Acute and Subacute Oral Toxicity Assessment of Kinkeliba (Combretum micranthum G. Don) Ethanolic Extract in BALB/c Mice
Abstract
1. Introduction
2. Results
2.1. Extraction Yield
2.2. Phenolic Composition of the Ethanolic Extract of Combretum micranthum
2.3. Acute Toxicity
2.3.1. Zootechnical Parameters
2.3.2. Organ Weight
2.3.3. Biochemical Parameters
2.3.4. Hematological Parameters
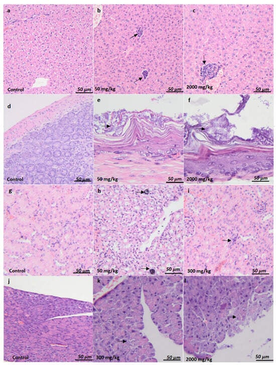
2.3.5. Histopathological Analysis
2.4. Sub-Chronic Toxicity
2.4.1. Zootechnical Parameters
2.4.2. Organ Weight
2.4.3. Hematological Analysis of Female Mice in BALB/c
2.4.4. Hematological Analysis of Male Mice in BALB/c
2.4.5. Biochemical Analysis in Female BALB/c Mice
2.4.6. Biochemical Analysis in Male BALB/c Mice
2.4.7. Histopathological Analysis
3. Discussion
4. Materials and Methods
4.1. Plant Material
4.1.1. Harvesting and Identification
4.1.2. Preparation of the Ethanolic Leaf Extract
4.1.3. Phenolic Compound Characterization by HPLC-DAD-ESI/MS
4.2. Experimental Animals
4.2.1. Acute Oral Toxicity Assessment (14 Days)
4.2.2. Subacute Oral Toxicity Assessment (28 Days)
4.3. Anesthesia and Euthanasia Procedures
4.4. Blood and Organ Sampling
4.5. Hematological and Biochemical Analyses
4.6. Histopathological Analysis
4.7. Statistical Analysis
5. Conclusions
Author Contributions
Funding
Data Availability Statement
Conflicts of Interest
References
- Tine, Y.; Sene, M.; Gaye, C.; Diallo, A.; Ndiaye, B.; Ndoye, I.; Wele, A. Combretum Micranthum G. Don (Combretaceae): A Review on Traditional Uses, Phytochemistry, Pharmacology and Toxicology. Chem. Biodivers. 2024, 21, e202301606. [Google Scholar] [CrossRef]
- World Health Organization. Directives OMS Sur Les Bonnes Pratiques Agricoles et Les Bonnes Pratiques de Récolte (BPAR) Relatives Aux Plantes Médicinales. In Directives OMS sur les Bonnes Pratiques Agricoles et les Bonnes Pratiques de Récolte (BPAR) Relatives aux Plantes Médicinales; World Health Organization: Geneva, Switzerland, 2003. [Google Scholar]
- Eloff, J.N.; Katerere, D.R.; McGaw, L.J. The Biological Activity and Chemistry of the Southern African Combretaceae. J. Ethnopharmacol. 2008, 119, 686–699. [Google Scholar] [CrossRef] [PubMed]
- Dawe, A.; Pierre, S.; Tsala, D.E.; Habtemariam, S. Phytochemical Constituents of Combretum Loefl. (Combretaceae). Pharm. Crop 2013, 4, 38–59. [Google Scholar] [CrossRef]
- Juliani, H.R.; Koelliker, Y.; Bucuk, M.; Welch, C.; Tepper, B.J.; Jefthas, E.; Simon, J.E. Quality and Consumer Studies in the USA of African Herbal Teas for the Natural Product Industry Development in Sub-Sahara Africa; ACS Publications: Washington, DC, USA, 2009; ISBN 1947-5918. [Google Scholar]
- Benoit, F.; Valentin, A.; Pelissier, Y.; Diafouka, F.; Marion, C.; Kone-Bamba, D.; Kone, M.; Mallie, M.; Yapo, A.; Bastide, J.-M. In Vitro Antimalarial Activity of Vegetal Extracts Used in West African Traditional Medicine. Am. J. Trop. Med. Hyg. 1996, 54, 67–71. [Google Scholar] [CrossRef] [PubMed]
- Welch, C.R. Chemistry and Pharmacology of Kinkéliba (Combretum Micranthum), a West African Medicinal Plant; Rutgers The State University of New Jersey, School of Graduate Studies: Piscataway, NJ, USA, 2010; ISBN 1109692099. [Google Scholar]
- Akeem, A.A.; Ejikeme, U.C.; Okarafor, E.U. Antibacterial Potentials of the Ethanolic Extract of the Stem Bark of Combretum Micranthum G. Don and Its Fractions. J. Plant Stud. 2012, 1, 75. [Google Scholar]
- Karou, D.; Dicko, M.H.; Simpore, J.; Traore, A.S. Antioxidant and Antibacterial Activities of Polyphenols from Ethnomedicinal Plants of Burkina Faso. Afr. J. Biotechnol. 2005, 4, 823–828. [Google Scholar]
- Taura, D.; Arzai, A.; Oyeyi, T. Evaluation of Antimicrobial Activities of Combretum Micranthum L. Bayero J. Pure Appl. Sci. 2009, 2, 183–185. [Google Scholar]
- Ferrea, G.; Canessa, A.; Sampietro, F.; Cruciani, M.; Romussi, G.; Bassetti, D. In Vitro Activity of a Combretum Micranthum Extract against Herpes Simplex Virus Types 1 and 2. Antivir. Res. 1993, 21, 317–325. [Google Scholar] [CrossRef]
- Hawa Coulibaly Etude Phytochimique et des Activites Biologiques de Combretum Glutinosum perr ex. dc, Combretum Micranthum g.don et Guiera Senegalensis j. f Gmel (Combretaceae), Utilisees dans la Prise en Charge de L’hypertension Arterielle au Mali; Université des Sciences, des Techniques et des Technologies: Bamako, Mali, 2019.
