Biomedical Optics: From Technologies to Applications

A topical collection in Diagnostics (ISSN 2075-4418). This collection belongs to the section "Biomedical Optics".

Viewed by 7290

Editor


E-Mail Website
Guest Editor
Center for Medical Physics and Biomedical Engineering, Medical University of Vienna, Vienna, Austria
Interests: optical coherence tomography; photoacoustic imaging
Special Issues, Collections and Topics in MDPI journals

Topical Collection Information

Dear Colleagues,

Biomedical optics plays an increasingly important role in both preclinical research and clinical applications. Many biomedical optics techniques have become indispensable in biomedical research and everyday clinical applications. For example, fluorescence microscopy and confocal microscopy are already necessary infrastructure for all biological labs; different types of endoscopies have been widely used in routine medical checks; optical coherence tomography has become the standard diagnostic tool for many ophthalmological pathologies; and nonlinear optics, such as multi-photon microscopy, has attracted a lot of attention with its potential to answer challenging medical questions.

This Special Issue aims to publish select articles covering a wide range of biomedical optics, from technologies to applications. The following specific biomedical optics techniques are of utmost interest:

  1. Optical coherence tomography;
  2. Photoacoustic imaging;
  3. Diffuse optics;
  4. Multi-photon microscopy;
  5. Light-sheet microscopy.

Original research articles submitted to this Special Issue should either focus on novel technical advancements in both hardware and software or have interesting and meaningful preclinical or clinical applications. Review articles are also welcome, but they need to be unique in their perspective.

Dr. Mengyang Liu
Guest Editor

Manuscript Submission Information

Manuscripts should be submitted online at www.mdpi.com by registering and logging in to this website. Once you are registered, click here to go to the submission form. Manuscripts can be submitted until the deadline. All submissions that pass pre-check are peer-reviewed. Accepted papers will be published continuously in the journal (as soon as accepted) and will be listed together on the collection website. Research articles, review articles as well as short communications are invited. For planned papers, a title and short abstract (about 250 words) can be sent to the Editorial Office for assessment.

Submitted manuscripts should not have been published previously, nor be under consideration for publication elsewhere (except conference proceedings papers). All manuscripts are thoroughly refereed through a single-blind peer-review process. A guide for authors and other relevant information for submission of manuscripts is available on the Instructions for Authors page. Diagnostics is an international peer-reviewed open access semimonthly journal published by MDPI.

Please visit the Instructions for Authors page before submitting a manuscript. The Article Processing Charge (APC) for publication in this open access journal is 2600 CHF (Swiss Francs). Submitted papers should be well formatted and use good English. Authors may use MDPI's English editing service prior to publication or during author revisions.

Keywords

  • optical coherence tomography
  • photoacoustic imaging
  • diffuse optics
  • multi-photon microscopy
  • light-sheet microscopy

Published Papers (4 papers)

2025

27 pages, 5345 KB  
Review
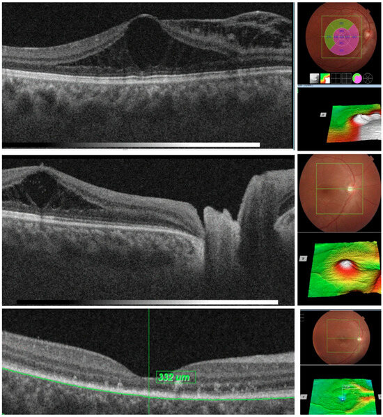
Applications of Optical Coherence Tomography in Optic Nerve Head Diseases: A Narrative Review
by Mohamed M. Khodeiry, Elizabeth Colvin, Mohammad Ayoubi, Ximena Mendoza and Maja Kostic
Diagnostics 2025, 15(23), 3001; https://doi.org/10.3390/diagnostics15233001 - 26 Nov 2025
Viewed by 1146
Abstract
Optical coherence tomography (OCT) is a non-invasive imaging tool that is currently used in the evaluation and management of neuro-ophthalmic disorders. The detailed ability to visualize the optic nerve head, peripapillary retinal nerve fiber layer, and the macula, including the ganglion cell layer, [...] Read more.
Optical coherence tomography (OCT) is a non-invasive imaging tool that is currently used in the evaluation and management of neuro-ophthalmic disorders. The detailed ability to visualize the optic nerve head, peripapillary retinal nerve fiber layer, and the macula, including the ganglion cell layer, allows for both qualitative and quantitative analysis of optic nerve diseases. This review covers the technical aspects of OCT and related imaging techniques in neuro-ophthalmology and discusses its use in common optic nerve head diseases such as optic disc drusen, optic disc coloboma, and elevated intracranial pressure. It also explores emerging OCT angiography applications in these disorders. Full article
Show Figures

