholar] [CrossRef]
- Chen, Y.-H.; Tsai, W.-H.; Wu, H.-Y.; Chen, C.-Y.; Yeh, W.-L.; Chen, Y.-H.; Hsu, H.-Y.; Chen, W.-W.; Chen, Y.-W.; Chang, W.-W. Probiotic Lactobacillus spp. act against Helicobacter pylori-induced inflammation. J. Clin. Med. 2019, 8, 90. [Google Scholar] [CrossRef]
- Paucar-Carrión, C.; Espinoza-Monje, M.; Gutiérrez-Zamorano, C.; Sánchez-Alonzo, K.; Carvajal, R.I.; Rogel-Castillo, C.; Sáez-Carrillo, K.; García-Cancino, A. Incorporation of Limosilactobacillus fermentum UCO-979C with Anti-Helicobacter pylori and Immunomodulatory Activities in Various Ice Cream Bases. Foods 2022, 11, 333. [Google Scholar] [CrossRef] [PubMed]
- Chenoll, E.; Casinos, B.; Bataller, E.; Astals, P.; Echevarría, J.; Iglesias, J.R.; Balbarie, P.; Ramon, D.; Genovés, S. Novel probiotic Bifidobacterium bifidum CECT 7366 strain active against the pathogenic bacterium Helicobacter pylori. Appl. Environ. Microbiol. 2011, 77, 1335–1343. [Google Scholar] [CrossRef] [PubMed]
- Lorca, G.L.; Wadström, T.; Font de Valdez, G.; Ljungh, Å. Lactobacillus acidophilus autolysins inhibit Helicobacter pylori in vitro. Curr. Microbiol. 2001, 42, 39–44. [Google Scholar] [CrossRef] [PubMed]
- Zacharof, M.-P.; Lovitt, R. Bacteriocins produced by lactic acid bacteria a review article. Apcbee Procedia 2012, 2, 50–56. [Google Scholar] [CrossRef]
- Drider, D.; Bendali, F.; Naghmouchi, K.; Chikindas, M.L. Bacteriocins: Not only antibacterial agents. Probiotics Antimicrob. Proteins 2016, 8, 177–182. [Google Scholar] [CrossRef]
- Lee, H.-A.; Kim, J.-Y.; Kim, J.; Nam, B.; Kim, O. Anti-Helicobacter pylori activity of acomplex mixture of Lactobacillus paracasei HP7 including the extract of Perilla frutescens var. acuta and Glycyrrhiza glabra. Lab. Anim. Res. 2020, 36, 1–8. [Google Scholar] [CrossRef]
- Behrad, S.; Yusof, M.; Goh, K.; Baba, A. Manipulation of probiotics fermentation of yogurt by cinnamon and licorice: Effects on yogurt formation and inhibition of Helicobacter pylori growth in vitro. World Acad. Sci. Eng. Technol. 2009, 60, 590–594. [Google Scholar]
- Kang, S.; Guo, Y.; Rao, J.; Jin, H.; You, H.J.; Ji, G.E. In vitro and in vivo inhibition of Helicobacter pylori by Lactobacillus plantarum pH3A, monolaurin, and grapefruit seed extract. Food Funct. 2021, 12, 11024–11032. [Google Scholar] [CrossRef]
- Sadeghi, A.R.; Pourahmad, R.; Mokhtare, M. Enrichment of probiotic yogurt with broccoli sprout extract and its effect on Helicobacter pylori. Appl. Food Biotechnol. 2017, 4, 55–59. [Google Scholar]
- Figer, B.; Pissurlenkar, R.; Ambre, P.; Kalekar, S.; Munshi, R.; Gatne, M.; Shirsat, V. Treatment of gastric ulcers with fenugreek seed extract; in vitro, in vivo and in silico approaches. Indian J. Pharm. Sci. 2017, 79, 724–730. [Google Scholar] [CrossRef]
- Pandian, R.S.; Anuradha, C.; Viswanathan, P. Gastroprotective effect of fenugreek seeds (Trigonella foenum graecum) on experimental gastric ulcer in rats. J. Ethnopharmacol. 2002, 81, 393–397. [Google Scholar] [CrossRef]
- Tan, P.V.; Boda, M.; Etoa, F.-X. In vitro and in vivo anti-Helicobacter/Campylobacter activity of the aqueous extract of Enantia chlorantha. Pharm. Biol. 2010, 48, 349–356. [Google Scholar] [CrossRef]
- Lesbros-Pantoflickova, D.; Corthesy-Theulaz, I.; Blum, A.L. Helicobacter pylori and probiotics. J. Nutr. 2007, 137, 812S–818S. [Google Scholar] [CrossRef]
- Michetti, P.; Dorta, G.; Wiesel, P.; Brassart, D.; Verdu, E.; Herranz, M.; Felley, C.; Porta, N.; Rouvet, M.; Blum, A. Effect of whey-based culture supernatant of Lactobacillus acidophilus (johnsonii) La1 on Helicobacter pylori infection in humans. Digestion 1999, 60, 203–209. [Google Scholar] [CrossRef]
- Coconnier, M.-H.; Lievin, V.; Hemery, E.; Servin, A.L. Antagonistic activity against Helicobacter infection in vitro and in vivo by the human Lactobacillus acidophilus strain LB. Appl. Environ. Microbiol. 1998, 64, 4573–4580. [Google Scholar] [CrossRef]
- Bernet, M.-F.; Brassart, D.; Neeser, J.-R.; Servin, A. Lactobacillus acidophilus LA 1 binds to cultured human intestinal cell lines and inhibits cell attachment and cell invasion by enterovirulent bacteria. Gut 1994, 35, 483–489. [Google Scholar] [CrossRef]
- Nasr, N.M.; Khider, M.; Metry, W.; Atallah, K. Antibacterial Activity of Lactic Acid Bacteria against Helicobacter pylori Evidence by in vivo and in vitro Studies. Int. J. Curr. Microbiol. App. Sci. 2017, 6, 4235–4247. [Google Scholar] [CrossRef]
Disclaimer/Publisher’s Note: The statements, opinions and data contained in all publications are solely those of the individual author(s) and contributor(s) and not of MDPI and/or the editor(s). MDPI and/or the editor(s) disclaim responsibility for any injury to people or property resulting from any ideas, methods, instructions or products referred to in the content. |
© 2023 by the authors. Licensee MDPI, Basel, Switzerland. This article is an open access article distributed under the terms and conditions of the Creative Commons Attribution (CC BY) license (https://creativecommons.org/licenses/by/4.0/).










