Development of a Flatbed Scanner-Based Colorimetric Method for the Indirect Determination of Fluoride Ions Using 96-Well Plates in Oral Hygiene Products
Abstract
1. Introduction
2. Materials and Methods
2.1. Chemicals and Solutions
2.2. Apparatus
2.3. Experimental Steps
2.4. Oral Hygiene Samples
3. Results and Discussion
3.1. Effect of Nitric Acid Concentration
3.2. Effect of Fe(III) Concentration
3.3. Effect of SCN− Concentration
3.4. Effect of Reaction Time
3.5. Effect of Ionic Strength
3.6. Method Validation
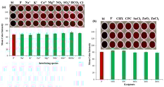
3.6.1. Selectivity
3.6.2. Figures of Merit
3.7. Real Samples Application
4. Conclusions
Author Contributions
Funding
Institutional Review Board Statement
Informed Consent Statement
Data Availability Statement
Conflicts of Interest
Abbreviations
| WHO | World Health Organization |
| FIA | Flow Injection Analysis |
| GC | Gas Chromatography |
| JPEG | Joint Photographic Experts Group |
| RGB | Red–Green–Blue |
| CHX | Chlorhexidine |
| CPC | Cetylpyridinium Chloride |
| RSD | Relative Standard Deviation |
| LOD | Limit of Detection |
| LOQ | Limit of Quantification |
| SD | Standard Deviation |
References
- Otal, E.H.; Kim, M.L.; Kimura, M. Fluoride detection and quantification, an overview from traditional to innovative material-based methods. In Fluoride; IntechOpen: London, UK, 2022; pp. 1–22. [Google Scholar] [CrossRef]
- Meshri, D.E. The modern inorganic fluorochemical industry. J. Fluor. Chem. 1986, 33, 195–226. [Google Scholar] [CrossRef]
- Simmer, J.P.; Hardy, N.C.; Chinoy, A.F.; Bartlett, J.D.; Hu, J.C.-C. How fluoride protects dental enamel from demineralization. J. Int. Soc. Prev. Community Dent. 2020, 10, 134–141. [Google Scholar] [CrossRef]
- Duffin, S.; Duffin, M.; Grootveld, M. Revisiting fluoride in the twenty-first century: Safety and efficacy considerations. Front. Oral Health 2022, 3, 873157. [Google Scholar] [CrossRef] [PubMed]
- WHO (World Health Organization). Guidelines for Drinking-Water Quality; World Health Organization: Geneva, Switzerland, 1993. [Google Scholar]
- Unde, M.P.; Patil, R.U.; Dastoor, P.P. The untold story of fluoridation: Revisiting the changing perspectives. Indian J. Occup. Environ. Med. 2018, 22, 121–127. [Google Scholar] [CrossRef] [PubMed]
- Thiruppathi, M.; Natarajan, T.; Zen, J.-M. Electrochemical detection of fluoride ions using 4-aminophenyl boronic acid dimer modified electrode. J. Electroanal. Chem. 2023, 944, 117685. [Google Scholar] [CrossRef]
- Novak, L.M.; Steyskal, E.-M. Electrochemical detection of fluoride ions in water with nanoporous gold modified by a boronic acid terminated self-assembled monolayer. RSC Adv. 2023, 13, 6947–6953. [Google Scholar] [CrossRef]
- Abramović, B.F.; Gaál, F.F.; Cvetković, S.D. Titrimetric determination of fluoride in some pharmaceutical products used for fluoridation. Talanta 1992, 39, 511–515. [Google Scholar] [CrossRef]
- Talasek, R.T. Determination of fluoride in semiconductor process chemicals by ion chromatography with ion-selective electrodes. J. Chromatogr. A 1989, 465, 1–10. [Google Scholar] [CrossRef]
- Hang, Y.P.; Liu, J.M. Determination of fluoride by an ion chromatography system using the preconcentration on nanometer-size zirconia. J. Anal. Chem. 2007, 62, 583–587. [Google Scholar] [CrossRef]
- Kwon, S.M.; Shin, H.S. Sensitive determination of fluoride in biological samples by gas chromatography–mass spectrometry after derivatization with 2-(bromomethyl)naphthalene. Anal. Chim. Acta 2014, 852, 162–167. [Google Scholar] [CrossRef]