Figure 1

16 pages, 2776 KB  
Article
Optical Coherence Tomography Angiography (OCTA) Captures Early Micro-Vascular Remodeling in Non-Melanoma Skin Cancer During Superficial Radiotherapy: A Proof-of-Concept Study
by Gerd Heilemann, Giulia Rotunno, Lisa Krainz, Francesco Gili, Christoph Müller, Kristen M. Meiburger, Dietmar Georg, Joachim Widder, Wolfgang Drexler, Mengyang Liu and Cora Waldstein
Diagnostics 2025, 15(21), 2698; https://doi.org/10.3390/diagnostics15212698 - 24 Oct 2025
Viewed by 1045
Abstract
Background/Objectives: This proof-of-concept study evaluated whether optical coherence tomography angiography (OCTA) can non-invasively capture micro-vascular alterations in non-melanoma skin cancer (NMSC) lesions during and after superficial orthovoltage radiotherapy (RT) using radiomics and vascular features analysis. Methods: Eight patients (13 NMSC lesions) [...] Read more.
Background/Objectives: This proof-of-concept study evaluated whether optical coherence tomography angiography (OCTA) can non-invasively capture micro-vascular alterations in non-melanoma skin cancer (NMSC) lesions during and after superficial orthovoltage radiotherapy (RT) using radiomics and vascular features analysis. Methods: Eight patients (13 NMSC lesions) received 36–50 Gy in 6–20 fractions. High-resolution swept-source OCTA volumes (1.1 × 10 × 10 mm3) were acquired from each lesion at three time points: pre-RT, immediately post-RT, and three months post-RT. Additionally, healthy skin baseline was scanned. After artifact suppression and region-of-interest cropping, (i) first-order and texture radiomics and (ii) skeleton-based vascular features were extracted. Selected features after LASSO (least absolute shrinkage and selection operator) were explored with principal-component analysis. An XGBoost model was trained to classify time points with 100 bootstrap out-of-bag validations. Kruskal–Wallis tests with Benjamini–Hochberg correction assessed longitudinal changes in the 20 most influential features. Results: Sixty-one OCTA volumes were analyzable. LASSO retained 47 of 103 features. The first two principal components explained 63% of the variance, revealing a visible drift of lesions from pre- to three-month post-RT clusters. XGBoost achieved a macro-averaged AUC of 0.68 ± 0.07. Six features (3 texture, 2 first order, 1 vascular) changed significantly across time points (adjusted p < 0.05), indicating dose-dependent reductions in signal heterogeneity and micro-vascular complexity as early as treatment completion, which deepened by three months. Conclusions: OCTA-derived radiomic and vascular signatures tracked RT-induced micro-vascular remodeling in NMSC. The approach is entirely non-invasive, label-free, and feasible at the point of care. As an exploratory proof-of-concept, this study helps to refine scanning and analysis protocols and generates knowledge to support future integration of OCTA into adaptive skin-cancer radiotherapy workflows. Full article
Show Figures

Figure 1

31 pages, 860 KB  
Systematic Review
Radiofrequency Echographic Multi Spectrometry—A Novel Tool in the Diagnosis of Osteoporosis and Prediction of Fragility Fractures: A Systematic Review
by Elena Icătoiu, Andreea-Iulia Vlădulescu-Trandafir, Laura-Maria Groșeanu, Florian Berghea, Claudia-Oana Cobilinschi, Claudia-Gabriela Potcovaru, Andra-Rodica Bălănescu and Violeta-Claudia Bojincă
Diagnostics 2025, 15(5), 555; https://doi.org/10.3390/diagnostics15050555 - 25 Feb 2025
Cited by 8 | Viewed by 2558
Abstract
Background/Objectives: Given the significant economic and social burden of osteoporosis, there is growing interest in developing an efficient alternative to the traditional dual-energy X-ray absorptiometry (DXA). Radiofrequency Echographic Multi Spectrometry (REMS) is an innovative, non-ionizing imaging technique that recently emerged as a viable [...] Read more.
Background/Objectives: Given the significant economic and social burden of osteoporosis, there is growing interest in developing an efficient alternative to the traditional dual-energy X-ray absorptiometry (DXA). Radiofrequency Echographic Multi Spectrometry (REMS) is an innovative, non-ionizing imaging technique that recently emerged as a viable tool to diagnose osteoporosis and estimate the fragility fracture risk. Nevertheless, its clinical use is still limited due to its novelty and continuing uncertainty of long-term performance. Methods: In order to evaluate the accuracy of the REMS, a systematic review of the English-language literature was conducted. Three databases were searched for relevant publications from 1 January 2015 until 1 December 2024 using the keyword combinations “(radiofrequency echographic multi spectrometry OR REMS) AND (dual-energy X-ray absorptiometry OR DXA)”. The initial search yielded 602 candidate articles. After screening the titles and abstracts following the eligibility criteria, 17 publications remained for full-text evaluation. Results: The reviewed studies demonstrated strong diagnostic agreement between REMS and DXA. Additionally, REMS showed enhanced diagnostic capabilities in cases where lumbar bone mineral density measurements by DXA were impaired by artifacts such as vertebral fractures, deformities, osteoarthritis, or vascular calcifications. REMS exhibited excellent intra-operator repeatability and precision, comparable to or exceeding the reported performance of DXA. The fragility score (FS), a parameter reflecting bone quality and structural integrity, effectively discriminated between fractured and non-fractured patients. Moreover, REMS proved to be a radiation-free option for bone health monitoring in radiation-sensitive populations or patients requiring frequent imaging to assess fracture risk. Conclusions: This current study underscores the robustness of REMS as a reliable method for diagnosing and monitoring osteoporosis and evaluating bone fragility via the FS. It also identifies critical knowledge gaps and emphasizes the need for further prospective studies to validate and expand the clinical applications of REMS across diverse patient populations. Full article
Show Figures

