Hepatitis E Virus Infection Caused Elevation of Alanine Aminotransferase Levels in a Patient with Chronic Hepatitis B and Choledocholithiasis
Abstract
1. Introduction
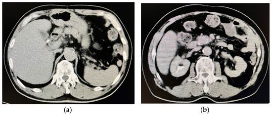
2. Case Presentation
3. Discussion
4. Conclusions
Author Contributions
Funding
Institutional Review Board Statement
Informed Consent Statement
Data Availability Statement
Acknowledgments
Conflicts of Interest
References
- Lin, C.K.; Huang, W.C. Prolonged cholestasis following endoscopic retrograde cholangiopancreatography, a rare complication of contrast agent induced liver injury: A case report and literature review. Medicine 2020, 99, e18855. [Google Scholar] [CrossRef]
- Dourakis, S.P.; Mayroyannis, C.; Alexopoulou, A.; Hadziyannis, S.J. Prolonged cholestatic jaundice after endoscopic retrograde cholangiography. Hepatogastroenterology 1997, 44, 677–680. [Google Scholar] [PubMed]
- Dunn, J.M.; McNair, A. Prolonged cholestasis following successful removal of common bile duct stones: Beware patients on estrogen therapy. World J. Gastroenterol. 2007, 13, 6277–6280. [Google Scholar] [CrossRef]
- Saritas, U.; Aydin, B.; Ustundag, Y. Plasmapheresis and corticosteroid treatment for persistent jaundice after successful drainage of common bile duct stones by endoscopic retrograde cholangiography. World J. Gastroenterol. 2007, 13, 4152–4153. [Google Scholar] [CrossRef]
- Björnsson, H.K.; Olafsson, S.; Bergmann, O.M.; Björnsson, E.S. A prospective study on the causes of notably raised alanine aminotransferase (ALT). Scand. J. Gastroenterol. 2016, 51, 594–600. [Google Scholar] [CrossRef]
- Kanda, T.; Kobayashi, I.; Suzuki, T.; Murata, K.; Radio, S.J.; McManus, B.M. Elevation of ALT to AST ratio in patients with enteroviral myocarditis. J. Med. 1995, 26, 153–162. [Google Scholar] [PubMed]
- European Association for the Study of the Liver. EASL Clinical Practice Guidelines on hepatitis E virus infection. J. Hepatol. 2018, 68, 1256–1271. [Google Scholar] [CrossRef] [PubMed]
- Yoshida, Y.; Ito, A.; Eto, H.; Suzuki, A.; Abe, T.; Endo, K.; Kakisaka, K.; Oikawa, T.; Kuroda, H.; Miyasaka, A.; et al. Seroprevalence and incidence of hepatitis E virus infection in the general population of Iwate prefecture, Japan: A retrospective cohort study. Hepatol Res. 2023. online ahead of print. [Google Scholar] [CrossRef]
- Mizuo, H.; Suzuki, K.; Takikawa, Y.; Sugai, Y.; Tokita, H.; Akahane, Y.; Itoh, K.; Gotanda, Y.; Takahashi, M.; Nishizawa, T.; et al. Polyphyletic strains of hepatitis E virus are responsible for sporadic cases of acute hepatitis in Japan. J. Clin. Microbiol. 2002, 40, 3209–3218. [Google Scholar] [CrossRef]
- Takahashi, M.; Kusakai, S.; Mizuo, H.; Suzuki, K.; Fujimura, K.; Masuko, K.; Sugai, Y.; Aikawa, T.; Nishizawa, T.; Okamoto, H. Simultaneous detection of immunoglobulin A (IgA) and IgM antibodies against hepatitis E virus (HEV) Is highly specific for diagnosis of acute HEV infection. J. Clin. Microbiol. 2005, 43, 49–56. [Google Scholar] [CrossRef]
- Takahashi, M.; Yamada, K.; Hoshino, Y.; Takahashi, H.; Ichiyama, K.; Tanaka, T.; Okamoto, H. Monoclonal antibodies raised against the ORF3 protein of hepatitis E virus (HEV) can capture HEV particles in culture supernatant and serum but not those in feces. Arch. Virol. 2008, 153, 1703–1713. [Google Scholar] [CrossRef]
- Kanda, T.; Yasui, S.; Nakamura, M.; Arai, M.; Sasaki, R.; Haga, Y.; Wu, S.; Nakamoto, S.; Okamoto, H.; Yokosuka, O. Recent Trend of Hepatitis E Virus Infection in Chiba Area, Japan: 3 of 5 Cases with Rheumatoid Arthritis. Case Rep. Gastroenterol. 2015, 9, 317–326. [Google Scholar] [CrossRef] [PubMed]
- Takakusagi, S.; Takagi, H.; Yamazaki, Y.; Kosone, T.; Nagashima, S.; Takahashi, M.; Murata, K.; Okamoto, H. Chronic hepatitis E in an elderly immunocompetent patient who achieved a sustained virologic response with ribavirin treatment. Clin. J. Gastroenterol. 2023, 16, 206–215. [Google Scholar] [CrossRef] [PubMed]
- Kanda, T.; Yokosuka, O.; Fujiwara, K.; Saisho, H.; Shiga, H.; Oda, S.; Okuda, K.; Sugawara, Y.; Makuuchi, M.; Hirasawa, H. Fulminant hepatic failure associated with triazolam. Dig. Dis. Sci. 2002, 47, 1111–1114. [Google Scholar] [CrossRef] [PubMed]
- Sasahira, N.; Tada, M.; Yoshida, H.; Tateishi, R.; Shiina, S.; Hirano, K.; Isayama, H.; Toda, N.; Komatsu, Y.; Kawabe, T.; et al. Extrahepatic biliary obstruction after percutaneous tumour ablation for hepatocellular carcinoma: Aetiology and successful treatment with endoscopic papillary balloon dilatation. Gut 2005, 54, 698–702. [Google Scholar] [CrossRef] [PubMed]
- Nakashima, T.; Sakamoto, K.; Okuda, K. A minute hepatocellular carcinoma found in a liver with clonorchis sinensis infection: Report of two cases. Cancer 1977, 39, 1306–1311. [Google Scholar] [CrossRef]
- World Health Organization. Hepatitis E. Available online: https://www.who.int/news-room/fact-sheets/detail/hepatitis-e (accessed on 8 November 2023).
