Treatment of a Recurrent Pyometra by Surgical Uterine Drainage in a Main Coon Cat
Abstract
Simple Summary
Abstract
1. Introduction
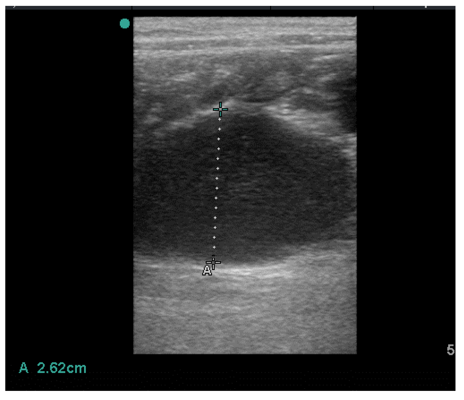
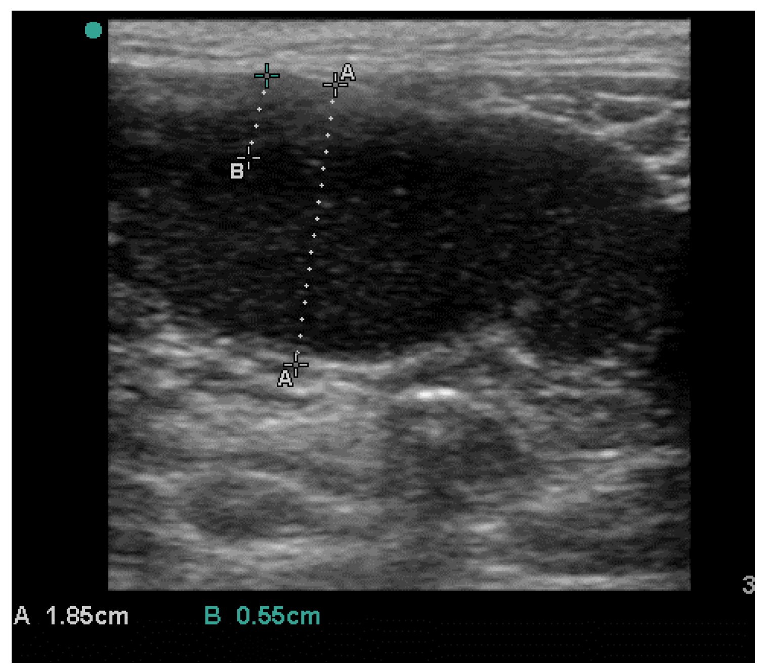
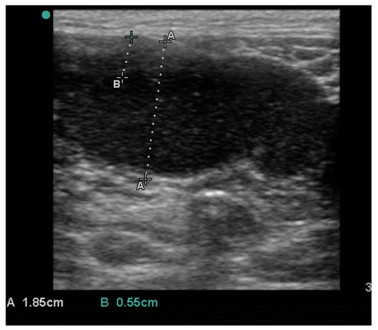
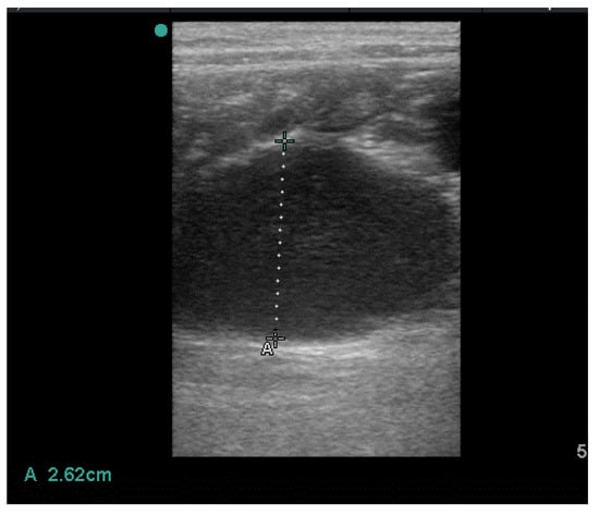
2. History and Clinical Findings
3. Treatment and Follow up
4. Discussion
5. Conclusions
Author Contributions
Funding
Institutional Review Board Statement
Informed Consent Statement
Data Availability Statement
Conflicts of Interest
References
- Hagman, R.; Holst, B.S.; Möller, L.; Egenvall, A. Incidence of pyometra in Swedish insured cats. Theriogenology 2014, 82, 114–120. [Google Scholar] [CrossRef]
- Hollinshead, F.; Krekeler, N. Pyometra in the queen: To spay or not to spay? J. Feline Med. Surg. 2016, 18, 21–33. [Google Scholar] [CrossRef] [PubMed]
- Melo, R.T.; Oliveira, R.P.; Silva, B.F.; Monteiro, G.P.; Saut, J.P.E.; Costa, L.R.; Dias, S.D.C.; Rossi, D.A. Phylogeny and Virulence Factors of Escherichia coli Isolated from Dogs with Pyometra. Vet. Sci. 2022, 9, 158. [Google Scholar] [CrossRef]
- Wiessing, J.; Thomson, K.S. Treatment of feline pyometra with dinoprost. N. Z. Vet. J. 1980, 28, 112. [Google Scholar] [CrossRef] [PubMed]
- Hagman, R. Pyometra in Small Animals 2.0. Vet. Clin. Small Anim. Pract. 2022, 52, 631–657. [Google Scholar] [CrossRef]
- Agudelo, C.F. Cystic endometrial hyperplasia-pyometra complex in cats. A review. Vet. Q. 2005, 27, 173–182. [Google Scholar] [CrossRef] [PubMed]
- Nak, D.; Nak, Y.; Tuna, B. Follow-up examinations after medical treatment of pyometra in cats with the progesterone-antagonist aglepristone. J. Feline Med. Surg. 2009, 11, 499–502. [Google Scholar] [CrossRef] [PubMed]
- De Bosschere, H.; Ducatelle, R.; Vermeirsch, H.; Van Den Broeck, W.; Coryn, M. Cystic endometrial hyperplasia-pyometra complex in the bitch: Should the two entities be disconnected? Theriogenology 2001, 55, 1509–1519. [Google Scholar] [CrossRef]
- Misk, T.N.; EL-sherry, T.M. Pyometra in Cats: Medical versus Surgical Treatment. J. Curr. Vet. Res. 2020, 2, 86–92. [Google Scholar] [CrossRef]
- Gogny, A.; Fiéni, F. Aglepristone: A review on its clinical use in animals. Theriogenology 2016, 85, 555–566. [Google Scholar] [CrossRef]
- García Mitacek, M.C.; Stornelli, M.C.; Tittarelli, C.M.; Nuñez Favre, R.; de la Sota, R.L.; Stornelli, M.A. Cloprostenol treatment of feline open-cervix pyometra. J. Feline Med. Surg. 2014, 16, 177–179. [Google Scholar] [CrossRef]
- Attard, S.; Bucci, R.; Parrillo, S.; Pisu, M.C. Effectiveness of a Modified Administration Protocol for the Medical Treatment of Feline Pyometra. Vet. Sci. 2022, 9, 517. [Google Scholar] [CrossRef]
