Abstract
Cystic fibrosis (CF) is one of the most common progressive life-shortening genetic conditions worldwide. Ground-breaking translational research has generated therapies that target the primary cystic fibrosis transmembrane conductance regulator (CFTR) defect, known as CFTR modulators. A crucial aspect of paediatric CF disease is the development and progression of irreversible respiratory disease in the absence of clinical symptoms. Accurate thoracic diagnostics have an important role to play in this regard. Chest radiographs are non-specific and insensitive in the context of subtle changes in early CF disease, with computed tomography (CT) providing increased sensitivity. Recent advancements in imaging hardware and software have allowed thoracic CTs to be acquired in paediatric patients at radiation doses approaching that of a chest radiograph. CFTR modulators slow the progression of CF, reduce the frequency of exacerbations and extend life expectancy. In conjunction with advances in CT imaging techniques, low-dose thorax CT will establish a central position in the routine care of children with CF. International guidelines regarding the choice of modality and timing of thoracic imaging in children with CF are lagging behind these rapid technological advances. The continued progress of personalised medicine in the form of CFTR modulators will promote the emergence of personalised radiological diagnostics.
1. Introduction
Cystic fibrosis (CF) is one of the most common progressive life-shortening autosomal recessive genetic conditions worldwide [1,2,3]. As a result of diagnostic and therapeutic advancements, life expectancy has greatly improved in recent decades [4]. The first description of cystic fibrosis as a pathological process was in the 1930s, and until 2012, CF management principally comprised the treatment of the clinical signs, symptoms and complications of the disease [5]. This involved various medical therapies, regular assessment by a comprehensive multidisciplinary team and regular diagnostic imaging for assessment of disease progression and acute exacerbations [6]. Ground-breaking translational research has generated novel therapies that target the primary cystic fibrosis transmembrane conductance regulator (CFTR) defect, known as CFTR modulators [7].
Mutations in chromosome 7 that encode the CFTR protein are the origin of the clinical manifestations of CF [8,9,10]. As a key component of normal physiological function, the CFTR protein is responsible for controlling the quantity and composition of epithelial secretions through its action as a cAMP-mediated chloride/bicarbonate channel [11]. A phenylalanine deletion at position 508 (F508del) is the most prevalent CF-causing mutation, being implicated in approximately 80% of CF cases worldwide [12]. Currently, there are >2000 CFTR genetic variants with a broad range of associated phenotypes and clinical severity.
CFTR mutations have been grouped into six categories based on the primary genetic defect: (I) no production of the protein, (II) abnormal protein folding and trafficking, (III) defective channel gating, (IV) decreased channel conductance, (V) decreased protein production and (VI) reduced stability at the plasma membrane [13]. Classes I–III generally result in minimal or no CFTR protein, with more severe disease. In classes IV–VI, there is usually some residual function and less severe disease. F508del, the most prevalent mutation, is a class II variant.
A mutated CFTR protein results in abnormal ion transport and dehydration of various epithelial surfaces, with subsequent accumulation of viscous mucus, chronic inflammation and remodelling of damaged tissue [14]. This pathological process is evident in multiple organ systems with varying degrees of severity and impact on day-to-day life, including respiratory and gastrointestinal symptoms, increased sweat chloride concentrations, infertility and exocrine pancreatic insufficiency [15]. Morbidity and mortality associated with CF are primarily mediated through chronic progressive lung disease [16]. CF patients are thought to have structurally normal lungs at birth. They then typically develop a neutrophilic inflammatory response secondary to recurrent airway infection with persistent mucous plugging, which progresses to develop into bronchiectasis and subsequently a decline in lung function. Early in the disease process, airway thickening, mucous plugging and air trapping may be present, while bronchiectasis may be mild [17,18].
CFTR modulators can restore the trafficking and folding of abnormal CFTR proteins (correctors) or enhance the channel opening probability (potentiators) when the protein is located on the plasma membrane [19]. Currently, four CFTR modulators are clinically approved by the European Medicines Agency (EMA) and the Food and Drug Administration (FDA) in the United States and the Medicines and Healthcare Products Regulatory Agency (MHRA) in the United Kingdom: ivacaftor, lumacaftor, tezacaftor and elexacaftor [20,21,22]. These medications have facilitated a paradigm shift in CF patient care.
The first disease-modifying medication approved in a paediatric population in CF was ivacaftor (tradename: Kalydeco®). Ivacaftor, which is licenced for use in patients as young as 1 month (FDA and MHRA) and 4 months (EMA), is indicated for use in a number of class III mutations and the R117H CFTR mutation, a class IV mutation [23]. It has been proven to promote increased lung function, decreased sweat chloride levels and improved nutrition in patients with at least one G551D mutation [24,25,26,27]. The prevalence of the G551D mutation in our Irish CF centre is as high as 23% [28]. Dual therapy in the form of lumacaftor–ivacaftor (tradename: Orkambi®) and tezacaftor–ivacaftor (tradename: Symkevi®) was then introduced [29,30]. Lumacaftor–ivacaftor, licenced for patients from 1 year, and tezacaftor–ivacaftor, licenced for patients from 6 years by the FDA, EMA and MHRA, are indicated for use in patients with a homozygous F508del mutation [31,32]. The addition of lumacaftor and tezacaftor demonstrated modest improvement in pulmonary function and sweat chloride concentration compared to ivacaftor treatment alone, thus supporting the concept of combination therapy [30]. This proof of concept led to large phase 3 clinical trials investigating the utility of triple combination therapy. Elexacaftor was added to the combination of tezacaftor/ivacaftor, resulting in an increased rate and magnitude of improvement in pulmonary function in the form of increased percent predicted forced expiratory volume in 1 s (ppFEV1), decreased sweat chloride concentration, increased subjective wellbeing, decreased pulmonary exacerbations and decreased hospital admissions [22,33,34]. This triple combination therapy is currently approved for patients that have at least one F508del mutation in the CFTR gene or a mutation in the CFTR gene that is responsive based on in vitro data by the FDA (tradename: Trikafta®) in patients 2 years and older [35]. The MHRA and EMA have approved its use (tradename: Kaftrio®) in patients with at least one F508del mutation. It is licenced for patients 2 years and older by the MHRA and 6 years and older by the EMA [36,37] (Table 1). As knowledge and safety data progress over time, the age inclusion for triple combination therapy is likely to decrease, as has been seen with ivacaftor.
Table 1.
Summary of CFTR modulators.
In this article, we present a concise overview of thoracic imaging in paediatric patients with cystic fibrosis in the context of CFTR modulator therapy.
2. Methods
To provide a comprehensive overview of the topic, a narrative review was chosen as the study design. Medical literature searches were conducted using PubMed, Embase and Cochrane electronic databases. Search terms included paediatric cystic fibrosis, thoracic imaging and CFTR modulators, in addition to relevant MeSH terms and synonyms with the Boolean operators “and” and “or”. Inclusion criteria were broad and included English language human studies relating to CF and CFTR modulators. PWOR, NS and NL independently reviewed publication titles and available abstracts. Articles were assessed for study quality, methods and goals. Articles that were relevant to the aim of this review were included by consensus. No specific timeframe limit was applied in order to ensure a comprehensive search. Additional articles were included based on institutional knowledge. Themes were identified in the selected articles, and appropriate subsections were created.
3. Imaging
The landscape of CF and its associated diagnostics and therapeutics have developed significantly over time. Initially, early mortality was a result of abnormal pancreatic function, and few patients entered adulthood. Today, pancreatic dysfunction remains an important factor in CF management but is less likely to cause mortality directly [44].
After the development of appropriate therapeutics to effectively treat pancreatic dysfunction, it became clear that respiratory disease and its complications would be the largest contributors to CF-related morbidity and mortality going forward [45]. Centralising and standardising CF patient care and developing a consensus on management have led to improved patient outcomes [2]. A crucial aspect of paediatric CF disease is the development and progression of irreversible respiratory disease in the absence of overt clinical symptoms. Effective and accurate thoracic diagnostics have an important role to play in this regard.
3.1. Chest Radiography
Despite its limitations, many centres continue to utilise chest radiography in the primary assessment of the thorax in paediatric CF patients [2]. It has been established that even in adults with severe disease, chest radiographs provide limited value [46]. In children, chest radiographs are non-specific and insensitive in the context of subtle changes in early CF disease with computed tomography (CT), providing increased sensitivity [47]. Chest radiographs are readily available and low-cost, have been utilised by CF clinicians for decades and, as a result, still play a central role in many CF centres’ diagnostic armamentarium.
It has been shown that even with the use of structured scoring systems, there is a high inter-observer variability inherent in chest radiographs [48,49]. In an effort to improve the diagnostic accuracy of chest radiographs, artificial intelligence has been utilised to calculate a Brasfield score on over 2000 paediatric chest radiographs with comparable accuracy to that of a paediatric radiologist [50]. However, implanted ports and peripherally inserted central catheters can confound these algorithms and pose a specific problem in the CF cohort [51].
Dynamic chest radiography (DCR) is a relatively novel, real-time cineradiographic imaging system utilising fluoroscopic images that allows for the identification and tracking of chest wall and diaphragm motion throughout the breathing cycle [52,53]. DCR has been utilised in adults after the commencement of CFTR modulator therapy and has identified significant increases in diaphragm range of motion, an increase in diaphragm speed and a decrease in projected lung area upon expiration, suggesting less air trapping. These findings support associated clinical improvements in pulmonary function tests following CTFR modulator therapy and potentially offer new relevant measurable metrics when assessing responses to CFTR modulation [54]. The utility of DCR in a paediatric population remains to be seen.
3.2. Computed Tomography
Structural lung changes are evident in CT at a very young age, with irreversible bronchiectasis identified despite stable pulmonary function tests (PFTs) or stable chest radiography [55,56,57]. PFTs represent a challenging task for young children to perform comprehensively, and they commonly underestimate the full extent of early CF disease [58]. Bronchiectasis has been identified on CT scans in infants as young as 3 months old and in up to 80% of CF children by the age of 5 years [59,60]. In a study looking at monitoring early lung disease in CF patients, there was a relationship between CT evidence of inflammatory airway disease in 5-year-olds and the development of non-reversable airway disease and bronchiectasis in adolescence. This suggests a time frame where intervention may prevent this progression. The presence of atelectasis on CT scans at 5 years was the strongest predictor of developing bronchiectasis over BMI, bronchiolar lavage or spirometry [61]. In the era of rapidly evolving CF therapies, now being licenced for younger age groups, there is even more need for the early diagnosis and monitoring of disease progression, where CT will continue to play a role [62]. CT imaging can facilitate the early escalation of treatment and is increasingly utilised in clinical trials as a reliable metric of response to intervention [63,64].
