Abstract
Background: This study introduces an experimental model of a large, full-thickness skin defect and evaluates how adipose-derived stem cells characterized by high self-renewal and differentiation capacity affect both wound healing and the wound microenvironment when delivered using two different local application methods. Materials and Methods: In this preclinical study, we established an excisional full-thickness skin defect model involving approximately 30% of the total body surface area (TBSA). Five experimental groups were formed, each containing equal numbers of male and female rats: (1) subdermal ADSC injection (ADSC-I) (n = 8), (2) application of an acellular dermal matrix (ADM) seeded with ADSCs (n = 8) (ADSC-ADM), (3) ADM alone (n = 8), (4) subdermal saline injection (n = 8) (SS-I), and (5) an untreated skin-defect sham group (n = 8). Wound healing and wound microenvironment parameters were assessed at regular intervals using macroscopic and microscopic evaluations, as well as various quantitative measurements. The study was terminated when complete wound closure was achieved in all animals of at least one experimental group. Results: The most favorable healing outcomes were observed in the two ADSC-treated groups. More favorable microenvironmental conditions in the stem cell groups were detected from day 14 onward. Complete closure of the dermal defects occurred by day 32 in the ADSC-I group, whereas none of the other groups achieved full wound closure within the study period. Conclusions: Local application of adipose-derived stem cells may accelerate wound healing by favorably modulating the wound microenvironment.
1. Introduction
As the largest organ of the body, the skin serves as the primary interface with the external environment and constitutes the first line of defense in maintaining physiological homeostasis [1]. It senses diverse environmental stressors and initiates adaptive responses through an integrated neuro–immuno–endocrine regulatory network. Through this dynamic framework, the skin helps coordinate local and systemic responses, thereby supporting overall stability and resilience against external challenges [1].
Because the skin is continuously exposed to physical, chemical, and biological insults, injuries occur more frequently in this organ than in most others [2]. A wound is defined as a disruption of the anatomical and functional integrity of a tissue or organ resulting from external injury [3]. The wound microenvironment refers to the local milieu that directly interacts with the wound surface [4]. In extensive and deep skin defects, wound healing is a highly dynamic and complex process that depends on coordinated interactions between the microenvironment and multiple cellular components [5]. This microenvironment is influenced by numerous factors, including pH, antioxidant capacity, glucose availability, temperature, electric fields, moisture content, endogenous biomediators, oxidative stress, cellular debris, vascular supply, and other biological, biochemical, and physical variables [6]. Establishing an optimal microenvironment is therefore essential for rapid and effective wound repair [4]. Stem cells play a central role in this process due to their capacity for self-renewal and differentiation, as well as their ability to modulate the wound microenvironment and thereby enhance tissue restoration in skin defects [7].
Stem cells (SCs) possess the capacity for self-renewal and the ability to differentiate into multiple specialized cell types, making them central to regenerative medicine [8,9,10,11,12,13,14,15,16,17]. Clinically, stem cells are broadly categorized by developmental origin into embryonic and adult stem cells [9]. Among adult stem cells, mesenchymal stem cells (MSCs) have attracted particular interest because they are relatively easy to isolate and expand and exhibit immunomodulatory properties and broad differentiation potential [10]. MSCs can be obtained from various tissues, including adipose tissue (adipose-derived stem cells, ADSCs), bone marrow, umbilical cord, injured tissues, embryonic structures, and hair follicles [15]. Compared with other sources, ADSCs are readily accessible, and their isolation and expansion are relatively straightforward.
Numerous in vivo and in vitro studies have reported that ADSCs can differentiate into cell types representing all three germ layers (endoderm, ectoderm, and mesoderm) [18]. In addition, ADSCs secrete a broad range of growth factors, cytokines, and other bioactive macromolecules, which are delivered to the wound microenvironment, including via microvesicles. These mediators can regulate local inflammation, suppress apoptosis, promote cell proliferation, limit fibrosis, stimulate angiogenesis, and promote the differentiation of stem cells into reparative cell types [18,19,20].
