Vertebral Bone Density Variations in Scoliotic vs. Non-Scoliotic Juveniles, and Its Implications for Schmorl’s Node Development: A CT-Based Analysis Using the New Mexico Decedent Image Database
Abstract
1. Introduction
2. Materials and Methods
2.1. Materials
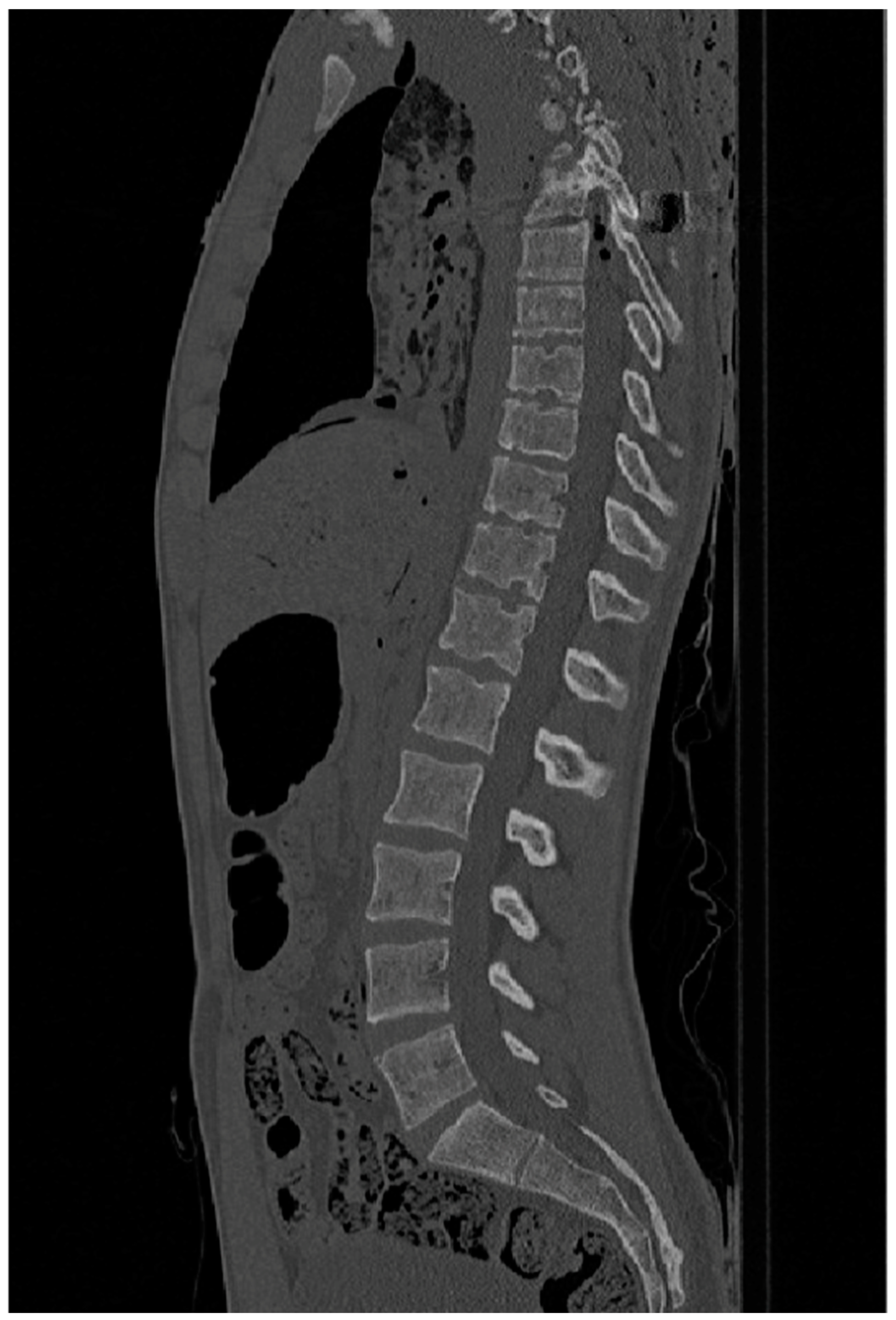
2.2. Methods
3. Results
3.1. Analyzing the Relationship between Vertebral Density and Scoliosis
3.2. Mean Density versus Scoliosis
3.3. Analyzing the Relationship between Different Vertebral Densities
3.4. The Relationship between Scoliosis and Schmorl’s Nodes
3.5. The Relationship of Density in Ascending Vertebrae, between Individuals with and without Scoliosis
3.6. The Relationship between Mean Density and Age/Sex
4. Discussion
4.1. Analyzing the Relationship between Vertebral Density and Scoliosis
4.2. Analyzing the Relationship between Different Vertebral Densities
4.3. The Relationship between Scoliosis and Schmorl’s Nodes
4.4. The Relationship between Mean Density and Age/Sex
5. Conclusions
Author Contributions
Funding
Institutional Review Board Statement
Informed Consent Statement
Data Availability Statement
Acknowledgments
Conflicts of Interest
References
- Altaf, F.; Gibson, A.; Dannawi, Z.; Noordeen, H. Adolescent Idiopathic Scoliosis. BMJ 2013, 346, f2508. [Google Scholar] [CrossRef] [PubMed]
- Mo, F.; Cunningham, M.E. Pediatric Scoliosis. Curr. Rev. Musculoskelet. Med. 2011, 4, 175–182. [Google Scholar] [CrossRef] [PubMed]
- Choudhry, M.N.; Ahmad, Z.; Verma, R. Adolescent Idiopathic Scoliosis. Open Orthop. J. 2016, 10, 143–154. [Google Scholar] [CrossRef] [PubMed]
- Ng, S.-Y.; Bettany-Saltikov, J.; Cheung, I.Y.K.; Chan, K.K.Y. The Role of Vitamin D in the Pathogenesis of Adolescent Idiopathic Scoliosis. Asian Spine J. 2018, 12, 1127–1145. [Google Scholar] [CrossRef] [PubMed]
- Trobisch, P.; Suess, O.; Schwab, F. Idiopathic Scoliosis. Dtsch. Aerzteblatt Online 2010. [Google Scholar] [CrossRef]
- Bunnell, W.P. Selective Screening for Scoliosis. Clin. Orthop. Relat. Res. 2005, 434, 40–45. [Google Scholar] [CrossRef] [PubMed]
- Makino, T.; Kaito, T.; Sakai, Y.; Kashii, M.; Yoshikawa, H. Asymmetrical Ossification in the Epiphyseal Ring of Patients with Adolescent Idiopathic Scoliosis. Bone Jt. J. 2016, 98-B, 666–671. [Google Scholar] [CrossRef]
- Abu-Ghanem, S.; Ohana, N.; Abu-Ghanem, Y.; Kittani, M.; Shelef, I. Acute Schmorl Node in Dorsal Spine: An Unusual Cause of a Sudden Onset of Severe Back Pain in a Young Female. Asian Spine J. 2013, 7, 131. [Google Scholar] [CrossRef]
