Abstract
Infertility is a main manifestation of endometriosis, though the exact pathogenesis of endometriosis-associated infertility remains unclear. Compromised ovarian functions may be one of the causes of endometriosis related infertility. The ovarian function can be classified into three basic elements, (1) production of ovarian hormones, (2) maintenance of follicular development until ovulation, and (3) reservoir of dormant oocytes (ovarian reserve). The effects of endometriosis on ovarian hormone production and follicular development are inconclusive. Ovarian endometrioma is common phonotype of endometriosis. Development of endometrioma per se may affect ovarian reserve. Surgery for endometriomas further diminish ovarian reserve, especially women with bilateral involvement. Early intervention with surgery and/or medical treatment may be beneficial, though firm evidence is lacking. When surgery is chosen in women at reproductive age, specific techniques that spare ovarian function should be considered.
1. Introduction
Endometriosis is a disease that affect 5–10% of women at reproductive age [1]. Although the pain symptom is one of the main manifestations of this gynecologically common-disease, up to 50% of women with endometriosis suffer from infertility [2,3]. The exact mechanism of infertility in women with endometriosis is still yet to be determined. Endometriosis related infertility is multifactorial. Anatomical distortions caused by adhesion and pelvic mass can be the cause of infertility. In addition to the anatomical obstructions, altered ovarian function in women with endometriosis may attribute to fertility. Although the causal relationship is not clearly determined, women with endometriosis may experience earlier menopause that those without disease [4]. These results may implicate that premature decline in ovarian function may be present in women with this disorder.
The ovarian function can be classified into three basic elements, (1) production of ovarian hormones, (2) maintenance of follicular development from preantral to post-ovulatory luteal stage, and (3) reservoir of dormant oocytes. Endometriosis may affect these ovarian functions from several directions. In this article, the associations between ovarian functions and endometriosis are discussed along with current evidence.
2. Perspectives on the Effects of Endometriosis on Ovarian Functions
2.1. Formation of Ovarian Endometriosis and Surrounding Normal Ovarian Tissue
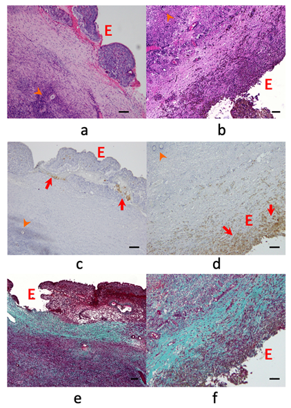
The pathogenesis of ovarian endometriosis (endometrioma) is still a matter of debate. Superficial ovarian endometriotic lesions are very early form of ovarian endometriosis, and may be developed by attachment of desquamated endometrial cells, transported into the pelvic cavity via retrograde menstruation, on to ovarian surface epithelium (OSE) (Figure 1a). The formation of ovarian superficial endometriosis may cause accumulation and activation of pelvic macrophages (Figure 1c). Local inflammation may result in fibrosis in ovarian cortical tissue, which contain dormant primordial follicles (Figure 1e). Accumulated macrophages may secrete repertoires of growth factors and pro-inflammatory cytokines and chemokines, including hepatocyte growth factor (HGF), which promote cell migration, metaplasia, and angiogenesis [5]. Progression of the formation of endometriotic lesions in the superficial ovarian cortex may provoke the invagination of OSE, and may facilitate the cyst formation [6]. Local inflammatory stimuli may also affect the metaplastic changes of Müllerian rest in the ovarian cortex, which have long been implicated as having pivotal roles in the pathogenesis of ovarian endometriotic lesions [7]. The cyst wall of endometrioma may show various degrees of hemosiderin deposits (Figure 1b) by repeated hemorrhage from endometriotic tissue, and marked accumulation of hemosiderin laden macrophages (Figure 1d). The cyst wall of endometriomas may show dense fibrosis adjacent to the normal ovarian tissue (Figure 1f). These histological alterations derived by the formation of ovarian endometriosis may affect physiological homeostasis of the ovarian cortical tissue, which contain dormant primordial follicles and activated early follicles.
