Ginkgo Biloba Extract Alleviates Methotrexate-Induced Renal Injury: New Impact on PI3K/Akt/mTOR Signaling and MALAT1 Expression
Abstract
1. Introduction
2. Materials and Methods
2.1. Animals
2.2. Experimental Design
2.3. Blood and Tissue Sampling
2.4. Renal Function Tests Measurement
2.5. Quantitative Real-Time Polymerase Chain Reactions (q-PCR)
2.6. Immunoblot Analysis of Phosphatidylinositol 3-Kinase/Protein Kinase B/ Mammalian Target of Rapamycin (PI3K/Akt/mTOR) Signaling Pathway
2.7. Kidney Histopathology Evaluation
2.8. Tissue Injury Score and Glomerular Diameter Estimation
2.9. Statistical Analysis
3. Results
3.1. Effect on Renal Function Tests
3.2. Effect on Renal TGF-β mRNA Expression
3.3. Effect on PI3K/Akt/mTOR Pathway
3.4. Effect on Renal Long Non-Coding RNA-Metastasis-Associated Lung Adenocarcinoma Transcript-1 (MALAT1) Expression
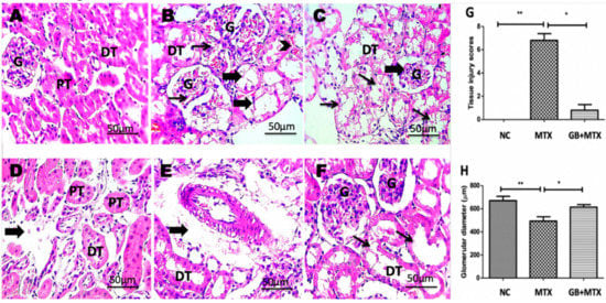
3.5. Effect on Renal Histopathology
3.6. Effect on Tissue Injury Score and Glomerular Diameter
4. Discussion
5. Conclusions
Author Contributions
Funding
Acknowledgments
Conflicts of Interest
References
- Al-Rashidy, A.H.; Salem, R.R.; Alhosary, A.A.; Wahdan, M.H.; Elnemr, G.M.; Hassan, K.E.; Ali, A.I. Role of erythropoietin in methotrexate-induced nephrotoxicity in adult male albino rats. J. Nephropharmacol. 2018, 7, 156–163. [Google Scholar]
- Khoshnoud, S.; Kouchesfahani, H.M.; Nabiuni, M. Evaluation of the Protective Effect of Hydro-Alcoholic Extract of Raspberry Fruit on Aquaporin1 Expression in Rats Kidney Treated by Methotrexate. Cell J. 2017, 19, 306–313. [Google Scholar] [PubMed]
- Uzkeser, H.; Sener, E.; Bakan, E.; Hacimuftuoglu, A. Preventive role of mirtazapine in methotrexate induced nephrotoxicity in rats. Science 2012, 38, 129–135. [Google Scholar] [CrossRef]
- Tousson, E.; Atteya, E.; El-Atrash, E.; Jeweely, O.I. Abrogation by Ginkgo Byloba leaf extract on hepatic and renal toxicity induced by methotrexate in rats. J. Cancer Res. Treat. 2014, 2, 44–51. [Google Scholar]
- Arab, H.H.; Salama, S.A.; Maghrabi, I.A. Camel milk attenuates methotrexate-induced kidney injury via activation of PI3K/Akt/eNOS signaling and intervention with oxidative aberrations. Food Funct. 2018, 9, 2661–2672. [Google Scholar] [CrossRef] [PubMed]
- Hassanein, E.H.; Mohamed, W.R.; Shalkami, A.-G.S.; Khalaf, M.M.; Hemeida, R.A. Renoprotective effects of umbelliferone on methotrexate-induced renal injury through regulation of Nrf-2/Keap-1, P38MAPK/NF-κB, and apoptosis signaling pathways. Food Chem. Toxicol. 2018, 116, 152–160. [Google Scholar] [CrossRef] [PubMed]
- Liu, H.-B.; Meng, Q.-H.; Huang, C.; Wang, J.-B.; Liu, X.-W. Nephroprotective Effects of Polydatin against Ischemia/Reperfusion Injury: A Role for the PI3K/Akt Signal Pathway. Oxidative Med. Cell. Longev. 2015, 2015, 362158. [Google Scholar] [CrossRef]
- Barthel, A.; Klotz, L.-O. Phosphoinositide 3-kinase signaling in the cellular response to oxidative stress. Biol. Chem. 2005, 386, 207–216. [Google Scholar] [CrossRef]
