Capsaicin and Quercitrin Maintained Lipid Homeostasis of Hyperlipidemic Mice: Serum Metabolomics and Signaling Pathways
Abstract
1. Introduction
2. Materials and Methods
2.1. Chemicals, Standards, and Assay Kits
2.2. Animals, Experimental Flow, and Grouping
2.3. Determination of Oral Glucose Tolerance of Mice
2.4. Measurement of Various Lipid Indicators in the Serum of Mice
2.5. Metabolomics Analysis of Mouse Serum by UHPLC-Q-TOF/MS
2.6. Determination of the Relative Expression Levels of Key Proteins by Western Blotting
2.7. Data Processing and Statistics
3. Results and Discussion
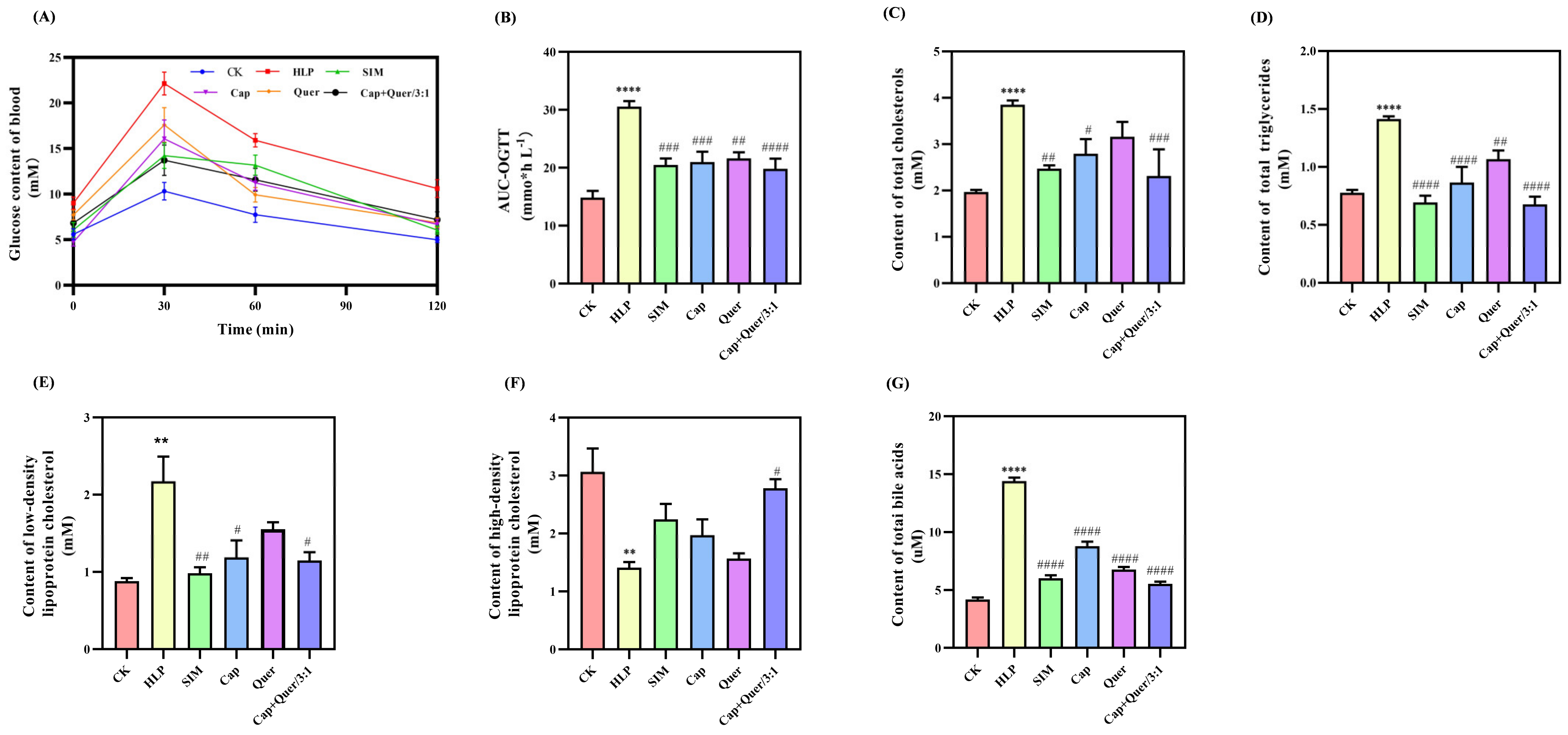
3.1. Variations in Lipid Indicators in the Serum from Different Groups of Mice
3.2. Serum Metabolite Profiles of Mice Exposed to Different Treatments
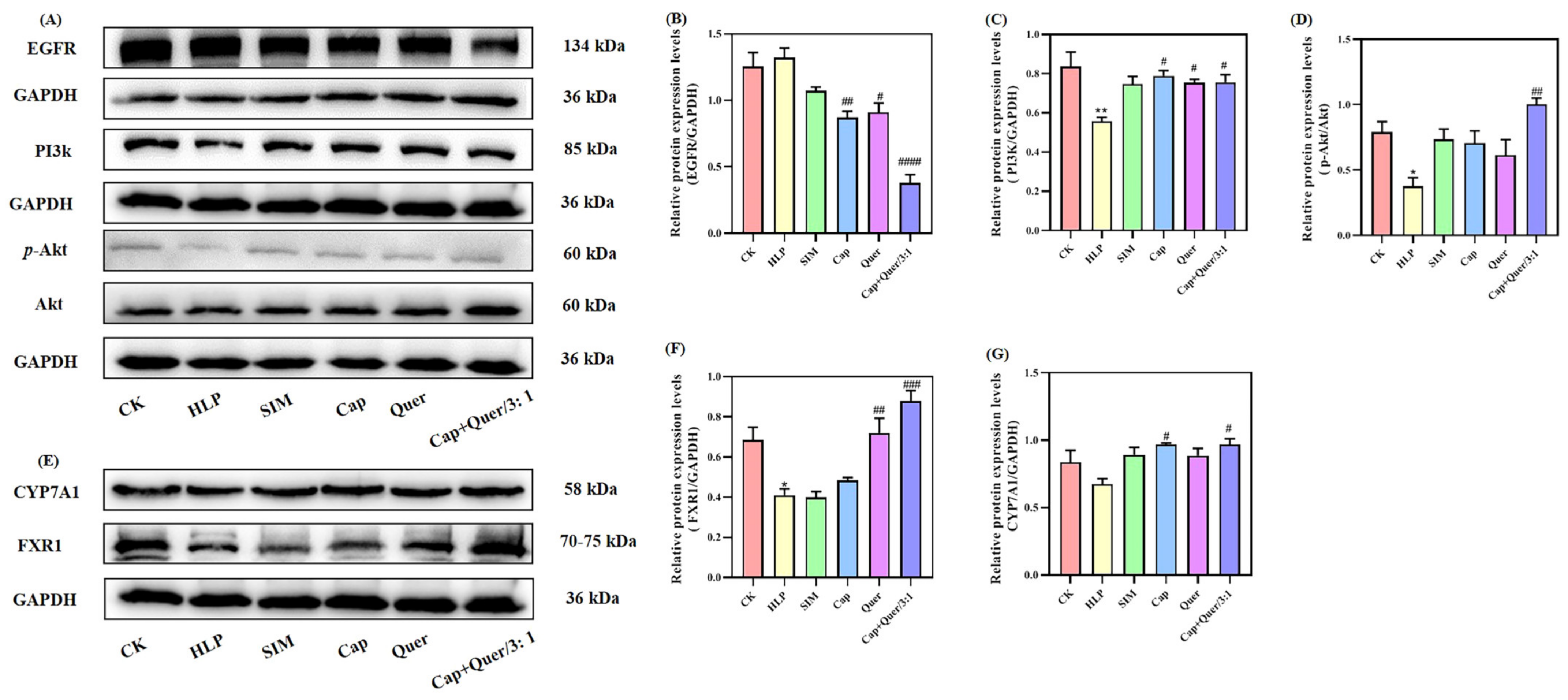
3.3. Variations in Relative Expression Levels of Key Proteins in Mouse Liver Exposed to Different Treatments
4. Conclusions
Supplementary Materials
Author Contributions
Funding
Institutional Review Board Statement
Informed Consent Statement
Data Availability Statement
Conflicts of Interest
References
- Zhang, F.; Li, Y.; Xin, W.; Wang, L.; Zhang, Y.; Xu, H.; Wang, H.; Zhao, H.; Yang, H.; Bian, B. Gypenosides and capsaicinoids in combination ameliorates high-fat-diet-induced rat hyperlipidemia via the PPARγ-LXRα-ABCA1/ABCG1 pathway. J. Funct. Foods 2023, 108, 105714. [Google Scholar] [CrossRef]
- Mi, S.; Yu, W.; Li, J.; Liu, M.; Sang, Y.; Wang, X. Characterization and discrimination of chilli peppers based on multi-element and non-targeted metabolomics analysis. LWT Food Sci. Technol. 2020, 131, 109742. [Google Scholar] [CrossRef]
- Mi, S.; Zhu, W.; Zhang, X.; Wang, Y.; Li, T.; Wang, X. Enhanced hypoglycemic bioactivity via RAS/Raf-1/MEK/ERK signaling pathway by combining capsaicin and quercetin from chili peppers. Mol. Nutr. Food Res. 2023, 67, 2200577. [Google Scholar] [CrossRef] [PubMed]
- Chan, W.C.; Millwood, I.Y.; Kartsonaki, C.; Du, H.; Guo, Y.; Chen, Y.; Bian, Z.; Walters, R.G.; Lv, J.; He, P.; et al. Spicy food consumption and risk of gastrointestinal-tract cancers: Findings from the China Kadoorie Biobank. Int. J. Epidemiol. 2021, 50, 199–211. [Google Scholar] [CrossRef]
