Evaluating the Histologic Grade of Digital Squamous Cell Carcinomas in Dogs with Dark and Light Haircoat—A Comparative Study of the Invasive Front and Tumor Cell Budding Systems
Abstract
Simple Summary
Abstract
1. Introduction
2. Materials and Methods
2.1. Samples
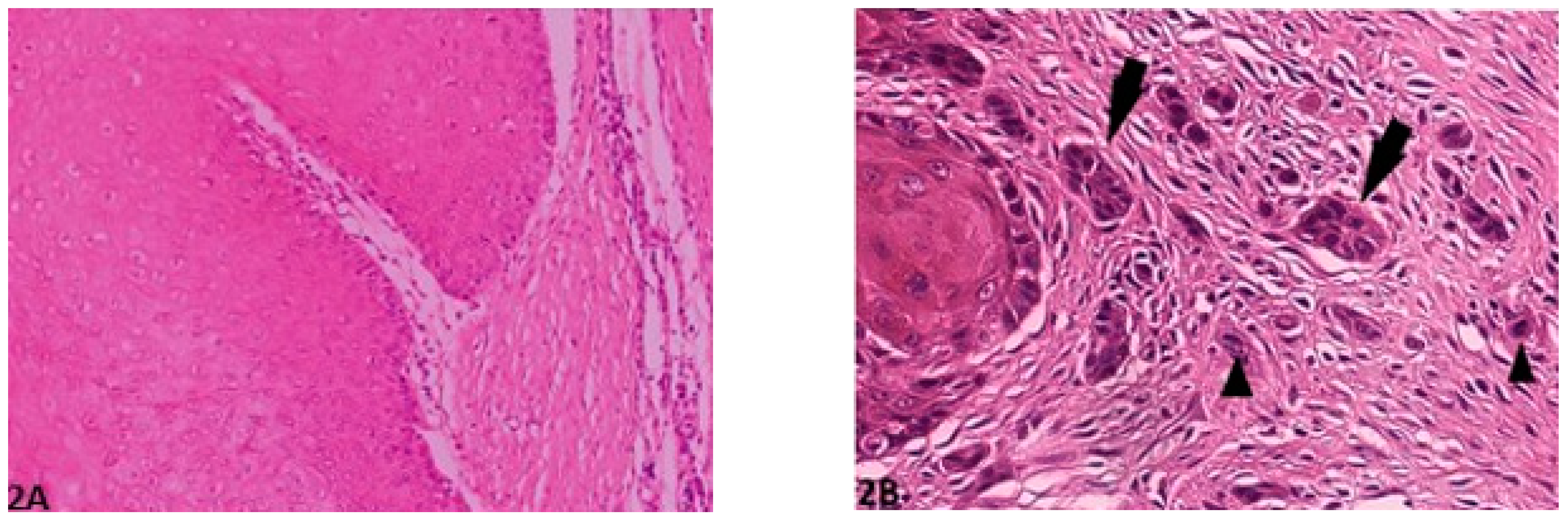
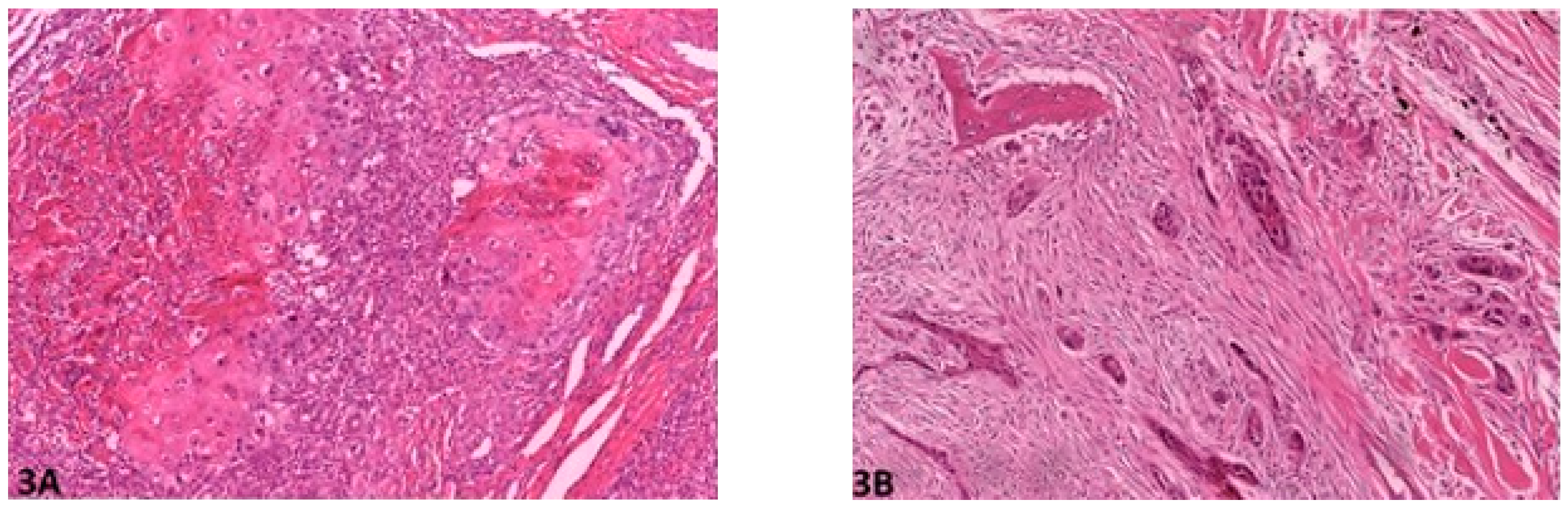
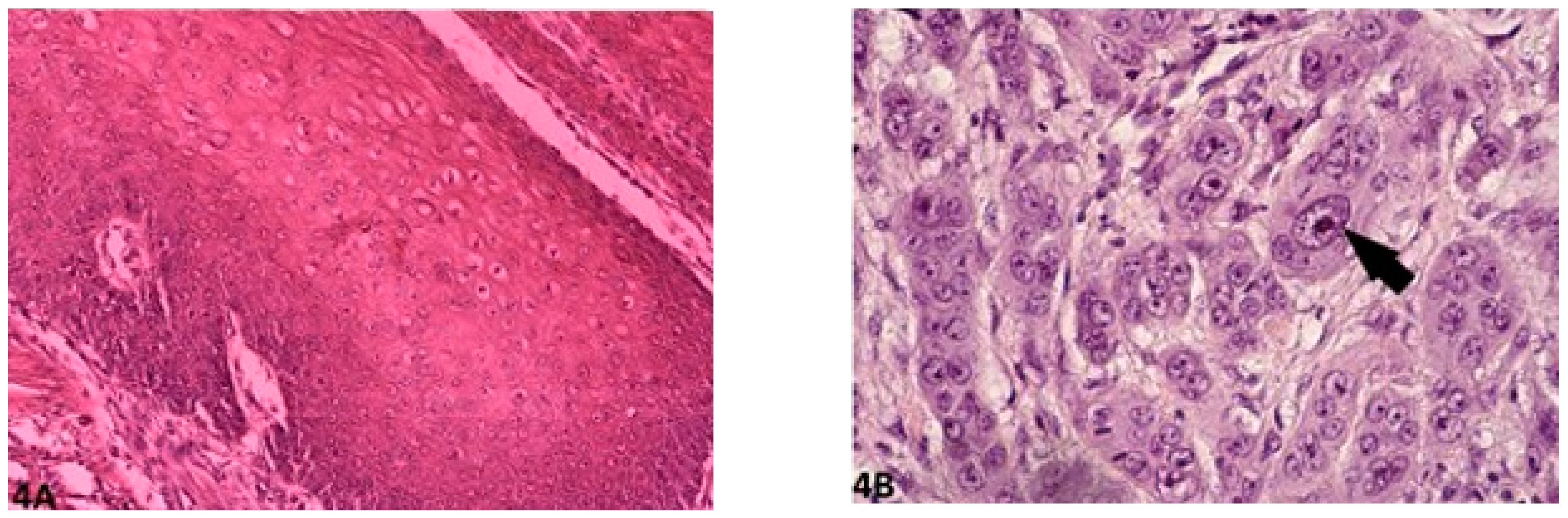
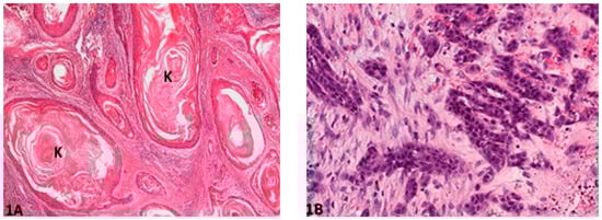
2.2. Histological Grading
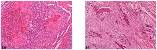
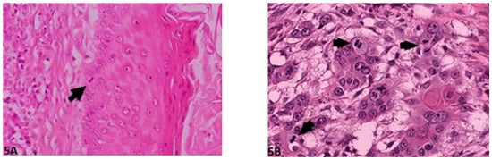
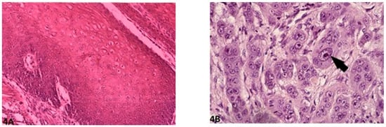
2.2.1. Invasive front Grading System (IFGS)
- Total score value 6–10 = grade I (well differentiated);
- Total score value 11–15 = grade II (moderately differentiated);
- Total score value 16–20 = grade III (poorly differentiated).
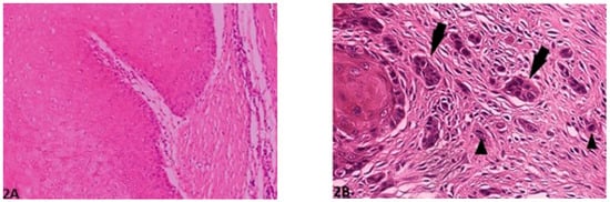
2.2.2. Tumor Cell Budding Grading System (TCBGS)
2.3. Statistical Analysis
3. Results
3.1. Invasive front Grading System (IFGS)
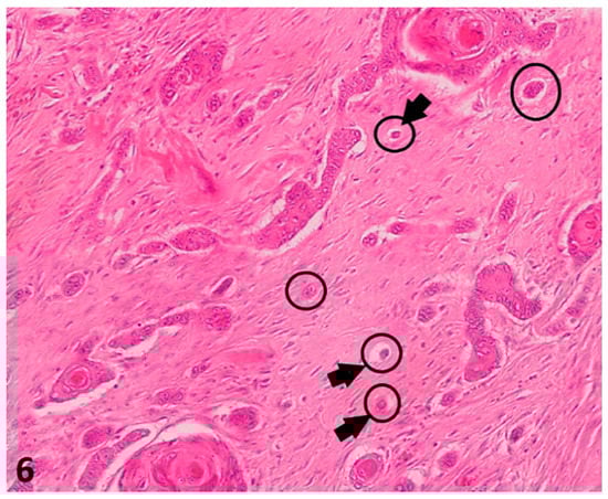
3.2. Tumor Cell Budding Grading System (TCBGS)
3.3. Comparison of Invasive Front Grading System and Tumor Cell Budding System
4. Discussion
5. Conclusions
Supplementary Materials
Author Contributions
Funding
Institutional Review Board Statement
Informed Consent Statement
Data Availability Statement
Acknowledgments
Conflicts of Interest
References
- Mauldin, E.; Peters-Kennedy, J. Integumentary System. In Jubb, Kennedy, and Palmer’s Pathology of Domestic Animals, 6th ed.; Elsiever: Amsterdam, The Netherlands, 2015. [Google Scholar]
- Nagamine, E.; Hirayama, K.; Matsuda, K.; Okamoto, M.; Ohmachi, T.; Uchida, K.; Kadosawa, T.; Taniyama, H. Invasive Front Grading and Epithelial-Mesenchymal Transition in Canine Oral and Cutaneous Squamous Cell Carcinomas. Vet.-Pathol. 2017, 54, 783–791. [Google Scholar] [CrossRef] [PubMed]
