Abstract
Metallic ureteric stents are increasingly used for the management of malignant ureteric obstruction, a commonly encountered complication in urological and other malignancies. However, there has been limited evaluation of complications associated with these stents, including those that might arise from the use of magnetic resonance imaging (MRI). While most devices are deemed nominally “MRI-safe,” their implication on the quality of imaging produced has not been evaluated in clinical trials, and in our practice, significant artefact has been encountered with some ureteric stents—specifically, the Teleflex Rüsch DD tumour stent—compromising image quality and diagnostic certainty.
In managing malignant ureteric obstruction, metal or metal-incorporating stents are an increasingly popular option, owing to evidence suggesting improved patency compared with conventional polymeric stents[1]. In our practice, 44% of patients undergoing ureteral stenting between March 2017 and March 2018 (n = 77) had one or more metallic stents inserted.
Depending on the malignancy, a significant proportion of patients undergoing stenting will require further pelvic magnetic resonance imaging (MRI) for staging or re-staging. This is particularly the case in the management of rectal cancer. While all the stents are certified MRI-safe, their effect on the quality of MRI images produced has not been fully elucidated. MRI compatibility has largely focused on energy absorption and safety within MRI systems; however, their effect on the quality of diagnostic imaging has received limited mention.
Metals produce aberrancy within MRI images through several mechanisms[2,3]:
- Inhomogeneities in the strong magnetic field, produced by paramagnetic/ferromagnetic components.
- Frequency-encoding misregistration, due to changes in frequency of dephasing.
- Signal loss, due to increase in the rate of T2 phase decay.
- Failure of fat suppression, owing to the effect of metallic implants on the resonance frequency of nearby fat.
The following factors contribute to the extent of artefact formed[3]:
- The size of metallic implant.
- Specific composition of the implant.
- Artefact worsens with ferromagnetic implants (steel, iron) compared with those of paramagnetic or diamagnetic metals (titanium, platinum, copper).
- Most ureteral stents incorporate nitinol into their structure—a proven MRI-safe nickel-titanium alloy with limited ferromagnetism. Developed in 1963, it is used widely in implantable biomedical devices across all specialties, including surgery, cardiology,and interventional radiology[4].
- The orientation of the implant relative to the strong magnetic field.
While ureteral stents produce markedly less artefact than larger metallic implants (such as joint prostheses), their location (particularly where MRI of the pelvis is concerned) can have impact on diagnosis and staging. In MRI of pelvic cancer, the posterior relation of the stented ureter may impact the diagnostic imaging produced[5] (Figure 1).
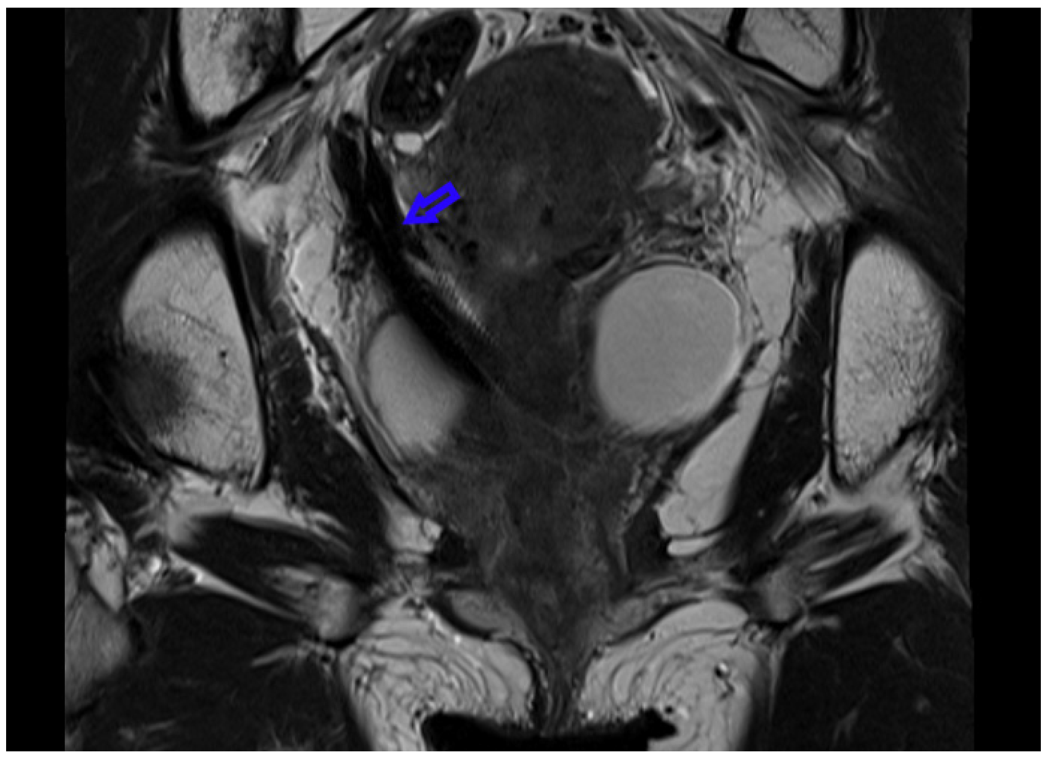
Figure 1.