- Batiha, G.E.S.; Alqahtani, A.; Ojo, O.A.; Shaheen, H.M.; Wasef, L.; Elzeiny, M.; Ismail, M.; Shalaby, M.; Murata, T.; Zaragoza-Bastida, A.; et al. Biological properties, bioactive constituents, and pharmacokinetics of some Capsicum spp. and capsaicinoids. Int. J. Mol. Sci. 2020, 21, 5179. [Google Scholar] [CrossRef]
- Kaur, M.; Verm, A.B.R.; Zhou, L.; Kaur, S.; Sammour, Y.; Lak, H.M.; Xu, B. Effect of pepper intake on all-cause and cardiovascular mortality—A systematic review and meta-analysis. Circulation 2020, 142, A12729. [Google Scholar] [CrossRef]
- Gong, T.; Wang, H.; Liu, S.; Zhang, M.; Xie, Y.; Liu, X. Capsaicin regulates lipid metabolism through modulation of bile acid/gut microbiota metabolism in high-fat-fed SD rats. Food Nutr. Res. 2022, 66, 8289. [Google Scholar] [CrossRef]
- Li, R.; Xiao, J.; Cao, Y.; Huang, Q.; Ho, C.T.; Lu, M. Capsaicin attenuates oleic acid-induced lipid accumulation via the regulation of circadian clock genes in HepG2 cells. J. Agric. Food Chem. 2021, 70, 794–803. [Google Scholar] [CrossRef]
- Li, R.; Lan, Y.; Chen, C.; Cao, Y.; Huang, Q.; Ho, C.T.; Lu, M. Anti-obesity effects of capsaicin and the underlying mechanisms: A review. Food Funct. 2020, 11, 7356–7370. [Google Scholar] [CrossRef]
- Shin, M.K.; Yang, S.M.; Han, I.S. Capsaicin suppresses liver fat accumulation in high-fat diet-induced NAFLD mice. Anim. Cells Syst. 2020, 24, 214–219. [Google Scholar] [CrossRef]
- Wang, Y.; Tang, C.; Tang, Y.; Yin, H.; Liu, X. Capsaicin has an anti-obesity effect through alterations in gut microbiota populations and short-chain fatty acid concentrations. Food Nutr. Res. 2020, 64, 3525. [Google Scholar] [CrossRef] [PubMed]
- Wei, B.; Peng, Z.; Zheng, W.; Yang, S.; Wu, M.; Liu, K.; Xiao, M.; Huang, T.; Xie, M.; Xiong, T. Probiotic-fermented tomato alleviates high-fat diet-induced obesity in mice: Insights from microbiome and metabolomics. Food Chem. 2024, 436, 137719. [Google Scholar] [CrossRef] [PubMed]
- Zhang, X.; Wu, X.; Xiao, G.; Liu, G.; Dong, H.; Liu, R.; Lu, Q. Phenolamide extract of apricot bee pollen alleviates glucolipid metabolic disorders and modulates the gut microbiota and metabolites in high-fat diet-induced obese mice. Food Funct. 2023, 14, 4662–4680. [Google Scholar] [CrossRef]