- Sangare, O. Evaluation de Cochlospermum Tinctorium, Entada Africana et Combretum Micranthum Dans Le Traitement Des Hépatites à Bamako. Ph.D. Thesis, University of Bamako, Bamako, Mali, 2005. [Google Scholar]
- Malgras, D. Arbres et Arbustes Guérisseurs Des Savanes Maliennes; Karthala et ACCT: Paris, France, 1992. [Google Scholar]
- Chika, A.; Bello, S.O. Antihyperglycaemic Activity of Aqueous Leaf Extract of Combretum Micranthum (Combretaceae) in Normal and Alloxan-Induced Diabetic Rats. J. Ethnopharmacol. 2010, 129, 34–37. [Google Scholar] [CrossRef]
- Bhowmik, D.B.D.; Chiranjib, C.; Dubey, P.D.P.; Margret Chandira, M.C.; Kumar, K.P.S. Herbal Drug Toxicity and Safety Evaluation of Traditional Medicines. Arch. Appl. Sci. Res. 2009, 1, 32–56. [Google Scholar]
- Thelingwani, R.; Masimirembwa, C. Evaluation of Herbal Medicines: Value Addition to Traditional Medicines through Metabolism, Pharmacokinetic and Safety Studies. Curr. Drug Metab. 2014, 15, 942–952. [Google Scholar] [CrossRef] [PubMed]
- Muttaka, A.; Abdullahi, J.; Sule, M.S. Toxicological Studies of the Aqueous Leaves Extracts of Combretum Micranthum on Rats. Int. J. Biotechnol. Biochem. 2016, 12, 167–171. [Google Scholar]
- Kpemissi, M.; Metowogo, K.; Melila, M.; Veerapur, V.P.; Negru, M.; Taulescu, M.; Potârniche, A.-V.; Suhas, D.S.; Puneeth, T.A.; Vijayakumar, S. Acute and Subchronic Oral Toxicity Assessments of Combretum Micranthum (Combretaceae) in Wistar Rats. Toxicol. Rep. 2020, 7, 162–168. [Google Scholar] [CrossRef] [PubMed]
- Barnes, K.; Ball, L.; Desbrow, B.; Alsharairi, N.; Ahmed, F. Consumption and Reasons for Use of Dietary Supplements in an Australian University Population. Nutrition 2016, 32, 524–530. [Google Scholar] [CrossRef] [PubMed]
- Shadnia, H.; Wright, J.S. Understanding the Toxicity of Phenols: Using Quantitative Structure—Activity Relationship and Enthalpy Changes to Discriminate between Possible Mechanisms. Chem. Res. Toxicol. 2008, 21, 1197–1204. [Google Scholar] [CrossRef]
- Tsao, R. Chemistry and Biochemistry of Dietary Polyphenols. Nutrients 2010, 2, 1231–1246. [Google Scholar] [CrossRef]
- Gandhi, G.R.; Antony, P.J.; Ceasar, S.A.; Vasconcelos, A.B.S.; Montalvão, M.M.; de Franca, M.N.F.; Resende, A.d.S.; Sharanya, C.S.; Liu, Y.; Hariharan, G. Health Functions and Related Molecular Mechanisms of Ellagitannin-Derived Urolithins. Crit. Rev. Food Sci. Nutr. 2024, 64, 280–310. [Google Scholar] [CrossRef]
- Gesek, J.; Jakimiuk, K.; Atanasov, A.G.; Tomczyk, M. Sanguiins—Promising Molecules with Broad Biological Potential. Int. J. Mol. Sci. 2021, 22, 12972. [Google Scholar] [CrossRef]
- Gonzalez, M.A.; Perez-Guaita, D.; Agudelo-Gomez, L.S.; Tangarife-Castano, V.; Zapata, B.; Betancur-Galvis, L. Synthesis and Biological Evaluation of Combretastatin A-4 and Three Combretastatin-Based Hybrids. Nat. Prod. Commun. 2012, 7, 1934578X1200700822. [Google Scholar] [CrossRef]
- Yan, F.; Cheng, D.; Wang, H.; Gao, M.; Zhang, J.; Cheng, H.; Wang, C.; Zhang, H.; Xiong, H. Corilagin Ameliorates Con A-Induced Hepatic Injury by Restricting M1 Macrophage Polarization. Front. Immunol. 2022, 12, 807509. [Google Scholar] [CrossRef]
- Liu, F.-C.; Yu, H.-P.; Chou, A.-H.; Lee, H.-C.; Liao, C.-C. Corilagin Reduces Acetaminophen-Induced Hepatotoxicity through MAPK and NF-ΚB Signaling Pathway in a Mouse Model. Am. J. Transl. Res. 2020, 12, 5597. [Google Scholar] [PubMed]
