Morphology of Vavilovia formosa (Steven) Fed. Nodules Induced by Different Rhizobia Strains
Abstract
1. Introduction
2. Results
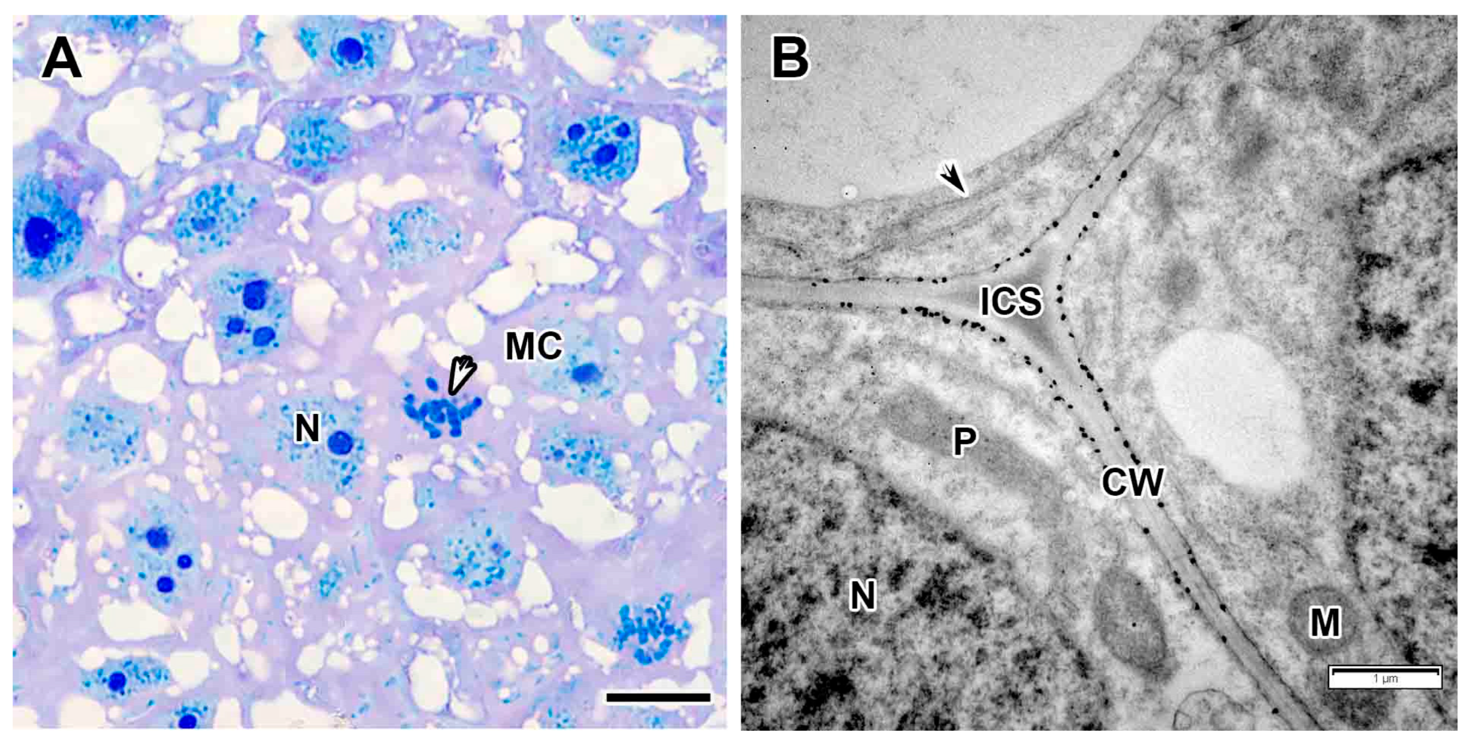
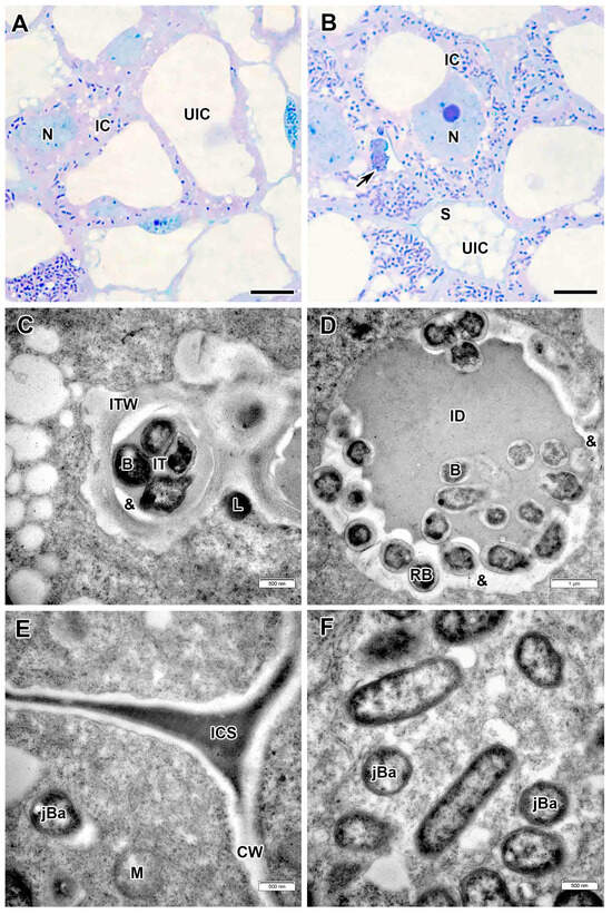
2.1. Structure of Nodules Induced by the Rhizobium leguminosarum sv. viciae Strain Vaf-12
2.2. Structure of Nodules Induced by the Rhizobium leguminosarum sv. viciae Strain Vaf-108
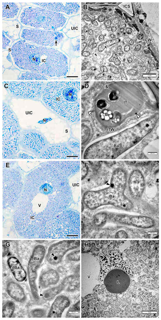
2.3. Structure of Nodules Induced by the Rhizobium leguminosarum sv. viciae Strain TOM
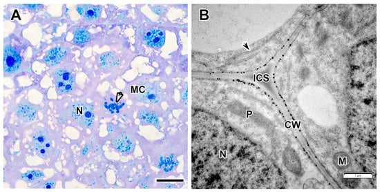
2.4. Structure of Nodules Induced by the Rhizobium ruizarguesonis Strain RCAM1026
3. Discussion
4. Materials and Methods
4.1. Plant Material and Bacterial Strains
4.2. Inoculation and Plant Growth Conditions
4.3. Microscopy
5. Conclusions
Supplementary Materials
Author Contributions
Funding
Data Availability Statement
Acknowledgments
Conflicts of Interest
References
