Growth Prediction in Orthodontics: ASystematic Review of Past Methods up to Artificial Intelligence
Abstract
Highlights
- This systematic review presents both traditional and concurrent digital methods for predicting human growth. A systematic search identified 69 studies on maxillofacial growth prediction lacking any orthodontic intervention.
- Skeletal age is commonly assessed using cervical vertebrae and hand–wrist radiographs. Alternative approaches, including metal implants, biochemical markers, and electromyography, have been implemented.
- Emerging digital tools aim to enhance the accuracy of traditional methods.
- Future growth prediction should aim to minimize patient distress and radiation exposure. A more comprehensive and reliable prediction model may emerge from integrating established techniques with AI and digital innovations.
Abstract
1. Introduction
2. Materials and Methods
2.1. Eligibility Criteria
2.2. Information Sources and Search Strategy
2.3. Study Selection
2.4. Data Collection
2.5. Risk of Bias in Individual Studies
2.6. Summary Measures and Shaping of Results
3. Results
3.1. Study Selection and Study Characteristics
3.2. Risk of Bias Within Studies
3.3. Results of Individual Studies
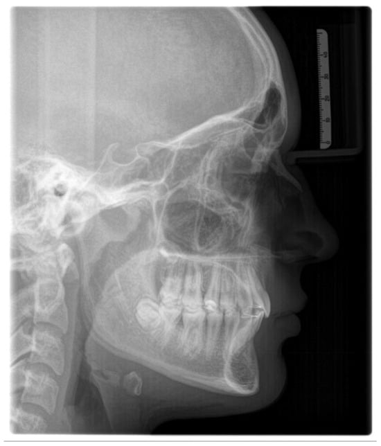
3.3.1. Lateral Cephalometric Radiography
- Sella (S)—the center of the hypophyseal fossa (sella turcica).
- Nasion (N)—the junction of the nasal and frontal bones at the most posterior point on the curvature of the bridge of the nose.
- A-point (A)—an arbitrary measurement point on the innermost curvature from the maxillary anterior nasal spine to the crest of the maxillary alveolar process. A-point is the most anterior point of the maxillary apical base.
- B-point (B)—an arbitrary measurement point on the anterior bony curvature of the mandible. B point is the innermost curvature from the chin to the alveolar junction.
- Pogonion (Pg)—the most anterior point on the contour of the chin.
- Menton (Me)—the lowest point on the symphysis of the mandible.
- Gnathion (Gn)—the most outward and everted point on the profile curvature of the symphysis of the mandible, located midway between Pogonion and menton.
- Orbitale (Or)—a point midway between the lowest point on the inferior margin of the two orbits.
- Gonion (Go)—a point midway between the points representing the middle of the curvature at the left and right angles of the mandible.
- Porion (Po)—the midpoint of the upper contour of the external auditory canal (Anatomic Porion) or a point midway between the top of the image of the left and right ear-rods of the cephalostat (Machine Porion).
- Sella-Nasion (S-N)—a line connecting S to N;
- Frankfurt horizontal (FH)—a line connecting Po to Or;
- Mandibular plane (MP)—a line connecting Go to Me;
- Y-axis (Y)—a line connecting S to Gn;
- Upper anterior facial height (UAFH)—a line connecting N to ANS;
- Lower anterior facial height (LAFH)—a line connecting ANS to Me;
- Nasion-A point (N-A)—a line connecting N to A;
- Nasion-B point (N-B)—a line connecting N to B.
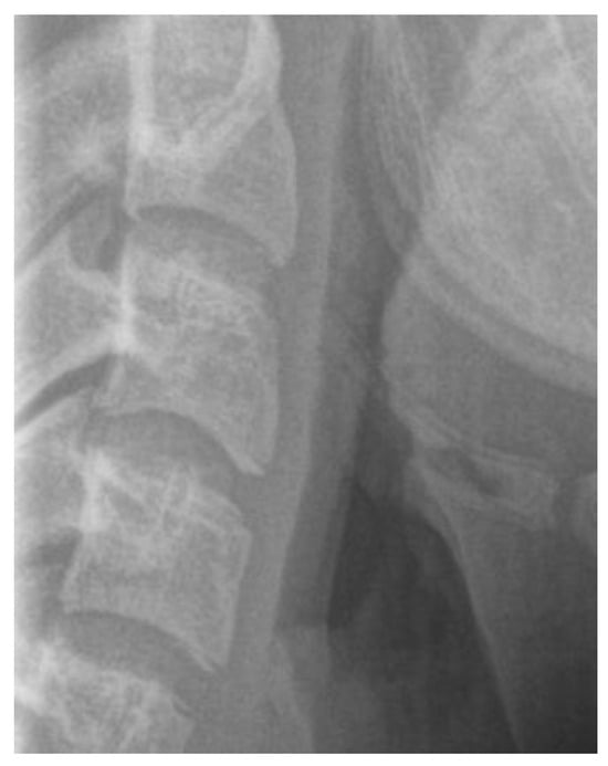
3.3.2. Cervical Vertebrae Radiography
3.3.3. Hand–Wrist Radiograph
3.3.4. Metal Implants
3.3.5. Other Methods
4. Discussion
4.1. Summary of Evidence
4.2. Strengths and Limitations
4.3. Recommendations for Future Research
5. Conclusions
Author Contributions
Funding
Conflicts of Interest
Abbreviations
| AI | artificial intelligence |
| ALP | alkaline phosphatase |
| ANN | artificial neural network-based |
| CNN | convolutional neural network |
| CVM | cervical vertebral maturation |
| DL | deep learning |
| EMG | electromyography |
| FD | fractal dimension |
| FH | Frankfurt horizontal |
| GCF | gingival crevicular fluid |
| HWR | hand–wrist radiograph |
| LAFH | lower anterior facial height |
| ML | machine learning |
| MP | mandibular plane |
| NN | neural network |
| PLS | partial least square |
| SD | standard deviation |
| TMJ | temporomandibular joint |
| TW | Tanner–Whitehouse |
| UAFH | upper anterior facial height |
References
- Burman, P.; Deijen, J.B. Quality of Life and Cognitive Function in Patients with Pituitary Insufficiency. Psychother. Psychosom. 1998, 67, 154–167. [Google Scholar] [CrossRef] [PubMed]
- Han, J.; Huang, C.; Meng, L.; Wu, H.; Meng, D. Children with Idiopathic Short Stature and Growth Hormone Deficiency Exhibit Similar Changes in Gut Microbiota. Endocr. J. 2025, 72, 791–799. [Google Scholar] [CrossRef]
- Sodero, G.; Rigante, D.; Cipolla, C. Neonatal Symptoms in Pediatric Idiopathic Growth Hormone Deficiency: Prevalences and Insights. Children 2025, 12, 430. [Google Scholar] [CrossRef]
- Cameron, N.; Bogin, B. Human Growth and Development, 1st ed.; Academic Press: London, UK, 2012. [Google Scholar]
- Farkas, L.G.; Posnick, J.C.; Hreczko, T.M. Growth Patterns of the Face: A Morphometric Study. Cleft Palate Craniofac. J. 1992, 29, 308–315. [Google Scholar] [CrossRef]
- Nascimento, R.B.; Mendes Ribeiro, S.M.; Fagundes, N.C.F.; Normando, D. Craniofacial Changes Among Children and Adolescents Submitted to Growth Hormone Therapy: A Systematic Review. Orthod. Craniofac. Res. 2025. ahead of print. [Google Scholar] [CrossRef]
- Thilander, B. Basic Mechanisms in Craniofacial Growth. Acta Odontol. Scand. 1995, 53, 144–151. [Google Scholar] [CrossRef]
- Avontroodt, S.; Lemiere, J.; Cadenas de Llano-Pérula, M.; Verdonck, A.; Laenen, A.; Willems, G. The Evolution of Self-Esteem Before, During and After Orthodontic Treatment in Adolescents with Dental Malocclusion: A Prospective Cohort Study. Eur. J. Orthod. 2020, 42, 257–262. [Google Scholar] [CrossRef]
- Bahar, A.D.; Sagi, M.S.; Mohd Zuhairi, F.A.; Wan Hassan, W.N. Dental Aesthetics and Self-Esteem of Patients Seeking Orthodontic Treatment. Healthcare 2024, 12, 1576. [Google Scholar] [CrossRef]
- de Couto Nascimento, V.; de Castro Ferreira Conti, A.C.; de Almeida Cardoso, M.; Valarelli, D.P.; de Almeida-Pedrin, R.R. Impact of Orthodontic Treatment on Self-Esteem and Quality of Life of Adult Patients Requiring Oral Rehabilitation. Angle Orthod. 2016, 86, 839–845. [Google Scholar] [CrossRef] [PubMed]
- Buziashvili, D.; Tower, J.I.; Sangal, N.R.; Shah, A.M.; Paskhover, B. Long-Term Patterns of Age-Related Facial Bone Loss in Black Individuals. JAMA Facial Plast. Surg. 2019, 21, 292–297. [Google Scholar] [CrossRef] [PubMed]
- Chappuis, V.; Araújo, M.G.; Buser, D. Clinical Relevance of Dimensional Bone and Soft Tissue Alterations Post-Extraction in Esthetic Sites. Periodontology 2000 2017, 73, 73–83. [Google Scholar] [CrossRef]
- Mendelson, B.; Wong, C.H. Changes in the Facial Skeleton with Aging: Implications and Clinical Applications in Facial Rejuvenation. Aesthet. Plast. Surg. 2020, 44, 1151–1158. [Google Scholar] [CrossRef]
- Swift, A.; Liew, S.; Weinkle, S.; Garcia, J.K.; Silberberg, M.B. The Facial Aging Process from the “Inside Out”. Aesthet. Surg. J. 2021, 41, 1107–1119. [Google Scholar] [CrossRef] [PubMed]
- Brachetta-Aporta, N.; Gonzalez, P.N.; Bernal, V. Association Between Shape Changes and Bone Remodeling Patterns in the Middle Face During Ontogeny in South American Populations. Anat. Rec. 2022, 305, 156–169. [Google Scholar] [CrossRef]
- Enlow, D.H.; Hunter, W.S. A Differential Analysis of Sutural and Remodeling Growth in the Human Face. Am. J. Orthod. 1966, 52, 823–830. [Google Scholar] [CrossRef] [PubMed][Green Version]
- Lyros, I.; Ferdianakis, E.; Halazonetis, D.; Lykogeorgos, T.; Alexiou, A.; Alexiou, K.E.; Georgaki, M.; Vardas, E.; Yfanti, Z.; Tsolakis, A.I. Three-Dimensional Analysis of Posterior Mandibular Displacement in Rats. Vet. Sci. 2022, 9, 144. [Google Scholar] [CrossRef]
- Björk, A. Prediction of Mandibular Growth Rotation. Am. J. Orthod. 1969, 55, 585–599. [Google Scholar] [CrossRef]
- Fishman, L.S. Radiographic Evaluation of Skeletal Maturation: A Clinically Oriented Method Based on Hand-Wrist Films. Angle Orthod. 1982, 52, 88–112. [Google Scholar] [CrossRef]
- Flores-Mir, C.; Nebbe, B.; Major, P.W. Use of Skeletal Maturation Based on Hand Wrist Radiographic Analysis as a Predictor of Facial Growth: A Systematic Review. Angle Orthod. 2004, 74, 118–124. [Google Scholar] [CrossRef]
- Hunter, C.J. The correlation of facial growth with body height and skeletal maturation at adolescence. Angle Orthod. 1966, 36, 44–54. [Google Scholar] [CrossRef] [PubMed]
- Sidlauskas, A.; Zilinskaite, L.; Svalkauskiene, V. Mandibular pubertal growthspurt prediction. Part one: Method based on the hand-wrist radiographs. Stomatologija 2005, 7, 16–20. [Google Scholar]
- Alkhudhairi, T.D.; Alkofide, E.A. Cephalometric craniofacial features in Saudi parents and their offspring. Angle Orthod. 2010, 80, 1010–1017. [Google Scholar] [CrossRef]
- Gelgör, I.E.; Karaman, A.I.; Zekiç, E. The use of parental data to evaluate soft tissues in an Anatolian Turkish population according to Holdaway soft tissue norms. Am. J. Orthod. Dentofac. Orthop. 2006, 129, 330.e1–330.e9. [Google Scholar] [CrossRef] [PubMed]
- Vilas, R.; Ceballos, F.C.; Al-Soufi, L.; González-García, R.; Moreno, C.; Moreno, M.; Álvarez, G. Is the “Habsburg jaw” related to inbreeding? Ann. Hum. Biol. 2019, 46, 553–561. [Google Scholar] [CrossRef] [PubMed]
- Suzuki, A.; Takahama, Y. Parental data used to predict growth of craniofacial form. Am. J. Orthod. Dentofac. Orthop. 1991, 99, 107–121. [Google Scholar] [CrossRef] [PubMed]
- Miller, E.M. The first Seriatum study of growth by R.E. Scammon. Am. J. Phys. Anthropol. 2018, 165, 415–420. [Google Scholar] [CrossRef]
