- 4.4Impact Factor
- 8.8CiteScore
- 21 daysTime to First Decision
Molecular and Genetic Biomarkers in Oral Squamous Cell Carcinoma
This special issue belongs to the section “Cancer Biomarkers“.
Special Issue Information
Dear Colleagues,
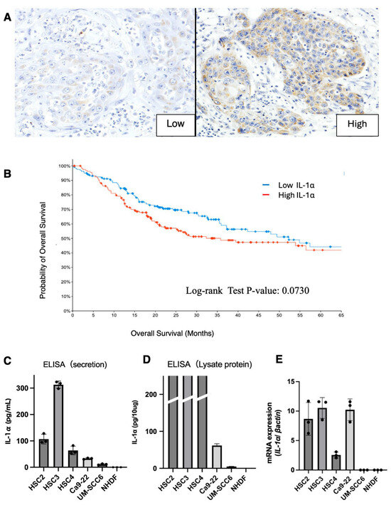
Oral and oropharyngeal cancers have emerged as significant global and public health challenges. For example, the mortality from oral cancers within the past half century remains atrociously high (over 50%), contrasting with considerable decreases in the mortality rates for cancers of the breast, colon, prostate, and melanoma within the same timeframe. This is despite technological advances on various fronts in the management of oral cancer patients. Furthermore, early diagnosis has been painfully slow when compared to the enhanced early detection of cancers of the breast, colon, prostate, and melanoma. This Special Issue provides an update on the current genetic and molecular biomarkers of the various subsets of oral cancers, including HPV-related oral cancers. In addition, this Special Issue provides a reference-friendly background on the roles of known etiologic/risk factors, current clinical diagnostic tools (including the roles of recently enhanced “liquid biomarkers”), pathogenic mechanisms (including recently identified progression indicators), and refined management philosophies for oral cancer patients. Enthusiastic researchers, academics, and clinicians within, but not limited to, the fields of nanotechnology, molecular biology, oncology, therapeutics, and diagnostic sciences are invited to submit relevant manuscripts to this Special Issue.
Prof. Dr. Kalu U.E. Ogbureke
Guest Editor
Manuscript Submission Information
Manuscripts should be submitted online at www.mdpi.com by registering and logging in to this website. Once you are registered, click here to go to the submission form. Manuscripts can be submitted until the deadline. All submissions that pass pre-check are peer-reviewed. Accepted papers will be published continuously in the journal (as soon as accepted) and will be listed together on the special issue website. Research articles, review articles as well as communications are invited. For planned papers, a title and short abstract (about 250 words) can be sent to the Editorial Office for assessment.
Submitted manuscripts should not have been published previously, nor be under consideration for publication elsewhere (except conference proceedings papers). All manuscripts are thoroughly refereed through a single-blind peer-review process. A guide for authors and other relevant information for submission of manuscripts is available on the Instructions for Authors page. Cancers is an international peer-reviewed open access semimonthly journal published by MDPI.
Please visit the Instructions for Authors page before submitting a manuscript. The Article Processing Charge (APC) for publication in this open access journal is 2900 CHF (Swiss Francs). Submitted papers should be well formatted and use good English. Authors may use MDPI's English editing service prior to publication or during author revisions.
Keywords
- oral cancer
- oropharyngeal cancer
- biomarkers
- liquid biopsy
- genetic determinants
Benefits of Publishing in a Special Issue
- Ease of navigation: Grouping papers by topic helps scholars navigate broad scope journals more efficiently.
- Greater discoverability: Special Issues support the reach and impact of scientific research. Articles in Special Issues are more discoverable and cited more frequently.
- Expansion of research network: Special Issues facilitate connections among authors, fostering scientific collaborations.
- External promotion: Articles in Special Issues are often promoted through the journal's social media, increasing their visibility.
- e-Book format: Special Issues with more than 10 articles can be published as dedicated e-books, ensuring wide and rapid dissemination.