Acellular dermal matrix (ADM) is an acellular biomaterial that can be used as a scaffold for wound healing. They are produced by subjecting harvested skin tissue to a series of processing steps that remove all cellular elements, resulting in complete decellularization while preserving the native extracellular matrix architecture [21,22,23,24,25,26,27]. It typically consists of two layers [28]. The upper layer serves as a protective barrier against environmental exposure by limiting water loss and reducing bacterial contamination, whereas the lower layer is a collagen-rich network that supports cellular infiltration and tissue integration [28]. ADM has been reported to promote wound healing by maintaining wound moisture and acting as a barrier to microorganisms. However, it has also been suggested that ADM may adversely affect healing by decreasing vascularization and reducing tissue oxygenation within the wound bed [28]. These effects may impair immune cell migration due to limited blood supply, and reduced oxygen delivery has been proposed as a contributing factor to hypertrophic scar formation [28].
Our clinic has provided care for a large number of civilian patients injured during the Syrian civil war. Many of these individuals presented with extensive full-thickness skin defects. The current gold standard for managing large and deep traumatic skin injuries is split-thickness autologous skin grafting [29]. In our clinical practice, we primarily used this method for the treatment of widespread full-thickness skin defects. However, a subset of patients lacked sufficient healthy donor skin to allow autograft harvesting, making their treatment particularly challenging. When we reviewed the literature on the management of these challenging cases, we found no clearly established treatment strategies [30]. Most existing experimental skin-defect models are limited to small-area wounds or conditions in which the wound microenvironment is markedly impaired, such as burn injuries or diabetic wounds [31,32,33,34,35,36,37,38]. Moreover, we identified a lack of experimental studies investigating the healing of large skin defects under preserved, optimal wound conditions. Accordingly, the aim of this study was to establish an experimental model of a large, full-thickness skin defect and to evaluate how adipose-derived stem cells influence the wound microenvironment and promote wound healing when delivered using two different local application methods.
2. Materials and Methods
Ethical approval for all animal experiments was obtained from the İnönü University Local Ethics Committee prior to the initiation of the study (Approval No: 2023/9-5).
2.1. Power Analysis
To account for the known influence of sex hormones on skin repair—where estrogens may accelerate healing and androgens may delay it—each experimental group included equal numbers of male and female animals. This balanced design was intended to minimize potential confounding effects of sex hormones on the study outcomes. The tissue samples were labeled according to the gender of the animals during sample collection. Power analysis indicated that a total sample size of 40 rats (n = 8 per group) would achieve a statistical power of 0.8 with an alpha level of 0.05, assuming an effect size of 0.584. Animals were randomly assigned to their respective groups using a computer-generated sequence www.random.org (accessed on 14 August 2023).
2.2. Adipose Tissue Harvesting
Adipose tissue was harvested from six-month-old male rats under general anesthesia, as previously described [39]. Following aseptic preparation and inguinal access, fat pads from the inguinal and flank regions were harvested and transferred into Phosphate-Buffered Saline (PBS) supplemented with penicillin-streptomycin and amphotericin B to prevent contamination.
2.3. Isolation of Adipose-Derived Stem Cells (ADSCs)
ADSC isolation was performed under sterile conditions following protocols previously described in the literature [39,40]. Briefly, adipose tissues were washed with PBS, enzymatically digested with Type II collagenase, and treated with trypsin to facilitate cellular dissociation. Following centrifugation and filtration steps, viable cells were resuspended in high-glucose DMEM supplemented with penicillin-streptomycin and amphotericin B, and cultured under standard conditions. Cell viability was assessed using the Trypan Blue exclusion method. Starting from an initial confluence of about 20% the cultures exhibit slow growth, taking approximately 14 days to reach 70% confluence. This cultivation period effectively selects for a subpopulation of adherent cells from the SVF that possess mesenchymal stem cell (MSC) characteristics.
2.4. Immunocytochemistry for Stem Cell Markers
Immunocytochemistry (ICC) was performed to characterize the expression of stem cell markers in the ADSC. ADSC were cultured until the fusiform cells reached approximately 80% confluence. At this stage, cells were trypsinized and re-seeded onto sterilized coverslips within six-well plates at a density of 3 × 105 cells/well. Immunocytochemistry (ICC) was performed using the UltraVision Detection System (Thermo Scientific, Waltham, MA, USA) according to the manufacturer’s instructions.