- Franchi, L.; Pavoni, C.; Faltin, K., Jr.; McNamara, J.A., Jr.; Cozza, P. Long-term skeletal and dental effects and treatment timing for functional appliances in Class II malocclusion. Angle Orthod. 2013, 83, 334–340. [Google Scholar] [CrossRef]
- Pavoni, C.; Lombardo, E.C.; Lione, R.; Faltin, K., Jr.; McNamara, J.A., Jr.; Cozza, P.; Franchi, L. Treatment timing for functional jaw orthopaedics followed by fixed appliances: A controlled long-term study. Eur. J. Orthod. 2018, 40, 430–436. [Google Scholar] [CrossRef]
- Hamidaddin, M.A. Optimal treatment timing in orthodontics: A scoping review. Eur. J. Dent. 2024, 18, 86–96. [Google Scholar] [CrossRef]
- Fishman, L.S. Chronological versus skeletal age, an evaluation of craniofacial growth. Angle Orthod. 1979, 49, 181–189. [Google Scholar] [CrossRef]
- Franchi, L.; Baccetti, T.; McNamara, J.A., Jr. Mandibular growth as related to cervical vertebral maturation and body height. Am. J. Orthod. Dentofac. Orthop. 2000, 118, 335–340. [Google Scholar] [CrossRef]
- Moca, A.E.; Vaida, L.L.; Moca, R.T.; Țuțuianu, A.V.; Bochiș, C.F.; Bochiș, S.A.; Iovanovici, D.C.; Negruțiu, B.M. Chronological age in different bone development stages: A retrospective comparative study. Children 2021, 8, 142. [Google Scholar] [CrossRef] [PubMed]
- Breen, A.B.; Steen, H.; Pripp, A.; Hvid, I.; Horn, J. Comparison of different bone age methods and chronological age in prediction of remaining growth around the knee. J. Pediatr. Orthop. 2023, 43, 386–391. [Google Scholar] [CrossRef] [PubMed]
- Calfee, R.P.; Sutter, M.; Steffen, J.A.; Goldfarb, C.A. Skeletal and chronological ages in American adolescents: Current findings in skeletal maturation. J. Child. Orthop. 2010, 4, 467–470. [Google Scholar] [CrossRef]
- Cavallo, F.; Mohn, A.; Chiarelli, F.; Giannini, C. Evaluation of bone age in children: A mini-review. Front. Pediatr. 2021, 9, 580314. [Google Scholar] [CrossRef] [PubMed]
- Uysal, T.; Ramoglu, S.I.; Basciftci, F.A.; Sari, Z. Chronologic age and skeletal maturation of the cervical vertebrae and hand-wrist: Is there a relationship? Am. J. Orthod. Dentofac. Orthop. 2006, 130, 622–628. [Google Scholar] [CrossRef]
- Fishman, L.S. Maturational patterns and prediction during adolescence. Angle Orthod. 1987, 57, 178–193. [Google Scholar] [CrossRef]
- Mellion, Z.J.; Behrents, R.G.; Johnston, L.E., Jr. The pattern of facial skeletal growth and its relationship to various common indexes of maturation. Am. J. Orthod. Dentofac. Orthop. 2013, 143, 845–854. [Google Scholar] [CrossRef]
- Martin, D.D.; Wit, J.M.; Hochberg, Z.; Sävendahl, L.; van Rijn, R.R.; Fricke, O.; Cameron, N.; Caliebe, J.; Hertel, T.; Kiepe, D.; et al. The use of bone age in clinical practice—Part 1. Horm. Res. Paediatr. 2011, 76, 1–9. [Google Scholar] [CrossRef]
- Yuan, W.; Fan, P.; Zhang, L.; Pan, W.; Zhang, L. Bone age assessment using various medical imaging techniques enhanced by artificial intelligence. Diagnostics 2025, 15, 257. [Google Scholar] [CrossRef]
- Jung, H.W.; Chun, D.; Choi, J.H.; Lee, J.H.; Lee, K.; Kim, J.; Jang, W.Y. Comparison of adult height prediction using bone age and body composition for growth assessment in Korean children. Sci. Rep. 2025, 15, 10581. [Google Scholar] [CrossRef] [PubMed]
- Matias, A.K.; Muginshtein-Simkovitch, E.; Twig, G.; Pearl, L.; Laron, Z. Comparison of commonly used methods to predict the final height in constitutional tall stature. J. Clin. Res. Pediatr. Endocrinol. 2023, 15, 42–45. [Google Scholar] [CrossRef]
- Frongillo, E.A. Sampling for growth studies and using growth data to assess, monitor and survey disease in epidemiological settings. In Methods in Human Growth Research; Hauspie, R.C., Cameron, N., Molinari, L., Eds.; Cambridge University Press: Cambridge, UK, 2004; pp. 55–67. [Google Scholar]
- Beunen, G.P.; Rogol, A.D.; Malina, R.M. Indicators of biological maturation and secular changes in biological maturation. Food Nutr. Bull. 2006, 27 (Suppl. S4), S244–S256. [Google Scholar] [CrossRef]
- Salter, J.; Cumming, S.; Hughes, J.D.; De Ste Croix, M. Estimating somatic maturity in adolescent soccer players: Methodological comparisons. Int. J. Sports Sci. Coach. 2021, 17, 11–17. [Google Scholar] [CrossRef]
- Wenger, M.; Csapo, R. The relative age effect and the relationship between biological maturity and athletic performance in Austrian elite youth soccer players. Front. Sports Act. Living 2025, 7, 1583880. [Google Scholar] [CrossRef] [PubMed]
- Freitas, A.S.; Figueiredo, A.J.; de Freitas, A.L.; Rodrigues, V.D.; da Cunha, A.A.; Deusdará, F.F.; Coelho Silva, M.J. Biological maturation, body morphology and physical performance in 8–16year-old obese girls from Montes Claros—MG. J. Hum. Kinet. 2014, 43, 169–176. [Google Scholar] [CrossRef]
- Marshall, W.A. Interrelationships of skeletal maturation, sexual development and somatic growth in man. Ann. Hum. Biol. 1974, 1, 29–40. [Google Scholar] [CrossRef]
- Albaladejo-Saura, M.; Vaquero-Cristóbal, R.; Esparza-Ros, F. Methods for estimating biological maturation in developing and growing athletes: A literature review. Cult. Cienc. Deporte 2022, 17, 55–64. [Google Scholar] [CrossRef]
- Sullivan, J.; Roberts, S.J.; Mckeown, J.; Littlewood, M.; McLaren-Towlson, C.; Andrew, M.; Enright, K. Methods to predict the timing and status of biological maturation in male adolescent soccer players: A narrative systematic review. PLoS ONE 2023, 18, e0286768. [Google Scholar] [CrossRef]
- Boeker, S.; Hermanussen, M.; Scheffler, C. Dental age is an independent marker of biological age. Hum. Biol. Public Health 2022, 3, 24. [Google Scholar] [CrossRef]
- Krekmanova, L.; Carlstedt-Duke, J.; Brönnegård, M.; Marcus, C.; Gröndahl, E.; Modéer, T.; Dahllöf, G. Dental maturity in children of short stature, with or without growth hormone deficiency. Eur. J. Oral. Sci. 1997, 105, 551–556. [Google Scholar] [CrossRef]
- Vallejo-Bolaños, E.; España-López, A.J.; Muñoz-Hoyos, A.; Fernandez-Garcia, J.M. The relationship between bone age, chronological age and dental age in children with isolated growth hormone deficiency. Int. J. Paediatr. Dent. 1999, 9, 201–206. [Google Scholar] [CrossRef]
- Sato, K.; Mito, T.; Mitani, H. An accurate method of predicting mandibular growth potential based on bone maturity. Am. J. Orthod. Dentofac. Orthop. 2001, 120, 286–293. [Google Scholar] [CrossRef]
- Beck-Nielsen, S.S.; Greggio, N.A.; Hagenäs, L. Defining a growing and maturing skeleton and its relevance in diseases that affect skeletal growth, such as X-linked hypophosphataemia (XLH). Int. J. Rare Dis. Disord. 2021, 4, 029. [Google Scholar] [CrossRef]
- Kocadereli, I.; Telli, A.E. Evaluation of Ricketts’ long-range growth prediction in Turkish children. Am. J. Orthod. Dentofac. Orthop. 1999, 115, 515–520. [Google Scholar] [CrossRef]
- García-Fernandez, P.; Torre, H.; Flores, L.; Rea, J. The cervical vertebrae as maturational indicators. J. Clin. Orthod. 1998, 32, 221–225. [Google Scholar] [PubMed]
- Björk, A. The use of metallic implants in the study of facial growth in children: Method and application. Am. J. Phys. Anthropol. 1968, 29, 243–254. [Google Scholar] [CrossRef]
- Doppel, D.M.; Damon, W.M.; Joondeph, D.R.; Little, R.M. An investigation of maxillary superimposition techniques using metallic implants. Am. J. Orthod. Dentofac. Orthop. 1994, 105, 161–168. [Google Scholar] [CrossRef] [PubMed]
- Friede, H.; Johanson, B.; Ahlgren, J.; Thilander, B. Metallic implants as growth markers in infants with craniofacial anomalies. Acta Odontol. Scand. 1977, 35, 265–273. [Google Scholar] [CrossRef] [PubMed]
- Nielsen, I.L. Maxillary superimposition: A comparison of three methods for cephalometric evaluation of growth and treatment change. Am. J. Orthod. Dentofac. Orthop. 1989, 95, 422–431. [Google Scholar] [CrossRef]
- Vis, M.A.M.; Ito, K.; Hofmann, S. Impact of culture medium on cellular interactions in in vitro co-culture systems. Front. Bioeng. Biotechnol. 2020, 8, 911. [Google Scholar] [CrossRef]
- Liu, P.; Shi, J. Assessment of unilateral condylar hyperplasia with quantitative SPECT/CT. Heliyon 2023, 10, e23777. [Google Scholar] [CrossRef]
- Selden, R.F.; Wagner, T.E.; Blethen, S.; Yun, J.S.; Rowe, M.E.; Goodman, H.M. Expression of the human growth hormone variant gene in cultured fibroblasts and transgenic mice. Proc. Natl. Acad. Sci. USA 1988, 85, 8241–8245. [Google Scholar] [CrossRef] [PubMed]
- Hiyama, S.; Ono, P.T.; Ishiwata, Y.; Kuroda, T.; McNamara, J.A., Jr. Neuromuscular and skeletal adaptations following mandibular forward positioning induced by the Herbst appliance. Angle Orthod. 2000, 70, 442–453. [Google Scholar]
- Miller, A.J. Electromyography of craniofacial musculature during oral respiration in the rhesus monkey (Macaca mulatta). Arch. Oral. Biol. 1978, 23, 145–152. [Google Scholar] [CrossRef] [PubMed]
- Miller, A.J.; Farias, M. Histochemical and electromyographic analysis of craniomandibular muscles in the rhesus monkey, Macaca mulatta. J. Oral. Maxillofac. Surg. 1988, 46, 767–776. [Google Scholar] [CrossRef] [PubMed]
- ISO. International Organization for Standardization. What Is Artificial Intelligence (AI)? Available online: https://www.iso.org/contents/news/insights/AI/what-is-ai-all-you-need-to-know.html (accessed on 13 May 2025).
- Thakur, S.M.; Shenoy, U.; Hazare, A.; Karia, H.; Khorgade, P.; Nandeshwar, N.; Bhattacharya, S. Transforming orthodontics with artificial intelligence: A comprehensive review. J. Adv. Dent. Pract. Res. 2024, 3, 56–64. [Google Scholar] [CrossRef]
- ISO. International Organization for Standardization. Machine Learning (ML): All There Is to Know. Available online: https://www.iso.org/artificial-intelligence/machine-learning (accessed on 14 May 2025).