- Lu, Q.; Wang, W.W.; Zhang, M.Z.; Ma, Z.X.; Qiu, X.R.; Shen, M.; Yin, X.X. ROS induces epithelial-mesenchymal transition via the TGF-β1/PI3K/Akt/mTOR pathway in diabetic nephropathy. Exp. Ther. Med. 2019, 17, 835–846. [Google Scholar] [CrossRef]
- Lu, Q.; Zuo, W.-Z.; Ji, X.-J.; Zhou, Y.-X.; Liu, Y.-Q.; Yao, X.-Q.; Zhou, X.-Y.; Liu, Y.-W.; Zhang, F.; Yin, X.-X. Ethanolic Ginkgo biloba leaf extract prevents renal fibrosis through Akt/mTOR signaling in diabetic nephropathy. Phytomedicine 2015, 22, 1071–1078. [Google Scholar] [CrossRef]
- Mohamed, E.A.; Ahmed, H.I.; Zaky, H.S. Protective effect of irbesartan against doxorubicin-induced nephrotoxicity in rats: Implication of AMPK, PI3K/Akt, and mTOR signaling pathways. Can. J. Physiol. Pharmacol. 2018, 96, 1209–1217. [Google Scholar] [CrossRef] [PubMed]
- Cissé, Y.; Bai, L.; Meng, T. LncRNAs in genetic basis of glaucoma. BMJ Open Ophthalmol. 2018, 3, e000131. [Google Scholar] [CrossRef] [PubMed]
- Abdulle, L.E.; Hao, J.-L.; Pant, O.P.; Liu, X.-F.; Zhou, D.-D.; Gao, Y.; Suwal, A.; Lu, C.-W. MALAT1 as a Diagnostic and Therapeutic Target in Diabetes-Related Complications: A Promising Long-Noncoding RNA. Int. J. Med. Sci. 2019, 16, 548–555. [Google Scholar] [CrossRef] [PubMed]
- Zhou, Y.; Xu, X.; Lv, H.; Wen, Q.; Li, J.; Tan, L.; Sheng, X. The Long Noncoding RNA MALAT-1 Is Highly Expressed in Ovarian Cancer and Induces Cell Growth and Migration. PLoS ONE 2016, 11, e0155250. [Google Scholar] [CrossRef] [PubMed]
- Mahmoud, A.M.; Hussein, O.E.; El-Twab, S.M.A.; Hozayen, W.G.; El-Twab, S.A. Ferulic acid protects against methotrexate nephrotoxicity via activation of Nrf2/ARE/HO-1 signaling and PPARγ, and suppression of NF-κB/NLRP3 inflammasome axis. Food Funct. 2019, 10, 4593–4607. [Google Scholar] [CrossRef] [PubMed]
- Boghdady, N.A.E. Antioxidant and antiapoptotic effects of proanthocyanidin and ginkgo biloba extract against doxorubicin-induced cardiac injury in rats. Cell Biochem. Funct. 2013, 31, 344–351. [Google Scholar] [CrossRef] [PubMed]
- Hirata, B.K.; Pedroso, A.P.; Machado, M.M.; Neto, N.I.; Perestrelo, B.O.; De Sá, R.D.; Alonso-Vale, M.I.C.; Nogueira, F.N.; Oyama, L.M.; Ribeiro, E.B.; et al. Ginkgo biloba Extract Modulates the Retroperitoneal Fat Depot Proteome and Reduces Oxidative Stress in Diet-Induced Obese Rats. Front. Pharmacol. 2019, 10, 686. [Google Scholar] [CrossRef]
- Zayed, A.E.; Saleh, A.; Gomaa, A.; Abd-Elkareem, M.; Anwar, M.M.; Hassanein, K.; Elsherbiny, M.M.; Kotb, A.M. Protective effect of Ginkgo biloba and magnetized water on nephropathy in induced type 2 diabetes in rat. Oxidative Med. Cell. Longev. 2018, 2018, 1785614. [Google Scholar]
- Akdere, H.; Tastekin, E.; Mericliler, M.; Burgazli, K.M. The protective effects of Ginkgo biloba EGb761 extract against renal ischemia-reperfusion injury in rats. Eur. Rev. Med. Pharmacol. Sci. 2014, 18, 2936–2941. [Google Scholar]
