Paracoccidioidomycosis in Immunocompromised Patients: A Literature Review
Abstract
1. Introduction
2. Material and Methods
2.1. Search Strategy
2.2. Statistical Analysis
3. Results and Discussion
3.1. Paracoccidioidomycosis and HIV Infection
3.2. Paracoccidioidomycosis and Solid Organ Malignancies
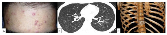
3.3. Paracoccidioidomycosis and Hematologic Malignancies
3.4. Paracoccidioidomycosis and Solid Organ Transplant
3.5. Paracoccidioidomycosis and Immunotherapies
4. Conclusions
Author Contributions
Funding
Acknowledgments
Conflicts of Interest
References
- Martinez, R. New Trends in Paracoccidioidomycosis Epidemiology. J. Fungi 2017, 3, 1. [Google Scholar] [CrossRef] [PubMed]
- Bellissimo-Rodrigues, F.; Machado, A.A.; Martinez, R. Paracoccidioidomycosis epidemiological features of a 1,000-cases series from a hyperendemic area on the southeast of Brazil. Am. J. Trop. Med. Hyg. 2011, 85, 546–550. [Google Scholar] [CrossRef] [PubMed]
- Vieira, G.D.; Alves, T.D.; Lima, S.M.; Camargo, L.M.; Sousa, C.M. Paracoccidioidomycosis in a western Brazilian Amazon State: Clinical-epidemiologic profile and spatial distribution of the disease. Rev. Soc. Bras. Med. Trop. 2014, 47, 63–68. [Google Scholar] [CrossRef] [PubMed]
- Bellissimo-Rodrigues, F.; Bollela, V.R.; Da Fonseca, B.A.L.; Martinez, R. Endemic paracoccidioidomycosis: Relationship between clinical presentation and patients’ demographic features. Med. Mycol. 2013, 51, 313–318. [Google Scholar] [CrossRef] [PubMed]
- Shikanai-Yasuda, M.A.; Mendes, R.P.; Colombo, A.L.; de Queiroz-Telles, F.; Kono, A.S.G.; Paniago, A.M.M.; Nathan, A.; do Valle, A.C.F.; Bagagli, E.; Benard, G.; et al. Brazilian guidelines for the clinical management of paracoccidioidomycosis. Rev. Soc. Brasil. Med. Trop. 2017, 50, 715–740. [Google Scholar] [CrossRef] [PubMed]
- De Castro, L.F.; Ferreira, M.C.; da Silva, R.M.; Blotta, M.H.; Longhi, L.N.A.; Mamoni, R.L. Characterization of the immune response in human paracoccidioidomycosis. J. Infect. 2013, 67, 470–485. [Google Scholar] [CrossRef] [PubMed]
- De Oliveira, H.C.; Assato, P.A.; Marcos, C.M.; Scorzoni, L.; de Paula, E.; Silva, A.C.A.; Da Silva, J.D.F.; Singulani, J.D.; Alarcon, K.M.; Fusco-Almeida, A.M.; et al. Paracoccidioides-host Interaction: An Overview on Recent Advances in the Paracoccidioidomycosis. Front. Microbiol. 2015, 6, 1319. [Google Scholar] [CrossRef] [PubMed]
- Colombo, A.L.; Tobón, A.; Restrepo, A.; Queiroz-Telles, F.; Nucci, M. Epidemiology of endemic systemic fungal infections in Latin America. Med. Mycol. 2011, 49, 785–798. [Google Scholar] [CrossRef] [PubMed]
- Queiroz-Telles, F.; Fahal, A.H.; Falci, D.R.; Caceres, D.H.; Chiller, T.; Pasqualotto, A.C. Neglected endemic mycoses. Lancet Infect. Dis. 2017, 17, e367–e377. [Google Scholar] [CrossRef]
- Pedro, R.D.; Aoki, F.H.; Boccato, R.S.; Branchini, M.L.; Gonçales Júnior, F.L.; Papaiordanou, P.M.; Ramos, M.D. Paracoccidioidomicose e infecção pelo virus da imunodeficiência humana. Rev. Inst. Med. Trop São Paulo 1989, 31, 119–125. [Google Scholar] [CrossRef]