- Wang, X.-L.; Liu, J.; Li, Z.-Q.; Luan, Z.-L. Application of physical examination data on health analysis and intelligent diagnosis. BioMed Res. Int. 2021, 2021, 8828677. [Google Scholar] [CrossRef]
- Sarker, I.H. Machine learning: Algorithms, real-world applications and research directions. SN Comput. Sci. 2021, 2, 160. [Google Scholar] [CrossRef]
- Verma, K.; Singh, B.; Dixit, A. A review of supervised and unsupervised machine learning techniques for suspicious behavior recognition in intelligent surveillance system. Int. J. Inf. Technol. 2019, 14, 397–410. [Google Scholar] [CrossRef]
- Fu, Y.; Lei, Y.; Wang, T.; Curran, W.J.; Liu, T.; Yang, X. Deep learning in medical image registration: A review. Phys. Med. Biol. 2020, 65, 20TR01. [Google Scholar] [CrossRef] [PubMed]
- Sharif, M.S.; Abbod, M.; Amira, A.; Zaidi, H. Artificial neural network-based system for PET volume segmentation. Int. J. Biomed. Imaging 2010, 2010, 105610. [Google Scholar] [CrossRef] [PubMed]
- Mohandes, S.R.; Zhang, X.; Mahdiyar, A. A comprehensive review on the application of artificial neural networks in building energy analysis. Neurocomputing 2019, 340, 55–75. [Google Scholar] [CrossRef]
- Lonetti, F.; Martelli, F.; Resta, G. Artificial neural networks applied to olive oil production and characterization: A systematic review. Intell. Syst. Appl. 2025, 26, 200525. [Google Scholar] [CrossRef]
- Oliveira, F.P.M.; Tavares, J.M.R.S. Medical image registration: A review. Comput. Methods Biomech. Biomed. Eng. 2014, 17, 73–93. [Google Scholar] [CrossRef] [PubMed]
- Chetty, G.; Yamin, M.; White, M. A low resource 3D U-Net based deep learning model for medical image analysis. Int. J. Inf. Technol. 2022, 14, 95–103. [Google Scholar] [CrossRef]
- Chiu, Y.C.; Chen, H.H.; Gorthi, A.; Mostavi, M.; Zheng, S.; Huang, Y.; Chen, Y. Deep learning of pharmacogenomics resources: Moving towards precision oncology. Brief. Bioinform. 2020, 21, 2066–2083. [Google Scholar] [CrossRef]
- Taye, M.M. Understanding of machine learning with deep learning: Architectures, workflow, applications and future directions. Computers 2023, 12, 91. [Google Scholar] [CrossRef]
- Mohammad-Rahimi, H.; Nadimi, M.; Rohban, M.H.; Shamsoddin, E.; Lee, V.Y.; Motamedian, S.R. Machine learning and orthodontics, current trends and the future opportunities: A scoping review. Am. J. Orthod. Dentofac. Orthop. 2021, 160, 170–192.e174. [Google Scholar] [CrossRef]
- Tomè, D.; Monti, F.; Baroffio, L.; Bondi, L.; Tagliasacchi, M.; Tubaro, S. Deep convolutional neural networks for pedestrian detection. Signal Process. Image Commun. 2016, 47, 482–489. [Google Scholar] [CrossRef]
- Subramanian, A.K.; Chen, Y.; Almalki, A.; Sivamurthy, G.; Kafle, D. Cephalometric analysis in orthodontics using artificial intelligence—A comprehensive review. Biomed. Res. Int. 2022, 2022, 1880113. [Google Scholar] [CrossRef]
- Miranda, F.; Barone, S.; Gillot, M.; Baquero, B.; Anchling, L.; Hutin, N.; Cevidanes, L. Artificial intelligence applications in orthodontics. J. Calif. Dent. Assoc. 2023, 51, 2195585. [Google Scholar] [CrossRef]
- Liu, J.; Zhang, C.; Shan, Z. Application of artificial intelligence in orthodontics: Current state and future perspectives. Healthcare 2023, 11, 2760. [Google Scholar] [CrossRef]
- Polizzi, A.; Bozzato, A.; Corradi, A.; Mainardi, E.; Contardo, L.; Previti, A. Artificial intelligence for orthodontic cephalometric landmark detection: A systematic review. Appl. Sci. 2023, 13, 3825. [Google Scholar] [CrossRef]
- Shamseer, L.; Moher, D.; Clarke, M.; Ghersi, D.; Liberati, A.; Petticrew, M.; Shekelle, P.; Stewart, L.A.; PRISMA-P Group. Preferred reporting items for systematic review and meta-analysis protocols (PRISMA-P) 2015: Elaboration and explanation. BMJ 2015, 350, g7647. [Google Scholar] [CrossRef]
- Higgins, J.P.T.; Green, S. Cochrane Handbook for Systematic Reviews of Interventions; Version 5.1.0; The Cochrane Collaboration: London, UK, 2011; Available online: https://www.cochrane-handbook.org (accessed on 31 August 2018).
- Liberati, A.; Altman, D.G.; Tetzlaff, J.; Mulrow, C.; Gøtzsche, P.C.; Ioannidis, J.P.; Clarke, M.; Devereaux, P.J.; Kleijnen, J.; Moher, D. The PRISMA statement for reporting systematic reviews and meta-analyses of studies that evaluate healthcare interventions: Explanation and elaboration. J. Clin. Epidemiol. 2009, 62, e1–e34. [Google Scholar] [CrossRef] [PubMed]
- Moola, S.; Munn, Z.; Tufanaru, C.; Aromataris, E.; Munn, Z. (Eds.) Chapter 7: Systematic reviews of etiology and risk. In Joanna Briggs Institute Reviewer’s Manual; The Joanna Briggs Institute: Adelaide, Australia, 2017. [Google Scholar]
- Johnston, L.E. A statistical evaluation of cephalometric prediction. Angle Orthod. 1968, 38, 284–304. [Google Scholar] [CrossRef]
- Johnston, L.E. A simplified approach to prediction. Am. J. Orthod. 1975, 67, 253–257. [Google Scholar] [CrossRef]
- Mitchell, D.L.; Jordan, J.F.; Ricketts, R.M. Arcial growth with metallic implants in mandibular growth prediction. Am. J. Orthod. 1975, 68, 655–659. [Google Scholar] [CrossRef]
- Schulhof, R.J.; Bagha, L. A statistical evaluation of the Ricketts and Johnston growth-forecasting methods. Am. J. Orthod. 1975, 67, 258–276. [Google Scholar] [CrossRef]
- Grave, K.C.; Brown, T. Skeletal ossification and the adolescent growth spurt. Am. J. Orthod. 1976, 69, 611–619. [Google Scholar] [CrossRef]
- Bhatia, S.N.; Wright, G.W.; Leighton, B.C. A proposed multivariate model for prediction of facial growth. Am. J. Orthod. 1979, 75, 264–281. [Google Scholar] [CrossRef]
- Skieller, V.; Björk, A.; Linde-Hansen, T. Prediction of mandibular growth rotation evaluated from a longitudinal implant sample. Am. J. Orthod. 1984, 86, 359–370. [Google Scholar] [CrossRef]
- Leite, H.R.; O’Reilly, M.T.; Close, J.M. Skeletal age assessment using the first, second, and third fingers of the hand. Am. J. Orthod. Dentofac. Orthop. 1987, 92, 492–498. [Google Scholar] [CrossRef]
- Nanda, S.K. Patterns of vertical growth in the face. Am. J. Orthod. Dentofac. Orthop. 1988, 93, 103–116. [Google Scholar] [CrossRef]
- Rossouw, P.E.; Lombard, C.J.; Harris, A.M. The frontal sinus and mandibular growth prediction. Am. J. Orthod. Dentofac. Orthop. 1991, 100, 542–546. [Google Scholar] [CrossRef]
- Solow, B.; Siersbaek-Nielsen, S. Cervical and craniocervical posture as predictors of craniofacial growth. Am. J. Orthod. Dentofac. Orthop. 1992, 101, 449–458. [Google Scholar] [CrossRef] [PubMed]
- Ozbek, M.M.; Köklü, A. Natural cervical inclination and craniofacial structure. Am. J. Orthod. Dentofac. Orthop. 1993, 104, 584–591. [Google Scholar] [CrossRef]
- Leslie, L.R.; Southard, T.E.; Southard, K.A.; Casko, J.S.; Jakobsen, J.R.; Tolley, E.A.; Hillis, S.L.; Carolan, C.; Logue, M. Prediction of mandibular growth rotation: Assessment of the Skieller, Björk, and Linde-Hansen method. Am. J. Orthod. Dentofac. Orthop. 1998, 114, 659–667. [Google Scholar] [CrossRef] [PubMed]
- Buschang, P.H.; Santos-Pinto, A.; Demirjian, A. Incremental growth charts for condylar growth between 6 and 16 years of age. Eur. J. Orthod. 1999, 21, 167–173. [Google Scholar] [CrossRef] [PubMed]
- Lux, C.J.; Conradt, C.; Stellzig, A.; Komposch, G. Evaluation of the predictive impact of cephalometric variables. Logistic regression and ROC curves. J. Orofac. Orthop. 1999, 60, 95–107. [Google Scholar] [CrossRef]
- Baccetti, T.; Franchi, L.; McNamara, J.A., Jr. An improved version of the cervical vertebral maturation (CVM) method for the assessment of mandibular growth. Angle Orthod. 2002, 72, 316–323. [Google Scholar] [CrossRef]
- Kolodziej, R.P.; Southard, T.E.; Southard, K.A.; Casko, J.S.; Jakobsen, J.R. Evaluation of antegonial notch depth for growth prediction. Am. J. Orthod. Dentofac. Orthop. 2002, 121, 357–363. [Google Scholar] [CrossRef]
- Chvatal, B.A.; Behrents, R.G.; Ceen, R.F.; Buschang, P.H. Development and testing of multilevel models for longitudinal craniofacial growth prediction. Am. J. Orthod. Dentofac. Orthop. 2005, 128, 45–56. [Google Scholar] [CrossRef]
- Flores-Mir, C.; Burgess, C.A.; Champney, M.; Jensen, R.J.; Pitcher, M.R.; Major, P.W. Correlation of skeletal maturation stages determined by cervical vertebrae and hand-wrist evaluations. Angle Orthod. 2006, 76, 1–5. [Google Scholar] [CrossRef] [PubMed]
- Hunter, W.S.; Baumrind, S.; Popovich, F.; Jorgensen, G. Forecasting the timing of peak mandibular growth in males by using skeletal age. Am. J. Orthod. Dentofac. Orthop. 2007, 131, 327–333. [Google Scholar] [CrossRef]
- Turchetta, B.J.; Fishman, L.S.; Subtelny, J.D. Facial growth prediction: A comparison of methodologies. Am. J. Orthod. Dentofac. Orthop. 2007, 132, 439–449. [Google Scholar] [CrossRef]
- Nayak, R.; Nayak, U.K.; Hegde, G. Assessment of growth using mandibular canine calcification stages and its correlation with modified MP3 stages. Int. J. Clin. Pediatr. Dent. 2010, 3, 27–33. [Google Scholar] [CrossRef]
- Perinetti, G.; Baccetti, T.; Contardo, L.; Di Lenarda, R. Gingival crevicular fluid alkaline phosphatase activity as a non-invasive biomarker of skeletal maturation. Orthod. Craniofac. Res. 2011, 14, 44–50. [Google Scholar] [CrossRef] [PubMed]
- Hegde, G.; Hegde, N.; Kumar, A.; Keshavaraj. A new system for assessment of growth using mandibular canine calcification stages and its correlation with modified MP3 stages. J. Pharm. BioalliedSci. 2014, 6 (Suppl. S1), S58–S63. [Google Scholar] [CrossRef]
- Mohammed, R.B.; Reddy, M.A.; Jain, M.; Singh, J.R.; Sanghvi, P.; Thetay, A.A. Digital radiographic evaluation of hand-wrist bone maturation and prediction of age in South Indian adolescents. Hand 2014, 9, 375–383. [Google Scholar] [CrossRef]
- Santiago, R.C.; Cunha, A.R.; Júnior, G.C.; Fernandes, N.; Campos, M.J.; Costa, L.F.; Vitral, R.W.; Bolognese, A.M. New software for cervical vertebral geometry assessment and its relationship to skeletal maturation—A pilot study. Dentomaxillofac. Radiol. 2014, 43, 20130238. [Google Scholar] [CrossRef] [PubMed]
- Cericato, G.O.; Franco, A.; Bittencourt, M.A.; Nunes, M.A.; Paranhos, L.R. Correlating skeletal and dental developmental stages using radiographic parameters. J. Forensic Leg. Med. 2016, 42, 13–18. [Google Scholar] [CrossRef]