Gross stent-related artefact on coronal MRI of patient with Teleflex Rüsch DD Tumour Stent in situ.
The Figures (using the Teleflex Rüsch DD Tumour Stent) highlight the potential for metallic stents to produce clinically significant artefact. The patient is a 39-year-old woman with metastatic squamous cell carcinoma of the cervix, with locally advanced pelvic disease, and retroperitoneal metastasis. She presented with malignant right ureteric obstruction and urosepsis. The ureteric stent was inserted to improve drainage while on chemotherapy, and management of malignant obstructive uropathy.
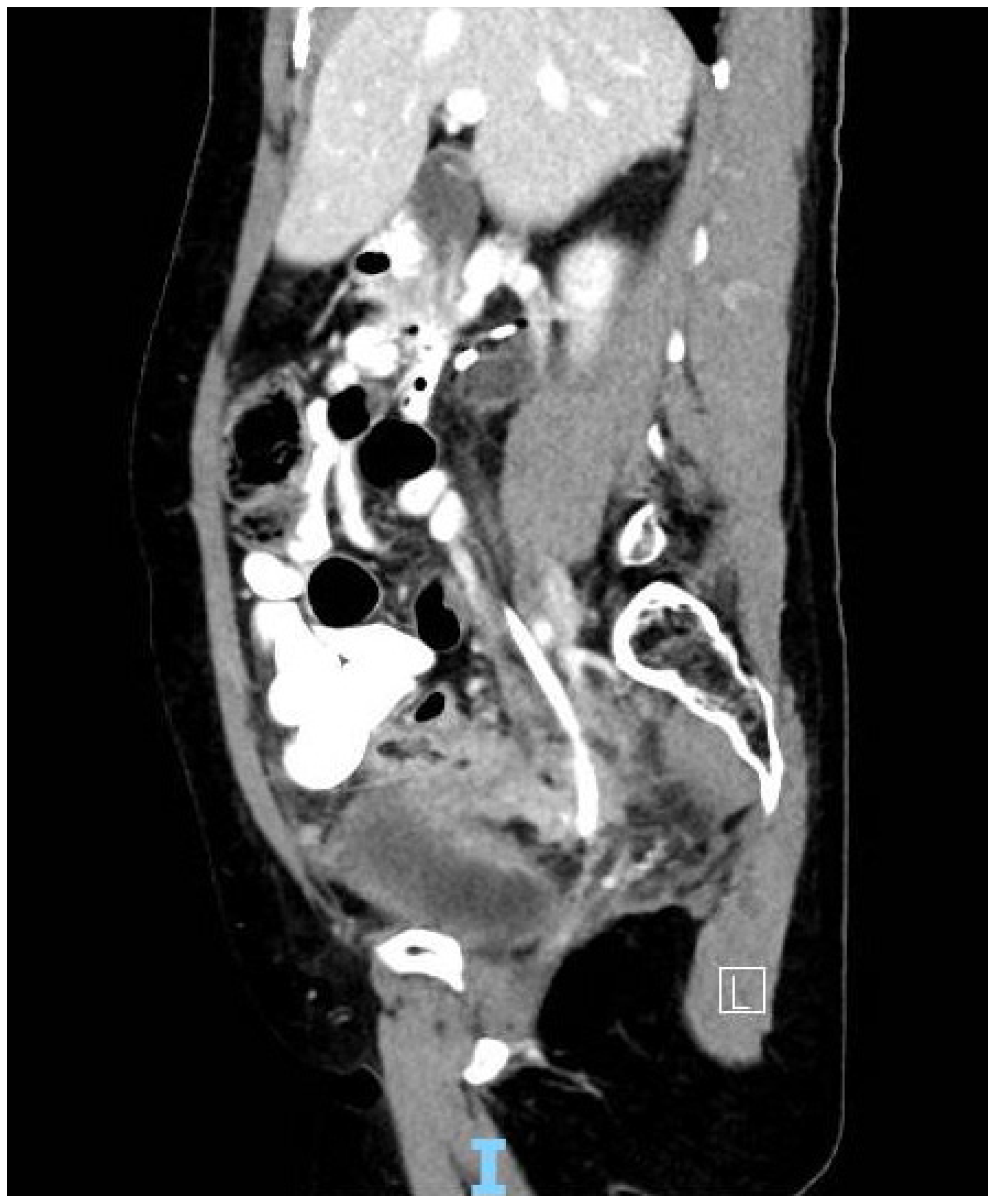
In patients such as the above, the role of MRI is multi- faceted, in that it is used for treatment planning, local staging, and for consideration of radical salvage surgery (for example, anterior or total pelvic exenteration, which is offered at this centre). As seen on this re-staging study, the artefact produced by the stainless steel cross- braiding component of the stent markedly compromises image quality, and with it, diagnostic certainty. A similar effect is not seen in CT imaging (Figure 2).