- Dar, G.; Masharawi, Y.; Peleg, S.; Steinberg, N.; May, H.; Medlej, B.; Peled, N.; Hershkovitz, I. Schmorl’s Nodes Distribution in the Human Spine and Its Possible Etiology. Eur. Spine J. 2009, 19, 670–675. [Google Scholar] [CrossRef] [PubMed]
- Ding, W.; Yang, D.; Cao, L.; Sun, Y.; Zhang, W.; Xu, J.; Zhang, Y.; Shen, Y. Intervertebral Disc Degeneration and Bone Density in Degenerative Lumbar Scoliosis: A Comparative Study between Patients with Degenerative Lumbar Scoliosis and Patients with Lumbar Stenosis. Chin. Med. J. 2011, 124, 3875. [Google Scholar] [CrossRef]
- Sadat-Ali, M.; Al-Othman, A.; Bubshait, D.; Al-Dakheel, D. Does Scoliosis Causes Low Bone Mass? A Comparative Study between Siblings. Eur. Spine J. 2008, 17, 944–947. [Google Scholar] [CrossRef]
- Urrutia, J.; Diaz-Ledezma, C.; Espinosa, J.; Berven, S.H. Lumbar Scoliosis in Postmenopausal Women. Spine 2011, 36, 737–740. [Google Scholar] [CrossRef] [PubMed]
- Nelson, R.C.; Feuerlein, S.; Boll, D.T. New Iterative Reconstruction Techniques for Cardiovascular Computed Tomography: How Do They Work, and What Are the Advantages and Disadvantages? J. Cardiovasc. Comput. Tomogr. 2011, 5, 286–292. [Google Scholar] [CrossRef] [PubMed]
- Pan, X.; Sidky, E.Y.; Vannier, M. Why Do Commercial CT Scanners Still Employ Traditional, Filtered Back-Projection for Image Reconstruction? Inverse Probl. 2009, 25, 123009. [Google Scholar] [CrossRef] [PubMed]
- Bürger, B.; Abkai, C.; Hesser, J. Simulation of Dynamic Ultrasound Based on CT Models for Medical Education. Stud. Health Technol. Inf. 2008, 132, 56–61. [Google Scholar]
- Edgar, H.J.H.; Daneshvari Berry, S.; Moes, E.; Adolphi, N.L.; Bridges, P.; Nolte, K.B. New Mexico Decedent Image Database; The Free Access Decedent Database funded by the National Institute of Justice grant number 2016-DN-BX-0144; Office of the Medical Investigator, University of New Mexico: Albuquerque, NM, USA, 2020. [Google Scholar]
- Zhang, N.; Li, F.-C.; Huang, Y.-J.; Teng, C.; Chen, W.-S. Possible Key Role of Immune System in Schmorl’s Nodes. Med. Hypotheses 2010, 74, 552–554. [Google Scholar] [CrossRef]
- Schneider, C.A.; Rasband, W.S.; Eliceiri, K.W. NIH Image to ImageJ: 25 Years of Image Analysis. Nat. Methods 2012, 9, 671–675. [Google Scholar] [CrossRef] [PubMed]
- Abramoff, M.D.; Magalhães Paulo, J.; Ram, S.J. Image Processing with ImageJ. Biophotonics Int. 2024, 11, 36–42. [Google Scholar]