Up to one-third of children with CF will progress to satisfy the criteria for lung transplantation [65]. CT scores of CF severity are an independent risk factor for survival post lung transplantation [66]. There are multiple CT scoring systems for structural lung disease in CF, including Bhalla, PRAGMA and Brody [64,67,68]. Each of these scoring systems have their own advantages and limitations. Generally, the more comprehensive the scoring system is, the more time consuming and technically challenging it is to complete. These quantitative assessments of lung disease in CF have been shown to accurately correlate with improvements in lung disease in patients who have commenced CFTR modulation [69]. A French group has demonstrated in a cohort with a median age of 13.5 years (range 4–54 years) the feasibility of utilising artificial intelligence in quantifying the magnitude of disease burden in the lungs of CF patients on CT imaging [70]. The system was able to identify structural lung improvement in those patients undergoing CFTR modulator therapy and deterioration in those not in therapy. The benefit of this system is the quicker time frame to complete assessment, with the time to obtain AI quantifications in each lung exam being 2 min with good reproducibility, compared to a number of hours for a human conducting a similar assessment. Additional artificial intelligence has been developed to produce reader-independent quantitative outcomes in CT, such as airway tapering and the airway–artery ratio [71,72]. The inevitable emergence of commercially available software in paediatric thoracic imaging and the prospect of accurate CT scoring have the potential to revolutionise clinical practice [73].
Recent advancements in imaging hardware and software, including advances in iterative reconstruction, have allowed thoracic CTs to be acquired in paediatric patients at radiation doses approaching those of a chest radiograph [74,75]. The major disadvantage of low-dose CT imaging techniques is image noise and the resultant negative impact on image quality and the potential for “missed” imaging findings. Pure iterative reconstruction algorithms reduce image noise, improve the image quality of low-dose CT images, and allow up to an 80% dose reduction in CT [76]. Low-dose CT (LDCT) of the thorax and ultra-low-dose CT (ULDCT) of the thorax can now produce diagnostic-quality images with the capability for the detection and surveillance of imaging findings associated with lung disease [77,78]. Another practical method of reducing the radiation dose associated with CT of the thorax is to limit the number of phases of image acquisition. A large reduction in radiation dose can also be facilitated by only acquiring an end-expiratory CT as opposed to end-inspiratory and end-expiratory images [79]. When concern is generated regarding air trapping, the additional series can then be acquired [80]. Some authors advocate for the biennial screening of CF patients with LDCT of the thorax once the initial diagnosis has been established [81]. The potential future introduction of photon-counting CT has given rise to the hope that up to a 70% dose reduction is possible without significant image quality degradation [82,83].
Children with CF are more at risk with regard to ionising radiation given their inherent increased radiosensitivity, increased frequency of diagnostic imaging and now, in the era of CFTR modulators, increased life expectancy. The cumulative effective dose (CED) in CF patients has been steadily rising over several decades [6,84]. A reduction in radiation exposure without compromising clinical care or decision making is of paramount importance [85].
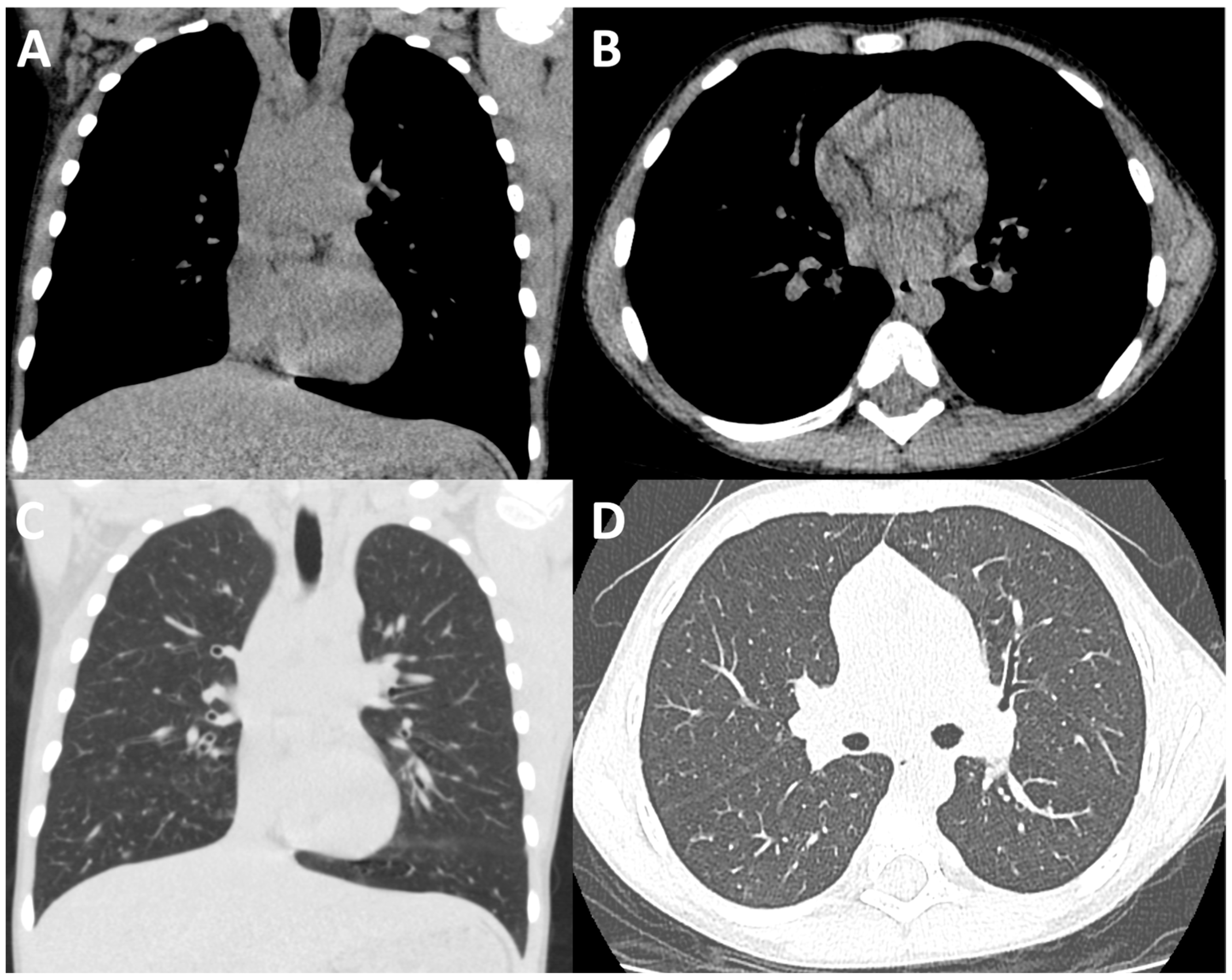
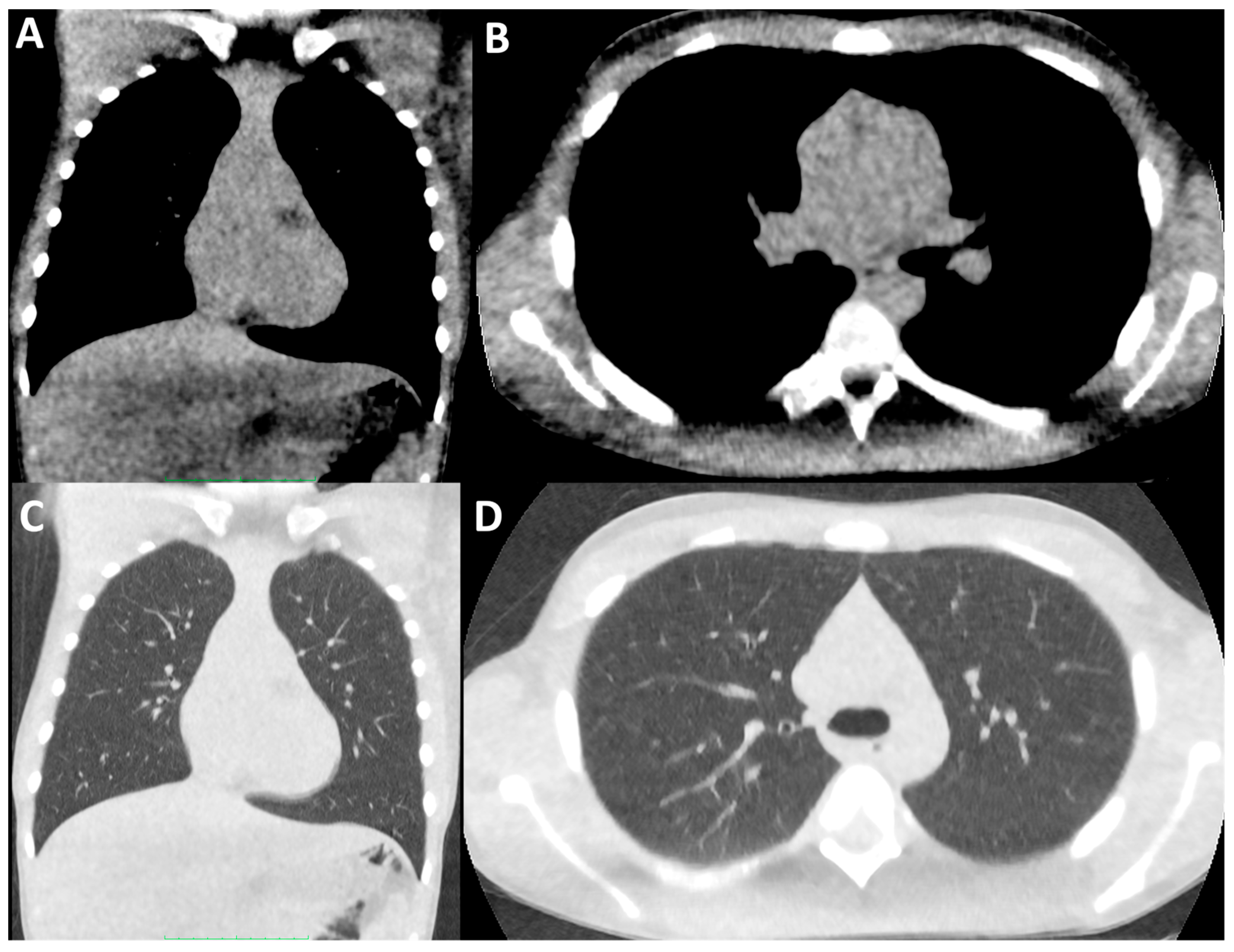
Despite these valid ionising radiation concerns, there is no internationally agreed ULDCT or LDCT thorax protocol for children with CF [86]. Our group has shown that the integration of ULDCT thorax protocols in favour of chest radiography can successfully be carried out without an increase in the cumulative effective dose in patients with CF undergoing CFTR modulation therapy [87]. Please see Figure 1 and Figure 2 demonstrating conventional-dose CT of the thorax and ultra-low-dose CT of the thorax, image quality and ionising radiation doses (39.77 mGy*cm vs. 2.28 mGy*cm, respectively) on the same male child with CF acquired several years apart.
