The Number and Size of Invasion Areas in Mixed-Type Carcinoma in Female Dogs Are Associated with Regional Metastases
Simple Summary
Abstract
1. Introduction
2. Materials and Methods
2.1. Ethical Aspects
2.2. Samples
2.3. Histology
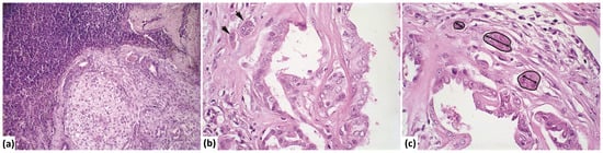
2.4. Histomorphometry of Invasive Areas
2.5. Immunohistochemistry
2.6. Specific Survival
2.7. Statistical Analysis
3. Results
3.1. Sample Characterization
3.2. Evaluation of Size, Perimeter, and Number of Invasion Foci
3.3. Evaluation of the Impact of Lymph Node Metastasis, Size, and Number of Invasion Foci on Specific Survival
4. Discussion
5. Conclusions
Author Contributions
Funding
Institutional Review Board Statement
Informed Consent Statement
Data Availability Statement
Conflicts of Interest
References
- Goldschmidt, M.; Peña, L.; Rasotto, R.; Zappulli, V. Classification and grading of canine mammary tumors. Vet. Pathol. 2011, 48, 117–131. [Google Scholar] [CrossRef] [PubMed]
- Cassali, G.D.; Nakagaki, K.Y.R.; Jark, P.C.; dos Santos Horta, R.; Arias, A.C.; Tellado, M.N.; Estrela-Lima, A.; Sueiro, F.A.R.; dos Reys, M.P.; Wronski, J.G.; et al. Consensus on the diagnosis, prognosis, and treatment of canine and feline mammary tumors: Solid arrangement—2023. Braz. J. Vet. Pathol. 2024, 17, 152–163. [Google Scholar] [CrossRef]
- Nunes, F.C.; Campos, C.B.; Teixeira, S.V.; Bertagnolli, A.C.; Lavalle, G.E.; Cassali, G.D. Epidemiological, clinical and pathological evaluation of overall survival in canines with mammary neoplasms. Arq. Bras. Med. Vet. Zootec. 2018, 70, 1714–1722. [Google Scholar] [CrossRef]
- Cassali, G.D.; Damasceno, K.A.; Bertagnolli, A.C.; Estrela-Lima, A.; Lavalle, G.E.; Santis, G.D.; Nardi, A.D.; Fernandes, C.G.; Cogliati, B.; Sobral, R.; et al. Consensus regarding the diagnosis, prognosis and treatment of canine mammary tumors: Benign mixed tumors, carcinomas in mixed tumors and carcinosarcomas. Braz. J. Vet. Pathol. 2017, 10, 87–99. [Google Scholar] [CrossRef]
- Nunes, F.C.; Damasceno, K.A.; de Campos, C.B.; Bertagnolli, A.C.; Lavalle, G.E.; Cassali, G.D. Mixed tumors of the canine mammary glands: Evaluation of prognostic factors, treatment, and overall survival. Vet. Anim. Sci. 2019, 7, 100039. [Google Scholar] [CrossRef]
- Cavalcanti, M.F.; Cassali, G.D. Fatores prognósticos no diagnóstico clínico e histopatológico dos tumores de mama em cadelas—Revisão. Rev. Clínica Vet. 2006, 61, 56–63. [Google Scholar]
- Misdorp, W. Tumors of the mammary gland. In Tumors in Domestic Animals, 4th ed.; Meuten, D.J., Ed.; Iowa State Press: Ames, IA, USA, 2002; pp. 575–606. [Google Scholar]
- Misdorp, W.; Cotchin, E.; Hampe, J.F.; Jabara, A.G.; Von Sandersleben, J. Canine malignant mammary tumors III. Special types of carcinomas, malignant mixed tumors. Vet. Pathol. 1973, 10, 241–256. [Google Scholar] [CrossRef]
- Tavasoly, A.; Golshahi, H.; Rezaie, A.; Farhadi, M. Classification and grading of canine malignant mammary tumors. Vet. Res. Forum 2013, 4, 25–30. [Google Scholar]
- Nosalova, N.; Huniadi, M.; Horňáková, Ľ.; Valenčáková, A.; Horňák, S.; Nagoos, K.; Vozar, J. Canine Mammary Tumors: Classification, Biomarkers, Traditional and Personalized Therapies. Int. J. Mol. Sci. 2024, 25, 2891. [Google Scholar] [CrossRef]
- Bertagnolli, A.C.; Ferreira, E.; Dias, E.J.; Cassali, G.D. Canine mammary mixed tumours: Imunohistochemical expressions of EGFR and HER-2. Aust. Vet. J. 2011, 89, 312–317. [Google Scholar] [CrossRef]
- Damasceno, K.A.; Bertagnolli, A.C.; Estrela-Lima, A.; Ribeiro, L.G.; Rabelo, B.S.; Campos, C.B.; Barros, A.L.; Cassali, G.D. Versican expression in canine carcinomas of benign mixed tumors: Is there a relationship with clinical pathological factors, invasion and overall survival? BMC Vet. Res. 2012, 8, 195. [Google Scholar]
- Marchiò, C.; Horlings, H.M.; Vincent-Salomon, A. Breast Tumours, 5th ed.; WHO Classification of Tumours Editorial Board, Ed.; International Agency for Research on Cancer: Lyon, France, 2019; pp. 128–130.