Figure 2.
CT of patient with Teleflex Rüsch DD Tumour Stent in situ.
Limited high-quality studies exist in comparing the current array of metallic stents available, including evaluation of their impact on imaging; a 2018 systematic review by Khoo et al.[6] found high heterogeneity in 21 studies evaluated, and an overall “low quality of evidence” in evaluating efficacy. This was echoed in the 2021 review by Corrales et al.[7]. Significantly, no randomized controlled trials exist to evaluate outcomes between devices, and none of the existing literature considers impact on imaging.
The MRI compatibility and safety information for the available stents (provided by the manufacturers, and regulatory bodies) also differs. For example, Resonance is a full-metallic stent (compared with alternatives, which are silicon polymer with metallic framework—for example, Rüsch Tumour Stents, used commonly at our institution). Manufacturer specification states that the device is “MR conditional,” stipulating the following:
- A spatial gradient field (SGF) ≤450 Gauss/cm.
- Whole-body averaged specific absorption rate (SAR) of 1.5W/kg for 20mins, with an associated temperature rise < 0.800C.
Within these constraints, however, the manufacturer nevertheless acknowledges that image quality may be compromised when the area of interest relatively close to the position of the stent, with an artefact radius approximately 16mm per manufacturer testing protocol[8].
Manufacturers of other metallic stents do not provide a similar level of detail with respect to their MRI compatibility; most are classified as MRI-safe (Table 1). The only exception is the Teleflex Rüsch DD stent: during post-marketing surveillance, the manufacturer has released new advice recommending that MRI not be performed. The manufacturer has reaffirmed, however, that the product is MRI-safe, and that further testing is currently being undertaken. For patients with Rüsch stents already implanted, however, the options are limited to stent exchange (if required); given the significant impact on imaging, most of these patients cannot be offered MRI with stents in situ.
While corrective techniques exist to account for these artefacts, there is limited research on the potential for clinically significant degradation in image quality.
Given the role that MRI plays in the diagnosis and staging of malignancy, particularly pelvic malignancy, the artefact produced by ureteral stents has the potential to compromise MRI as a diagnostic/staging tool. Of particular concern is the potential for under-staging of cancer because the extent of peri-ureteral invasion may not be fully apparent.
Further clarification is required on the part of manufacturers regarding the effect of metallic ureteral stents on MRI imaging. Clinicians in centres where such devices are implanted should be aware of these limitations before inserting these stents.
Conflicts of Interest
None declared.
References
- Asakawa, J.; Iguchi, T.; Tamada, S.; Ninomiya, N.; Kato, M.; Yamasaki, T.; et al. Treatment outcomes of ureteral stenting for malignant extrinsic ureteral obstruction: a comparison between polymeric and metallic stents. Cancer Manag Res. 2018, 10, 2977–2982. [Google Scholar] [CrossRef] [PubMed]
- Hargreaves, B.A.; Worters, P.W.; Pauly, K.B.; Pauly, J.M.; Koch, K.M.; Gold, G.E. Metal-induced artifacts in MRI. AJR Am J Roentgenol. 2011, 197, 547–555. [Google Scholar] [CrossRef] [PubMed]
- Fowler, K.J.; Maxwell, J.; Saad, N.E.; Yano, M.; Raptis, C.; Menias, C.; et al. Magnetic resonance imaging of iatrogeny: understanding imaging artifacts related to medical devices. Abdom Imaging 2014, 39, 411–423. [Google Scholar] [CrossRef] [PubMed]
- Szold, A. Nitinol: shape-memory and super-elastic materials in surgery. Surg Endosc. 2006, 20, 1493–1496. [Google Scholar] [CrossRef] [PubMed]
- Chin, K. Coronal magnetic resonance image of patient with Teleflex Rüsch DD Tumour Stent In Situ; Peter MacCallum Cancer Centre: Melbourne, VIC, Australia, 2019. [Google Scholar]
- Khoo, C.C.; Abboudi, H.; Cartwright, R.; El-Husseiny, T.; Dasgupta, R. Metallic ureteric stents in malignant ureteric obstruction: A systematic review. Urology. 2018, 118, 12–20. [Google Scholar] [CrossRef] [PubMed]
- Corrales, M.; Doizi, S.; Barghouthy, Y.; Kamkoum, H.; Somani, B.; Traxer, O. A systematic review of long-duration stents for ureteral stricture: which one to choose? World J. Urol. Online ahead of print. 2021. [Google Scholar]
- Teleflex Rüsch Tumour Stents. Manufacturer specifications. Teleflex Medical Australia.
This is an open access article under the terms of a license that permits non-commercial use, provided the original work is properly cited. © 2021 The Authors. Société Internationale d'Urologie Journal, published by the Société Internationale d'Urologie, Canada.

