The Effects of Endometriosis on Ovarian Functions
Abstract
1. Introduction
2. Perspectives on the Effects of Endometriosis on Ovarian Functions
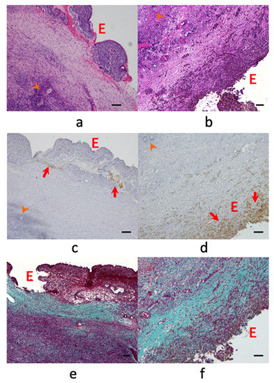
2.1. Formation of Ovarian Endometriosis and Surrounding Normal Ovarian Tissue
2.2. Ovarian Steroid Hormone Productions
2.3. Quality: Oocyte Competence
2.4. Quantity: Ovarian Reserve
3. Treatment of Endometriosis and Ovarian Function
3.1. Medical Treatment
3.2. Surgery
4. Conclusions
Author Contributions
Funding
Institutional Review Board Statement
Informed Consent Statement
Data Availability Statement
Conflicts of Interest
References
- Burney, R.O.; Giudice, L.C. Pathogenesis and pathophysiology of endometriosis. Fertil. Steril. 2012, 98, 511–519. [Google Scholar] [CrossRef]
- Missmer, S.A.; Hankinson, S.E.; Spiegelman, D.; Barbieri, R.L.; Marshall, L.M.; Hunter, D.J. Incidence of Laparoscopically Confirmed Endometriosis by Demographic, Anthropometric, and Lifestyle Factors. Am. J. Epidemiol. 2004, 160, 784–796. [Google Scholar] [CrossRef]
- Guo, S.-W.; Wang, Y. Sources of heterogeneities in estimating the prevalence of endometriosis in infertile and previously fertile women. Fertil. Steril. 2006, 86, 1584–1595. [Google Scholar] [CrossRef] [PubMed]
- Yasui, T.; Hayashi, K.; Mizunuma, H.; Kubota, T.; Aso, T.; Matsumura, Y.; Lee, J.-S.; Suzuki, S. Association of endometriosis-related infertility with age at menopause. Maturitas 2011, 69, 279–283. [Google Scholar] [CrossRef] [PubMed]
- Khan, K.N.; Kitajima, M.; Hiraki, K.; Fujishita, A.; Sekine, I.; Ishimaru, T.; Masuzaki, H. Immunopathogenesis of Pelvic Endometriosis: Role of Hepatocyte Growth Factor, Macrophages and Ovarian Steroids. Am. J. Reprod. Immunol. 2008, 60, 383–404. [Google Scholar] [CrossRef]
- Kitajima, M.; Murakami, N.; Taniguchi, K.; Kitajima, Y.; Tsukamoto, O.; Miura, K.; Masuzaki, H. Histomorphological Aspects of the Ovarian Cortex Regarding Ovarian Reserve and Local Pelvic Inflammation. J. Mamm. Ova Res. 2018, 35, 21–26. [Google Scholar] [CrossRef]
- Longo, L.D. Classic pages in obstetrics and gynecology. Aberrant portions of the müllerian duct found in an ovary: William Wood Russell Johns Hopkins Hospital Bulletin, vol. 10, pp. 8–10, 1899. Am. J. Obstet. Gynecol. 1979, 134, 225–226. [Google Scholar] [PubMed]
- Pluchino, N.; Taylor, H.S. Endometriosis and Stem Cell Trafficking. Reprod. Sci. 2016, 23, 1616–1619. [Google Scholar] [CrossRef] [PubMed]
- Laganà, A.S.; Triolo, O.; Salmeri, F.M.; Granese, R.; Palmara, V.I.; Frangez, H.B.; Bokal, E.V.; Sofo, V. Natural Killer T cell subsets in eutopic and ectopic endometrium: A fresh look to a busy corner. Arch. Gynecol. Obstet. 2016, 293, 941–949. [Google Scholar] [CrossRef]
- Guo, S.; Zhang, Y.; Wang, L.; Qiu, W. Association of natural killer T cells with staging of endometriosis. Nan Fang Yi Ke Da Xue Xue Bao 2012, 32, 1322–1324. [Google Scholar]
