Abstract
A 44-year-old human immunodeficiency virus-infected (HIV+) female with severe immunodeficiency Category 3 (C3) diagnosed in 2010 was admitted to hospital with acute diarrhoea. She was non-adherent to antiretroviral therapy (ART) and had a previous suspicion of respiratory symptoms with a cough that had been persisting for 15 days. Clinical examination revealed severe immune deterioration (viral load: 109,655 copies/mL; CD4+ count: 14 cells/mm3), respiratory symptoms (negative sputum Gram stain and tuberculosis culture), and neurological deterioration (serological assays negative for Cryptococcus spp. and Toxoplasma gondii). A coproculture was negative for Campylobacter spp., Salmonella spp., and Shigella spp. Ziehl–Neelsen staining of faecal smears revealed the presence of Cryptosporidium spp. oocysts. PCR testing and sequencing confirmed a concomitant infection with C. meleagridis and Enterocytozoon bieneusi. The patient was treated with metronidazole (500 mg every 8 h for 5 days) and nitazoxanide (500 mg every 12 h for 14 days). After requesting voluntary discharge and abandoning ART and parasiticidal treatments, she experienced a dramatic deterioration of her state of health and contact with her was lost. Our results have demonstrated that molecular-based testing improves the detection of opportunistic pathogens that are difficult to detect by routine microscopy, allows for transmission dynamics investigations, and assists in choosing the best chemotherapeutical option.
1. Introduction
The protozoan Cryptosporidium spp. and the microsporidian Enterocytozoon bieneusi are opportunistic, intracellular, enteric pathogens that are able to cause severe disease in immunocompromised patients, including those infected with human immunodeficiency virus (HIV) [1,2]. Microscopy detection of both agents in stool samples is challenging, requiring specific staining protocols and specific skills. In contrast, PCR-based methods provide improved diagnostic sensitivities, allow species/genotype identification, and allow for studies of transmission dynamics. Nitazoxanide is the only licensed drug for the treatment of cryptosporidiosis, but it has failed to demonstrate convincing effectiveness among HIV+ patients [3]. Albendazole and fumagillin are the drugs of choice for the treatment of human microsporidiosis [2]. Because the efficacy of both drugs is microsporidial species dependant, early differential diagnosis of E. bieneusi is important to prompt adequate chemotherapy and patient management [4]. Here, we report a co-infection with zoonotic C. meleagridis and E. bieneusi in a severely immunocompromised HIV+ patient in Medellín, Colombia.
2. Case Description
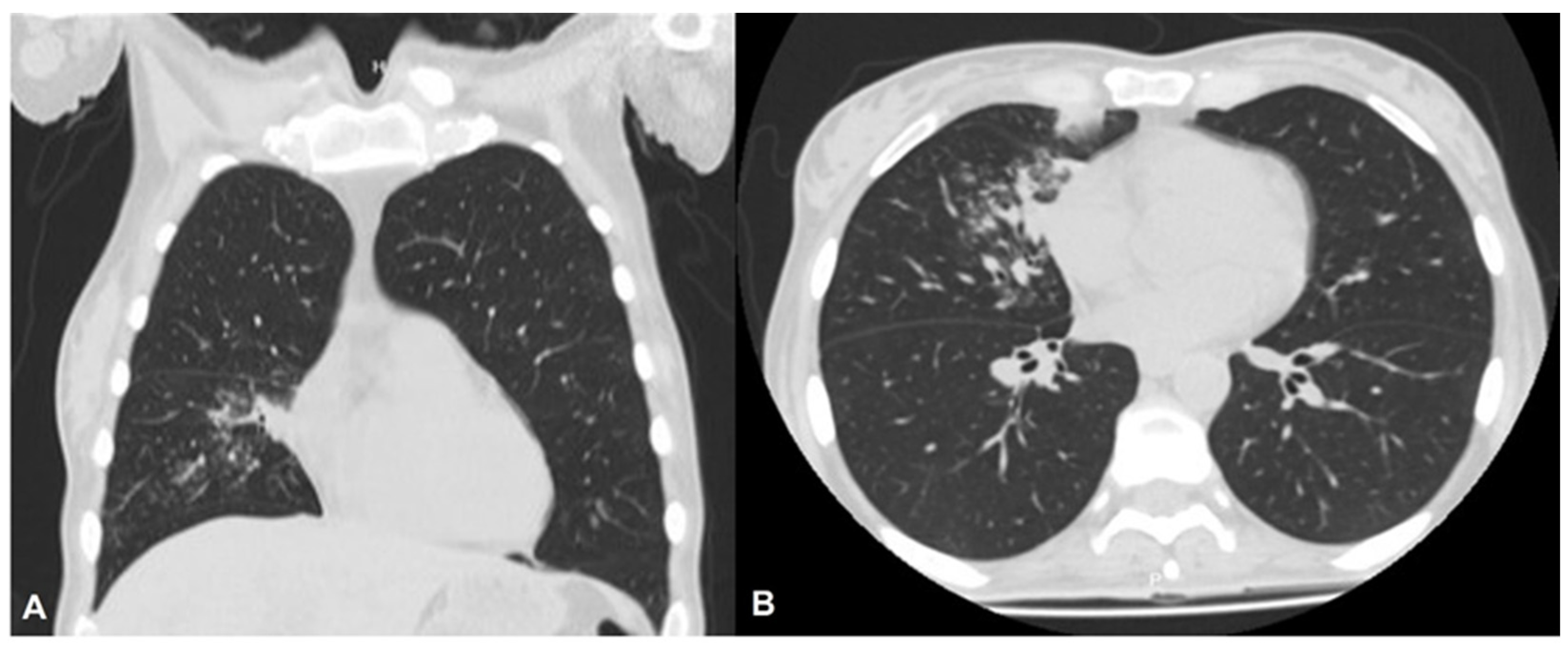