- Evtyugin, D.D.; Magina, S.; Evtuguin, D.V. Recent Advances in the Production and Applications of Ellagic Acid and Its Derivatives. A Review. Molecules 2020, 25, 2745. [Google Scholar] [CrossRef] [PubMed]
- Xiang, Z.; Guan, H.; Zhao, X.; Xie, Q.; Xie, Z.; Cai, F.; Dang, R.; Li, M.; Wang, C. Dietary Gallic Acid as an Antioxidant: A Review of Its Food Industry Applications, Health Benefits, Bioavailability, Nano-Delivery Systems, and Drug Interactions. Food Res. Int. 2024, 180, 114068. [Google Scholar] [CrossRef] [PubMed]
- Zannou, O.; Pashazadeh, H.; Ibrahim, S.A.; Koca, I.; Galanakis, C.M. Green and Highly Extraction of Phenolic Compounds and Antioxidant Capacity from Kinkeliba (Combretum Micranthum G. Don) by Natural Deep Eutectic Solvents (NADESs) Using Maceration, Ultrasound-Assisted Extraction and Homogenate-Assisted Extraction. Arab. J. Chem. 2022, 15, 103752. [Google Scholar] [CrossRef]
- Otsuki, M. Usefulness of Amylase Isoenzyme Determination for the Diagnosis of Pancreatic Diseases. Nihon Rinsho 1995, 53, 1184–1191. [Google Scholar]
- Mauvais-Jarvis, F.; Berthold, H.K.; Campesi, I.; Carrero, J.-J.; Dhakal, S.; Franconi, F.; Gouni-Berthold, I.; Heiman, M.L.; Kautzky-Willer, A.; Klein, S.L. Sex-and Gender-Based Pharmacological Response to Drugs. Pharmacol. Rev. 2021, 73, 730–762. [Google Scholar] [CrossRef]
- Galati, G.; O’brien, P.J. Potential Toxicity of Flavonoids and Other Dietary Phenolics: Significance for Their Chemopreventive and Anticancer Properties. Free. Radic. Biol. Med. 2004, 37, 287–303. [Google Scholar] [CrossRef]
- Adnyana, I.K.; Tezuka, Y.; Banskota, A.H.; Tran, K.Q.; Kadota, S. Hepatoportective Constituents of the Seeds of Combretum Quadrangulare. Biol. Pharm. Bull. 2000, 23, 1328–1332. [Google Scholar] [CrossRef]
- Van Hoof, V.O.; De Broe, M.E. Interpretation and Clinical Significance of Alkaline Phosphatase Isoenzyme Patterns. Crit. Rev. Clin. Lab. Sci. 1994, 31, 197–293. [Google Scholar] [CrossRef]
- Adebisi, I.; Ugwah-Oguejiofor, C. In Vivo Hepatoprotective Effect of Combretum Micranthum Leave Extract. FASEB J. 2021, 35, 02288. [Google Scholar] [CrossRef]
- Soldin, O.P.; Mattison, D.R. Sex Differences in Pharmacokinetics and Pharmacodynamics. Clin. Pharmacokinet. 2009, 48, 143–157. [Google Scholar] [CrossRef]
- Amirghofran, Z.; Bahmani, M.; Azadmehr, A.; Javidnia, K.; Miri, R. Immunomodulatory Activities of Various Medicinal Plant Extracts: Effects on Human Lymphocytes Apoptosis. Immunol. Investig. 2009, 38, 181–192. [Google Scholar] [CrossRef]
- Son, Y.-O.; Kook, S.-H.; Lee, J.-C. Glycoproteins and Polysaccharides Are the Main Class of Active Constituents Required for Lymphocyte Stimulation and Antigen-Specific Immune Response Induction by Traditional Medicinal Herbal Plants. J. Med. Food 2017, 20, 1011–1021. [Google Scholar] [CrossRef]
- Khalid, W.; Arshad, M.S.; Ranjha, M.M.A.N.; Różańska, M.B.; Irfan, S.; Shafique, B.; Rahim, M.A.; Khalid, M.Z.; Abdi, G.; Kowalczewski, P.Ł. Functional Constituents of Plant-Based Foods Boost Immunity against Acute and Chronic Disorders. Open Life Sci. 2022, 17, 1075–1093. [Google Scholar] [CrossRef]