- Estrada-Luna, D.; Ortiz-Rodriguez, M.A.; Medina-Briseño, L.; Carreón-Torres, E.; Izquierdo-Vega, J.A.; Sharma, A.; Cancino-Díaz, J.C.; Pérez-Méndez, O.; Belefant-Miller, H.; Betanzos-Cabrera, G. Current therapies focused on high-density lipoproteins associated with cardiovascular disease. Molecules 2018, 23, 2730. [Google Scholar] [CrossRef] [PubMed]
- Stewart, J.; McCallin, T.; Martinez, J.; Chacko, S.; Yusuf, S. Hyperlipidemia. Pediatr. Rev. 2020, 41, 393–402. [Google Scholar] [CrossRef] [PubMed]
- Teis, A.; Cediel, G.; Amigó, N.; Julve, J.; Aranyó, J.; Andrés-Cordón, J.; Puig-Jové, C.; Castelblanco, E.; Gual-Capllonch, F.; Ferrer-Sistach, E.; et al. Particle size and cholesterol content of circulating HDL correlate with cardiovascular death in chronic heart failure. Sci. Rep. 2021, 11, 3141. [Google Scholar] [CrossRef]
- Thibaut, M.M.; Bindels, L.B. Crosstalk between bile acid-activated receptors and microbiome in entero-hepatic inflammation. Trends Mol. Med. 2022, 28, 223–236. [Google Scholar] [CrossRef]
- Feng, Y.; Zhu, Y.; Wan, J.; Yang, X.; Firempong, C.K.; Yu, J.; Xu, X. Enhanced oral bioavailability, reduced irritation and increased hypolipidemic activity of self-assembled capsaicin prodrug nanoparticles. J. Funct. Foods 2018, 44, 137–145. [Google Scholar] [CrossRef]
- Kim, M.J.; Park, H.; Choi, S.H.; Kong, M.J.; Kim, J.E.; Kang, T.C. CDDO-Me attenuates vasogenic edema and astroglial death by regulating NF-κB p65 phosphorylations and Nrf2 expression following status epilepticus. Int. J. Mol. Sci. 2019, 20, 4862. [Google Scholar] [CrossRef]
- Dong, X.; Qu, L.; Xiong, J.; Wang, B.; Sha, X.; Wu, B.; Sun, Y.; Sun, J.; Pan, X.; Pan, L.L. Shizukaol C alleviates trimethylamine oxide-induced inflammation through activating Keap1-Nrf2-GSTpi pathway in vascular smooth muscle cell. Phytomedicine 2024, 128, 155403. [Google Scholar] [CrossRef]
- Jiang, C.; Wang, S.; Wang, Y.; Wang, K.; Huang, C.; Gao, F.; Hu, H.; Deng, Y.; Zhang, W.; Huang, J.; et al. Polyphenols from hickory nut reduce the occurrence of atherosclerosis in mice by improving intestinal microbiota and inhibiting trimethylamine N-oxide production. Phytomedicine 2024, 128, 155349. [Google Scholar] [CrossRef]