Once the subcultured cells reached 80% confluence, the culture medium was aspirated, and the wells were washed three times with ice-cold Phosphate-Buffered Saline (PBS). The cells were then fixed with 2 mL of methanol per well for 5 min. Following fixation, the wells were washed three times with ice-cold PBS and incubated overnight at 4 °C with primary antibodies against CD90 (sc-53116), CD44 (sc-7297), and CD29 (sc-9970) (all from Santa Cruz Biotechnology, Dallas, TX, USA), each at a 1:100 dilution.
After primary incubation, the antibodies were removed, and the wells were washed three times with ice-cold PBS. The cells were then incubated with a biotinylated goat anti-polyvalent secondary antibody (UltraVision Detection System, Thermo Scientific) for 10 min at room temperature. Following three additional washes with PBS, streptavidin-peroxidase was added and incubated for 10 min. Finally, the plates were washed and 3,3′-Diaminobenzidine (DAB) was applied as the chromogenic substrate (UltraVision DAB Substrate System, Thermo Scientific) to visualize the reaction. The reaction was monitored for 15 min until sufficient signal intensity was achieved for visualization. The sections were counterstained by incubating each well with Hematoxylin for 30 s, followed by rinsing under running tap water. Cover slips were then mounted and examined under the microscope (Leica, DMi8; Leica Microsystems GmbH. Ernst-Leitz-Strasse, Wetzlar, Germany).
2.5. Lentiviral Vector Production
Because differentiated stem cells become morphologically indistinguishable from the resident cells of the tissue, it is not possible to identify their fate without prior labeling. Therefore, to determine the proportion of cells within the regenerated tissue that originated from adipose-derived stem cells, we transduced the stem cells with a lentiviral vector expressing green fluorescence detectable by immunofluorescence microscopy. Lentiviral transduction was performed after the second passage of ADSC culture.
HEK 293T cells were grown in DMEM supplemented with 10% FBS and 1% PS under standard conditions (37 °C, 5% CO2). Lentiviral particles were produced by transfecting cells at ~70% confluency with a plasmid mixture containing envelope, packaging, and transfer vectors using FuGENE® HD reagent, as previously described [39]. Viral supernatants were collected 24 h post-transfection, clarified by centrifugation and filtration, and stored at −80 °C until further use.
2.6. Lentiviral Titer Quantification
Lentiviral titers were quantified using a commercial qPCR-based titration kit (ABM Inc., Richmond, Canada) in accordance with the manufacturer’s instructions and previously described protocols [39]. All reactions were performed in triplicate. Viral genome copy numbers were calculated by comparing the obtained cycle threshold (CT) values with a standard curve generated from serial dilutions of known DNA concentrations.
2.7. Viability Testing in ADSCs
The viability of ADSCs following puromycin treatment was assessed, as previously described [39,40]. Cells were exposed to increasing puromycin concentrations (62.5–1000 μg/L) for 24 h, and viability was determined relative to untreated controls. The IC50 value was calculated from the dose–response curve.
2.8. Lentiviral Transduction and Selection of ADSCs
ADSCs were transduced with lentiviral particles at a high MOI of 10 in the presence of 8000 μg/L polybrene, as previously described [39]. After overnight incubation, cells were selected with 250 μg/L puromycin to eliminate non-transduced cells. Transduction efficiency and GFP expression were confirmed by flow cytometry.
2.9. Flow Cytometric Analysis of GFP Expression
Flow cytometry was conducted to assess GFP expression in transduced ADSCs, following established protocols [39]. A total of 10,000 events per sample were acquired using the BD Accuri™ C6 Plus cytometer. Cell debris and dead cells were excluded via FSC/SSC gating, and GFP fluorescence was analyzed using standard excitation/emission settings.
2.10. Preparation of Acellular Dermal Matrix (ADM)
We followed the protocol described by Orbay et al. for the decellularization and recellularization of acellular dermal matrices (ADMs) [41]. After full-thickness resection of the dorsal skin, the specimens were cut into 4 cm2 pieces. To facilitate enzymatic penetration during the decellularization process, the skin pieces were further incised. The samples were then incubated in 0.25% trypsin/1 mmol/L ethylenediaminetetraacetic acid (EDTA) solution (Sigma, T3924) for 5 days. After incubation, the tissues were washed with cold phosphate-buffered saline (PBS), and residual debris was removed. The tissues were subsequently stored in PBS containing penicillin–streptomycin and amphotericin B at 4 °C.
