Blood Inflammatory, Hydro-Electrolytes and Acid-Base Changes in Belgian Blue Cows Developing Parietal Fibrinous Peritonitis or Generalised Peritonitis after Caesarean Section
Abstract
1. Introduction
2. Materials and Methods
2.1. Animal Selection and Clinical Approach
2.2. Sample Collection and Processing
2.3. Statistical Analysis
3. Results
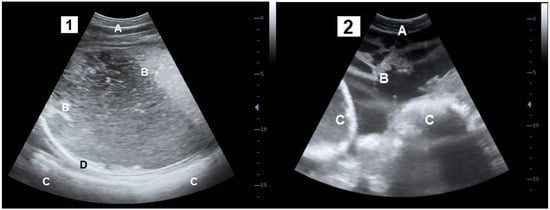
3.1. Cows Description
3.2. Inflammatory Parameters
3.3. Hydro-Electrolyte and Acid-Base Parameters
3.3.1. Clinical Evaluation of the Hydration Status
3.3.2. Chemical Parameters
3.3.3. Venous Blood Gas
3.3.4. Metabolic Parameters
3.4. The Correlation between the Different Parameters
4. Discussion
5. Conclusions
Supplementary Materials
Author Contributions
Funding
Institutional Review Board Statement
Informed Consent Statement
Data Availability Statement
Acknowledgments
Conflicts of Interest
References
- Mijten, P. Puerperal Complications after Cesarean Section in Dairy Cows and in Double-Muscled Cows. Reprod. Domest. Anim. 1998, 33, 175–179. Available online: http://hdl.handle.net/1854/LU-179237 (accessed on 15 December 2021). [CrossRef]
- Djebala, S.; Evrard, J.; Moula, N.; Sartelet, A.; Bossaert, P. Atypical case of parietal fibrinous peritonitis in a Belgian Blue heifer without a history of laparotomy. Vet. Rec. Case Rep. 2020, 8, e001086. [Google Scholar] [CrossRef]
- Djebala, S.; Evrard, J.; Moula, N.; Gille, L.; Bayrou, C.; Eppe, J.; Casalta, H.; Sartelet, A.; Bossaert, P. Comparison between generalised peritonitis and parietal fibrinous peritonitis in cows after caesarean section. Vet. Rec. 2020, 187, e49. [Google Scholar] [CrossRef] [PubMed]
- Djebala, S.; Evrard, J.; Gregoire, F.; Thiry, D.; Bayrou, C.; Moula, N.; Sartelet, A.; Bossaert, P. Infectious Agents Identified by Real-Time PCR, Serology and Bacteriology in Blood and Peritoneal Exudate Samples of Cows Affected by Parietal Fibrinous Peritonitis after Caesarean Section. Vet. Sci. 2020, 7, 134. [Google Scholar] [CrossRef]
- Djebala, S.; Evrard, J.; Moula, N.; Gille, L.; Sartelet, A.; Bossaert, P. Parietal fibrinous peritonitis in cattle: A literature review. Vet Rec. 2021, 188, 1–5. [Google Scholar] [CrossRef]
- Djebala, S.; Evrard, J.; Gregoire, F.; Bayrou, C.; Gille, L.; Eppe, J.; Casalta, H.; Frisée, V.; Moula, N.; Sartelet, A.; et al. Antimicrobial susceptibility profile of several bacteria species identified in the peritoneal exudate of cows affected by parietal fibrinous peritonitis after caesarean section. Vet. Sci. 2021, 8, 295. [Google Scholar] [CrossRef]
- Herd Book Blanc Bleu Belge (HBBB). Caractéristiques. 2021. Available online: https://www.hbbbb.be/fr/pages/caracteristique (accessed on 15 December 2021).
