The Pathogenic Effects of Moroccan Very Virulent Infectious Bursal Disease Virus on Lymphoid Organs: A Comparative Study in Conventional Broiler and Specific-Pathogen-Free Chickens
Simple Summary
Abstract
1. Introduction
2. Materials and Methods
2.1. Animals
2.2. Experimental Design
2.3. Clinical Signs
2.4. Histopathological Changes
2.5. Quantification of IBDV Using Quantitative RT-PCR
3. Results
3.1. Clinical Signs and Mortality
3.1.1. Experiment 1
3.1.2. Experiment 2
3.2. Postmortem Examination
3.2.1. Experiment 1
3.2.2. Experiment 2
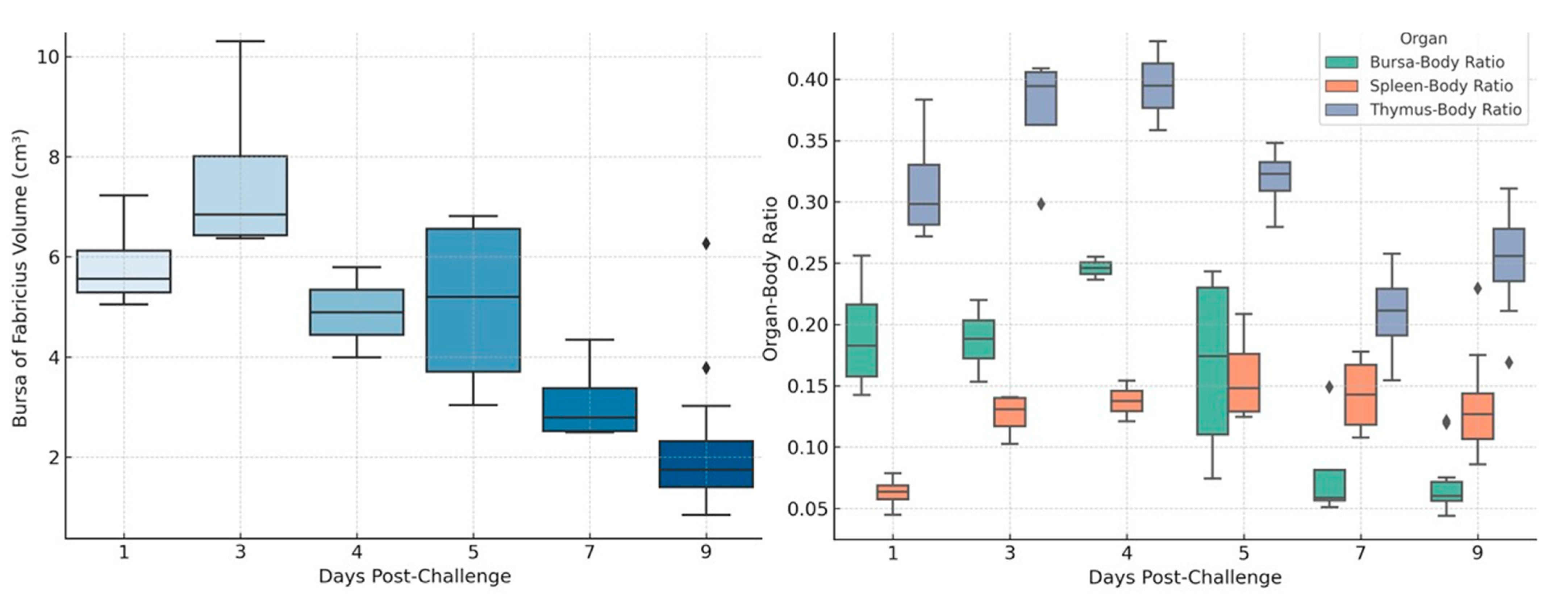
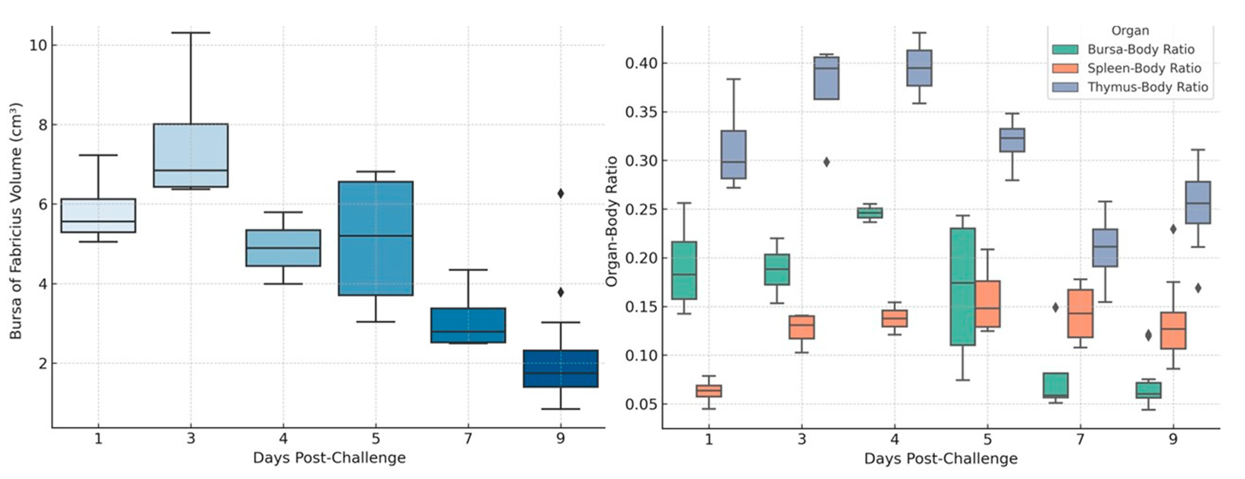
3.3. Morphometric Measurements
3.3.1. Volume of Bursa of Fabricius
3.3.2. Bursa–Body Ratio (BBR) and Bursa–Body Index (BBI)
3.3.3. Spleen–Body Ratio (SBR)
3.3.4. Thymus–Body Ratio (TBR)
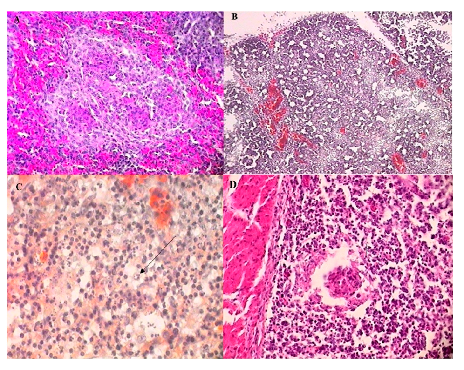
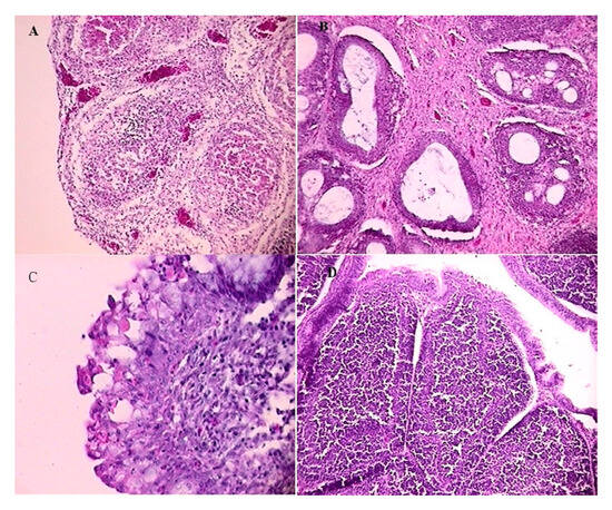
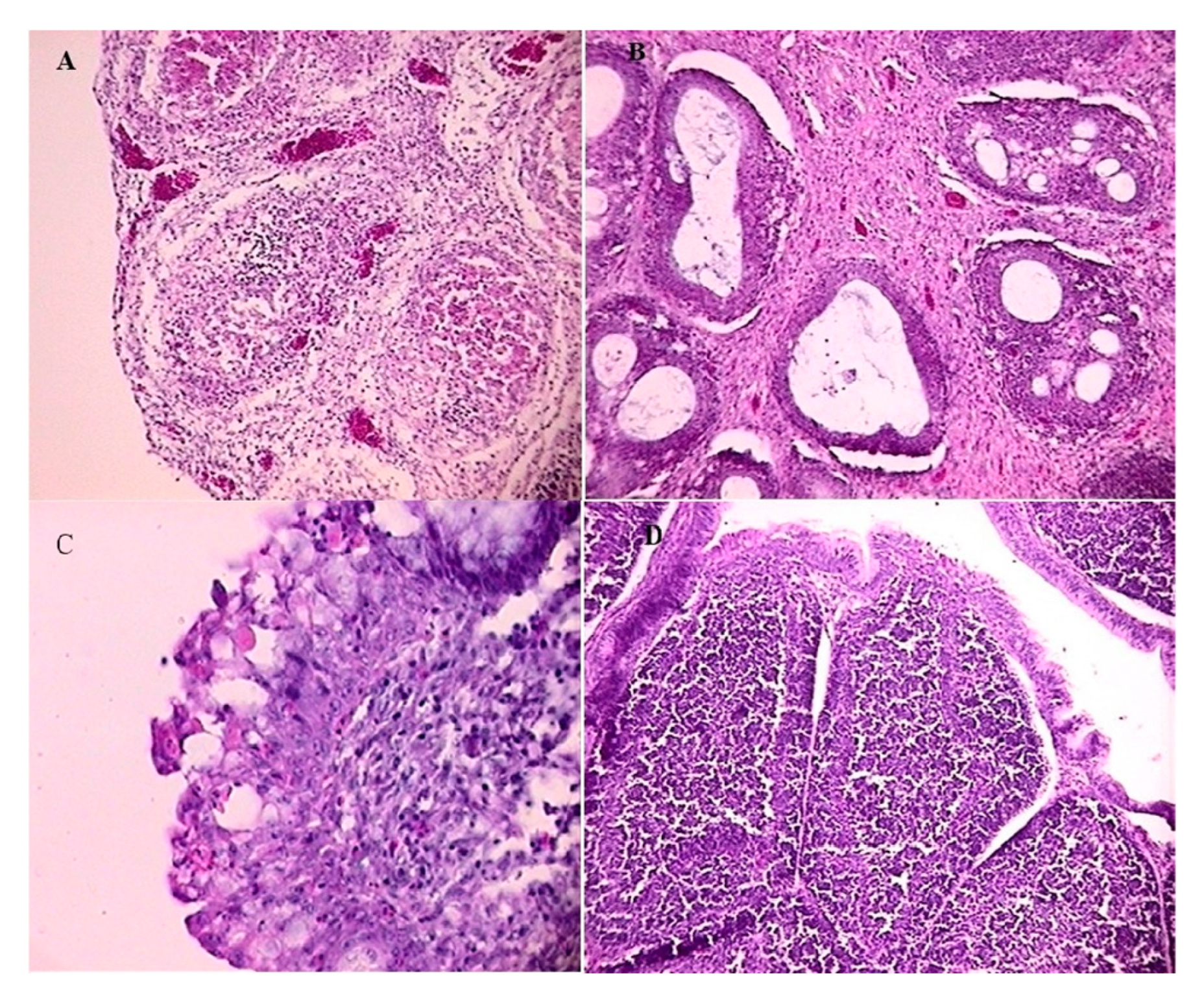
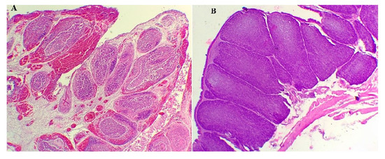
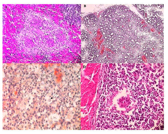
3.4. Microscopic Lesions
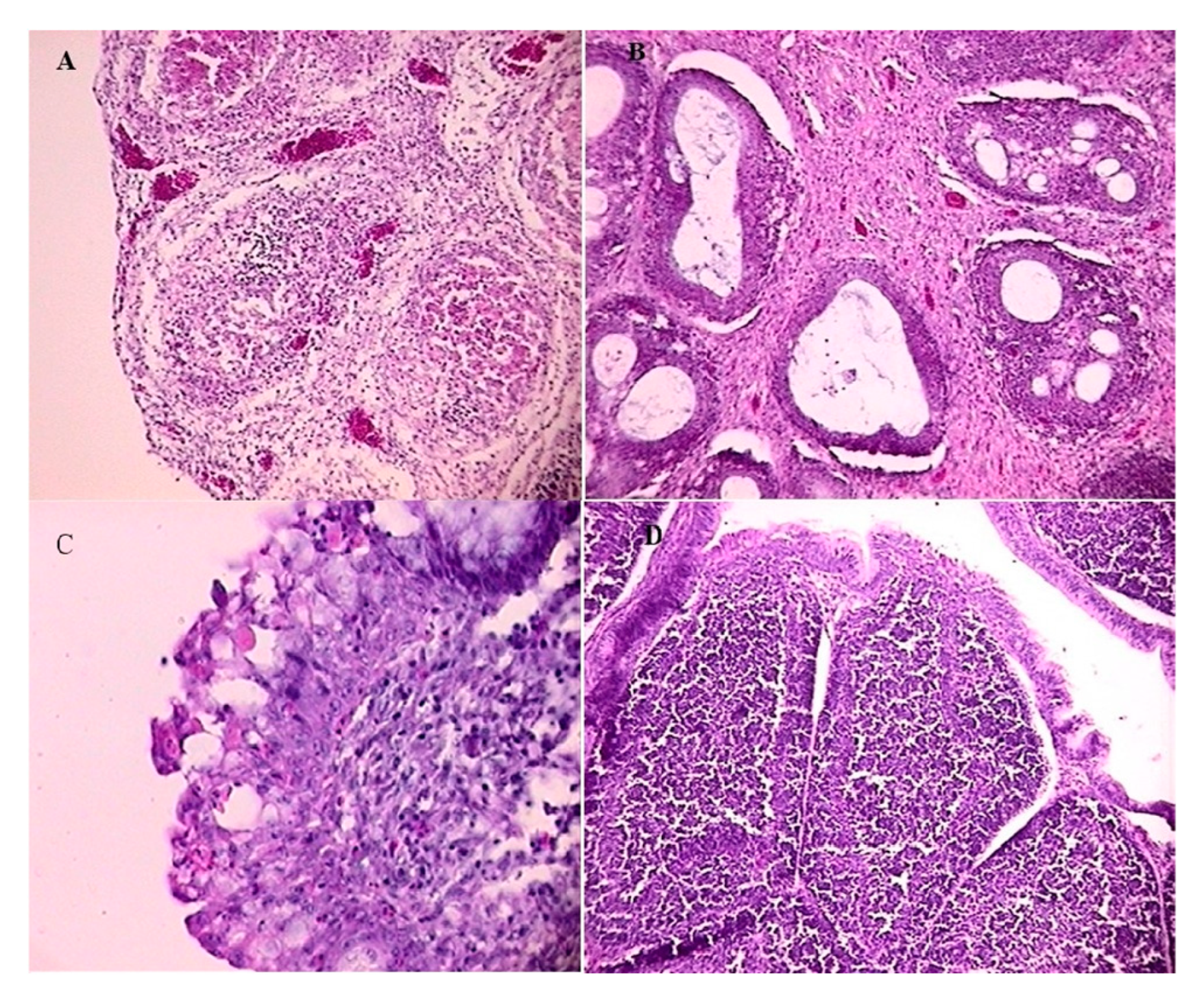
3.4.1. Bursa of Fabricius
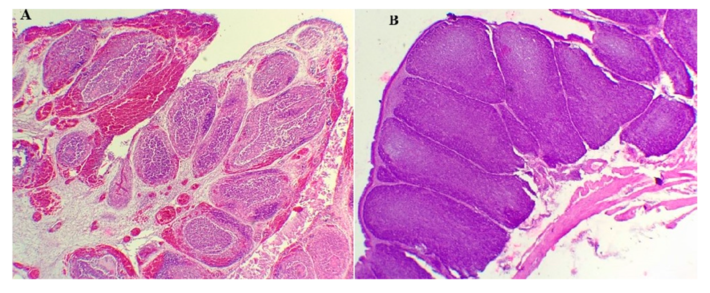
3.4.2. Spleen
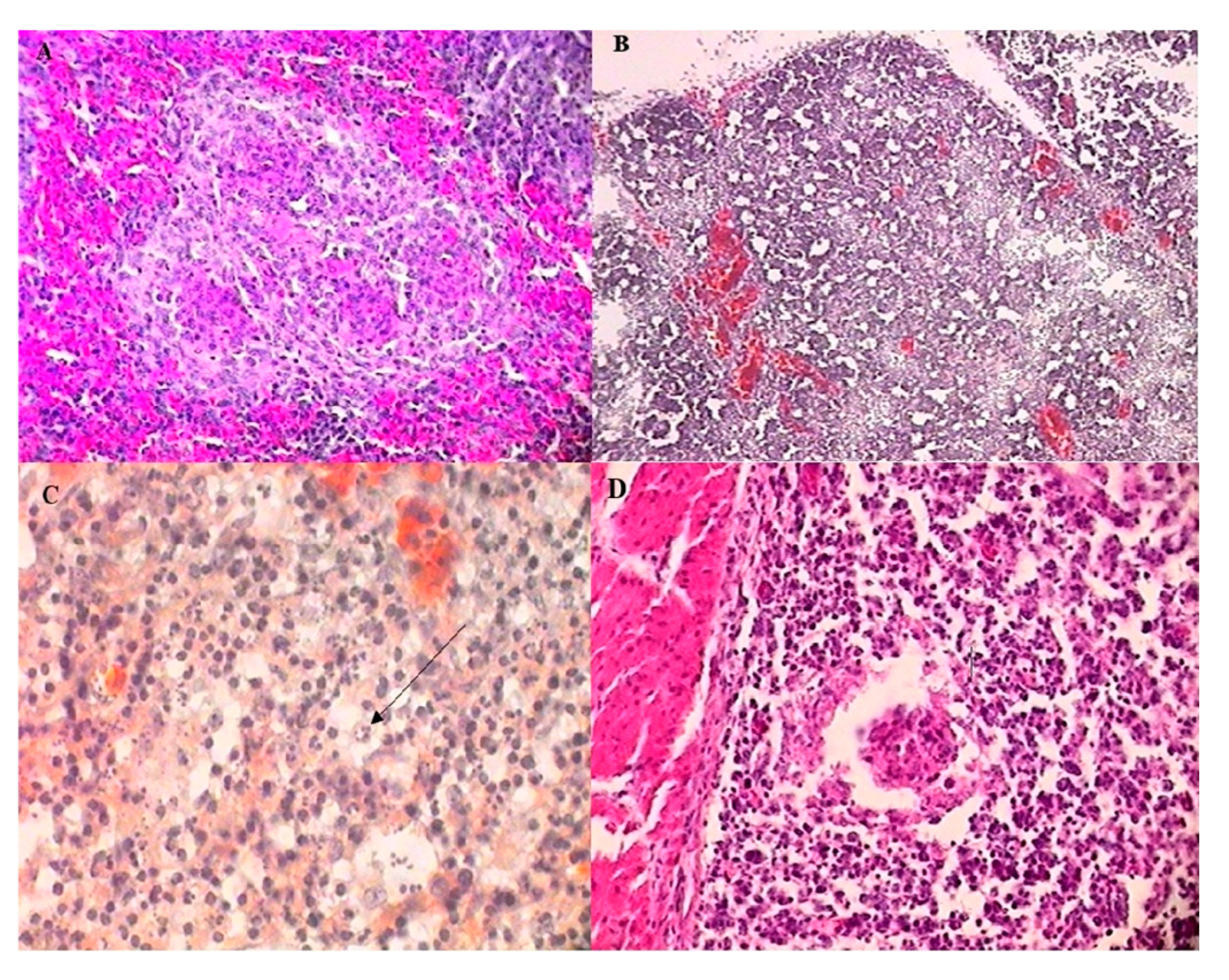
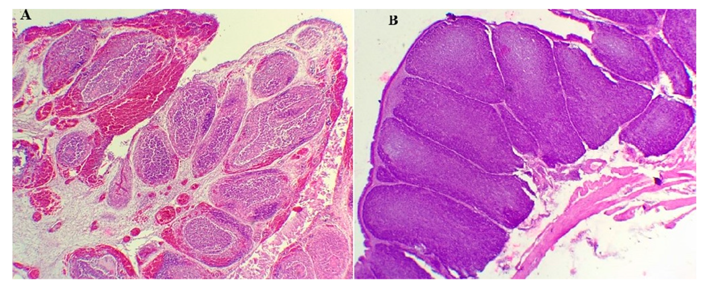
3.4.3. Thymus
3.4.4. Caecal Tonsil
3.5. Viral Load in Bursa of Fabricius and Viral Excretion in Cloacal Swabs
3.5.1. Bursa of Fabricius
3.5.2. Viral Excretion in Cloacal Swabs
4. Discussion
5. Conclusions
Author Contributions
Funding
Institutional Review Board Statement
Informed Consent Statement
Data Availability Statement