- Willcox, J.L.; Marks, S.L.; Ueda, Y.; Skorupski, K.A. Clinical features and outcome of dermal squamous cell carcinoma in 193 dogs (1987–2017). Vet.-Comp. Oncol. 2019, 17, 130–138. [Google Scholar] [CrossRef] [PubMed]
- Paradis, M.; Scott, D.W.; Breton, L. Squamous cell carcinoma of the nail bed in three related giant schnauzers. Vet.-Rec. 1989, 125, 322–324. [Google Scholar] [CrossRef] [PubMed]
- Munday, J.S.; Waropastrakul, S.; Gibson, I.; French, A.F. Papillomaviral DNA sequences are not amplifiable from canine subungual squamous cell carcinomas. N. Z. Vet.-J. 2013, 61, 234–236. [Google Scholar] [CrossRef]
- Jesinghaus, M.; Brühl, F.; Steiger, K.; Klare, P.; Reiser, M.; Scheiter, A.; Konukiewitz, B.; Kuhn, P.; Münch, S.; Quante, M.; et al. Cellular Dissociation Grading Based on the Parameters Tumor Budding and Cell Nest Size in Pretherapeutic Biopsy Specimens Allows for Prognostic Patient Stratification in Esophageal Squamous Cell Carcinoma Independent from Clinical Staging. Am. J. Surg. Pathol. 2019, 43, 618–627. [Google Scholar] [CrossRef]
- Jesinghaus, M.; Strehl, J.; Boxberg, M.; Brühl, F.; Wenzel, A.; Konukiewitz, B.; Schlitter, A.M.; Steiger, K.; Warth, A.; Schnelzer, A.; et al. Introducing a novel highly prognostic grading scheme based on tumour budding and cell nest size for squamous cell carcinoma of the uterine cervix. J. Pathol. Clin. Res. 2018, 4, 93–102. [Google Scholar] [CrossRef]
- Weichert, W.; Kossakowski, C.; Harms, A.; Schirmacher, P.; Muley, T.; Dienemann, H.; Warth, A. Proposal of a prognostically relevant grading scheme for pulmonary squamous cell carcinoma. Eur. Respir. J. 2016, 47, 938–946. [Google Scholar] [CrossRef]
- Boxberg, M.; Kuhn, P.-H.; Reiser, M.; Erb, A.; Steiger, K.; Pickhard, A.; Straßen, U.; Koob, I.; Kolk, A.; Warth, A.; et al. Tumor Budding and Cell Nest Size Are Highly Prognostic in Laryngeal and Hypopharyngeal Squamous Cell Carcinoma: Further Evidence for a Unified Histopathologic Grading System for Squamous Cell Carcinomas of the Upper Aerodigestive. Tract. Am. J. Surg. Pathol. 2019, 43, 303–313. [Google Scholar] [CrossRef]