- Kolkman, I.; Opsomer, G.; Lips, D.; Lindenbergh, B.; De Kruif, A.; De Vliegher, S. Preoperative and operative difficulties during bovine caesarean section in Belgium and associated risk factors. Reprod. Domest. Anim. 2010, 45, 1020–1027. [Google Scholar] [CrossRef]
- Djebala, S.; Moula, N.; Bayrou, C.; Sartelet, A.; Bossaert, P. Prophylactic antibiotic usage by Belgian veterinarians during elective caesarean section in Belgian blue cattle. Prev. Vet. Med. 2019, 172, 104785. [Google Scholar] [CrossRef]
- Borgonovo, G.; Amato, A.; Varaldo, E.; Mattioli, F.P. Definition and classification of peritonitis. Méd. Mal. Infect. 1995, 25, 7–12. [Google Scholar] [CrossRef]
- Fecteau, G. Management of peritonitis in cattle. Vet. Clin. Food Anim. Pract. 2005, 21, 155–171. [Google Scholar] [CrossRef]
- Fubini, S.L.; Ducharme, N.G. Farm Animal Surgery, 2nd ed.; Saunders-Elsevier: St. Louis, MI, USA, 2017; p. 662. [Google Scholar]
- Wittek, T.; Grosche, A.; Locher, L.; Alkaassem, A.; Fürll, M. Biochemical constituents of peritoneal fluid in cows. Vet. Rec. 2010, 166, 15–19. [Google Scholar] [CrossRef] [PubMed]
- Braun, U.; Pusterla, N.; Anliker, H. Ultrasonographic findings in three cows with peritonitis in the left flank region. Vet. Rec. 1998, 142, 338–340. [Google Scholar] [CrossRef] [PubMed]
- Ferraro, S.; Desrochers, A.; Nichols, S.; Francoz, D.; Babkine, M.; Lardé, H.; Roy, J.P.; Fecteau, G. Clinical characteristics, treatment, and outcome for cattle that developed retroperitoneal abscesses following paralumbar fossa laparotomy: 32 cases (1995–2017). J. Am. Vet. Med. Assoc. 2020, 256, 814–821. [Google Scholar] [CrossRef] [PubMed]
- Radostits, O.M.; Gay, M.L.; Blood, D.C.; Hinchcliff, K.W. Disturbances of Free Water, Electrolytes, Acid-Base Balance, and Oncotic Pressure. In Veterinary Medicine, 10th ed.; Radostits, O.M., Gay, M.L., Hinchcliff, K.W., Constable, P., Eds.; Baillier Tindall: London, UK, 2007; pp. 113–152. [Google Scholar]
- Braun, U.; Beckmann, C.; Gerspach, C.; Hässig, M.; Muggli, E.; Knubben-Schweizer, G.; Nuss, K. Clinical findings and treatment in cattle with caecal dilatation. BMC Vet. Res. 2012, 8, 75. [Google Scholar] [CrossRef]
- Lallemand, M. L’essentiel de la biochimie chez les bovins. In Manuel de Médecine des Bovins, 1st ed.; Francoz, D., Couture, Y., Eds.; Med’com: Paris, France, 2014; pp. 5–16. [Google Scholar]
- Braun, U. Ultrasound as a decision-making tool in abdominal surgery in cows. Vet. Clin. Food Anim. Pract. 2005, 21, 33–53. [Google Scholar] [CrossRef] [PubMed]
- Ansari-Lari, S.; Nazifi, S.; Rezaei, M.; Asadi-Fardaqi, J. Comparative study of plasma proteins including haptoglobin and serum amyloid A in different types of traumatic reticuloperitonitis in cattle. Comp. Clin. Pathol. 2008, 17, 245–249. [Google Scholar] [CrossRef]
