A Study on the Effect of Nano Alumina Particles on Fracture Behavior of PMMA
Abstract
:1. Introduction
2. Experimental Procedure
2.1. Materials
| MMA Monomer | Al2O3 | ||
|---|---|---|---|
| Density (gm/cc) | Boiling Point (°C) | Percent Volatile (214° F and 760 mmHg) | Purity of Al2O3 Nano Powders |
| 0.94 | 101 | 100% | 99.7% |
2.2. Sample Preparation
| Samples Code | Nanocomposites | Al2O3 (wt%) |
|---|---|---|
| P | PMMA | 0 |
| P/5A | PMMA/5% Al2O3 | 5 |
| P/10A | PMMA/10% Al2O3 | 10 |
| P/15A | PMMA/15% Al2O3 | 15 |
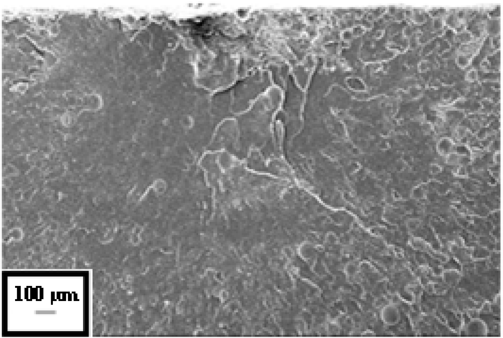
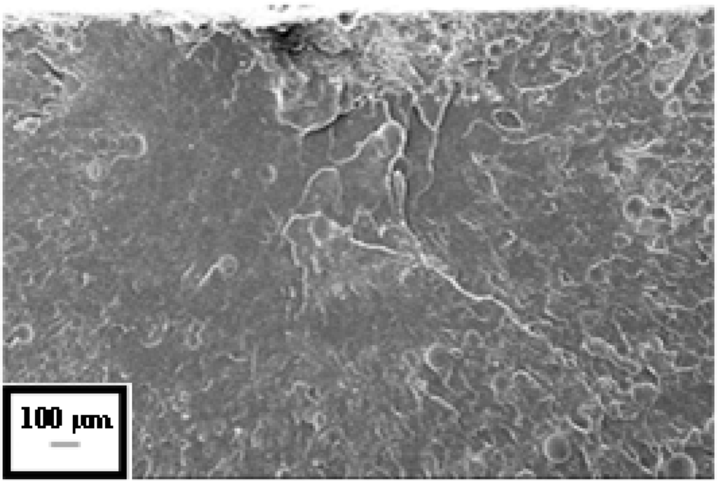
2.3. Microscopic Evaluation

2.4. Tensile Properties
3. Results and Discussions
| Elongation (%) | Tensile Strength (MPa) | Young’s Modulus (GPa) | Sample Code |
|---|---|---|---|
| 2.4 | 44.7 | 2.4 | P |
| 1.8 | 40.9 | 2.7 | P/5A |
| 1.6 | 39.8 | 2.9 | P/10A |
| 1.4 | 37.0 | 3.0 | P/15A |







4. Conclusions
Author Contributions
Conflicts of Interest
References
- Kurtz, S.M.; Villarraga, M.L.; Zhao, K.; Edidin, A.A. Static and Fatigue Mechanical Behavior of Bone Cement with Elevated Barium Sulfate Content for Treatment of Vertebral Compression Fractures. Biomaterials 2005, 26, 3699–3712. [Google Scholar] [CrossRef] [PubMed]
- Pascual, B.; Vtiquez, B.; Gurruchaga, M.; Goti, I.; Ginebra, M.P.; Gil, F.J.; Planell, J.A.; Levenfeld, B.; San Romans, J. New Aspects of the Effect of Size and Size Distribution on the Setting Parameters and Mechanical Properties of Acrylic Bone Cements. Biomaterials 1996, 17, 509–516. [Google Scholar] [CrossRef] [PubMed]
- Serbetci, K.; Korkusuz, F.; Hasirci, N. Thermal and Mechanical Properties of Hydroxyapatite Impregnated acrylic bone cements. Polym. Test. 2004, 23, 145–155. [Google Scholar] [CrossRef]
- Provenzano, M.J.; Murphy, K.P.J.; Riley, L.H. Bone Cements: Review of Their Physiochemical and Biochemical Properties in Percutaneous Vertebroplasty. Am. J. Neuroradiol. 2004, 25, 1286–1290. [Google Scholar] [PubMed]
- Haas, S.S.; Brauer, G.M.; Dickson, G. A Characterization of Poly Methyl Methacrylate Bone Cement. J. Bone Joint Surg. 1975, 57, 380–391. [Google Scholar] [PubMed]
- Postawa, P.; Szarek, A.; Koszkul, J. DMTA Method in Determining Strength Parameters of Acrylic Cements. Arch. Mater. Sci. Eng. 2007, 28, 309–312. [Google Scholar]
- Khaled, S.M.Z.; Charpentier, P.A.; Rizkalla, A.S. Physical and Mechanical Properties of PMMA Bone Cement Reinforced with Nano-sized Titania Fibers. Biomater. Appl. 2011, 25, 515–537. [Google Scholar] [CrossRef]
- Kotha, S.P.; Li, C.; Schmid, S.R.; Mason, J.J. Fracture Toughness of Steel-fiber-reinforced Bone Cement. J. Biomed. Mater. Res. Part A 2004, 70A, 514–521. [Google Scholar] [CrossRef]
- Harper, E.J.; Bonfield, W. Tensile Characteristics of Ten Commercial Acrylic Bone Cements. J. Biomed. Mater. Res. 2000, 53, 605–616. [Google Scholar] [CrossRef] [PubMed]