Figure 1.
Histomorphological characteristics of ovarian endometriosis and adjacent normal ovarian tissue. Representative photomicrographs of superficial ovarian endometriosis (a,c,e) and cyst wall of ovarian endometrioma (b,d,f). Hematoxylin and eosin (H.E.) staining of superficial ovarian endometriosis (a) and cyst wall of ovarian endometrioma (b). Endometriotic lesions (E) are developed on the ovarian surface (a). Marked hemosiderin deposits are present beneath the endometriotic tissue lining (E) in the cyst wall (b). Detecting macrophage infiltration by CD68 immunohistochemistry (c,d). Among the endometriotic tissue, CD68 positive infiltrated cells (red arrows) were determined both in superficial lesions and the cyst wall of endometrioma. Tissue fibrosis were detected with a green color by Masson-trichrome staining (e,f). A fibrotic layer is formed between endometriotic lesions and normal a ovarian cortex (e). Dense fibrosis is evident in the cyst wall of ovarian endometrioma (f). Each bar indicates 100 μm.
Recently, endometrial as well as bone-marrow derived stem cells have been implicated as novel theories on the pathogenesis of endometriosis [8]. These multi-potent stem cells, which can form endometriotic lesions and further progression of stem cell derived lesions via tissue remodeling, may be modulated by ovarian steroid hormones and local inflammation. Accumulation and trafficking of these stem cells can be stimulated by estradiol and immune cells. On the other hand, local immune cells, such as invariant natural killer T (NKT) cells, may be involved in the pathogenesis of endometriosis [9]. Decreased percentages of NKT cells and lower production of IFNγ and IL-4 were found in women with endometriosis and correlated with the stage of the disease [10]. Altered protective function of NKT cells in women with endometriosis may be related to pro-inflammatory and fibrogenic pelvic environments. They also associate with increased stem cell activity. Ovarian dysfunction caused by endometriosis may be associated with disease progression mediated by interaction between stem cells and the immune system.
2.2. Ovarian Steroid Hormone Productions
The direct effects of endometriosis on ovarian steroid hormone productions are unclear. Altered follicular development can result in decreased hormonal productions. As an estrogen-dependent disease, the effects of ovarian hormones on the pathogenesis of endometriosis had been intensively studied; however, the data on ovarian hormonal productions in normal menstrual cycles in women with endometriosis is not fully elucidated.
Earlier studies indicated that lower levels of estrogen and progesterone have been noted in the serum and urine of women with endometriosis [11]. The follicular fluid of patients with endometriosis have been reported to have altered hormone profiles including reduced estrogen, androgen and progesterone, and increased activin [12]. On the other hand, specific impairment of the ovulatory process, designated as luteinized unruptured follicle (LUF), may be associated with endometriosis [13]. Altered luteal function also has been noted in women with endometriosis [14]. However, the causal relationship between endometriosis and LUFs are unclear and controversial.
From the other earlier studies, the impaired balance in the hypothalamus-pituitary-ovarian axis in women with endometriosis had been postulated. Abnormalities in luteinizing hormone (LH) secretion may exit, and these may be caused by altered follicular functions. [12]. As mentioned above, the follicular fluid in women with endometriosis may show decreased sex steroid hormone and related growth factors [11]. On the other hand, temporal elevation of gonadal estrogens may be present by the impaired balance of the hypothalamus-pituitary-ovarian axis. These imbalances can be caused by diminished ovarian reserve in women with endometriosis. Since estrogen can be viewed as an inflammation inducing agent, aberrant production of estrogen may be related to the accumulation and activation of macrophages in local pelvic environments. The interaction between macrophages and nerve fibers that cause pelvic pain may be implicated as neuroimmune interaction mediated by estrogen [15]. The alterations in estrogen production in women with endometriosis can be associated with these neuroimmune interactions.
