Expression, Purification, and Functional Exploration of an α-Galactosidase from Akkermansia muciniphila
Abstract
1. Introduction
2. Materials and Methods
2.1. Amino Acid Sequence Analysis
2.2. Vector Construction and Expression Optimization
2.3. Protein Purification, Identification, and Enzyme Activity Assay
2.4. Optimization of Enzymatic Reaction Conditions
2.5. Molecular Dynamics (MD) Simulation
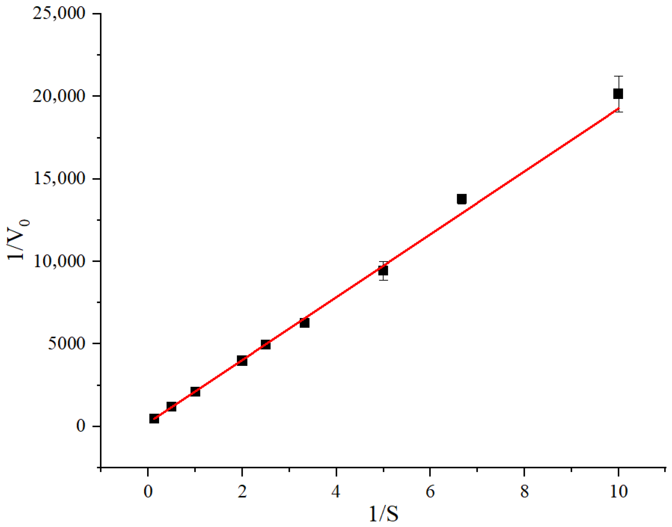
2.6. Enzyme Kinetics
2.7. Data Analysis
3. Results
3.1. Amino Acid Sequence Analysis
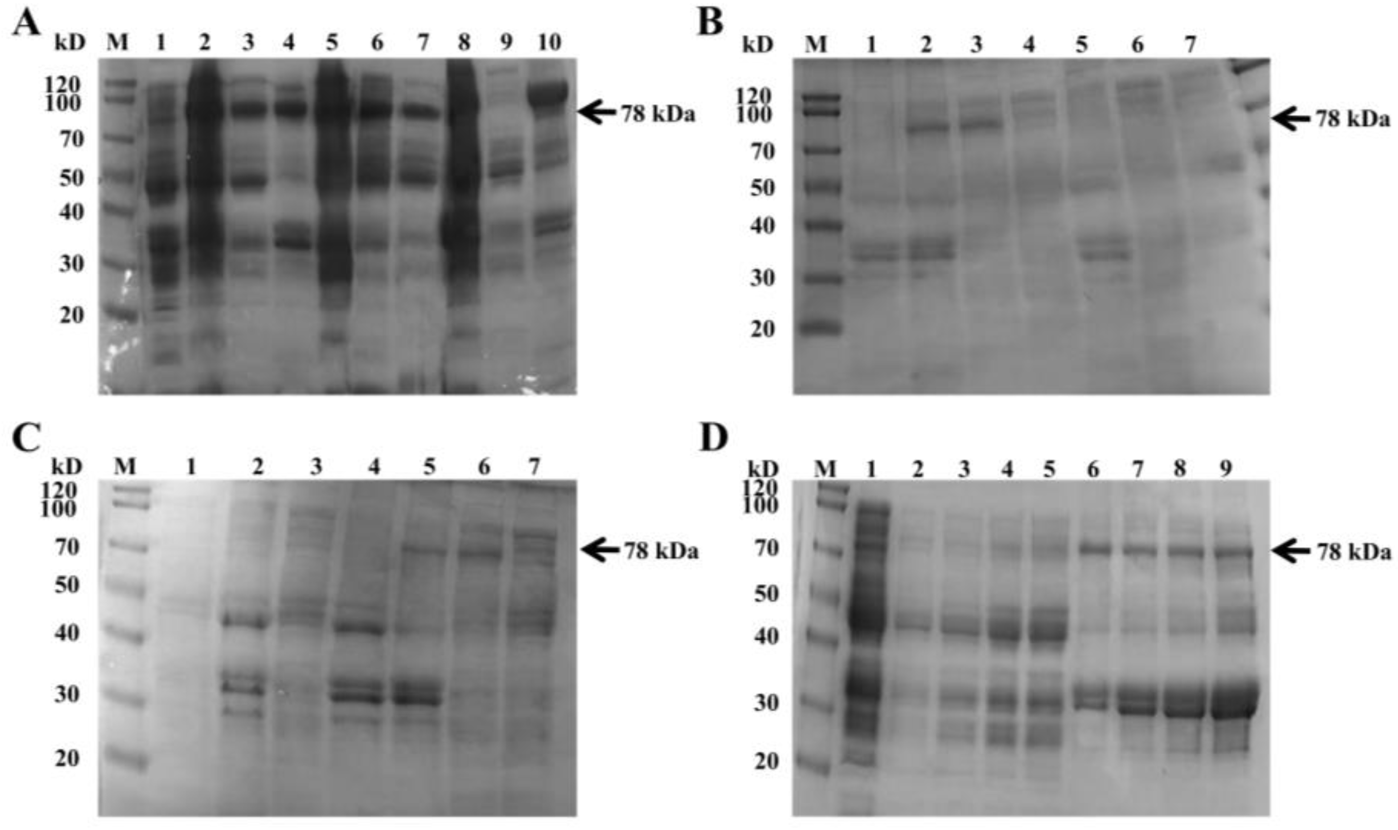
3.2. Optimization of Expression Conditions
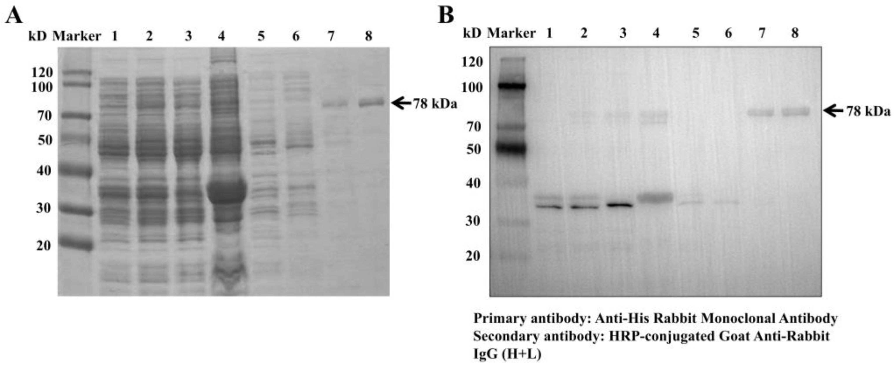
3.3. Purification, Identification, and Enzymatic Assay of Amuc_0517
3.4. Optimization of Enzymatic Reaction Conditions
3.5. Molecular Dynamics Simulation of Amuc_0517
3.6. Enzyme Kinetic Analysis
4. Discussion
5. Conclusions
Supplementary Materials
Author Contributions
Funding
Institutional Review Board Statement
Informed Consent Statement
Data Availability Statement
Conflicts of Interest
References
- Zhao, Y.; Yang, H.; Wu, P.; Yang, S.; Xue, W.; Xu, B.; Zhang, S.; Tang, B.; Xu, D. Akkermansia muciniphila: A promising probiotic against inflammation and metabolic disorders. Virulence 2024, 15, 2375555. [Google Scholar] [CrossRef]
- Zhang, T.; Li, Q.; Cheng, L.; Buch, H.; Zhang, F. Akkermansia muciniphila is a promising probiotic. Microb. Biotechnol. 2019, 12, 1109–1125. [Google Scholar] [CrossRef]
- Zhao, X.; Zhao, J.; Li, D.; Yang, H.; Chen, C.; Qin, M.; Wen, Z.; He, Z.; Xu, L. Akkermansia muciniphila: A potential target and pending issues for oncotherapy. Pharmacol. Res. 2023, 196, 106916. [Google Scholar] [CrossRef]
- Rodrigues, V.F.; Elias-Oliveira, J.; Pereira, Í.S.; Pereira, J.A.; Barbosa, S.C.; Machado, M.S.G.; Carlos, D. Akkermansia muciniphila and Gut Immune System: A Good Friendship That Attenuates Inflammatory Bowel Disease, Obesity, and Diabetes. Front. Immunol. 2022, 13, 934695. [Google Scholar] [CrossRef]
- Niu, H.; Zhou, M.; Zogona, D.; Xing, Z.; Wu, T.; Chen, R.; Cui, D.; Liang, F.; Xu, X. Akkermansia muciniphila: A potential candidate for ameliorating metabolic diseases. Front. Immunol. 2024, 15, 1370658. [Google Scholar] [CrossRef] [PubMed]