- Rispail, N.; Wohor, O.Z.; Osuna-Caballero, S.; Barilli, E.; Rubiales, D. Genetic diversity and population structure of a wide Pisum spp. core collection. Int. J. Mol. Sci. 2023, 24, 2470. [Google Scholar] [CrossRef]
- Considine, M.J.; Siddique, K.H.M.; Foyer, C.H. Nature’s pulse power: Legumes, food security and climate change. J. Exp. Bot. 2017, 68, 1815–1818. [Google Scholar] [CrossRef]
- Adams, M.A.; Buchmann, N.; Sprent, J.; Buckley, T.N.; Turnbull, T.L. Crops, nitrogen, water: Are legumes friend, foe, or misunderstood ally? Trends Plant Sci. 2018, 23, 539–550. [Google Scholar] [CrossRef] [PubMed]
- Mikić, A.; Smýkal, P.; Kenicer, G.; Sarukhanyan, N.; Akopian, J.; Gabrielyan, I.; Vanyan, A.; Sinjushin, A.; Demidenko, N.; Ćupina, B. Achievements in research on vavilovia (Vavilovia formosa (Stev.) Fed.), a legume crop wild relative. Ratar. Povrt. Field Veg. Crops Res. 2010, 47, 387–394. [Google Scholar]
- WFO Plant List. Available online: https://wfoplantlist.org/taxon/wfo-4000020725-2023-12?matched_id=wfo-4000029896&page=1 (accessed on 1 September 2025).