In assisted reproductive technologies (ART), after the controlled ovarian stimulation (COS) with urinary or recombinant gonadotropin and gonadotropin releasing hormone (GnRH) agonist or antagonist, estrogen and progesterone levels may be modified in women with endometriosis. In women with diminished ovarian reserves, which is common in women with endometriosis, the number of growing follicles in the selected follicular cohort may be decreased, then total production of estrogen or progesterone during COS can be decreased. It is unclear whether endometriosis affects the secretory functions of each single growing follicle during COS. Earlier studies on women with untreated severe endometriosis showed similar hormonal profiles compared to the control women with tubal factor alone, even though the treatment outcomes were impaired in women with endometriosis [16]. Considering the compensatory effects of ovarian stimulation, hormonal profiles during ART treatment in women with endometriosis may not actually reflect the functional disturbances caused by disease itself. In other words, ovarian hyperstimulation in ART may be beneficial in infertile women with endometriosis, who harbor less optimal ovarian functions.
2.3. Quality: Oocyte Competence
Nourishing competent mature oocytes along with follicular development from the primordial stage to the ovulatory Graafian follicle is one of the major roles of the ovaries. Inflammatory follicular environments may affect oocyte competence in women with endometriosis. Follicular fluid of women with endometriosis may show increased levels of pro-inflammatory cytokines and chemokines [17]. Follicular fluids derived from women with endometriosis may show specific inflammatory related antigen that form immune complexes [18]. Oocyte maturity can be affected by inflammatory intra-follicular environments. The presence of intrafollicular oxidative stress in patients with endometriosis is an event that is directly linked to reduced oocyte quality and infertility [19]. Oxidative stress brought by hemorrhagic chocolate fluids in endometriomas may spread to surrounding normal ovarian tissue. Animal studies showed that the follicular fluid of women with mild endometriosis adversely affects nuclear maturation, and meiotic spindle of their oocytes, thus inducing meiotic abnormalities [20].
Within ART, though it is after COS, oocyte maturity can be assessed after oocyte retrieval. It had been controversial whether endometriosis itself compromises treatment results in assisted reproduction. Despite the results of early trials, more recent data on ART outcomes would suggest that when controlled for age, the IVF cycle outcome is not compromised by the presence of endometriosis [21].
The impact of ovarian endometrioma on IVF/ICSI outcomes were analyzed by the systematic review and meta-analysis, which showed a decreased mean number of retrieved oocytes and increased cycle cancelling rates compared to those of women without endometriosis, though clinical pregnancy rate or live birth rate were not significantly different [22]. In addition, women who had operations for ovarian endometrioma showed reduced ovarian response with an increase in the total amount of gonadotropin, and a further decline in the mean number of retrieved oocytes, though neither clinical pregnancy rate nor live birth rate were not significantly affected [22]. These results may indicate that endometriomas per se may affect ovarian reserves, but not final therapeutic outcomes of ART, which might be compensated for by COS.
On the other hand, reduced ovarian reserves in women with endometriosis can result in less competent ovarian follicles available. It could be possible that a proportion of poor quality oocytes may be increased. Recent studies indicated that endometriosis reduces the response to exogenous gonadotrophin and the number of metaphase-II oocytes after controlled ovarian hyperstimulation, independent of women’s ages, antral follicle count and anti-Müllerian hormone (AMH) [23].
The formation of ovarian endometriosis may be associated with the aberrant expression of ovarian receptors that are involved in the regulation of follicular growth and oocyte quality. Recent studies have demonstrated that abnormal expression levels of KISS1/KISS1R and TAC3/TACR3 systems, which act primarily at the hypothalamic level of the gonadotropic axis where they modulate gonadotropin-releasing hormone (GnRH) secretion and gonadotropin release, were found in ovarian granulosa cells derived from women with advanced age, poor ovarian response, and endometriosis [24]. These results may indicate that they play important roles in local follicular growth regulation that is involved in the pathogenesis of endometriosis-associated infertility.