- Löve, A.; Björnsdottir, T.B.; Olafsson, S.; Björnsson, E.S. Low prevalence of hepatitis E in Iceland: A seroepidemiological study. Scand. J. Gastroenterol. 2018, 53, 293–296. [Google Scholar] [CrossRef]
- Mechnik, L.; Bergman, N.; Attali, M.; Beergabel, M.; Mosenkis, B.; Sokolowski, N.; Malnick, S. Acute hepatitis E virus infection presenting as a prolonged cholestatic jaundice. J. Clin. Gastroenterol. 2001, 33, 421–422. [Google Scholar] [CrossRef]
- Erez-Granat, O.; Lachish, T.; Daudi, N.; Shouval, D.; Schwartz, E. Hepatitis E in Israel: A nation-wide retrospective study. World J. Gastroenterol. 2016, 22, 5568–5577. [Google Scholar] [CrossRef]
- Shirazi, R.; Pozzi, P.; Wax, M.; Bar-Or, I.; Asulin, E.; Lustig, Y.; Mendelson, E.; Ben-Ari, Z.; Schwartz, E.; Mor, O. Hepatitis E in pigs in Israel: Seroprevalence, molecular characterisation and potential impact on humans. Eurosurveillance 2018, 23, 1800067. [Google Scholar] [CrossRef] [PubMed]
- Aslam, A.; Susheela, A.; Iriana, S.; Chan, S.S.; Lau, D. Acute hepatitis E superinfection leading to chronic hepatitis B reactivation. BMJ Case Rep. 2018, 2018, bcr2017223616. [Google Scholar] [CrossRef] [PubMed]
- Björnsson, H.K.; Björnsson, E.S. A significant proportion of patients with choledocholithiasis have markedly elevated alanine aminotransferase. Scand. J. Gastroenterol. 2019, 54, 1155–1159. [Google Scholar] [CrossRef] [PubMed]
- Wallace, S.J.; Webb, G.W.; Madden, R.G.; Dalton, H.C.; Palmer, J.; Dalton, R.T.; Pollard, A.; Martin, R.; Panayi, V.; Bennett, G.; et al. Investigation of liver dysfunction: Who should we test for hepatitis E? Eur. J. Gastroenterol. Hepatol. 2017, 29, 215–220. [Google Scholar] [CrossRef] [PubMed]
- Ishida, S.; Yoshizumi, S.; Sakata, H.; Matsubayashi, K. Broadly Reactive Real-Time RT-PCR Assay for the Detection of Hepatitis E Virus and Simultaneous Genotyping by Single Nucleotide Polymorphism Analysis. Microbiol. Spectr. 2022, 10, e0191221. [Google Scholar] [CrossRef]
- Uema, M.; Yonemitsu, K.; Sasaki, Y.; Asakura, H. Detection of hepatitis E virus RNA from pig bile collected at a slaughterhouse in Japan. AIMS Microbiol. 2022, 8, 566–574. [Google Scholar] [CrossRef] [PubMed]
- Takahashi, M.; Kunita, S.; Nishizawa, T.; Ohnishi, H.; Primadharsini, P.P.; Nagashima, S.; Murata, K.; Okamoto, H. Infection Dynamics and Genomic Mutations of Hepatitis E Virus in Naturally Infected Pigs on a Farrow-to-Finish Farm in Japan: A Survey from 2012 to 2021. Viruses 2023, 15, 1516. [Google Scholar] [CrossRef]
- Denner, J.; Pischke, S.; Steinmann, E.; Blümel, J.; Glebe, D. Why all blood donations should be tested for hepatitis E virus (HEV). BMC Infect. Dis. 2019, 19, 541. [Google Scholar] [CrossRef]
- Wang, Y.; Liu, H.; Liu, S.; Yang, C.; Jiang, Y.; Wang, S.; Liu, A.; Peppelenbosch, M.P.; Kamar, N.; Pan, Q.; et al. Incidence, predictors and prognosis of genotype 4 hepatitis E related liver failure: A tertiary nested case-control study. Liver Int. 2019, 39, 2291–2300. [Google Scholar] [CrossRef]
- Fantilli, A.; López Villa, S.D.; Zerega, A.; Di Cola, G.; López, L.; Wassaf Martínez, M.; Pisano, M.B.; Ré, V.E. Hepatitis E virus infection in a patient with alcohol related chronic liver disease: A case report of acute-on-chronic liver failure. Virol. J. 2021, 18, 245. [Google Scholar] [CrossRef]