- Ellis, T.H.N.; Smýkal, P.; Maxted, N.; Coyne, C.J.; Domoney, C.; Burstin, J.; Bouchenak-Khelladi, Y.; Chayut, N. The taxonomic status of genera within the Fabeae (Vicieae), with a special focus on Pisum. Diversity 2024, 16, 365. [Google Scholar] [CrossRef]
- Akopian, J.A.; Ghukasyan, A.G.; Gabrielyan, I.G.; Hovakimyan, Z.H.; Martirosyan, L.Y. High mountain perennial pea Vavilovia formosa (Steven) Fed.—A review of its study in Armenia. Vavilovia 2022, 5, 3–22. [Google Scholar] [CrossRef]
- Smýkal, P.; Chaloupská, M.; Bariotakis, M.; Marečková, L.; Sinjushin, A.; Gabrielyan, I.; Akopian, J.; Toker, C.; Kenicer, G.; Kitner, M.; et al. Spatial patterns and intraspecific diversity of the glacial relict legume species Vavilovia formosa (Stev.) Fed. in Eurasia. Plant Syst. Evol. 2017, 303, 267–282. [Google Scholar] [CrossRef]
- Mikic, A.; Smykal, P.; Kenicer, G.; Vishnyakova, M.; Akopian, J.; Sarukhanyan, N.; Gabrielyan, I.; Vanyan, A.; Toker, C.; Cupina, B.; et al. A revival of the research on beautiful vavilovia (Vavilovia formosa syn. Pisum formosum). Pisum Genet. 2009, 41, 34–39. [Google Scholar]
- Kimeklis, A.K.; Safronova, V.I.; Kuznetsova, I.G.; Sazanova, A.L.; Belimov, A.A.; Pinaev, A.G.; Chizhevskaya, E.P.; Pukhaev, A.R.; Popov, K.P.; Andronov, E.E. Phylogenetic analysis of Rhizobium strains, isolated from nodules of Vavilovia formosa (Stev.) Fed. Agric. Biol. 2015, 50, 655–664. [Google Scholar] [CrossRef]
- Kimeklis, A.K.; Chirak, E.R.; Kuznetsova, I.G.; Sazanova, A.L.; Safronova, V.I.; Belimov, A.A.; Onishchuk, O.P.; Kurchak, O.N.; Aksenova, T.S.; Pinaev, A.G.; et al. Rhizobia isolated from the relict legume Vavilovia formosa represent a genetically specific group within Rhizobium leguminosarum biovar viciae. Genes 2019, 10, 991. [Google Scholar] [CrossRef]
- Chirak, E.R.; Kimeklis, A.K.; Karasev, E.S.; Kopat, V.V.; Safronova, V.I.; Belimov, A.A.; Aksenova, T.S.; Kabilov, M.R.; Provorov, N.A.; Andronov, E.E. Search for ancestral features in genomes of Rhizobium leguminosarum bv. viciae strains isolated from the relict legume Vavilovia formosa. Genes 2019, 10, 990. [Google Scholar] [CrossRef]
- Brewin, N.J. Development of the legume root nodule. Annu. Rev. Cell Biol. 1991, 7, 191–226. [Google Scholar] [CrossRef]
- Gage, D.J. Infection and invasion of roots by symbiotic, nitrogen-fixing rhizobia during nodulation of temperate legumes. Microbiol. Mol. Biol. Rev. 2004, 68, 280–300. [Google Scholar] [CrossRef]
- Tsyganova, A.V.; Kitaeva, A.B.; Tsyganov, V.E. Cell differentiation in nitrogen-fixing nodules hosting symbiosomes. Funct. Plant Biol. 2018, 45, 47–57. [Google Scholar] [CrossRef]
- Coba de la Peña, T.; Fedorova, E.; Pueyo, J.J.; Lucas, M.M. The symbiosome: Legume and rhizobia co-evolution toward a nitrogen-fixing organelle? Front. Plant Sci. 2018, 8, 2229. [Google Scholar] [CrossRef] [PubMed]
- Van de Velde, W.; Guerra, J.C.P.; Keyser, A.D.; De Rycke, R.; Rombauts, S.; Maunoury, N.; Mergaert, P.; Kondorosi, E.; Holsters, M.; Goormachtig, S. Aging in legume symbiosis. A molecular view on nodule senescence in Medicago truncatula. Plant Physiol. 2006, 141, 711–720. [Google Scholar] [CrossRef] [PubMed]