2.4. Quantity: Ovarian Reserve
Ovarian reserve is a term concerning the quantity and quality of ovarian follicles remaining at the certain time point [25]. As the assessment of the quality of ovarian follicle in clinical settings is not straightforward, the term ovarian reserve may refer to the quantity of remaining primordial follicles. Primordial follicles are formed in the course of ovarian development in fetal life, then they maintain dormancy until they are activated in later reproductive life. The incessant activation of primordial follicles during female reproductive life may end in menopause. It is postulated that the activation of primordial follicles may be enhanced in certain conditions. For example, a local decline in AMH levels around the follicular nest may result in enhanced activation since AMH may work as an inhibitor of primordial follicle activation [26]. The procedure that results in sudden decline in AMH levels, such as surgery to the ovary, may evoke transient activation of primordial follicles. While these activations occur in unfavorable local pelvic environments, such as under the local chronic inflammation, may result in atresia of activated follicles. Surgery for endometriomas may damage residual ovarian tissue, which contains growing and dormant follicles, since significant decline in serum AMH levels after surgery had been reported [27]. Additional deprivation of local AMH production may also lead to further follicular activation. Altered folliculogenesis, such as enhanced follicular recruitment and increase in follicle atresia may be designated as “burn-out” phenomenon, which may be the cause of diminished ovarian reserves in women with endometriosis [28]. Serum AMH levels may be decreased in women with endometriosis. Systematic review and meta-analysis indicated surgery for endometrioma significantly decrease serum AMH levels [29]. Although it is still controversial, even women with endometriosis who had not been operated on may show diminished ovarian reserves, diagnosed by serum AMH levels [30]. In addition, ovarian reserve in women with endometriomas may be modified by laterality involvement, size of the cyst, severity of adhesion or fibrosis (i.e., degree of inflammation), and disease duration, in addition to the woman’s age.
3. Treatment of Endometriosis and Ovarian Function
3.1. Medical Treatment
Considering endometriosis is a chronic inflammatory disease and has frequent recurrence after surgery, repeated surgery should be avoided [31]. Although pathological confirmation after surgery may be the gold standard of diagnosis of endometriosis, medical treatment without surgery now serves as a mainstay of the treatment of women with painful symptoms suspected of having endometriosis [32]. Early interventions with hormonal medical treatments, such as combined oral contraceptives or progestins, effectively alleviates the symptoms. On the other hand, the effectiveness of these medications on ovarian functions remains unclear. Long-term suppression of ovulation and consequent menstruation may be beneficial to reduce the growth of endometriotic lesions as well as protect ovarian functions. Although it is a short term (six month) study, women with unilateral endometriomas receiving dienogest did not show significant changes in ovarian reserves diagnosed by serum AMH levels and antral follicle count (AFC) [33]. The benefit of long-term medical therapy on consequent ovarian reserves in women with endometriosis should be clarified. Women with undiagnosed or asymptomatic endometriosis may show infertility related to aberrant uterine receptivity, presumably caused by pelvic inflammation. Medical treatment to suppress gonadal and local/peripheral estrogen production resulted in better treatment outcomes in ART cycles [34,35]. Reduction of the activity of endometriotic lesions may restore endometrial receptivity as well as the maintenance of ovarian reserves.
3.2. Surgery
As mentioned formerly, surgery for endometriosis may be harmful to ovarian function. Especially, surgical procedures for ovarian endometriomas are sometimes detrimental to ovarian functions. Several confounding variables may affect post-surgical ovarian functions, such as bilateral involvement, large fibrotic cysts, skills of the surgeons, and previous operations [36]. At the moment, the improvement of ovarian functions by surgery have not been evidently shown. Considering endometriosis is a chronic progressive disease primarily affecting young reproductive ages, early interventions to prevent disease progression is mandatory. Medical treatment may be effective to alleviate the symptoms, but recurrence after the cessation of medicine is frequent. If surgery can be done without a considerable decline in reproductive functions, early surgical interventions may be considered. Favorable surgical outcomes while maintaining ovarian functions were reported. The repertoires of modification of surgical treatment for ovarian endometriomas have been introduced to minimize surgical trauma to normal residual ovarian tissue. For examples, three step procedures using hormonal treatment may serve as ovarian reserve protecting surgical procedures [37,38,39]. However, the benefit of early surgical intervention in young women with endometriosis is still yet to be determined.