- Dezfouli, M.R.M.; Lotfollahzadeh, S.; Sadeghian, S.; Kojouri, G.A.; Eftekhari, Z.; Khadivar, F.; Bashiri, A. Blood electrolytes changes in peritonitis of cattle. Comp. Clin. Pathol. 2012, 21, 1445–1449. [Google Scholar] [CrossRef]
- Cockcroft, P.; Jackson, P.; Examination, C. Clinical examination of the abdomen in adult cattle. Practice 2004, 26, 304–317. [Google Scholar] [CrossRef]
- Smith, B.P. Large Animal Internal Medicine, 5th ed.; Mosby Elsevier: St. Louis, MI, USA, 2015; p. 1661. [Google Scholar]
- Metzner, M.; Horber, J.; Rademacher, G.; Klee, W. Application of the glutaraldehyde test in cattle. J. Vet. Med. 2007, 54, 449–454. [Google Scholar] [CrossRef]
- Faul, F.; Erdfelder, E.; Buchner, A.; Lang, A.G. Statistical power analyses using G*Power 3.1: Tests for correlation and regression analyses. Behav. Res. Methods 2009, 41, 1149–1160. [Google Scholar] [CrossRef]
- Francoz, D.; Couture, Y. L’hématologie et la biochimie des bovins. In Manuel de Médecine des Bovins, 1st ed.; Francoz, D., et Couture, Y., Eds.; Med’com: Paris, France, 2014; pp. 5–36. [Google Scholar]
- West, E.; Bardell, D.; Senior, J.M. Comparison of the EPOC and i-STAT analysers for canine blood gas and electrolyte analysis. J. Small Anim. Pract. 2014, 55, 139–144. [Google Scholar] [CrossRef] [PubMed]
- Viesselmann, L.C.; Videla, R.; Flatland, B. Verification of the Heska Element Point-of-Care blood gas instrument for use with venous blood from alpacas and lamas, with determination of reference intervals. Vet. Clin. Pathol. 2018, 47, 435–447. [Google Scholar] [CrossRef] [PubMed]
- Carlson, G.P. Clinical Chemistry Tests. In Large Animal Internal Medicine, 4th ed.; Smith, P.B., Ed.; Mosby Elsevier: St Louis, MI, USA, 2009; pp. 375–379. [Google Scholar]
- Citil, M.; Gunes, V.; Karapehlivan, M.; Atalan, G.; Marasli, S. Evaluation of serum sialic acid as an inflammation marker in cattle with traumatic reticulo-peritonitis. Rev. Méd. Vét. 2004, 155, 389–392. [Google Scholar]
- Gille, L.; Pilo, P.; Valgaeren, B.R.; van Driessche, L.; van Loo, H.; Bodmer, M.; Burki, S.; Boyen, F.; Haesebrouck, F.; Deprez, P.; et al. A new predilection site of Mycoplasma bovis: Postsurgical seromas in beef cattle. Vet. Microbiol. 2016, 186, 67–70. [Google Scholar] [CrossRef][Green Version]
- Elmeshreghi, T.N.; Grubb, T.L.; Greene, S.A.; Ragle, C.A.; Wardrop, J.A. Comparison of Entreprise Point-of-Care and Nova Biomedical Critical Care Xpress analyzers for determination of arterial pH, blood gas, and electrolyte values in canine and equine blood. Vet. Clin. Pathol. 2018, 47, 415–424. [Google Scholar] [CrossRef] [PubMed]
- Kirsch, K.; Detilleux, J.; Serteyn, D.; Sandersen, C. Comparison of two portable clinical analyzers to one stationary analyzer for the determination of blood gas partial pressure and blood electrolyte concentration in horses. PLoS ONE 2019, 14, e0211104. [Google Scholar] [CrossRef] [PubMed]
