Prosopagnosia, Other Specific Cognitive Deficits, and Behavioral Symptoms: Comparison between Right Temporal and Behavioral Variant of Frontotemporal Dementia
Abstract
1. Introduction
2. Materials and Methods
Statistical Analysis
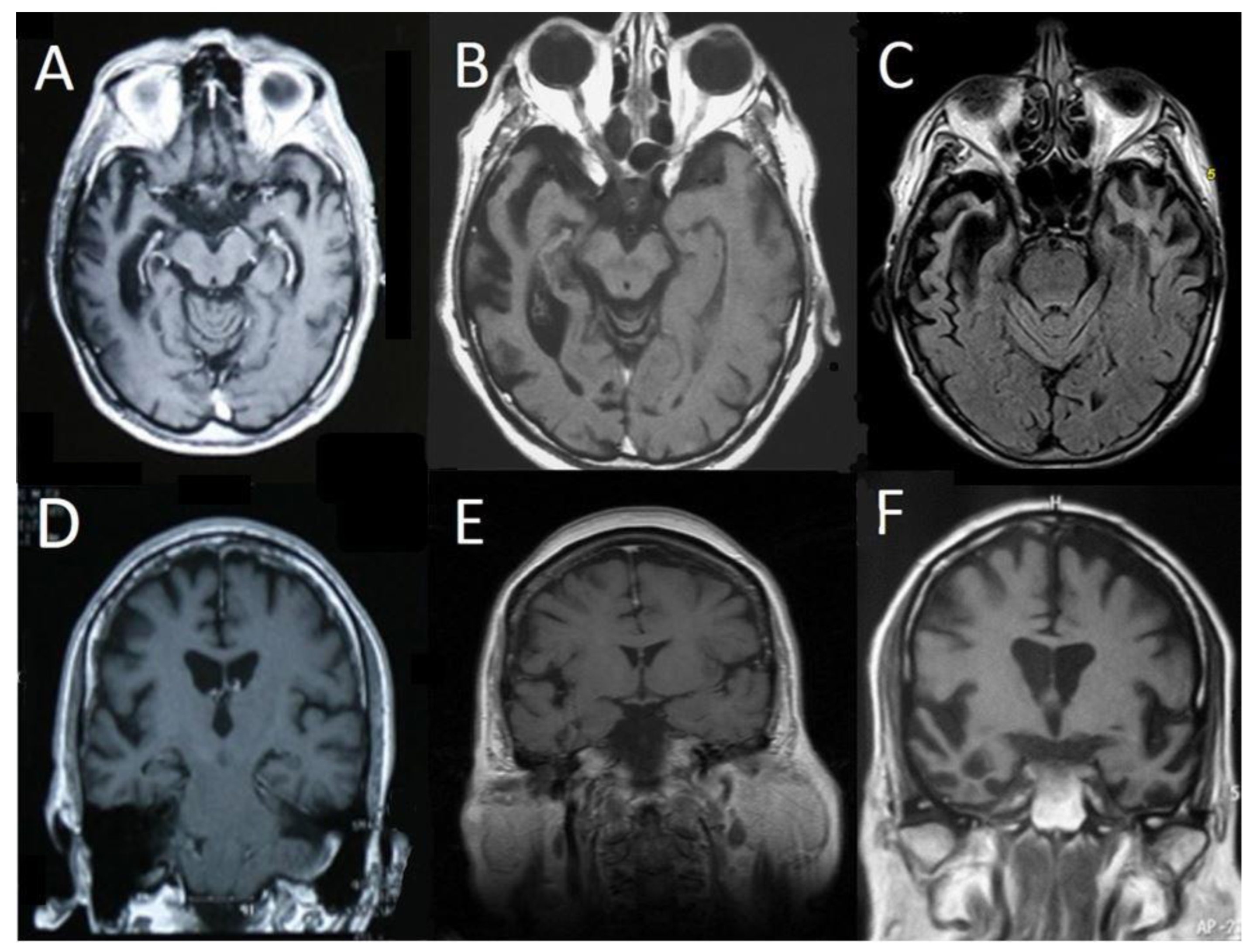
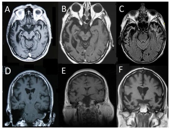
3. Results
3.1. Prevalence and Timing of Symptoms in the rtv-FTD Group
3.2. Comparison between rtv-FTD and bv-FTD Patients
4. Discussion
5. Conclusions
Author Contributions
Funding
Institutional Review Board Statement
Informed Consent Statement
Data Availability Statement
Acknowledgments
Conflicts of Interest
References
- Hernandez, I.; Fernandez, M.V.; Tarraga, L.; Boada, M.; Ruiz, A. Frontotemporal Lobar Degeneration (FTLD): Review and Update for Clinical Neurologists. Curr. Alzheimer Res. 2018, 15, 511–530. [Google Scholar] [CrossRef] [PubMed]
- Rascovsky, K.; Hodges, J.R.; Knopman, D.; Mendez, M.F.; Kramer, J.H.; Neuhaus, J.; Van Swieten, J.C.; Seelaar, H.; Dopper, E.G.P.; Onyike, C.U.; et al. Sensitivity of revised diagnostic criteria for the behavioural variant of frontotemporal dementia. Brain 2011, 134, 2456–2477. [Google Scholar] [CrossRef] [PubMed]
- Valente, E.S.; Caramelli, P.; Gambogi, L.B.; Mariano, L.I.; Guimarães, H.C.; Teixeira, A.L.; de Souza, L.C. Phenocopy syndrome of behavioral variant frontotemporal dementia: A systematic review. Alzheimers Res. Ther. 2019, 1, 30. [Google Scholar] [CrossRef] [PubMed]
- Chan, D.; Anderson, V.; Pijnenburg, Y.; Whitwell, J.; Barnes, J.; Scahill, R.; Stevens, J.M.; Barkhof, F.; Scheltens, P.; Rossor, M.N.; et al. The clinical profile of right temporal lobe atrophy. Brain 2009, 132, 1287–1298. [Google Scholar] [CrossRef] [PubMed]
- Snowden, J.S.; Harris, J.M.; Thompson, J.C.; Kobylecki, C.; Jones, M.; Richardson, A.M.; Neary, D. Semantic dementia and the left and right temporal lobes. Cortex 2018, 107, 188–203. [Google Scholar] [CrossRef]
- Henry, M.L.; Wilson, S.M.; Ogar, J.M. Neuropsychological, behavioral, and anatomical evolution in right temporal variant frontotemporal dementia: A longitudinal and post-mortem single case analysis. Neurocase 2014, 20, 100–109. [Google Scholar] [CrossRef]
- Albonico, A.; Barton, J. Progress in perceptual research: The case of prosopagnosia. F1000Research 2019, 31, 8. [Google Scholar] [CrossRef]
- Seeley, W.W.; Bauer, A.M.; Miller, B.L.; Gorno-Tempini, M.L.; Kramer, J.H.; Weiner, M.; Rosen, H.J. The natural history of temporal variant frontotemporal dementia. Neurology 2005, 64, 1384–1390. [Google Scholar] [CrossRef]
- Thompson, S.A.; Patterson, K.; Hodges, J.R. Left/right asymmetry of atrophy in semantic dementia: Behavioral-cognitive implications. Neurology 2003, 61, 1196–1203. [Google Scholar] [CrossRef]
- Jacobs, D.M.; Albert, S.M.; Sano, M.; del Castillo-Castañeda, C.; Paik, M.C.; Marder, K.; Bell, K.; Brandt, J.; Albert, M.S.; Stern, Y. Assessment of cognition in advanced AD: The test for severe impairment. Neurology 1999, 52, 1689–1691. [Google Scholar] [CrossRef]