Figure 1.
Conventional-dose CT of the thorax. Coronally (A,C) and axially reconstructed (B,D). Conventional-dose CT of the thorax images in soft tissue (A,B) and lung windows (C,D) in a paediatric male CF patient performed during an acute hospital admission. The dose length product (DLP) for this examination was 39.77 mGy*cm.
Figure 2.
Ultra-low-dose CT of the thorax. Coronally (A,C) and axially (B,D) reconstructed ultra-low-dose CT thorax images in soft tissue (A,B) and lung windows (C,D) in the same paediatric male CF patient as Figure 1, performed during routine disease surveillance several years later. The DLP for this examination was 2.28 mGy*cm.
3.3. Magnetic Resonance Imaging
Magnetic resonance imaging (MRI) of the thorax in children with CF can be performed to assess lung structure, provide functional lung information and demonstrate lung perfusion. Specific MRI techniques utilising ultra-short echo time acquisition have been developed to assess lung structure in people with CF [88,89]. Multiple research groups have demonstrated the comparability of MRI to CT in quantitatively assessing structural lung disease [90,91,92]. The limitations of MRI in the setting of paediatric CF include substantially longer study time vs. CT, the more threatening environment of MRI vs. CT with greater noise and a more enclosed and narrower tunnel. This can lead to respiratory motion artefacts and the need for sedation in paediatric patients. Other disadvantages include the limited standardisation of MRI acquisition techniques and more limited access to MRI infrastructure in comparison to CT.
Airway function can be assessed through MRI with the utilisation of inhaled or injected hyperpolarised material such as helium and, more recently, xenon-129. These hyperpolarised materials can increase the available signal by a magnitude of 105 and allow the tracking of airway function during the acquisition [93,94]. These techniques carry the limitations of materials and infrastructure costs in addition to staff expertise [95]. Additional MRI techniques utilise the paramagnetic effect of oxygen in both room air (21%) and inhaled 100% oxygen to increase the signal-to-noise ratio [96,97,98]. These techniques require substantial post-processing ability, and standardisation in acquisition is needed before being widely utilised in a clinical setting [99].
Lung perfusion MRI to assess blood flow and subsequent gas exchange in chronically damaged lung tissue is also of clinical value [100,101]. Matrix-pencil decomposition MRI (MP-MRI) is feasible in young children as it only requires calm tidal breathing and not specific breath-holding manoeuvres, allowing for functional lung imaging of ventilation and perfusion without contrast, and has been used to reliably assess paediatric patients with CF [102]. Dynamic contrast-enhanced (DCE) MRI with the use of intravenous contrast (gadolinium) and arterial spin-labelled MRI without the use of intravenous contrast agents are available, with DCE MRI providing a better signal-to-noise ratio with the associated limitations of using gadolinium [103].
In the context of CFTR modulation with triple therapy, MRI has the ability to highlight improvements in pulmonary pathology that correlate well with clinical improvement in paediatric patients with CF [104,105].
In addition to thoracic imaging, MRI has utility in imaging CF-related liver, renal and cardiac disease [106,107,108]. Structural changes in the pancreas in pancreatic insufficient patients can be diagnosed and longitudinally followed with MRI [109].
3.4. Positron Emission Tomography (PET) CT
18F-Fluorodeoxyglucose (FDG) positron emission tomography (PET) CT is a well-recognised method of metabolic/functional imaging that can identify the inflammation and neutrophil burden associated with pulmonary exacerbations in CF [110]. PET CT can provide sensitive outcome metrics and has been successfully utilised in patients with CF to delineate chronic fibrosis from active infection [111]. However, the practical considerations of cost and availability, in addition to the additional substantial radiation exposure, have limited the use of PET CT in paediatric CF patient cohorts.
In an attempt to avoid sedating young children to undergo the relatively time-consuming PET CT examination, ultra-short imaging protocols have been developed. Decreasing imaging time typically requires increasing the dose of radiopharmaceuticals to produce images of sufficient diagnostic quality, and the absence of sedation increases motion artefacts. The novel introduction of artificial intelligence-based reconstruction algorithms has facilitated a reduction in the radiopharmaceutical dose required to achieve satisfactory image quality in ultra-short PET CT imaging [112]. This recent technological advancement may allow PET CT to feature more regularly in the assessment of children with CF.
3.5. Ultrasound
Ultrasound is a safe, well-tolerated and cost-effective method of assessing the thorax in children without utilising ionising radiation [113]. A thoracic ultrasound in paediatric CF patients has the ability to identify pulmonary pathology such as consolidation and interstitial changes and correlates with spirometry. Ultrasound has a potential future role in disease surveillance [114]. The limitations of ultrasound include operator-dependency and the inability to image deep structures within the lung [115]. Further standardisation of imaging techniques and reporting guidelines will help progress the field of thoracic ultrasound. Despite the absence of ionising radiation and the widespread availability of ultrasound, there are currently insufficient data to support the routine inclusion of thoracic ultrasound in the diagnosis and surveillance of CF [116,117].
4. Discussion
With increasingly milder CF disease in paediatric and adult patients and the licencing of CFTR modulators for infants as young as 1 month who may have no clinical symptoms or abnormal lung function tests, there is a need for sensitive outcome measures that can detect early structural lung changes for both clinical trials and routine clinical follow-up. There is an increasing number of female CF patients seeking pregnancy, and fertility has been shown to improve with CFTR modulator therapy [118,119]. There has been evidence of placental and breastmilk transfer of CFTR modulators with potential subsequent decreased disease burden in infancy, which may also require further monitoring [120]. The early detection of pulmonary changes is important to facilitate timely and appropriate treatment with the ultimate aim of limiting and delaying disease progression, considering pulmonary disease is the primary cause of morbidity and mortality in CF patients [121,122]. While MRI has been shown to be a suitable tool for measuring responses to CFTR modulators and has the benefit of no exposure to radiation, the practical challenges and limited access, coupled with the low sensitivity of chest radiographs, means that CT will maintain its central position in CF thoracic imaging for the foreseeable future. There are ongoing attempts to create even more effective CFTR modulators, and whether these will change the outcomes for CF patients is yet to be seen [123].
CFTR modulators are within the novel field of personalised medicine and are only possible through the development of high-volume genetic sequencing technologies and subsequent targeted therapies [124]. In such a rapidly developing field, there are reasonable concerns regarding the ethical considerations of genetic data management, the procedures for managing incidental genetic findings and equitable access to the benefits of personalised medicine [125]. Multiple European studies have demonstrated heterogenous access to advanced biomarkers with the overarching goal of harmonising data-sharing systems, diagnostic frameworks and decision-making models [126,127]. Whether due to the absence of a suitable genetic defect or limited access to expensive CFTR modulation therapy, non-modulated CF patients can be expected to follow a clinical path with more severe disease. Traditional diagnostic and therapeutic regimes will remain relevant for this patient cohort.
Asymptomatic children are a particularly important population to monitor as there is the possibility of intervening before bronchiectasis develops [61]. Another consideration is that there have been cases in adults where doses of CFTR modulators have been reduced in response to side effects, particularly anxiety and neurocognitive effects. The evidence to date has shown lesser side effects in response to dose reduction with ongoing clinical benefit, measured with spirometry and sweat chloride levels [128,129,130]. It follows that there may be a role for imaging surveillance in children who may require CFTR modulator dose reduction and are unable to complete spirometry or in those with normal spirometry.
Pulmonary exacerbations have been shown to impact lung function in CF, with up to 50% of patients who exacerbate failing to return to their baseline pulmonary function [131,132]. CFTR modulators slow the progression of CF, reduce the frequency of acute exacerbations and significantly extend life expectancy. In this context, children with CF will undergo diagnostic imaging earlier. The mean age for a first CT scan has dropped from 20 years in patients born before 1980 to 1.9 years in patients born after 1997 [84]. As such, CF patients are also more likely to undergo surveillance imaging for a longer period of time than ever before in order to assess thoracic disease burden and adjust treatment accordingly. The major limitation to the use of CT for the surveillance of CF lung disease is the associated radiation exposure of conventional CT of the thorax vs. chest radiography (3.5 vs. 0.02 mSv) [133]. Care providers must remain aware of the carcinogenic risks of ionising radiation and the widely accepted linear no-threshold model that states that the more radiation delivered to patients, the greater the risk of resulting carcinogenesis [134]. The increasing availability of ULDCT will eliminate this major obstacle for CT utilisation, and the use of CT in CF will likely continue to sharply increase. It is important to keep radiation exposure to a minimum while not compromising the quality of diagnostics. Another common concern in paediatric radiology is the requirement for sedation or general anaesthesia and the associated risks. One study looking at LDCT without anaesthesia in paediatric patients (mean age: 66 months) to assess a variety of pulmonary diseases found that satisfactory diagnostic quality was achieved in 98.9%, of which 82.6% were considered excellent. Only one case had blurring, moderately compromising the image. Furthermore, 51.2% of this cohort went on to be diagnosed with CF [135]. More prospective studies to further assess surveillance with ULDCT or LDCT without anaesthesia in the CF paediatric population would be of value, but the evidence to date is encouraging.
It is important to be cognisant of the fact that CF is a multi-system pathology, and throughout their lives, patients may require abdominal imaging that will result in an increased CED. Patient radiation dose tracking may play a role in the future care of CF patients. An initiative that automatically records all medical radiation exposures, which may then be included in patients’ radiology reports and health care records, has been developed. This highlights those patients at risk of a high CED and allows for corrective actions [85]. Radiation dose tracking software has been shown to significantly reduce the dose length product in paediatric populations and may allow for a comparison of performance between institutions and ease the adoption of best practices [136,137]. Another important factor to consider is the patient’s or parent’s understanding of radiation risk. It is known that there is increased media reporting on this topic, and there is a relative high volume of inaccurate information [138]. It has been suggested that there be a move to informed decision making, allowing decisions to be made in conjunction with patients or parents, keeping in mind the known and unknown factors of radiation risks [85].
Thoracic MRI has been shown to be accurate in monitoring the response to CFTR modulator therapy, and in the paediatric population in particular, it has the added benefit of no radiation exposure. One of its limitations is access to the various resources required. It has been suggested that with further prospective trials, patients that may benefit most from MRI surveillance, for example, those with mild disease, may be identified, and this could allow for an ideal balance between sensitivity, the allocation of resources and practicality [102]. The assessment of ventilation, perfusion and structure in a single examination leads to the hope that MRI will assume a greater role in the care of children with CF as availability increases and techniques are standardised.