Acknowledgments
Conflicts of Interest
Abbreviations
References
- Sharma, J. Infectious bursal disease virus of chickens: Pathogenesis and immunosuppression. Dev. Comp. Immunol. 2000, 24, 223–235. [Google Scholar] [CrossRef] [PubMed]
- Eterradossi, N.; Saif, Y.M. Infectious Bursal Disease. In Diseases of Poultry; Swayne, D.E., Boulianne, M., Logue, C.M., McDougald, L.R., Nair, V., Suarez, D.L., Wit, S., Grimes, T., Johnson, D., Kromm, M., et al., Eds.; Wiley: Hoboken, NJ, USA, 2020; pp. 257–283. ISBN 978-1-119-37116-8. [Google Scholar]
- Wang, G.; Jiang, N.; Yu, H.; Niu, X.; Huang, M.; Zhang, Y.; Zhang, W.; Han, J.; Xu, M.; Liu, R.; et al. Loop PDE of viral capsid protein is involved in immune escape of the emerging novel variant infectious bursal disease virus. Vet. Microbiol. 2024, 293, 110094. [Google Scholar] [CrossRef]
- Delmas, B.; Attoui, H.; Ghosh, S.; Malik, Y.S.; Mundt, E.; Vakharia, V.N.; ICTV Report Consortium. ICTV virus taxonomy profile: Birnaviridae. J. Gen. Virol. 2019, 100, 5–6. [Google Scholar] [CrossRef]
- McFerran, J.B.; McNulty, M.S.; McKillop, E.R.; Connor, T.J.; McCracken, R.M.; Collins, D.S.; Allan, G.M. Isolation and serological studies with infectious bursal disease viruses from fowl, turkeys and ducks: Demonstration of a second serotype. Avian Pathol. 1980, 9, 395–404. [Google Scholar] [CrossRef]
- Berg, T.P. Acute infectious bursal disease in poultry: A review. Avian Pathol. 2000, 29, 175–194. [Google Scholar] [CrossRef]
- Michel, L.O.; Jackwood, D.J. Classification of infectious bursal disease virus into genogroups. Arch. Virol. 2017, 162, 3661–3670. [Google Scholar] [CrossRef]