- Dubois, B.; Touchon, J.; Portet, F.; Ousset, P.J.; Vellas, B.; Michel, B. The 5 words: A simple and sensitive test for the diagnosis of Alzheimer’s disease. Presse Med. 2002, 31, 1696–1699. [Google Scholar] [PubMed]
- Papageorgiou, S.G.; Economou, A.; Routsis, C. The 5 Objects Test: A novel, minimal-language, memory screening test. J. Neurol. 2014, 261, 422–431. [Google Scholar] [CrossRef] [PubMed]
- Dubois, B.; Slachevsky, A.; Litvan, I.; Pillon, B. The FAB: A Frontal Assessment Battery at bedside. Neurology 2000, 55, 1621–1626. [Google Scholar] [CrossRef] [PubMed]
- Cummings, J.L.; Mega, M.; Gray, K.; Rosenberg-Thompson, S.; Carusi, D.A.; Gornbein, J. The Neuropsychiatric Inventory: Comprehensive assessment of psychopathology in dementia. Neurology 1994, 44, 2308–2314. [Google Scholar] [CrossRef] [PubMed]
- Kertesz, A.; Davidson, W.; Fox, H. Frontal behavioral inventory: Diagnostic criteria for frontal lobe dementia. Can. J. Neurol Sci. 1997, 24, 29–36. [Google Scholar] [CrossRef] [PubMed]
- Berg, L. Clinical Dementia Rating (CDR). Psychopharmacol. Bull. 1998, 24, 637–639. [Google Scholar]
- Lawton, M.P.; Brody, E.M. Assessment of older people: Self-maintaining and instrumental activities of daily living. Gerontologist 1969, 9, 179–186. [Google Scholar] [CrossRef]
- Ioannidis, P.; Konstantinopoulou, E.; Maiovis, P.; Karacostas, D. The frontotemporal dementias in a tertiary referral center: Classification and demographic characteristics in a series of 232 cases. J. Neurol. Sci. 2012, 318, 171–173. [Google Scholar] [CrossRef]
- Snowden, J.S.; Thompson, J.C.; Neary, D. Famous people knowledge and the right and left temporal lobes. Behav. Neurol. 2012, 25, 35–44. [Google Scholar] [CrossRef]
- Busigny, T.; Robaye, L.; Dricot, L. Right anterior temporal lobe atrophy and person-based semantic defect: A detailed case study. Neurocase 2009, 15, 485–508. [Google Scholar] [CrossRef]
- Hailstone, J.C.; Ridgway, G.R.; Bartlett, J.W. eVoice processing in dementia: A neuropsychological and neuroanatomical analysis. Brain 2011, 134, 2535–2547. [Google Scholar] [CrossRef] [PubMed]
- Dara, C.; Kirsch-Darrow, L.; Ochfeld, E. Impaired emotion processing from vocal and facial cues in frontotemporal dementia compared to right hemisphere stroke. Neurocase 2003, 19, 521–529. [Google Scholar] [CrossRef] [PubMed]
- Mychack, P.; Kramer, J.H.; Boone, K.B. The influence of right frontotemporal dysfunction on social behavior in frontotemporal dementia. Neurology 2001, 56 (Suppl. 4), S11–S15. [Google Scholar] [CrossRef] [PubMed]
- Coon, E.A.; Whitwell, J.L.; Parisi, J.E.; Dickson, D.W.; Josephs, K.A. Right temporal variant frontotemporal dementia with motor neuron disease. J. Clin. Neurosci. 2012, 19, 85–91. [Google Scholar] [CrossRef]