The model of CF care based on a centralised “CF Centre” has improved morbidity and mortality for CF patients [19]. The multidisciplinary team is an essential element of CF patient care. This team includes CF-specialised physicians, clinical nurse specialists, physiotherapists, psychologists, pharmacists, researchers and radiologists with an ever-evolving role in patient care. It is vital that the clinical team maintain close links with associated specialities, ranging from clinical geneticists to assisted fertility services and transplant teams, to provide a comprehensive and up-to-date service [139]. Interdisciplinary collaboration is the foundation of best practice guidelines established by the European Cystic Fibrosis Society [140]. In a study assessing research priorities in a cohort including patients, their families and healthcare professionals, simplifying the treatment burden for CF patients was one of the top ten priorities [141]. While defining the most sensitive and effective surveillance methods and the timing of these investigations is considered important, it is also important to balance this with the impact of treatment and care on these patients and their families [142]. The MEASTRO group has recommended the establishment of international guidelines to outline the optimal modality and timing of radiological investigations for initial diagnosis, ongoing surveillance and acute exacerbations of CF [143].
This narrative review has several limitations. The discussed literature was limited to the English language and may not fully represent published data. There were relatively heterogenous sample sizes, research methods and research goals throughout the included studies, limiting the cohesiveness of these data. These data are specific to paediatric patients with CF and may not be generalisable to other patient cohorts. The utilisation of advanced imaging hardware and software is not universally available to all healthcare systems, which limits the general applicability of this review.
When considering the future directions of this field, formal international guidelines regarding the choice of imaging modality and timing of thoracic imaging in children with CF are lagging behind the rapid technological advances in radiological hardware and software. LDCT, ULDCT and, where available, thoracic MRI, will assume more pivotal roles and will likely be recommended to be performed more frequently in place of chest radiography in future CF radiological diagnostics and associated guidelines.
The continued progress of personalised medicine in the form of CFTR modulators should prompt the development of personalised radiological diagnostics in the form of adjusted follow-up intervals to conform with disease severity and imaging protocols adjusted to body composition to optimise accuracy while minimising radiation dose.
5. Conclusions
In the era of CFTR modulation, in conjunction with advances in CT imaging techniques, LDCT and ULDCT of the thorax will establish an increasingly pivotal role in the routine care of children with CF. LDCT and, to a much lesser extent, ULDCT confer a decreasing penalty in radiation dose compared to chest radiography, with significant improvements in sensitivity and specificity in disease identification, allowing for earlier escalation in treatment and improved patient outcomes.
Author Contributions
Conceptualization, P.W.O. and N.E.S.; methodology, P.W.O., N.E.S. and N.L.; writing—original draft preparation, P.W.O. and N.E.S.; writing—review and editing, N.L., D.J.R. and M.M.M.; supervision, D.J.R. and M.M.M. All authors have read and agreed to the published version of the manuscript.
Funding
This research received no external funding.
Institutional Review Board Statement
Ethical review and approval were waived for this study due to study design.
Informed Consent Statement
Patient consent was waived due to study design.
Data Availability Statement
No new data were created or analyzed in this study. Data sharing is not applicable to this article.
Conflicts of Interest
The authors declare no conflicts of interest.
References
- Rowe, S.M.; Miller, S.; Sorscher, E.J. Cystic fibrosis. N. Engl. J. Med. 2005, 352, 1992–2001. [Google Scholar] [CrossRef]
- Castellani, C.; Duff, A.J.A.; Bell, S.C.; Heijerman, H.G.M.; Munck, A.; Ratjen, F.; Sermet-Gaudelus, I.; Southern, K.W.; Barben, J.; Flume, P.A.; et al. ECFS best practice guidelines: The 2018 revision. J. Cyst. Fibros. 2018, 17, 153–178. [Google Scholar] [CrossRef]
- Guo, J.; Garratt, A.; Hill, A. Worldwide rates of diagnosis and effective treatment for cystic fibrosis. J. Cyst. Fibros. 2022, 21, 456–462. [Google Scholar] [CrossRef]
- Scotet, V.; L’Hostis, C.; Ferec, C. The Changing Epidemiology of Cystic Fibrosis: Incidence, Survival and Impact of the CFTR Gene Discovery. Genes 2020, 11, 589. [Google Scholar] [CrossRef] [PubMed]
- Andersen, D.H. Cystic Fibrosis of the Pancreas and its Relation to Celiac Disease: A Clinical and Pathologic Study. Am. J. Dis. Child. 1938, 56, 344–399. [Google Scholar] [CrossRef]
- O’Connell, O.J.; McWilliams, S.; McGarrigle, A.; O’Connor, O.J.; Shanahan, F.; Mullane, D.; Eustace, J.; Maher, M.M.; Plant, B.J. Radiologic imaging in cystic fibrosis: Cumulative effective dose and changing trends over 2 decades. Chest 2012, 141, 1575–1583. [Google Scholar] [CrossRef] [PubMed]
- Silva, I.A.L.; Laselva, O.; Lopes-Pacheco, M. Advances in Preclinical In Vitro Models for the Translation of Precision Medicine for Cystic Fibrosis. J. Pers. Med. 2022, 12, 1321. [Google Scholar] [CrossRef]
- Rommens, J.M.; Iannuzzi, M.C.; Kerem, B.; Drumm, M.L.; Melmer, G.; Dean, M.; Rozmahel, R.; Cole, J.L.; Kennedy, D.; Hidaka, N.; et al. Identification of the cystic fibrosis gene: Chromosome walking and jumping. Science 1989, 245, 1059–1065. [Google Scholar] [CrossRef] [PubMed]
- Riordan, J.R.; Rommens, J.M.; Kerem, B.; Alon, N.; Rozmahel, R.; Grzelczak, Z.; Zielenski, J.; Lok, S.; Plavsic, N.; Chou, J.L.; et al. Identification of the cystic fibrosis gene: Cloning and characterization of complementary DNA. Science 1989, 245, 1066–1073. [Google Scholar] [CrossRef]
- Kerem, B.; Rommens, J.M.; Buchanan, J.A.; Markiewicz, D.; Cox, T.K.; Chakravarti, A.; Buchwald, M.; Tsui, L.C. Identification of the cystic fibrosis gene: Genetic analysis. Science 1989, 245, 1073–1080. [Google Scholar] [CrossRef]
- Saint-Criq, V.; Gray, M.A. Role of CFTR in epithelial physiology. Cell. Mol. Life Sci. 2017, 74, 93–115. [Google Scholar] [CrossRef]
- Lopes-Pacheco, M. CFTR Modulators: The Changing Face of Cystic Fibrosis in the Era of Precision Medicine. Front. Pharmacol. 2019, 10, 1662. [Google Scholar] [CrossRef]
- Lopes-Pacheco, M.; Pedemonte, N.; Veit, G. Discovery of CFTR modulators for the treatment of cystic fibrosis. Expert Opin. Drug Discov. 2021, 16, 897–913. [Google Scholar] [CrossRef]
- Lopes-Pacheco, M. CFTR Modulators: Shedding Light on Precision Medicine for Cystic Fibrosis. Front. Pharmacol. 2016, 7, 275. [Google Scholar] [CrossRef]
- Pinto, M.C.; Silva, I.A.L.; Figueira, M.F.; Amaral, M.D.; Lopes-Pacheco, M. Pharmacological Modulation of Ion Channels for the Treatment of Cystic Fibrosis. J. Exp. Pharmacol. 2021, 13, 693–723. [Google Scholar] [CrossRef]
- Mall, M.A.; Hartl, D. CFTR: Cystic fibrosis and beyond. Eur. Respir. J. 2014, 44, 1042–1054. [Google Scholar] [CrossRef] [PubMed]
- Ong, T.; Ramsey, B.W. Cystic Fibrosis: A Review. JAMA 2023, 329, 1859–1871. [Google Scholar] [CrossRef] [PubMed]
- Thia, L.P.; Calder, A.; Stocks, J.; Bush, A.; Owens, C.M.; Wallis, C.; Young, C.; Sullivan, Y.; Wade, A.; McEwan, A.; et al. Is chest CT useful in newborn screened infants with cystic fibrosis at 1 year of age? Thorax 2014, 69, 320–327. [Google Scholar] [CrossRef] [PubMed]
- Bell, S.C.; Mall, M.A.; Gutierrez, H.; Macek, M.; Madge, S.; Davies, J.C.; Burgel, P.R.; Tullis, E.; Castanos, C.; Castellani, C.; et al. The future of cystic fibrosis care: A global perspective. Lancet Respir. Med. 2020, 8, 65–124. [Google Scholar] [CrossRef]
- Wainwright, C.E.; Elborn, J.S.; Ramsey, B.W. Lumacaftor-Ivacaftor in Patients with Cystic Fibrosis Homozygous for Phe508del CFTR. N. Engl. J. Med. 2015, 373, 1783–1784. [Google Scholar] [CrossRef] [PubMed]
- Taylor-Cousar, J.L.; Munck, A.; McKone, E.F.; van der Ent, C.K.; Moeller, A.; Simard, C.; Wang, L.T.; Ingenito, E.P.; McKee, C.; Lu, Y.; et al. Tezacaftor-Ivacaftor in Patients with Cystic Fibrosis Homozygous for Phe508del. N. Engl. J. Med. 2017, 377, 2013–2023. [Google Scholar] [CrossRef]
- Heijerman, H.G.M.; McKone, E.F.; Downey, D.G.; Van Braeckel, E.; Rowe, S.M.; Tullis, E.; Mall, M.A.; Welter, J.J.; Ramsey, B.W.; McKee, C.M.; et al. Efficacy and safety of the elexacaftor plus tezacaftor plus ivacaftor combination regimen in people with cystic fibrosis homozygous for the F508del mutation: A double-blind, randomised, phase 3 trial. Lancet 2019, 394, 1940–1948. [Google Scholar] [CrossRef]
- European Medicines Agency. Ivacaftor EMA Summary of Product Characteristics. Available online: https://www.ema.europa.eu/en/documents/product-information/kalydeco-epar-product-information_en.pdf (accessed on 11 December 2023).