- Matsunaga, H.; Kanno, C.; Yamada, H.; Takahashi, Y.; Suzuki, T.M. Fluorometric determination of fluoride ion by reagent tablets containing 3-hydroxy-2′-sulfoflavone and zirconium(IV) ethylenediamine tetraacetate. Talanta 2006, 68, 1000–1004. [Google Scholar] [CrossRef]
- Li, D.; Tu, S.; Le, Y.; Zhou, Y.; Yang, L.; Ding, Y.; Huang, L.; Liu, L. Development of a carbazole-based fluorescent probe for quantitative detection of fluoride ions in aqueous systems. Chem. Pap. 2023, 77, 1741–1749. [Google Scholar] [CrossRef]
- Themelis, D.G.; Tzanavaras, P.D. Simultaneous spectrophotometric determination of fluoride and monofluorophosphate ions in toothpastes using a reversed flow injection manifold. Anal. Chim. Acta 2001, 429, 111–116. [Google Scholar] [CrossRef]
- Mariam, A.G.; Diro, A.; Asere, T.G.; Jado, D.; Melak, F. Spectroscopic determination of fluoride using eriochrome black T (EBT) as a spectrophotometric reagent from groundwater. Int. J. Anal. Chem. 2021, 2021, 2045491. [Google Scholar] [CrossRef]
- Yardımcı, B.; Üzer, A.; Apak, R. Spectrophotometric fluoride determination using St. John’s wort extract as a green chromogenic complexant for Al(III). ACS Omega 2022, 7, 45432–45442. [Google Scholar] [CrossRef]
- Sukhareva, O.; Mariychuk, R.; Sukharev, S.; Delegan-Kokaiko, S.; Kushtan, S. Application of microextraction techniques for indirect spectrophotometric determination of fluorides in river waters. J. Environ. Manag. 2021, 280, 11170. [Google Scholar] [CrossRef] [PubMed]
- de Berg, K.; Maeder, M.; Clifford, S. A new approach to the equilibrium study of iron(III) thiocyanates which accounts for the kinetic instability of the complexes particularly observable under high thiocyanate concentrations. Inorganica Chim. Acta 2016, 445, 155–159. [Google Scholar] [CrossRef]
- Verma, C.; Tapadia, K.; Soni, A.B. Determination of iron (III) in food, biological and environmental samples. Food Chem. 2017, 221, 1415–1420. [Google Scholar] [CrossRef]
- Baltzis, D.; Zacharis, C.K.; Tsogas, G.Z.; Tzanavaras, P.D. High-throughput and green optical sensing of thiocyanate in human saliva based on microplates and an overhead book scanner as detector. J. Pharm. Biomed. Anal. 2024, 248, 116317. [Google Scholar] [CrossRef]
- Li, H.B.; Xu, X.R. Separation and determination of fluoride in plant samples. Talanta 1999, 48, 57–62. [Google Scholar] [CrossRef]
- Sandulescu, R.; Florean, E.; Roman, L.; Mirel, S.; Oprean, R.; Suciu, P. Spectrophotometric determination of fluoride in dosage forms and dental preparations. J. Pharm. Biomed. Anal. 1996, 14, 951–958. [Google Scholar] [CrossRef]
- Jayeoye, T.J.; Panghiyangani, R.; Singh, S.; Muangsin, N. Quercetin reduced and stabilized gold nanoparticle/Al3+: A rapid, sensitive optical detection nanoplatform for fluoride ion. Nanomaterials 2024, 14, 1967. [Google Scholar] [CrossRef]
- Du, J.; Sheng, C.; Wang, Y.; Zhang, H.; Jiang, K. Determination of trace fluoride in water samples by silylation and gas chromatography/mass spectrometry analysis. Rapid Commun. Mass Spectrom. 2021, 35, 9089. [Google Scholar] [CrossRef] [PubMed]
- Gkouliamtzi, A.G.; Tsaftari, V.C.; Tarara, M.; Tsogas, G.Z. A Low-Cost colorimetric assay for the analytical determination of copper ions with consumer electronic imaging devices in natural water samples. Molecules 2023, 28, 4831. [Google Scholar] [CrossRef] [PubMed]
- Saranchina, N.V.; Slizhov, Y.G.; Vodova, Y.M.; Murzakasymova, N.S.; Ilyina, A.M.; Gavrilenko, N.A.; Gavrilenko, M.A. Smartphone-based colorimetric determination of fluoride anions using polymethacrylate optode. Talanta 2021, 226, 122103. [Google Scholar] [CrossRef]