- Luo, Y.; Geng, N.; Sun, S.; Cheng, L.; Chen, S.; Zhang, H.; Chen, J. Integration approach of transcriptomics and metabolomics reveals the toxicity of Anthracene and its chlorinated derivatives on human hepatic cells. Sci. Total Environ. 2023, 905, 166886. [Google Scholar] [CrossRef] [PubMed]
- Ma, R.; Shi, G.; Li, Y.; Shi, H. Trimethylamine N-oxide, choline and its metabolites are associated with the risk of non-alcoholic fatty liver disease. Br. J. Nutr. 2024, 131, 1–9. [Google Scholar] [CrossRef] [PubMed]
- Wang, W.; Cui, J.; Ma, H.; Lu, W.; Huang, J. Targeting pyrimidine metabolism in the era of precision cancer medicine. Front. Oncol. 2021, 11, 684961. [Google Scholar] [CrossRef] [PubMed]
- Janitschke, D.; Lauer, A.A.; Bachmann, C.M.; Winkler, J.; Griebsch, L.V.; Pilz, S.M.; Theiss, E.L.; Grimm, H.S.; Grimm, M.O.W. Methylxanthines induce a change in the ad/neurodegeneration-linked lipid profile in neuroblastoma cells. Int. J. Mol. Sci. 2022, 23, 2295. [Google Scholar] [CrossRef] [PubMed]
- Xie, Y.; Cai, L.; Huang, Z.; Shan, K.; Xu, X.; Zhou, G.; Li, C. Plant-based meat analogues aggravated lipid accumulation by regulating lipid metabolism homeostasis in mice. Food. Sci. Hum. Well. 2024, 13, 946–960. [Google Scholar] [CrossRef]
- Jiao, W.; Sang, Y.; Wang, X.; Wang, S. Metabonomics and the gut microbiome analysis of the effect of 6-shogaol on improving obesity. Food Chem. 2023, 404, 134734. [Google Scholar] [CrossRef]
- Miret-Casals, L.; Sebastian, D.; Brea, J.; ico-Leo, E.; Palacín, M.; Fernandez-Salguero, P.; Loza, I.; Albericio, F.; Zorzano, A. Identification of new activators of mitochondrial fusion reveals a link between mitochondrial morphology and pyrimidine metabolism. Cell Chem. Biol. 2018, 25, 268–278. [Google Scholar] [CrossRef]
- Thurm, C.; Schraven, B.; Kahlfuss, S. ABC transporters in T cell-mediated physiological and pathological immune responses. Int. J. Mol. Sci. 2021, 22, 9186. [Google Scholar] [CrossRef]
- Zhou, B.; Liu, P.; Yao, X.; Cao, H.; Zhu, H.; Wang, Q.; Liu, Y.; Fang, M.; Wu, Y.; Gong, Z. Hepatoprotective effects of peach gum polysaccharides against alcoholic liver injury: Moderation of oxidative stress and promotion of lipid metabolism. Front. Nutr. 2024, 10, 1325450. [Google Scholar] [CrossRef]