- Heidari, R.; Ahmadi, A.; Mohammadi, H.; Ommati, M.M.; Azarpira, N.; Niknahad, H. Mitochondrial dysfunction and oxidative stress are involved in the mechanism of methotrexate-induced renal injury and electrolytes imbalance. Biomed. Pharmacother. 2018, 107, 834–840. [Google Scholar] [CrossRef]
- Asci, H.; Ozmen, O.; Ellidag, H.Y.; Aydin, B.; Bas, E.; Yilmaz, N. The impact of gallic acid on the methotrexate-induced kidney damage in rats. J. Food Drug Anal. 2017, 25, 890–897. [Google Scholar] [CrossRef] [PubMed]
- Güzel, N.; Sayit, E.; Aynaci, O.; Kerimoglu, S.; Yulug, E.; Topbas, M. Ginkgo Biloba improves bone formation during fracture healing: An experimental study in rats. Acta Ortopédica Bras. 2017, 25, 95–98. [Google Scholar] [CrossRef] [PubMed]
- Chen, H.; Cai, K. The intervention of ginkgo biloba extract on monocrotaline-induced right ventricular hypertrophy in rats and its mechanism. Chin. J. Appl. Physiol. 2019, 35, 169–172. [Google Scholar]
- Huang, W.-L.; Ma, Y.-X.; Fan, Y.-B.; Lai, S.-M.; Liu, H.-Q.; Liu, J.; Luo, L.; Li, G.-Y.; Tian, S.-M. Extract of Ginkgo biloba promotes neuronal regeneration in the hippocampus after exposure to acrylamide. Neural Regen. Res. 2017, 12, 1287–1293. [Google Scholar] [PubMed]
- Erboğa, M.; Aktas, C.; Erboga, Z.F.; Donmez, Y.B.; Gurel, A. Quercetin ameliorates methotrexate-induced renal damage, apoptosis and oxidative stress in rats. Ren. Fail. 2015, 37, 1492–1497. [Google Scholar] [CrossRef]
- Wen, D.; Huang, X.; Zhang, M.; Zhang, L.; Chen, J.; Gu, Y.; Hao, C.-M. Resveratrol Attenuates Diabetic Nephropathy via Modulating Angiogenesis. PLoS ONE 2013, 8, e82336. [Google Scholar] [CrossRef] [PubMed]
- Yuksel, Y.; Yuksel, R.; Yagmurca, M.; Haltas, H.; Erdamar, H.; Toktas, M.; Ozcan, O. Effects of quercetin on methotrexate-induced nephrotoxicity in rats. Hum. Exp. Toxicol. 2017, 36, 51–61. [Google Scholar] [CrossRef]
- Widemann, B.C.; Adamson, P.C. Understanding and Managing Methotrexate Nephrotoxicity. Oncologist 2006, 11, 694–703. [Google Scholar] [CrossRef]
- Rizk, F.H.; El Saadany, A.A.; Dawood, L.; Elkaliny, H.H.; Sarhan, N.I.; Badawi, R.; Abd-Elsalam, S. Metformin ameliorated methotrexate-induced hepatorenal toxicity in rats in addition to its antitumor activity: Two birds with one stone. J. Inflamm. Res. 2018, 11, 421–429. [Google Scholar] [CrossRef]
- Song, J.; Liu, D.; Feng, L.; Zhang, Z.; Jia, X.; Xiao, W. Protective effect of standardized extract of Ginkgo biloba against cisplatin-induced nephrotoxicity. Evid. Based Complementary Altern. Med. 2013, 2013, 846126. [Google Scholar] [CrossRef]
- Mariee, A.D.; Abd-Ellah, M.F. Ginkgo biloba leaf extract (EGb 761) diminishes adriamycin-induced hyperlipidaemic nephrotoxicity in rats: Association with nitric oxide production. Biotechnol. Appl. Biochem. 2007, 46, 35–40. [Google Scholar] [CrossRef] [PubMed]
- Causey, M.W.; Hoffer, Z.S.; Miller, S.L.; Huston, L.J.; Satterly, S.A.; Martin, M.; Stallings, J.D. Microarray and Functional Cluster Analysis Implicates Transforming Growth Factor Beta1 in Endothelial Cell Dysfunction in a Swine Hemorrhagic Shock Model. J. Surg. Res. 2011, 170, 120–132. [Google Scholar] [CrossRef] [PubMed]