- Islam, M.R.; Nooruzzaman, M.; Rahman, T.; Mumu, T.T.; Rahman, M.M.; Chowdhury, E.H.; Eterradossi, N.; Müller, H. A unified genotypic classification of infectious bursal disease virus based on both genome segments. Avian Pathol. 2021, 50, 190–206. [Google Scholar] [CrossRef]
- Sharma, J.M.; Dohms, J.E.; Metz, A.L. Comparative pathogenesis of serotype 1 and variant serotype 1 isolates of infectious bursal disease virus and their effect on humoral and cellular immune competence of specific-pathogen-free chickens. Avian Dis. 1989, 33, 112–124. [Google Scholar] [PubMed]
- Liu, A.; Pan, Q.; Wang, S.; Zhang, Y.; Li, Y.; Wang, Y.; Qi, X.; Gao, L.; Liu, C.; Zhang, Y.; et al. Identification of Chicken CD44 as a Novel B Lymphocyte Receptor for Infectious Bursal Disease Virus. J. Virol. 2022, 96, e0011322. [Google Scholar] [CrossRef]
- Tanimura, N.; Tsukamoto, K.; Nakamura, K.; Narita, M.; Maeda, M. Association between pathogenicity of infectious bursal disease virus and viral antigen distribution detected by immunohistochemistry. Avian Dis. 1995, 39, 9–20. [Google Scholar] [CrossRef]
- Cosgrove, A.S. An Apparently New Disease of Chickens: Avian Nephrosis. Avian Dis. 1962, 6, 385. [Google Scholar] [CrossRef]
- Chettle, N.; Stuart, J.; Wyeth, P. Outbreak of virulent infectious bursal disease in East Anglia. Vet. Rec. 1989, 125, 271–272. [Google Scholar] [CrossRef] [PubMed]