- Sztolsztener, K.; Konstantynowicz-Nowicka, K.; Harasim-Symbor, E.; Chabowski, A. Time-dependent changes in hepatic sphingolipid accumulation and PI3K/Akt/mTOR signaling pathway in a rat model of NAFLD. Int. J. Mol. Sci. 2021, 22, 1247. [Google Scholar] [CrossRef]
- Yang, Y.; Yu, S.; Rong, H.; Lei, Z.; Yang, C.; Wu, H.; Zhang, T.; Yang, F.; Nie, Y.; Chen, L.; et al. Sodium sulphate ameliorates hypercholesterolemia via the upregulation of CYP7A1 in hepatocytes and alleviates hepatic insulin resistance via the downregulation of Trib3 in mice with high cholesterol diets. Exp. Ther. Med. 2024, 28, 361. [Google Scholar] [CrossRef]
- Bobulescu, I.A.; Pop, L.M.; Mani, C.; Turner, K.; Rivera, C.; Khatoon, S.; Kairamkonda, S.; Hannan, R.; Palle, K. Renal lipid metabolism abnormalities in obesity and clear cell renal cell carcinoma. Metabolites 2021, 11, 608. [Google Scholar] [CrossRef]
- Kyohara, M.; Shirakawa, J.; Okuyama, T.; Togashi, Y.; Inoue, R.; Li, J.; Miyashita, D.; Terauchi, Y. Soluble EGFR, a hepatokine, and adipsin, an adipokine, are biomarkers correlated with distinct aspects of insulin resistance in type 2 diabetes subjects. Diabetol. Metab. Syndr. 2020, 12, 1–13. [Google Scholar] [CrossRef]
- Kim, D.H.; Triet, H.M.; Ryu, S.H. Regulation of EGFR activation and signaling by lipids on the plasma membrane. Prog. Lipid Res. 2021, 83, 101115. [Google Scholar] [CrossRef]
- Choung, S.; Kim, J.M.; Joung, K.H.; Lee, E.S.; Kim, H.J.; Ku, B.J. Epidermal growth factor receptor inhibition attenuates non-alcoholic fatty liver disease in diet-induced obese mice. PLoS ONE 2019, 14, e0210828. [Google Scholar] [CrossRef]
- Li, A.; Liu, J.; Ding, F.; Wu, X.; Pan, C.; Wang, Q.; Gao, M.; Duan, S.; Han, X.; Xia, K.; et al. Maca extracts regulate glucose and lipid metabolism in insulin-resistant HepG2 cells via the PI3K/AKT signalling pathway. Food Sci. Nutr. 2021, 9, 2894–2907. [Google Scholar] [CrossRef]
- Cheng, F.; Zhang, K.; Yang, X.; Shi, L.; Wei, Y.; Wang, D.; Xia, L.; Cao, K.; Tian, J.; Jin, Y. Multi-omics analysis reveals the mechanism of Lacticaseibacillus paracasei IMAUJBC1 in alleviating hyperlipidemia. J. Funct. Foods 2024, 114, 106079. [Google Scholar] [CrossRef]