- Davidovitch, M.; Eleftheriadi, I.; Kostaki, A.; Shpack, N. The use of Bjork’s indications of growth for evaluation of extremes of skeletal morphology. Eur. J. Orthod. 2016, 38, 555–562. [Google Scholar] [CrossRef] [PubMed]
- Nawaya, F.R.; Burhan, A.S. Use of the tooth coronal pulp index for recognition of the pubertal growth period. J. Contemp. Dent. Pract. 2016, 17, 884–889. [Google Scholar] [CrossRef] [PubMed]
- Perinetti, G.; Contardo, L. Gingival crevicular fluid alkaline phosphatase activity in relation to pubertal growth spurt and dental maturation: A multiple regression study. South. Eur. J. Orthod. Dentofac. Res. 2016, 3, 5–10. [Google Scholar] [CrossRef]
- Issa, Y.N.; Burhan, A.S.; Nawaya, F.R.; Massouh, L.G. Assessment of the pubertal growth period using the open apices of the lower teeth. J. Contemp. Dent. Pract. 2017, 18, 16–22. [Google Scholar] [CrossRef]
- Kök, H.; Acilar, A.M.; İzgi, M.S. Usage and comparison of artificial intelligence algorithms for determination of growth and development by cervical vertebrae stages in orthodontics. Prog. Orthod. 2019, 20, 41. [Google Scholar] [CrossRef]
- Montasser, M.A. Craniofacial growth spurt in Class I subjects. Am. J. Orthod. Dentofac. Orthop. 2019, 155, 473–481. [Google Scholar] [CrossRef]
- Amasya, H.; Yildirim, D.; Aydogan, T.; Kemaloglu, N.; Orhan, K. Cervical vertebral maturation assessment on lateral cephalometric radiographs using artificial intelligence: Comparison of machine learning classifier models. Dentomaxillofac. Radiol. 2020, 49, 20190441. [Google Scholar] [CrossRef]
- Jiwa, S. Applicability of Deep Learning for Mandibular Growth Prediction. Master’s Thesis, Boston University, Boston, MA, USA, 2020. [Google Scholar]
- Franchi, L.; Nieri, M.; Lomonaco, I.; McNamara, J.A.; Giuntini, V. Predicting the mandibular growth spurt. Angle Orthod. 2021, 91, 307–312. [Google Scholar] [CrossRef]
- Jeon, J.Y.; Kim, C.S.; Kim, J.S.; Choi, S.H. Correlation and correspondence between skeletal maturation indicators in hand-wrist and cervical vertebra analyses and skeletal maturity score in Korean adolescents. Children 2021, 8, 910. [Google Scholar] [CrossRef]
- Kim, D.W.; Kim, J.; Kim, T.; Kim, T.; Kim, Y.J.; Song, I.S.; Ahn, B.; Choo, J.; Lee, D.Y. Prediction of hand-wrist maturation stages based on cervical vertebrae images using artificial intelligence. Orthod. Craniofac. Res. 2021, 24 (Suppl. S2), 68–75. [Google Scholar] [CrossRef]
- Seo, H.; Hwang, J.; Jeong, T.; Shin, J. Comparison of deep learning models for cervical vertebral maturation stage classification on lateral cephalometric radiographs. J. Clin. Med. 2021, 10, 3591. [Google Scholar] [CrossRef] [PubMed]
- Zhou, J.; Zhou, H.; Pu, L.; Gao, Y.; Tang, Z.; Yang, Y.; You, M.; Yang, Z.; Lai, W.; Long, H. Development of an artificial intelligence system for the automatic evaluation of cervical vertebral maturation status. Diagnostics 2021, 11, 2200. [Google Scholar] [CrossRef]
- Abate, A.; Gaffuri, F.; Lanteri, V.; Fama, A.; Ugolini, A.; Mannina, L.; Maspero, C. A CBCT based analysis of the correlation between volumetric morphology of the frontal sinuses and the facial growth pattern in caucasian subjects: A cross-sectional study. Head. Face Med. 2022, 18, 4. [Google Scholar] [CrossRef] [PubMed]
- Atici, S.F.; Ansari, R.; Allareddy, V.; Suhaym, O.; Cetin, A.E.; Elnagar, M.H. Fully automated determination of the cervical vertebrae maturation stages using deep learning with directional filters. PLoS ONE 2022, 17, e0269198. [Google Scholar] [CrossRef]
- Li, H.; Chen, Y.; Wang, Q.; Gong, X.; Lei, Y.; Tian, J.; Gao, X. Convolutional neural network-based automatic cervical vertebral maturation classification method. Dentomaxillofac. Radiol. 2022, 51, 20220070. [Google Scholar] [CrossRef] [PubMed]
- Moon, J.H.; Kim, M.G.; Hwang, H.W.; Cho, S.J.; Donatelli, R.E.; Lee, S.J. Evaluation of an individualized facial growth prediction model based on the multivariate partial least squares method. Angle Orthod. 2022, 92, 705–713. [Google Scholar] [CrossRef]
- Radwan, M.T.; Sin, Ç.; Akkaya, N.; Vahdettin, L. Artificial intelligence-based algorithm for cervical vertebrae maturation stage assessment. Orthod. Craniofac Res. 2023, 26, 349–355. [Google Scholar] [CrossRef]
- Khazaei, M.; Mollabashi, V.; Khotanlou, H.; Farhadian, M. Automatic determination of pubertal growth spurts based on the cervical vertebral maturation staging using deep convolutional neural networks. J. World Fed. Orthod. 2023, 12, 56–63. [Google Scholar] [CrossRef] [PubMed]
- Kim, E.; Kuroda, Y.; Soeda, Y.; Koizumi, S.; Yamaguchi, T. Validation of machine learning models for craniofacial growth prediction. Diagnostics 2023, 13, 3369. [Google Scholar] [CrossRef]
- Li, H.; Li, H.; Yuan, L.; Liu, C.; Xiao, S.; Liu, Z.; Zhou, G.; Dong, T.; Ouyang, N.; Liu, L.; et al. The psc-CVM assessment system: A three-stage type system for CVM assessment based on deep learning. BMC Oral Health 2023, 23, 557. [Google Scholar] [CrossRef]
- Parrish, M.; O’Connell, E.; Eckert, G.; Hughes, J.; Badirli, S.; Turkkahraman, H. Short-and long-term prediction of the post-pubertal mandibular length and Y-axis in females utilizing machine learning. Diagnostics 2023, 13, 2729. [Google Scholar] [CrossRef]
- Seo, H.; Hwang, J.; Jung, Y.H.; Lee, E.; Nam, O.H.; Shin, J. Deep focus approach for accurate bone age estimation from lateral cephalogram. J. Dent. Sci. 2023, 18, 34–43. [Google Scholar] [CrossRef]
- Wood, T.; Anigbo, J.O.; Eckert, G.; Stewart, K.T.; Dundar, M.M.; Turkkahraman, H. Prediction of the post-pubertal mandibular length and Y axis of growth by using various machine learning techniques: A retrospective longitudinal study. Diagnostics 2023, 13, 1553. [Google Scholar] [CrossRef]
- Zakhar, G.; Hazime, S.; Eckert, G.; Wong, A.; Badirli, S.; Turkkahraman, H. Prediction of pubertal mandibular growth in males with Class II malocclusion by utilizing machine learning. Diagnostics 2023, 13, 2713. [Google Scholar] [CrossRef] [PubMed]
- Zhang, J.N.; Lu, H.P.; Hou, J.; Wang, Q.; Yu, F.Y.; Zhong, C.; Huang, C.Y.; Chen, S. Deep learning-based prediction of mandibular growth trend in children with anterior crossbite using cephalometric radiographs. BMC Oral Health 2023, 23, 28. [Google Scholar] [CrossRef] [PubMed]
- Bulut, M.; Hezenci, Y. Is hand-wrist radiography still necessary in orthodontic treatment planning? BMC Oral Health 2024, 24, 616. [Google Scholar] [CrossRef]
- Gonca, M.; Sert, M.F.; Gunacar, D.N.; Kose, T.E.; Beser, B. Determination of growth and developmental stages in hand-wrist radiographs: Can fractal analysis in combination with artificial intelligence be used? J. Orofac. Orthop. 2024, 85 (Suppl. S2), 180. [Google Scholar] [CrossRef]
- Larkin, A.; Kim, J.S.; Kim, N.; Baek, S.H.; Yamada, S.; Park, K.; Tai, K.; Yanagi, Y.; Park, J.H. Accuracy of artificial intelligence-assisted growth prediction in skeletal Class I preadolescent patients using serial lateral cephalograms for a 2-year growth interval. Orthod. Craniofac. Res. 2024, 27, 535–543. [Google Scholar] [CrossRef]
- Madiraju, G.S.; Almugla, Y.M. Predicting mandibular growth potential based on cervical vertebral bone age using lateral cephalometric radiographs in a sample of the Saudi population. Diagnostics 2024, 14, 2145. [Google Scholar] [CrossRef]
- Mohammed, M.H.; Omer, Z.Q.; Aziz, B.B.; Abdulkareem, J.F.; Mahmood, T.M.A.; Kareem, F.A.; Mohammad, D.N. Convolutional neural network-based deep learning methods for skeletal growth prediction in dental patients. J. Imaging 2024, 10, 278. [Google Scholar] [CrossRef]
- Moon, J.H.; Shin, H.K.; Lee, J.M.; Cho, S.J.; Park, J.A.; Donatelli, R.E.; Lee, S.J. Comparison of individualized facial growth prediction models based on the partial least squares and artificial intelligence. Angle Orthod. 2024, 94, 207–215. [Google Scholar] [CrossRef] [PubMed]
- Yamaguchi, M.; Kim, Y.I.; Park, H.; Yamaguchi, T. A new method of predicting final mandibular length based on the morphology of cervical vertebrae. Diagnostics 2024, 14, 2879. [Google Scholar] [CrossRef] [PubMed]
- Myers, M.; Brown, M.D.; Badirli, S.; Eckert, G.J.; Johnson, D.H.; Turkkahraman, H. Long-term predictive modelling of the craniofacial complex using machine learning on 2D cephalometric radiographs. Int. Dent. J. 2025, 75, 236–247. [Google Scholar] [CrossRef]
- Yılmaz, İ.; Gonca, M. Prediction of skeletal age through cervical vertebral measurements using different machine learning regression methods. Turk. J. Orthod. 2025, 38, 36–48. [Google Scholar] [CrossRef] [PubMed]
- Hans, M.G.; Palomo, J.M.; Valiathan, M. History of imaging in orthodontics from Broadbent to cone-beam computed tomography. Am. J. Orthod. Dentofac. Orthop. 2015, 148, 914–921. [Google Scholar] [CrossRef]
- Broadbent, B.H. A new x-ray technique and its application to orthodontia. Angle Orthod. 1931, 1, 45–66. [Google Scholar] [CrossRef]
- Omran, A.; Wertheim, D.; Smith, K.; Liu, C.Y.J.; Naini, F.B. Mandibular shape prediction using cephalometric analysis: Applications in craniofacial analysis, forensic anthropology and archaeological reconstruction. Maxillofac. Plast. Reconstr. Surg. 2020, 42, 37. [Google Scholar] [CrossRef]
- Farha, P.; Arqub, S.A.; Ghoussoub, M.S. Correlation between cephalometric values and soft tissue profile in class I and class II adult patients based on vertical patterns. Turk. J. Orthod. 2024, 37, 36–43. [Google Scholar] [CrossRef]
- Stăncioiu, A.-A.; Vasica, F.; Nagib, R.; Popa, A.; Motofelea, A.C.; Hușanu, A.A.; Szuhanek, C.-A. Cephalometric evaluation of facial height ratios and growth patterns: A retrospective cohort study. Appl. Sci. 2024, 14, 10168. [Google Scholar] [CrossRef]
- Knigge, R.P.; McNulty, K.P.; Oh, H.; Hardin, A.M.; Leary, E.V.; Duren, D.L.; Valiathan, M.; Sherwood, R.J. Geometric morphometric analysis of growth patterns among facial types. Am. J. Orthod. Dentofac. Orthop. 2021, 160, 430–441. [Google Scholar] [CrossRef]
- Perinetti, G.; Contardo, L. Reliability of growth indicators and efficiency of functional treatment for skeletal class II malocclusion: Current evidence and controversies. Biomed. Res. Int. 2017, 2017, 1367691. [Google Scholar] [CrossRef] [PubMed]
- Downs, W.B. The role of cephalometrics in orthodontic case analysis and diagnosis. Am. J. Orthod. 1952, 38, 162–182. [Google Scholar] [CrossRef]