- Marques, S.A.; Conterno, L.O.; Sgarbi, L.P.; Villagra, A.M.; Sabongi, V.P.; Bagatin, E.; Gonçalves, V.L. Paracoccidioidomycosis associated with acquired immunodeficiency syndrome. Report of seven cases. Rev. Inst. Med. Trop. Sao Paulo 1995, 37, 261–265. [Google Scholar] [CrossRef]
- Silva-Vergara, M.L.; Teixeira, A.C.; Curi, V.G.M.; Costa Júnior, J.C.; Vanunce, R.; Carmo, W.M.; Silva, M.R. Paracoccidioidomycosis associated with human immunodeficiency virus infection. Report of 10 cases. Med. Mycol. 2003, 41, 259–263. [Google Scholar] [CrossRef] [PubMed]
- Paniago, A.M.M.; de Freitas, A.C.C.; Aguiar, E.S.A.; Aguiar, J.I.A.; da Cunha, R.V.; Castro, A.R.C.M.; Wanke, B. Paracoccidioidomycosis in patients with human immunodeficiency virus: Review of 12 cases observed in an endemic region in Brazil. J. Infect. 2005, 51, 248–252. [Google Scholar] [CrossRef] [PubMed]
- Tobon, A.M.; Orozco, B.; Estrada, S.; Jaramillo, E.; de Bedout, C.; Arango, M.; Restrepo, A. Paracoccidioidomycosis and AIDS: Report of the first two Colombian cases. Rev. Inst. Med. Trop. Sao Paulo 1998, 40, 377–381. [Google Scholar] [CrossRef] [PubMed]
- Corti, M.; Trione, N.; Risso, D.; Soto, I.; Villafañe, M.F.; Yampolsky, C.; Negroni, R. Disseminated paracoccidioidomycosis with a single brainstem lesion. A case report and literature review. Neuroradiol. J. 2010, 23, 454–458. [Google Scholar] [CrossRef] [PubMed]
- Morejón, K.M.L.; Machado, A.A.; Martinez, R. Paracoccidioidomycosis in patients infected with and not infected with human immunodeficiency virus: A case-control study. Am. J. Trop. Med. Hyg. 2009, 80, 359–366. [Google Scholar] [CrossRef] [PubMed]
- De Almeida, F.A.; Neves, F.F.; Mora, D.J.; Reis, T.A.D.; Sotini, D.M.; Ribeiro, B.D.M.; Andrade-Silva, L.E.; Nascentes, G.N.; Ferreira-Paim, K.; Silva-Vergara, M.L. Paracoccidioidomycosis in Brazilian Patients with and Without Human Immunodeficiency Virus Infection. Am. J. Trop. Med. Hyg. 2017, 96, 368–372. [Google Scholar] [CrossRef] [PubMed]
- Macedo, P.M.; Almeida-Paes, R.; Almeida, M.D.; Coelho, R.A.; Andrade, H.B.; Ferreira, A.B.T.B.C.; Zancopé-Oliveira, R.M.; Valle, A.C.F. Paracoccidioidomycosis due to Paracoccidioides brasiliensis S1 plus HIV co-infection. Mem. Inst. Oswaldo Cruz 2018, 113, 167–172. [Google Scholar] [CrossRef]
- Goldani, L.Z.; Martinez, R.; Landell, G.A.; Machado, A.A.; Coutinho, V. Paracoccidioidomycosis in a patient with acquired immunodeficiency syndrome. Mycopathologia 1989, 105, 71–74. [Google Scholar] [CrossRef]
- Bakos, L.; Kronfeld, M.; Hampe, S.; Castro, I.; Zampese, M. Disseminated paracoccidioidomycosis with skin lesions in a patient with acquired immunodeficiency syndrome. J. Am. Acad. Dermatol. 1989, 20, 854–855. [Google Scholar] [CrossRef]
- Benard, G.; Bueno, J.P.; Yamashiro-Kanashiro, E.H.; Shikanai-Yasuda, M.A.; Del Negro, G.M.; Melo, N.T.; Sato, M.N.; Amato Neto, V.; Shiroma, M.; Duarte, A.J. Paracoccidioidomycosis in a patient with HIV infection: Immunological study. Trans. R. Soc. Trop. Med. Hyg. 1990, 84, 151–152. [Google Scholar] [CrossRef]