- Baroni, E.A.; Costa, R.S.; Volpini, R.; Coimbra, T.M. Sodium bicarbonate treatment reduces renal injury, renal production of transforming growth Factor-β, and urinary transforming growth Factor-β excretion in rats with doxorubicin-induced nephropathy. Am. J. Kidney Dis. 1999, 34, 328–337. [Google Scholar] [CrossRef]
- El-Gowilly, S.M.; Helmy, M.M.; El-Gowelli, H.M. Pioglitazone ameliorates methotrexate-induced renal endothelial dysfunction via amending detrimental changes in some antioxidant parameters, systemic cytokines and Fas production. Vasc. Pharmacol. 2015, 74, 139–150. [Google Scholar] [CrossRef]
- Lu, Q.; Yin, X.-X.; Wang, J.-Y.; Gao, Y.-Y.; Pan, Y.-M. Effects of Ginkgo biloba on prevention of development of experimental diabetic nephropathy in rats. Acta Pharmacol. Sin. 2007, 28, 818–828. [Google Scholar] [CrossRef][Green Version]
- Ji, L.; Yin, X.X.; Wu, Z.M.; Wang, J.Y.; Lu, Q.; Gao, Y.Y. Ginkgo biloba extract prevents glucose-induced accumulation of ECM in rat mesangial cells. Phytother. Res. 2009, 23, 477–485. [Google Scholar] [CrossRef]
- Huang, W.-J.; Fu, Q.; Xiao, Y.-H.; Gong, Q.; Wu, W.-J.; Shen, Z.-L.; Zhang, H.; Jia, X.; Huang, X.-M.; Zhang, Y.-X.; et al. Effect of Qufengtongluo decoction on PI3K/Akt signaling pathway in the kidney of type 2 diabetes mellitus rat (GK Rat) with diabetic nephropathy. Evid. Based Complementary Altern. Med. 2018, 2018, 8421979. [Google Scholar] [CrossRef]
- Ma, S.K.; Choi, J.S.; Joo, S.Y.; Kim, H.Y.; Kim, C.S.; Bae, E.H.; Lee, J.U.; Kim, S.W. Activation of the Renal PI3K/Akt/mTOR Signaling Pathway in a DOCA-Salt Model of Hypertension. Chonnam Med. J. 2012, 48, 150–154. [Google Scholar] [CrossRef]
- Potočnjak, I.; Domitrović, R. Carvacrol attenuates acute kidney injury induced by cisplatin through suppression of ERK and PI3K/Akt activation. Food Chem. Toxicol. 2016, 98, 251–261. [Google Scholar] [CrossRef]
- Kuwana, H.; Terada, Y.; Kobayashi, T.; Okado, T.; Penninger, J.; Irie-Sasaki, J.; Sasaki, T.; Sasaki, S.; Penninger, J. The phosphoinositide-3 kinase γ–Akt pathway mediates renal tubular injury in cisplatin nephrotoxicity. Kidney Int. 2008, 73, 430–445. [Google Scholar] [CrossRef]
- Das, F.; Ghosh-Choudhury, N.; Venkatesan, B.; Li, X.; Mahimainathan, L.; Choudhury, G.G. Akt kinase targets association of CBP with SMAD 3 to regulate TGFβ-induced expression of plasminogen activator inhibitor-1. J. Cell. Physiol. 2008, 214, 513–527. [Google Scholar] [CrossRef] [PubMed]
- Ma, S.K.; Joo, S.Y.; Kim, C.S.; Choi, J.S.; Bae, E.H.; Lee, J.; Kim, S.W. Increased Phosphorylation of PI3K/Akt/mTOR in the Obstructed Kidney of Rats with Unilateral Ureteral Obstruction. Chonnam Med. J. 2013, 49, 108–112. [Google Scholar] [CrossRef] [PubMed]
- Fang, L.; Zhang, Y.; Wang, Q.; Zang, Y.; Li, Z.; Duan, Z.; Ren, J.; Xu, Z. A polysaccharide from Huaier ameliorates cisplatin nephrotoxicity by decreasing oxidative stress and apoptosis via PI3K/AKT signaling. Int. J. Biol. Macromol. 2019, 139, 932–943. [Google Scholar] [CrossRef] [PubMed]