- Espinoza, E.; Villa, D.; Idrobo, J.; Siguencia, V. Role of cephalometric analysis of hard tissues in the diagnosis of malocclusions. World J. Adv. Res. Rev. 2024, 24, 835–840. [Google Scholar] [CrossRef]
- Pawar, R.O.; Mane, D.R.; Patil, C.D.; Bhalerao, S.V.; Parkar, A.F.; Agarwal, S. To check the reliability of various cephalometric parameters used for predicting the type of malocclusions and growth patterns. J. Pharm. Bioallied Sci. 2022, 14 (Suppl. S1), S808–S811. [Google Scholar] [CrossRef]
- Albarakati, S.; Baidas, L. Orthognathic surgical norms for a sample of Saudi adults: Hard tissue measurements. Saudi Dent. J. 2010, 22, 133–139. [Google Scholar] [CrossRef]
- Bishara, S.E.; Abdalla, E.M.; Hoppens, B.J. Cephalometric comparisons of dentofacial parameters between Egyptian and North American adolescents. Am. J. Orthod. Dentofac. Orthop. 1990, 97, 413–421. [Google Scholar] [CrossRef] [PubMed]
- Drummond, R.A. A determination of cephalometric norms for the Negro race. Am. J. Orthod. 1968, 54, 670–682. [Google Scholar] [CrossRef] [PubMed]
- Flynn, T.R.; Ambrogio, R.I.; Zeichner, S.J. Cephalometric norms for orthognathic surgery in black American adults. J. Oral Maxillofac. Surg. 1989, 47, 30–39. [Google Scholar] [CrossRef] [PubMed]
- Lara-Carrillo, E.; Kubodera-Ito, T.; Gonzalez-Lopez, B.; Montiel-Bastida, N.; Esquivel-Pereyra, G. Cephalometric norms according to the Harvold’s analysis. Int. J. Odontostomat. 2009, 3, 33–39. [Google Scholar]
- McNamara, J.A., Jr. A method of cephalometric evaluation. Am. J. Orthod. 1984, 86, 449–469. [Google Scholar] [CrossRef]
- McNamara, J.A., Jr.; Franchi, L. The cervical vertebral maturation method: A user’s guide. Angle Orthod. 2018, 88, 133–143. [Google Scholar] [CrossRef]
- Caldas, M.P.; Ambrosano, G.M.; Haiter-Neto, F. Use of cervical vertebral dimensions for assessment of children growth. J. Appl. Oral Sci. 2007, 15, 144–147. [Google Scholar] [CrossRef]
- Perinetti, G.; Contardo, L.; Castaldo, A.; McNamara, J.A., Jr.; Franchi, L. Diagnostic reliability of the cervical vertebral maturation method and standing height in the identification of the mandibular growth spurt. Angle Orthod. 2016, 86, 599–609. [Google Scholar] [CrossRef] [PubMed]
- Hoseini, M.; Zamaheni, S.; Bashizadeh Fakhar, H.; Akbari, F.; Chalipa, J.; Rahmati, A. Comparative evaluation of the efficacy of hand-wrist and cervical vertebrae radiography for the determination of skeletal age. Iran. J. Radiol. 2016, 13, e21695. [Google Scholar] [CrossRef]
- Hewitt, D.; Acheson, R.M. Some aspects of skeletal development through adolescence. Am. J. Phys. Anthropol. 1961, 19, 321–344. [Google Scholar] [CrossRef]
- Amasya, H.; Cesur, E.; Yıldırım, D.; Orhan, K. Validation of cervical vertebral maturation stages: Artificial intelligence vs human observer visual analysis. Am. J. Orthod. Dentofac. Orthop. 2020, 158, e173–e179. [Google Scholar] [CrossRef]
- Mohammad-Rahimi, H.; Motamadian, S.R.; Nadimi, M.; Hassanzadeh-Samani, S.; Minabi, M.A.S.; Mahmoudinia, E.; Lee, V.Y.; Rohban, M.H. Deep learning for the classification of cervical maturation degree and pubertal growth spurts: A pilot study. Korean J. Orthod. 2022, 52, 112–122. [Google Scholar] [CrossRef]
- De Sanctis, V.; Di Maio, S.; Soliman, A.T.; Raiola, G.; Elalaily, R.; Millimaggi, G. Hand X ray in pediatric endocrinology: Skeletal age assessment and beyond. Indian J. Endocrinol. Metab. 2014, 18, S63–S71. [Google Scholar] [CrossRef]
- Mardiati, E.; Komara, I.; Halim, H.; Maskoen, A.M. Determination of pubertal growth plot using hand-wrist and cervical vertebrae maturation indices, dental calcification, peak height velocity, and menarche. Open Dent. J. 2021, 15, 228–240. [Google Scholar] [CrossRef]
- Garn, S.M.; Rohmann, C.G. The adductor sesamoid of the thumb. Am. J. Phys. Anthropol. 1962, 20, 297–302. [Google Scholar] [CrossRef] [PubMed]
- Huda, W.; Gkanatsios, N.A. Radiation dosimetry for extremity radiographs. Health Phys. 1998, 75, 492–499. [Google Scholar] [CrossRef]
- Huda, W.; Gkanatsios, N.A. Effective dose and energy imparted in diagnostic radiology. Med. Phys. 1997, 24, 1311–1316. [Google Scholar] [CrossRef]
- Hashim, H.A.; Mansoor, H.; Mohamed, M.H.H. Assessment of skeletal age using hand-wrist radiographs following Bjork system. J. Int. Soc. Prev. Community Dent. 2018, 8, 482–487. [Google Scholar] [CrossRef]
- van Rijn, R.R.; Thodberg, H.H. Bone age assessment: Automated techniques coming of age? Acta Radiol. 2013, 54, 1024–1029. [Google Scholar] [CrossRef] [PubMed]
- Chumela, W.C.; Roche, A.F.; Thissen, D. The FELS method of assessing the skeletal maturity of the hand-wrist. Am. J. Hum. Biol. 1989, 1, 175–183. [Google Scholar] [CrossRef]
- Al-Khater, K.M.; Hegazi, T.M.; Al-Thani, H.F.; Al-Muhanna, H.T.; Al-Hamad, B.W.; Alhuraysi, S.M.; Alsfyani, W.A.; Alessa, F.W.; Al-Qwairi, A.O.; Bayer, S.B.; et al. Time of appearance of ossification centers in carpal bones: A radiological retrospective study on Saudi children. Saudi Med. J. 2020, 41, 938–946. [Google Scholar] [CrossRef]
- Jiménez-Castellanos, J.; Carmona, A.; Catalina-Herrera, C.J.; Viñuales, M. Skeletal maturation of wrist and hand ossification centers in normal Spanish boys and girls: A study using the Greulich-Pyle method. Acta Anat. 1996, 155, 206–211. [Google Scholar] [CrossRef]
- Baer, M.J.; Djrkatz, J. Bilateral asymmetry in skeletal maturation of the hand and wrist: A roentgenographic analysis. Am. J. Phys. Anthropol. 1957, 15, 181–196. [Google Scholar] [CrossRef]
- Hägg, U.; Taranger, J. Skeletal stages of the hand and wrist as indicators of the pubertal growth spurt. Acta Odontol. Scand. 1980, 38, 187–200. [Google Scholar] [CrossRef]
- Pileski, R.C.; Woodside, D.G.; James, G.A. Relationship of the ulnar sesamoid bone and maximum mandibular growth velocity. Angle Orthod. 1973, 43, 162–170. [Google Scholar] [CrossRef]
- Bakerly, S.D.; Saleh, F. Correlation of adductor metacarpophalangeal sesamoid ossification stages with dentofacial profile changes. Eur. Sci. J. 2013, 9, 450–469. [Google Scholar]
- Chapman, S.M. Ossification of the adductor sesamoid and the adolescent growth spurt. Angle Orthod. 1972, 42, 236–244. [Google Scholar]
- Taranger, J.; Hägg, U. The timing and duration of adolescent growth. Acta Odontol. Scand. 1980, 38, 57–67. [Google Scholar] [CrossRef] [PubMed]
- Verma, D.; Peltomäki, T.; Jäger, A. Reliability of growth prediction with hand-wrist radiographs. Eur. J. Orthod. 2009, 31, 438–442. [Google Scholar] [CrossRef] [PubMed]
- Verma, D.; Peltomäki, T.; Jäger, A. Predicting vertical growth of the mandibular ramus via hand-wrist radiographs. J. Orofac. Orthop. 2012, 73, 215–224. [Google Scholar] [CrossRef]
- Ruf, S.; Pancherz, H. Can frontal sinus development be used for the prediction of skeletal maturity at puberty? Acta Odontol. Scand. 1996, 54, 229–234. [Google Scholar] [CrossRef]
- Bjork, A. Facial growth in man, studied with the aid of metallic implants. Acta Odontol. Scand. 1955, 13, 9–34. [Google Scholar] [CrossRef] [PubMed]
- Gainsforth, B.L.; Higley, L.B. A study of orthodontic anchorage possibilities in basal bone. Am. J. Orthod. Oral Surg. 1945, 31, 406–417. [Google Scholar] [CrossRef]
- Björk, A. Sutural growth of the upper face studied by the implant method. Eur. J. Orthod. 2007, 29 (Suppl. S1), i82–i88. [Google Scholar] [CrossRef]
- Kravitz, N.D.; Kusnoto, B. Risks and complications of orthodontic miniscrews. Am. J. Orthod. Dentofac. Orthop. 2007, 131 (Suppl. S4), S43–S51. [Google Scholar] [CrossRef] [PubMed]
- Ricketts, R.M. A principle of arcial growth of the mandible. Angle Orthod. 1972, 42, 368–386. [Google Scholar] [CrossRef] [PubMed]
- Björk, A.; Skieller, V. Facial development and tooth eruption. An implant study at the age of puberty. Am. J. Orthod. 1972, 62, 339–383. [Google Scholar] [CrossRef] [PubMed]
- Ajmera, D.H.; Hsung, R.T.-C.; Singh, P.; Wong, N.S.M.; Yeung, A.W.K.; Lam, W.Y.H.; Khambay, B.S.; Leung, Y.Y.; Gu, M. Three-dimensional assessment of facial asymmetry in Class III subjects. Part 1: A retrospective study evaluating postsurgical outcomes. Clin. Oral Investig. 2022, 26, 4947–4966. [Google Scholar] [CrossRef] [PubMed]
- Macrì, M.; Festa, F. Three-dimensional evaluation using CBCT of the mandibular asymmetry and the compensation mechanism in a growing patient: A case report. Front. Public Health 2022, 10, 921413. [Google Scholar] [CrossRef]
- Dachasa, K.; Aklilu, T.C.; Ewnete, B.G.; Ejeta, B.M.; Bakare, F.F. Magnesium-based biodegradable alloy materials for bone healing application. Adv. Mater. Sci. Eng. 2024, 2024, 1325004. [Google Scholar] [CrossRef]
- Liñares, A.; Verdeja, R.; Pippenger, B.; Muñoz, F.; López-Peña, M.; Blanco, J. Development of a new preclinical model to study early implant loss: A validation study in the beagle dog. Clin. Oral Investig. 2022, 26, 6805–6815. [Google Scholar] [CrossRef]
- Wancket, L.M. Animal models for evaluation of bone implants and devices: Comparative bone structure and common model uses. Vet. Pathol. 2015, 52, 842–850. [Google Scholar] [CrossRef]
- Alhazmi, N.; Trotman, C.A.; Finkelman, M.; Hawley, D.; Zoukhri, D.; Papathanasiou, E. Salivary alkaline phosphatase activity and chronological age as indicators for skeletal maturity. Angle Orthod. 2019, 89, 637–642. [Google Scholar] [CrossRef]
- Pripatnanont, P.; Vittayakittipong, P.; Markmanee, U.; Thongmak, S.; Yipintsoi, T. The use of SPECT to evaluate growth cessation of the mandible in unilateral condylar hyperplasia. Int. J. Oral Maxillofac. Surg. 2005, 34, 364–368. [Google Scholar] [CrossRef]
- Robinson, P.D.; Harris, K.; Coghlan, K.C.; Altman, K. Bone scans and the timing of treatment for condylar hyperplasia. Int. J. Oral Maxillofac. Surg. 1990, 19, 243–246. [Google Scholar] [CrossRef]
- Nicolay, O.F.; Khalifa, E.R.; Lancour, M.; Hinkle, G.; Lanese, R. 99mTc-medronate uptake in the temporomandibular joints of young rats treated with a mandibular hyperpropulsor. Am. J. Orthod. Dentofac. Orthop. 1991, 100, 459–464. [Google Scholar] [CrossRef]
- Copray, J.C.; Jansen, H.W.; Duterloo, H.S. Growth and growth pressure of mandibular condylar and some primary cartilages of the rat in vitro. Am. J. Orthod. Dentofac. Orthop. 1986, 90, 19–28. [Google Scholar] [CrossRef]