- Rodríguez-Negrete, E.V.; Morales-González, Á.; Madrigal-Santillán, E.O.; Sánchez-Reyes, K.; Álvarez-González, I.; Madrigal-Bujaidar, E.; Valadez-Vega, C.; Chamorro-Cevallos, G.; Garcia-Melo, L.F.; Morales-González, J.A. Phytochemicals and Their Usefulness in the Maintenance of Health. Plants 2024, 13, 523. [Google Scholar] [CrossRef]
- Goronzy, J.J.; Weyand, C.M. Immune Aging and Autoimmunity. Cell. Mol. Life Sci. 2012, 69, 1615–1623. [Google Scholar] [CrossRef]
- Coviello, A.D.; Kaplan, B.; Lakshman, K.M.; Chen, T.; Singh, A.B.; Bhasin, S. Effects of Graded Doses of Testosterone on Erythropoiesis in Healthy Young and Older Men. J. Clin. Endocrinol. Metab. 2008, 93, 914–919. [Google Scholar] [CrossRef]
- Barbosa, B.d.S.; Praxedes, É.A.; Lima, M.A.; Pimentel, M.M.L.; Santos, F.A.; Brito, P.D.; Lelis, I.C.N.G.; de Macedo, M.F.; Bezerra, M.B. Haematological and Biochemical Profile of Balb-c Mice. Acta Sci. Vet. 2017, 45, 5. [Google Scholar] [CrossRef]
- Dupuis, M.; Severin, S.; Noirrit-Esclassan, E.; Arnal, J.-F.; Payrastre, B.; Valéra, M.-C. Effects of Estrogens on Platelets and Megakaryocytes. Int. J. Mol. Sci. 2019, 20, 3111. [Google Scholar] [CrossRef]
- Aigner, B. Analysis of the Sex-Specific Variability of Blood Parameters in Data Sets of the Mouse Phenome Database. BMC Res. Notes 2021, 14, 322. [Google Scholar] [CrossRef]
- Li, S.; Tan, H.-Y.; Wang, N.; Zhang, Z.-J.; Lao, L.; Wong, C.-W.; Feng, Y. The Role of Oxidative Stress and Antioxidants in Liver Diseases. Int. J. Mol. Sci. 2015, 16, 26087–26124. [Google Scholar] [CrossRef]
- Yang, J.; Zhou, X.; Liu, X.; Ling, Z.; Ji, F. Role of the Gastric Microbiome in Gastric Cancer: From Carcinogenesis to Treatment. Front. Microbiol. 2021, 12, 641322. [Google Scholar] [CrossRef]
- Bakand, S.; Hayes, A. Toxicological Considerations, Toxicity Assessment, and Risk Management of Inhaled Nanoparticles. Int. J. Mol. Sci. 2016, 17, 929. [Google Scholar] [CrossRef]
- Marty, F. Plant Vacuoles. Plant Cell 1999, 11, 587–599. [Google Scholar] [CrossRef]
- Aki, T.; Nara, A.; Uemura, K. Cytoplasmic Vacuolization during Exposure to Drugs and Other Substances. Cell Biol. Toxicol. 2012, 28, 125–131. [Google Scholar] [CrossRef]
- Wiederkehr, A.; Wollheim, C.B. Mitochondrial Signals Drive Insulin Secretion in the Pancreatic β-Cell. Mol. Cell Endocrinol. 2012, 353, 128–137. [Google Scholar] [CrossRef]
- Călinoiu, L.F.; Vodnar, D.C. Thermal Processing for the Release of Phenolic Compounds from Wheat and Oat Bran. Biomolecules 2019, 10, 21. [Google Scholar] [CrossRef]
- OECD Guidance Document on Acute Oral Toxicity Testing; OECD Publishing: Paris, France, 2002.
- Hariyanto, H.; Widiastuti, M.; Pandrya, C.O.; Surya, K.A.; Audi, W. Comparison of Desflurane and Sevoflurane as Maintenance Inhalational Anaesthetic Agents for Adult Patients Undergoing Neurosurgeries: A Systematic Review and Meta-Analysis of Randomised Trials. Indian. J. Anaesth. 2025, 69, 65–77. [Google Scholar] [CrossRef]
- Oecd/Ocde 412 Oecd Guidelines on The Testing of Chemicals 28-Day (Subacute) Inhalation Toxicity Study; OECD Publishing: Paris, France, 2018.
- Ekor, M. The Growing Use of Herbal Medicines: Issues Relating to Adverse Reactions and Challenges in Monitoring Safety. Front. Pharmacol. 2014, 4, 177. [Google Scholar] [CrossRef]