- He, K.; An, F.; Zhang, H.; Yan, D.; Li, T.; Wu, J.; Wu, R. Akkermansia muciniphila: A Potential Target for the Prevention of Diabetes. Foods 2024, 14, 23. [Google Scholar] [CrossRef] [PubMed]
- Lei, W.; Cheng, Y.; Gao, J.; Liu, X.; Shao, L.; Kong, Q.; Zheng, N.; Ling, Z.; Hu, W. Akkermansia muciniphila in neuropsychiatric disorders: Friend or foe? Front. Cell. Infect. Microbiol. 2023, 13, 1224155. [Google Scholar] [CrossRef] [PubMed]
- Jian, H.; Liu, Y.; Wang, X.; Dong, X.; Zou, X. Akkermansia muciniphila as a Next-Generation Probiotic in Modulating Human Metabolic Homeostasis and Disease Progression: A Role Mediated by Gut-Liver-Brain Axes? Int. J. Mol. Sci. 2023, 24, 3900. [Google Scholar] [CrossRef]
- Góralczyk-Bińkowska, A.; Szmajda-Krygier, D.; Kozłowska, E. The Microbiota-Gut-Brain Axis in Psychiatric Disorders. Int. J. Mol. Sci. 2022, 23, 11245. [Google Scholar] [CrossRef]
- Cani, P.D.; de Vos, W.M. Next-Generation Beneficial Microbes: The Case of Akkermansia muciniphila. Front. Microbiol. 2017, 8, 1765. [Google Scholar] [CrossRef]
- Singh, V.; Lee, G.; Son, H.; Amani, S.; Baunthiyal, M.; Shin, J.-H. Anti-diabetic prospects of dietary bio-actives of millets and the significance of the gut microbiota: A case of finger millet. Front. Nutr. 2022, 9, 1056445. [Google Scholar] [CrossRef]
- Segers, A.; de Vos, W.M. Mode of action of Akkermansia muciniphila in the intestinal dialogue: Role of extracellular proteins, metabolites and cell envelope components. Microbiome. Res. Rep. 2023, 2, 6. [Google Scholar] [CrossRef] [PubMed]
- Luis, A.S.; Jin, C.; Pereira, G.V.; Glowacki, R.W.P.; Gugel, S.R.; Singh, S.; Byrne, D.P.; Pudlo, N.A.; London, J.A.; Baslé, A.; et al. A single sulfatase is required to access colonic mucin by a gut bacterium. Nature 2021, 598, 332–337. [Google Scholar] [CrossRef] [PubMed]
- Mok, K.C.; Sokolovskaya, O.M.; Nicolas, A.M.; Hallberg, Z.F.; Deutschbauer, A.; Carlson, H.K.; Taga, M.E. Identification of a Novel Cobamide Remodeling Enzyme in the Beneficial Human Gut Bacterium Akkermansia muciniphila. mBio 2020, 11, 18. [Google Scholar] [CrossRef]