2.11. Recellularization of Acellular Dermal Matrices
Acellular dermal matrices (ADMs) were cut into 4 cm2 sections and seeded with 106 adipose-derived stem cells (ADSCs) per well in 10 mL of culture medium. The constructs were maintained under standard incubation conditions for 10 days. To support optimal cell viability and to eliminate metabolic waste, the culture medium was replaced every 2 days. Following the recellularization period, one representative ADM sample was examined using immunofluorescence microscopy, which confirmed successful ADSC impregnation by the presence of green fluorescent cells.
2.12. Experimental Skin Defect Groups
Albino Sprague–Dawley rats (average age: 6 months) were obtained from the İnönü University Experimental Animal Research Center and housed under standard laboratory conditions with free access to water and identical rat chow. Their general health, behavior, and activity were monitored throughout the study. Because no previously described experimental model defines a large unburned skin defect, we adapted the extensive burn defect model reported in the literature [39], applying the same anesthesia and analgesia regimen without burn induction. Twenty minutes before surgery, general anesthesia was induced with intramuscular xylazine (10 mg/kg; Sanalazin 100, Santavet, Istanbul, Turkey) and ketamine (100 mg/kg; Keta-Control, Doğa Pharmaceuticals, Istanbul, Turkey), and perioperative analgesia was provided with intraperitoneal paracetamol (100 mg/kg; Partemol, VEM Pharmaceuticals, Ankara, Turkey). After marking the excision area, a full-thickness skin defect equivalent to 30% of the total body surface area (TBSA) was created using sharp dissection, with TBSA calculated according to Meeh’s formula based on body weight [39]. The defect area calculated according to the Meeh formula was outlined with a marker pen. Hair within the outlined area was removed using a razor. The dorsal skin at the center of the marked region was gently lifted with surgical forceps, and the elevated skin was excised with scissors. A full-thickness skin excision was then performed using precise, flat, sharp tissue scissors, following the marked borders. Special care was taken to maintain an optimal wound microenvironment by minimizing tissue trauma, ensuring sterility and cleanliness, and preventing exposure to excessive heat or cold. Except for the sham group, all wounds were kept clean and covered with Vaseline-impregnated gauze using standardized dressings.
Because phenotypic transition in ADSCs typically begins after passage 4 (P4), passage 2 (P2) cells were used in all ADSC groups [p]. For treatment allocation, the Stem Cell Group received subdermal injections, Passage 2 [42] of 106 adipose-derived stem cells (ADSCs) suspended in 2 mL DMEM circumferentially around the wound at 1 cm intervals (ADSC-I group). A subdermal injection was administered 0.5 cm proximal to the wound margin. In the Stem Cell–Dermal Matrix Group (ADSC-ADM group), full-thickness acellular dermal matrices (ADMs) recellularized with Passage 2 (P2) 106 ADSCs were used for partial wound closure; although the initial plan was to place the matrix centrally, intraoperative instability required modifying the procedure so that the matrix was secured unilaterally to the right wound border using 5/0 absorbable sutures. In the Dermal Matrix Group (ADM group), ADMs without stem cells were sutured to the wound edge in a similar manner. The Saline Group (SS-I group) received subdermal injections of 2 mL physiological saline following the same pattern as the stem cell injections. The Sham Group underwent defect creation without further intervention. All ADSCs used in the study were allogeneic. All groups, except the Sham group, received intraperitoneal Ringer’s lactate support calculated using the Parkland formula (4 mL × %TBSA × body weight [kg]) to minimize potential postoperative systemic inflammation [39]. A Vaseline-impregnated moist sponge dressing was applied to all treated animals and changed every four days. Body weights were recorded at baseline and immediately prior to sacrifice.
2.13. Tissue Sample Collection
To evaluate the wound healing process, all animals were euthanized on day 32 using the exsanguination procedure, and tissue samples were collected in accordance with previously described procedures [39,43]. Following euthanasia, a 1 × 3 cm full-thickness skin specimen was excised from the central region of the wound for microscopic examination. In the ADSC-ADM group, skin tissue samples for histopathological evaluation were collected from the matrix-treated side at the right wound margin.