- Cesarovic, N.; Nicholls, F.; Rettich, A.; Kronen, P.; Hässig, M.; Jirkof, P.; Arras, M. Isoflurane and Sevoflurane Provide Equally Effective Anaesthesia in Laboratory Mice. Lab. Anim. 2010, 44, 329–336. [Google Scholar] [CrossRef]
- 2010/63/EU; European Parliament AU-Council of the European Union PY-TI-Directive 2010/63/EU of the European Parliament and of the Council of 22 September 2010 on the Protection of Animals Used for Scientific Purposes. European Parliament AU-Council of the European Union: Brussels, Belgium, 2010.





| Plant Material | Initial Mass of Plant (g) | Mass of Dry Extract (g) | Yield (%) |
|---|---|---|---|
| Combretum micranthum | 100 | 17.34 | 17.34 |
| Phenolic Compounds | Subclass | Rt (min) | λmax (nm) | [M+H]+ (m/z) | Extract (mg/g) | |
|---|---|---|---|---|---|---|
| 1 | Gallic acid | Hydroxybenzoic acid | 4.70 | 275 | 171 | 4.80 |
| 2 | Protocatechuic acid | Hydroxybenzoic acid | 9.01 | 280 | 155 | 14.14 |
| 3 | 1,6-Digalloyl-glucose | Gallotannin | 13.16 | 280 | 485 | 5.82 |
| 4 | Ellagic acid-arabinoside | Hydroxybenzoic acid | 13.93 | 270, 360 | 435 | 14.04 |
| 5 | Ellagic acid-glucoside | Hydroxybenzoic acid | 14.43 | 270, 360 | 465 | 8.08 |
| 6 | Sanguiin H-4 | Ellagitannin | 15.14 | 270, 360 | 635 | 102.56 |
| 7 | Corilagin | Ellagitannin | 16.22 | 270, 360 | 635 | 63.29 |
| 8 | Ellagic acid | Hydroxybenzoic acid | 16.63 | 270, 360 | 303 | 12.10 |
| 9 | Combretastatin B1 | Stilbene | 22.69 | 275 | 335 | 68.71 |
| Total phenolics (mg/g) | 293.54 |
| Organs(g) | Control | 50 mg/kg | 300 mg/kg | 2000 mg/kg |
|---|---|---|---|---|
| Lung | 0.25 ± 0.03 | 0.25 ± 0.03 | 0.25 ± 0.02 | 0.25 ± 0.01 |
| Spleen | 0.09 ± 0.01 | 0.09 ± 0,01 | 0.09 ± 0.0 | 0.09 ± 0 |
| Kidney | 0.25 ± 0.04 | 0.25 ± 0.02 | 0.25 ± 0.02 | 0.25 ± 0.04 |
| Liver | 0.96 ± 0 | 0.96 ± 0.07 | 0.96 ± 0.01 | 0.96 ± 0.05 |
| Heart | 0.13 ± 0.03 | 0.13 ± 0.06 | 0.13 ± 0.04 | 0.13 ± 0 |
| Parameters | Control | 50 mg/kg | 300 mg/kg | 2000 mg/kg |
|---|---|---|---|---|
| ALB (g/dL) | 3.15 ± 0.07 | 3.10 ± 0.15 | 3.16 ± 0.05 | 3.10 ± 0.14 |
| TP (g/dL) | 5.20 ± 0.14 | 5.25 ± 0.07 | 5.20 ± 0.14 | 5.20 ± 0.28 |
| GLOB (g/dL) | 2.20 ± 0.10 | 2.20 ± 0.07 | 2.25 ± 0.07 | 2.25 ± 0.07 |
| A/G | 1.52 ± 0.01 | 1.55 ± 0.01 | 1.51 ± 0.02 | 1.51 ± 0.02 |
| TB (g/dL) | 0.25 ± 0.07 | 0.25 ± 0.07 | 0.23 ± 0.05 | 0.20 ± 0 |
| ALT (u/L) | 112.33 ± 0.57 | 111.33 ± 0.57 | 111.66 ± 0.57 | 112.96 ± 1.15 |
| ALP (u/L) | 140.66 ± 0.57 | 141 ± 0.13 | 141.66 ± 0.57 | 141.66 ± 0.57 |
| AMY (u/L) | 2714.66 ± 11.15 | 2734.66 ± 10.57 *** | 2731.66 ± 12.57 *** | 2739.66 ± 18.57 *** |
| CREA (mg/dL) | 0.10 ± 1.69 | 0.10 ± 0.69 | 0.10 ± 0.09 | 0.1± 0.04 |
| UREA (mg/dL) | 43.74 ± 0 | 43.45 ± 0.02 | 43.25 ± 0.07 | 43.58 ± 0.03 |
| GLU (mg/dL) | 132.61 ± 0.01 | 132.81 ± 0.01 | 132.39 ± 0.01 | 132.80 ± 0 |
| Ca (mg/dL) | 9.14 ± 0.02 | 9.16 ± 0 | 9.11 ± 0 | 9.13 ± 0 |
| PHOS (mg/dL) | 5.85 ± 0 | 5.88 ± 0 | 5.83 ± 0 | 5.86 ± 0 |
| K+ (mmol/L) | 6.31 ± 0.01 | 6.36 ± 0.02 | 6.36 ± 0.01 | 6.34 ± 0.01 |
| Na+ (mmol/L) | 148.43 ± 0.15 | 148.40 ± 0.14 | 148.46 ± 0.40 | 148.45 ± 0.07 |
| Parameters | Control | 50 mg/kg | 300 mg/kg | 2000 mg/kg |
|---|---|---|---|---|
| WBC (109/L) | 3.33 ± 0 | 3.31 ± 0 | 3.33 ± 0 | 3.34 ± 0.02 |
| LYM (109/L) | 2.54 ± 0 | 2.5 ± 0.02 | 2.53 ± 0.01 | 2.51 ± 0.01 |
| MON (109/L) | 0.11 ± 0 | 0.12 ± 0.02 | 0.12 ± 0.01 | 0.11 ± 0.02 |