- Clifford, B.L.; Sedgeman, L.R.; Williams, K.J.; Morand, P.; Cheng, A.; Jarrett, K.E.; Chan, A.P.; Brearley-Sholto, M.C.; Wahlstrom, A.; Ashby, J.W.; et al. FXR activation protects against NAFLD via bile-acid-dependent reductions in lipid absorption. Cell Metab. 2021, 33, 1671–1684. [Google Scholar] [CrossRef]
- Yu, L.; Liu, Y.; Wang, S.; Zhang, Q.; Zhao, J.; Zhang, H.; Narbad, A.; Tian, F.; Zhai, Q.; Chen, W. Cholestasis: Exploring the triangular relationship of gut microbiota-bile acid-cholestasis and the potential probiotic strategies. Gut Microbes 2023, 15, 2181930. [Google Scholar] [CrossRef]
- Lv, X.C.; Chen, M.; Huang, Z.R.; Guo, W.L.; Ai, L.Z.; Bai, W.D.; Yu, X.D.; Liu, Y.L.; Ni, L. Potential mechanisms underlying the ameliorative effect of Lactobacillus paracasei FZU103 on the lipid metabolism in hyperlipidemic mice fed a high-fat diet. Food Res. Int. 2021, 139, 109956. [Google Scholar] [CrossRef]
- Sun, L.; Wen, L.; Li, Q.; Chen, R.; Wen, S.; Lai, X.; Lai, Z.; Cao, J.; Zhang, Z.; Hao, M.; et al. Microbial fermentation enhances the effect of black tea on hyperlipidemia by mediating bile acid metabolism and remodeling intestinal microbes. Nutrients 2024, 16, 998. [Google Scholar] [CrossRef]





| No. | Metabolites | Classes | Average Abundance | p Value | VIP Score | |||||
|---|---|---|---|---|---|---|---|---|---|---|
| CK | HLP | SIM | Cap | Quer | Cap+Quer/3:1 | |||||
| 1 | 1-Hexadecyl-2-(5z,8z,11z,14z-eicosatetraenoyl)-sn-glycero-3-phosphocholine | Lipids and lipid-like molecules | 1.10 × 108 | 1.04 × 108 | 9.62 × 107 | 9.22 × 107 | 1.30 × 108 | 9.32 × 107 | 1.06 × 10−4 | 1.51 |
| 2 | N-oleoyl-d-erythro-sphingosylphosphorylcholine | Lipids and lipid-like molecules | 8.15 × 107 | 1.24 × 108 | 9.83 × 107 | 1.02 × 108 | 9.78 × 107 | 1.13 × 108 | 1.19 × 10−4 | 1.40 |
| 3 | 3-Hydroxyxanthone | Organoheterocyclic compounds | 1.09 × 107 | 5.41 × 106 | 1.00 × 107 | 9.15 × 106 | 7.97 × 106 | 7.81 × 106 | 1.35 × 10−4 | 1.38 |
| 4 | Propranolol | N.A. | 2.34 × 108 | 2.10 × 108 | 1.77 × 108 | 1.81 × 108 | 1.36 × 108 | 1.63 × 108 | 1.35 × 10−4 | 1.23 |