- Bakshani, C.R.; Ojuri, T.O.; Pilgaard, B.; Holck, J.; McInnes, R.; Kozak, R.P.; Zakhour, M.; Çakaj, S.; Kerouedan, M.; Newton, E.; et al. Carbohydrate-active enzymes from Akkermansia muciniphila break down mucin O-glycans to completion. Nat. Microbiol. 2025, 10, 585–598. [Google Scholar] [CrossRef]
- Huang, Y.; Zhang, H.; Ben, P.; Duan, Y.; Lu, M.; Li, Z.; Cui, Z. Characterization of a novel GH36 α-galactosidase from Bacillus megaterium and its application in degradation of raffinose family oligosaccharides. Int. J. Biol. Macromol. 2018, 108, 98–104. [Google Scholar] [CrossRef]
- Jensen, M.; Stenfelt, L.; Ricci Hagman, J.; Pichler, M.J.; Weikum, J.; Nielsen, T.S.; Hult, A.; Morth, J.P.; Olsson, M.L.; Abou Hachem, M. Akkermansia muciniphila exoglycosidases target extended blood group antigens to generate ABO-universal blood. Nat. Microbiol. 2024, 9, 1176–1188. [Google Scholar] [CrossRef]
- Li, Q.; Wang, X.; Guo, S.; Wang, T.; Cao, H.; Cao, Y.; Dong, B. Galacto-oligosaccharides alleviate experimental lactose intolerance associated with gut microbiota in mice. Front. Microbiol. 2025, 16, 1530156. [Google Scholar] [CrossRef]
- Naumoff, D.G. Hierarchical classification of glycoside hydrolases. Biochemistry 2011, 76, 622–635. [Google Scholar] [CrossRef]
- Peterbauer, T.; Mach, L.; Mucha, J.; Richter, A. Functional expression of a cDNA encoding pea (Pisum sativum L.) raffinose synthase, partial purification of the enzyme from maturing seeds, and steady-state kinetic analysis of raffinose synthesis. Planta 2002, 215, 839–846. [Google Scholar] [CrossRef]
- Blöchl, A.; Peterbauer, T.; Hofmann, J.; Richter, A. Enzymatic breakdown of raffinose oligosaccharides in pea seeds. Planta 2008, 228, 99–110. [Google Scholar] [CrossRef] [PubMed]
- Bashir, S.; Aiman, A.; Chaudhary, A.A.; Khan, N.; Ahanger, I.A.; Sami, N.; Almugri, E.A.; Ali, M.A.M.; Khan, S.U.; Shahid, M.; et al. Probing protein aggregation through spectroscopic insights and multimodal approaches: A comprehensive review for counteracting neurodegenerative disorders. Heliyon 2024, 10, e27949. [Google Scholar] [CrossRef] [PubMed]
- Bacon, E.E.; Tran, J.S.; Nadig, N.; Peters, J.M. Modular, inducible, and titratable expression systems for Escherichia coli and Acinetobacter baumannii. Microbiol. Spectrum 2024, 12, e01306–e01324. [Google Scholar] [CrossRef] [PubMed]