| NEU (109/L) | 0.57 ± 0.01 | 0.57 ± 0 | 0.56 ± 0.01 | 0.56 ± 0.02 |
| LY (%) | 78.45 ± 0.07 | 78.41 ± 0.14 | 78.41 ± 0.14 | 78.4 ± 0.14 |
| MO (%) | 4.32 ± 0.16 | 4.29 ± 0.14 | 4.30 ± 0.28 | 4.30± 0.14 |
| NE (%) | 16.20 ± 0.14 | 16.15 ± 0.07 | 16.25 ± 0.07 | 16.25 ± 0.21 |
| RBC (1012/L) | 9.44 ± 0.02 | 9.43 ± 0.02 | 9.43 ± 0.04 | 9.44 ± 0.02 |
| HGB (g/dL) | 14.35 ± 0.21 | 14.4 ± 0.14 | 14.35 ± 0.21 | 14.33 ± 0.20 |
| HCT (%) | 52.27 ± 0.02 | 52.4 ± 0.02 | 52.70 ± 0 | 54.21 ± 0.01 |
| MCV | 54.66 ± 0.57 | 54.56 ± 0.57 | 54.33 ± 2.08 | 54.63 ± 0.57 |
| MCH (pg.) | 15.25 ± 0.21 | 15.25 ± 0.21 | 15.20 ± 0.14 | 15.25 ± 0.21 |
| MCHC (g/dL) | 26.55 ± 0.07 | 26.65 ± 0.07 | 26.43 ± 0.14 | 26.51 ± 0.14 |
| RDWC (%) | 17.14 ± 0.14 | 17.15 ± 0.21 | 17.15 ± 0.21 | 17.17 ± 0.14 |
| PLT (109/L) | 574 ± 3.60 | 372 ± 4.35 *** | 335.66 ± 2.51 *** | 380.66 ± 1.52 *** |
| PCT (%) | 0.44 ± 0.01 | 0.44 ± 0.01 | 0.44 ± 0.01 | 0.43 ± 0.02 |
| MPV (%) | 8.10 ± 0.14 | 8.15 ± 0.07 | 8.20 ± 0.14 | 8.12 ± 0.21 |
| PDWC (%) | 35.05 ± 0.07 | 35.15 ± 0.07 | 35.05 ± 0.07 | 35.40 ± 0.14 |
| Organs | Histological Changes | Groups | |||
|---|---|---|---|---|---|
| Control | 50 mg/kg | 300 mg/kg | 2000 mg/kg | ||
| Liver | Inflammatory infiltrate cells (lymphocytes and neutrophils) | (0) | (2) [0.66] | (0) | (3) [1] |
| Pancreas | Vacuolization | (0) | (0) | (1) [0.33] | (0) |
| Stomach | Bacterial Overgrowth | (0) | (1) [0.33] | (2) [0.66] | (0) |
| Kidneys | Medullary mineralization | (0) | (3) [1] | (0) | (0) |
| Inflammatory infiltrate cells (lymphocytes) | (0) | (0) | (1) [1] | (0) | |
| Organs(g) | Control | 50 mg/kg | 300mg/kg | 2000 mg/kg |
|---|---|---|---|---|
| Lung | 0.16 ± 0 | 0.16 ± 0.03 | 0.16 ± 0.05 | 0.16 ± 0.08 |
| Spleen | 0.38 ± 0.42 | 0.38 ± 0.05 | 0.38 ± 0.01 | 0.38 ± 0.04 |
| Kidney | 0.42 ± 0.06 | 0.42 ± 0.02 | 0.42 ± 0.03 | 0.42 ± 0.29 |
| Liver | 0.80 ± 0.94 | 0.80 ± 0.16 | 0.80 ± 0,17 | 0.80 ± 0.73 |
| Heart | 0.12 ± 0.02 | 0.12 ± 0.02 | 0.12 ± 0.02 | 0.12 ± 0.09 |
| Organs(g) | Control | 50 mg/kg | 300 mg/kg | 2000 mg/kg |
|---|---|---|---|---|
| Lung | 0.17 ± 0.05 | 0.17 ± 0,06 | 0.17 ± 0.01 | 0.17 ± 0.07 |
| Spleen | 0.09 ± 0 | 0.94 ± 0,01 | 0.93 ± 0.01 | 0.94 ± 0 |
| Kidney | 0.20 ± 0.04 | 0.20 ± 0,01 | 0.20 ± 0.02 | 0.20 ± 0 |
| Liver | 0.98 ± 0.20 | 0.98 ± 0,04 | 0.98 ± 0.09 | 0.98 ± 0 |
| Heart | 0.09 ± 0 | 0.096± 0.01 | 0.09 ± 0.02 | 0.09 ± 0 |
| Parameters | Control | 50 mg/kg | 300 mg/kg | 2000 mg/kg |
|---|---|---|---|---|
| WBC (109/L) | 1.54 ± 0.001 | 1.55 ± 0.7 | 1.54 ± 0.2 | 1.53 ± 0.08 |
| LYM (109/L) | 1.16 ± 0.03 | 1.17 ± 0.20 | 1.17 ± 0 | 1.16 ± 0.02 |
| MON (109/L) | 0.06 ± 0 | 0.05 ± 0 | 0.06 ± 0 | 0.06 ± 0 |
| NEU (109/L) | 0.30 ± 0 | 0.32 ± 0.43 | 0.31 ± 0 | 0.31 ± 0 |
| LY (%) | 76.0 ± 0.20 | 50 ± 0.90 *** | 65.8 ± 0.64 *** | 69.7 ± 0.90 ** |
| MO (%) | 4.20 ± 0.40 | 4.20 ± 0.20 | 4.30 ± 0.23 | 4.30 ± 0.50 |
| NE (%) | 19.50 ± 0.90 | 19.50 ± 0.45 | 19.50 ± 0.27 | 19.30 ± 0.26 |
| RBC (1012/L) | 9.38 ± 0.40 | 9.37 ± 0.20 | 9.39 ± 0.60 | 7.36 ± 0.65 |
| HGB (g/dL) | 14.30 ± 0.25 | 14.60 ± 0.65 | 14.50 ± 0.30 | 14.70 ± 0.32 |
| HCT (%) | 51.08 ± 0.86 | 36.80 ± 0.25 *** | 27.84 ± 0.23 *** | 30.65 ± 0.63 *** |
| MCV | 54 ± 0.32 | 53 ± 0.49 | 54 ± 0.15 | 54 ± 0.28 |
| MCH (pg) | 15.30 ± 0.84 | 15.40 ± 0.34 | 15.40 ± 0.18 | 15.50 ± 0.23 |