4. Conclusions
Endometriosis can affect ovarian functions in multifaceted ways (Figure 2). Local chronic inflammation and fibrotic alteration of the ovarian cortex may be one of the causes of reduced ovarian functions. Diminished ovarian reserves is a main deterioration of ovarian function in women with endometriosis. Reduced availability of competent follicles, along with an inflammatory milieu of intra-follicular environments may result in the production of less competent oocytes, and altered production of ovarian steroid hormones. Ovarian stimulation in infertility treatments may compensate for these dysfunctions. Early medical or surgical intervention may be beneficial to protect ovarian function, but the efficacy in not evidently shown. Future studies are warranted.
Figure 2.
Schematic mechanism of ovarian dysfunctions in women with endometriosis.
Author Contributions
Conceptualization, M.K., K.M. (Kanako Matsumoto), I.K., A.H., N.M., A.M., Y.K., K.M. (Kiyonori Miura); methodology, M.K., K.M. (Kanako Matsumoto), K.M. (Kiyonori Miura); software, M.K.; validation, M.K., K.M. (Kanako Matsumoto) and K.M. (Kiyonori Miura); formal analysis, M.K.; investigation, M.K., K.M. (Kanako Matsumoto), I.K., A.H., N.M., A.M., Y.K., K.M. (Kiyonori Miura); resources, M.K.; data curation, M.K., Y.K.; writing—original draft preparation, M.K.; writing—review and editing, M.K., K.M. (Kanako Matsumoto), I.K., A.H., N.M., A.M., Y.K., K.M. (Kiyonori Miura); visualization, M.K.; supervision, K.M. (Kiyonori Miura); project administration, M.K.; funding acquisition, M.K. All authors have read and agreed to the published version of the manuscript.
Funding
This research was supported in part by the Grants-in-Aid for Scientific Research (grant no. 18K09294 to M.K.) from Japan Society for the Promotion of Sciences.
Institutional Review Board Statement
This study was conducted according to the guidelines of the Declaration of Helsinki, and approved by Nagasaki University Hospital Clinical Research Ethics Committee (No.11092632).
Informed Consent Statement
Informed consent was obtained from all subjects involved in the study.
Data Availability Statement
The datasets used and/or analysed in this study are available from the corresponding author on reasonable request.
Conflicts of Interest
The authors declare no conflict of interest.
References
- Burney, R.O.; Giudice, L.C. Pathogenesis and pathophysiology of endometriosis. Fertil. Steril. 2012, 98, 511–519. [Google Scholar] [CrossRef]
- Missmer, S.A.; Hankinson, S.E.; Spiegelman, D.; Barbieri, R.L.; Marshall, L.M.; Hunter, D.J. Incidence of Laparoscopically Confirmed Endometriosis by Demographic, Anthropometric, and Lifestyle Factors. Am. J. Epidemiol. 2004, 160, 784–796. [Google Scholar] [CrossRef]
- Guo, S.-W.; Wang, Y. Sources of heterogeneities in estimating the prevalence of endometriosis in infertile and previously fertile women. Fertil. Steril. 2006, 86, 1584–1595. [Google Scholar] [CrossRef] [PubMed]
- Yasui, T.; Hayashi, K.; Mizunuma, H.; Kubota, T.; Aso, T.; Matsumura, Y.; Lee, J.-S.; Suzuki, S. Association of endometriosis-related infertility with age at menopause. Maturitas 2011, 69, 279–283. [Google Scholar] [CrossRef] [PubMed]