2.14. Randomization
In our study, wound diameter measurements, histopathological evaluations, and wound microenvironment measurements were all conducted in a blinded manner.
2.15. Evaluation of the Skin Defect
The wound healing process was quantified by measuring the wound area at set intervals. On the day of surgery (day 0) and every 3–4 days thereafter until complete closure (or up to postoperative day 32), the skin defects were photographed from a standardized distance of 20 cm. The area of each elliptical defect was then calculated using the standard formula, A = π·a·b, where a and b are the semi-major and semi-minor axes of the wound, respectively.
2.16. Histopathological Analysis
Tissue samples were labeled according to the sex of the animals at the time of collection and fixed in 10% neutral buffered formalin for 48 h at room temperature. After fixation, specimens were dehydrated through a graded ethanol series (50–99.9%), cleared in xylene, and embedded in paraffin at 62 °C. Paraffin blocks were sectioned into 5-µm sections using a rotary microtome, mounted on glass slides, and stained with hematoxylin and eosin (H&E) for routine histopathological assessment. For immunohistochemical (IHC) analysis, additional sections were incubated with primary antibodies against Ribosomal Protein S6 (RPS6; clone C-8, sc-74459) and TERT (clone A-6, sc-393013), both from Santa Cruz Biotechnology, Inc. Heidelberg, Germany, applied at a dilution of 1:100.
All slides were examined with a Nikon Eclipse Ni-U light microscope (Nikon Corp., Tokyo, Japan) fitted with a DS-Fi3 digital camera, and image analysis was performed using NIS-Elements Documentation software (version 5.02; Nikon Corporation, Tokyo, Japan).
Inflammatory cell infiltration in hematoxylin and eosin (H&E)–stained skin sections was evaluated by scanning the entire section at ×10 objective magnification. Infiltration was graded as follows: 0 = none; 1 = mild, focal infiltration; 2 = moderate infiltration with increased prevalence and density; and 3 = severe, dense, diffuse infiltration [44].
Epithelialization/keratinization of the epidermal layer at the wound site was also assessed and scored as: 0 = no epithelialization; 1 = partial epithelialization; 2 = continuous epithelialization; and 3 = continuous epithelialization with keratinization [39].
Epidermal and dermal thicknesses were measured at three different points per section, and the mean values were calculated. Vascularization was assessed by counting vascular structures in the dermal layer in three different fields at ×10 objective magnification and scored as: 0 = no vessels; 1 = 1–5 vessels; 2 = 6–10 vessels; and 3 = >10 vessels [39].
For IHC sections, immunoreactivity was evaluated using the semiquantitative H-score method. Staining intensity was graded as 0 (no signal), 1 (weak), 2 (moderate), or 3 (strong), and the H-score was calculated by multiplying intensity values by the percentage of positively stained cells, yielding a final score between 0 and 300. For each slide, the mean H-score was derived from ten consecutive fields evaluated at 100× magnification.
2.17. Evaluation with Immunofluorescence Microscopy
Tissue sections (0.5 × 0.5 cm) were snap-frozen, sectioned, and examined using an immunofluorescence microscope (Nikon Eclipse Ni-U). Also, skin samples were evaluated to determine the extent of adipose-derived stem cell (ADSC) integration into the newly formed tissue.
2.18. Evaluation of Microenvironment Parameters
Measurements of pH, moisture, and temperature at the wound surface were obtained and recorded for all groups. All measurements were performed on days 4, 14, 21, and 28 after creation of the skin defect, in order to coincide with the scheduled dressing changes. Measurements were always taken at the same time of day (between 10:00 and 11:00 a.m.) and from the right edge of the wound on each rat. Temperature and moisture were measured using the Elitech GSP-6 device (Elitech Technology, Inc., 2528 Qume Drive #2, San Jose, CA 95131, USA). Wound surface pH was measured using the ABL800 Flex analyzer (Radiometer Medical APS, Åkandevej 21, DK-2700 Brønshøj, Denmark). In the ADSC-ADM group, wound microenvironment parameters were measured on the right side, where the matrix was applied.
Gemini 3.0 Pro was used for English-language editing (grammar and style) of the manuscript.