- Bharat, V. Comparitive Analysis of Broder & Bryne’s Grading of Squamous Cell Carcinoma in Different Anatomical Sites. IOSR J. Res. Method Educ. 2018, 8, 4. [Google Scholar]
- Belluco, S.; Brisebard, E.; Watrelot, D.; Pillet, E.; Marchal, T.; Ponce, F. Digital Squamous Cell Carcinoma in Dogs: Epidemiological, Histological, and Imunohistochemical Study. Vet. Pathol. 2013, 4, 50. [Google Scholar] [CrossRef]
- O’Brien, M.G.; Berg, J.; Engler, S.J. Treatment by digital amputation of subungual squamous cell carcinoma in dogs: 21 cases (1987–1988). J. Am. Vet.-Med. Assoc. 1992, 201, 759–761. [Google Scholar] [PubMed]
- Goldschmidt, M.; Goldschmidt, K.H. Epithelial and Melanocytic Tumors of the Skin. In Tumors in Domestic Animals; Wiley: New York, NY, USA, 2016; pp. 88–141. [Google Scholar]
- Schwab, M. Broder Histological Classification. In Encyclopedia of Cancer; Springer: Berlin/Heidelberg, Germany, 2011; p. 571. [Google Scholar] [CrossRef]
- Nemec, A.; Murphy, B.; Kass, P.; Verstraete, F. Histological Subtypes of Oral Non-tonsillar Squamous Cell Carcinoma in Dogs. J. Comp. Pathol. 2012, 147, 111–120. [Google Scholar] [CrossRef] [PubMed]
- Shimizu, S.; Miyazaki, A.; Sonoda, T.; Koike, K.; Ogi, K.; Kobayashi, J.-I.; Kaneko, T.; Igarashi, T.; Ueda, M.; Dehari, H.; et al. Tumor budding is an independent prognostic marker in early stage oral squamous cell carcinoma: With special reference to the mode of invasion and worst pattern of invasion. PLoS ONE 2018, 13, e0195451. [Google Scholar] [CrossRef] [PubMed]
- Wobeser, B.K.; Kidney, B.A.; Powers, B.E.; Withrow, S.J.; Mayer, M.N.; Spinato, M.T.; Allen, A.L. Diagnoses and Clinical Outcomes Associated with Surgically Amputated Canine Digits Submitted to Multiple Veterinary Diagnostic Laboratories. Vet.-Pathol. 2007, 44, 355–361. [Google Scholar] [CrossRef] [PubMed]