- Goyal, R.; Kumar, A.; Panda, S.K.; Paul, S.B.; Acharya, S.K. Ribavirin therapy for hepatitis E virus-induced acute on chronic liver failure: A preliminary report. Antivir. Ther. 2012, 17, 1091–1096. [Google Scholar] [CrossRef]
- Kamar, N.; Rostaing, L.; Abravanel, F.; Garrouste, C.; Lhomme, S.; Esposito, L.; Basse, G.; Cointault, O.; Ribes, D.; Nogier, M.B.; et al. Ribavirin therapy inhibits viral replication on patients with chronic hepatitis E virus infection. Gastroenterology 2010, 139, 1612–1618. [Google Scholar] [CrossRef]
- Primadharsini, P.P.; Nagashima, S.; Nishiyama, T.; Takahashi, M.; Murata, K.; Okamoto, H. Development of Recombinant Infectious Hepatitis E Virus Harboring the nanoKAZ Gene and Its Application in Drug Screening. J. Virol. 2022, 96, e0190621. [Google Scholar] [CrossRef]
- Nagashima, S.; Primadharsini, P.P.; Nishiyama, T.; Takahashi, M.; Murata, K.; Okamoto, H. Development of a HiBiT-tagged reporter hepatitis E virus and its utility as an antiviral drug screening platform. J. Virol. 2023, 97, e0050823. [Google Scholar] [CrossRef] [PubMed]
- Chilaka, V.N.; Konje, J.C. Viral Hepatitis in pregnancy. Eur. J. Obstet. Gynecol. Reprod. Biol. 2021, 256, 287–296. [Google Scholar] [CrossRef]
- Tietcheu Galani, B.R.; Ayissi Owona, V.B.; Guemmogne Temdie, R.J.; Metzger, K.; Atsama Amougou, M.; Djamen Chuisseu, P.D.; Fondjo Kouam, A.; Ngounoue Djuidje, M.; Aliouat-Denis, C.M.; Cocquerel, L.; et al. In silico and in vitro screening of licensed antimalarial drugs for repurposing as inhibitors of hepatitis E virus. In Silico Pharmacol. 2021, 9, 35. [Google Scholar] [CrossRef]
- Biliotti, E.; Franchi, C.; Spaziante, M.; Garbuglia, A.R.; Volpicelli, L.; Palazzo, D.; De Angelis, M.; Esvan, R.; Taliani, G. Autochthonous acute hepatitis E: Treatment with sofosbuvir and ribavirin. Infection 2018, 46, 725–727. [Google Scholar] [CrossRef] [PubMed]
- Nimgaonkar, I.; Archer, N.F.; Becher, I.; Shahrad, M.; LeDesma, R.A.; Mateus, A.; Caballero-Gómez, J.; Berneshawi, A.R.; Ding, Q.; Douam, F.; et al. Isocotoin suppresses hepatitis E virus replication through inhibition of heat shock protein 90. Antiviral. Res. 2021, 185, 104997. [Google Scholar] [CrossRef] [PubMed]
- Zhang, F.; Xu, L.D.; Zhang, Q.; Wang, A.; Yu, X.; Liu, S.; Chen, C.; Wu, S.; Jin, J.; Lin, A.; et al. Targeting proteostasis of the HEV replicase to combat infection in preclinical models. J. Hepatol. 2023, 78, 704–716. [Google Scholar] [CrossRef] [PubMed]
- Hooda, P.; Chaudhary, M.; Parvez, M.K.; Sinha, N.; Sehgal, D. Inhibition of Hepatitis E Virus Replication by Novel Inhibitor Targeting Methyltransferase. Viruses 2022, 14, 1778. [Google Scholar] [CrossRef]
- Li, Y.; Li, P.; Li, Y.; Zhang, R.; Yu, P.; Ma, Z.; Kainov, D.E.; de Man, R.A.; Peppelenbosch, M.P.; Pan, Q. Drug screening identified gemcitabine inhibiting hepatitis E virus by inducing interferon-like response via activation of STAT1 phosphorylation. Antivir. Res. 2020, 184, 104967. [Google Scholar] [CrossRef]
- Li, P.; Li, Y.; Wang, Y.; Liu, J.; Lavrijsen, M.; Li, Y.; Zhang, R.; Verstegen, M.M.A.; Wang, Y.; Li, T.C.; et al. Recapitulating hepatitis E virus-host interactions and facilitating antiviral drug discovery in human liver-derived organoids. Sci. Adv. 2022, 8, eabj5908. [Google Scholar] [CrossRef] [PubMed]
- Xiang, K.; Zhuang, H. Liver Organoid Potential Application for Hepatitis E Virus Infection. Adv. Exp. Med. Biol. 2023, 1417, 133–139. [Google Scholar] [CrossRef] [PubMed]