- Cahill, D. Pituitary-ovarian dysfunction and endometriosis. Hum. Reprod. Updat. 2000, 6, 56–66. [Google Scholar] [CrossRef]
- Stilley, J.A.W.; Birt, J.; Sharpe-Timms, K.L. Cellular and molecular basis for endometriosis-associated infertility. Cell Tissue Res. 2012, 349, 849–862. [Google Scholar] [CrossRef]
- Moon, C.E.M.; Bertero, M.C.; Curry, T.E.; London, S.N.; Muse, K.N.; Sharpe, K.L.; Vernon, M.W. The presence of luteinized unruptured follicle syndrome and altered folliculogenesis in rats with surgically induced endometriosis. Am. J. Obstet. Gynecol. 1993, 169, 676–682. [Google Scholar] [CrossRef]
- Cunha-Filho, J.S.; Gross, J.L.; De Souza, C.A.B.; Lemos, N.A.; Giugliani, C.; Freitas, F.; Passos, E.P. Physiopathological Aspects of Corpus Luteum Defect in Infertile Patients with Mild/Minimal Endometriosis. J. Assist. Reprod. Genet. 2003, 20, 117–121. [Google Scholar] [CrossRef] [PubMed]
- Liang, Y.; Xie, H.; Wu, J.; Liu, D.; Yao, S. Villainous role of estrogen in macrophage-nerve interaction in endometriosis. Reprod. Biol. Endocrinol. 2018, 16, 122. [Google Scholar] [CrossRef]
- Yovich, J.L.; Matson, P.L.; Richardson, P.A.; Hilliard, C. Hormonal profiles and embryo quality in women with severe endometriosis treated by in vitro fertilization and embryo transfer. Fertil. Steril. 1988, 50, 308–313. [Google Scholar] [CrossRef]
- Wu, G.; Bersinger, N.A.; Mueller, M.D.; Von Wolff, M. Intrafollicular inflammatory cytokines but not steroid hormone concentrations are increased in naturally matured follicles of women with proven endometriosis. J. Assist. Reprod. Genet. 2017, 34, 357–364. [Google Scholar] [CrossRef] [PubMed]
- Murakami, N.; Kitajima, M.; Ohyama, K.; Aibara, N.; Taniguchi, K.; Wei, M.; Kitajima, Y.; Miura, K.; Masuzaki, H. Comprehensive immune complexome analysis detects disease-specific immune complex antigens in seminal plasma and follicular fluids derived from infertile men and women. Clin. Chim. Acta 2019, 495, 545–551. [Google Scholar] [CrossRef]
- Da Broi, M.; Malvezzi, H.; Paz, C.C.P.; Ferriani, R.A.; Navarro, P.A. Follicular fluid from infertile women with mild endometriosis may compromise the meiotic spindles of bovine metaphase II oocytes. Hum. Reprod. 2013, 29, 315–323. [Google Scholar] [CrossRef] [PubMed]
- Da Broi, M.G.; Jordão-Jr, A.A.; Ferriani, R.A.; Navarro, P.A. Oocyte oxidative DNA damage may be involved in minimal/mild endometriosis-related infertility. Mol. Reprod. Dev. 2018, 85, 128–136. [Google Scholar] [CrossRef] [PubMed]
- Surrey, E.S. Endometriosis and Assisted Reproductive Technologies: Maximizing Outcomes. Semin. Reprod. Med. 2013, 31, 154–163. [Google Scholar] [CrossRef][Green Version]
- Hamdan, M.H.; Dunselman, G.A.J.; Li, T.C.; Cheong, Y. The impact of endometrioma on IVF/ICSI outcomes: A systematic review and meta-analysis. Hum. Reprod. Update 2015, 21, 809–825. [Google Scholar] [CrossRef]