| 5 | 2-Amino-3,8-dimethylimidazo[4,5-f]quinoxaline | Organoheterocyclic compounds | 6.21 × 106 | 5.78 × 106 | 5.00 × 106 | 4.94 × 106 | 3.59 × 106 | 4.05 × 106 | 1.53 × 10−4 | 1.22 |
| 6 | 1-(1z-Hexadecenyl)-sn-glycero-3-phosphocholine | Lipids and lipid-like molecules | 8.21 × 107 | 6.51 × 107 | 6.74 × 107 | 6.27 × 107 | 6.48 × 107 | 6.35 × 107 | 2.00 × 10−4 | 1.27 |
| 7 | Oxybutynin | N.A. | 1.20 × 107 | 9.21 × 106 | 8.52 × 106 | 8.39 × 106 | 6.30 × 106 | 6.74 × 106 | 2.06 × 10−4 | 1.23 |
| 8 | O-succinyl-l-homoserine | Lipids and lipid-like molecules | 1.11 × 107 | 1.69 × 107 | 1.05 × 107 | 1.27 × 107 | 1.33 × 107 | 1.01 × 107 | 2.22 × 10−4 | 1.36 |
| 9 | L-citrulline | Phenylpropanoids and polyketides | 5.27 × 107 | 7.31 × 107 | 4.85 × 107 | 5.08 × 107 | 5.70 × 107 | 4.80 × 107 | 2.61 × 10−4 | 1.28 |
| 10 | Propentofylline | Lipids and lipid-like molecules | 8.27 × 106 | 7.89 × 106 | 7.05 × 106 | 6.19 × 106 | 1.08 × 107 | 1.05 × 107 | 2.61 × 10−4 | 1.54 |
| 11 | Pseudouridine | Organic acids and derivatives | 1.09 × 108 | 1.27 × 108 | 1.11 × 108 | 1.10 × 108 | 9.26 × 107 | 1.05 × 108 | 1.09 × 10−4 | 1.25 |
| 12 | Cefaclor | Organoheterocyclic compounds | 9.40 × 106 | 6.82 × 106 | 1.03 × 107 | 3.83 × 106 | 8.62 × 106 | 4.31 × 106 | 1.19 × 10−4 | 1.59 |
| 13 | 14-Hydroxy-4z,7z,10z,12e,16z,19z-docosahexaenoic acid | Organoheterocyclic compounds | 2.23 × 108 | 1.05 × 108 | 1.82 × 108 | 1.36 × 108 | 7.03 × 107 | 9.81 × 107 | 1.61 × 10−4 | 1.19 |
| 14 | (4e,8e)-10-(4-Hydroxy-6-methoxy-7-methyl-3-oxo-1h-2-benzofuran-5-yl)-4,8-dimethyldeca-4,8-dienoic acid | Organic acids and derivatives | 3.49 × 106 | 1.05 × 107 | 2.81 × 106 | 2.79 × 106 | 6.01 × 106 | 3.98 × 106 | 1.74 × 10−4 | 1.25 |
| 15 | Daidzein 4′-sulfate | Organic acids and derivatives | 2.47 × 106 | 1.09 × 107 | 5.95 × 106 | 1.27 × 106 | 4.65 × 106 | 1.24 × 106 | 1.79 × 10−4 | 1.20 |
| 16 | 2,6′-Dimethoxy-2′-hydroxychalcone | Nucleosides, nucleotides, and analogues | 7.53 × 106 | 6.47 × 106 | 4.92 × 106 | 4.55 × 106 | 4.39 × 106 | 3.77 × 106 | 2.41 × 10−4 | 1.20 |
| 17 | Gamma-glutamylleucine | Lipids and lipid-like molecules | 3.94 × 106 | 4.80 × 106 | 3.17 × 106 | 3.30 × 106 | 2.79 × 106 | 2.72 × 106 | 2.97 × 10−4 | 1.19 |