- Everts, R.E.; Rothuizen, J.; van Oost, B.A. Identification of a premature stop codon in the melanocyte-stimulating hormone receptor gene (MC1R) in Labrador and Golden retrievers with yellow coat colour. Anim. Genet. 2000, 31, 194–199. [Google Scholar] [CrossRef] [PubMed]
- Weich, K.; Affolter, V.K.; York, D.; Rebhun, R.B.; Grahn, R.; Kallenberg, A.; Bannasch, D. Pigment Intensity in Dogs is Associated with a Copy Number Variant Upstream of KITLG. Genes 2020, 11, 75. [Google Scholar] [CrossRef]
- Karyadi, D.M.; Karlins, E.; Decker, B.; Vonholdt, B.M.; Carpintero-Ramirez, G.; Parker, H.G.; Wayne, R.K.; Ostrander, E.A. A Copy Number Variant at the KITLG Locus Likely Confers Risk for Canine Squamous Cell Carcinoma of the Digit. PLoS Genet. 2013, 9, e1003409. [Google Scholar] [CrossRef]
- Meuten, D.J.; Moore, F.M.; George, J.W. Mitotic Count and the Field of View Area: Time to Standardize. Vet. Pathol. 2016, 53, 7–9. [Google Scholar] [CrossRef]
- Gudbjartsson, D.F.; Sulem, P.; Stacey, S.N.; Goldstein, A.M.; Rafnar, T.; Sigurgeirsson, B.; Benediktsdottir, K.R.; Thorisdottir, K.; Ragnarsson, R.; Sveinsdottir, S.G.; et al. ASIP and TYR pigmentation variants associate with cutaneous melanoma and basal cell carcinoma. Nat. Genet. 2008, 40, 886–891. [Google Scholar] [CrossRef]
- Leiter, U.; Eigentler, T.; Garbe, C. Epidemiology of skin cancer. Adv. Exp. Med. Biol. 2014, 810, 120–140. [Google Scholar] [CrossRef]
- Hm, G.K.N. Skin cancer in skin of color. J. Am. Acad. Dermatol. 2006, 55, 741–760. [Google Scholar] [CrossRef]
- D’Orazio, J.; Marsch, A.; Lagrew, J.; Veith, W. Skin Pigmentation and Melanoma Risk. In Advances in Malignant Melanoma—Clinical and Research Perspectives; IntechOpen: London, UK, 2011; pp. 39–67. [Google Scholar]
- Prouteau, A.; André, C. Canine Melanomas as Models for Human Melanomas: Clinical, Histological, and Genetic Comparison. Genes 2019, 10, 501. [Google Scholar] [CrossRef] [PubMed]