3. Statistical Analysis
All statistical evaluations were performed using TURCOSA statistical software Version 1.0 (Turcosa Analitik Co., Ltd., Kayseri, Turkey). The Shapiro–Wilk test was utilized to examine the normality of data distribution. For continuous variables exhibiting normal distribution, one-way ANOVA followed by Bonferroni correction was employed, with results expressed as mean ± standard deviation. Nonparametric data were analyzed using the Kruskal–Wallis test, followed by Conover’s post hoc procedure. For sex-based comparisons of histopathological outcomes, Student’s t-test was used for normally distributed variables, and the Mann–Whitney U test was used for non-normally distributed variables. Results are reported as median values along with their respective minima and maxima. Across all statistical analyses, a 95% confidence level was used. Statistical significance threshold was p < 0.05.
4. Results
No significant changes in body weight were observed in any of the experimental groups throughout the study period. During the follow-up, no clinical signs suggestive of an immunological reaction such as itching, erythema, rash, or edema were observed in the ADSC-treated rats.
4.1. The Results of the ICC
ICC analysis was performed to confirm the phenotypic identity of the cultured SVF cells. The results demonstrated that the isolated cells exhibited robust and consistent expression of the mesenchymal stem cell markers CD90, CD44, and CD29 (Supplementary Figure S1A–C). The majority of the fusiform cell population displayed a positive reaction for all three markers, indicating a high degree of purity and confirming their stem cell-like characteristics.
4.2. Evaluation of Wound Areas in the Experimental Groups
All experimental groups began the study with comparable wound areas, and no significant differences were observed at baseline (Table 1). Macroscopic healing progression is shown in Figure 1. By day 32, the ADSC-I group was the only group to reach the primary endpoint of complete wound closure, achieving 100% healing in all animals. In contrast, none of the remaining groups reached full closure within the study period (Table 1). Among these, the ADSC-ADM group exhibited the greatest reduction in wound area. Notably, the SS-I group also demonstrated improved healing, with significantly smaller wound areas compared with both the ADM and Sham groups, while no statistically significant difference was detected between the ADM and Sham groups.
Table 1.
Macroscopic wound area measurements for all groups at the start and end of the 32-day study period.
Figure 1.
Macroscopic progression of wound healing over 32 days. Representative time-course images of full-thickness skin defects are shown for a single rat from the (a–d) ADSC-I: Adipose Derived Stem Cell Injection group, (e–h) ADSC-ADM: Adipose Derived Stem Cell -Dermal Matrix Group, (i–l) ADM: Dermal Matrix Group, (m–p) SS-I: Saline Group Injection, and (q–t) Sham Group.
Weekly evaluation of wound healing revealed that significant differences among groups first emerged on day 14 (Table 1), indicating that the stem cell–based intervention began to elicit a measurable therapeutic effect at this time point. The temporal progression of wound healing percentages is presented in Figure 2.
Figure 2.
Weekly distribution of wound-healing percentages for each experimental group. Data are presented as mean ± SD; bar heights indicate the mean, and error bars represent the standard deviation. The differences between the groups with different symbols are statistically significant. There is no statistically significant difference between groups with identical symbols (p < 0.001).
4.2.1. Histopathological Evaluation Results
Dermal thickness analysis demonstrated a clear hierarchy among the groups. The thickest dermis was observed in the ADSC-I group, followed by the ADSC-ADM group. The Dermal Matrix and SS-I groups exhibited statistically similar intermediate thickness, both exceeding that of the Sham group, which had the thinnest dermis (Table 2).
Table 2.
Statistical analysis of histopathological parameters in all experimental groups.
Histopathological evaluation showed significant differences among the groups across multiple healing parameters (Table 2). Inflammatory cell infiltration followed a distinct pattern: while the ADSC-I and ADSC-ADM groups demonstrated intermediate levels and did not differ significantly from one another. The highest inflammation scores occurred in the SS-I, ADM and Sham groups, which were statistically comparable (Table 2, Figure 3).
Figure 3.