- Qian, Z.; Yang, C.; Xu, L.; Mickael, H.K.; Chen, S.; Zhang, Y.; Xia, Y.; Li, T.; Yu, W.; Huang, F. Hepatitis E virus-encoded microRNA promotes viral replication by inhibiting type I interferon. FASEB J. 2022, 36, e22104. [Google Scholar] [CrossRef]
- Costafreda, M.I.; Sauleda, S.; Riveiro-Barciela, M.; Rico, A.; Llorens-Revull, M.; Guix, S.; Pintó, R.M.; Bosch, A.; Rodríguez-Frías, F.; Rando, A.; et al. Specific Plasma MicroRNA Signatures Underlying the Clinical Outcomes of Hepatitis E Virus Infection. Microbiol. Spectr. 2023, 11, e0466422. [Google Scholar] [CrossRef]
- Zhang, S.; Qu, C.; Wang, Y.; Wang, W.; Ma, Z.; Peppelenbosch, M.P.; Pan, Q. Conservation and variation of the hepatitis E virus ORF2 capsid protein. Gene 2018, 675, 157–164. [Google Scholar] [CrossRef] [PubMed]
- Wang, B.; Meng, X.J. Structural and molecular biology of hepatitis E virus. Comput. Struct. Biotechnol. J. 2021, 19, 1907–1916. [Google Scholar] [CrossRef] [PubMed]
- Li, Y.; Huang, X.; Zhang, Z.; Li, S.; Zhang, J.; Xia, N.; Zhao, Q. Prophylactic Hepatitis E Vaccines: Antigenic Analysis and Serological Evaluation. Viruses 2020, 12, 109. [Google Scholar] [CrossRef]
- Tsarev, S.A.; Tsareva, T.S.; Emerson, S.U.; Govindarajan, S.; Shapiro, M.; Gerin, J.L.; Purcell, R.H. Successful passive and active immunization of cynomolgus monkeys against hepatitis E. Proc. Natl. Acad. Sci. USA 1994, 91, 10198–10202. [Google Scholar] [CrossRef]
- Tsarev, S.A.; Tsareva, T.S.; Emerson, S.U.; Govindarajan, S.; Shapiro, M.; Gerin, J.L.; Purcell, R.H. Recombinant vaccine against hepatitis E: Dose response and protection against heterologous challenge. Vaccine 1997, 15, 1834–1838. [Google Scholar] [CrossRef] [PubMed]
- Shrestha, M.P.; Scott, R.M.; Joshi, D.M.; Mammen, M.P., Jr.; Thapa, G.B.; Thapa, N.; Myint, K.S.; Fourneau, M.; Kuschner, R.A.; Shrestha, S.K.; et al. Safety and efficacy of a recombinant hepatitis E vaccine. N. Engl. J. Med. 2007, 356, 895–903. [Google Scholar] [CrossRef]
- Li, S.W.; Zhang, J.; Li, Y.M.; Ou, S.H.; Huang, G.Y.; He, Z.Q.; Ge, S.X.; Xian, Y.L.; Pang, S.Q.; Ng, M.H.; et al. A bacterially expressed particulate hepatitis E vaccine: Antigenicity, immunogenicity and protectivity on primates. Vaccine 2005, 23, 2893–2901. [Google Scholar] [CrossRef]
- Zhu, F.C.; Zhang, J.; Zhang, X.F.; Zhou, C.; Wang, Z.Z.; Huang, S.J.; Wang, H.; Yang, C.L.; Jiang, H.M.; Cai, J.P.; et al. Efficacy and safety of a recombinant hepatitis E vaccine in healthy adults: A large-scale, randomised, double-blind placebo-controlled, phase 3 trial. Lancet 2010, 376, 895–902. [Google Scholar] [CrossRef]
- Øverbø, J.; Aziz, A.; Zaman, K.; Clemens, J.; Halle Julin, C.; Qadri, F.; Stene-Johansen, K.; Biswas, R.; Islam, S.; Rahman Bhuiyan, T.; et al. Immunogenicity and safety of a two-dose regimen with hepatitis E virus vaccine in healthy adults in rural Bangladesh: A randomized, double-blind, controlled, phase 2/pilot trial. Vaccine 2023, 41, 1059–1066. [Google Scholar] [CrossRef]
- Cao, Y.F.; Tao, H.; Hu, Y.M.; Shi, C.B.; Wu, X.; Liang, Q.; Chi, C.P.; Li, L.; Liang, Z.L.; Meng, J.H.; et al. A phase 1 randomized open-label clinical study to evaluate the safety and tolerability of a novel recombinant hepatitis E vaccine. Vaccine 2017, 35, 5073–5080. [Google Scholar] [CrossRef] [PubMed]
- Poddighe, D.; Sazonov, V. Acute acalculous cholecystitis in children. World J. Gastroenterol. 2018, 24, 4870–4879. [Google Scholar] [CrossRef]