- Lugli, A.; Kirsch, R.; Ajioka, Y.; Bosman, F.; Cathomas, G.; Dawson, H.; El Zimaity, H.; Fléjou, J.-F.; Hansen, T.P.; Hartmann, A.; et al. Recommendations for reporting tumor budding in colorectal cancer based on the International Tumor Budding Consensus Conference (ITBCC) 2016. Mod. Pathol. Off. J. US Can. Acad. Pathol. Inc. 2017, 30, 1299–1311. [Google Scholar] [CrossRef] [PubMed]
- Santana, C.H.; Moreira, P.R.R.; Rosolem, M.C.; Vasconcelos, R.D.O. Relationship between the inflammatory infiltrate and the degree of differentiation of the canine cutaneous squamous cell carcinoma. Vet.-Anim. Sci. 2016, 2, 4–8. [Google Scholar] [CrossRef] [PubMed]
- Dunn, G.P.; Old, L.J.; Schreiber, R.D. The Three Es of Cancer Immunoediting. Annu. Rev. Immunol. 2004, 22, 329–360. [Google Scholar] [CrossRef]
- Gasparotto, D.; Polesel, J.; Marzotto, A.; Colladel, R.; Piccinin, S.; Modena, P.; Grizzo, A.; Sulfaro, S.; Serraino, D.; Barzan, L.; et al. Overexpression of TWIST2 correlates with poor prognosis in Head and Neck Squamous Cell Carcinomas. Oncotarget 2011, 2, 1165–1175. [Google Scholar] [CrossRef]
- Mineshige, T.; Ogihara, K.; Kamiie, J.; Sugahara, G.; Chambers, J.K.; Uchida, K.; Madarame, H.; Shirota, K. Increased expression of the stromal fibroblast-secreted periostin in canine squamous cell carcinomas. J. Vet.-Med. Sci. 2018, 80, 473–479. [Google Scholar] [CrossRef]










| Group Assignment | Phenotypic Haircoat Color | Breed | No. of Dogs | Mean Age (y.o.) | Sex | Number of Dogs with Affected Limb RF/RH/LF/LH/U | ||||
|---|---|---|---|---|---|---|---|---|---|---|
| M | MC | F | FS | U | ||||||
| Group 1a (n = 11) No. 1–11 | Black | Russian Terrier | 7 | 9.5 | 2 | 0 | 1 | 2 | 2 | 1/0/3/0/3 |
| Briard | 2 | 0 | 1 | 1 | 0 | 0 | 0/0/2/0/0 | |||
| Giant Poodle | 1 | 0 | 1 | 0 | 0 | 0 | 0/0/1/0/0 | |||
| Labrador Retriever | 1 | 0 | 1 | 0 | 0 | 0 | 0/0/1/0/0 | |||