- Aglepristone. Scientific Update 2010. Virbac. Available online: https://es.virbac.com/files/live/sites/virbac-es/files/Elementos%20p%C3%A1ginas/amvac/Archivos/Aglepristone%20Scientific%20update.pdf (accessed on 22 August 2022).
- Fieni, F.; Topie, E.; Gogny, A. Medical treatment for pyometra in dogs. Reprod. Domest. Anim. 2014, 49, 28–32. [Google Scholar] [CrossRef]
- Ros, L.; Holst, B.S.; Hagman, R. A retrospective study of bitches with pyometra, medically treated with aglepristone. Theriogenology 2014, 82, 1281–1286. [Google Scholar] [CrossRef]
- Melandri, M.; Veronesi, M.C.; Pisu, M.C.; Majolino, G.; Alonge, S. Fertility outcome after medically treated pyometra in dogs. J. Vet. Sci. 2019, 20, e39. [Google Scholar] [CrossRef]
- Gabor, G.; Siver, L.; Szenci, O. Intravaginal prostaglandin f 2α for the treatment of metritis and pyometra in the bitch. Acta Vet. Hung. 1999, 47, 103–108. [Google Scholar] [CrossRef]
- Funkquist, B.; Lagerstedt, A.S.; Linde, C.; Obel, N. Intra-uterine Drainage for Treatment of Pyometra in the Bitch. Zent. Vet. Reihe A 1983, 30, 72–80. [Google Scholar] [CrossRef] [PubMed]
- Lagerstedt, A.S.; Obel, N.; Stavenborn, M. Uterine drainage in the bitch for treatment of pyometra refractory to prostaglandin F2α. J. Small Anim. Pract. 1987, 28, 215–222. [Google Scholar] [CrossRef]
- Lagerstedt, A.S.; Obel, N. Uterine cannulation in the bitch. J. Vet. Med. Ser. A 1987, 34, 90–101. [Google Scholar] [CrossRef] [PubMed]
- Gürbulak, K.; Pancarci, Ş.; Ekici, H.; Konuk, C.; Kirşan, I.; Ucmak, M.; Seval, T. Use of aglepristone and aglepristone+ intrauterine antibiotic for the treatment of pyometra in bitches. Acta Vet. Hung. 2005, 53, 249–255. [Google Scholar] [CrossRef] [PubMed]
- De Cramer, K.G.M. Surgical uterine drainage and lavage as treatment for canine pyometra: Clinical communication. J. S. Afr. Vet. Assoc. 2010, 81, 172–177. [Google Scholar] [CrossRef] [PubMed]
- Hildebrandt, T.B.; Göritz, F.; Boardman, W.; Strike, T.; Strauss, G.; Jewgenow, K. A non-surgical uterine lavage technique in large cats intended for treatment of uterine infection-induced infertility. Theriogenology 2006, 66, 1783–1786. [Google Scholar] [CrossRef] [PubMed]
- Kanca, H.; Karakas, K.; Dalgic, M.A.; Salar, S.; Izgur, H. Vaginal cytology after induction of ovulation in the queen: Comparison of postoestrus and dioestrus. Aust. Vet. J. 2014, 92, 65–70. [Google Scholar] [CrossRef] [PubMed]
- Malandain, E.; Rault, D.; Froment, E.; Baudon, S.; Desquilbet, L.; Begon, D.; Chastant-Maillard, S. Follicular growth monitoring in the female cat during estrus. Theriogenology 2011, 76, 1337–1346. [Google Scholar] [CrossRef]
- Liu, I.K.M.; Troedsson, M.H.T. The diagnosis and treatment of endometritis in the mare: Yesterday and today. Theriogenology 2008, 70, 415–420. [Google Scholar] [CrossRef] [PubMed]