- Savvaki, G.N.A.; Tarara, M.; Tsogas, G.Z. Instrument-Free, novel colorimetric speciation of hexavalent chromium in natural waters using a flatbed scanner. Anal. Lett. 2025, 1–19. [Google Scholar] [CrossRef]
- Parham, H.; Rahbar, N. Solid phase extraction–spectrophotometric determination of fluoride in water samples using magnetic iron oxide nanoparticles. Talanta 2009, 80, 664–669. [Google Scholar] [CrossRef]
- Prasad, R.; Prasad, S. Spectrophotometric determination of iron(III)–glycine formation constant in aqueous medium using competitive ligand binding. J. Chem. Educ. 2009, 86, 494–497. [Google Scholar] [CrossRef]
- Lister, M.W.; Rivington, D.E. Some measurements on the iron (111)–thiocyanate system in aqueous solution. Can. J. Chem. 1955, 33, 1572–1590. [Google Scholar] [CrossRef]
- Farajzadeh, M.A. An extractive-spectrophotometric method for determination of fluoride ions in natural waters based on its bleaching effect on the iron (III)-thiocyanate complex. J. Chin. Chem. Soc. 2013, 51, 303–308. [Google Scholar] [CrossRef]
- Mushahary, B.C.; Biswakarma, N.; Thakuria, R.; Das, R.; Mahanta, S.P. In situ Ni(II) complexation induced deprotonation of Bis-Thiourea-Based tweezers in DMSO–water medium: An approach toward recognition of fluoride ions in water with organic probe molecules. ACS Omega 2024, 9, 29300–29309. [Google Scholar] [CrossRef]
- Hussain, I.; Ahamad, K.U.; Nath, P. Low-Cost, robust, and field portable smartphone platform photometric sensor for fluoride level detection in drinking water. Anal. Chem. 2017, 89, 767–775. [Google Scholar] [CrossRef]
- Figueira, F.; Farinha, A.S.F.; Santana, A.; Vrouwenvelder, J.S.; Tomé, A.C.; Chernyshov, D.; Almeida Paz, F.A.; Cavaleiro, J.A.S.; Tomé, J.P.C. Colorimetric fluoride ion sensors based on dipyrrolic and bipyrrolic compounds: Synthesis and anion recognition. Dye. Pigment. 2025, 233, 112535. [Google Scholar] [CrossRef]
- Mukherjee, S.; Shah, M.; Chaudhari, K.; Jana, A.; Sudhakar, C.; Srikrishnarka, P.; Islam, M.R.; Philip, L.; Pradeep, T. Smartphone-based fluoride-specific sensor for rapid and affordable colorimetric detection and precise quantification at sub-ppm levels for field applications. ACS Omega 2020, 5, 25253–25263. [Google Scholar] [CrossRef] [PubMed]
- Otal, E.H.; Kim, M.L.; Dietrich, S.; Takada, R.; Nakaya, S.; Kimura, M. Open-Source portable device for the determination of fluoride in drinking water. ACS Sens. 2021, 6, 259–266. [Google Scholar] [CrossRef] [PubMed]
- Murfin, L.C.; Chiang, K.; Williams, G.T.; Lyall, C.L.; Jenkins, A.T.A.; Wenk, J.; James, T.D.; Lewis, S.E. A colorimetric chemosensor based on a nozoe azulene that detects fluoride in aqueous/alcoholic media. Front. Chem. 2020, 8, 10. [Google Scholar] [CrossRef]
- Chansaenpak, K.; Kamkaew, A.; Weeranantanapan, O.; Suttisintong, K.; Tumcharern, G. Coumarin probe for selective detection of fluoride ions in aqueous solution and its bioimaging in live cells. Sensors 2018, 18, 2042. [Google Scholar] [CrossRef]





| Cations | Concentration (mg L−1) | Anions | Concentration (mg L−1) |
|---|---|---|---|
| Na+ | 50 | NO3− | 50 |
| Ca2+ | 20 | HCO3− | 50 |
| Mg2+ | 100 | SO42− | 25 |
| K+ | 25 | Cl− | 100 |
| Method | Principle | Linear Range (mg/L) | Detection Limit (mg/L) | Reference |
|---|---|---|---|---|
| Spectrophotometric | Bleaching effect of F− ions on the iron (III)-thiocyanate complex extracted into methyl iso-butyl keton (MIBK). | 0.5–7.0 | 0.1 | [32] |