| Group 1b (n = 34) No. 12–45 | Giant Schnauzer | 27 | 8.5 | 10 | 8 | 4 | 5 | 0 | 9/1/10/2/5 | |
| Standard Schnauzer | 7 | 3 | 1 | 1 | 2 | 0 | 0/3/2/2/0 | |||
| Group 1c (n = 31) No. 46–76 | black & tan | Rottweiler | 21 | 9.6 | 5 | 2 | 5 | 7 | 2 | 7/1/0/2/6 |
| Gordon Setter | 10 | 6 | 1 | 2 | 1 | 0 | 3/2/0/0/5 | |||
| Group 2 (n = 18) No. 77–94 | Light | Golden Retriever | 15 | 10.5 | 8 | 1 | 3 | 0 | 3 | 4/1/4/2/4 |
| WHWT | 3 | 2 | 0 | 1 | 0 | 0 | 0/0/2/0/1 | |||
| Morphological Feature | Score Value | |||
|---|---|---|---|---|
| 1 | 2 | 3 | 4 | |
| Degree of keratinization | Highly keratinized (>50% cells) | Moderately keratinized (20–50% of cells) | Minimal keratinization (5–20% of cells) | No keratinization (0–5% of cells) |
| Pattern of invasion (bone or dermis) | Pushing, well-differentiated, infiltrating borders | Infiltrating, solid cords, bands and/or strands | Small groups/cords of infiltrating cells (n > 15) | Widespread cellular dissociation in small groups and/or in single cells (n < 15) |
| Host response | Marked | Moderate | Slight | None |
| Nuclear pleomorphism | Mild (<25% anaplasia) | Moderate (25–50% anaplasia) | Marked (50–75% anaplasia) | Extreme (75–100% anaplasia) |
| Mitosis HPF (40×) | 0–1 | 2–3 | 4–5 | >5 |
| Tumor Budding Activity/10 HPF | Score Value |
|---|---|
| No budding | 1 |
| <15 budding foci | 2 |
| ≥15 budding foci | 3 |
| Smallest cell nest size | |
| >15 cells | 1 |
| 5–15 cells | 2 |
| 2–4 cells | 3 |
| Single cell invasion | 4 |
| Invasive Front Grading System | Tumor Cell Budding Grading System | Number of Dogs with Same Grading by Both Systems | ||||||
|---|---|---|---|---|---|---|---|---|
| Light-Haired n = 18 | Dark-Haired n = 76 | Light-Haired n = 18 | Dark-Haired n = 76 | Light-Haired n = 15 | Dark-Haired n = 45 | |||
| Grade I n = 47 | 15 | 32 | Grade 1 n = 51 | 16 | 35 | Well differentiated n = 42 | 14 | 28 |
| Grade II n = 32 | 3 | 29 | Grade 2 n = 8 | 0 | 8 | Moderately differentiated n = 4 | 0 | 4 |