- Wong, R.W.; Rabie, A.B. Traditional Chinese medicines and bone formation—A review. J. Oral Maxillofac. Surg. 2006, 64, 828–837. [Google Scholar] [CrossRef]
- Ahmed, R.; Singh, S.P.; Mittal, B.R.; Rattan, V.; Parghane, R.; Utreja, A. Role of fluorine-18 fluoride PET-CT scan in the assessment of unilateral condylar hyperplasia in faciomandibular asymmetry patients: A preliminary study. Nucl. Med. Commun. 2016, 37, 263–272. [Google Scholar] [CrossRef]
- Kotantoula, G.; Tsolakis, I.A.; Lyros, I.; Makrygiannakis, M.A.; Kanareli, C.; Dalampira, M.; Tsolakis, A.I. Effects on facial growth following masseter muscle resection in growing rats—A systematic review. Animals 2023, 13, 1680. [Google Scholar] [CrossRef] [PubMed]
- Kiliaridis, S. Masticatory muscle influence on craniofacial growth. Acta Odontol. Scand. 1995, 53, 196–202. [Google Scholar] [CrossRef] [PubMed]
- Alabdullah, M.; Saltaji, H.; Abou-Hamed, H.; Youssef, M. Association between facial growth pattern and facial muscle activity: A prospective cross-sectional study. Int. Orthod. 2015, 13, 181–194. [Google Scholar] [CrossRef] [PubMed]
- Tomiyama, N.; Ichida, T.; Yamaguchi, K. Electromyographic activity of lower lip muscles when chewing with the lips in contact and apart. Angle Orthod. 2004, 74, 31–36. [Google Scholar] [CrossRef]
- Eskes, M.; van Alphen, M.J.; Balm, A.J.; Smeele, L.E.; Brandsma, D.; van der Heijden, F. Predicting 3D lip shapes using facial surface EMG. PLoS ONE 2017, 12, e0175025. [Google Scholar] [CrossRef] [PubMed]
- Zhao, M.; Han, M.; Habumugisha, J.; Mohamed, A.S.; Bu, W.; Guo, Y.; Zou, R.; Wang, F. Electromyographic activities of the jaw and facial muscles in subjects with different vertical skeletal patterns and breathing modes. J. Oral Rehabil. 2023, 50, 351–359. [Google Scholar] [CrossRef] [PubMed]
- Cha, B.K.; Kim, C.H.; Baek, S.H. Skeletal sagittal and vertical facial patterns and electromyographic activity of the masticatory muscle. Angle Orthod. 2007, 77, 463–470. [Google Scholar] [CrossRef]
- Shinkai, R.S.; Lazzari, F.L.; A Canabarro, S.; Gomes, M.; Grossi, M.L.; Hirakata, L.M.; Mota, E.G. Maximum occlusal force and medial mandibular flexure in relation to vertical facial pattern: A cross-sectional study. Head Face Med. 2007, 3, 18. [Google Scholar] [CrossRef] [PubMed]
- Vianna-Lara, M.S.; Caria, P.H.; ToselloDde, O.; Lara, F.; Amorim, M.M. Electromyographic activity of masseter and temporal muscles with different facial patterns. Angle Orthod. 2009, 79, 515–520. [Google Scholar] [CrossRef]
- Özen, A.K.; Ceylan, İ. Changes in the electromyographic activity of masticatory muscles in patients undergoing bimaxillary surgery. Acta Odontol. Scand. 2025, 84, 182–190. [Google Scholar] [CrossRef]
- Hans, M.G.; Broadbent, B.H., Jr.; Nelson, S.S. The Broadbent-Bolton Growth Study—Past, present, and future. Am. J. Orthod. Dentofac. Orthop. 1994, 105, 598–603. [Google Scholar] [CrossRef]
- Cross, J.J. Facial growth: Before, during, and following orthodontic treatment. Am. J. Orthod. 1977, 71, 68–78. [Google Scholar] [CrossRef]
- Ricketts, R.M. The influence of orthodontic treatment on facial growth and development. Angle Orthod. 1960, 30, 103–133. [Google Scholar]
- Wieslander, L.; Tandläkare, L. The effect of orthodontic treatment on the concurrent development of the craniofacial complex. Am. J. Orthod. 1963, 49, 15–27. [Google Scholar] [CrossRef]
- Tsolakis, A.I. Effects of Posterior Mandibular Traction in the Rabbit: A Cephalometric, Histologic, Electromyographic Study. Master’s Thesis, Case Western Reserve University, Cleveland, OH, USA, 1981. [Google Scholar]
- Lyros, I.; Makrygiannakis, M.A.; Lykogeorgos, T.; Ferdianakis, E.; Tsolakis, A.I. Posterior mandibular displacement—A systematic review based on animal studies. Animals 2021, 11, 823. [Google Scholar] [CrossRef]
- Lyros, I.; Perrea, D.; Tosios, K.; Nikitakis, N.; Tsolakis, I.A.; Ferdianakis, E.; Fora, E.; Lykogeorgos, T.; Maroulakos, M.P.; Vardas, E.; et al. Histological and biochemical analysis after posterior mandibular displacement in rats. Vet. Sci. 2022, 9, 625. [Google Scholar] [CrossRef] [PubMed]
- Lyros, I.; Tsolakis, I.A.; Kotantoula, G.; Tosios, K.; George, V.; Nikitakis, N.; Ferdianakis, E.; Lykogeorgos, T.; Fora, E.; Tsolakis, A.I. Immunohistochemical evaluation of bone remodeling following compressive force on mandibular condyle. Biology 2025, 14, 228. [Google Scholar] [CrossRef]
- Tsolakis, A.I.; Spyropoulos, M.N.; Katsavrias, E.; Alexandridis, K. Effects of altered mandibular function on mandibular growth after condylectomy. Eur. J. Orthod. 1997, 19, 9–19. [Google Scholar] [CrossRef] [PubMed]
- Ferdianakis, E.; Lyros, I.; Tsolakis, I.A.; Alexiou, A.; Alexiou, K.; Tsolakis, A.I. Anterior mandibular displacement in growing rats—A systematic review. Animals 2022, 12, 2059. [Google Scholar] [CrossRef]
- Tsolakis, I.A.; Verikokos, C.; Perrea, D.; Alexiou, K.; Gizani, S.; Tsolakis, A.I. Effect of diet consistency on rat mandibular growth: A geometric morphometric and linear cephalometric study. Biology 2022, 11, 901. [Google Scholar] [CrossRef] [PubMed]
- Karamani, I.I.; Tsolakis, I.A.; Makrygiannakis, M.A.; Georgaki, M.; Tsolakis, A.I. Impact of diet consistency on the mandibular morphology: A systematic review of studies on rat models. Int. J. Environ. Res. Public Health 2022, 19, 2706. [Google Scholar] [CrossRef]
- Tsolakis, I.A.; Verikokos, C.; Perrea, D.; Bitsanis, E.; Tsolakis, A.I. Effects of diet consistency on mandibular growth: A review. J. Hell. Vet. Med. Soc. 2019, 70, 1603–1610. [Google Scholar] [CrossRef]
- Tsolakis, I.A.; Verikokos, C.; Perrea, D.; Perlea, P.; Alexiou, K.E.; Yfanti, Z.; Lyros, I.; Georgaki, M.; Papadopoulou, E.; Tsolakis, A.I. Effects of diet consistency on rat maxillary and mandibular growth within three generations—A longitudinal CBCT study. Biology 2023, 12, 1260. [Google Scholar] [CrossRef]
- Tsolakis, I.A.; Verikokos, C.; Papaioannou, W.; Alexiou, K.E.; Yfanti, Z.; Perrea, D.; Tsolakis, A.I. Long-term effect of diet consistency on mandibular growth within three generations: A longitudinal cephalometric study in rats. Biology 2023, 12, 568. [Google Scholar] [CrossRef] [PubMed]
- Lyros, I.; Vasoglou, G.; Lykogeorgos, T.; Tsolakis, I.A.; Maroulakos, M.P.; Fora, E.; Tsolakis, A.I. The effect of third molars on the mandibular anterior crowding relapse—A systematic review. Dent. J. 2023, 11, 131. [Google Scholar] [CrossRef]
- Matthaios, S.; Tsolakis, A.I.; Haidich, A.B.; Galanis, I.; Tsolakis, I.A. Dental and skeletal effects of Herbst appliance, Forsus fatigue resistance device, and class II elastics—A systematic review and meta-analysis. J. Clin. Med. 2022, 11, 6995. [Google Scholar] [CrossRef] [PubMed]
- Tsolakis, I.A.; Tsolakis, A.I.; Elshebiny, T.; Matthaios, S.; Palomo, J.M. Comparing a fully automated cephalometric tracing method to a manual tracing method for orthodontic diagnosis. J. Clin. Med. 2022, 11, 6854. [Google Scholar] [CrossRef]
- Rokhshad, R.; Mohammad-Rahimi, H.; Sohrabniya, F.; Jafari, B.; Shobeiri, P.; Tsolakis, I.A.; Ourang, S.A.; Sultan, A.S.; Khawaja, S.N.; Bavarian, R.; et al. Deep learning for temporomandibular joint arthropathies: A systematic review and meta-analysis. J. Oral Rehabil. 2024, 51, 1632–1644. [Google Scholar] [CrossRef] [PubMed]
- Palomo, J.M.; Hunt, D.W., Jr.; Hans, M.G.; Broadbent, B.H., Jr. A longitudinal 3-dimensional size and shape comparison of untreated Class I and Class II subjects. Am. J. Orthod. Dentofac. Orthop. 2005, 127, 584–591. [Google Scholar] [CrossRef]
- Broadbent, B.H., Jr.; Golden, W.H. The value of an assessment of skeletal maturity in orthodontic diagnosis. Am. J. Phys. Anthropol. 1971, 35, 409–410. [Google Scholar] [CrossRef]
- Cheng, M.C.; Enlow, D.H.; Papsidero, M.; Broadbent, B.H., Jr.; Oyen, O.; Sabat, M. Developmental effects of impaired breathing in the face of the growing child. Angle Orthod. 1988, 58, 309–320. [Google Scholar] [CrossRef]
- Lyros, I.; Pavi, E.; Tsolakis, A.I. Satisfaction with orthodontic care provided in a university orthodontic clinic. Open Dent. J. 2019, 13, 159. [Google Scholar] [CrossRef]
- O’Reilly, M.; Yanniello, G.J. Mandibular growth changes and maturation of cervical vertebrae: A longitudinal cephalometric study. Angle Orthod. 1988, 58, 179–184. [Google Scholar]
- Al-Jewair, T.S.; Preston, C.B.; Flores-Mir, C.; Ziarnowski, P. Correlation between craniofacial growth and upper and lower body heights in subjects with Class I occlusion. Dent. Press J. Orthod. 2018, 23, 37–45. [Google Scholar] [CrossRef]
- Patcas, R.; Keller, H.; Markic, G.; Beit, P.; Eliades, T.; Cole, T.J. Craniofacial growth and SITAR growth curve analysis. Eur. J. Orthod. 2022, 44, 325–331. [Google Scholar] [CrossRef]
- Teles, F.; Martin, L.; Patel, M.; Hu, W.; Bittinger, K.; Kallan, M.J.; Chandrasekaran, G.; Cucchiara, A.J.; Giannobile, W.V.; Stephens, D.; et al. Gingival crevicular fluid biomarkers during periodontitis progression and after periodontal treatment. J. Clin. Periodontol. 2025, 52, 40–55. [Google Scholar] [CrossRef] [PubMed]
- Blumsohn, A.; Hannon, R.A.; Wrate, R.; Barton, J.; al-Dehaimi, A.W.; Colwell, A.; Eastell, R. Biochemical markers of bone turnover in girls during puberty. Clin. Endocrinol. 1994, 40, 663–670. [Google Scholar] [CrossRef]
- Liu, Y.P.; Behrents, R.G.; Buschang, P.H. Mandibular growth, remodeling, and maturation during infancy and early childhood. Angle Orthod. 2010, 80, 97–105. [Google Scholar] [CrossRef] [PubMed]
- Bjork, A.; Helm, S. Prediction of the age of maximum puberal growth in body height. Angle Orthod. 1967, 37, 134–143. [Google Scholar]
- Nahhas, R.W.; Valiathan, M.; Sherwood, R.J. Variation in timing, duration, intensity, and direction of adolescent growth in the mandible, maxilla, and cranial base: The Fels longitudinal study. Anat. Rec. 2014, 297, 1195–1207. [Google Scholar] [CrossRef]
- Cole, T.J.; Rousham, E.K.; Hawley, N.L.; Cameron, N.; Norris, S.A.; Pettifor, J.M. Ethnic and sex differences in skeletal maturation among the birth to twenty cohort in South Africa. Arch. Dis. Child. 2015, 100, 138–143. [Google Scholar] [CrossRef]
- Alshamrani, K.; Messina, F.; Offiah, A.C. Is the Greulich and Pyle atlas applicable to all ethnicities? A systematic review and meta-analysis. Eur. Radiol. 2019, 29, 2910–2923. [Google Scholar] [CrossRef] [PubMed]