- Dixon, R.O.D. The structure of infection threads, bacteria and bacteroids in pea and clover root nodules. Arch. Mikrobiol. 1964, 48, 166–178. [Google Scholar] [CrossRef]
- Newcomb, W. A correlated light and electron microscopic study of symbiotic growth and differentiation in Pisum sativum root nodules. Can. J. Bot. 1976, 54, 2163–2186. [Google Scholar] [CrossRef]
- Vasse, J.; de Billy, F.; Camut, S.; Truchet, G. Correlation between ultrastructural differentiation of bacteroids and nitrogen fixation in alfalfa nodules. J. Bacteriol. 1990, 172, 4295–4306. [Google Scholar] [CrossRef]
- Skawińska, M.; Sańko-Sawczenko, I.; Czarnocka, W.; Łotocka, B. Organization and ultrastructure of Medicago truncatula root nodule meristem. In The Model Legume Medicago truncatula; Wiley: Hoboken, NJ, USA, 2020; pp. 726–740. [Google Scholar] [CrossRef]
- Jordan, D.C.; Grinyer, I.; Coulter, W.H. Electron microscopy of infection threads and bacteria in young root nodules of Medicago sativa. J. Bacteriol. 1963, 86, 125–137. [Google Scholar] [CrossRef] [PubMed]
- Dello Jacovo, E.; Valentine, T.A.; Maluk, M.; Toorop, P.; Lopez del Egido, L.; Frachon, N.; Kenicer, G.; Park, L.; Goff, M.; Ferro, V.A.; et al. Towards a characterisation of the wild legume bitter vetch (Lathyrus linifolius L. (Reichard) Bässler): Heteromorphic seed germination, root nodule structure and N-fixing rhizobial symbionts. Plant Biol. 2019, 21, 523–532. [Google Scholar] [CrossRef]
- Nap, J.-P.; Van de Wiel, C.; Spaink, H.; Moerman, M.; Van den Heuvel, M.; Djordjevic, M.; van Lammeren, A.; Van Kammen, A.; Bisseling, T. The relationship between nodulin gene expression and the Rhizobium nod genes in Vicia sativa root nodule development. Mol. Plant-Microbe Interact. 1989, 2, 53–63. [Google Scholar] [CrossRef] [PubMed]
- Abd-Alla, M.H.; Koyro, H.-W.; Yan, F.; Schubert, S.; Peiter, E. Functional structure of the indeterminate Vicia faba L. root nodule: Implications for metabolite transport. J. Plant Physiol. 2000, 157, 335–343. [Google Scholar] [CrossRef]
- Tsyganov, V.E.; Morzhina, E.V.; Stefanov, S.Y.; Borisov, A.Y.; Lebsky, V.K.; Tikhonovich, I.A. The pea (Pisum sativum L.) genes sym33 and sym40 control infection thread formation and root nodule function. Mol. Gen. Genet. 1998, 259, 491–503. [Google Scholar] [CrossRef]
- Łotocka, B.; Kopcińska, J.; Skalniak, M. Review article: The meristem in indeterminate root nodules of Faboideae. Symbiosis 2012, 58, 63–72. [Google Scholar] [CrossRef]
- Newcomb, W.; Wood, S.M. Fine structure of nitrogen-fixing leguminous root nodules from the Canadian Arctic. Nord. J. Bot. 1986, 6, 609–626. [Google Scholar] [CrossRef]
- Bal, A.K.; Khetmalas, M.B. Pre- and postwinter changes in the root nodules of Lathyrus maritimus (L.) Bigel. with special reference to storage organelles. Int. J. Plant Sci. 1996, 157, 432–439. [Google Scholar] [CrossRef]
- Rae, A.L.; Bonfante-Fasolo, P.; Brewin, N.J. Structure and growth of infection threads in the legume symbiosis with Rhizobium leguminosarum. Plant J. 1992, 2, 385–395. [Google Scholar] [CrossRef]
- Rubio, M.C.; James, E.K.; Clemente, M.R.; Bucciarelli, B.; Fedorova, M.; Vance, C.P.; Becana, M. Localization of superoxide dismutases and hydrogen peroxide in legume root nodules. Mol. Plant Microbe Interact. 2004, 17, 1294–1305. [Google Scholar] [CrossRef]