| Grade III n = 17 | 1 | 16 | Grade 3 n = 35 | 2 | 33 | Poorly differentiated n = 14 | 1 | 13 |
Publisher’s Note: MDPI stays neutral with regard to jurisdictional claims in published maps and institutional affiliations. |
© 2020 by the authors. Licensee MDPI, Basel, Switzerland. This article is an open access article distributed under the terms and conditions of the Creative Commons Attribution (CC BY) license (http://creativecommons.org/licenses/by/4.0/).
Share and Cite
Cerezo-Echevarria, A.; Grassinger, J.M.; Beitzinger, C.; Klopfleisch, R.; Aupperle-Lellbach, H. Evaluating the Histologic Grade of Digital Squamous Cell Carcinomas in Dogs with Dark and Light Haircoat—A Comparative Study of the Invasive Front and Tumor Cell Budding Systems. Vet. Sci. 2021, 8, 3. https://doi.org/10.3390/vetsci8010003
Cerezo-Echevarria A, Grassinger JM, Beitzinger C, Klopfleisch R, Aupperle-Lellbach H. Evaluating the Histologic Grade of Digital Squamous Cell Carcinomas in Dogs with Dark and Light Haircoat—A Comparative Study of the Invasive Front and Tumor Cell Budding Systems. Veterinary Sciences. 2021; 8(1):3. https://doi.org/10.3390/vetsci8010003
Chicago/Turabian StyleCerezo-Echevarria, Argiñe, Julia M. Grassinger, Christoph Beitzinger, Robert Klopfleisch, and Heike Aupperle-Lellbach. 2021. "Evaluating the Histologic Grade of Digital Squamous Cell Carcinomas in Dogs with Dark and Light Haircoat—A Comparative Study of the Invasive Front and Tumor Cell Budding Systems" Veterinary Sciences 8, no. 1: 3. https://doi.org/10.3390/vetsci8010003
APA StyleCerezo-Echevarria, A., Grassinger, J. M., Beitzinger, C., Klopfleisch, R., & Aupperle-Lellbach, H. (2021). Evaluating the Histologic Grade of Digital Squamous Cell Carcinomas in Dogs with Dark and Light Haircoat—A Comparative Study of the Invasive Front and Tumor Cell Budding Systems. Veterinary Sciences, 8(1), 3. https://doi.org/10.3390/vetsci8010003