- Chang, C.H.; Wang, Y.Y.; Jiao, Y. Hepatitis A virus-associated acute acalculous cholecystitis in an adult-onset Still’s disease patient: A case report and review of the literature. World J. Clin. Cases 2023, 11, 1410–1418. [Google Scholar] [CrossRef] [PubMed]
- Mourani, S.; Dobbs, S.M.; Genta, R.M.; Tandon, A.K.; Yoffe, B. Hepatitis A virus-associated cholecystitis. Ann. Intern. Med. 1994, 120, 398–400. [Google Scholar] [CrossRef]
- Ciftci, A.O.; Karnak, I.; Tanyel, F.C. The association of hepatitis A virus infection, acalculous cholecystitis, and blunt abdominal trauma: A diagnostic challenge. J. Pediatr. Gastroenterol. Nutr. 2001, 32, 92–94. [Google Scholar] [CrossRef] [PubMed]
- Ozaras, R.; Mert, A.; Yilmaz, M.H.; Celik, A.D.; Tabak, F.; Bilir, M.; Ozturk, R. Acute viral cholecystitis due to hepatitis A virus infection. J. Clin. Gastroenterol. 2003, 37, 79–81. [Google Scholar] [CrossRef] [PubMed]
- Başar, O.; Kisacik, B.; Bozdogan, E.; Yolcu, O.F.; Ertugrul, I.; Köklü, S. An unusual cause of acalculous cholecystitis during pregnancy: Hepatitis A virus. Dig. Dis. Sci. 2005, 50, 1532. [Google Scholar] [CrossRef]
- Bouyahia, O.; Khelifi, I.; Bouafif, F.; Mazigh Mrad, S.; Gharsallah, L.; Boukthir, S.; Sammoud El Gharbi, A. Hepatitis A: A rare cause of acalculous cholecystitis in children. Med. Mal. Infect. 2008, 38, 34–35. [Google Scholar] [CrossRef]
- Arroud, M.; Benmiloud, S.; Oudghiri, B.; Afifi, M.A.; Hida, M.; Bouabdallah, Y. Acute acalculous cholecystitis revealing hepatitis A virus infection in children. Saudi J. Gastroenterol. 2009, 15, 277. [Google Scholar] [CrossRef]
- Souza, L.J.; Braga, L.C.; Rocha Nde, S.; Tavares, R.R. Acute acalculous cholecystitis in a teenager with hepatitis a virus infection: A case report. Braz. J. Infect. Dis. 2009, 13, 74–76. [Google Scholar] [CrossRef] [PubMed]
- Herek, O.; Cördük, N.; Herek, D.; Bagci, S. Acute acalculous cholecystitis due to hepatitis A infection in a child: A rare cause of acute abdomen. Ann. Afr. Med. 2011, 10, 193–195. [Google Scholar] [CrossRef]
- Prashanth, G.P.; Angadi, B.H.; Joshi, S.N.; Bagalkot, P.S.; Maralihalli, M.B. Unusual cause of abdominal pain in pediatric emergency medicine. Pediatr. Emerg. Care 2012, 28, 560–561. [Google Scholar] [CrossRef] [PubMed]
- Kaya, S.; Eskazan, A.E.; Ay, N.; Baysal, B.; Bahadir, M.V.; Onur, A.; Duymus, R. Acute Acalculous Cholecystitis due to Viral Hepatitis A. Case Rep. Infect. Dis. 2013, 2013, 407182. [Google Scholar] [CrossRef] [PubMed]
- Aldaghi, M.; Haghighat, M.; Dehghani, S.M. Gallbladder hydrops due to viral hepatitis A infection: A case report. Jundishapur. J. Microbiol. 2014, 8, e15779. [Google Scholar] [CrossRef]
- Salajegheh, F.; Shafieipour, S.; Najminejad, Z.; Pourzand, P.; Nakhaie, M.; Jahangiri, S.; Sarmadian, R.; Gilani, A.; Rukerd, M.R.Z. HAV-induced acalculous cholecystitis: A case report and literature review. Clin. Case Rep. 2023, 25, e7254. [Google Scholar] [CrossRef]
- Takeshita, S.; Nakamura, H.; Kawakami, A.; Fukushima, T.; Gotoh, T.; Ichikawa, T.; Tsujino, A.; Ida, H.; Toriyama, K.; Hayashi, T.; et al. Hepatitis B-related polyarteritis nodosa presenting necrotizing vasculitis in the hepatobiliary system successfully treated with lamivudine, plasmapheresis and glucocorticoid. Intern. Med. 2006, 45, 145–149. [Google Scholar] [CrossRef][Green Version]