- De Lima, M.A.; Silva-Vergara, M.L.; Demachki, S.; dos Santos, J.A. Paracoccidioidomycosis in a patient with human immunodeficiency virus infection. A necropsy case. Rev. Soc. Bras. Med. Trop. 1995, 28, 279–284. [Google Scholar] [PubMed]
- Silletti, R.P.; Glezerov, V.; Schwartz, I.S. Pulmonary paracoccidioidomycosis misdiagnosed as Pneumocystis pneumonia in an immunocompromised host. J. Clin. Microbiol. 1996, 34, 2328–2330. [Google Scholar] [PubMed]
- Dos Santos, J.W.; Costa, J.M.; Cechella, M.; Michel, G.T.; de Figueiredo, C.W.; Londero, A.T. An unusual presentation of paracoccidioidomycosis in an AIDS patient: A case report. Mycopathologia 1998, 142, 139–142. [Google Scholar] [CrossRef] [PubMed]
- Nobre, V.; Braga, E.; Rayes, A.; Serufo, J.C.; Godoy, P.; Nunes, N.; Antunes, C.M.; Lambertucci, J.R. Opportunistic infections in patients with AIDS admitted to an university hospital of the Southeast of Brazil. Rev. Inst. Med. Trop. Sao Paulo 2003, 45, 69–74. [Google Scholar] [CrossRef] [PubMed]
- Corti, M.; Villafañe, M.F.; Negroni, R.; Palmieri, O. Disseminated paracoccidioidomycosis with peripleuritis in an AIDS patient. Rev. Inst. Med. Trop. Sao Paulo 2004, 46, 47–50. [Google Scholar] [CrossRef] [PubMed]
- Caseiro, M.M.; Etzel, A.; Soares, M.C.B.; Costa, S.O.P. Septicemia caused by Paracoccidioides brasiliensis (Lutz, 1908) as the cause of death of an AIDS patient from Santos, São Paulo State, Brazil—A nonendemic area. Rev. Inst. Med. Trop. Sao Paulo 2005, 47, 209–211. [Google Scholar] [CrossRef] [PubMed]
- Godoy, P.; Lelis, S.S.R.; Resende, U.M. Paracoccidioidomycosis and acquired immunodeficiency syndrome: Report of necropsy. Rev. Soc. Bras. Med. Trop. 2006, 39, 79–81. [Google Scholar] [CrossRef]
- Castro, G.; Martinez, R. Images in clinical medicine. Disseminated paracoccidioidomycosis and coinfection with HIV. N. Engl. J. Med. 2006, 355, 2677. [Google Scholar] [CrossRef]
- Brunaldi, M.O.; Rezende, R.E.F.; Zucoloto, S.; Garcia, S.B.; Módena, J.L.P.; Machado, A.A. Co-infection with paracoccidioidomycosis and human immunodeficiency virus: Report of a case with esophageal involvement. Am. J. Trop. Med. Hyg. 2010, 82, 1099–1101. [Google Scholar] [CrossRef]
- De Freitas, R.S.; Dantas, K.C.; Garcia, R.S.P.; Magri, M.M.C.; de Andrade, H.F. Paracoccidioides brasiliensis causing a rib lesion in an adult AIDS patient. Hum. Pathol. 2010, 41, 1350–1354. [Google Scholar] [CrossRef] [PubMed]
- Nunura, R.J.; Salazar, M.D.; Vásquez, L.T.; Endo, G.S.; Rodríguez, F.A.; Zerpa, L.R. Paracoccidioidomicosis and multidrug-resistant tuberculosis (TBC-MDR) in patient coinfected with HIV and hepatitis C. Rev. Chilena Infectol. 2010, 27, 551–555. [Google Scholar]
- Lambertucci, J.R.; Vale, T.C.; Voieta, I. Images in infectious diseases. Concomitant progressive multifocal leukoencephalopathy and disseminated paracoccidioidomycosis in an AIDS patient. Rev. Soc. Bras. Med. Trop. 2010, 43, 758. [Google Scholar] [CrossRef] [PubMed]