A 44-year-old HIV+ female attended a medical consultation in January 2021 with a cough that had been persisting for approximately 15 days. She was afebrile, with no diarrhoea, had a severe headache, and had experienced weight loss. The patient had a history of poor adherence to antiretroviral therapy (ART, 300 mg tenofovir, 200 mg emtricitabine, 300 mg atazanavir, and 100 mg ritonavir once daily) but declared adherence at the time of admission, which was well tolerated. She also declared that she consumed alcohol occasionally but neither consuming psychoactive substances nor smoking. She was first diagnosed with HIV in 2010 during pregnancy (viral load: 453,083 copies/mL; CD4+ count: 28 cells/mm3). At that time, the patient had a co-infection with Pneumocystis jirovecii and was therefore classified with an HIV infection at stage C3 (AIDS). She started ART at week three of gestation, achieving an undetectable viral load at the second trimester; however, she abandoned treatment soon after giving birth. She attempted to adhere to ART on several occasions afterwards but failed to comply with it repeatedly. Monitoring data on HIV infection status were available for October 2017 (viral load: 430,000 copies/mL; CD4+ count: 49 cells/mm3) and February 2019 (viral load: 61,982 copies/mL; CD4+ count: 269 cells/mm3). Lung function abnormalities compatible with tuberculosis were detected during a medical examination in January 2021 (Figure 1).
Figure 1.
High-resolution chest tomography. (A) Coronal cut of high-resolution chest tomography showing expanded lung parenchyma. (B) Transversal cut of high-resolution chest tomography showing lung centrilobular nodules with a budding tree pattern, mainly in the middle lobe and a few in the left apical.
Chest radiography did not show signs of an increased cardiothoracic ratio or pulmonary congestion. Sputum smear microscopy was negative for alcohol-acid-resistant bacilli; the Xpert® MTB/RIF PCR assay was negative for rifampicin-resistant Mycobacterium complex species; and no mycobacterial growth was observed in Löwenstein–Jensen and MGIT solid media for as long as eight weeks. Antigen detection for Histoplasma capsulatum was negative. HIV infection status revealed a viral load of 625,664 copies/mL and a CD4+ count of 23 cells/mm3, which is strongly suggestive of medication non-adherence.
The patient was re-admitted to hospital in September 2021. She presented with acute diarrhoea and severe immune deterioration (viral load: 109,655 copies/mL; CD4+ count: 14 cells/mm3). The results of chest radiography demonstrated unremarkable cardiomediastinal contour with no pulmonary or pleural mass. A cytomegalovirus viral load test revealed 99 copies/mL. Neurological deterioration by monoparesis in the lower extremity was reported, but serological assays were negative for Cryptococcus spp. and Toxoplasma gondii. A coproculture was negative for bacterial pathogens including Campylobacter spp., Salmonella sp., and Shigella sp. Ziehl–Neelsen staining of faecal smears revealed the presence of Cryptosporidium spp. oocysts. The patient was treated with metronidazole (500 mg every 8 h for 5 days) and nitazoxanide (500 mg every 12 h for 14 days). Then, the patient requested voluntary discharge. A follow-up call was made at the end of November 2021. The patient’s health condition was very poor. She had interrupted ART and parasiticidal treatments three weeks before and had refused to eat. Contact with the patient was lost after that.