- Yeung, H.Y.; Qin, L.; Hung, V.W.Y.; Lee, K.M.; Guo, X.; Ng, B.W.K.; Cheng, J.C.Y. Lower Degree of Mineralization Found in Cortical Bone of Adolescent Idiopathic Scoliosis (AIS). Stud. Health Technol. Inform. 2006, 123, 599–604. [Google Scholar]
- Li, X.-F.; Li, H.; Liu, Z.-D.; Dai, L.-Y. Low Bone Mineral Status in Adolescent Idiopathic Scoliosis. Eur. Spine J. 2008, 17, 1431–1440. [Google Scholar] [CrossRef]
- Glauber, H.S.; Vollmer, W.M.; Nevitt, M.C.; Ensrud, K.E.; Orwoll, E.S. Body Weight versus Body Fat Distribution, Adiposity, and Frame Size as Predictors of Bone Density. J. Clin. Endocrinol. Metab. 1995, 80, 1118–1123. [Google Scholar] [CrossRef]
- Gardner, A.; Price, A.; Berryman, F.; Pynsent, P. The Use of Growth Standards and Corrective Formulae to Calculate the Height Loss Caused by Idiopathic Scoliosis. Scoliosis Spinal Disord. 2016, 11, 6. [Google Scholar] [CrossRef] [PubMed]
- Panjabi, M.M.; White, A.A.I. Basic Biomechanics of the Spine. Neurosurgery 1980, 7, 76. [Google Scholar] [CrossRef] [PubMed]
- Anderst, W.J.; Thorhauer, E.; Lee, J.; Donaldson, W.; Kang, J. Cervical Spine Bone Mineral Density as a Function of Vertebral Level and Anatomic Location. Spine J. 2011, 11, 659–667. [Google Scholar] [CrossRef]
- Yoganandan, N.; Pintar, F.A.; Stemper, B.D.; Baisden, J.L.; Aktay, R.; Shender, B.S.; Paskoff, G.; Laud, P. Trabecular Bone Density of Male Human Cervical and Lumbar Vertebrae. Bone 2006, 39, 336–344. [Google Scholar] [CrossRef] [PubMed]
- Singer, K.; Edmondston, S.; Day, R.; Breidahl, P.; Price, R. Prediction of Thoracic and Lumbar Vertebral Body Compressive Strength: Correlations with Bone Mineral Density and Vertebral Region. Bone 1995, 17, 167–174. [Google Scholar] [CrossRef] [PubMed]
- Amini, B. Schmorl Nodes|Radiology Reference Article|Radiopaedia.org. Available online: https://radiopaedia.org/articles/schmorl-nodes-3?lang=gb (accessed on 28 March 2022).
- Kyere, K.A.; Than, K.D.; Wang, A.C.; Rahman, S.U.; Valdivia–Valdivia, J.M.; La Marca, F.; Park, P. Schmorl’s Nodes. Eur. Spine J. 2012, 21, 2115–2121. [Google Scholar] [CrossRef] [PubMed]
- Voirin-Hertz, M.; Carvajal Alegria, G.; Garrigues, F.; Simon, A.; Feydy, A.; Reijnierse, M.; van der Heijde, D.; Loeuille, D.; Claudepierre, P.; Marhadour, T.; et al. Associations of Lumbar Scoliosis with Presentation of Suspected Early Axial Spondyloarthritis. Semin. Arthritis Rheum. 2020, 50, 48–53. [Google Scholar] [CrossRef] [PubMed]
- McNaught, J.M. A Clinical and Archaeological Study of Schmorl’s Nodes: Using Clinical Data to Understand the Past. Available online: http://etheses.dur.ac.uk/2689 (accessed on 26 December 2023).