- Nogueira, L.M.C.; Santos, M.; Ferreira, L.C.; Talhari, C.; Rodrigues, R.R.; Talhari, S. AIDS-associated paracoccidioidomycosis in a patient with a CD4+ T-cell count of 4 cells/mm3. Anais Bras. Dermatol. 2011, 86, S129–S132. [Google Scholar] [CrossRef]
- Silva-Vergara, M.L.; Rocha, I.H.; Vasconcelos, R.R.; Maltos, A.L.; Neves, F.; Teixeira, L.; Mora, D.J. Central nervous system paracoccidioidomycosis in an AIDS patient: Case report. Mycopathologia 2014, 177, 137–141. [Google Scholar] [CrossRef] [PubMed]
- Cimerman, S.; Bacha, H.A.; Ladeira, M.C.; Silveira, O.S.; Colombo, A.L. Paracoccidioidomycosis in a boy infected with HIV. Mycoses 1997, 40, 343–344. [Google Scholar] [CrossRef] [PubMed]
- Benard, G.; Duarte, A.J. Paracoccidioidomycosis: A model for evaluation of the effects of human immunodeficiency virus infection on the natural history of endemic tropical diseases. Clin. Infect. Dis. 2000, 31, 1032–1039. [Google Scholar] [CrossRef] [PubMed]
- Hadad, D.J.; Pieres, M.; Petry, T.C.; Orozco, S.F.; Melhem, M.; Paes, R.A.; Gianini, M.J. Paracoccidioides brasiliensis (Lutz, 1908) isolated by hemoculture in a patient with the acquired immunodeficiency syndrome (AIDS). Rev. Inst. Med. Trop. Sao Paulo 1992, 34, 565–567. [Google Scholar] [CrossRef]
- Rabello Filho, E. Lupus eritematoso disseminado, blastomicose e epitelioma do lábio superior. Anais Bras. Derm. Sif. 1933, 8, 38–39. [Google Scholar]
- Padilha-Gonçalves, A. Adenopatia na Micose de Lutz. Thesis, Escola de Medicina e Cirurgia do Rio de Janeiro, Rio de Janeiro, Brazil, 1971; p. 234. [Google Scholar]
- Da Conceição, Y.T.M. Frequência da Associação em Estudo de Necropsias. Master’s Thesis, Faculdade Medicina Universidade de São Paulo, São Paulo, Brazil, 1996; p. 102. [Google Scholar]
- Shikanai-Yasuda, M.A.; Conceição, Y.M.T.; Kono, A.; Rivitti, E.; Campos, A.F.; Campos, S.V. Neoplasia and paracoccidioidomycosis. Mycopathologia 2008, 165, 303–312. [Google Scholar] [CrossRef]
- Rodrigues, G.D.; Severo, C.B.; Oliveira, F.D.; Moreira, J.D.; Prolla, J.C.; Severo, L.C. Association between paracoccidioidomycosis and cancer. J. Bras. Pneumol. 2010, 36, 356–362. [Google Scholar] [CrossRef]
- Maymó Argañaraz, M.; Luque, A.G.; Tosello, M.E.A.; Perez, J. Paracoccidioidomycosis and larynx carcinoma. Mycoses 2003, 46, 229–232. [Google Scholar] [CrossRef] [PubMed]
- Marques, S.A.; Lastória, J.C.; Marques, M.E.A. Paracoccidioidomicose em paciente com carcinoma do colo uterino. Anais Bras. Dermatol. 2011, 86, 587–588. [Google Scholar] [CrossRef]
- Porro, A.M.; Rotta, O. Cutaneous and pulmonary paracoccidioidomycosis in a patient with a malignant visceral tumor. Anais Bras. Dermatol. 2011, 86, 1220–1221. [Google Scholar] [CrossRef]
- Azevedo, R.S.; Gouvêa, A.F.; Lopes, M.A.; Corrêa, M.B.; Jorge, J. Synchronous oral paracoccidioidomycosis and oral squamous cell carcinomas with submandibular enlargement. Med. Mycol. 2011, 49, 84–89. [Google Scholar] [CrossRef] [PubMed]