The total DNA was extracted and purified from 200 mg of faecal material. As part of an ongoing international collaborative research project, the DNA sample was shipped to the Spanish National Centre for Microbiology (Majadahonda, Madrid) for further molecular testing. Cryptosporidium species and subtype family identification was carried out using PCR protocols targeting the small subunit ribosomal RNA (ssu rRNA) and the 60 kDa glycoprotein (gp60) genes of the parasite [5,6]. Additional parasite testing also revealed the presence of E. bieneusi using a PCR protocol targeting the internal transcribed spacer (ITS) region of the microsporidia [7]. Sanger sequence analyses of the corresponding PCR products confirmed the presence of C. meleagridis subtype IIIgA20G3R1 and E. bieneusi genotype WL11. The nucleotide sequence data obtained in this study have been deposited in GenBank under the accession numbers ON175815, ON204001 (C. meleagridis, ssu and gp60 loci), and ON176478 (E. bieneusi, ITS locus). PCR-based testing was negative for other microeukaryotic species, including Cyclospora cayetanensis, Cystoisospora belli, Giardia duodenalis, Entamoeba histolytica, Entamoeba dispar, and Blastocystis sp. [8,9,10,11,12].
3. Discussion
Severely immunocompromised HIV+ patients (CD4+ counts ≤200 cells/mm3) are particularly vulnerable to opportunistic pathogens, such as the protozoan Cryptosporidium spp. and the microsporidian E. bieneusi. Under this circumstance, infections with these agents often lead to life-threatening, persistent diarrhoea, dramatically worsening the health status and welfare condition of patients [1,2]. In addition to fast, accurate, and sensitive pathogen detection, molecular-based methods allow for species/genotype identification. This information is relevant for (i) investigating the source of infection, including zoonotic transmission, and (ii) selecting the most effective chemotherapeutical approach for a given pathogen.
The genus Cryptosporidium comprises at least 44 species, of which C. hominis and C. parvum are responsible for nearly 95% of the human cryptosporidiosis cases documented globally [13]. The third most common species is bird-adapted C. meleagridis [13]. Our patient was infected with C. meleagridis subtype IIIgA20G3R1. Other members of the gp60 subtype family IIIg have been previously identified in HIV+ patients in Thailand [14] and in poultry in Brazil [15], suggesting that both zoonotic and anthroponotic transmission pathways are possible. It is unknown whether the patient had regular contact with birds or their excreta. Of note, C. meleagridis IIIbA26G1R1 has been recently reported in a 1-year-old toddler attending a day-care centre in Medellín (GenBank accession MN746323) [16].
More than 600 E. bieneusi genotypes have been defined and grouped into 11 phylogenetic groups [17]. Genotype WL11 (formerly known as Peru5) belongs to zoonotic Group 1. It was first described in foxes in the USA [18]. Since then, WL11 has also been identified in HIV+ Peruvian patients [19], Iranian immunodeficient patients [20], and domestic cats and dogs in Colombia [21,22]. Interestingly, two of the five previous reports documenting the occurrence of E. bieneusi WL11 were from Colombia.
The most clinically relevant microsporidian pathogens include E. bieneusi and members of the genus Encephalitozoon (E. intestinalis, E. cuniculi, and E. hellem). Differential diagnosis of disseminated microsporidiosis using PCR is crucial, as treatment for the infection is genus specific [2]. Indeed, albendazole has limited efficacy against E. bieneusi compared with Encephalitozoon spp. and other microsporidian species. These agents should also be suspected in severely immunocompromised patients with CD4 counts ≤200 cells/mm3 who present with multi-organ involvement, including fever, renal failure, conjunctivitis, sinusitis, respiratory symptoms, and central nervous system symptoms [23]. Molecular-based analyses not only can improve the accuracy of opportunistic pathogen detection but also provide insight into the source of infection and transmission dynamics. They can assist in the choice of the most adequate chemotherapeutical option in clinical practice.
Author Contributions
C.H.-C. and L.L.M.-R. collected the samples. C.H.-C., B.B. and M.C.O. carried out the laboratory experiments. P.C.K., A.D. and M.S. conducted the sequence analyses. C.H.-C., M.S., D.G.-B. and D.C. wrote the original draft for the manuscript. C.H.-C., M.S., D.G.-B. and D.C. reviewed and edited the manuscript. The final version was read and approved by all authors. All authors have read and agreed to the published version of the manuscript.