- Novák, K.; Pešina, K.; Nebesářová, J.; Škrdleta, V.; Lisá, L.; Našinec, V. Symbiotic tissue degradation pattern in the ineffective nodules of three nodulation mutants of pea (Pisum sativum L.). Ann. Bot. 1995, 76, 303–313. [Google Scholar] [CrossRef]
- Limpens, E.; Mirabella, R.; Fedorova, E.; Franken, C.; Franssen, H.; Bisseling, T.; Geurts, R. Formation of organelle-like N2-fixing symbiosomes in legume root nodules is controlled by DMI2. Proc. Natl. Acad. Sci. USA 2005, 102, 10375–10380. [Google Scholar] [CrossRef]
- Sujkowska-Rybkowska, M.; Borucki, W. Pectins esterification in the apoplast of aluminum-treated pea root nodules. J. Plant Physiol. 2015, 184, 1–7. [Google Scholar] [CrossRef]
- Sujkowska-Rybkowska, M.; Borucki, W. Accumulation and localization of extensin protein in apoplast of pea root nodule under aluminum stress. Micron 2014, 67, 10–19. [Google Scholar] [CrossRef]
- Gorshkov, A.P.; Kusakin, P.G.; Borisov, Y.G.; Tsyganova, A.V.; Tsyganov, V.E. Effect of triazole fungicides Titul Duo and Vintage on the development of pea (Pisum sativum L.) symbiotic nodules. Int. J. Mol. Sci. 2023, 24, 8646. [Google Scholar] [CrossRef]
- van Rhijn, P.; Fujishige, N.A.; Lim, P.O.; Hirsch, A.M. Sugar-binding activity of pea lectin enhances heterologous infection of transgenic alfalfa plants by Rhizobium leguminosarum biovar viciae. Plant Physiol. 2001, 126, 133–144. [Google Scholar] [CrossRef]
- Marczak, M.; Mazur, A.; Koper, P.; Żebracki, K.; Skorupska, A. Synthesis of rhizobial exopolysaccharides and their importance for symbiosis with legume plants. Genes 2017, 8, 360. [Google Scholar] [CrossRef]
- Acosta-Jurado, S.; Fuentes-Romero, F.; Ruiz-Sainz, J.-E.; Janczarek, M.; Vinardell, J.-M. Rhizobial exopolysaccharides: Genetic regulation of their synthesis and relevance in symbiosis with legumes. Int. J. Mol. Sci. 2021, 22, 6233. [Google Scholar] [CrossRef]
- Margaret-Oliver, I.; Lei, W.; Parada, M.; Rodríguez-Carvajal, M.A.; Crespo-Rivas, J.C.; Hidalgo, Á.; Gil-Serrano, A.; Moreno, J.; Rodríguez-Navarro, D.N.; Buendía-Clavería, A.; et al. Sinorhizobium fredii HH103 does not strictly require KPS and/or EPS to nodulate Glycyrrhiza uralensis, an indeterminate nodule-forming legume. Arch. Microbiol. 2012, 194, 87–102. [Google Scholar] [CrossRef] [PubMed]
- Gavrin, A.; Kaiser, B.N.; Geiger, D.; Tyerman, S.D.; Wen, Z.; Bisseling, T.; Fedorova, E.E. Adjustment of host cells for accommodation of symbiotic bacteria: Vacuole defunctionalization, HOPS suppression, and TIP1g retargeting in Medicago. Plant Cell 2014, 26, 3809–3822. [Google Scholar] [CrossRef] [PubMed]
- Newcomb, W.; Syono, K.; Torrey, J.G. Development of an ineffective pea root nodule: Morphogenesis, fine structure, and cytokinin biosynthesis. Can. J. Bot. 1977, 55, 1891–1907. [Google Scholar] [CrossRef]
- Limpens, E.; Ivanov, S.; van Esse, W.; Voets, G.; Fedorova, E.; Bisseling, T. Medicago N2-fixing symbiosomes acquire the endocytic identity marker Rab7 but delay the acquisition of vacuolar identity. Plant Cell 2009, 21, 2811–2828. [Google Scholar] [CrossRef]