- Khan, K.N.; Kitajima, M.; Hiraki, K.; Fujishita, A.; Sekine, I.; Ishimaru, T.; Masuzaki, H. Immunopathogenesis of Pelvic Endometriosis: Role of Hepatocyte Growth Factor, Macrophages and Ovarian Steroids. Am. J. Reprod. Immunol. 2008, 60, 383–404. [Google Scholar] [CrossRef]
- Kitajima, M.; Murakami, N.; Taniguchi, K.; Kitajima, Y.; Tsukamoto, O.; Miura, K.; Masuzaki, H. Histomorphological Aspects of the Ovarian Cortex Regarding Ovarian Reserve and Local Pelvic Inflammation. J. Mamm. Ova Res. 2018, 35, 21–26. [Google Scholar] [CrossRef]
- Longo, L.D. Classic pages in obstetrics and gynecology. Aberrant portions of the müllerian duct found in an ovary: William Wood Russell Johns Hopkins Hospital Bulletin, vol. 10, pp. 8–10, 1899. Am. J. Obstet. Gynecol. 1979, 134, 225–226. [Google Scholar] [PubMed]
- Pluchino, N.; Taylor, H.S. Endometriosis and Stem Cell Trafficking. Reprod. Sci. 2016, 23, 1616–1619. [Google Scholar] [CrossRef] [PubMed]
- Laganà, A.S.; Triolo, O.; Salmeri, F.M.; Granese, R.; Palmara, V.I.; Frangez, H.B.; Bokal, E.V.; Sofo, V. Natural Killer T cell subsets in eutopic and ectopic endometrium: A fresh look to a busy corner. Arch. Gynecol. Obstet. 2016, 293, 941–949. [Google Scholar] [CrossRef]
- Guo, S.; Zhang, Y.; Wang, L.; Qiu, W. Association of natural killer T cells with staging of endometriosis. Nan Fang Yi Ke Da Xue Xue Bao 2012, 32, 1322–1324. [Google Scholar]
- Cahill, D. Pituitary-ovarian dysfunction and endometriosis. Hum. Reprod. Updat. 2000, 6, 56–66. [Google Scholar] [CrossRef]
- Stilley, J.A.W.; Birt, J.; Sharpe-Timms, K.L. Cellular and molecular basis for endometriosis-associated infertility. Cell Tissue Res. 2012, 349, 849–862. [Google Scholar] [CrossRef]
- Moon, C.E.M.; Bertero, M.C.; Curry, T.E.; London, S.N.; Muse, K.N.; Sharpe, K.L.; Vernon, M.W. The presence of luteinized unruptured follicle syndrome and altered folliculogenesis in rats with surgically induced endometriosis. Am. J. Obstet. Gynecol. 1993, 169, 676–682. [Google Scholar] [CrossRef]
- Cunha-Filho, J.S.; Gross, J.L.; De Souza, C.A.B.; Lemos, N.A.; Giugliani, C.; Freitas, F.; Passos, E.P. Physiopathological Aspects of Corpus Luteum Defect in Infertile Patients with Mild/Minimal Endometriosis. J. Assist. Reprod. Genet. 2003, 20, 117–121. [Google Scholar] [CrossRef] [PubMed]
- Liang, Y.; Xie, H.; Wu, J.; Liu, D.; Yao, S. Villainous role of estrogen in macrophage-nerve interaction in endometriosis. Reprod. Biol. Endocrinol. 2018, 16, 122. [Google Scholar] [CrossRef]
- Yovich, J.L.; Matson, P.L.; Richardson, P.A.; Hilliard, C. Hormonal profiles and embryo quality in women with severe endometriosis treated by in vitro fertilization and embryo transfer. Fertil. Steril. 1988, 50, 308–313. [Google Scholar] [CrossRef]
- Wu, G.; Bersinger, N.A.; Mueller, M.D.; Von Wolff, M. Intrafollicular inflammatory cytokines but not steroid hormone concentrations are increased in naturally matured follicles of women with proven endometriosis. J. Assist. Reprod. Genet. 2017, 34, 357–364. [Google Scholar] [CrossRef] [PubMed]