Funding
This research was funded by the Health Institute Carlos III (ISCIII) and the Ministry of Economy and Competitiveness (Spain) under project PI16CIII/00024.
Institutional Review Board Statement
This study was conducted in accordance with the Declaration of Helsinki and was approved by the ethics committees of La María Hospital (protocol code 001, 20.01.2022) and the Medical Research Institute of the Faculty of Medicine, University of Antioquia (protocol code 013, 05.08.2022).
Informed Consent Statement
Informed consent was obtained from all subjects involved in this study.
Data Availability Statement
The data are available within the article.
Acknowledgments
C.H.-C. is the recipient of a fellowship funded by the Fundación Carolina (Spain) and the University of Antioquia, Medellín (Colombia). A.D. is the recipient of a PFIS contract (FI20CIII/00002) funded by the Spanish Ministry of Science and Innovation and Universities. D.G.-B is the recipient of a Sara Borrell Research Contract (CD19CIII/00011) funded by the Spanish Ministry of Science, Innovation and Universities.
Conflicts of Interest
The authors declare no conflict of interest. The funders had no role in the design of this study; in the collection, analyses, or interpretation of the data; in the writing of the manuscript; or in the decision to publish the results.
References
- Wang, R.J.; Li, J.Q.; Chen, Y.C.; Zhang, L.X.; Xiao, L.H. Widespread occurrence of Cryptosporidium infections in patients with HIV/AIDS: Epidemiology, clinical feature, diagnosis, and therapy. Acta Trop. 2018, 187, 257–263. [Google Scholar] [CrossRef] [PubMed]
- Han, B.; Pan, G.; Weiss, L.M. Microsporidiosis in humans. Clin. Microbiol. Rev. 2021, 34, e0001020. [Google Scholar] [CrossRef] [PubMed]
- Schneider, A.; Wendt, S.; Lübbert, C.; Trawinski, H. Current pharmacotherapy of cryptosporidiosis: An update of the state-of-the-art. Expert Opin. Pharmacother 2021, 22, 2337–2342. [Google Scholar] [CrossRef] [PubMed]
- Wei, J.; Fei, Z.; Pan, G.; Weiss, L.M.; Zhou, Z. Current therapy and therapeutic targets for microsporidiosis. Front. Microbiol. 2022, 13, 835390. [Google Scholar] [CrossRef] [PubMed]
- Tiangtip, R.; Jongwutiwes, S. Molecular analysis of Cryptosporidium species isolated from HIV-infected patients in Thailand. Trop. Med. Int. Health 2002, 7, 357–364. [Google Scholar] [CrossRef] [PubMed]
- Stensvold, C.R.; Beser, J.; Axén, C.; Lebbad, M. High applicability of a novel method for gp60-based subtyping of Cryptosporidium meleagridis. J. Clin. Microbiol. 2014, 52, 2311–2319. [Google Scholar] [CrossRef]
- Buckholt, M.A.; Lee, J.H.; Tzipori, S. Prevalence of Enterocytozoon bieneusi in swine: An 18-month survey at a slaughterhouse in Massachusetts. Appl. Environ. Microbiol. 2002, 68, 2595–2599. [Google Scholar] [CrossRef] [PubMed]
- Dowd, S.E.; John, D.; Eliopolus, J.; Gerba, C.P.; Naranjo, J.; Klein, R.; López, B.; de Mejía, M.; Mendoza, C.E.; Pepper, I.L. Confirmed detection of Cyclospora cayetanesis, Encephalitozoon intestinalis and Cryptosporidium parvum in water used for drinking. J. Water Health 2003, 1, 117–123. [Google Scholar] [CrossRef] [PubMed]
- Samarasinghe, B.; Johnson, J.; Ryan, U. Phylogenetic analysis of Cystoisospora species at the rRNA ITS1 locus and development of a PCR-RFLP assay. Exp. Parasitol. 2008, 118, 592–595. [Google Scholar] [CrossRef] [PubMed]
- Verweij, J.J.; Schinkel, J.; Laeijendecker, D.; van Rooyen, M.A.; van Lieshout, L.; Polderman, A.M. Real-time PCR for the detection of Giardia lamblia. Mol. Cell Probes 2003, 17, 223–225. [Google Scholar] [CrossRef]