- Tubino, P.V.A.; Sarmento, B.J.; dos Santos, V.M.; Borges, E.R.; da Silva, L.E.C.; Lima, R. Synchronous oral paracoccidioidomycosis and esophageal carcinoma. Mycopathologia 2012, 174, 157–161. [Google Scholar] [CrossRef] [PubMed]
- Peçanha, P.M.; Ferreira, M.E.; Peçanha, M.A.; Schmidt, E.B.; de Araújo, M.L.; Zanotti, R.L.; Potratz, F.F.; Nunes, N.E.; Ferreira, C.U.; Delmaestro, D.; et al. Paracoccidioidomycosis: Epidemiological and Clinical Aspects in 546 Cases Studied in the State of Espírito Santo, Brazil. Am. J. Trop. Med. Hyg. 2017, 97, 836–844. [Google Scholar] [CrossRef]
- Ruiz e Resende, L.S.; Yasuda, A.G.; Mendes, R.P.; Marques, S.A.; Niéro-Melo, L.; Defaveri, J.; Domingues, M.A.C. Paracoccidioidomycosis in patients with lymphoma and review of published literature. Mycopathologia 2015, 179, 285–291. [Google Scholar] [CrossRef]
- Reis, M.A.; Costa, R.S.; Ferraz, A.S. Causes of death in renal transplant recipients: A study of 102 autopsies from 1968 to 1991. J. R. Soc. Med. 1995, 88, 24–27. [Google Scholar]
- Zavascki, A.P.; Bienardt, J.C.; Severo, L.C. Paracoccidioidomycosis in organ transplant recipient: Case report. Rev. Inst. Med. Trop. Sao Paulo 2004, 46, 279–281. [Google Scholar] [CrossRef]
- Pontes, A.M.; Borborema, J.; Correia, C.R.B.; de Almeida, W.L.; Maciel, R.F. A rare paracoccidioidomycosis diagnosis in a kidney transplant receptor: Case report. Transplant. Proc. 2015, 47, 1048–1050. [Google Scholar] [CrossRef] [PubMed]
- Góes, H.F.; Durães, S.M.B.; Lima, C.; Souza, M.B.; Vilar, E.A.G.; Dalston, M.O. Paracoccidioidomycosis in a Renal Transplant Recipient. Rev. Inst. Med. Trop. Sao Paulo 2016, 58, 12. [Google Scholar] [CrossRef] [PubMed]
- Radisic, M.V.; Linares, L.; Afeltra, J.; Pujato, N.; Vitale, R.G.; Bravo, M.; Dotta, A.C.; Casadei, D.H. Acute pulmonary involvement by paracoccidiodomycosis disease immediately after kidney transplantation: Case report and literature review. Transpl. Infect. Dis. 2017, 19, e12655. [Google Scholar] [CrossRef] [PubMed]
- Lima, T.C.; Bezerra, R.O.F.; Siqueira, L.T.; Menezes, M.R.; Leite, C.; Porta, G.; Cerri, G.G. Paracoccidioidomycosis in a liver transplant recipient. Rev. Soc. Bras. Med. Trop. 2017, 50, 138–140. [Google Scholar] [CrossRef] [PubMed]
- Campos, S.; Caramori, M.; Teixeira, R.; Afonso, J.; Carraro, R.; Strabelli, T.; Samano, M.; Pêgo-Fernandes, P.; Jatene, F. Bacterial and Fungal Pneumonias After Lung Transplantation. Transpl. Proc. 2008, 40, 822–824. [Google Scholar] [CrossRef] [PubMed]
- Batista, M.V.; Sato, P.K.; Pierrotti, L.C.; de Paula, F.J.; Ferreira, G.F.; Ribeiro-David, D.S.; Nahas, W.C.; Duarte, M.I.S.; Shikanai-Yasuda, M.A. Recipient of kidney from donor with asymptomatic infection by Paracoccidioides brasiliensis. Med. Mycol. 2012, 50, 187–192. [Google Scholar] [CrossRef] [PubMed]