- Zambelli, D.; Cunto, M. Transcervical artificial insemination in the cat. Theriogenology 2005, 64, 698–705. [Google Scholar] [CrossRef] [PubMed]
- Zambelli, D.; Bini, C.; Cunto, M. Endoscopic transcervical catheterization in the domestic cat. Reprod. Domest. Anim. 2015, 50, 13–16. [Google Scholar] [CrossRef] [PubMed]
- Chatdarong, K.; Lohachit, C.; Kiartmanakul, S.; Axnér, E.; Forsberg, C.L. Cervical patency during non-ovulatory and ovulatory estrus cycles in domestic cats. Theriogenology 2006, 66, 804–810. [Google Scholar] [CrossRef]
- Tsutsui, T.; Tanaka, A.; Takagi, Y.; Nakagawa, K.; Fujimoto, Y.; Murai, M.; Anzai, M.; Hori, T. Unilateral intrauterine horn insemination of frozen semen in cats. J. Vet. Med. Sci. 2000, 62, 1247–1251. [Google Scholar] [CrossRef]
- Nielsen, J.M. Endometritis in the mare: A diagnostic study comparing cultures from swab and biopsy. Theriogenology 2005, 64, 510–518. [Google Scholar] [CrossRef]
- Mattos, R.; Castilho, L.F.F.; Malschitzky, E.; Naves, A.P.; Keller, A.; Gregory, R.M.; Mattos, R.C. Uterine lavage with saline in mares as treatment for endometritis. Pferdeheilkunde 1997, 13, 521–524. [Google Scholar] [CrossRef]







Disclaimer/Publisher’s Note: The statements, opinions and data contained in all publications are solely those of the individual author(s) and contributor(s) and not of MDPI and/or the editor(s). MDPI and/or the editor(s) disclaim responsibility for any injury to people or property resulting from any ideas, methods, instructions or products referred to in the content. |
© 2023 by the authors. Licensee MDPI, Basel, Switzerland. This article is an open access article distributed under the terms and conditions of the Creative Commons Attribution (CC BY) license (https://creativecommons.org/licenses/by/4.0/).
Share and Cite
Martini, G.; Bucci, R.; Parrillo, S.; Carluccio, A.; Pisu, M.C. Treatment of a Recurrent Pyometra by Surgical Uterine Drainage in a Main Coon Cat. Vet. Sci. 2023, 10, 60. https://doi.org/10.3390/vetsci10010060
Martini G, Bucci R, Parrillo S, Carluccio A, Pisu MC. Treatment of a Recurrent Pyometra by Surgical Uterine Drainage in a Main Coon Cat. Veterinary Sciences. 2023; 10(1):60. https://doi.org/10.3390/vetsci10010060
Chicago/Turabian StyleMartini, Gianluca, Roberta Bucci, Salvatore Parrillo, Augusto Carluccio, and Maria Carmela Pisu. 2023. "Treatment of a Recurrent Pyometra by Surgical Uterine Drainage in a Main Coon Cat" Veterinary Sciences 10, no. 1: 60. https://doi.org/10.3390/vetsci10010060
APA StyleMartini, G., Bucci, R., Parrillo, S., Carluccio, A., & Pisu, M. C. (2023). Treatment of a Recurrent Pyometra by Surgical Uterine Drainage in a Main Coon Cat. Veterinary Sciences, 10(1), 60. https://doi.org/10.3390/vetsci10010060