- Gomez, D.E.; Buczinski, S.; Darby, S.; Palmisano, M.; Beatty, S.S.K.; Mackay, R.J. Agreement of 2 electrolyte analyzers for identifying electrolyte and acid-base disorders in sick horses. J. Vet. Intern. Med. 2020, 34, 2758–2766. [Google Scholar] [CrossRef]
- Ohtsuka, H.; Ohki, K.; Tajima, M.; Yoshino, T.; Takahashi, K. Evaluation of Blood Acid-Base Balance after Experimental Administration of Endotoxin in Adult Cow. J. Vet. Med. Sci. 1997, 59, 483–485. [Google Scholar] [CrossRef]
- Constable, D. Clinical assessment of acid-base status. Vet. Clin. Food Anim. Pract. 1999, 15, 447–471. [Google Scholar] [CrossRef]
- Oh, M.S.; Carill, H.J. The anion gap. N. Engl. J. Med. 1977, 297, 814–817. [Google Scholar] [CrossRef]
- Ewaschuk, J.B.; Naylor, J.M.; Zello, G.A. Anion Gap Correlates with SerumD- and DL-Lactate concentrationin Diarrheic Neonatal Calves. J. Vet. Intern. Med. 2003, 17, 940–942. [Google Scholar] [CrossRef] [PubMed]
- Garry, F.B.; Hull, B.L.; Rings, D.M.; Kersting, K.; Hoffsis, G.F. Prognostic value of anion gap calculation in cattle with abomasal volvulus: 58 cases (1980–1985). J. Am. Vet. Med. Assoc. 1988, 192, 1107–1112. [Google Scholar] [PubMed]
- Giertzuch, S.; Lorch, A.; Lausch, C.K.; Knubben-Schweizer, G.; Trefz, F.M. Prognostic utility of pre- and postopérative plasma L-lactate measurements in hospitalized cows with acute abdominal emergencies. J. Dairy Sci. 2020, 103, 11769–11781. [Google Scholar] [CrossRef] [PubMed]

| Inflammatory Parameters | PFP (11 Cows) | GP (30 Cows) | Control Group (14 Cows) | Reference Values [29] | |
|---|---|---|---|---|---|
| SP (g/L) | Mean ± SD | 78.45 ± 14.24 a | 71.33 ± 13.26 ab | 68.36 ± 2.82 b | 68–86 |
| Range | 58–100 | 40–99 | 64–74 | ||
| PP (g/L) | Mean ± SD | 87.09 ± 11.78 a | 78.97 ± 14.15 ab | 71.7 ± 3.17 b | No reference value |
| Range | 66–106 | 46–107 | 67–78 | ||
| Fibrinogen (g/L) | Mean ± SD | 8.64 ± 4.82 a | 7.83 ± 2.45 a | 3.36 ± 0.93 b | 1–6 |
| Range | 0–18 | 4–12 | 2–5 | ||
| glutaraldehyde test (min) | <3 | <3 | >15 | >15 | |
| Chemical parameters | |||||
| Na+ (mmol/L) | Mean ± SD | 130.9 ± 5.57 a | 126.93 ± 5.79 b | 133.14 ± 2.21 a | 132–152 |
| Range | 122–137 | 116–137 | 130–137 | ||
| K+ (mmol/L) | Mean ± SD | 3.64 ± 0.25 a | 3.7 ± 1.3 a | 4.48 ± 0.42 b | 3.9–5.8 |
| Range | 3.2–3.9 | 2.1–5.4 | 4.2–5.2 | ||
| Ca++ (mmol/L) | Mean ± SD | 1.06 ± 0.09 a | 0.89 ± 0.12 b | 1.19 ± 0.04 c | 0.97–1.24 |
| Range | 0.89–1.16 | 0.5–1.1 | 1.09–1.26 | ||
| Cl− (mmol/L) | Mean ± SD | 93 ± 6.15 a | 82.38 ± 6.45 b | 96.93 ± 2.73 a | 97–111 |
| Range | 79–101 | 65–95 | 92–102 | ||
| Agap (mmol/L) | Mean ± SD | 15 ± 4.82 a | 18.82 ± 5.56 b | 15.28 ± 1.86 a | 14–20 |
| Range | 10–24 | 10–30 | 12–20 | ||
| Venous blood gas parameters | |||||
| pH | Mean ± SD | 7.73 ± 0.07 a | 7.47 ± 0.08 a | 7.42 ± 0.07 a | 7.31–7.53 |
| Range | 7.28–7.52 | 7.31–7.76 | 7.31–7.52 | ||