- Lillo, P.; Hodges, J.R. Frontotemporal dementia and motor neurone disease: Overlapping clinic-pathological disorders. J. Clin. Neurosci. 2012, 16, 1131–1135. [Google Scholar] [CrossRef]
- Pleizier, C.M.; van der Vlies, A.E.; Koedam, E.; Koene, T.; Barkhof, F.; van der Flier, W.M.; Scheltens, P.; Pijnenburg, Y. Episodic memory and the medial temporal lobe: Not all it seems. Evidence from the temporal variants of frontotemporal dementia. J. Neurol. Neurosurg. Psychiatry 2009, 83, 1145–1148. [Google Scholar] [CrossRef] [PubMed]
- Yassuda, M.S.; Lima da Silva, T.B.; O’Connor, C.M.; Mekala, S.; Alladi, S.; Bahia, V.S.; Amaral-Carvalho, V.; Guimaraes, H.C.; Caramelli, P.; Balthazar, M.L.F.; et al. Apathy and functional disability in behavioral variant frontotemporal dementia. Neurol. Clin. Pract. 2018, 8, 120–128. [Google Scholar] [CrossRef] [PubMed]
- Hornberger, M.; Geng, J.; Hodges, J.R. Convergent grey and white matter evidence of orbitofrontal cortex changes related to disinhibition in behavioural variant frontotemporal dementia. Brain 2011, 134, 2502–2512. [Google Scholar] [CrossRef]
- Meyer, S.; Mueller, K.; Stuke, K.; Bisenius, S.; Diehl-Schmid, J.; Jessen, F.; Kassubek, J.; Kornhuber, J.; Ludolph, A.C.; Prudlo, J.; et al. Study Group. Predicting behavioral variant frontotemporal dementia with pattern classification in multi-center structural MRI data. Neuroimage Clin. 2017, 14, 656–662. [Google Scholar] [CrossRef]
- Zahn, R.; Moll, J.; Iyengar, V.; Huey, E.D.; Tierney, M.; Krueger, F.; Grafman, J. Social conceptual impairments in frontotemporal lobar degeneration with right anterior temporal hypometabolism. Brain 2009, 132, 604–616. [Google Scholar] [CrossRef]
- Eslinger, P.J.; Moore, P.; Antani, S.; Anderson, C.; Grossman, M. Apathy in frontotemporal dementia: Behavioral and neuroimaging correlates. Behav Neurol. 2012, 25, 127–136. [Google Scholar] [CrossRef]
- Liu, W.; Miller, B.L.; Kramer, J.H.; Rankin, K.; Wyss-Coray, C.; Gearhart, R.; Phengrasamy, L.; Weiner, M.; Rosen, H.J. Behavioral disorders in the frontal and temporal variants of frontotemporal dementia. Neurology 2004, 62, 742–748. [Google Scholar] [CrossRef] [PubMed]
- Sabbe, T.; Vandenbulcke, M. Obsessive-compulsive behaviour in two patients with right temporal variant frontotemporal dementia. Tijdschr. Psychiatr. 2014, 56, 685–688. [Google Scholar] [PubMed]
- Snowden, J.S.; Bathgate, D.; Varma, A.; Blackshaw, A.; Gibbons, Z.C.; Neary, D. Distinct behavioural profiles in frontotemporal dementia and semantic dementia. J. Neurol. Neurosurg. Psychiatry 2001, 70, 323–332. [Google Scholar] [CrossRef] [PubMed]
- Kerstein, A.H.; Schroeder, R.W.; Baade, L.E.; Lincoln, J.; Khan, A.Y. Frontotemporal dementia mimicking bipolar disorder. J. Psychiatr. Pract. 2013, 19, 498–500. [Google Scholar] [CrossRef]