- Omar, A.; Osman, M.; Bonnet, G.; Ghamri, N. Acute acalculous cholecystitis caused by Hepatitis C: A rare case report. Int. J. Surg. Case Rep. 2016, 19, 78–81. [Google Scholar] [CrossRef]
- Fujioka, K.; Nishimura, T.; Seki, M.; Kinoshita, M.; Mishima, N.; Irimajiri, S.; Yamato, M. Genotype 1 hepatitis E virus infection with acute acalculous cholecystitis as an extrahepatic symptom: A case report. Trop. Med. Health 2016, 44, 18. [Google Scholar] [CrossRef] [PubMed]
- Piza Palacios, L.; Espinoza-Ríos, J. Hepatitis A and hepatitis E virus co-infection with right pleural effusion, ascites and acute acalculous cholecystitis. A case report. Rev. Gastroenterol. Peru 2020, 40, 77–79. [Google Scholar] [CrossRef] [PubMed]
- Lee, B.S.; Park, E.C.; Park, S.W.; Nam, C.M.; Roh, J. Hepatitis B virus infection, diabetes mellitus, and their synergism for cholangiocarcinoma development: A case-control study in Korea. World J. Gastroenterol. 2015, 21, 502–510. [Google Scholar] [CrossRef] [PubMed]
- Cho, I.R.; Yi, S.W.; Choi, J.S.; Yi, J.J. Comparison of Risk Factors for Cholangiocarcinoma and Hepatocellular Carcinoma: A Prospective Cohort Study in Korean Adults. Cancers 2022, 14, 1709. [Google Scholar] [CrossRef] [PubMed]
- Wijarnpreecha, K.; Thongprayoon, C.; Panjawatanan, P.; Manatsathit, W.; Ungprasert, P. Hepatitis B virus infection and risk of gallstones: A systematic review and meta-analysis. Eur. J. Gastroenterol. Hepatol. 2016, 28, 1437–1442. [Google Scholar] [CrossRef]
- Bini, E.J.; McGready, J. Prevalence of gallbladder disease among persons with hepatitis C virus infection in the United States. Hepatology 2005, 41, 1029–1036. [Google Scholar] [CrossRef]
- Stroffolini, T.; Sagnelli, E.; Mele, A.; Cottone, C.; Almasio, P.L.; Italian Hospitals’ Collaborating Group. HCV infection is a risk factor for gallstone disease in liver cirrhosis: An Italian epidemiological survey. J. Viral Hepat. 2007, 14, 618–623. [Google Scholar] [CrossRef]
- Acalovschi, M.; Buzas, C.; Radu, C.; Grigorescu, M. Hepatitis C virus infection is a risk factor for gallstone disease: A prospective hospital-based study of patients with chronic viral C hepatitis. J. Viral Hepat. 2009, 16, 860–866. [Google Scholar] [CrossRef]
- Shah, S.I.; Shah, S.; Hannan, A. Hepatitis C—A risk factor for gallstone disease. J. Ayub. Med. Coll. Abbottabad. 2014, 26, 84–87. [Google Scholar]
- Zhang, F.M.; Chen, L.H.; Chen, H.T.; Shan, G.D.; Hu, F.L.; Yang, M.; Chen, W.G.; Xu, G.Q. Hepatitis C Virus Infection Is Positively Associated with Gallstones in Liver Cirrhosis. Digestion 2016, 93, 221–228. [Google Scholar] [CrossRef] [PubMed]
- Wijarnpreecha, K.; Thongprayoon, C.; Panjawatanan, P.; Lekuthai, N.; Ungprasert, P. Hepatitis C virus infection and risk of gallstones: A meta-analysis. J. Evid. Based Med. 2017, 10, 263–270. [Google Scholar] [CrossRef]
- Li, X.; Gao, P. Hepatitis C Virus Infection Increases Risk of Gallstone Disease in Elderly Chinese Patients with Chronic Liver Disease. Sci. Rep. 2018, 8, 4636. [Google Scholar] [CrossRef] [PubMed]
- Karlsson, M.; Norder, H.; Bergström, M.; Park, P.O.; Karlsson, M.; Wejstål, R.; Alsiö, Å.; Rosemar, A.; Lagging, M.; Mellgren, Å. Hepatitis E virus genotype 3 is associated with gallstone-related disease. Scand. J. Gastroenterol. 2019, 54, 1269–1273. [Google Scholar] [CrossRef] [PubMed]
- Hsing, A.W.; Gao, Y.T.; McGlynn, K.A.; Niwa, S.; Zhang, M.; Han, T.Q.; Wang, B.S.; Chen, J.; Sakoda, L.C.; Shen, M.C.; et al. Biliary tract cancer and stones in relation to chronic liver conditions: A population-based study in Shanghai, China. Int. J. Cancer 2007, 120, 1981–1985. [Google Scholar] [CrossRef]