- Ledford, H. Cystic fibrosis drug Vertex’s latest triumph. Nat. Biotechnol. 2012, 30, 201–202. [Google Scholar] [CrossRef]
- Ramsey, B.W.; Davies, J.; McElvaney, N.G.; Tullis, E.; Bell, S.C.; Drevinek, P.; Griese, M.; McKone, E.F.; Wainwright, C.E.; Konstan, M.W.; et al. A CFTR potentiator in patients with cystic fibrosis and the G551D mutation. N. Engl. J. Med. 2011, 365, 1663–1672. [Google Scholar] [CrossRef]
- Davies, J.C.; Wainwright, C.E.; Canny, G.J.; Chilvers, M.A.; Howenstine, M.S.; Munck, A.; Mainz, J.G.; Rodriguez, S.; Li, H.; Yen, K.; et al. Efficacy and safety of ivacaftor in patients aged 6 to 11 years with cystic fibrosis with a G551D mutation. Am. J. Respir. Crit. Care Med. 2013, 187, 1219–1225. [Google Scholar] [CrossRef]
- Davies, J.C.; Cunningham, S.; Harris, W.T.; Lapey, A.; Regelmann, W.E.; Sawicki, G.S.; Southern, K.W.; Robertson, S.; Green, Y.; Cooke, J.; et al. Safety, pharmacokinetics, and pharmacodynamics of ivacaftor in patients aged 2-5 years with cystic fibrosis and a CFTR gating mutation (KIWI): An open-label, single-arm study. Lancet Respir. Med. 2016, 4, 107–115. [Google Scholar] [CrossRef] [PubMed]
- Ronan, N.J.; Einarsson, G.G.; Twomey, M.; Mooney, D.; Mullane, D.; NiChroinin, M.; O’Callaghan, G.; Shanahan, F.; Murphy, D.M.; O’Connor, O.J.; et al. CORK Study in Cystic Fibrosis: Sustained Improvements in Ultra-Low-Dose Chest CT Scores after CFTR Modulation with Ivacaftor. Chest 2018, 153, 395–403. [Google Scholar] [CrossRef] [PubMed]
- Ratjen, F.; Hug, C.; Marigowda, G.; Tian, S.; Huang, X.; Stanojevic, S.; Milla, C.E.; Robinson, P.D.; Waltz, D.; Davies, J.C.; et al. Efficacy and safety of lumacaftor and ivacaftor in patients aged 6-11 years with cystic fibrosis homozygous for F508del-CFTR: A randomised, placebo-controlled phase 3 trial. Lancet Respir. Med. 2017, 5, 557–567. [Google Scholar] [CrossRef]
- Donaldson, S.H.; Pilewski, J.M.; Griese, M.; Cooke, J.; Viswanathan, L.; Tullis, E.; Davies, J.C.; Lekstrom-Himes, J.A.; Wang, L.T.; Group, V.X.S. Tezacaftor/Ivacaftor in Subjects with Cystic Fibrosis and F508del/F508del-CFTR or F508del/G551D-CFTR. Am. J. Respir. Crit Care Med. 2018, 197, 214–224. [Google Scholar] [CrossRef]
- Food and Drug Administration Administration. Lumacaftor-ivacaftor FDA Drug Label. Available online: https://www.accessdata.fda.gov/drugsatfda_docs/label/2022/206038s016lbl.pdf (accessed on 11 December 2023).
- Food and Drug Administration Administration. Tezacaftor-ivacaftor FDA Drug Label. Available online: https://www.accessdata.fda.gov/drugsatfda_docs/label/2023/210491s011lbl.pdf (accessed on 11 December 2023).
- Middleton, P.G.; Mall, M.A.; Drevinek, P.; Lands, L.C.; McKone, E.F.; Polineni, D.; Ramsey, B.W.; Taylor-Cousar, J.L.; Tullis, E.; Vermeulen, F.; et al. Elexacaftor-Tezacaftor-Ivacaftor for Cystic Fibrosis with a Single Phe508del Allele. N. Engl. J. Med. 2019, 381, 1809–1819. [Google Scholar] [CrossRef] [PubMed]
- Bacalhau, M.; Camargo, M.; Magalhaes-Ghiotto, G.A.V.; Drumond, S.; Castelletti, C.H.M.; Lopes-Pacheco, M. Elexacaftor-Tezacaftor-Ivacaftor: A Life-Changing Triple Combination of CFTR Modulator Drugs for Cystic Fibrosis. Pharmaceuticals 2023, 16, 410. [Google Scholar] [CrossRef] [PubMed]
- Food and Drug Administration Administration. Elexacaftor-Tezacaftor-Ivacaftor FDA Drug Label. Available online: https://www.accessdata.fda.gov/drugsatfda_docs/label/2023/217660s000lbl.pdf (accessed on 11 December 2023).
- Medicines and Healthcare Products Regulatory Agency. Elexacaftor-Tezacaftor-Ivacaftor MHRA Summary of Product Characteristics. Available online: https://mhraproducts4853.blob.core.windows.net/docs/54f21d4e55ab2249ea23dd405af50eb8b76b5b8d (accessed on 11 December 2023).
- European Medicines Agency. Elexacaftor-Tezacaftor-Ivacaftor EMA Summary of Product Characteristics. Available online: https://www.ema.europa.eu/en/documents/product-information/kaftrio-epar-product-information_en.pdf (accessed on 11 December 2023).
- Medicines and Healthcare Products Regulatory Agency. Ivacaftor MHRA Summary of Product Characteristics. Available online: https://mhraproducts4853.blob.core.windows.net/docs/de94c1a13ce5d0f3d7dac0b0dc6102d26b2d376e (accessed on 11 December 2023).
- Food and Drug Administration Administration. Ivacaftor FDA Drug Label. Available online: https://www.accessdata.fda.gov/drugsatfda_docs/label/2023/203188s038lbl.pdf (accessed on 11 December 2023).
- European Medicines Agency. Lumacaftor-Ivacaftor EMA Summary of Product Characteristics. Available online: https://www.ema.europa.eu/en/documents/product-information/orkambi-epar-product-information_en.pdf (accessed on 11 December 2023).
- Medicines and Healthcare Products Regulatory Agency. Lumacaftor-Ivacaftor MHRA Summary of Product Characteristics. Available online: https://mhraproducts4853.blob.core.windows.net/docs/45ef55c039909cb939b92e95a6c58654cfd42834 (accessed on 11 December 2023).
- European Medicines Agency. Tezacaftor-Ivacaftor EMA Summary of Product Characteristics. Available online: https://www.ema.europa.eu/en/documents/product-information/symkevi-epar-product-information_en.pdf (accessed on 11 December 2023).
- Medicines and Healthcare Products Regulatory Agency. Tezacaftor-Ivacaftor MHRA Summary of Product Characteristics. Available online: https://mhraproducts4853.blob.core.windows.net/docs/c9ab16f7d588f0647f3d026352f92a6b67527417 (accessed on 11 December 2023).
- Kerem, E.; Viviani, L.; Zolin, A.; MacNeill, S.; Hatziagorou, E.; Ellemunter, H.; Drevinek, P.; Gulmans, V.; Krivec, U.; Olesen, H.; et al. Factors associated with FEV1 decline in cystic fibrosis: Analysis of the ECFS patient registry. Eur. Respir. J. 2014, 43, 125–133. [Google Scholar] [CrossRef]
- De Boeck, K. Cystic fibrosis in the year 2020: A disease with a new face. Acta Paediatr. 2020, 109, 893–899. [Google Scholar] [CrossRef]
- Greene, K.E.; Takasugi, J.E.; Godwin, J.D.; Richardson, M.L.; Burke, W.; Aitken, M.L. Radiographic changes in acute exacerbations of cystic fibrosis in adults: A pilot study. AJR Am. J. Roentgenol. 1994, 163, 557–562. [Google Scholar] [CrossRef] [PubMed]
- Proesmans, M. Best practices in the treatment of early cystic fibrosis lung disease. Ther. Adv. Respir. Dis. 2017, 11, 97–104. [Google Scholar] [CrossRef] [PubMed]
- Terheggen-Lagro, S.; Truijens, N.; van Poppel, N.; Gulmans, V.; van der Laag, J.; van der Ent, C. Correlation of six different cystic fibrosis chest radiograph scoring systems with clinical parameters. Pediatr. Pulmonol. 2003, 35, 441–445. [Google Scholar] [CrossRef] [PubMed]
- Bortoluzzi, C.F.; Pontello, E.; Pintani, E.; de Winter-de Groot, K.M.; D’Orazio, C.; Assael, B.M.; Hunink, M.G.M.; Tiddens, H.; Caudri, D.; Group, C.F.C.S. The impact of chest computed tomography and chest radiography on clinical management of cystic fibrosis lung disease. J. Cyst. Fibros. 2020, 19, 641–646. [Google Scholar] [CrossRef]
- Zucker, E.J.; Barnes, Z.A.; Lungren, M.P.; Shpanskaya, Y.; Seekins, J.M.; Halabi, S.S.; Larson, D.B. Deep learning to automate Brasfield chest radiographic scoring for cystic fibrosis. J. Cyst. Fibros. 2020, 19, 131–138. [Google Scholar] [CrossRef]
- Goralski, J.L.; Stewart, N.J.; Woods, J.C. Novel imaging techniques for cystic fibrosis lung disease. Pediatr. Pulmonol. 2021, 56 (Suppl. S1), S40–S54. [Google Scholar] [CrossRef]
- Hino, T.; Hata, A.; Hida, T.; Yamada, Y.; Ueyama, M.; Araki, T.; Kamitani, T.; Nishino, M.; Kurosaki, A.; Jinzaki, M.; et al. Projected lung areas using dynamic X-ray (DXR). Eur. J. Radiol. Open 2020, 7, 100263. [Google Scholar] [CrossRef]
- Hida, T.; Yamada, Y.; Ueyama, M.; Araki, T.; Nishino, M.; Kurosaki, A.; Jinzaki, M.; Honda, H.; Hatabu, H.; Kudoh, S. Time-resolved quantitative evaluation of diaphragmatic motion during forced breathing in a health screening cohort in a standing position: Dynamic chest phrenicography. Eur. J. Radiol. 2019, 113, 59–65. [Google Scholar] [CrossRef]
- FitzMaurice, T.S.; McCann, C.; Nazareth, D.; Shaw, M.; McNamara, P.S.; Walshaw, M.J. Measuring the effect of elexacaftor/tezacaftor/ivacaftor combination therapy on the respiratory pump in people with CF using dynamic chest radiography. J. Cyst. Fibros. 2022, 21, 1036–1041. [Google Scholar] [CrossRef]