- Mousa, W.F.; Kobayashi, M.; Shinzato, S.; Kamimura, M.; Neo, M.; Yoshihara, S.; Nakamura, T. Biological and Mechanical Properties of PMMA-based Bioactive Bone Cements. Biomaterials 2000, 21, 2137–2146. [Google Scholar] [CrossRef] [PubMed]
- Marei, M.K.; El-Sabrooty, A.; Ragab, A.Y.; El-Osairy, M.A. A study of Some Physical and Mechanical Properties of Metal-filled Acrylic. Saudi Dent. J. 1994, 6, 69–77. [Google Scholar]
- Vallo, C.I. Influence of Filler Content on Static Properties of Glass-Reinforced Bone Cement. J. Biomed. Mater. Res. 2000, 53, 717–727. [Google Scholar] [CrossRef] [PubMed]
- Liu, H.; Ye, H.; Lin, T.; Zhou, T. Synthesis and characterization of PMMA/Al2O3 composite particles by in situ emulsion polymerization. Particuology 2008, 6, 207–213. [Google Scholar] [CrossRef]
- Devikala, S.; Kamaraj, P.; Arthanreeswari, M. Conductivity Studies of PMMA/Al2O3 Composite. Available online: http://www.ijirse.in/docs/ican14/ican142.pdf (accessed on 24 April 2015).
- Haupert, F.; Wetzel, B. Reinforcement of Thermosetting Polymers by the Incorporation of Micro- and Nanoparticles. Polym. Compos. 2005, 3, 45–62. [Google Scholar]
- Kwon, S.Y.; Kim, Y.S.; Woo, Y.K.; Kim, S.S.; Park, J.B. Hydroxyapatite Impregnated Bone Cement: In Vitro and Vivo Studies. Bio-Med. Mater. Eng. 1997, 7, 129–140. [Google Scholar]
- Almeida, J.R.M.; Menezes, G.W.; Monteiro, S.N. Ageing of the DGEBA/TETA Epoxy System with off-Stoichiometric Compositions. Mater. Res. 2003, 6, 415–420. [Google Scholar] [CrossRef]
- Hengyi, W.; Gang, M.; Yuanming, X. Experimental Study of Tensile Properties of PMMA at Intermediate Strain Rate. Mater. Lett. 2004, 58, 3681–3685. [Google Scholar] [CrossRef]
- Shafranska, O.; Kokott, A.; Sulthaus, D.; Ziegler, G. Effect of Surface Modification of Polymer Beads on the Mechanical Properties of Acrylic Bone Cement. J. Biomater. Sci. 2007, 18, 439–451. [Google Scholar] [CrossRef]
© 2015 by the authors; licensee MDPI, Basel, Switzerland. This article is an open access article distributed under the terms and conditions of the Creative Commons Attribution license (http://creativecommons.org/licenses/by/4.0/).
Share and Cite
Sezavar, A.; Zebarjad, S.M.; Sajjadi, S.A. A Study on the Effect of Nano Alumina Particles on Fracture Behavior of PMMA. Technologies 2015, 3, 94-102. https://doi.org/10.3390/technologies3020094
Sezavar A, Zebarjad SM, Sajjadi SA. A Study on the Effect of Nano Alumina Particles on Fracture Behavior of PMMA. Technologies. 2015; 3(2):94-102. https://doi.org/10.3390/technologies3020094
Chicago/Turabian StyleSezavar, Arezou, Seyed Mojtaba Zebarjad, and Seyed Abdolkarim Sajjadi. 2015. "A Study on the Effect of Nano Alumina Particles on Fracture Behavior of PMMA" Technologies 3, no. 2: 94-102. https://doi.org/10.3390/technologies3020094
APA StyleSezavar, A., Zebarjad, S. M., & Sajjadi, S. A. (2015). A Study on the Effect of Nano Alumina Particles on Fracture Behavior of PMMA. Technologies, 3(2), 94-102. https://doi.org/10.3390/technologies3020094

