Effect of Spray-Drying and Freeze-Drying on the Composition, Physical Properties, and Sensory Quality of Pea Processing Water (Liluva)
Abstract
1. Introduction
2. Materials and Methods
2.1. Sample Preparation
2.2. Proximate Composition
2.3. Free Amino Acid Profile
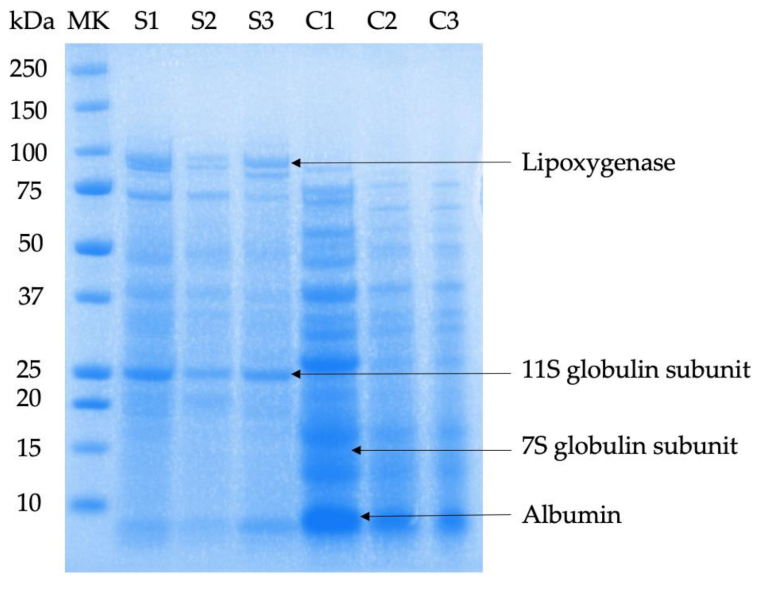
2.4. Protein Analysis via SDS-PAGE
2.5. Particle Size
2.6. Colour
2.7. Cake Preparation
2.8. Sensory Analysis
2.9. Data Analysis
3. Results and Discussion
3.1. Proximate Composition
3.2. Free Amino Acids
3.3. Protein Molecular Weight Distribution
3.4. Particle Size
3.5. Colour of Powders
3.6. Sensory Quality
4. Conclusions
Author Contributions
Funding
Institutional Review Board Statement
Informed Consent Statement
Acknowledgments
Conflicts of Interest
Appendix A
| Cooking Water | Soaking Water | |
|---|---|---|
| Input (kg) | 11.80 | 27.44 |
| Output (kg) | 0.25 | 0.13 |
| Drying period | 1 h 15 min | 1 h |
| Target recovery (%) | 5 | 2 |
| Actual recovery (%) | 2.12 | 0.46 |
| Inlet air temperature (°C) | 179 | 179 |
| Outlet air temperature (°C) | 80 | 94.6 |
| Spray frequency (Hz) | 170 | 180 |
| Screw pump frequency (Hz) | 23 | 10 |
References
- Nosworthy, M.G.; Franczyk, A.J.; Medina, G.; Neufeld, J.; Appah, P.; Utioh, A.; Frohlich, P.; House, J.D. Effect of processing on the in vitro and in vivo protein quality of yellow and green split peas (Pisum sativum). J. Agric. Food Chem 2017, 65, 7790–7796. [Google Scholar] [CrossRef] [PubMed]
- Serventi, L. Upcycling Legume Water: From Wastewater Food Ingredients, 1st ed.; Springer Nature: Cham, Switzerland, 2020. [Google Scholar]
- Serventi, L. Soaking water composition. In Upcycling Legume Water: From Wastewater Food Ingredients, 1st ed.; Springer Nature: Cham, Switzerland, 2020; pp. 27–39. [Google Scholar]
- Serventi, L. Cooking water composition. In Upcycling Legume Water: From Wastewater Food Ingredients, 1st ed.; Springer Nature: Cham, Switzerland, 2020; pp. 73–85. [Google Scholar]
- Huang, S.; Liu, Y.; Zhang, W.; Dale, K.J.; Liu, S.; Zhu, J.; Serventi, L. Composition of legume soaking water and emulsifying properties in gluten-free bread. Food Sci. Technol. Int. 2018, 24, 232–241. [Google Scholar] [CrossRef]
- Barbosa, J.; Teixeira, P. evelopment of probiotic fruit juice powders by spray-drying: A review. Food Rev. Int 2016, 33, 335–358. [Google Scholar] [CrossRef]
- Liu, Y.; Zhang, Z.; Hu, L. High efficient freeze-drying technology in food industry. Crit Rev. Food Sci Nutr 2021, 1–19. [Google Scholar] [CrossRef]
- O’Sullivan, J.J.; Norwood, E.-A.; O’Mahony, J.A.; Kelly, A.L. Atomisation technologies used in spray-drying in the dairy industry: A review. J. Food Eng. 2019, 243, 57–69. [Google Scholar] [CrossRef]
- AACC International. Moisture-Air Oven Methods, drying at 103 °C. Methods 44-15.02. In Approved Methods of Analysis, 11th ed.; Paul, S.T., Ed.; American Association of Cereal Chemists: Washington, MN, USA, 2000. [Google Scholar]
- Jermyn, M.A. A new method for determining ketohexoses in the presence of aldohexoses. Nature 1956, 177, 38–39. [Google Scholar] [CrossRef]