- Malmgren, O.; Omblus, J.; Hägg, U.; Pancherz, H. Treatment with an orthopedic appliance system in relation to treatment intensity and growth periods. A study of initial effects. Am. J. Orthod. Dentofac. Orthop. 1987, 91, 143–151. [Google Scholar] [CrossRef]
- Baccetti, T.; Franchi, L.; McNamara, J.A., Jr. The cervical vertebral maturation (CVM) method for the assessment of optimal treatment timing in dentofacial orthopedics. Semin. Orthod. 2005, 11, 119–129. [Google Scholar] [CrossRef]
- Hägg, U.; Taranger, J. Maturation indicators and the pubertal growth spurt. Am. J. Orthod. 1982, 82, 299–309. [Google Scholar] [CrossRef]
- Suri, S.; Prasad, C.; Tompson, B.; Lou, W. Longitudinal comparison of skeletal age determined by the Greulich and Pyle method and chronologic age in normally growing children, and clinical interpretations for orthodontics. Am. J. Orthod. Dentofac. Orthop. 2013, 143, 50–60. [Google Scholar] [CrossRef]
- Mitani, H.; Sato, K. Comparison of mandibular growth with other variables during puberty. Angle Orthod. 1992, 62, 217–222. [Google Scholar]
- Fudalej, P.; Bollen, A.M. Effectiveness of the cervical vertebral maturation method to predict postpeak circumpubertal growth of craniofacial structures. Am. J. Orthod. Dentofac. Orthop. 2010, 137, 59–65. [Google Scholar] [CrossRef]
- Perinetti, G.; Rosso, L.; Riatti, R.; Contardo, L. Sagittal and vertical craniofacial growth pattern and timing of circumpubertal skeletal maturation: A multiple regression study. Biomed. Res. Int. 2016, 2016, 1728712. [Google Scholar] [CrossRef]
- Kumar, A.H.; Nayak, U.S.K.; Kuttappa, M.N. Comparison and correlation of the maxillary sinus dimensions in various craniofacial patterns: A CBCT study. F1000Research 2022, 11, 488. [Google Scholar] [CrossRef] [PubMed]
- Asantogrol, F.; Etoz, M.; Topsakal, K.G.; Can, F.E. Evaluation of the maxillary sinus volume and dimensions in different skeletal classes using cone beam computed tomography. Ann. Med. Res. 2021, 28, 709–715. [Google Scholar] [CrossRef]
- Dinç, K.; İçöz, D. Maxillary sinus volume changes in individuals with different craniofacial skeletal patterns: CBCT study. BMC Oral Health 2024, 24, 1516. [Google Scholar] [CrossRef]
- Nimbalkar, K.A.; Datana, S.; Chopra, S.S.; Jain, D. Evaluation of maxillary sinus dimensions and volume in different sagittal and vertical facial types: A CBCT based study. J. Contemp. Orthod. 2023, 7, 287–292. [Google Scholar] [CrossRef]
- Okşayan, R.; Sökücü, O.; Yeşildal, S. Evaluation of maxillary sinus volume and dimensions in different vertical face growth patterns: A study of cone-beam computed tomography. Acta Odontol. Scand. 2017, 75, 345–349. [Google Scholar] [CrossRef] [PubMed]
- Takeda, M.; Kujirai, K.; Takahashi, M.; Hatanaka, R.; Koizumi, S.; Hikita, Y.; Yamaguchi, T. Correlation between facial asymmetry and maxillary sinus size or volume using dental cone-beam computed tomography images. Cureus 2025, 17, e80118. [Google Scholar] [CrossRef]
- Manabe, A.; Fukino, K.; Kinoshita, Y.; Kitagawa, N.; Iwanaga, J.; Ono, T. A cephalometric analysis of the antegonial notch in relation to the direction of mandibular growth. Sci. Rep. 2024, 14, 23241. [Google Scholar] [CrossRef]
- Salem, O.H.; Al-sehaibany, F.; Preston, C.B. Aspects of mandibular morphology, with specific reference to the antegonial notch and the curve of Spee. J. Clin. Pediatr. Dent. 2003, 27, 261–266. [Google Scholar] [CrossRef]
- Singer, C.P.; Mamandras, A.H.; Hunter, W.S. The depth of the mandibular antegonial notch as an indicator of mandibular growth potential. Am. J. Orthod. Dentofac. Orthop. 1987, 91, 117–124. [Google Scholar] [CrossRef]
- ÇınarsoyCiğerim, S.; Sezen Erhamza, T. Cone-beam computerized tomography evaluation of the relationship between orthodontic vertical direction parameters and the distance from the apex of the upper central tooth to the nasal floor and anterior nasal spine. Tomography 2024, 10, 37–46. [Google Scholar] [CrossRef]
- Sitaras, S.; Tsolakis, I.A.; Gelsini, M.; Tsolakis, A.I.; Schwendicke, F.; Wolf, T.G.; Perlea, P. Applications of Artificial Intelligence in dental medicine: A critical review. Int. Dent. J. 2025, 75, 474–486. [Google Scholar] [CrossRef]
- Demirjian, A.; Buschang, P.H.; Tanguay, R.; Patterson, D.K. Interrelationships among measures of somatic, skeletal, dental, and sexual maturity. Am. J. Orthod. 1985, 88, 433–438. [Google Scholar] [CrossRef]
- Perinetti, G.; Di Lenarda, R.; Contardo, L. Diagnostic performance of combined canine and second molar maturity for identification of growth phase. Prog. Orthod. 2013, 14, 1. [Google Scholar] [CrossRef] [PubMed]
- Agematsu, H.; Someda, H.; Hashimoto, M.; Matsunaga, S.; Abe, S.; Kim, H.-J.; Koyama, T.; Naito, H.; Ishida, R.; Ide, Y. Three-dimensional observation of decrease in pulp cavity volume using micro-CT: Age-related change. Bull. Tokyo Dent. Coll. 2010, 51, 1–6. [Google Scholar] [CrossRef] [PubMed]
- Perinetti, G.; Contardo, L.; Gabrieli, P.; Baccetti, T.; Di Lenarda, R. Diagnostic performance of dental maturity for identification of skeletal maturation phase. Eur. J. Orthod. 2012, 34, 487–492. [Google Scholar] [CrossRef] [PubMed][Green Version]
- Malik, P.; Rana, V.; Rehani, U. To evaluate the relationship between mandibular canine calcification stages and skeletal age. Int. J. Clin. Pediatr. Dent. 2012, 5, 14–19. [Google Scholar] [CrossRef] [PubMed]
- Lahoti, S.K.; Karia, A.M.; Lahoti, K.B. Heritability of facial characteristics between parents and offsprings: A photographic study. J. Indian Orthod. Soc. 2013, 47, 419–425. [Google Scholar] [CrossRef]
- Bartzela, T.N.; Carels, C.; Maltha, J.C. Update on 13 syndromes affecting craniofacial and dental structures. Front. Physiol. 2017, 8, 1038. [Google Scholar] [CrossRef]
- Hart, G.D. The Habsburg jaw. Can. Med. Assoc. J. 1971, 104, 601–603. [Google Scholar]
- Lippi, D.; Pierleoni, F.; Franchi, L. Retrognathic maxilla in “Habsburg jaw”: Skeletofacial analysis of Joanna of Austria (1547–1578). Angle Orthod. 2012, 82, 387–395. [Google Scholar] [CrossRef] [PubMed]
- Thompson, E.M.; Winter, R.M. Another family with the ‘Habsburg jaw’. J. Med. Genet. 1988, 25, 838–842. [Google Scholar] [CrossRef]
- Wolff, G.; Wienker, T.F.; Sander, H. On the genetics of mandibular prognathism: Analysis of large European noble families. J. Med. Genet. 1993, 30, 112–116. [Google Scholar] [CrossRef]
- Hunter, W.S.; Balbach, D.R.; Lamphiear, D.E. The heritability of attained growth in the human face. Am. J. Orthod. 1970, 58, 128–134. [Google Scholar] [CrossRef]
- Suzuki, A.; Takahama, Y. A cephalometric study on the similarity of craniofacial morphology between children and their parents. Nihon Kyosei Shika Gakkai Zasshi 1988, 47, 697–719. (In Japanese) [Google Scholar] [PubMed]
- Johannsdottir, B.; Thorarinsson, F.; Thordarson, A.; Magnusson, T.E. Heritability of craniofacial characteristics between parents and offspring estimated from lateral cephalograms. Am. J. Orthod. Dentofac. Orthop. 2005, 127, 200–207. [Google Scholar] [CrossRef]
- Houston, W.J.B.; Brown, W.A.B. Family likeness as a basis for facial growth prediction. Eur. J. Orthod. 1980, 2, 13–18. [Google Scholar] [CrossRef] [PubMed]
- Tsolakis, I.A.; Kolokitha, O.E.; Papadopoulou, E.; Tsolakis, A.I.; Kilipiris, E.G.; Palomo, J.M. Artificial Intelligence as an aid in CBCT airway analysis: A systematic review. Life 2022, 12, 1894. [Google Scholar] [CrossRef] [PubMed]
- Drucker, A.M.; Fleming, P.; Chan, A.W. Research Techniques Made Simple: Assessing Risk of Bias in Systematic Reviews. J. Invest. Dermatol. 2016, 136, e109–e114. [Google Scholar] [CrossRef] [PubMed]







| Domain | Inclusion Criteria | Exclusion Criteria |
|---|---|---|
| Participants |
|
|
| Interventions |
| |
| Comparisons |
| |
| Outcomes |
|
|
| Study design |
|
|
| Database | Search Strategy | Hits |
|---|---|---|
| General sources | ||
| PubMed http://www.ncbi.nlm.nih.gov/pubmed | (“growth prediction” OR “skeletal prediction” OR “prediction” OR “growth estimation”) AND (“orthodontics” OR “orthodontic” OR “orthodontic treatment”) | 1047 |
| Gray literature sources | ||
| Reference lists | “growth prediction” | 34 |
| Articles | Population | Intervention/Method of Assessment |
|---|---|---|
| Total: 90, 40 F and 50 M | Cephalometric radiographs |
| Total: 100 | Cephalometric radiographs—implants |
| Total: 32, 13 F and 19 M | Cephalometric radiographs |
| Total: 8, 6 F and 2 M | Subjects selected from earlier implant samples. Cephalometric radiographs |
| Total: 50 | Cephalometric radiographs |
| Total: 88, 36 F and 52 M | Hand–wrist radiographs |
| Total: 80, 36 F and 44 M | Cephalometric radiographs |
| Total: 334, 170 F and 164 M | Hand–wrist radiographs |
| Total: 21, 9 F and 12 M | Cephalometric radiographs—implants |
| Total: 4.000, 2.225 F and 1.775 M | Hand–wrist radiographs |
| Total: 39, 20 F and 19 M | Hand–wrist radiographs |
| Total: 32, 16 F and 16 M | Cephalometric radiographs |
| Total: 103 | Cephalometric radiographs—frontal sinus |
| Total: 34, 16 F and 18 M | Cephalometric, cervical vertebrae and hand–wrist radiographs |
| Total: 106, 57 F and 49 M | Cephalometric and cervical vertebrae radiographs |
| Total: 40, 20 F and 20 M | Cephalometric radiographs |
| Total: 221, 108 F and 113 M | Cephalometric radiographs |
| Total: 40, 20 F and 20 M | Cephalometric radiographs |
| Total: 20 | Cephalometric radiographs |
| Total: 24, 15 F and 9 M | Cephalometric and cervical vertebrae radiographs |
| Total: 44 F | Cephalometric and hand–wrist radiographs |
| Total: 30, 12 F and 18 M | Cephalometric radiographs for cervical vertebrae maturation evaluation |
| Total: 40, 20 F and 20 M | Cephalometric radiographs—antegonial notch depth |
| Total: 287, 159 F and 128 M | Cephalometric radiographs |
| Total: 79, 52 F and 27 M | Cephalometric radiographs for cervical vertebrae maturation evaluation and hand–wrist radiographs |
| Total: 503, 290 F and 213 M | Cephalometric radiographs for cervical vertebrae maturation evaluation and hand–wrist radiographs |
| Total: 94 M | Cephalometric and hand–wrist radiographs |
| Total: 50, 26 F and 24 M | Cephalometric radiographs |
| Total: 160, 80 F and 80 M | Periapical radiographs of the mandibular right canines and middle phalanx of third finger |