- Kim, H.; Lee, C.-K.; Yeom, J.S.; Lee, J.H.; Cho, J.H.; Shin, S.I.; Lee, H.-J.; Chang, B.-S. Asymmetry of the Cross-Sectional Area of Paravertebral and Psoas Muscle in Patients with Degenerative Scoliosis. Eur. Spine J. 2013, 22, 1332–1338. [Google Scholar] [CrossRef] [PubMed]
- Warming, L.; Hassager, C.; Christiansen, C. Changes in Bone Mineral Density with Age in Men and Women: A Longitudinal Study. Osteoporos. Int. 2002, 13, 105–112. [Google Scholar] [CrossRef] [PubMed]
- May, H.; Murphy, S.; Khaw, K. Aged—Associated Bone Loss in Men and Women and Its Relationship to Weight. Age Ageing 1994, 23, 235–240. [Google Scholar] [CrossRef]
- Melton, L.J.; Khosla, S.; Atkinson, E.J.; O’Fallon, W.M.; Riggs, B.L. Relationship of Bone Turnover to Bone Density and Fractures. J. Bone Miner. Res. 1997, 12, 1083–1091. [Google Scholar] [CrossRef] [PubMed]
- Rupich, R.C.; Specker, B.L.; Lieuw-A-Fa, M.; Ho, M. Gender and Race Differences in Bone Mass during Infancy. Calcif. Tissue Int. 1996, 58, 395–397. [Google Scholar] [CrossRef] [PubMed]









| Vertebral Position | t-Value | Original Significance Level (0.05) | Bonferroni Correction Level (0.008) | Statistically Significant Relationship? | 
|---|---|---|---|---|
| L3 | 0.103 | No | No | No | 
| L2 | 0.084 | No | No | No | 
| L1 | 0.053 | No | No | No | 
| T12 | 0.012 | Yes | No | No | 
| T11 | 0.042 | Yes | No | No | 
| L3 Density | L2 Density | L1 Density | T12 Density | T11 Density | ||
|---|---|---|---|---|---|---|
| Mean | Mean | Mean | Mean | Mean | ||
| Scoliosis | No | 229.828 | 238.311 | 242.857 | 250.837 | 250.945 | 
| Yes | 209.195 | 216.437 | 218.751 | 220.731 | 226.4816 | |
| Disclaimer/Publisher’s Note: The statements, opinions and data contained in all publications are solely those of the individual author(s) and contributor(s) and not of MDPI and/or the editor(s). MDPI and/or the editor(s) disclaim responsibility for any injury to people or property resulting from any ideas, methods, instructions or products referred to in the content. | 
© 2024 by the authors. Licensee MDPI, Basel, Switzerland. This article is an open access article distributed under the terms and conditions of the Creative Commons Attribution (CC BY) license (https://creativecommons.org/licenses/by/4.0/).
Share and Cite
Shakeshaft, E.; Borrini, M.; Eliopoulos, C. Vertebral Bone Density Variations in Scoliotic vs. Non-Scoliotic Juveniles, and Its Implications for Schmorl’s Node Development: A CT-Based Analysis Using the New Mexico Decedent Image Database. Anatomia 2024, 3, 110-123. https://doi.org/10.3390/anatomia3020009
Shakeshaft E, Borrini M, Eliopoulos C. Vertebral Bone Density Variations in Scoliotic vs. Non-Scoliotic Juveniles, and Its Implications for Schmorl’s Node Development: A CT-Based Analysis Using the New Mexico Decedent Image Database. Anatomia. 2024; 3(2):110-123. https://doi.org/10.3390/anatomia3020009
Chicago/Turabian StyleShakeshaft, Ellen, Matteo Borrini, and Constantine Eliopoulos. 2024. "Vertebral Bone Density Variations in Scoliotic vs. Non-Scoliotic Juveniles, and Its Implications for Schmorl’s Node Development: A CT-Based Analysis Using the New Mexico Decedent Image Database" Anatomia 3, no. 2: 110-123. https://doi.org/10.3390/anatomia3020009
APA StyleShakeshaft, E., Borrini, M., & Eliopoulos, C. (2024). Vertebral Bone Density Variations in Scoliotic vs. Non-Scoliotic Juveniles, and Its Implications for Schmorl’s Node Development: A CT-Based Analysis Using the New Mexico Decedent Image Database. Anatomia, 3(2), 110-123. https://doi.org/10.3390/anatomia3020009
 
        


 
       