| Spectrophotometric | Bis-thiourea in dimethyl sulfoxide (DMSO) is stabilized through chelation of the Ni(II) ion, which reacts with fluoride ions. | 0.3–100 | 0.2 | [33] |
| Spectrophotometric | Ambient light sensor (ALS) as light intensity detector and an android application “FSense” developed to detect and analyze the fluoride concentration. | 0–0.1 | 0.0256 | [34] |
| Spectrophotometric | Synthesis and spectroscopic studies of four sensors for fluoride chromogenic sensing compounds prepared by the condensation of diformyl-substituted bipyrrolic and dipyrrolic synthons with malononitrile or indane-1,3-dione. | - | 92 | [35] |
| Colorimetric | Fluoride reacts with core−shell nanoparticles (near-cubic ceria@ zirconia nanocages) and a chemoresponsive dye. | 0.1–5.0 | 0.06 | [36] |
| Colorimetric | Equilibrium between the red Fe–SCN complex and the colorless Fe–F in cotton substrates. | 0.7–8.0 | 0.7 | [37] |
| Colorimetric | Fluoride employs an azulene as the reporter motif and a pinacolborane as the receptor motif. The chemosensor, NAz-6-Bpin, was prepared using the Nozoe azulene synthesis. | - | 5.75 | [38] |
| Fluorimetric | Fluoride-mediated desilylation triggering fluorogenic reaction and a strong interaction between fluoride and the silicon center. | 0–9.15 | 0.043 | [39] |
| Samples | Theoretical Concentration (mg L−1) | Found (mg L−1) | % Recovery (±RSD, n = 5) |
|---|---|---|---|
| Sample 1 | 1450 | 1576 | 108.7 ± 4.2 |
| Sample 2 | 1450 | 1711 | 118.0 ± 7.6 |
| Sample 3 | 1000 | 966 | 96.6 ± 3.5 |
| Sample 4 | 1450 | 1341 | 92.5 ± 7.9 |
| Sample 5 | 220 | 221 | 100.5 ± 3.8 |
| Sample 6 | 225 | 198 | 88.0 ± 8.0 |
Disclaimer/Publisher’s Note: The statements, opinions and data contained in all publications are solely those of the individual author(s) and contributor(s) and not of MDPI and/or the editor(s). MDPI and/or the editor(s) disclaim responsibility for any injury to people or property resulting from any ideas, methods, instructions or products referred to in the content. |
© 2025 by the authors. Licensee MDPI, Basel, Switzerland. This article is an open access article distributed under the terms and conditions of the Creative Commons Attribution (CC BY) license (https://creativecommons.org/licenses/by/4.0/).
Share and Cite
Galenteridi, C.; Tarara, M.; Tzanavaras, P.D.; Tsogas, G.Z. Development of a Flatbed Scanner-Based Colorimetric Method for the Indirect Determination of Fluoride Ions Using 96-Well Plates in Oral Hygiene Products. Chemosensors 2025, 13, 410. https://doi.org/10.3390/chemosensors13120410
Galenteridi C, Tarara M, Tzanavaras PD, Tsogas GZ. Development of a Flatbed Scanner-Based Colorimetric Method for the Indirect Determination of Fluoride Ions Using 96-Well Plates in Oral Hygiene Products. Chemosensors. 2025; 13(12):410. https://doi.org/10.3390/chemosensors13120410
Chicago/Turabian StyleGalenteridi, Chrysanthi, Maria Tarara, Paraskevas D. Tzanavaras, and George Z. Tsogas. 2025. "Development of a Flatbed Scanner-Based Colorimetric Method for the Indirect Determination of Fluoride Ions Using 96-Well Plates in Oral Hygiene Products" Chemosensors 13, no. 12: 410. https://doi.org/10.3390/chemosensors13120410
APA StyleGalenteridi, C., Tarara, M., Tzanavaras, P. D., & Tsogas, G. Z. (2025). Development of a Flatbed Scanner-Based Colorimetric Method for the Indirect Determination of Fluoride Ions Using 96-Well Plates in Oral Hygiene Products. Chemosensors, 13(12), 410. https://doi.org/10.3390/chemosensors13120410