- Drissi Touzani, C.; Fellahi, S.; Gaboun, F.; Fassi Fihri, O.; Baschieri, S.; Mentag, R.; El Houadfi, M. Molecular characterization and phylogenetic analysis of very virulent infectious bursal disease virus circulating in Morocco during 2016–2017. Arch. Virol. 2019, 164, 381–390. [Google Scholar] [CrossRef]
- Drissi Touzani, C.; Fellahi, S.; Fassi Fihri, O.; Gaboun, F.; Khayi, S.; Mentag, R.; Lico, C.; Baschieri, S.; El Houadfi, M.; Ducatez, M. Complete genome analysis and time scale evolution of very virulent infectious bursal disease viruses isolated from recent outbreaks in Morocco. Infect. Genet. Evol. 2020, 77, 104097. [Google Scholar] [CrossRef]
- Hoque, M.M.; Omar, A.R.; Chong, L.K.; Hair-Bejo, M.; Aini, I. Pathogenicity of SspI-positive infectious bursal disease virus and molecular characterization of the VP2 hypervariable region. Avian Pathol. 2001, 30, 369–380. [Google Scholar] [CrossRef] [PubMed]
- Pikuła, A.; Lisowska, A.; Jasik, A.; Śmietanka, K. Identification and assessment of virulence of a natural reassortant of infectious bursal disease virus. Vet. Res. 2018, 49, 89. [Google Scholar] [CrossRef] [PubMed]
- Muskett, J.; Hopkins, I.; Edwards, K.; Thornton, D. Comparison of two infectious bursal disease vaccine strains: Efficacy and potential hazards in susceptible and maternally immune birds. Vet. Rec. 1979, 104, 332–334. [Google Scholar] [CrossRef]
- Van den Berg, T.P.; Gonze, M.; Meulemans, G. Acute infectious bursal disease in poultry: Isolation and characterisation of a highly virulent strain. Avian Pathol. 1991, 20, 133–143. [Google Scholar] [CrossRef]