- Hoda, S.A.; Prasad, M.L.; Moore, A.; Giri, D. Microinvasive carcinoma of the breast: Can it be diagnosed reliably and is it clinically significant? Histopathology 1999, 35, 468–470. [Google Scholar]
- Feng, C.; Zheng, Q.; Yang, Y. Breast Microinvasive Carcinoma With Different Morphologies: Analysis of Clinicopathologic Features of 121 Cases. Breast Cancer 2020, 14, 1178223420948482. [Google Scholar] [CrossRef]
- Elston, C.W.; Ellis, I.O. Pathological prognostic factors in breast cancer. The value of histological grade in breast cancer: Experience from a large study with long-term follow-up. Histopathology 1991, 19, 403–410. [Google Scholar] [CrossRef]
- Carvalho, M.I.; Pires, I.; Prada, J.; Lobo, L.; Queiroga, F.L. Ki-67 and PCNA Expression in Canine Mammary Tumors and Adjacent Nonneoplastic Mammary Glands. Vet. Pathol. 2016, 53, 1138–1146. [Google Scholar]
- Damasceno, K.A.; Ferreira, E.; Estrela-Lima, A.; Bosco, Y.; Silva, L.P.; Barros, A.L.B.D.; Bertagnolli, A.C.; Cassali, G.D. Relationship between the expression of versican and EGFR, HER-2, HER-3 and CD44 in matrix-producing tumours in the canine mammary gland. Histol. Histopathol. Cell Mol. Biol. 2016, 31, 675–688. [Google Scholar]
- De Araújo, M.R.; Campos, L.C.; Ferreira, E.; Cassali, G.D. Quantitation of the Regional Lymph Node Metastatic Burden and Prognosis in Malignant Mammary Tumors of Dogs. J. Vet. Intern. Med. 2015, 29, 1360–1367. [Google Scholar]
- Ma, S.; Lv, Y.; Ma, R. Prognostic significance of metastatic lymph nodes ratio (MLNR) combined with protein-tyrosine phosphatase H1 (PTPH1) expression in operable breast invasive ductal carcinoma. Cancer Manag. Res. 2020, 12, 1895–1901. [Google Scholar]
- Misdorp, W.; Else, R.W.; Hellmén, E.; Lipscomb, T.P.; Schulman, F.Y.; Bostock, D.E.; Mialot, J.P.; Roccabianca, P.; Goldschmidt, M.H.; Rosolen, S.G.; et al. Histological Classification of Mammary Tumors of the Dog and the Cat; 2nd Series; Armed Forces Institute of Pathology, American Registry of Pathology and the World Health Organization Collaborating Center for Worldwide Reference on Comparative Oncology: Washington, DC, USA, 1999; Volume VII, pp. 1–59. [Google Scholar]
- Garcia, A.P.V.; Taborda, D.Y.O.; Reis, L.A.; de Paula, A.M.; Cassali, G.D. Collagen modifications predictive of lymph node metastasis in dogs with carcinoma in mixed tumours. Front. Vet. Sci. 2024, 11, 1362693. [Google Scholar] [CrossRef]
- Nunes, F.C.; Bertagnolli, A.C.; Lavalle, G.E.; Silveira, T.L.; Balabram, D.; Cassali, G.D. The prognostic significance of immunophenotypes in canine malignant mammary tumors. Arq. Bras. Med. Vet. Zootec. 2022, 74, 299–309. [Google Scholar]
- Lavalle, G.E.; Bertagnolli, A.C.; Tavares, W.L.F.; Cassali, G.D. Cox-2 Expression in Canine Mammary Carcinomas. Vet. Pathol. 2009, 46, 1275–1280. [Google Scholar]
- Tawfik, M.F.; Oda, S.S.; Khafaga, A.F. Pathological and immunohistochemical microscopy of natural cases of canine and feline neoplastic mammary lesions. Microsc. Microanal. 2021, 27, 910–922. [Google Scholar]
- Garcia, A.P.; Reis, L.A.; Nunes, F.C.; Longford, F.G.; Frey, J.G.; de Paula, A.M.; Cassali, G.D. Canine mammary cancer tumor behavior and patient survival time are associated with collagen fiber characteristics. Sci. Rep. 2021, 11, 5668. [Google Scholar]
- Brown, D.L. Practical Stereology Applications for the Pathologist. Vet. Pathol. 2017, 54, 358–368. [Google Scholar] [CrossRef]
- Lana, S.E.; Rutteman, G.R.; Withrow, S.J. Tumors of the Mammary Gland. In Withrow and MacEwen’s Small Animal Clinical Oncology, 4th ed.; Withrow, S.J., MacEwen, E.G., Eds.; Saunders Elsevier: St. Louis, MO, USA, 2007; pp. 619–636. [Google Scholar]
- Alenza, M.P.; Pena, L.; Castillo, N.D.; Nieto, A.I. Factors influencing the incidence and prognosis of canine mammary tumours. J. Small Anim. Pract. 2000, 41, 287–291. [Google Scholar]