- Xiao, T.T.; Schilderink, S.; Moling, S.; Deinum, E.E.; Kondorosi, E.; Franssen, H.; Kulikova, O.; Niebel, A.; Bisseling, T. Fate map of Medicago truncatula root nodules. Development 2014, 141, 3517–3528. [Google Scholar] [CrossRef]
- Forrest, S.I.; Verma, D.P.S.; Dhindsa, R.S. Starch content and activities of starch-metabolizing enzymes in effective and ineffective root nodules of soybean. Can. J. Bot. 1991, 69, 697–701. [Google Scholar] [CrossRef]
- Chinnasamy, G.; Bal, A.K. Seasonal changes in carbohydrates of perennial root nodules of beach pea. J. Plant Physiol. 2003, 160, 1185–1192. [Google Scholar] [CrossRef] [PubMed]
- Hirsch, A.M.; Smith, C.A. Effects of Rhizobium meliloti nif and fix mutants on alfalfa root nodule development. J. Bacteriol. 1987, 169, 1137–1146. [Google Scholar] [CrossRef]
- Prell, J.; White, J.P.; Bourdes, A.; Bunnewell, S.; Bongaerts, R.J.; Poole, P.S. Legumes regulate Rhizobium bacteroid development and persistence by the supply of branched-chain amino acids. Proc. Natl. Acad. Sci. USA 2009, 106, 12477–12482. [Google Scholar] [CrossRef] [PubMed]
- Gnat, S.; Małek, W.; Oleńska, E.; Wdowiak-Wróbel, S.; Kalita, M.; Łotocka, B.; Wójcik, M. Phylogeny of symbiotic genes and the symbiotic properties of rhizobia specific to Astragalus glycyphyllos L. PLoS ONE 2015, 10, e0141504. [Google Scholar] [CrossRef]
- Matamoros, M.A.; Baird, L.M.; Escuredo, P.R.; Dalton, D.A.; Minchin, F.R.; Iturbe-Ormaetxe, I.a.; Rubio, M.C.; Moran, J.F.; Gordon, A.J.; Becana, M. Stress-induced legume root nodule senescence. Physiological, biochemical, and structural alterations. Plant Physiol. 1999, 121, 97–112. [Google Scholar] [CrossRef]
- Vedam, V.; Haynes, J.G.; Kannenberg, E.L.; Carlson, R.W.; Sherrier, D.J. A Rhizobium leguminosarum lipopolysaccharide lipid-A mutant induces nitrogen-fixing nodules with delayed and defective bacteroid formation. Mol. Plant Microbe Interact. 2004, 17, 283–291. [Google Scholar] [CrossRef]
- Bourassa, D.V.; Kannenberg, E.L.; Sherrier, D.J.; Buhr, R.J.; Carlson, R.W. The lipopolysaccharide lipid A long-chain fatty acid is important for Rhizobium leguminosarum growth and stress adaptation in free-living and nodule environments. Mol. Plant Microbe Interact. 2017, 30, 161–175. [Google Scholar] [CrossRef] [PubMed]
- Webb, I.U.C.; Xu, J.; Sánchez-Cañizares, C.; Karunakaran, R.; Ramachandran, V.K.; Rutten, P.J.; East, A.K.; Huang, W.E.; Watmough, N.J.; Poole, P.S. Regulation and characterization of mutants of fixABCX in Rhizobium leguminosarum. Mol. Plant Microbe Interact. 2021, 34, 1167–1180. [Google Scholar] [CrossRef]
- Lodwig, E.M.; Leonard, M.; Marroqui, S.; Wheeler, T.R.; Findlay, K.; Downie, J.A.; Poole, P.S. Role of polyhydroxybutyrate and glycogen as carbon storage compounds in pea and bean bacteroids. Mol. Plant Microbe Interact. 2005, 18, 67–74. [Google Scholar] [CrossRef][Green Version]
- Serova, T.A.; Kusakin, P.G.; Kitaeva, A.B.; Seliverstova, E.V.; Gorshkov, A.P.; Romanyuk, D.A.; Zhukov, V.A.; Tsyganova, A.V.; Tsyganov, V.E. Effects of elevated temperature on Pisum sativum nodule development: I—Detailed characteristic of unusual apical senescence. Int. J. Mol. Sci. 2023, 24, 17144. [Google Scholar] [CrossRef]