- Nicolaus, K.; Bräuer, D.; Sczesny, R.; Jimenez-Cruz, J.; Bühler, K.; Hoppe, I.; Runnebaum, I.B. Endometriosis reduces ovarian response in controlled ovarian hyperstimulation independent of AMH, AFC, and women’s age measured by follicular output rate (FORT) and number of oocytes retrieved. Arch. Gynecol. Obstet. 2019, 300, 1759–1765. [Google Scholar] [CrossRef] [PubMed]
- Blasco, V.; Pinto, F.M.; Fernández-Atucha, A.; González-Ravina, C.; Fernández-Sánchez, M.; Candenas, L. Female infertility is associated with an altered expression of the neurokinin B/neurokinin B receptor and kisspeptin/kisspeptin receptor systems in ovarian granulosa and cumulus cells. Fertil. Steril. 2020, 114, 869–878. [Google Scholar] [CrossRef] [PubMed]
- Broekmans, F.J.; Kwee, J.; Hendriks, D.J.; Mol, B.W.; Lambalk, C.B. A systematic review of tests predicting ovarian reserve and IVF outcome. Hum. Reprod. Updat. 2006, 12, 685–718. [Google Scholar] [CrossRef] [PubMed]
- Kano, M.; Sosulski, A.E.; Zhang, L.; Saatcioglu, H.D.; Wang, D.; Nagykery, N.; Sabatini, M.E.; Gao, G.; Donahoe, P.K.; Pépin, D. AMH/MIS as a contraceptive that protects the ovarian reserve during chemotherapy. Proc. Natl. Acad. Sci. USA 2017, 114, E1688–E1697. [Google Scholar] [CrossRef]
- Kitajima, M.; Khan, K.N.; Harada, A.; Taniguchi, K.; Inoue, T.; Kaneuchi, M.; Miura, K.; Masuzaki, H. Association between ovarian endometrioma and ovarian reserve. Front. Biosci. 2018, 10, 92–102. [Google Scholar] [CrossRef]
- Kitajima, M.; Dolmans, M.-M.; Donnez, O.; Masuzaki, H.; Soares, M.; Donnez, J. Enhanced follicular recruitment and atresia in cortex derived from ovaries with endometriomas. Fertil. Steril. 2014, 101, 1031–1037. [Google Scholar] [CrossRef] [PubMed]
- Raffi, F.; Metwally, M.; Amer, S. The Impact of Excision of Ovarian Endometrioma on Ovarian Reserve: A Systematic Review and Meta-Analysis. J. Clin. Endocrinol. Metab. 2012, 97, 3146–3154. [Google Scholar] [CrossRef]
- Lemos, N.A.; Arbo, E.; Scalco, R.; Weiler, E.; Rosa, V.; Cunha-Filho, J.S. Decreased anti-Müllerian hormone and altered ovarian follicular cohort in infertile patients with mild/minimal endometriosis. Fertil. Steril. 2008, 89, 1064–1068. [Google Scholar] [CrossRef]
- Practice Committee of the American Society for Reproductive Medicine. Treatment of pelvic pain associated with endometriosis: A committee opinion. Fertil. Steril. 2014, 101, 927–935. [Google Scholar] [CrossRef]
- Agarwal, S.K.; Chapron, C.; Giudice, L.C.; Laufer, M.R.; Leyland, N.; Missmer, S.A.; Singh, S.S.; Taylor, H.S. Clinical diagnosis of endometriosis: A call to action. Am. J. Obstet. Gynecol. 2019, 220, 354.e1–354.e12. [Google Scholar] [CrossRef] [PubMed]
- Muzii, L.; Galati, G.; Di Tucci, C.; Di Feliciantonio, M.; Perniola, G.; Di Donato, V.; Panici, P.B.; Vignali, M. Medical treatment of ovarian endometriomas: A prospective evaluation of the effect of dienogest on ovarian reserve, cyst diameter, and associated pain. Gynecol. Endocrinol. 2019, 36, 81–83. [Google Scholar] [CrossRef] [PubMed]