- Iber, F.L.; Caruso, G.; Polepalle, C.; Kuchipudi, V.; Chinoy, M. Increasing prevalence of gallstones in male veterans with alcoholic cirrhosis. Am. J. Gastroenterol. 1990, 85, 1593–1596. [Google Scholar]
- Acalovschi, M.; Badea, R.; Pascu, M. Incidence of gallstones in liver cirrhosis. Am. J. Gastroenterol. 1991, 86, 1179–1181. [Google Scholar] [PubMed]
- Mallick, B.; Anand, A.C. Gallstone Disease in Cirrhosis-Pathogenesis and Management. J. Clin. Exp. Hepatol. 2022, 12, 551–559. [Google Scholar] [CrossRef]
- Prat, F.; Tennenbaum, R.; Ponsot, P.; Altman, C.; Pelletier, G.; Fritsch, J.; Choury, A.D.; Bernades, P.; Etienne, J.P. Endoscopic sphincterotomy in patients with liver cirrhosis. Gastrointest. Endosc. 1996, 43, 127–131. [Google Scholar] [CrossRef]
- Mashiana, H.S.; Dhaliwal, A.S.; Sayles, H.; Dhindsa, B.; Yoo, J.W.; Wu, Q.; Singh, S.; Siddiqui, A.A.; Ohning, G.; Girotra, M.; et al. Endoscopic retrograde cholangiopancreatography in cirrhosis—A systematic review and meta-analysis focused on adverse events. World J. Gastrointest. Endosc. 2018, 10, 354–366. [Google Scholar] [CrossRef]
- Omata, M.; Ito, Y.; Imazeki, F.; Mori, J.; Yokosuka, O.; Okuda, K.; Mushahwar, I.K. Infection with delta agent in Japan. Hepatogastroenterology 1985, 32, 220–223. [Google Scholar]
- Arakawa, Y.; Moriyama, M.; Taira, M.; Hayashi, N.; Tanaka, N.; Okubo, H.; Sugitani, M. Molecular analysis of hepatitis D virus infection in Miyako Island, a small Japanese island. J. Viral Hepat. 2000, 7, 375–381. [Google Scholar] [CrossRef] [PubMed]
- Razavi, H.A.; Buti, M.; Terrault, N.A.; Zeuzem, S.; Yurdaydin, C.; Tanaka, J.; Aghemo, A.; Akarca, U.S.; Al Masri, N.M.; Alalwan, A.M.; et al. Hepatitis D double reflex testing of all hepatitis B carriers in low-HBV- and high-HBV/HDV-prevalence countries. J. Hepatol. 2023, 79, 576–580. [Google Scholar] [CrossRef] [PubMed]
- Sasaki, T.; Suda, G.; Ohara, M.; Hosoda, S.; Kawagishi, N.; Kohya, R.; Yoda, T.; Maehara, O.; Ohnishi, S.; Yoshida, S.; et al. Recent prevalence and characteristics of patients with hepatitis delta virus in Hokkaido, Japan. Hepatol. Res. 2023, 53, 960–967. [Google Scholar] [CrossRef]
- Coppola, N.; Alessio, L.; Onorato, L.; Sagnelli, C.; Sagnelli, E.; Pisaturo, M. HDV infection in immigrant populations. J. Med. Virol. 2019, 91, 2049–2058. [Google Scholar] [CrossRef]
- Tseligka, E.D.; Clément, S.; Negro, F. HDV Pathogenesis: Unravelling Ariadne’s Thread. Viruses 2021, 13, 778. [Google Scholar] [CrossRef] [PubMed]
- Zhang, Z.; Urban, S. New insights into HDV persistence: The role of interferon response and implications for upcoming novel therapies. J. Hepatol. 2021, 74, 686–699. [Google Scholar] [CrossRef]
- Elazar, M.; Glenn, J.S. Combination of Novel Therapies for HDV. Viruses 2022, 14, 268. [Google Scholar] [CrossRef] [PubMed]
- Mateo, R.; Xu, S.; Shornikov, A.; Yazdi, T.; Liu, Y.; May, L.; Han, B.; Han, D.; Martin, R.; Manhas, S.; et al. Broad-spectrum activity of bulevirtide against clinical isolates of HDV and recombinant pan-genotypic combinations of HBV/HDV. JHEP Rep. 2023, 5, 100893. [Google Scholar] [CrossRef]
- Negro, F.; Lok, A.S. Hepatitis D: A Review. JAMA 2023. online ahead of print. [Google Scholar] [CrossRef]