- Tomás, G.; Hernández, M.; Marandino, A.; Panzera, Y.; Maya, L.; Hernández, D.; Pereda, A.; Banda, A.; Villegas, P.; Aguirre, S.; et al. Development and validation of a TaqMan-MGB real-time RT-PCR assay for simultaneous detection and characterization of infectious bursal disease virus. J. Virol. Methods 2012, 185, 101–107. [Google Scholar] [CrossRef]
- Li, K.; Niu, X.; Jiang, N.; Zhang, W.; Wang, G.; Li, K.; Huang, M.; Gao, Y.; Qi, X.; Wang, X. Comparative Pathogenicity of Three Strains of Infectious Bursal Disease Virus Closely Related to Poultry Industry. Viruses 2023, 15, 1257. [Google Scholar] [CrossRef]
- Sá e Silva, M.; Rissi, D.R.; Swayne, D.E. Very Virulent Infectious Bursal Disease Virus Produces More-Severe Disease and Lesions in Specific-Pathogen-Free (SPF) Leghorns Than in SPF Broiler Chickens. Avian Dis. 2016, 60, 63–66. [Google Scholar] [CrossRef] [PubMed]
- Cazaban, C.; Majo Masferrer, N.; Dolz Pascual, R.; Nofrarias Espadamala, M.; Costa, T.; Gardin, Y. Proposed bursa of fabricius weight to body weight ratio standard in commercial broilers. Poult. Sci. 2015, 94, 2088–2093. [Google Scholar] [CrossRef]
- Lucio, B.; Hitchner, S.B. Infectious Bursal Disease Emulsified Vaccine: Effect upon Neutralizing-Antibody Levels in the Dam and Subsequent Protection of the Progeny. Avian Dis. 1979, 23, 466. [Google Scholar] [CrossRef]
- Takahashi, M.; Oguro, S.; Kato, A.; Ito, S.; Tsutsumi, N. Novel Antigenic Variant Infectious Bursal Disease Virus Outbreaks in Japan from 2014 to 2023 and Characterization of an Isolate from Chicken. Pathogens 2024, 13, 1141. [Google Scholar] [CrossRef]