- Hu, Y.; Tian, G.; Zhao, L.; Wang, H.; Ng, T.B. A protease-resistant α-galactosidase from Pleurotus djamor with broad pH stability and good hydrolytic activity toward raffinose family oligosaccharides. Int. J. Biol. Macromol. 2017, 94, 122–130. [Google Scholar] [CrossRef]
- Liu, Y.; Wu, Z.; Zeng, X.; Weng, P.; Zhang, X.; Wang, C. A novel cold-adapted phospho-beta-galactosidase from Bacillus velezensis and its potential application for lactose hydrolysis in milk. Int. J. Biol. Macromol. 2021, 166, 760–770. [Google Scholar] [CrossRef]
- Chan, C.S.; Sin, L.L.; Chan, K.-G.; Shamsir, M.S.; Manan, F.A.; Sani, R.K.; Goh, K.M. Characterization of a glucose-tolerant β-glucosidase from Anoxybacillus sp. DT3-1. Biotechnol. Biofuels 2016, 9, 174. [Google Scholar] [CrossRef]
- Yang, F.; Yang, X.; Li, Z.; Du, C.; Wang, J.; Li, S. Overexpression and characterization of a glucose-tolerant β-glucosidase from T. aotearoense with high specific activity for cellobiose. Appl. Microbiol. Biotechnol. 2015, 99, 8903–8915. [Google Scholar] [CrossRef]
- Uchima, C.A.; Tokuda, G.; Watanabe, H.; Kitamoto, K.; Arioka, M. Heterologous expression in Pichia pastoris and characterization of an endogenous thermostable and high-glucose-tolerant β-glucosidase from the termite Nasutitermes takasagoensis. Appl. Environ. Microbiol. 2012, 78, 4288–4293. [Google Scholar] [CrossRef]
- Krisch, J.; Bencsik, O.; Papp, T.; Vágvölgyi, C.; Takó, M. Characterization of a β-glucosidase with transgalactosylation capacity from the zygomycete Rhizomucor miehei. Bioresour. Technol. 2012, 114, 555–560. [Google Scholar] [CrossRef]
- Van Passel, M.W.; Kant, R.; Zoetendal, E.G.; Plugge, C.M.; Derrien, M.; Malfatti, S.A.; Chain, P.S.; Woyke, T.; Palva, A.; de Vos, W.M. The genome of Akkermansia muciniphila, a dedicated intestinal mucin degrader, and its use in exploring intestinal metagenomes. PLoS ONE 2011, 6, e16876. [Google Scholar] [CrossRef]
- Ottman, N.; Reunanen, J.; Meijerink, M.; Pietilä, T.E.; Kainulainen, V.; Klievink, J.; Huuskonen, L.; Aalvink, S.; Skurnik, M.; Boeren, S.; et al. Pili-like proteins of Akkermansia muciniphila modulate host immune responses and gut barrier function. PLoS ONE 2017, 12, e0173004. [Google Scholar] [CrossRef]