- Mukku, S.S.R.; Jagtap, N.; Issac, T.G.; Mangalore, S.; Sivakumar, P.T. Psychotic symptoms in frontotemporal dementia with right frontotemporal atrophy. Asian J. Psychiatr. 2020, 18, 102040. [Google Scholar] [CrossRef] [PubMed]
- Miller, B.L.; Darby, A.L.; Swartz, J.R.; Yener, G.G.; Mena, I. Dietary changes, compulsions and sexual behavior in frontotemporal degeneration. Dementia 1995, 6, 195–199. [Google Scholar] [CrossRef]
- Piguet, O. Eating disturbance in behavioural-variant frontotemporal dementia. J. Mol. Neurosci. 2011, 45, 589–593. [Google Scholar] [CrossRef]
- Woolley, J.D.; Gorno-Tempini, M.L.; Seeley, W.W.; Rankin, K.; Lee, S.S.; Matthews, B.R.; Miller, B.L. Binge eating is associated with right orbitofrontal-insular-striatal atrophy in frontotemporal dementia. Neurology 2007, 69, 1424–1433. [Google Scholar] [CrossRef]
- Kamminga, J.; Kumfor, F.; Burrell, J.R.; Piguet, O.; Hodges, J.R.; Irish, M. Differentiating between right-lateralised semantic dementia and behavioural-variant frontotemporal dementia: An examination of clinical characteristics and emotion processing. J. Neurol. Neurosurg. Psychiatry 2015, 86, 1082–1088. [Google Scholar] [CrossRef]
- Josephs, K.A.; Whitwell, J.L.; Knopman, D.S.; Boeve, B.F.; Vemuri, P.; Senjem, M.L.; Parisi, J.E.; Ivnik, R.J.; Dickson, D.W.; Petersen, R.C.; et al. Two distinct subtypes of right temporal variant frontotemporal dementia. Neurology 2009, 73, 1443–1450. [Google Scholar] [CrossRef] [PubMed]

| Early Onset | Late Onset |
|---|---|
| Prosopagnosia 71% (5) * | Prosopagnosia 86% (6) |
| Memory impairment 57% (4) | Memory impairment 86% (6) |
| Logopenic speech 14% (1) | Attention impairment 71% (5) |
| Voice recognition 14% (1) | Logopenic speech 43% (3) |
| Apathy 71% (5) | Apathy 100 % (7) |
| Emotional blunting 57% (4) | Emotional blunting 86% (6) |
| Irritability 29% (2) | Loss of interest 71% (5) |
| Inappropriate laughter 14% (1) | Disinhibition 71% (5) |
| Depression 14% (1) | Delusions 71% (5) |
| Obsessions 71% (5) | |
| Compulsive behavior 57% (4) | |
| Aggressiveness 57% (4) | |
| Behavioral rigidity 57% (4) | |
| Dietary changes 57% (4) |
| rtv-FTD (N = 7) | bv-FTD (N = 26) | Statistical Significance | |
|---|---|---|---|
| Age | 72.5 ± 5.4 | 69.2 ± 6.7 | ns |
| Age at onset | 70 ± 6.5 | 66.4 ±7.2 | ns |
| Disease duration | 2.5 ± 0.9 | 3.2 ± 1.2 | ns |
| MMSE | 21.2 ± 8.2/30 | 16.3 ± 6.7/30 | ns |
| mMMSE | 32.5 ± 13.4/57 | 30.4 ± 11.8 /57 | ns |
| FAB | 11 ± 2.6/18 | 7 ± 3.1 /18 | p < 0.05 |
| NPI | 17 ± 7.5 | 18 ± 16 | ns |
| CDR | 8 ± 5.6 | 7 ± 5 | ns |
| IADL | 10 ± 6.9 | 11 ± 6.7 | ns |
| FBI | 29 ± 15.3 | 20 ± 12 | ns |
| rtv-FTD | bv-FTD | Statistical Significance | |
|---|---|---|---|
| Episodic memory impairment | 86 % (6) * | 59% (13) | ns |
| Attention impairment | 71 % (5) | 36 % (8) | ns |
| Concentration impairment | 14 % (1) | 5% (1) | ns |
| Disorientation in space | 29 % (2) | 30 % (8) | ns |
| Aphasia | 29 % (2) | 55 % (12) | ns |