- Tsyganova, A.V.; Kitaeva, A.B.; Gorshkov, A.P.; Kusakin, P.G.; Sadovskaya, A.R.; Borisov, Y.G.; Tsyganov, V.E. Glycyrrhiza uralensis nodules: Histological and ultrastructural organization and tubulin cytoskeleton dynamics. Agronomy 2021, 11, 2508. [Google Scholar] [CrossRef]
- Elliott, G.N.; Chen, W.-M.; Bontemps, C.; Chou, J.-H.; Young, J.P.W.; Sprent, J.I.; James, E.K. Nodulation of Cyclopia spp. (Leguminosae, Papilionoideae) by Burkholderia tuberum. Ann. Bot. 2007, 100, 1403–1411. [Google Scholar] [CrossRef]
- Gross, E.; Cordeiro, L.; Caetano, F.H. Nodule ultrastructure and initial growth of Anadenanthera peregrina (L.) Speg. var. falcata (Benth.) altschul plants infected with rhizobia. Ann. Bot. 2002, 90, 175–183. [Google Scholar] [CrossRef] [PubMed]
- Mandon, K.; Michel-Reydellet, N.; Encarnación, S.; Kaminski, P.A.; Leija, A.; Cevallos, M.A.; Elmerich, C.; Mora, J. Poly-β-hydroxybutyrate turnover in Azorhizobium caulinodans is required for growth and affects nifA expression. J. Bacteriol. 1998, 180, 5070–5076. [Google Scholar] [CrossRef] [PubMed]
- Dahiya, P.; Kardailsky, I.V.; Brewin, N.J. Immunolocalization of PsNLEC-1, a lectin-like glycoprotein expressed in developing pea nodules. Plant Physiol. 1997, 115, 1431–1442. [Google Scholar] [CrossRef] [PubMed][Green Version]
- Bolaños, L.; Cebrián, A.; Redondo-Nieto, M.; Rivilla, R.; Bonilla, I. Lectin-like glycoprotein PsNLEC-1 is not correctly glycosylated and targeted in boron-deficient pea nodules. Mol. Plant Microbe Interact. 2001, 14, 663–670. [Google Scholar] [CrossRef] [PubMed]
- Terpolilli, J.J.; Masakapalli, S.K.; Karunakaran, R.; Webb, I.U.C.; Green, R.; Watmough, N.J.; Kruger, N.J.; Ratcliffe, R.G.; Poole, P.S. Lipogenesis and redox balance in nitrogen-fixing pea bacteroids. J. Bacteriol. 2016, 198, 2864–2875. [Google Scholar] [CrossRef]
- Craig, A.S.; Greenwood, R.M.; Williamson, K.I. Ultrastructural inclusions of rhizobial bacteroids of Lotus nodules and their taxonomic significance. Arch. Mikrobiol. 1973, 89, 23–32. [Google Scholar] [CrossRef]
- Craig, A.S.; Williamson, K.I. Three inclusions of rhizobial bacteroids and their cytochemical character. Arch. Mikrobiol. 1972, 87, 165–171. [Google Scholar] [CrossRef]
- Sujkowska, M.; Górska-Czekaj, M.; Bederska, M.; Borucki, W. Vacuolar organization in the nodule parenchyma is important for the functioning of pea root nodules. Symbiosis 2011, 54, 1–16. [Google Scholar] [CrossRef][Green Version]
- Onishchuk, O.P.; Kurchak, O.N.; Kimeklis, A.K.; Aksenova, T.S.; Andronov, E.E.; Provorov, N.A. Biodiversity of the symbiotic systems formed by nodule bacteria Rhizobium leguminosarum with the leguminous plants of Galegoid complex. Agric. Biol. 2023, 58, 87–99. [Google Scholar] [CrossRef]
- Safronova, V.; Tikhonovich, I. Automated cryobank of microorganisms: Unique possibilities for long-term authorized depositing of commercial microbial strains. In Microbes in Applied Research; World Scientific: Singapore, 2012; pp. 331–334. [Google Scholar] [CrossRef]
- Safronova, V.I.; Novikova, N.I. Comparison of two methods for root nodule bacteria preservation: Lyophilization and liquid nitrogen freezing. J. Microbiol. Methods 1996, 24, 231–237. [Google Scholar] [CrossRef]