| Total: 72, 45 F and 27 M | Gingival crevicular fluid alkaline phosphatase activity and cephalometric radiographs for cervical vertebrae maturation evaluation |
| Total: 160, 80 F and 80 M | Periapical radiographs of the mandibular right canines and middle phalanx of third finger |
| Total: 330, 165 F and 165 M | Hand–wrist radiographs |
| Total: 236, 120 F and 116 M | Cephalometric radiographs for cervical vertebrae maturation evaluation and hand–wrist radiographs |
| Total: 576, 314 F and 262 M | Cephalometric and panoramic radiographs for cervical vertebrae maturation evaluation |
| Total: 395, 258 F and 137 M | Cephalometric radiographs |
| Total: 262, 137 F and 125 M | Panoramic radiographs for tooth coronal index evaluation and hand–wrist radiographs |
| Total: 100, 62 F and 38 M | Gingival crevicular fluid alkaline phosphatase activity and cephalometric radiographs for cervical vertebrae maturation evaluation |
| Total: 292, 142 F and 150 M | Panoramic radiographs for open apex measurements of the lower teeth and hand–wrist radiographs |
| Total: 300 | Cephalometric radiographs for cervical vertebrae maturation evaluation |
| Total: 26, 12 F and 14 M | Cephalometric and cervical vertebrae radiographs |
| Total: 647, 343 F and 304 M | Cervical vertebral maturation assessment on lateral cephalometric radiographs using artificial intelligence |
| Total: 101, 49 F and 52 M | Cephalometric radiographs |
| Total: 50, 29 F and 21 M | Cephalometric radiographs for cervical vertebrae maturation evaluation |
| Total: 1.017, 614 F and 403 M | Cephalometric radiographs for cervical vertebrae maturation evaluation and hand–wrist radiographs |
| Total: 455, 272 F and 227 M | Cephalometric radiographs for cervical vertebrae maturation evaluation and hand–wrist radiographs |
| Total: 600 | Deep learning models for cervical vertebral maturation stage classification on lateral cephalometric radiographs |
| Total: 1.080, 605 F and 475 M | Artificial intelligence for automatic evaluation of cervical vertebral maturation status |
| Total: 80, 40 F and 40 M | Cone Beam Computed Tomography scans for volumetric morphological assessment of the frontal sinus |
| Total: 1.018 | Deep learning models for cervical vertebral maturation stage classification on lateral cephalometric radiographs |
| Total: 6.079, 3.503 F and 2.576 M | Convolutional neural networks for cervical vertebral maturation stage classification on lateral cephalometric radiographs |
| Total: 303, 166 F and 137 M | Cephalometric radiographs and partial least squares algorithm |
| Total: 1.501 | Convolutional neural networks for cervical vertebral maturation stage classification on lateral cephalometric radiographs |
| Total:1.846, 1.163 F and 683 M | Convolutional neural networks for cervical vertebral maturation stage classification on lateral cephalometric radiographs |
| Total: 59, 32 F and 27 M | Cephalometric radiographs and machine learning models |
| Total:10.200 | Deep learning models for cervical vertebral maturation stage classification on lateral cephalometric radiographs |
| Total: 176 F | Cephalometric radiographs |
| Total: 900, 444 F and 456 M | Deep learning models for cervical vertebral maturation stage classification on lateral cephalometric radiographs |
| Total: 163 M | Cephalometric radiographs and machine learning techniques |
| Total: 123 M | Cephalometric radiographs and machine learning techniques |
| Total: 296, 154 F and 142 M | Cephalometric radiographs and deep learning model |
| Total: 1000, 526 F and 474 M | Cephalometric radiographs for cervical vertebrae maturation evaluation and hand–wrist radiographs |
| Total: 1.067 | Hand–wrist radiographs |
| Total: 198, 80 F and 80 M | Cephalometric radiographs and convolutional neural network algorithm |
| Total: 80, 40 F and 40 M | Cephalometric and cervical vertebrae radiographs |
| Total: 1200 cephalometric and 1200 panoramicradiographs | Cephalometric radiographs for cervical vertebrae maturation evaluation and the mandibular right second molar |
| Total: 410, 236 F and 174 M | Cephalometric radiographs and partial least squares algorithm |
| Total: 44 F | Cephalometric and cervical vertebrae radiographs |
| Total: 301 | Cephalometric radiographs and machine learning techniques |
| Total: 794, 465 F and 329 M | Cephalometric radiographs for cervical vertebrae maturation evaluation and hand–wrist radiographs |
| Signaling Questions | |||||||||
|---|---|---|---|---|---|---|---|---|---|
| Study | 1 | 2 | 3 | 4 | 5 | 6 | 7 | 8 | Summary |
| Yes | Yes | Unclear | Yes | No | No | Yes | Yes | Low |
| Yes | Yes | Unclear | Yes | No | No | Yes | Yes | Low |
| Yes | Yes | Unclear | Yes | No | No | Yes | Yes | Low |
| Yes | Yes | Unclear | Yes | No | No | Yes | Yes | Low |
| Yes | Yes | Unclear | Yes | No | No | Yes | Yes | Low |
| Yes | Yes | Unclear | Yes | No | No | Yes | Yes | Low |
| Yes | Yes | Unclear | Yes | No | No | Yes | Yes | Low |
| Yes | Yes | Unclear | Yes | No | No | Yes | Yes | Low |
| Yes | Yes | Unclear | Yes | No | No | Yes | Yes | Low |
| Yes | Yes | Unclear | Yes | No | No | Yes | Yes | Low |
| Yes | Yes | Unclear | Yes | No | No | Yes | Yes | Low |
| Yes | Yes | Unclear | Yes | No | No | Yes | Yes | Low |
| Yes | Yes | Unclear | Yes | No | No | Yes | Yes | Low |
| Yes | Yes | Unclear | Yes | No | No | Yes | Yes | Low |
| Yes | Yes | Unclear | Yes | No | No | Yes | Yes | Low |
| Yes | Yes | Unclear | Yes | No | No | Yes | Yes | Low |
| Yes | Yes | Unclear | Yes | No | No | Yes | Yes | Low |
| Yes | Yes | Unclear | Yes | No | No | Yes | Yes | Low |
| Yes | Yes | Unclear | Yes | No | No | Yes | Yes | Low |
| Yes | Yes | Unclear | Yes | No | No | Yes | Yes | Low |
| Yes | Yes | Unclear | Yes | No | No | Yes | Yes | Low |
| Yes | Yes | Unclear | Yes | No | No | Yes | Yes | Low |
| Yes | Yes | Unclear | Yes | No | No | Yes | Yes | Low |
| Yes | Yes | Unclear | Yes | No | No | Yes | Yes | Low |
| Yes | Yes | Unclear | Yes | No | No | Yes | Yes | Low |
| Yes | Yes | Unclear | Yes | No | No | Yes | Yes | Low |
| Yes | Yes | Unclear | Yes | No | No | Yes | Yes | Low |
| Yes | Yes | Unclear | Yes | No | No | Yes | Yes | Low |
| Yes | Yes | Unclear | Yes | No | No | Yes | Yes | Low |
| Yes | Yes | Unclear | Yes | No | No | Yes | Yes | Low |
| Yes | Yes | Unclear | Yes | No | No | Yes | Yes | Low |
| Yes | Yes | Unclear | Yes | No | No | Yes | Yes | Low |
| Yes | Yes | Unclear | Yes | No | No | Yes | Yes | Low |
| Yes | Yes | Unclear | Yes | No | No | Yes | Yes | Low |
| Yes | Yes | Unclear | Yes | No | No | Yes | Yes | Low |
| Yes | Yes | Unclear | Yes | No | No | Yes | Yes | Low |
| Yes | Yes | Unclear | Yes | No | No | Yes | Yes | Low |
| Yes | Yes | Unclear | Yes | No | No | Yes | Yes | Low |
| Yes | Yes | Unclear | Yes | No | No | Yes | Yes | High |
| Yes | Yes | Unclear | Yes | No | No | Yes | Yes | Low |
| Yes | Yes | Unclear | Yes | Yes | No | Yes | Yes | Low |
| Yes | Yes | Unclear | Yes | No | No | Yes | Yes | Low |
| Yes | Yes | Unclear | Yes | No | No | Yes | Yes | Low |
| Yes | Yes | Unclear | Yes | No | No | Yes | Yes | Low |
| No | No | Unclear | Yes | Yes | No | Yes | Yes | High |
| Yes | No | Unclear | Yes | Yes | No | Yes | Yes | High |
| Yes | Yes | Unclear | Yes | Yes | No | Yes | Yes | Low |
| Yes | Yes | Unclear | Yes | No | No | Yes | Yes | Low |
| No | No | Unclear | Yes | Yes | No | Yes | Yes | High |
| Yes | Yes | Unclear | Yes | No | No | Yes | Yes | Low |
| Yes | Yes | Unclear | Yes | No | No | Yes | Yes | Low |
| Yes | Yes | Unclear | Yes | No | No | Yes | Yes | Low |
| Yes | Yes | Unclear | Yes | No | No | Yes | Yes | Low |
| Yes | Yes | Unclear | Yes | No | No | Yes | Yes | Low |
| Yes | Yes | Unclear | Yes | No | No | Yes | Yes | Low |
| Yes | Yes | Unclear | Yes | No | No | Yes | Yes | Low |
| Yes | Yes | Unclear | Yes | No | No | Yes | Yes | Low |
| Yes | Yes | Unclear | Yes | No | No | Yes | Yes | Low |
| Yes | Yes | Unclear | Yes | No | No | Yes | Yes | Low |
| Yes | Yes | Unclear | Yes | No | No | Yes | Yes | Low |
| Yes | Yes | Unclear | Yes | No | No | Yes | Yes | Low |
| Yes | Yes | Unclear | Yes | No | No | Yes | Yes | Low |
| Yes | Yes | Unclear | Yes | No | No | Yes | Yes | Low |
| Yes | Yes | Unclear | Yes | No | No | Yes | Yes | Low |
| Yes | Yes | Unclear | Yes | No | No | Yes | Yes | Low |
| Yes | Yes | Unclear | Yes | No | No | Yes | Yes | Low |
| Yes | Yes | Unclear | Yes | No | No | Yes | Yes | Low |
| Yes | Yes | Unclear | Yes | No | No | Yes | Yes | Low |
| Yes | Yes | Unclear | Yes | No | No | Yes | Yes | Low |
Disclaimer/Publisher’s Note: The statements, opinions and data contained in all publications are solely those of the individual author(s) and contributor(s) and not of MDPI and/or the editor(s). MDPI and/or the editor(s) disclaim responsibility for any injury to people or property resulting from any ideas, methods, instructions or products referred to in the content. |
© 2025 by the authors. Licensee MDPI, Basel, Switzerland. This article is an open access article distributed under the terms and conditions of the Creative Commons Attribution (CC BY) license (https://creativecommons.org/licenses/by/4.0/).
Share and Cite
Lyros, I.; Vastardis, H.; Tsolakis, I.A.; Kotantoula, G.; Lykogeorgos, T.; Tsolakis, A.I. Growth Prediction in Orthodontics: ASystematic Review of Past Methods up to Artificial Intelligence. Children 2025, 12, 1023. https://doi.org/10.3390/children12081023
Lyros I, Vastardis H, Tsolakis IA, Kotantoula G, Lykogeorgos T, Tsolakis AI. Growth Prediction in Orthodontics: ASystematic Review of Past Methods up to Artificial Intelligence. Children. 2025; 12(8):1023. https://doi.org/10.3390/children12081023
Chicago/Turabian StyleLyros, Ioannis, Heleni Vastardis, Ioannis A. Tsolakis, Georgia Kotantoula, Theodoros Lykogeorgos, and Apostolos I. Tsolakis. 2025. "Growth Prediction in Orthodontics: ASystematic Review of Past Methods up to Artificial Intelligence" Children 12, no. 8: 1023. https://doi.org/10.3390/children12081023
APA StyleLyros, I., Vastardis, H., Tsolakis, I. A., Kotantoula, G., Lykogeorgos, T., & Tsolakis, A. I. (2025). Growth Prediction in Orthodontics: ASystematic Review of Past Methods up to Artificial Intelligence. Children, 12(8), 1023. https://doi.org/10.3390/children12081023