- Varki, A. Biological roles of glycans. Glycobiology 2017, 27, 3–49. [Google Scholar] [CrossRef] [PubMed]
- Horikoshi, S.; Saburi, W.; Yu, J.; Matsuura, H.; Cairns, J.R.K.; Yao, M.; Mori, H. Substrate specificity of glycoside hydrolase family 1 β-glucosidase AtBGlu42 from Arabidopsis thaliana and its molecular mechanism. Biosci. Biotechnol. Biochem. 2022, 86, 231–245. [Google Scholar] [CrossRef] [PubMed]
- Davies, G.; Henrissat, B. Structures and mechanisms of glycosyl hydrolases. Structure 1995, 3, 853–859. [Google Scholar] [CrossRef] [PubMed]
- She, Y.M.; Klupt, K.; Hatfield, G.; Jia, Z.; Tam, R.Y. Unusual β1-4-galactosidase activity of an α1-6-mannosidase from Xanthomonas manihotis in the processing of branched hybrid and complex glycans. J. Biol. Chem. 2022, 298, 102313. [Google Scholar] [CrossRef]
- Kikuchi, A.; Okuyama, M.; Kato, K.; Osaki, S.; Ma, M.; Kumagai, Y.; Matsunaga, K.; Klahan, P.; Tagami, T.; Yao, M.; et al. A novel glycoside hydrolase family 97 enzyme: Bifunctional β-l-arabinopyranosidase/α-galactosidase from Bacteroides thetaiotaomicron. Biochimie 2017, 142, 41–50. [Google Scholar] [CrossRef]
- Ignatova, I.; Arsov, A.; Petrova, P.; Petrov, K. Prebiotic effects of α-and β-galactooligosaccharides: The structure-function relation. Molecules 2025, 30, 803. [Google Scholar] [CrossRef]
- Revel-Vilk, S.; Ramaswami, U.; Pintos-Morell, G.; Hughes, D.; Nicholls, K.; Reisin, R.; Giugliani, R.; Goker-Alpan, O.; Istaiti, M.; Gill, A. Safety analysis of self-administered enzyme replacement therapy using data from the Fabry Outcome and Gaucher Outcome Surveys. Orphanet J. Rare Dis. 2025, 20, 145. [Google Scholar] [CrossRef]








| Biochemical Parameter | Value(s) of Biochemical Parameter |
|---|---|
| Amino acid residues | 675 |
| Molecular formula | C3362H5216N914O939S24 |
| Theoretical molecular weight (Da) | 74233.40 Da |
| Theoretical isoelectric point (pI) | 8.94 |
| Most abundant residues | Leu (10.8%), Ala (10.7%), Pro (8.6%) |
| Instability index | 43.45 |
| Aliphatic index | 83.88 |
| Grand average of hydropathicity | −0.216 |
| Location Weight | NNet | Pentamer Score | Integral |
|---|---|---|---|
| Cytoplasmic | 0.00 | 0.00 | 0.00 |