- Inoue, M.; Fukuda, M.; Miyano, K. Thymic lesions in chicken infected with infectious bursal disease virus. Avian Dis. 1994, 38, 839–846. [Google Scholar]
- Ignjatovic, J. Very Virulent Infectious Bursal Disease Virus. In Australia and New Zealand Standard Diagnostic Procedures; Australian Animal Health Laboratory AAHL: Geelong, Australia, 2004. [Google Scholar]
- Nakamura, T.; Otaki, Y.; Nunoya, T. Immunosuppressive effect of a highly virulent infectious bursal disease virus isolated in Japan. Avian Dis. 1992, 36, 891–896. [Google Scholar]
- Elbestawy, A.R.; El-Hamid, H.S.A.; Ellakany, H.F.; Gado, A.R.; El-Rayes, S.H.; Salaheldin, A.H. Genetic Sequence and Pathogenicity of Infectious Bursal Disease Virus in Chickens in Egypt During 2017–2021. Avian Dis. 2024, 68, 99–111. [Google Scholar] [CrossRef] [PubMed]
- Nunoya, T.; Otaki, Y.; Tajima, M.; Hiraga, M.; Saito, T. Occurrence of acute infectious bursal disease with high mortality in Japan and pathogenicity of field isolates in specific-pathogen-free chickens. Avian Dis. 1992, 36, 597–609. [Google Scholar] [PubMed]
- Hiraga, M.; Nunoya, T.; Otaki, Y.; Tajima, M.; Saito, T.; Nakamura, T. Pathogenesis of highly virulent infectious bursal disease virus infection in intact and bursectomized chickens. J. Vet. Med. Sci. 1994, 56, 1057–1063. [Google Scholar] [CrossRef]
- Ley, D.H.; Yamamoto, R.; Bickford, A.A. The pathogenesis of infectious bursal disease: Serologic, histopathologic, and clinical chemical observations. Avian Dis. 1983, 27, 1060–1085. [Google Scholar]