- Pollock, C.J.; Jones, T. Seasonal patterns of fructan metabolism in forage grasses. New. Phytol. 1979, 83, 9–15. [Google Scholar] [CrossRef]
- AOAC. Official Methods of Analysis of AOAC International, 16th ed.; AOAC International Publ.: Arlington, TX, USA, 1995. [Google Scholar]
- AOAC. Official Methods of Analysis of AOAC International, 18th ed.; AOAC International Publ.: Arlington, TX, USA, 1995. [Google Scholar]
- Heems, D.; Luck, G.; Fraudeau, C.; Verette, E. Fully automated precolumn derivatization, on-line dialysis and high-performance liquid chromatography analysis of amino acids in food, beverages and feedstuff. J. Chromatpogr. A 1998, 198, 9–17. [Google Scholar] [CrossRef]
- Carducci, C.; Birarelli, M.; Leuzzi, V.; Santagata, G.; Serafini, P.; Antonozzi, I. Automated method for the measurement if amino acids in ureine by high performance liquid chromatography. J. Chromatogr. A 1996, 729, 173–180. [Google Scholar] [CrossRef]
- Buhl, T.F.; Christensen, C.H.; Hammershøj, M. Aquafaba as an egg white substitute in food foams and emulsions: Protein composition and functional behavior. Food Hydrocolloid 2019, 96, 354–364. [Google Scholar] [CrossRef]
- Govoreanu, R.; Saveyn, H.; Van der Meeren, P.; Nopens, I.; Vanrolleghem, P.A. A methodological approach for direct quantification of the activated sludge floc size distribution by using different techniques. Water Sci. Technol. 2009, 60, 1857–1867. [Google Scholar] [CrossRef] [PubMed]
- Yagiz, Y.; Balaban, M.O.; Kristinsson, H.G.; Welt, B.A.; Marshall, M.R. Comparison of Minolta colorimeter and machine vision system in measuring colour of irradiated Atlantic salmon. J. Sci. Food Agric. 2009, 89, 728–730. [Google Scholar] [CrossRef]
- Mustafa, R.; He, Y.; Shim, Y.Y.; Reaney, M.J.T. Aquafaba, wastewater from chickpea canning, functions as an egg replacer in sponge cake. Int. J. Food Sci. Technol. 2018, 53, 2247–2255. [Google Scholar] [CrossRef]
- Sveinsdottir, K.; Martinsdottir, E.; Thorsdottir, F.; Schelvis, R.; Kole, A.; Thorsdottir, I. Evaluation of Farmed Cod Products by a Trained Sensory Panel and Consumers in Different Test Settings. J. Sens. Stud. 2010, 25, 280–293. [Google Scholar] [CrossRef]
- Stantiall, S.E.; Dale, K.J.; Calizo, F.S.; Serventi, L. Application of pulses cooking water as functional ingredients: The foaming and gelling abilities. Eur. Food Res. Technol. 2018, 244, 97–104. [Google Scholar] [CrossRef]
- Joshi, M.; Adhikari, B.; Aldred, P.; Panozzo, J.F.; Kasapis, S. Physicochemical and functional properties of lentil protein isolates prepared by different drying methods. Food Chem. 2011, 129, 1513–1522. [Google Scholar] [CrossRef]
- Shishir, M.R.I.; Chen, W. Trends of spray-drying: A critical review on drying of fruit and vegetable juices. Trends Food Sci. Tech. 2017, 65, 49–67. [Google Scholar] [CrossRef]
- Brishti, F.H.; Chay, S.Y.; Muhammad, K.; Ismail-Fitry, M.R.; Zarei, M.; Karthikeyan, S.; Saari, N. Effects of drying techniques on the physicochemical, functional, thermal, structural and rheological properties of mung bean (Vigna radiata) protein isolate powder. Food Res. Int. 2020, 138, 109783. [Google Scholar] [CrossRef]