- Hu, S.; Zhang, Y.; Zhang, M.; Guo, Y.; Yang, P.; Zhang, S.; Simsekyilmaz, S.; Xu, J.-F.; Li, J.; Xiang, X.; et al. Aloperine Protects Mice against Ischemia-Reperfusion (IR)-Induced Renal Injury by Regulating PI3K/AKT/mTOR Signaling and AP-1 Activity. Mol. Med. 2015, 21, 912–923. [Google Scholar] [CrossRef] [PubMed]
- Ma, Y.; Chen, F.; Yang, S.; Duan, Y.; Sun, Z.; Shi, J. Silencing of TRB3 Ameliorates Diabetic Tubule Interstitial Nephropathy via PI3K/AKT Signaling in Rats. Med. Sci. Monit. 2017, 23, 2816–2824. [Google Scholar] [CrossRef]
- Ju, S.M.; Kang, J.G.; Bae, J.S.; Pae, H.O.; Lyu, Y.S.; Jeon, B.H. The Flavonoid Apigenin Ameliorates Cisplatin-Induced Nephrotoxicity through Reduction of p53 Activation and Promotion of PI3K/Akt Pathway in Human Renal Proximal Tubular Epithelial Cells. Evid. Based Complementary Altern. Med. 2015, 2015, 186436. [Google Scholar] [CrossRef]
- Wei, Q.; Zhao, J.; Zhou, X.; Yu, L.; Liu, Z.; Chang, Y. Propofol can suppress renal ischemia-reperfusion injury through the activation of PI3K/AKT/mTOR signal pathway. Gene 2019, 708, 14–20. [Google Scholar] [CrossRef]
- Zhang, W.; Hou, J.; Yan, X.; Leng, J.; Li, R.; Zhang, J.; Xing, J.; Chen, C.; Wang, Z.; Li, W. Platycodon grandiflorum Saponins Ameliorate Cisplatin-Induced Acute Nephrotoxicity through the NF-κB-Mediated Inflammation and PI3K/Akt/Apoptosis Signaling Pathways. Nutrients 2018, 10, 1328. [Google Scholar] [CrossRef]
- Wang, X.-M.; Yao, M.; Liu, S.-X.; Hao, J.; Liu, Q.-J.; Gao, F. Interplay between the Notch and PI3K/Akt pathways in high glucose-induced podocyte apoptosis. Am. J. Physiol. Ren. Physiol. 2013, 306, F205–F213. [Google Scholar] [CrossRef]
- Fan, Y.; Chen, H.; Peng, H.; Huang, F.; Zhong, J.; Zhou, J. Molecular Mechanisms of Curcumin Renoprotection in Experimental Acute Renal Injury. Front. Pharmacol. 2017, 8, 912. [Google Scholar] [CrossRef]
- Badr, G.; Sayed, E.A.; Waly, H.; Hassan, K.A.-H.; Mahmoud, M.H.; Selamoglu, Z. The Therapeutic Mechanisms of Propolis Against CCl4 -Mediated Liver Injury by Mediating Apoptosis of Activated Hepatic Stellate Cells and Improving the Hepatic Architecture through PI3K/AKT/mTOR, TGF-β/Smad2, Bcl2/BAX/P53 and iNOS Signaling Pathways. Cell. Physiol. Biochem. 2019, 53, 301–322. [Google Scholar] [PubMed]
- Lei, L.; Chen, J.; Huang, J.; Lu, J.; Pei, S.; Ding, S.; Kang, L.; Xiao, R.; Zeng, Q. Functions and regulatory mechanisms of metastasis-associated lung adenocarcinoma transcript 1. J. Cell. Physiol. 2019, 234, 134–151. [Google Scholar] [CrossRef] [PubMed]
- Hu, M.; Wang, R.; Li, X.; Fan, M.; Lin, J.; Zhen, J.; Chen, L.; Lv, Z. Lnc RNA MALAT 1 is dysregulated in diabetic nephropathy and involved in high glucose-induced podocyte injury via its interplay with β-catenin. J. Cell. Mol. Med. 2017, 21, 2732–2747. [Google Scholar] [CrossRef] [PubMed]
- Lelli, A.; Nolan, K.A.; Santambrogio, S.; Gonçalves, A.F.; Schönenberger, M.J.; Guinot, A.; Frew, I.J.; Marti, H.H.; Hoogewijs, D.; Wenger, R.H. Induction of long noncoding RNA MALAT1 in hypoxic mice. Hypoxia 2015, 3, 45–52. [Google Scholar] [PubMed]