- Murakami, N.; Kitajima, M.; Ohyama, K.; Aibara, N.; Taniguchi, K.; Wei, M.; Kitajima, Y.; Miura, K.; Masuzaki, H. Comprehensive immune complexome analysis detects disease-specific immune complex antigens in seminal plasma and follicular fluids derived from infertile men and women. Clin. Chim. Acta 2019, 495, 545–551. [Google Scholar] [CrossRef]
- Da Broi, M.; Malvezzi, H.; Paz, C.C.P.; Ferriani, R.A.; Navarro, P.A. Follicular fluid from infertile women with mild endometriosis may compromise the meiotic spindles of bovine metaphase II oocytes. Hum. Reprod. 2013, 29, 315–323. [Google Scholar] [CrossRef] [PubMed]
- Da Broi, M.G.; Jordão-Jr, A.A.; Ferriani, R.A.; Navarro, P.A. Oocyte oxidative DNA damage may be involved in minimal/mild endometriosis-related infertility. Mol. Reprod. Dev. 2018, 85, 128–136. [Google Scholar] [CrossRef] [PubMed]
- Surrey, E.S. Endometriosis and Assisted Reproductive Technologies: Maximizing Outcomes. Semin. Reprod. Med. 2013, 31, 154–163. [Google Scholar] [CrossRef][Green Version]
- Hamdan, M.H.; Dunselman, G.A.J.; Li, T.C.; Cheong, Y. The impact of endometrioma on IVF/ICSI outcomes: A systematic review and meta-analysis. Hum. Reprod. Update 2015, 21, 809–825. [Google Scholar] [CrossRef]
- Nicolaus, K.; Bräuer, D.; Sczesny, R.; Jimenez-Cruz, J.; Bühler, K.; Hoppe, I.; Runnebaum, I.B. Endometriosis reduces ovarian response in controlled ovarian hyperstimulation independent of AMH, AFC, and women’s age measured by follicular output rate (FORT) and number of oocytes retrieved. Arch. Gynecol. Obstet. 2019, 300, 1759–1765. [Google Scholar] [CrossRef] [PubMed]
- Blasco, V.; Pinto, F.M.; Fernández-Atucha, A.; González-Ravina, C.; Fernández-Sánchez, M.; Candenas, L. Female infertility is associated with an altered expression of the neurokinin B/neurokinin B receptor and kisspeptin/kisspeptin receptor systems in ovarian granulosa and cumulus cells. Fertil. Steril. 2020, 114, 869–878. [Google Scholar] [CrossRef] [PubMed]
- Broekmans, F.J.; Kwee, J.; Hendriks, D.J.; Mol, B.W.; Lambalk, C.B. A systematic review of tests predicting ovarian reserve and IVF outcome. Hum. Reprod. Updat. 2006, 12, 685–718. [Google Scholar] [CrossRef] [PubMed]
- Kano, M.; Sosulski, A.E.; Zhang, L.; Saatcioglu, H.D.; Wang, D.; Nagykery, N.; Sabatini, M.E.; Gao, G.; Donahoe, P.K.; Pépin, D. AMH/MIS as a contraceptive that protects the ovarian reserve during chemotherapy. Proc. Natl. Acad. Sci. USA 2017, 114, E1688–E1697. [Google Scholar] [CrossRef]
- Kitajima, M.; Khan, K.N.; Harada, A.; Taniguchi, K.; Inoue, T.; Kaneuchi, M.; Miura, K.; Masuzaki, H. Association between ovarian endometrioma and ovarian reserve. Front. Biosci. 2018, 10, 92–102. [Google Scholar] [CrossRef]
- Kitajima, M.; Dolmans, M.-M.; Donnez, O.; Masuzaki, H.; Soares, M.; Donnez, J. Enhanced follicular recruitment and atresia in cortex derived from ovaries with endometriomas. Fertil. Steril. 2014, 101, 1031–1037. [Google Scholar] [CrossRef] [PubMed]