| MCHC (g/dL) | 28.10 ± 0.16 | 28.60 ± 0.26 | 28.2 ± 0.34 | 28.80 ± 0.91 |
| RDWC (%) | 17.20 ± 0.27 | 17.03 ± 0.27 | 17.3 ± 0.62 | 17.50 ± 0.11 |
| PLT (109/L) | 625 ± 3.83 | 533 ± 3.60 *** | 286 ± 4.20 *** | 220 ± 2.10 *** |
| PCT (%) | 0.50 ± 0.03 | 0.50 ± 0.01 | 0.51 ± 0.08 | 0.50 ± 0 |
| MPV (%) | 8.0 ± 0.73 | 8.10 ± 0.56 | 8.10 ± 0.49 | 8.10 ± 0.13 |
| PDWC (%) | 32.60 ± 0.20 | 32.70 ± 0.20 | 32.80 ± 0.34 | 32.20 ± 0.28 |
| Parameters | Control | 50 mg/kg | 300 mg/kg | 2000 mg/kg |
|---|---|---|---|---|
| WBC (109/L) | 1.69 ± 0 | 1.67 ± 0.5 | 1.66 ± 0 | 1.65 ± 0.02 |
| LYM (109/L) | 1.05 ± 0 | 1.05 ± 0.43 | 1.06 ± 0.02 | 1.05 ± 0.01 |
| MON (109/L) | 0.16 ± 0 | 0.16 ± 0 | 0.15 ± 0.06 | 0.15 ± 0 |
| NEU (109/L) | 0.48 ± 0.02 | 1.48 ± 0 | 0.47 ± 0.03 | 0.48 ± 0.02 |
| LY (%) | 62.2 ± 05 | 39.2 ± 0.23 *** | 24.3 ± 0.3 *** | 37.2 ± 0.60 *** |
| MO (%) | 9.6 ± 0.20 | 9.6 ± 0.45 | 9.4 ± 0.7 | 9.50 ± 0,60 |
| NE (%) | 28.2 ± 0.16 | 28.30 ± 0.12 | 28.3 ± 1.20 | 28,4 ± 0,50 |
| RBC (1012/L) | 9.64 ± 0.01 | 9.62 ± 0.66 | 9.62 ± 0.40 | 9.65 ± 0.40 |
| HGB (g/dL) | 14.1 ± 0.20 | 14.10 ± 0.33 | 14.20 ± 0.20 | 14.20 ± 0,10 |
| HCT (%) | 51.51 ± 0.7 | 59.89 ± 0.51 *** | 60.38 ± 0.14 *** | 59.88 ± 0.25 *** |
| MCV | 53 ± 0.30 | 53 ± 0.45 | 53 ± 0.43 | 54 ± 0.67 |
| MCH (Pg) | 14.6 ± 0.4 | 14.50 ± 0.40 | 14.50 ± 0.34 | 14.70 ± 0.43 |
| MCHC (g/dL) | 27.3 ± 0.67 | 27.0 ± 0.10 | 27.50 ± 0.34 | 27.0 ± 0.29 |
| RDWC (%) | 18.0 ± 0.34 | 18.0 ± 0.45 | 18.50 ± 0.45 | 18.2 ± 0.20 |
| PLT (109/L) | 347 ± 4.30 | 584 ± 6,10 *** | 505 ± 2.14 *** | 431 ± 4.20 *** |
| PCT (%) | 0.29 ± 0.30 | 0.30 ± 0.03 | 0.29 ± 0.15 | 0.29 ± 0.12 |
| MPV (%) | 8.2 ± 0.01 | 8.30 ± 0.44 | 8.2 0 ± 0.45 | 8.30 ± 0.420 |
| PDWC (%) | 39 ± 0.90 | 39.80 ± 0.65 | 39.80 ± 0.65 | 39.40 ± 0.52 |
| Parameters | Control | 50 mg/kg | 300 mg/kg | 2000 mg/kg |
|---|---|---|---|---|
| ALB (g/dL) | 3 ± 0.03 | 3.10 ± 0.90 | 3 ± 0.3 | 3.10 ± 0.10 |
| TP (g/dL) | 5.0 ± 0.15 | 5.15 ± 0.90 | 5.1 ± 0.13 | 5.10 ± 0.19 |
| GLOB (g/dL) | 2.20 ± 0.90 | 2.30 ± 0.06 | 2.2 ± 0.9 | 2.20 ± 0.04 |
| A/G | 1.56 ± 0.04 | 1.57 ± 0.03 | 1.58 ± 0.04 | 1.57 ± 0.03 |
| TB (g/dL) | 0 ± 0 | 0 ± 0 | 0.10 ± 0 | 0 ± 0 |
| ALT (u/L) | 33.33 ± 0.40 | 93.33 ± 0.18 *** | 73.0 ± 0.66*** | 92 ± 1.15 *** |
| ALP (u/L) | 87.0 ± 0.67 | 104 ± 0.61 *** | 104.66 ± 0.89 *** | 103.66 ± 0.57 *** |
| AMY (u/L) | 2156 ±13.25 | 2350 ± 13.37 *** | 2355 ± 11.57 *** | 2336 ± 90 *** |
| CREA (mg/dL) | 0.20 ± 0.69 | 0.20 ± 0.76 | 0.20 ± 0 | 0.20± 0 |
| UREA (mg/dL) | 56.27 ± 0.56 | 44.85 ± 0.03 *** | 44.10 ± 0.60 *** | 29.21 ± 0.02 *** |
| GLU (mg/dL) | 120.82 ± 0.03 | 240.25 ± 0.01 *** | 249.45 ± 0.05 *** | 240.40 ± 0.05 *** |
| Ca (mg/dL) | 9.14 ± 0.02 | 9.13 ± 0 | 9.14 ± 0.08 | 9.13 ± 0.08 |
| PHOS (mg/dL) | 8.46 ± 0.05 | 8.46 ± 0.08 | 8.45 ± 0 | 8.45 ± 0.02 |
| K+ (mmol/L) | 5.25 ± 0.04 | 5.20 ± 0.06 | 5.30 ± 0.01 | 5.25 ± 0.01 |
| Na+ (mmol/L) | 149.80 ± 0.19 | 150 ± 0.18 | 150.06 ± 0.14 | 150.45 ± 0.07 |
| Parameters | Control | 50 mg/kg | 300 mg/kg | 2000 mg/kg |
|---|---|---|---|---|
| ALB (g/dL) | 3.10 ± 0.30 | 3.1 ± 0.21 | 3.10 ± 0.16 | 3 ± 0.14 |
| TP (g/dL) | 5.20 ± 0.20 | 5.3 ± 0.03 | 5.30 ± 0.11 | 5.2 ± 0.17 |
| GLOB (g/dL) | 2.70 ± 0.10 | 2.70 ± 0.04 | 2.80 ± 0.08 | 2.7 ± 0.09 |