- Verweij, J.J.; Oostvogel, F.; Brienen, E.A.; Nang-Beifubah, A.; Ziem, J.; Polderman, A.M. Prevalence of Entamoeba histolytica and Entamoeba dispar in northern Ghana. Trop. Med. Int. Health 2003, 8, 1153–1156. [Google Scholar] [CrossRef] [PubMed]
- Scicluna, S.M.; Tawari, B.; Clark, C.G. DNA barcoding of Blastocystis. Protist 2006, 157, 77–85. [Google Scholar] [CrossRef] [PubMed]
- Ryan, U.; Zahedi, A.; Feng, Y.; Xiao, L. An update on zoonotic Cryptosporidium species and genotypes in humans. Animals 2021, 11, 3307. [Google Scholar] [CrossRef] [PubMed]
- Sannella, A.R.; Suputtamongkol, Y.; Wongsawat, E.; Cacciò, S.M. A retrospective molecular study of Cryptosporidium species and genotypes in HIV-infected patients from Thailand. Parasit. Vectors 2019, 12, 91. [Google Scholar] [CrossRef] [PubMed]
- da Cunha, M.J.R.; Cury, M.C.; Santín, M. Molecular characterization of Cryptosporidium spp. in poultry from Brazil. Res. Vet. Sci. 2018, 118, 331–335. [Google Scholar] [CrossRef] [PubMed]
- Galvan-Diaz, A.L.; Bedoya-Urrego, K.; Medina-Lozano, A.; Uran-Velasquez, J.; Alzate, J.F.; Garcia-Montoya, G. Common occurrence of Cryptosporidium hominis in children attending day-care centers in Medellin, Colombia. Parasitol. Res. 2020, 119, 2935–2942. [Google Scholar] [CrossRef]
- Li, W.; Xiao, L. Ecological and public health significance of Enterocytozoon bieneusi. One Health 2020, 12, 100209. [Google Scholar] [CrossRef] [PubMed]
- Sulaiman, I.M.; Fayer, R.; Lal, A.A.; Trout, J.M.; Schaefer, F.W.; Xiao, L. Molecular characterization of microsporidia indicates that wild mammals harbor host-adapted Enterocytozoon spp. as well as human-pathogenic Enterocytozoon bieneusi. Appl. Environ. Microbiol. 2003, 69, 4495–4501. [Google Scholar] [CrossRef] [PubMed]
- Sulaiman, I.M.; Bern, C.; Gilman, R.; Cama, V.; Kawai, V.; Vargas, D.; Ticona, E.; Vivar, A.; Xiao, L. A molecular biologic study of Enterocytozoon bieneusi in HIV-infected patients in Lima, Peru. J. Eukaryot. Microbiol. 2003, 50, 591–596. [Google Scholar] [CrossRef] [PubMed]
- Tavalla, M.; Mardani-Kateki, M.; Abdizadeh, R.; Nashibi, R.; Rafie, A.; Khademvatan, S. Molecular identification of Enterocytozoon bieneusi and Encephalitozoon spp. in immunodeficient patients in Ahvaz, Southwest of Iran. Acta Trop. 2017, 17, 107–112. [Google Scholar] [CrossRef]
- Santín, M.; Trout, J.M.; Vecino, J.A.; Dubey, J.P.; Fayer, R. Cryptosporidium, Giardia and Enterocytozoon bieneusi in cats from Bogota (Colombia) and genotyping of isolates. Vet. Parasitol. 2006, 141, 334–339. [Google Scholar] [CrossRef] [PubMed]
- Santín, M.; Cortés Vecino, J.A.; Fayer, R. Enterocytozoon bieneusi genotypes in dogs in Bogota, Colombia. Am. J. Trop. Med. Hyg. 2008, 79, 215–217. [Google Scholar] [CrossRef] [PubMed]
- Zainudin, N.S.; Nasarudin, S.N.S.; Periyasamy, P.; Moktar, N.; Noordin, R.; Osman, E. Diagnosis of disseminated microsporidiosis: Detection of circulating Enterocytozoon bieneusi DNA in blood of HIV/AIDS patients. Trop. Biomed. 2016, 33, 761–770. [Google Scholar] [PubMed]
Disclaimer/Publisher’s Note: The statements, opinions and data contained in all publications are solely those of the individual author(s) and contributor(s) and not of MDPI and/or the editor(s). MDPI and/or the editor(s) disclaim responsibility for any injury to people or property resulting from any ideas, methods, instructions or products referred to in the content. |
© 2023 by the authors. Licensee MDPI, Basel, Switzerland. This article is an open access article distributed under the terms and conditions of the Creative Commons Attribution (CC BY) license (https://creativecommons.org/licenses/by/4.0/).