Figure 1

13 pages, 5420 KB  
Article
Diagnostic Accuracy of Detective Flow Imaging Endoscopic Ultrasonography for Evaluating Blood Flow Within Mural Nodules of Intraductal Papillary Mucinous Neoplasms
by Kazuki Endo, Haruo Miwa, Kazuya Sugimori, Kozue Shibasaki, Shoichiro Yonei, Yugo Ishino, Shotaro Tsunoda, Hayato Yoshimura, Akihiro Funaoka, Hiromi Tsuchiya, Ritsuko Oishi, Yuichi Suzuki, Satoshi Komiyama, Takashi Kaneko, Manabu Morimoto, Kazushi Numata and Shin Maeda
Diagnostics 2025, 15(2), 196; https://doi.org/10.3390/diagnostics15020196 - 16 Jan 2025
Cited by 2 | Viewed by 1724
Abstract
Background/Objectives: Detective flow imaging (DFI) endoscopic ultrasonography (EUS) can identify the microvascular flow imaging of a mural nodule (MN) in an intraductal papillary mucinous neoplasm (IPMN) without the use of contrast agents. This retrospective study evaluated the diagnostic accuracy of DFI-EUS and its [...] Read more.
Background/Objectives: Detective flow imaging (DFI) endoscopic ultrasonography (EUS) can identify the microvascular flow imaging of a mural nodule (MN) in an intraductal papillary mucinous neoplasm (IPMN) without the use of contrast agents. This retrospective study evaluated the diagnostic accuracy of DFI-EUS and its ability to evaluate the blood flow of MNs in IPMNs. Methods: Between April 2021 and September 2023, 68 patients with MNs in IPMNs observed on EUS images were retrospectively analyzed. Both DFI-EUS and contrast-enhanced EUS (CE-EUS) were performed during the same session. Three expert endosonographers blinded to the patients’ clinical data assessed the MN images obtained with CE-EUS and DFI-EUS. First, DFI-EUS images were evaluated using a predefined scoring system; thereafter, CE-EUS images were evaluated. The diagnostic capability of DFI-EUS to detect MN blood flow was assessed with CE-EUS as the gold standard. Secondary outcomes included inter-reader agreement, the correlation between MN size and detection rates, and the association between DFI blood flow signal patterns and malignancy of MNs in surgically resected cases. Results: CE-EUS showed a contrast effect in the MN in 24 cases. Among these, DFI-EUS detected blood flow signals in 20 cases; false-positive results were not observed. DFI-EUS demonstrated a sensitivity of 83%, specificity of 100%, and accuracy of 93% for detecting MN blood flow. Inter-reader agreement was substantial (kappa values, 0.6–0.8). The subgroup analysis revealed that all MNs ≥ 10 mm had detectable blood flow on DFI-EUS, whereas MNs < 10 mm had reduced detection rates (75%; 12/16 cases). No significant correlation between the DFI blood flow signal patterns and MN malignancy of resected cases was observed. Conclusions: DFI-EUS demonstrated high diagnostic accuracy for detecting MN blood flow. Because of its simplicity and cost-effectiveness, DFI-EUS could be an alternative to CE-EUS for patients with MNs inside IPMNs. Full article
Show Figures

Figure 1

Back to TopTop