- Martínez, T.M.; Llapur, C.J.; Williams, T.H.; Coates, C.; Gunderman, R.; Cohen, M.D.; Howenstine, M.S.; Saba, O.; Coxson, H.O.; Tepper, R.S. High-resolution computed tomography imaging of airway disease in infants with cystic fibrosis. Am. J. Respir. Crit. Care Med. 2005, 172, 1133–1138. [Google Scholar] [CrossRef]
- Mott, L.S.; Park, J.; Murray, C.P.; Gangell, C.L.; de Klerk, N.H.; Robinson, P.J.; Robertson, C.F.; Ranganathan, S.C.; Sly, P.D.; Stick, S.M. Progression of early structural lung disease in young children with cystic fibrosis assessed using CT. Thorax 2012, 67, 509–516. [Google Scholar] [CrossRef]
- de Jong, P.A.; Nakano, Y.; Lequin, M.H.; Mayo, J.R.; Woods, R.; Paré, P.D.; Tiddens, H.A. Progressive damage on high resolution computed tomography despite stable lung function in cystic fibrosis. Eur. Respir. J. 2004, 23, 93–97. [Google Scholar] [CrossRef]
- Pillarisetti, N.; Williamson, E.; Linnane, B.; Skoric, B.; Robertson, C.F.; Robinson, P.; Massie, J.; Hall, G.L.; Sly, P.; Stick, S.; et al. Infection, inflammation, and lung function decline in infants with cystic fibrosis. Am. J. Respir. Crit. Care Med. 2011, 184, 75–81. [Google Scholar] [CrossRef]
- Gustafsson, P.M.; De Jong, P.A.; Tiddens, H.A.; Lindblad, A. Multiple-breath inert gas washout and spirometry versus structural lung disease in cystic fibrosis. Thorax 2008, 63, 129–134. [Google Scholar] [CrossRef]
- Stick, S.M.; Brennan, S.; Murray, C.; Douglas, T.; von Ungern-Sternberg, B.S.; Garratt, L.W.; Gangell, C.L.; De Klerk, N.; Linnane, B.; Ranganathan, S.; et al. Bronchiectasis in infants and preschool children diagnosed with cystic fibrosis after newborn screening. J. Pediatr. 2009, 155, 623–628.e1. [Google Scholar] [CrossRef]
- Wijker, N.E.; Vidmar, S.; Grimwood, K.; Sly, P.D.; Byrnes, C.A.; Carlin, J.B.; Cooper, P.J.; Robertson, C.F.; Massie, R.J.; Kemner van de Corput, M.P.C.; et al. Early markers of cystic fibrosis structural lung disease: Follow-up of the ACFBAL cohort. Eur. Respir. J. 2020, 55, 1901694. [Google Scholar] [CrossRef]
- Nissenbaum, C.; Davies, G.; Horsley, A.; Davies, J.C. Monitoring early stage lung disease in cystic fibrosis. Curr. Opin. Pulm. Med. 2020, 26, 671–678. [Google Scholar] [CrossRef]
- Cademartiri, F.; Luccichenti, G.; Palumbo, A.A.; Maffei, E.; Pisi, G.; Zompatori, M.; Krestin, G.P. Predictive value of chest CT in patients with cystic fibrosis: A single-center 10-year experience. AJR Am. J. Roentgenol. 2008, 190, 1475–1480. [Google Scholar] [CrossRef]
- Brody, A.S.; Klein, J.S.; Molina, P.L.; Quan, J.; Bean, J.A.; Wilmott, R.W. High-resolution computed tomography in young patients with cystic fibrosis: Distribution of abnormalities and correlation with pulmonary function tests. J. Pediatr. 2004, 145, 32–38. [Google Scholar] [CrossRef]
- Sanders, D.B.; Li, Z.; Brody, A.S.; Farrell, P.M. Chest computed tomography scores of severity are associated with future lung disease progression in children with cystic fibrosis. Am. J. Respir. Crit. Care Med. 2011, 184, 816–821. [Google Scholar] [CrossRef]
- Loeve, M.; Hop, W.C.; de Bruijne, M.; van Hal, P.T.; Robinson, P.; Aitken, M.L.; Dodd, J.D.; Tiddens, H.A. Chest computed tomography scores are predictive of survival in patients with cystic fibrosis awaiting lung transplantation. Am. J. Respir. Crit. Care Med. 2012, 185, 1096–1103. [Google Scholar] [CrossRef]
- Bhalla, M.; Turcios, N.; Aponte, V.; Jenkins, M.; Leitman, B.S.; McCauley, D.I.; Naidich, D.P. Cystic fibrosis: Scoring system with thin-section CT. Radiology 1991, 179, 783–788. [Google Scholar] [CrossRef]
- Rosenow, T.; Oudraad, M.C.; Murray, C.P.; Turkovic, L.; Kuo, W.; de Bruijne, M.; Ranganathan, S.C.; Tiddens, H.A.; Stick, S.M. PRAGMA-CF. A Quantitative Structural Lung Disease Computed Tomography Outcome in Young Children with Cystic Fibrosis. Am. J. Respir. Crit. Care Med. 2015, 191, 1158–1165. [Google Scholar] [CrossRef] [PubMed]
- Mok, L.C.; Garcia-Uceda, A.; Cooper, M.N.; Kemner-Van De Corput, M.; De Bruijne, M.; Feyaerts, N.; Rosenow, T.; De Boeck, K.; Stick, S.; Tiddens, H. The effect of CFTR modulators on structural lung disease in cystic fibrosis. Front. Pharmacol. 2023, 14, 1147348. [Google Scholar] [CrossRef] [PubMed]
- Dournes, G.; Hall, C.S.; Willmering, M.M.; Brody, A.S.; Macey, J.; Bui, S.; Denis de Senneville, B.; Berger, P.; Laurent, F.; Benlala, I.; et al. Artificial intelligence in computed tomography for quantifying lung changes in the era of CFTR modulators. Eur. Respir. J. 2022, 59, 2100844. [Google Scholar] [CrossRef]
- Lundstrom, C.F.; Gilmore, H.L.; Ros, P.R. Integrated Diagnostics: The Computational Revolution Catalyzing Cross-disciplinary Practices in Radiology, Pathology, and Genomics. Radiology 2017, 285, 12–15. [Google Scholar] [CrossRef]
- Perez-Rovira, A.; Kuo, W.; Petersen, J.; Tiddens, H.A.; de Bruijne, M. Automatic airway-artery analysis on lung CT to quantify airway wall thickening and bronchiectasis. Med. Phys. 2016, 43, 5736. [Google Scholar] [CrossRef]
- Schalekamp, S.; Klein, W.M.; van Leeuwen, K.G. Current and emerging artificial intelligence applications in chest imaging: A pediatric perspective. Pediatr. Radiol. 2022, 52, 2120–2130. [Google Scholar] [CrossRef]
- Crowley, C.; Connor, O.J.O.; Ciet, P.; Tiddens, H.; Maher, M.M. The evolving role of radiological imaging in cystic fibrosis. Curr. Opin. Pulm. Med. 2021, 27, 575–585. [Google Scholar] [CrossRef] [PubMed]
- Ferris, H.; Twomey, M.; Moloney, F.; O’Neill, S.B.; Murphy, K.; O’Connor, O.J.; Maher, M. Computed tomography dose optimisation in cystic fibrosis: A review. World J. Radiol. 2016, 8, 331–341. [Google Scholar] [CrossRef] [PubMed]
- Katsura, M.; Matsuda, I.; Akahane, M.; Sato, J.; Akai, H.; Yasaka, K.; Kunimatsu, A.; Ohtomo, K. Model-based iterative reconstruction technique for radiation dose reduction in chest CT: Comparison with the adaptive statistical iterative reconstruction technique. Eur. Radiol. 2012, 22, 1613–1623. [Google Scholar] [CrossRef] [PubMed]
- Miéville, F.A.; Berteloot, L.; Grandjean, A.; Ayestaran, P.; Gudinchet, F.; Schmidt, S.; Brunelle, F.; Bochud, F.O.; Verdun, F.R. Model-based iterative reconstruction in pediatric chest CT: Assessment of image quality in a prospective study of children with cystic fibrosis. Pediatr. Radiol. 2013, 43, 558–567. [Google Scholar] [CrossRef] [PubMed]
- Neroladaki, A.; Botsikas, D.; Boudabbous, S.; Becker, C.D.; Montet, X. Computed tomography of the chest with model-based iterative reconstruction using a radiation exposure similar to chest X-ray examination: Preliminary observations. Eur. Radiol. 2013, 23, 360–366. [Google Scholar] [CrossRef] [PubMed]
- Loeve, M.; Lequin, M.H.; de Bruijne, M.; Hartmann, I.J.; Gerbrands, K.; van Straten, M.; Hop, W.C.; Tiddens, H.A. Cystic fibrosis: Are volumetric ultra-low-dose expiratory CT scans sufficient for monitoring related lung disease? Radiology 2009, 253, 223–229. [Google Scholar] [CrossRef] [PubMed]
- Arakawa, H.; Webb, W.R. Air trapping on expiratory high-resolution CT scans in the absence of inspiratory scan abnormalities: Correlation with pulmonary function tests and differential diagnosis. AJR Am. J. Roentgenol. 1998, 170, 1349–1353. [Google Scholar] [CrossRef] [PubMed]
- Tiddens, H.A. Chest computed tomography scans should be considered as a routine investigation in cystic fibrosis. Paediatr. Respir. Rev. 2006, 7, 202–208. [Google Scholar] [CrossRef]
- Wu, Y.; Ye, Z.; Chen, J.; Deng, L.; Song, B. Photon Counting CT: Technical Principles, Clinical Applications, and Future Prospects. Acad. Radiol. 2023, 30, 2362–2382. [Google Scholar] [CrossRef]
- Willemink, M.J.; Persson, M.; Pourmorteza, A.; Pelc, N.J.; Fleischmann, D. Photon-counting CT: Technical Principles and Clinical Prospects. Radiology 2018, 289, 293–312. [Google Scholar] [CrossRef] [PubMed]
- Donadieu, J.; Roudier, C.; Saguintaah, M.; Maccia, C.; Chiron, R. Estimation of the radiation dose from thoracic CT scans in a cystic fibrosis population. Chest 2007, 132, 1233–1238. [Google Scholar] [CrossRef]
- Joyce, S.; Carey, B.W.; Moore, N.; Mullane, D.; Moore, M.; McEntee, M.F.; Plant, B.J.; Maher, M.M.; O’Connor, O.J. Computed tomography in cystic fibrosis lung disease: A focus on radiation exposure. Pediatr. Radiol. 2021, 51, 544–553. [Google Scholar] [CrossRef]