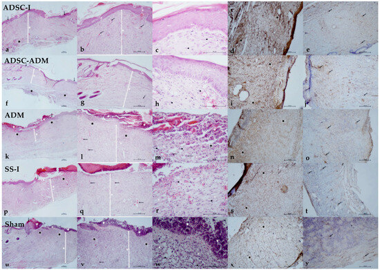
Histological outcomes of the treatment strategies. ADSC-I group (a) Excision margins (black arrow), epidermis (E), dermis (D), inflammatory cell infiltration (asterisk). H&E, ×4. (b) Epidermis (E), dermis (D), vessel (arrow). H&E, ×10. (c) Keratinocyte (arrow), fibroblast (arrowhead), connective tissue collagen (C). H&E, ×40. (d) Anti-rpS6 immunoreactivity in the dermal layer (asterisk). IHC, ×10. (e) Anti-TERT immunoreactivity in the dermal layer (arrow). IHC, ×10. ADSC–ADM group (f) Excision margins (black arrow), epidermis (E), dermis (D), inflammatory cell infiltration (asterisk). H&E, ×4. (g) Epidermis (E), dermis (D), vessel (arrow). H&E, ×10. (h) Keratinocyte (arrow), fibroblast (arrowhead), connective tissue collagen (C). H&E, ×40. (i) Anti-rpS6 immunoreactivity in the dermal layer (asterisk). IHC, ×10. (j) Anti-TERT immunoreactivity in the dermal layer (arrow). IHC, ×10. ADM group (k) Excision margin (black arrow, left), necrotic/granulation tissue (+), dermis (D), inflammatory cell infiltration (asterisk). H&E, ×4. (l) Necrotic/granulation tissue (+), dermis (D), inflammatory cell infiltration (asterisk), vessel (arrow). H&E, ×10. (m) Necrotic/granulation tissue (+), keratinocyte (arrow), macrophage (arrow), fibroblast (arrowhead), inflammatory cell infiltration (asterisk), connective tissue collagen (C). H&E, ×40. (n) Anti-rpS6 immunoreactivity in the dermal layer (asterisk). IHC, ×10. (o) Anti-TERT immunoreactivity in the dermal layer (arrow). IHC, ×10. SS-I (Subdermal saline injection) group (p) Excision margin (black arrow, right), necrotic/granulation tissue (+), epidermis (E), dermis (D), inflammatory cell infiltration (asterisk). H&E, ×4. (q) Necrotic/granulation tissue (+), dermis (D), vessel (arrow). H&E, ×10. (r) Fibroblast (arrowhead), connective tissue collagen (C). H&E, ×40. (s) Anti-rpS6 immunoreactivity in the dermal layer (asterisk). IHC, ×10. (t) Anti-TERT immunoreactivity in the dermal layer (arrow). IHC, ×10. Sham group (u) Excision margin (black arrow, right), necrotic/granulation tissue (+), degenerated epidermis (E), dermis (D), inflammatory cell infiltration (asterisk). H&E, ×4. (v) Necrotic/granulation tissue (+), diffuse inflammatory cell infiltration in the dermal layer (asterisk), dermis (D), vessel (arrow). H&E, ×10. (w) Necrotic/granulation tissue (+), fibroblast (arrowhead), connective tissue collagen (C). H&E, ×40. (x) Anti-rpS6 immunoreactivity in the dermal layer (asterisk). IHC, ×10. (y) Anti-TERT immunoreactivity in the dermal layer (arrow). IHC, ×10.
Neovascularization was most pronounced in the groups receiving stem cell–based treatments. The highest degree of new vessel formation occurred in the ADSC-I group, followed by the ADSC-ADM group. In contrast, the Sham, ADM and SS-I groups exhibited similarly low levels of neovascularization, with no significant differences among them (Table 2, Figure 3).
Telomerase (TERT) expression displayed a similar hierarchical distribution. The ADSC-I and ADSC-ADM groups showed the highest expression levels and were statistically comparable. Intermediate expression was observed in the ADM and SS-I groups, whereas the Sham Group consistently exhibited the lowest TERT levels (Table 2, Figure 3).
The expression of ribosomal protein S6 (rpS6), an important marker of wound healing, also differed significantly. The ADSC-I and ADSC-ADM groups demonstrated the highest rpS6 expression levels, which did not differ significantly from each other. The ADM and SS-I groups displayed intermediate levels, while the Sham Group again showed the lowest expression (Table 2, Figure 3).