- del Rio, A.R.; Opazo-Navarrete, M.; Cepero-Betancourt, Y.; Tabilo-Munizaga, G.; Boom, R.M.; Janssen, A.E. Heat-induced changes in microstructure of spray-dried plant protein isolates and its implications on in vitro gastric digestion. LWT 2020, 118, 108795. [Google Scholar] [CrossRef]
- Shreenithee, C.R.; Prabhasankar, P. Effect of different shapes on the quality, microstructure, sensory and nutritional characteristics of yellow pea flour incorporated pasta. J. Food Meas. Charact. 2013, 7, 166–176. [Google Scholar] [CrossRef]
- Lin, C.H.; Chen, B.H. Stability of carotenoids in tomato juice during processing. Eur. Food Res. Technol. 2005, 22, 274–280. [Google Scholar] [CrossRef]
- Avellone, G.; Salvo, A.; Costa, R.; Saija, E.; Bongiorno, D.; Di Stefano, V.; Calabrese, G.; Dugo, G. Investigation on the influence of spray-drying technology on the quality of Sicilian Nero d’Avola wines. Food Chem. 2018, 240, 222–230. [Google Scholar] [CrossRef]



| Nutrients (g/100 g) | Spray-Dried Pea Soaking Water Powder | Spray-Dried Pea Cooking Water Powder |
|---|---|---|
| Moisture content | 7.15 ± 0.07 a | 4.86 ± 0.14 b |
| Protein | 25.16 ± 0.08 a | 34.63 ± 0.43 b |
| Soluble carbohydrates | 25.17 ± 1.70 a | 17.44 ± 0.92 b |
| Insoluble carbohydrates | 32.43 ± 1.82 a | 35.99 ± 0.98 b |
| Minerals | 10.08 ± 0.11 a | 7.08 ± 0.06 b |
| Soaking Water | Cooking Water | |||||
|---|---|---|---|---|---|---|
| Amino Acid | Raw (µM) | Spray-Dried (µM) | Freeze-Dried (µM) | Raw (µM) | Spray-Dried (µM) | Freeze-Dried (µM) |
| Asp | 106.33 ± 5.21 b | * | * | 291.49 ± 4.33 a | 320.68 ± 14.42 a | 125.36 ± 2.96 b |
| Glu | * | * | * | * | * | * |
| Cys | ** | ** | 94.30 ± 0.74 b | ** | ** | 163.97 ± 5.09 a |
| Asn | * | 749.26 ± 16.53 e | 1422.57 ± 72.20 d | 4428.08 ± 23.66 a | 4144.78 ± 18.95 b | 2058.07 ± 14.58 c |
| Ser | 342.56 ± 8.24 a | 221.54 ± 0.95 b | 183.88 ± 7.58 cd | 197.30 ± 1.91 c | 168.69 ± 2.61 d | 136.06 ± 4.04 e |
| Gln | 246.78 ± 9.60 a | 58.57 ± 2.30 c | 101.47 ± 4.26 b | 21.71 ± 7.57 d | 13.97 ± 0.36 d | 9.48 ± 1.02 d |
| His | 128.58 ± 1.63 b | 192.50 ± 1.36 a | 86.43 ± 10.99 c | 127.60 ± 0.29 b | 121.75 ± 1.75 b | 100.43 ± 6.53 c |
| Gly | * | * | 558.31 ± 5.44 a | 288.65 ± 5.18 d | 379.22 ± 4.58 c | 420.11 ± 16.28 b |
| Thr | 376.86 ± 10.36 b | 542.50 ± 20.09 a | 267.82 ± 1.80 d | 325.46 ± 7.05 c | 261.43 ± 6.07 d | 238.35 ± 12.24 d |
| Arg | * | 422.27 ± 0.07 | * | * | * | * |
| Ala | 389.20 ± 5.18 c | 730.06 ± 0.19 a | 306.10 ± 1.53 e | 392.26 ± 0.74 bc | 409.71 ± 3.57 b | 343.02 ± 8.98 d |
| Tau | * | * | * | 609.93 ± 1.04 b | 643.41 ± 2.50 a | * |
| Tyr | 136.34 ± 1.79 a | 132.00 ± 0.08 a | 101.95 ± 0.86 c | 108.27 ± 0.51 b | 112.18 ± 0.03 b | 99.97 ± 2.66 c |
| Val | 218.58 ± 2.98 b | 300.00 ± 1.28 a | 187.71 ± 0.30 c | 136.62 ± 1.09 e | 139.43 ± 1.61 e | 159.75 ± 4.41 d |
| Met | 48.41 ± 0.84 bc | 75.07 ± 0.18 a | 28.75 ± 0.15 d | 51.31 ± 0.20 b | 48.89 ± 0.39 bc | 47.60 ± 1.62 c |
| Try | 49.39 ± 0.58 c | 68.18 ± 0.23 a | 34.65 ± 0.15 d | 63.31 ± 0.94 b | 64.81 ± 0.54 b | 62.10 ± 1.11 b |