- Steiner, N.; Shrem, G.; Tannus, S.; Dahan, S.Y.; Balayla, J.; Volodarsky-Perel, A.; Tan, S.-L.; Dahan, M.H. Effect of GnRH agonist and letrozole treatment in women with recurrent implantation failure. Fertil. Steril. 2019, 112, 98–104. [Google Scholar] [CrossRef] [PubMed]
- Likes, C.E.; Cooper, L.J.; Efird, J.; Forstein, D.A.; Miller, P.B.; Savaris, R.; Lessey, B.A. Medical or surgical treatment before embryo transfer improves outcomes in women with abnormal endometrial BCL6 expression. J. Assist. Reprod. Genet. 2019, 36, 483–490. [Google Scholar] [CrossRef]
- Carrillo, L.; Seidman, D.S.; Cittadini, E.; Meirow, D. The role of fertility preservation in patients with endometriosis. J. Assist. Reprod. Genet. 2016, 33, 317–323. [Google Scholar] [CrossRef]
- Donnez, J.; Nisolle, M.; Gillet, N.; Smets, M.; Bassil, S.; Casanas-Roux, F. Large ovarian endometriomas. Hum. Reprod. 1996, 11, 641–646. [Google Scholar] [CrossRef]
- Tsolakidis, D.; Pados, G.; Vavilis, D.; Athanatos, D.; Tsalikis, T.; Giannakou, A.; Tarlatzis, B.C. The impact on ovarian reserve after laparoscopic ovarian cystectomy versus three-stage management in patients with endometriomas: A prospective randomized study. Fertil. Steril. 2010, 94, 71–77. [Google Scholar] [CrossRef]
- Kitajima, M.; Matsumoto, K.; Murakami, N.; Harada, A.; Kitajima, Y.; Masuzaki, H.; Miura, K. Ovarian reserve after three-step laparoscopic surgery for endometriomas utilizing dienogest: A pilot study. Reprod. Med. Biol. 2020, 19, 425–431. [Google Scholar] [CrossRef]


Publisher’s Note: MDPI stays neutral with regard to jurisdictional claims in published maps and institutional affiliations. |
© 2021 by the authors. Licensee MDPI, Basel, Switzerland. This article is an open access article distributed under the terms and conditions of the Creative Commons Attribution (CC BY) license (https://creativecommons.org/licenses/by/4.0/).
Share and Cite
Kitajima, M.; Matsumoto, K.; Kajimura, I.; Harada, A.; Miyashita, N.; Matsumura, A.; Kitajima, Y.; Miura, K. The Effects of Endometriosis on Ovarian Functions. Endocrines 2021, 2, 142-149. https://doi.org/10.3390/endocrines2020014
Kitajima M, Matsumoto K, Kajimura I, Harada A, Miyashita N, Matsumura A, Kitajima Y, Miura K. The Effects of Endometriosis on Ovarian Functions. Endocrines. 2021; 2(2):142-149. https://doi.org/10.3390/endocrines2020014
Chicago/Turabian StyleKitajima, Michio, Kanako Matsumoto, Itsuki Kajimura, Ayumi Harada, Noriko Miyashita, Asako Matsumura, Yuriko Kitajima, and Kiyonori Miura. 2021. "The Effects of Endometriosis on Ovarian Functions" Endocrines 2, no. 2: 142-149. https://doi.org/10.3390/endocrines2020014
APA StyleKitajima, M., Matsumoto, K., Kajimura, I., Harada, A., Miyashita, N., Matsumura, A., Kitajima, Y., & Miura, K. (2021). The Effects of Endometriosis on Ovarian Functions. Endocrines, 2(2), 142-149. https://doi.org/10.3390/endocrines2020014