- van Straten, M.; Brody, A.S.; Ernst, C.; Guillerman, R.P.; Tiddens, H.; Nagle, S.K. Guidance for computed tomography (CT) imaging of the lungs for patients with cystic fibrosis (CF) in research studies. J. Cyst. Fibros. 2020, 19, 176–183. [Google Scholar] [CrossRef]
- Sheahan, K.P.; O’Mahony, A.T.; Morrissy, D.; Ibrahim, H.; Crowley, C.; Waldron, M.G.; Sokol-Randell, D.; McMahon, A.; Maher, M.M.; O’Connor, O.J.; et al. Replacing Plain Radiograph with ultra-low dose CT thorax in cystic fibrosis (CF) in the era of CFTR modulation and its impact on cumulative effective dose. J. Cyst. Fibros. 2023, 22, 715–721. [Google Scholar] [CrossRef]
- Delacoste, J.; Chaptinel, J.; Beigelman-Aubry, C.; Piccini, D.; Sauty, A.; Stuber, M. A double echo ultra short echo time (UTE) acquisition for respiratory motion-suppressed high resolution imaging of the lung. Magn. Reson. Med. 2018, 79, 2297–2305. [Google Scholar] [CrossRef] [PubMed]
- Dournes, G.; Menut, F.; Macey, J.; Fayon, M.; Chateil, J.F.; Salel, M.; Corneloup, O.; Montaudon, M.; Berger, P.; Laurent, F. Lung morphology assessment of cystic fibrosis using MRI with ultra-short echo time at submillimeter spatial resolution. Eur. Radiol. 2016, 26, 3811–3820. [Google Scholar] [CrossRef] [PubMed]
- Roach, D.J.; Crémillieux, Y.; Fleck, R.J.; Brody, A.S.; Serai, S.D.; Szczesniak, R.D.; Kerlakian, S.; Clancy, J.P.; Woods, J.C. Ultrashort Echo-Time Magnetic Resonance Imaging Is a Sensitive Method for the Evaluation of Early Cystic Fibrosis Lung Disease. Ann. Am. Thorac. Soc. 2016, 13, 1923–1931. [Google Scholar] [CrossRef] [PubMed]
- Wielpütz, M.O.; von Stackelberg, O.; Stahl, M.; Jobst, B.J.; Eichinger, M.; Puderbach, M.U.; Nährlich, L.; Barth, S.; Schneider, C.; Kopp, M.V.; et al. Multicentre standardisation of chest MRI as radiation-free outcome measure of lung disease in young children with cystic fibrosis. J. Cyst. Fibros. 2018, 17, 518–527. [Google Scholar] [CrossRef]
- Stahl, M.; Steinke, E.; Graeber, S.Y.; Joachim, C.; Seitz, C.; Kauczor, H.U.; Eichinger, M.; Hämmerling, S.; Sommerburg, O.; Wielpütz, M.O.; et al. Magnetic Resonance Imaging Detects Progression of Lung Disease and Impact of Newborn Screening in Preschool Children with Cystic Fibrosis. Am. J. Respir. Crit. Care Med. 2021, 204, 943–953. [Google Scholar] [CrossRef]
- Shammi, U.A.; D’Alessandro, M.F.; Altes, T.; Hersman, F.W.; Ruset, I.C.; Mugler, J., 3rd; Meyer, C.; Mata, J.; Qing, K.; Thomen, R. Comparison of Hyperpolarized (3)He and (129)Xe MR Imaging in Cystic Fibrosis Patients. Acad. Radiol. 2022, 29 (Suppl. S2), S82–S90. [Google Scholar] [CrossRef]
- Kern, A.L.; Vogel-Claussen, J. Hyperpolarized gas MRI in pulmonology. Br. J. Radiol. 2018, 91, 20170647. [Google Scholar] [CrossRef]
- Wang, Z.J.; Ohliger, M.A.; Larson, P.E.Z.; Gordon, J.W.; Bok, R.A.; Slater, J.; Villanueva-Meyer, J.E.; Hess, C.P.; Kurhanewicz, J.; Vigneron, D.B. Hyperpolarized (13)C MRI: State of the Art and Future Directions. Radiology 2019, 291, 273–284. [Google Scholar] [CrossRef]
- Jakob, P.M.; Wang, T.; Schultz, G.; Hebestreit, H.; Hebestreit, A.; Hahn, D. Assessment of human pulmonary function using oxygen-enhanced T(1) imaging in patients with cystic fibrosis. Magn. Reson. Med. 2004, 51, 1009–1016. [Google Scholar] [CrossRef]
- Ohno, Y.; Hatabu, H. Basics concepts and clinical applications of oxygen-enhanced MR imaging. Eur. J. Radiol. 2007, 64, 320–328. [Google Scholar] [CrossRef]
- Neemuchwala, F.; Ghadimi Mahani, M.; Pang, Y.; Lee, E.; Johnson, T.D.; Galbán, C.J.; Fortuna, A.B.; Sanchez-Jacob, R.; Flask, C.A.; Nasr, S.Z. Lung T1 mapping magnetic resonance imaging in the assessment of pulmonary disease in children with cystic fibrosis: A pilot study. Pediatr. Radiol. 2020, 50, 923–934. [Google Scholar] [CrossRef]
- McBennett, K.; MacAskill, C.J.; Keshock, E.; Mahani, M.G.; Mata, J.; Towbin, A.J.; Sankararaman, S.; Drumm, M.L.; Yu, X.; Ren, C.L.; et al. Magnetic resonance imaging of cystic fibrosis: Multi-organ imaging in the age of CFTR modulator therapies. J. Cyst. Fibros. 2022, 21, e148–e157. [Google Scholar] [CrossRef] [PubMed]
- Heidenreich, J.F.; Kuhl, P.J.; Grunz, J.P.; Hendel, R.; Metz, C.; Weng, A.M.; Benkert, T.; Hebestreit, H.; Bley, T.A.; Kostler, H.; et al. Lung Function in Patients with Cystic Fibrosis before and during CFTR-Modulator Therapy Using 3D Ultrashort Echo Time MRI. Radiology 2023, 308, e230084. [Google Scholar] [CrossRef] [PubMed]
- Wagener, J.S.; Williams, M.J.; Millar, S.J.; Morgan, W.J.; Pasta, D.J.; Konstan, M.W. Pulmonary exacerbations and acute declines in lung function in patients with cystic fibrosis. J. Cyst. Fibros. 2018, 17, 496–502. [Google Scholar] [CrossRef] [PubMed]
- Streibel, C.; Willers, C.C.; Pusterla, O.; Bauman, G.; Stranzinger, E.; Brabandt, B.; Bieri, O.; Curdy, M.; Bullo, M.; Frauchiger, B.S.; et al. Effects of elexacaftor/tezacaftor/ivacaftor therapy in children with cystic fibrosis—A comprehensive assessment using lung clearance index, spirometry, and functional and structural lung MRI. J. Cyst. Fibros. 2023, 22, 615–622. [Google Scholar] [CrossRef]
- Mai, V.M.; Berr, S.S. MR perfusion imaging of pulmonary parenchyma using pulsed arterial spin labeling techniques: FAIRER and FAIR. J. Magn. Reson. Imaging 1999, 9, 483–487. [Google Scholar] [CrossRef]
- Graeber, S.Y.; Renz, D.M.; Stahl, M.; Pallenberg, S.T.; Sommerburg, O.; Naehrlich, L.; Berges, J.; Dohna, M.; Ringshausen, F.C.; Doellinger, F.; et al. Effects of Elexacaftor/Tezacaftor/Ivacaftor Therapy on Lung Clearance Index and Magnetic Resonance Imaging in Patients with Cystic Fibrosis and One or Two F508del Alleles. Am. J. Respir. Crit. Care Med. 2022, 206, 311–320. [Google Scholar] [CrossRef] [PubMed]
- Fainardi, V.; Skenderaj, K.; Ciuni, A.; Milanese, G.; Deolmi, M.; Longo, F.; Spaggiari, C.; Sverzellati, N.; Esposito, S.; Pisi, G. Structural changes in lung morphology detected by MRI after modulating therapy with elexacaftor/tezacaftor/ivacaftor in adolescent and adult patients with cystic fibrosis. Respir. Med. 2023, 216, 107328. [Google Scholar] [CrossRef] [PubMed]
- Masand, P.M.; Narkewicz, M.R.; Leung, D.H. The Emergence of Elastography for Cystic Fibrosis Liver Disease. J. Cyst. Fibros. 2020, 19, 339–341. [Google Scholar] [CrossRef] [PubMed]
- Li, C.; Liu, H.; Li, X.; Zhou, L.; Wang, R.; Zhang, Y. Application of BOLD-MRI in the classification of renal function in chronic kidney disease. Abdom. Radiol. 2019, 44, 604–611. [Google Scholar] [CrossRef] [PubMed]
- Gonzalez, J.A.; Kramer, C.M. Role of Imaging Techniques for Diagnosis, Prognosis and Management of Heart Failure Patients: Cardiac Magnetic Resonance. Curr. Heart Fail. Rep. 2015, 12, 276–283. [Google Scholar] [CrossRef]
- Sequeiros, I.M.; Hester, K.; Callaway, M.; Williams, A.; Garland, Z.; Powell, T.; Wong, F.S.; Jarad, N.A. MRI appearance of the pancreas in patients with cystic fibrosis: A comparison of pancreas volume in diabetic and non-diabetic patients. Br. J. Radiol. 2010, 83, 921–926. [Google Scholar] [CrossRef]
- Klein, M.; Cohen-Cymberknoh, M.; Armoni, S.; Shoseyov, D.; Chisin, R.; Orevi, M.; Freedman, N.; Kerem, E. 18F-fluorodeoxyglucose-PET/CT imaging of lungs in patients with cystic fibrosis. Chest 2009, 136, 1220–1228. [Google Scholar] [CrossRef]
- Amin, R.; Charron, M.; Grinblat, L.; Shammas, A.; Grasemann, H.; Graniel, K.; Ciet, P.; Tiddens, H.; Ratjen, F. Cystic fibrosis: Detecting changes in airway inflammation with FDG PET/CT. Radiology 2012, 264, 868–875. [Google Scholar] [CrossRef]
- Zhang, Q.; Hu, Y.; Zhou, C.; Zhao, Y.; Zhang, N.; Zhou, Y.; Yang, Y.; Zheng, H.; Fan, W.; Liang, D.; et al. Reducing pediatric total-body PET/CT imaging scan time with multimodal artificial intelligence technology. EJNMMI Phys. 2024, 11, 1. [Google Scholar] [CrossRef]
- Sansone, F.; Attanasi, M.; Di Filippo, P.; Sferrazza Papa, G.F.; Di Pillo, S.; Chiarelli, F. Usefulness of Lung Ultrasound in Paediatric Respiratory Diseases. Diagnostics 2021, 11, 1783. [Google Scholar] [CrossRef] [PubMed]
- Curatola, A.; Corona, F.; Squillaci, D.; Saccari, A.; Chiaretti, A.; Barbi, E.; Maschio, M. Lung ultrasound evaluation in people with cystic fibrosis: A new approach in the pulmonology outpatient clinic. Pediatr. Pulmonol. 2023, 59, 592–599. [Google Scholar] [CrossRef] [PubMed]