| Logopenic speech | 43 % (3) | 55 % (12) | ns |
| Prosopagnosia | 86 % (6) | 5% (1) | p < 0.001 |
| rtv-FTD | bv-FTD | Statistical Significance | |
|---|---|---|---|
| Apathy | 100 % (7) * | 64 % (14) | ns |
| Loss of interest | 71 % (5) | 14 % (3) | p < 0.01 |
| Loss of initiative | 71 % (5) | 18 % (4) | p < 0.05 |
| Disinhibition | 71% (5) | 59% (13) | ns |
| Irritability | 86% (6) | 50% (11) | ns |
| Aggressiveness | 57% (4) | 40% (9) | ns |
| Inappropriate laughter | 29% (2) | 18% (4) | ns |
| Behavioral rigidity | 57% (4) | 27% (6) | ns |
| Obsessions | 71% (5) | 14% (3) | p < 0.05 |
| Compulsive behavior | 57% (4) | 9% (2) | p < 0.05 |
| Depression | 14% (1) | 32% (7) | ns |
| Euphoria | 29% (2) | 23% (5) | ns |
| Delusions | 71% (5) | 14% (3) | p < 0.05 |
| Hallucinations | 29% (2) | 4% (1) | ns |
| Dietary changes | 57% (4) | 36% (8) | ns |
| Sleep problems | 29% (2) | 9% (2) | ns |
| Personal hygiene | 43% (3) | 35% (9) | ns |
Publisher’s Note: MDPI stays neutral with regard to jurisdictional claims in published maps and institutional affiliations. |
© 2022 by the authors. Licensee MDPI, Basel, Switzerland. This article is an open access article distributed under the terms and conditions of the Creative Commons Attribution (CC BY) license (https://creativecommons.org/licenses/by/4.0/).
Share and Cite
Koros, C.; Beratis, I.; Matsi, S.; Bougea, A.; Bonakis, A.; Papatriantafyllou, I.; Angelopoulou, E.; Kapaki, E.; Stefanis, L.; Papageorgiou, S.G. Prosopagnosia, Other Specific Cognitive Deficits, and Behavioral Symptoms: Comparison between Right Temporal and Behavioral Variant of Frontotemporal Dementia. Vision 2022, 6, 75. https://doi.org/10.3390/vision6040075
Koros C, Beratis I, Matsi S, Bougea A, Bonakis A, Papatriantafyllou I, Angelopoulou E, Kapaki E, Stefanis L, Papageorgiou SG. Prosopagnosia, Other Specific Cognitive Deficits, and Behavioral Symptoms: Comparison between Right Temporal and Behavioral Variant of Frontotemporal Dementia. Vision. 2022; 6(4):75. https://doi.org/10.3390/vision6040075
Chicago/Turabian StyleKoros, Christos, Ion Beratis, Stavroula Matsi, Anastasia Bougea, Anastasios Bonakis, Ioannis Papatriantafyllou, Efthalia Angelopoulou, Elisabeth Kapaki, Leonidas Stefanis, and Sokratis G. Papageorgiou. 2022. "Prosopagnosia, Other Specific Cognitive Deficits, and Behavioral Symptoms: Comparison between Right Temporal and Behavioral Variant of Frontotemporal Dementia" Vision 6, no. 4: 75. https://doi.org/10.3390/vision6040075
APA StyleKoros, C., Beratis, I., Matsi, S., Bougea, A., Bonakis, A., Papatriantafyllou, I., Angelopoulou, E., Kapaki, E., Stefanis, L., & Papageorgiou, S. G. (2022). Prosopagnosia, Other Specific Cognitive Deficits, and Behavioral Symptoms: Comparison between Right Temporal and Behavioral Variant of Frontotemporal Dementia. Vision, 6(4), 75. https://doi.org/10.3390/vision6040075