- Tian, H.; Wu, M.; Zhou, P.; Huang, C.; Ye, C.; Wang, L. The long non-coding RNA MALAT1 is increased in renal ischemia-reperfusion injury and inhibits hypoxia-induced inflammation. Ren. Fail. 2018, 40, 527–533. [Google Scholar] [CrossRef] [PubMed]
- Ding, Y.; Guo, F.; Zhu, T.; Li, J.; Gu, D.; Jiang, W.; Lu, Y.; Zhou, D. Mechanism of long non-coding RNA MALAT1 in lipopolysaccharide-induced acute kidney injury is mediated by the miR-146a/NF-κB signaling pathway. Int. J. Mol. Med. 2018, 41, 446–454. [Google Scholar] [CrossRef]
- Ignarski, M.; Islam, R.; Müller, R.-U. Long Non-Coding RNAs in Kidney Disease. Int. J. Mol. Sci. 2019, 20, 3276. [Google Scholar] [CrossRef]
- Wu, D.; Cheng, Y.-G.; Huang, X.; Zhong, M.-W.; Liu, S.-Z.; Hu, S.-Y. Downregulation of lncRNA MALAT1 contributes to renal functional improvement after duodenal-jejunal bypass in a diabetic rat model. J. Physiol. Biochem. 2018, 74, 431–439. [Google Scholar] [CrossRef]
- Jia, P.; Wu, N.; Jia, D.; Sun, Y. Downregulation of MALAT1 alleviates saturated fatty acid-induced myocardial inflammatory injury via the miR-26a/HMGB1/TLR4/NF-κB axis. Diabetes Metab. Syndr. Obes. Targets Ther. 2019, 12, 655–665. [Google Scholar] [CrossRef]






| Group | Description |
|---|---|
| Group I, NC (normal control) | Rats received saline |
| Group II, GBC (Ginkgo biloba extract control) | Rats received GB by oral gavage 60 mg/kg /day for 10 days. |
| Group III, MTX (methotrexate) | Rats received 20 mg/kg MTX ip as a single dose on 5th day. |
| Group IV, GB+MTX (treated group with Ginkgo biloba extract and methotrexate) | Rats received GB by oral gavage 60 mg/kg/day for 10 days plus single dose 20 mg/kg MTX ip on 5th day. |
© 2019 by the authors. Licensee MDPI, Basel, Switzerland. This article is an open access article distributed under the terms and conditions of the Creative Commons Attribution (CC BY) license (http://creativecommons.org/licenses/by/4.0/).
Share and Cite
Sherif, I.O.; Al-Shaalan, N.H.; Sabry, D. Ginkgo Biloba Extract Alleviates Methotrexate-Induced Renal Injury: New Impact on PI3K/Akt/mTOR Signaling and MALAT1 Expression. Biomolecules 2019, 9, 691. https://doi.org/10.3390/biom9110691
Sherif IO, Al-Shaalan NH, Sabry D. Ginkgo Biloba Extract Alleviates Methotrexate-Induced Renal Injury: New Impact on PI3K/Akt/mTOR Signaling and MALAT1 Expression. Biomolecules. 2019; 9(11):691. https://doi.org/10.3390/biom9110691
Chicago/Turabian StyleSherif, Iman O., Nora H. Al-Shaalan, and Dina Sabry. 2019. "Ginkgo Biloba Extract Alleviates Methotrexate-Induced Renal Injury: New Impact on PI3K/Akt/mTOR Signaling and MALAT1 Expression" Biomolecules 9, no. 11: 691. https://doi.org/10.3390/biom9110691
APA StyleSherif, I. O., Al-Shaalan, N. H., & Sabry, D. (2019). Ginkgo Biloba Extract Alleviates Methotrexate-Induced Renal Injury: New Impact on PI3K/Akt/mTOR Signaling and MALAT1 Expression. Biomolecules, 9(11), 691. https://doi.org/10.3390/biom9110691