- Volpicelli, G.; Elbarbary, M.; Blaivas, M.; Lichtenstein, D.A.; Mathis, G.; Kirkpatrick, A.W.; Melniker, L.; Gargani, L.; Noble, V.E.; Via, G.; et al. International evidence-based recommendations for point-of-care lung ultrasound. Intensive Care Med. 2012, 38, 577–591. [Google Scholar] [CrossRef] [PubMed]
- Peixoto, A.O.; Marson, F.A.; Dertkigil, S.S.; Dertkigil, R.P.; Souza, T.H.; Fraga, A.M.; Ribeiro, A.F.; Toro, A.A.; Ribeiro, J.D. The Use of Ultrasound as a Tool to Evaluate Pulmonary Disease in Cystic Fibrosis. Respir. Care 2020, 65, 293–303. [Google Scholar] [CrossRef]
- Strzelczuk-Judka, L.; Wojsyk-Banaszak, I.; Zakrzewska, A.; Jonczyk-Potoczna, K. Diagnostic value of chest ultrasound in children with cystic fibrosis—Pilot study. PLoS ONE 2019, 14, e0215786. [Google Scholar] [CrossRef]
- Kazmerski, T.M.; Gmelin, T.; Slocum, B.; Borrero, S.; Miller, E. Attitudes and Decision Making Related to Pregnancy among Young Women with Cystic Fibrosis. Matern. Child Health J. 2017, 21, 818–824. [Google Scholar] [CrossRef] [PubMed]
- O’Connor, K.E.; Goodwin, D.L.; NeSmith, A.; Garcia, B.; Mingora, C.; Ladores, S.L.; Rowe, S.M.; Krick, S.; Solomon, G.M. Elexacafator/tezacaftor/ivacaftor resolves subfertility in females with CF: A two center case series. J. Cyst. Fibros. 2021, 20, 399–401. [Google Scholar] [CrossRef]
- Collins, B.; Fortner, C.; Cotey, A.; Esther, C.R.J.; Trimble, A. Drug exposure to infants born to mothers taking Elexacaftor, Tezacaftor, and Ivacaftor. J. Cyst. Fibros. 2022, 21, 725–727. [Google Scholar] [CrossRef]
- Wood, B.P. Cystic fibrosis: 1997. Radiology 1997, 204, 1–10. [Google Scholar] [CrossRef]
- Weiser, G.; Kerem, E. Early intervention in CF: How to monitor the effect. Pediatr. Pulmonol. 2007, 42, 1002–1007. [Google Scholar] [CrossRef]
- Despotes, K.A.; Donaldson, S.H. Current state of CFTR modulators for treatment of Cystic Fibrosis. Curr. Opin. Pharmacol. 2022, 65, 102239. [Google Scholar] [CrossRef] [PubMed]
- Stranneheim, H.; Wedell, A. Exome and genome sequencing: A revolution for the discovery and diagnosis of monogenic disorders. J. Intern. Med. 2016, 279, 3–15. [Google Scholar] [CrossRef] [PubMed]
- Winkler, E.C.; Knoppers, B.M. Ethical challenges of precision cancer medicine. Semin. Cancer Biol. 2022, 84, 263–270. [Google Scholar] [CrossRef] [PubMed]
- Normanno, N.; Apostolidis, K.; Wolf, A.; Al Dieri, R.; Deans, Z.; Fairley, J.; Maas, J.; Martinez, A.; Moch, H.; Nielsen, S.; et al. Access and quality of biomarker testing for precision oncology in Europe. Eur. J. Cancer 2022, 176, 70–77. [Google Scholar] [CrossRef]
- Stenzinger, A.; Edsjö, A.; Ploeger, C.; Friedman, M.; Fröhling, S.; Wirta, V.; Seufferlein, T.; Botling, J.; Duyster, J.; Akhras, M.; et al. Trailblazing precision medicine in Europe: A joint view by Genomic Medicine Sweden and the Centers for Personalized Medicine, ZPM, in Germany. Semin. Cancer Biol. 2022, 84, 242–254. [Google Scholar] [CrossRef]
- Ibrahim, H.; Danish, H.; Morrissey, D.; Deasy, K.F.; McCarthy, M.; Dorgan, J.; Fleming, C.; Howlett, C.; Twohig, S.; Vagg, T.; et al. Individualized approach to elexacaftor/tezacaftor/ivacaftor dosing in cystic fibrosis, in response to self-reported anxiety and neurocognitive adverse events: A case series. Front. Pharmacol. 2023, 14, 1156621. [Google Scholar] [CrossRef]
- Hong, E.; Li, R.; Shi, A.; Almond, L.M.; Wang, J.; Khudari, A.Z.; Haddad, S.; Sislyan, S.; Angelich, M.; Chung, P.S.; et al. Safety of elexacaftor/tezacaftor/ivacaftor dose reduction: Mechanistic exploration through physiologically based pharmacokinetic modeling and a clinical case series. Pharmacotherapy 2023, 43, 291–299. [Google Scholar] [CrossRef]
- Spoletini, G.; Gillgrass, L.; Pollard, K.; Shaw, N.; Williams, E.; Etherington, C.; Clifton, I.J.; Peckham, D.G. Dose adjustments of Elexacaftor/Tezacaftor/Ivacaftor in response to mental health side effects in adults with cystic fibrosis. J. Cyst. Fibros. 2022, 21, 1061–1065. [Google Scholar] [CrossRef]
- Tiddens, H.A.; Stick, S.M.; Wild, J.M.; Ciet, P.; Parker, G.J.; Koch, A.; Vogel-Claussen, J. Respiratory tract exacerbations revisited: Ventilation, inflammation, perfusion, and structure (VIPS) monitoring to redefine treatment. Pediatr. Pulmonol. 2015, 50 (Suppl. S40), S57–S65. [Google Scholar] [CrossRef]
- Sanders, D.B.; Bittner, R.C.; Rosenfeld, M.; Redding, G.J.; Goss, C.H. Pulmonary exacerbations are associated with subsequent FEV1 decline in both adults and children with cystic fibrosis. Pediatr. Pulmonol. 2011, 46, 393–400. [Google Scholar] [CrossRef]
- Moloney, F.; Kavanagh, R.G.; Ronan, N.J.; Grey, T.M.; Joyce, S.; Ryan, D.J.; Moore, N.; O’Connor, O.J.; Plant, B.J.; Maher, M.M. Ultra-low-dose thoracic CT with model-based iterative reconstruction (MBIR) in cystic fibrosis patients undergoing treatment with cystic fibrosis transmembrane conductance regulators (CFTR). Clin. Radiol. 2021, 76, 393.e9–393.e17. [Google Scholar] [CrossRef] [PubMed]
- Maisonneuve, P.; Marshall, B.C.; Knapp, E.A.; Lowenfels, A.B. Cancer risk in cystic fibrosis: A 20-year nationwide study from the United States. J. Natl. Cancer Inst. 2013, 105, 122–129. [Google Scholar] [CrossRef] [PubMed]
- Dorneles, C.M.; Pacini, G.S.; Zanon, M.; Altmayer, S.; Watte, G.; Barros, M.C.; Marchiori, E.; Baldisserotto, M.; Hochhegger, B. Ultra-low-dose chest computed tomography without anesthesia in the assessment of pediatric pulmonary diseases. J. Pediatr. 2020, 96, 92–99. [Google Scholar] [CrossRef] [PubMed]
- Brink, J.A. Dose tracking and rational examination selection for the medically-exposed population. Health Phys. 2014, 106, 225–228. [Google Scholar] [CrossRef] [PubMed]
- AlSuwaidi, J.S.; AlBalooshi, L.G.; AlAwadhi, H.M.; Rahanjam, A.; ElHallag, M.A.; Ibrahim, J.S.; Rehani, M.M. Continuous monitoring of CT dose indexes at Dubai Hospital. AJR Am. J. Roentgenol. 2013, 201, 858–864. [Google Scholar] [CrossRef]
- O’Neill, S.; Glynn, D.; Murphy, K.P.; James, K.; Twomey, M.; Kavanagh, R.; O’Connor, O.J.; Maher, M.M. An Assessment of the Quality of CT Radiation Dose Information on the Internet. J. Am. Coll. Radiol. 2018, 15, 11–18. [Google Scholar] [CrossRef]
- Conway, S.; Balfour-Lynn, I.M.; De Rijcke, K.; Drevinek, P.; Foweraker, J.; Havermans, T.; Heijerman, H.; Lannefors, L.; Lindblad, A.; Macek, M.; et al. European Cystic Fibrosis Society Standards of Care: Framework for the Cystic Fibrosis Centre. J. Cyst. Fibros. 2014, 13 (Suppl. S1), S3–S22. [Google Scholar] [CrossRef]
- Southern, K.; Addy, C.; Bell, S.; Bevan, A.; Borawska, U.; Brown, C.; Burgel, P.R.; Button, B.; Castellani, C.; Chansard, A.; et al. Standards for the care of people with cystic fibrosis; establishing and maintaining health. J. Cyst. Fibros. 2023; in press. [Google Scholar] [CrossRef]
- Rowbotham, N.J.; Smith, S.; Leighton, P.A.; Rayner, O.C.; Gathercole, K.; Elliott, Z.C.; Nash, E.F.; Daniels, T.; Duff, A.J.A.; Collins, S.; et al. The top 10 research priorities in cystic fibrosis developed by a partnership between people with CF and healthcare providers. Thorax 2018, 73, 388–390. [Google Scholar] [CrossRef]
- Bayfield, K.J.; Douglas, T.A.; Rosenow, T.; Davies, J.C.; Elborn, S.J.; Mall, M.; Paproki, A.; Ratjen, F.; Sly, P.D.; Smyth, A.R.; et al. Time to get serious about the detection and monitoring of early lung disease in cystic fibrosis. Thorax 2021, 76, 1255–1265. [Google Scholar] [CrossRef]
- Ciet, P.; Bertolo, S.; Ros, M.; Casciaro, R.; Cipolli, M.; Colagrande, S.; Costa, S.; Galici, V.; Gramegna, A.; Lanza, C.; et al. State-of-the-art review of lung imaging in cystic fibrosis with recommendations for pulmonologists and radiologists from the “iMAging managEment of cySTic fibROsis” (MAESTRO) consortium. Eur. Respir. Rev. 2022, 31, 210173. [Google Scholar] [CrossRef]
Disclaimer/Publisher’s Note: The statements, opinions and data contained in all publications are solely those of the individual author(s) and contributor(s) and not of MDPI and/or the editor(s). MDPI and/or the editor(s) disclaim responsibility for any injury to people or property resulting from any ideas, methods, instructions or products referred to in the content. |
© 2024 by the authors. Licensee MDPI, Basel, Switzerland. This article is an open access article distributed under the terms and conditions of the Creative Commons Attribution (CC BY) license (https://creativecommons.org/licenses/by/4.0/).