- Heuschkel, M.J.; Bach, C.; Meiss-Heydmann, L.; Gerges, E.; Felli, E.; Giannone, F.; Pessaux, P.; Schuster, C.; Lucifora, J.; Baumert, T.F.; et al. JAK1 promotes HDV replication and is a potential target for antiviral therapy. J. Hepatol. 2023, in press. [Google Scholar] [CrossRef] [PubMed]



| Item | Value | Item | Value | Item | Value |
|---|---|---|---|---|---|
| WBC | 4400/µL | AST | 964 IU/L | Amylase | 276 IU/L |
| Hemoglobin | 11.3 g/dL | ALT | 843 IU/L | HBsAg | Positive |
| Platelets | 136,000/µL | LDH | 282 IU/L | Anti-HBc | Positive |
| Neutrophils | 48% | ALP | 662 IU/L | IgM anti-HBc | Negative |
| Eosinophils | 1.0% | γ-GTP | 172 IU/L | HBV DNA | 1.0 LIU/mL |
| Monocytes | 18% | CK | 80 U/mL | Anti-HCV | Negative |
| Lymphocytes | 29% | T. Bil | 6.1 mg/dL | IgM anti-HAV | Negative |
| Atypical Lymphocytes | 4.0% | D. Bil | 5.0 mg/dL | IgA anti-HEV | Positive |
| PT | 100% | TP | 7.6 g/dL | HEV RNA | Positive |
| PT-INR | 0.92 | Albumin | 3.4 g/dL | HEV Genotype | 3b |
| Glucose | 94 mg/dL | T. CHO | 141 mg/dL | Anti-HIV | Negative |
| HbA1c | 6.4% | TG | 207 mg/dL | ANA | 80-fold |
| AFP | 1.9 ng/mL | BUN | 27 mg/dL | IgG | 2243 mg/dL |
| PIVKA-II | 27 mAU/mL | Creatinine | 1.0 mg/dL | IgA | 481 mg/dL |
| SARS-CoV-2 antigen | Negative | CRP | 2.33 mg/dL | IgM | 265 mg/dL |
Disclaimer/Publisher’s Note: The statements, opinions and data contained in all publications are solely those of the individual author(s) and contributor(s) and not of MDPI and/or the editor(s). MDPI and/or the editor(s) disclaim responsibility for any injury to people or property resulting from any ideas, methods, instructions or products referred to in the content. |
© 2023 by the authors. Licensee MDPI, Basel, Switzerland. This article is an open access article distributed under the terms and conditions of the Creative Commons Attribution (CC BY) license (https://creativecommons.org/licenses/by/4.0/).
Share and Cite
Hirano, R.; Kanda, T.; Honda, M.; Arima, S.; Totsuka, M.; Masuzaki, R.; Kanezawa, S.; Sasaki-Tanaka, R.; Matsumoto, N.; Yamagami, H.; et al. Hepatitis E Virus Infection Caused Elevation of Alanine Aminotransferase Levels in a Patient with Chronic Hepatitis B and Choledocholithiasis. Reports 2023, 6, 55. https://doi.org/10.3390/reports6040055
Hirano R, Kanda T, Honda M, Arima S, Totsuka M, Masuzaki R, Kanezawa S, Sasaki-Tanaka R, Matsumoto N, Yamagami H, et al. Hepatitis E Virus Infection Caused Elevation of Alanine Aminotransferase Levels in a Patient with Chronic Hepatitis B and Choledocholithiasis. Reports. 2023; 6(4):55. https://doi.org/10.3390/reports6040055
Chicago/Turabian StyleHirano, Rei, Tatsuo Kanda, Masayuki Honda, Shuhei Arima, Mai Totsuka, Ryota Masuzaki, Shini Kanezawa, Reina Sasaki-Tanaka, Naoki Matsumoto, Hiroaki Yamagami, and et al. 2023. "Hepatitis E Virus Infection Caused Elevation of Alanine Aminotransferase Levels in a Patient with Chronic Hepatitis B and Choledocholithiasis" Reports 6, no. 4: 55. https://doi.org/10.3390/reports6040055
APA StyleHirano, R., Kanda, T., Honda, M., Arima, S., Totsuka, M., Masuzaki, R., Kanezawa, S., Sasaki-Tanaka, R., Matsumoto, N., Yamagami, H., Ishii, T., Ogawa, M., Nomura, S., Fujisawa, M., Saito, K., Takahashi, M., Okamoto, H., & Kogure, H. (2023). Hepatitis E Virus Infection Caused Elevation of Alanine Aminotransferase Levels in a Patient with Chronic Hepatitis B and Choledocholithiasis. Reports, 6(4), 55. https://doi.org/10.3390/reports6040055