| HCO3− (mmol/L) | Mean ± SD | 26.47 ± 4.15 a | 30.87 ± 8.16 b | 25.56 ± 1.86 a | 0–6 |
| Range | 19.2–34.6 | 14–50.8 | 20.6–28.6 | ||
| pCO2 (mmHg) | Mean ± SD | 40.03 ± 6.29 a | 40.94 ± 6.8 a | 39.76 ± 8.02 a | 35–45 |
| Range | 31.9- 51.3 | 25.6- 53.5 | 31.8–52.2 | ||
| BE (mmol/L) | Mean ± SD | 1.98 ± 4.35 a | 5.71 ± 7.42 b | 1.06 ± 1.51 a | 21–32 |
| Range | −5.7–9.3 | −10.29–23.7 | −2.3–2.9 | ||
| Metabolic parameters | |||||
| Glucose (mg/dL) | Mean ± SD | 80.36 ± 33.31 a | 86.13 ± 39.32 a | 74 ± 5.76 a | 33–66 |
| Range | 42–165 | 43–213 | 64–82 | ||
| L-lactate (mmol/L) | Mean ± SD | 4.68 ± 4.82 a | 8.1 ± 4.85 b | 1.68 ± 1.44 a | 0.56–2.22 |
| Range | 0.7–16.19 | 1.14–19.03 | 0.43–4.97 | ||
| Creatinine (mg/dL) | Mean ± SD | 2.33 ± 1.15 ab | 3.53 ± 2.30 a | 2.18 ± 0.28 b | 1.81–2.84 |
| Range | 0.97–4.34 | 1.22–11.46 | 1.7–2.72 | ||
Publisher’s Note: MDPI stays neutral with regard to jurisdictional claims in published maps and institutional affiliations. |
© 2022 by the authors. Licensee MDPI, Basel, Switzerland. This article is an open access article distributed under the terms and conditions of the Creative Commons Attribution (CC BY) license (https://creativecommons.org/licenses/by/4.0/).
Share and Cite
Coenen, M.-C.; Gille, L.; Eppe, J.; Casalta, H.; Bayrou, C.; Dubreucq, P.; Frisée, V.; Moula, N.; Evrard, J.; Martinelle, L.; et al. Blood Inflammatory, Hydro-Electrolytes and Acid-Base Changes in Belgian Blue Cows Developing Parietal Fibrinous Peritonitis or Generalised Peritonitis after Caesarean Section. Vet. Sci. 2022, 9, 134. https://doi.org/10.3390/vetsci9030134
Coenen M-C, Gille L, Eppe J, Casalta H, Bayrou C, Dubreucq P, Frisée V, Moula N, Evrard J, Martinelle L, et al. Blood Inflammatory, Hydro-Electrolytes and Acid-Base Changes in Belgian Blue Cows Developing Parietal Fibrinous Peritonitis or Generalised Peritonitis after Caesarean Section. Veterinary Sciences. 2022; 9(3):134. https://doi.org/10.3390/vetsci9030134
Chicago/Turabian StyleCoenen, Marie-Charlotte, Linde Gille, Justine Eppe, Hélène Casalta, Calixte Bayrou, Pierre Dubreucq, Vincent Frisée, Nassim Moula, Julien Evrard, Ludovic Martinelle, and et al. 2022. "Blood Inflammatory, Hydro-Electrolytes and Acid-Base Changes in Belgian Blue Cows Developing Parietal Fibrinous Peritonitis or Generalised Peritonitis after Caesarean Section" Veterinary Sciences 9, no. 3: 134. https://doi.org/10.3390/vetsci9030134
APA StyleCoenen, M.-C., Gille, L., Eppe, J., Casalta, H., Bayrou, C., Dubreucq, P., Frisée, V., Moula, N., Evrard, J., Martinelle, L., Sartelet, A., Bossaert, P., & Djebala, S. (2022). Blood Inflammatory, Hydro-Electrolytes and Acid-Base Changes in Belgian Blue Cows Developing Parietal Fibrinous Peritonitis or Generalised Peritonitis after Caesarean Section. Veterinary Sciences, 9(3), 134. https://doi.org/10.3390/vetsci9030134