- Abdala, E.; Miller, R.; Pasqualotto, A.C.; Muñoz, P.; Colombo, A.L.; Cuenca-Estrella, M. Endemic Fungal Infection Recommendations for Solid-Organ Transplant Recipients and Donors. Transplantation 2018, 102, S52–S59. [Google Scholar] [CrossRef] [PubMed]
- Woyciechowsky, T.G.; Dalcin, D.C.; dos Santos, J.W.A.; Michel, G.T. Paracoccidioidomycosis induced by immunosuppressive drugs in a patient with rheumatoid arthritis and bone sarcoma: Case report and review of the literature. Mycopathologia 2011, 172, 77–81. [Google Scholar] [CrossRef]
- Covre, L.C.P.; Hombre, P.M.; Falqueto, A.; Peçanha, P.M.; Valim, V. Pulmonary paracoccidioidomycosis: A case report of reactivation in a patient receiving biological therapy. Rev. Soc. Bras. Med. Trop. 2018, 51, 249–252. [Google Scholar] [CrossRef]
- Almeida, K.J.; Barreto-Soares, R.V.; Campos-Sousa, R.N.; Campos-Sousa, M.G.; Bor-Seng-Shu, E. Pulmonary paracoccidioidomycosis associated with the use of natalizumab in multiple sclerosis. Mult. Scler. 2018, 24, 1002–1004. [Google Scholar] [CrossRef]
- Vergidis, P.; Avery, R.K.; Wheat, L.J.; Dotson, J.L.; Assi, M.A.; Antoun, S.A.; Hamoud, K.A.; Burdette, S.D.; Freifeld, A.G.; McKinsey, D.S.; et al. Histoplasmosis complicating tumor necrosis factor-α blocker therapy: A retrospective analysis of 98 cases. Clin. Infect. Dis. 2015, 61, 409–417. [Google Scholar] [CrossRef] [PubMed]




| PCM and HIV (%) | PCM (%) | p Value | |
|---|---|---|---|
| Clinical Data | |||
| Fever | 82.7 | 35.4 ** | <0.001 |
| Lymphadenopathy | 72.9 # | 50.6 * | <0.001 |
| Splenomegaly | 22.6 | 4.7 * | <0.001 |
| Skin Lesions | 58.9 | 29.6 * | <0.001 |
| Pneumopathy | 70.3 | 63.8 * | 0.15 |
| Oral mucosa | 29 | 50 * | <0.001 |
| Laboratory data (positivity rates) | |||
| Direct microscopy | 57.4 | 44 ** | 0.052 |
| Culture | 42.2 | 25.3 * | <0.001 |
| Histopathology | 94.5 | 64.7 * | <0.001 |
| Serology | 74.6 | 97.2 * | <0.001 |
| Outcomes | |||
| Relapse rates | 11 | 8.2 ** | 0.48 |
| Mortality rates | 35 | 7.9 ** | <0.001 |
© 2018 by the authors. Licensee MDPI, Basel, Switzerland. This article is an open access article distributed under the terms and conditions of the Creative Commons Attribution (CC BY) license (http://creativecommons.org/licenses/by/4.0/).
Share and Cite
De Almeida Jr., J.N.; Peçanha-Pietrobom, P.M.; Colombo, A.L. Paracoccidioidomycosis in Immunocompromised Patients: A Literature Review. J. Fungi 2019, 5, 2. https://doi.org/10.3390/jof5010002
De Almeida Jr. JN, Peçanha-Pietrobom PM, Colombo AL. Paracoccidioidomycosis in Immunocompromised Patients: A Literature Review. Journal of Fungi. 2019; 5(1):2. https://doi.org/10.3390/jof5010002
Chicago/Turabian StyleDe Almeida Jr., João N., Paula M. Peçanha-Pietrobom, and Arnaldo L. Colombo. 2019. "Paracoccidioidomycosis in Immunocompromised Patients: A Literature Review" Journal of Fungi 5, no. 1: 2. https://doi.org/10.3390/jof5010002
APA StyleDe Almeida Jr., J. N., Peçanha-Pietrobom, P. M., & Colombo, A. L. (2019). Paracoccidioidomycosis in Immunocompromised Patients: A Literature Review. Journal of Fungi, 5(1), 2. https://doi.org/10.3390/jof5010002