| 18 | 12-oxo-5z,8z,10e,14z-Eicosatetraenoic acid | Phenylpropanoids and polyketides | 1.13 × 108 | 5.09 × 107 | 8.28 × 107 | 6.25 × 107 | 3.36 × 107 | 4.24 × 107 | 3.00 × 10−4 | 1.15 |
| 19 | N-acetylhistidine | Organic acids and derivatives | 1.44 × 108 | 1.03 × 108 | 9.05 × 107 | 1.01 × 108 | 9.11 × 107 | 9.46 × 107 | 3.02 × 10−4 | 1.20 |
| 20 | 5-Methoxyindoleacetate | Organoheterocyclic compounds | 5.78 × 107 | 7.66 × 107 | 5.05 × 107 | 4.86 × 107 | 2.15 × 107 | 3.32 × 107 | 4.11 × 10−4 | 1.16 |
Disclaimer/Publisher’s Note: The statements, opinions and data contained in all publications are solely those of the individual author(s) and contributor(s) and not of MDPI and/or the editor(s). MDPI and/or the editor(s) disclaim responsibility for any injury to people or property resulting from any ideas, methods, instructions or products referred to in the content. |
© 2024 by the authors. Licensee MDPI, Basel, Switzerland. This article is an open access article distributed under the terms and conditions of the Creative Commons Attribution (CC BY) license (https://creativecommons.org/licenses/by/4.0/).
Share and Cite
Wu, Y.; Liu, W.; Wang, R.; Lian, Y.; Cheng, X.; Yang, R.; Wang, X.; Mi, S. Capsaicin and Quercitrin Maintained Lipid Homeostasis of Hyperlipidemic Mice: Serum Metabolomics and Signaling Pathways. Foods 2024, 13, 3727. https://doi.org/10.3390/foods13233727
Wu Y, Liu W, Wang R, Lian Y, Cheng X, Yang R, Wang X, Mi S. Capsaicin and Quercitrin Maintained Lipid Homeostasis of Hyperlipidemic Mice: Serum Metabolomics and Signaling Pathways. Foods. 2024; 13(23):3727. https://doi.org/10.3390/foods13233727
Chicago/Turabian StyleWu, Yanxia, Weihua Liu, Rongrong Wang, Yunhe Lian, Xinying Cheng, Ruili Yang, Xianghong Wang, and Si Mi. 2024. "Capsaicin and Quercitrin Maintained Lipid Homeostasis of Hyperlipidemic Mice: Serum Metabolomics and Signaling Pathways" Foods 13, no. 23: 3727. https://doi.org/10.3390/foods13233727
APA StyleWu, Y., Liu, W., Wang, R., Lian, Y., Cheng, X., Yang, R., Wang, X., & Mi, S. (2024). Capsaicin and Quercitrin Maintained Lipid Homeostasis of Hyperlipidemic Mice: Serum Metabolomics and Signaling Pathways. Foods, 13(23), 3727. https://doi.org/10.3390/foods13233727