| Membrane | 0.07 | 0.13 | 0.41 |
| Secreted | 0.96 | 1.88 | 6.08 |
| Periplasmic | 1.97 | 1.09 | 3.51 |
| Sources | Substrate(s) | Km (mM) | Vmax (U/mg) | Reference |
|---|---|---|---|---|
| Akkermansia muciniphila | pNPGal | 8.20 | 6.02 | This study |
| Bacillus velezensis | lactose | 18.64 | 60.78 | [25] |
| oNPGal | 1.95 | 89.62 | ||
| Anoxybacillus sp. DT3-1 | pNPGlu | 0.22 | 923.70 | [26] |
| Thermoanaerobacterium aotearoense P8G3#4 | glucose | 0.66 | 180.60 | [27] |
| Nasutitermes takasagoensis | glucose | 0.67 | 8.00 | [28] |
| Rhizomucor miehei NRRL 5282 | glucose | 0.12 | 468.20 | [29] |
Disclaimer/Publisher’s Note: The statements, opinions and data contained in all publications are solely those of the individual author(s) and contributor(s) and not of MDPI and/or the editor(s). MDPI and/or the editor(s) disclaim responsibility for any injury to people or property resulting from any ideas, methods, instructions or products referred to in the content. |
© 2025 by the authors. Licensee MDPI, Basel, Switzerland. This article is an open access article distributed under the terms and conditions of the Creative Commons Attribution (CC BY) license (https://creativecommons.org/licenses/by/4.0/).
Share and Cite
Zuo, T.; Yin, Z.; Li, Z.; Ren, Z.; Chen, Y.; Yu, D.; Fang, X. Expression, Purification, and Functional Exploration of an α-Galactosidase from Akkermansia muciniphila. Foods 2025, 14, 3790. https://doi.org/10.3390/foods14213790
Zuo T, Yin Z, Li Z, Ren Z, Chen Y, Yu D, Fang X. Expression, Purification, and Functional Exploration of an α-Galactosidase from Akkermansia muciniphila. Foods. 2025; 14(21):3790. https://doi.org/10.3390/foods14213790
Chicago/Turabian StyleZuo, Teng, Ziqian Yin, Zhiguo Li, Zhihao Ren, Yaqiang Chen, Dahai Yu, and Xuexun Fang. 2025. "Expression, Purification, and Functional Exploration of an α-Galactosidase from Akkermansia muciniphila" Foods 14, no. 21: 3790. https://doi.org/10.3390/foods14213790
APA StyleZuo, T., Yin, Z., Li, Z., Ren, Z., Chen, Y., Yu, D., & Fang, X. (2025). Expression, Purification, and Functional Exploration of an α-Galactosidase from Akkermansia muciniphila. Foods, 14(21), 3790. https://doi.org/10.3390/foods14213790