- Horimoto, Y.; Polanska, U.M.; Takahashi, Y.; Orimo, A. Emerging roles of the tumor-associated stroma in promoting tumor metastasis. Cell Adhes. Migr. 2012, 6, 193–202. [Google Scholar] [CrossRef]
- Rajakyla, K.; Krishnan, R.; Tojkander, S. Analysis of Contractility and Invasion Potential of Two Canine Mammary Tumor Cell Lines. Front. Vet. Sci. 2017, 4, 149. [Google Scholar] [CrossRef]
- Case, A.; Brisson, B.K.; Durham, A.C.; Rosen, S.; Monslow, J.; Buza, E.; Sorenmo, K.U. Identification of prognostic collagen signatures and potential therapeutic stromal targets in canine mammary gland carcinoma. PLoS ONE 2017, 12, e0180448. [Google Scholar] [CrossRef]
- Santos, A.A.; Lopes, C.C.; Ribeiro, J.; Martins, L.R.; Santos, J.C.; Amorim, I.F.; Faustino, A.M.R. Identification of prognostic factors in canine mammary malignant tumours: A multivariable survival study. BMC Vet. Res. 2013, 9, 1. [Google Scholar] [CrossRef]
- Ferreira, T.; Miranda, M.; Pinto-Leite, R.; Mano, J.F.; Medeiros, R.; Oliveira, P.A.; Gama, A. Integrated Study of Canine Mammary Tumors: Histopathology, Immunohistochemistry, and Cytogenetic Findings. Vet. Sci. 2024, 11, 409. [Google Scholar] [CrossRef]
- Lutful Kabir, F.M.; Alvarez, C.E.; Bird, R.C. Canine Mammary Carcinomas: A Comparative Analysis of Altered Gene Expression. Vet. Sci. 2016, 3, 1. [Google Scholar] [CrossRef]
- Ferreira, T.; da Costa, R.M.G.; Dias, F.; Gama, A.; Gaspar, V.M.; Mano, J.F.; Oliveira, P.A.; Medeiros, R. Exploring the role of microRNAs as diagnostic and prognostic biomarkers in canine mammary tumors. Geroscience 2024, 46, 6641–6657. [Google Scholar] [CrossRef] [PubMed]
- Fernandez, M.; Rodriguez-Bertos, A.; Movilla, R.; Diez-Bru, N.; Gomez-Laguna, J.; Pena, L. Prognostic significance of immunohistochemical markers and histological classification in malignant canine mammary tumours. Vet. Comp. Oncol. 2020, 18, 2276–2284. [Google Scholar] [CrossRef]



Disclaimer/Publisher’s Note: The statements, opinions and data contained in all publications are solely those of the individual author(s) and contributor(s) and not of MDPI and/or the editor(s). MDPI and/or the editor(s) disclaim responsibility for any injury to people or property resulting from any ideas, methods, instructions or products referred to in the content. |
© 2025 by the authors. Licensee MDPI, Basel, Switzerland. This article is an open access article distributed under the terms and conditions of the Creative Commons Attribution (CC BY) license (https://creativecommons.org/licenses/by/4.0/).
Share and Cite
Miranda, F.F.; Garcia, A.P.V.; dos Reys, M.P.; Viscone, E.A.; Flecher, M.C.; Rodrigues, M.A.; Cassali, G.D. The Number and Size of Invasion Areas in Mixed-Type Carcinoma in Female Dogs Are Associated with Regional Metastases. Vet. Sci. 2025, 12, 318. https://doi.org/10.3390/vetsci12040318
Miranda FF, Garcia APV, dos Reys MP, Viscone EA, Flecher MC, Rodrigues MA, Cassali GD. The Number and Size of Invasion Areas in Mixed-Type Carcinoma in Female Dogs Are Associated with Regional Metastases. Veterinary Sciences. 2025; 12(4):318. https://doi.org/10.3390/vetsci12040318
Chicago/Turabian StyleMiranda, Fernanda Freitas, Ana Paula Vargas Garcia, Marina Possa dos Reys, Erica Almeida Viscone, Mayra Cunha Flecher, Michele Angela Rodrigues, and Geovanni Dantas Cassali. 2025. "The Number and Size of Invasion Areas in Mixed-Type Carcinoma in Female Dogs Are Associated with Regional Metastases" Veterinary Sciences 12, no. 4: 318. https://doi.org/10.3390/vetsci12040318
APA StyleMiranda, F. F., Garcia, A. P. V., dos Reys, M. P., Viscone, E. A., Flecher, M. C., Rodrigues, M. A., & Cassali, G. D. (2025). The Number and Size of Invasion Areas in Mixed-Type Carcinoma in Female Dogs Are Associated with Regional Metastases. Veterinary Sciences, 12(4), 318. https://doi.org/10.3390/vetsci12040318