- Li, Y.P.; Handberg, K.J.; Kabell, S.; Kusk, M.; Zhang, M.F.; Jørgensen, P.H. Relative quantification and detection of different types of infectious bursal disease virus in bursa of Fabricius and cloacal swabs using real time RT-PCR SYBR green technology. Res. Vet. Sci. 2007, 82, 126–133. [Google Scholar] [CrossRef] [PubMed]
- Bumstead, N.; Reece, R.L.; Cook, J.K. Genetic differences in susceptibility of chicken lines to infection with infectious bursal disease virus. Poult. Sci. 1993, 72, 403–410. [Google Scholar] [CrossRef] [PubMed]







| Chicken Age (Days) | Vaccines |
|---|---|
| 4 days |
|
| 9 days |
|
| 16 days |
|
| Organ | Mean Lesion Scores at Days Post-Challenge | |||||
|---|---|---|---|---|---|---|
| 1 | 3 | 4 | 5 | 7 | 9 | |
| Bursa of Fabricius | 0/5 | 2/5 | 3/5 | 2.67/5 | 3.33/5 | 3.75/5 |
| Spleen | 0.33/4 | 2/4 | - | 2/4 | 2.5/4 | 1.6/4 |
| Thymus | 0/3 | 0/3 | 3/3 | 0/3 | 0.25/3 | 0/3 |
| Caecal tonsil | 0/3 | 0/3 | 3/3 | 2/3 | 0/3 | 0/3 |
Disclaimer/Publisher’s Note: The statements, opinions and data contained in all publications are solely those of the individual author(s) and contributor(s) and not of MDPI and/or the editor(s). MDPI and/or the editor(s) disclaim responsibility for any injury to people or property resulting from any ideas, methods, instructions or products referred to in the content. |
© 2025 by the authors. Licensee MDPI, Basel, Switzerland. This article is an open access article distributed under the terms and conditions of the Creative Commons Attribution (CC BY) license (https://creativecommons.org/licenses/by/4.0/).
Share and Cite