- Raffi, F.; Metwally, M.; Amer, S. The Impact of Excision of Ovarian Endometrioma on Ovarian Reserve: A Systematic Review and Meta-Analysis. J. Clin. Endocrinol. Metab. 2012, 97, 3146–3154. [Google Scholar] [CrossRef]
- Lemos, N.A.; Arbo, E.; Scalco, R.; Weiler, E.; Rosa, V.; Cunha-Filho, J.S. Decreased anti-Müllerian hormone and altered ovarian follicular cohort in infertile patients with mild/minimal endometriosis. Fertil. Steril. 2008, 89, 1064–1068. [Google Scholar] [CrossRef]
- Practice Committee of the American Society for Reproductive Medicine. Treatment of pelvic pain associated with endometriosis: A committee opinion. Fertil. Steril. 2014, 101, 927–935. [Google Scholar] [CrossRef]
- Agarwal, S.K.; Chapron, C.; Giudice, L.C.; Laufer, M.R.; Leyland, N.; Missmer, S.A.; Singh, S.S.; Taylor, H.S. Clinical diagnosis of endometriosis: A call to action. Am. J. Obstet. Gynecol. 2019, 220, 354.e1–354.e12. [Google Scholar] [CrossRef] [PubMed]
- Muzii, L.; Galati, G.; Di Tucci, C.; Di Feliciantonio, M.; Perniola, G.; Di Donato, V.; Panici, P.B.; Vignali, M. Medical treatment of ovarian endometriomas: A prospective evaluation of the effect of dienogest on ovarian reserve, cyst diameter, and associated pain. Gynecol. Endocrinol. 2019, 36, 81–83. [Google Scholar] [CrossRef] [PubMed]
- Steiner, N.; Shrem, G.; Tannus, S.; Dahan, S.Y.; Balayla, J.; Volodarsky-Perel, A.; Tan, S.-L.; Dahan, M.H. Effect of GnRH agonist and letrozole treatment in women with recurrent implantation failure. Fertil. Steril. 2019, 112, 98–104. [Google Scholar] [CrossRef] [PubMed]
- Likes, C.E.; Cooper, L.J.; Efird, J.; Forstein, D.A.; Miller, P.B.; Savaris, R.; Lessey, B.A. Medical or surgical treatment before embryo transfer improves outcomes in women with abnormal endometrial BCL6 expression. J. Assist. Reprod. Genet. 2019, 36, 483–490. [Google Scholar] [CrossRef]
- Carrillo, L.; Seidman, D.S.; Cittadini, E.; Meirow, D. The role of fertility preservation in patients with endometriosis. J. Assist. Reprod. Genet. 2016, 33, 317–323. [Google Scholar] [CrossRef]
- Donnez, J.; Nisolle, M.; Gillet, N.; Smets, M.; Bassil, S.; Casanas-Roux, F. Large ovarian endometriomas. Hum. Reprod. 1996, 11, 641–646. [Google Scholar] [CrossRef]
- Tsolakidis, D.; Pados, G.; Vavilis, D.; Athanatos, D.; Tsalikis, T.; Giannakou, A.; Tarlatzis, B.C. The impact on ovarian reserve after laparoscopic ovarian cystectomy versus three-stage management in patients with endometriomas: A prospective randomized study. Fertil. Steril. 2010, 94, 71–77. [Google Scholar] [CrossRef]
- Kitajima, M.; Matsumoto, K.; Murakami, N.; Harada, A.; Kitajima, Y.; Masuzaki, H.; Miura, K. Ovarian reserve after three-step laparoscopic surgery for endometriomas utilizing dienogest: A pilot study. Reprod. Med. Biol. 2020, 19, 425–431. [Google Scholar] [CrossRef]
Publisher’s Note: MDPI stays neutral with regard to jurisdictional claims in published maps and institutional affiliations. |
© 2021 by the authors. Licensee MDPI, Basel, Switzerland. This article is an open access article distributed under the terms and conditions of the Creative Commons Attribution (CC BY) license (https://creativecommons.org/licenses/by/4.0/).