| Phe | 93.89 ± 1.03 d | 178.84 ± 0.32 a | 100.00 ± 0.58 bc | 97.19 ± 0.04 cd | 103.92 ± 1.03 b | 98.97 ± 2.26 c |
| Ile | 97.44 ± 1.42 c | 142.49 ± 0.69 a | 101.76 ± 0.10 b | 64.00 ± 0.26 d | 66.89 ± 1.24 d | 63.82 ± 1.35 d |
| Lys | 197.00 ± 0.72 bc | 185.34 ± 1.56 cd | 206.75 ± 0.52 ab | 171.85 ± 1.65 e | 176.33 ± 5.96 de | 215.73 ± 4.32 a |
| Leu | 123.54 ± 0.94 b | 189.15 ± 2.18 a | 133.58 ± 0.98 b | 125.19 ± 0.32 b | 125.88 ± 7.53 b | 137.06 ± 3.41 b |
| Pro | 356.46 ± 7.78 a | 350.79 ± 0.84 a | 251.89 ± 13.09 b | 208.06 ± 3.01 bc | 232.64 ± 17.66 b | 173.52 ± 14.97 c |
| Ingredient | Physical State | Dx (10) | Dx (50) | Dx (90) |
|---|---|---|---|---|
| Pea Soaking Water | Raw | 3.59 | 18.1 | 83.0 |
| Spray-dried | 4.91 | 17.8 | 48.6 | |
| Freeze-dried | 3.38 | 22.2 | 96.1 | |
| Pea Cooking Water | Raw | 41.2 | 150.0 | 380.0 |
| Spray-dried | 17.4 | 58.3 | 128.0 | |
| Freeze-dried | 103 | 345 | 737.0 |
| Samples | Lightness (L*) | Redness (a*) | Yellowness (b*) | |
|---|---|---|---|---|
| Soaking water | Spray-dried | 92.1 ± 0.7 a | −1.39 ± 0.05 d | 19.9 ± 0.3 c |
| Freeze-dried | 81.9 ± 1.0 c | 2.36 ± 0.10 b | 20.5 ± 0.1 b | |
| Cooking water | Spray-dried | 90.3 ± 0.2 b | 1.37 ± 0.03 c | 15.7 ± 0.3 d |
| Freeze-dried | 81.0 ± 0.3 c | 4.31 ± 0.09 a | 22.6 ± 0.1 a | |
| Recipe | Appearance | Aroma | Taste | Texture | Overall Preference |
|---|---|---|---|---|---|
| Raw | 6.65 ± 0.99 a | 6.05 ± 1.03 a | 6.50 ± 1.47 a | 6.85 ± 1.09 a | 6.50 ± 1.36 a |
| Spray-dried | 6.55 ± 0.89 a | 6.25 ± 1.21 a | 6.40 ± 1.47 a | 6.30 ± 1.30 a | 6.60 ± 1.73 a |
Publisher’s Note: MDPI stays neutral with regard to jurisdictional claims in published maps and institutional affiliations. |
© 2021 by the authors. Licensee MDPI, Basel, Switzerland. This article is an open access article distributed under the terms and conditions of the Creative Commons Attribution (CC BY) license (https://creativecommons.org/licenses/by/4.0/).
Share and Cite
Chen, W.; Chiu, H.T.; Feng, Z.; Maes, E.; Serventi, L. Effect of Spray-Drying and Freeze-Drying on the Composition, Physical Properties, and Sensory Quality of Pea Processing Water (Liluva). Foods 2021, 10, 1401. https://doi.org/10.3390/foods10061401
Chen W, Chiu HT, Feng Z, Maes E, Serventi L. Effect of Spray-Drying and Freeze-Drying on the Composition, Physical Properties, and Sensory Quality of Pea Processing Water (Liluva). Foods. 2021; 10(6):1401. https://doi.org/10.3390/foods10061401
Chicago/Turabian StyleChen, Weijun, Hoi Tung Chiu, Ziqian Feng, Evelyne Maes, and Luca Serventi. 2021. "Effect of Spray-Drying and Freeze-Drying on the Composition, Physical Properties, and Sensory Quality of Pea Processing Water (Liluva)" Foods 10, no. 6: 1401. https://doi.org/10.3390/foods10061401
APA StyleChen, W., Chiu, H. T., Feng, Z., Maes, E., & Serventi, L. (2021). Effect of Spray-Drying and Freeze-Drying on the Composition, Physical Properties, and Sensory Quality of Pea Processing Water (Liluva). Foods, 10(6), 1401. https://doi.org/10.3390/foods10061401