Drissi Touzani, C.; Maaroufi, I.; El Berbri, I.; Sikht, F.-Z.; Fassi Fihri, O.; Tligui, N.; El Houadfi, M.; Fellahi, S. The Pathogenic Effects of Moroccan Very Virulent Infectious Bursal Disease Virus on Lymphoid Organs: A Comparative Study in Conventional Broiler and Specific-Pathogen-Free Chickens. Vet. Sci. 2025, 12, 319. https://doi.org/10.3390/vetsci12040319
Drissi Touzani C, Maaroufi I, El Berbri I, Sikht F-Z, Fassi Fihri O, Tligui N, El Houadfi M, Fellahi S. The Pathogenic Effects of Moroccan Very Virulent Infectious Bursal Disease Virus on Lymphoid Organs: A Comparative Study in Conventional Broiler and Specific-Pathogen-Free Chickens. Veterinary Sciences. 2025; 12(4):319. https://doi.org/10.3390/vetsci12040319
Chicago/Turabian StyleDrissi Touzani, Charifa, Imane Maaroufi, Ikhlass El Berbri, Fatima-Zohra Sikht, Ouafaa Fassi Fihri, Noursaid Tligui, Mohammed El Houadfi, and Siham Fellahi. 2025. "The Pathogenic Effects of Moroccan Very Virulent Infectious Bursal Disease Virus on Lymphoid Organs: A Comparative Study in Conventional Broiler and Specific-Pathogen-Free Chickens" Veterinary Sciences 12, no. 4: 319. https://doi.org/10.3390/vetsci12040319
APA StyleDrissi Touzani, C., Maaroufi, I., El Berbri, I., Sikht, F.-Z., Fassi Fihri, O., Tligui, N., El Houadfi, M., & Fellahi, S. (2025). The Pathogenic Effects of Moroccan Very Virulent Infectious Bursal Disease Virus on Lymphoid Organs: A Comparative Study in Conventional Broiler and Specific-Pathogen-Free Chickens. Veterinary Sciences, 12(4), 319. https://doi.org/10.3390/vetsci12040319