| A/G | 1.11 ± 0.02 | 1.10 ± 0.02 | 1.11 ± 0.02 | 1.12 ± 0.06 |
| TB (g/dL) | 0 ± 0 | 0 ±0 | 0.1 ± 0 | 0 ± 0 |
| ALT (u/L) | 38.00 ± 0.36 | 107 ± 03.6 *** | 181 ± 0.57 *** | 142 ± 0.66 *** |
| ALP (u/L) | 88 ± 0.12 | 108 ± 0.02 *** | 100 ± 0.66 *** | 109 ± 0.66 *** |
| AMY (u/L) | 2196 ± 10.11 | 2461.17 ±09.31 *** | 2453 ± 11.32 *** | 2422 ± 12.57 *** |
| CREA (mg/dL) | 0.10 ± 0.10 | 0.20 ± 0 | 0.10 ± 0 | 0.20 ± 0 |
| UREA (mg/dL) | 57.71 ± 0.60 | 50.58 ± 0.49 ** | 50.20 ± 0.07 ** | 50.18 ± 0.90 ** |
| GLU (mg/dL) | 126.03 ± 0.02 | 147.25 ± 0.3 *** | 145.94 ± 0.04 *** | 143.48 ± 0.70 *** |
| Ca (mg/dL) | 8.99 ± 0.01 | 8.99 ± 0.07 | 8.99 ± 0.03 | 8.99 ± 0.04 |
| PHOS (mg/dL) | 3.77 ± 0.07 | 3.76 ± 0.05 | 3.74 ± 0.02 | 3.77 ± 0.02 |
| K+ (mmol/L) | 6.49 ± 0.04 | 6.51 ± 0.03 | 6.49 ± 0.03 | 6.51 ± 0.05 |
| Na+ (mmol/L) | 150.50 ± 0.10 | 149.20 ± 0.11 | 151 ± 0.24 | 149.90 ± 0.08 |
| Organs | Histological Changes | Groups | |||||||
|---|---|---|---|---|---|---|---|---|---|
| Control | 50 mg/kg | 300 mg/kg | 2000 mg/kg | ||||||
| ♂ | ♀ | ♀ | ♂ | ♀ | ♂ | ♀ | ♂ | ||
| Liver | Inflammatory infiltrate cells (lymphocytes and neutrophils) | (0) | (0) | (0) | (1) [0.33] | (0) | (0) | (1) [0.33] | (2) [0.33] |
| Pancreas | Vacuolization | (0) | (0) | (0) | (0) | (0) | (2) [0.33] | (0) | (0) |
| Stomach | Bacterial Overgrowth | (0) | (0) | (2) [0.33] | (2) [0.66] | (0) | (0) | (2) [0.33] | (0) |
Disclaimer/Publisher’s Note: The statements, opinions and data contained in all publications are solely those of the individual author(s) and contributor(s) and not of MDPI and/or the editor(s). MDPI and/or the editor(s) disclaim responsibility for any injury to people or property resulting from any ideas, methods, instructions or products referred to in the content. |
© 2025 by the authors. Licensee MDPI, Basel, Switzerland. This article is an open access article distributed under the terms and conditions of the Creative Commons Attribution (CC BY) license (https://creativecommons.org/licenses/by/4.0/).
Share and Cite
Sall, I.M.; Haşaş, A.D.; Malek, A.; Vodnar, D.C.; Aziez, M.; Semzenisi, E.; Hodor, D.; Pop, R.; Tăbăran, A.-F. Acute and Subacute Oral Toxicity Assessment of Kinkeliba (Combretum micranthum G. Don) Ethanolic Extract in BALB/c Mice. Plants 2025, 14, 1776. https://doi.org/10.3390/plants14121776
Sall IM, Haşaş AD, Malek A, Vodnar DC, Aziez M, Semzenisi E, Hodor D, Pop R, Tăbăran A-F. Acute and Subacute Oral Toxicity Assessment of Kinkeliba (Combretum micranthum G. Don) Ethanolic Extract in BALB/c Mice. Plants. 2025; 14(12):1776. https://doi.org/10.3390/plants14121776
Chicago/Turabian StyleSall, Ibrahima Mamadou, Alina Diana Haşaş, Amiali Malek, Dan Cristian Vodnar, Meriem Aziez, Ecaterina Semzenisi, Dragoş Hodor, Romelia Pop, and Alexandru-Flaviu Tăbăran. 2025. "Acute and Subacute Oral Toxicity Assessment of Kinkeliba (Combretum micranthum G. Don) Ethanolic Extract in BALB/c Mice" Plants 14, no. 12: 1776. https://doi.org/10.3390/plants14121776
APA StyleSall, I. M., Haşaş, A. D., Malek, A., Vodnar, D. C., Aziez, M., Semzenisi, E., Hodor, D., Pop, R., & Tăbăran, A.-F. (2025). Acute and Subacute Oral Toxicity Assessment of Kinkeliba (Combretum micranthum G. Don) Ethanolic Extract in BALB/c Mice. Plants, 14(12), 1776. https://doi.org/10.3390/plants14121776