- Young, J.P.W.; Moeskjær, S.; Afonin, A.; Rahi, P.; Maluk, M.; James, E.K.; Cavassim, M.I.A.; Rashid, M.H.-o.; Aserse, A.A.; Perry, B.J.; et al. Defining the Rhizobium leguminosarum species complex. Genes 2021, 12, 111. [Google Scholar] [CrossRef] [PubMed]
- Winarno, R.; Lie, T.A. Competition between Rhizobium strains in nodule formation: Interaction between nodulating and non-nodulating strains. Plant Soil 1979, 51, 135–142. [Google Scholar] [CrossRef]
- Provorov, N.A.; Simarov, B.V. Genetic variation in alfalfa, sweet clover and fenugreek for the activity of symbiosis with Rhizobium meliloti. Plant Breed. 1990, 105, 300–310. [Google Scholar] [CrossRef]
- Humphrey, C.D.; Pittman, F.E. A simple methylene blue-azure II-basic fuchsin stain for epoxy-embedded tissue sections. Stain. Technol. 1974, 49, 9–14. [Google Scholar] [CrossRef]










| Strain, Rhizobium Species | Origin, Host Plant | References |
|---|---|---|
| Vaf-12 Rhizobium leguminosarum sv. viciae | North Ossetia, Russia, Vavilovia formosa | [10] |
| Vaf-108 Rhizobium leguminosarum sv. viciae | Dagestan, Russia, Vavilovia formosa | [12] |
| RCAM1026 (=CIAM 1026) 1, Rhizobium ruizarguesonis | Kostanay Region, Kazakhstan, Pisum sativum | [68,69] |
| TOM Rhizobium leguminosarum sv. viciae | Turkey, Pisum sativum, cv. Afghanistan | [70] |
Disclaimer/Publisher’s Note: The statements, opinions and data contained in all publications are solely those of the individual author(s) and contributor(s) and not of MDPI and/or the editor(s). MDPI and/or the editor(s) disclaim responsibility for any injury to people or property resulting from any ideas, methods, instructions or products referred to in the content. |
© 2025 by the authors. Licensee MDPI, Basel, Switzerland. This article is an open access article distributed under the terms and conditions of the Creative Commons Attribution (CC BY) license (https://creativecommons.org/licenses/by/4.0/).
Share and Cite
Tsyganova, A.V.; Gorshkov, A.P.; Kimeklis, A.K.; Onishchuk, O.P.; Vorobiev, M.G.; Andronov, E.E.; Tsyganov, V.E. Morphology of Vavilovia formosa (Steven) Fed. Nodules Induced by Different Rhizobia Strains. Plants 2025, 14, 3764. https://doi.org/10.3390/plants14243764
Tsyganova AV, Gorshkov AP, Kimeklis AK, Onishchuk OP, Vorobiev MG, Andronov EE, Tsyganov VE. Morphology of Vavilovia formosa (Steven) Fed. Nodules Induced by Different Rhizobia Strains. Plants. 2025; 14(24):3764. https://doi.org/10.3390/plants14243764
Chicago/Turabian StyleTsyganova, Anna V., Artemii P. Gorshkov, Anastasiia K. Kimeklis, Olga P. Onishchuk, Maxim G. Vorobiev, Evgeny E. Andronov, and Viktor E. Tsyganov. 2025. "Morphology of Vavilovia formosa (Steven) Fed. Nodules Induced by Different Rhizobia Strains" Plants 14, no. 24: 3764. https://doi.org/10.3390/plants14243764
APA StyleTsyganova, A. V., Gorshkov, A. P., Kimeklis, A. K., Onishchuk, O. P., Vorobiev, M. G., Andronov, E. E., & Tsyganov, V. E. (2025). Morphology of Vavilovia formosa (Steven) Fed. Nodules Induced by Different Rhizobia Strains. Plants, 14(24), 3764. https://doi.org/10.3390/plants14243764

