Recent Progress in Abdominal Ultrasound
A special issue of Diagnostics (ISSN 2075-4418). This special issue belongs to the section "Medical Imaging and Theranostics".
Deadline for manuscript submissions: 31 January 2026 | Viewed by 374
Special Issue Editors
Interests: ultrasound; lung; elastography; CEUS; thrombosis; haemostasis
Special Issues, Collections and Topics in MDPI journals
Interests: ultrasound; abdominal ultrasound; neck ultrasound; dermatologic ultrasound; musculoskeletal sonography; vascular sonography; breast sonography
Special Issue Information
Dear Colleagues,
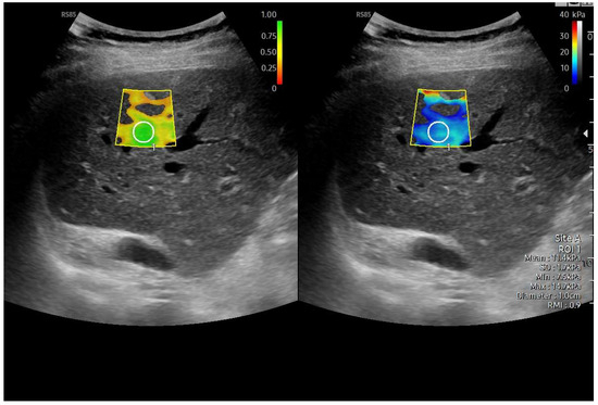
Abdominal ultrasound is a fundamental diagnostic tool in clinical practice, due to its availability, safety, and overall accuracy. This Special Issue will delve into the most recent technological and methodological innovations in abdominal ultrasound imaging, offering readers a comprehensive overview of advanced techniques, specific clinical indications, and solutions to emerging challenges. Among the various topics, it will cover the use of high-resolution probes, the integration of elastography for assessing liver fibrosis, and the application of contrast-enhanced ultrasound for identifying complex lesions. Strategies for training and professional development will also be examined to improve ultrasound performance and result interpretation.
Particular attention is given to the potential of artificial intelligence and machine learning in enhancing diagnostic precision and facilitating the early detection of abdominal pathologies.
Dr. Andrea Boccatonda
Dr. Antonio Corvino
Dr. Giulio Cocco
Guest Editors
Manuscript Submission Information
Manuscripts should be submitted online at www.mdpi.com by registering and logging in to this website. Once you are registered, click here to go to the submission form. Manuscripts can be submitted until the deadline. All submissions that pass pre-check are peer-reviewed. Accepted papers will be published continuously in the journal (as soon as accepted) and will be listed together on the special issue website. Research articles, review articles as well as short communications are invited. For planned papers, a title and short abstract (about 100 words) can be sent to the Editorial Office for announcement on this website.
Submitted manuscripts should not have been published previously, nor be under consideration for publication elsewhere (except conference proceedings papers). All manuscripts are thoroughly refereed through a single-blind peer-review process. A guide for authors and other relevant information for submission of manuscripts is available on the Instructions for Authors page. Diagnostics is an international peer-reviewed open access semimonthly journal published by MDPI.
Please visit the Instructions for Authors page before submitting a manuscript. The Article Processing Charge (APC) for publication in this open access journal is 2600 CHF (Swiss Francs). Submitted papers should be well formatted and use good English. Authors may use MDPI's English editing service prior to publication or during author revisions.
Keywords
- ultrasound
- abdomen
- CEUS
- doppler
- bowel
Benefits of Publishing in a Special Issue
- Ease of navigation: Grouping papers by topic helps scholars navigate broad scope journals more efficiently.
- Greater discoverability: Special Issues support the reach and impact of scientific research. Articles in Special Issues are more discoverable and cited more frequently.
- Expansion of research network: Special Issues facilitate connections among authors, fostering scientific collaborations.
- External promotion: Articles in Special Issues are often promoted through the journal's social media, increasing their visibility.
- Reprint: MDPI Books provides the opportunity to republish successful Special Issues in book format, both online and in print.
Further information on MDPI's Special Issue policies can be found here.