4.2.2. Sex-Based Analysis Results of Histopathological Samples
The data were reorganized by sex (female vs. male) for statistical analysis. The results showed no significant sex-related differences in dermal thickness, epidermal thickness, inflammatory cell infiltration, TERT expression, or rpS6 expression. In contrast, vascularization was significantly higher in females. Notably, for all parameters without a statistically significant difference, mean values were consistently higher in the female group than in the male group (Table 3).
Table 3.
Statistical analysis of all histopathological parameters by sex.
4.3. Evaluation of GFP-Expressing ADSCs by Flow Cytometry and Immunofluorescence Microscopy
Immunofluorescence microscopy revealed green fluorescent protein (GFP) labeled cells integrated across all layers of the newly regenerated skin in both the ADSC-I and ADSC-ADM groups (Figure 4). Prior to transplantation, GFP was introduced into ADSCs, and GFP positivity was confirmed and quantitatively assessed by flow cytometry to enable in vivo tracking of the transplanted cells (Supplementary Figure S2). In the ADSC-ADM group, GFP-positive cells were predominantly localized within the tissue adjacent to the implanted matrix. As expected, no GFP signal was detected in the negative Sham group.
Figure 4.
GFP-expressing cells in skin sections were identified by their green fluorescence, visualized at 100× magnification using a FITC filter (EX 465–495 nm) (ADSC-I group).
4.4. Results of Wound Microenvironment Parameter Analysis
4.4.1. Wound Surface pH Results
The pH values of the wound surface in the study groups were subjected to statistical analysis. On day 4, no significant differences in pH were detected among the groups (Table 4, Figure 5).
Table 4.
Statistical analysis results of wound microenvironment parameter measurements obtained at predefined time intervals.
Figure 5.
Changes in wound-surface pH and moisture over time across the experimental groups. Data are presented as mean ± standard deviation (SD); bar heights indicate the mean and error bars indicate the SD. The differences between the groups with different symbols are statistically significant. There is no statistically significant difference between groups with identical symbols (p < 0.001).
By day 14, pH values differed significantly between groups. The Sham group exhibited a significantly lower pH than all other groups, whereas no significant differences were observed among the remaining groups (Table 4, Figure 5).
At day 21, there was no significant difference in pH between the two ADSC-I and ADSC-ADM groups, both of which showed higher pH values compared with the other groups. There was also no significant difference between the SS-I and ADM groups, and both of these groups had higher pH values than the Sham group (Table 4, Figure 5).
On day 28, the Sham group again showed the lowest pH value. The SS-I and ADM groups did not differ significantly from each other; their pH values were higher than those of the Sham group but lower than those of the ADSC-I and ADSC-ADM groups. No significant difference was found between the ADSC-I and ADSC-ADM groups, which exhibited the highest pH values at this time point (Table 4, Figure 5).
4.4.2. Wound Surface Moisture Results
At day 4, there was no significant difference in moisture between the ADSC-I and ADSC-ADM groups, both of which showed higher moisture values than the other groups. There was also no significant difference between the SS-I and ADM groups, and both had higher moisture values than the Sham group (Table 4, Figure 5).
On days 14, 21, and 28, there was no significant difference in moisture between the ADSC-I and ADSC-ADM groups, and both consistently exhibited higher moisture values than the other groups. No significant differences in moisture were observed among the remaining three groups at these time points, and their values were lower than those of the stem cell groups (Table 4, Figure 5).
4.4.3. Surface Temperature Results
As a result of the statistical analysis of temperature measurements for all groups on days 4, 14, 21, and 28, no significant differences were found between the groups at any of these time points (Table 4).
5. Discussion
In this study, complete wound closure of large full-thickness skin defects was achieved within 32 days in the subdermal ADSC-I group. Although the ADSC-ADM group did not reach full closure, it exhibited the smallest residual wound area. Immunohistochemically, expression of TERT and rpS6 markers, closely associated with wound healing, was high in both ADSC-treated groups. Statistical analysis of weekly wound area reduction showed that healing accelerated in the ADSC-I and ADSC-ADM groups from the second week onward, which corresponds to the period during which stem cell differentiation is expected to occur. During the study, interval assessments of wound microenvironment parameters showed that pH and moisture values increased after the second week, particularly in both ADSC-treated groups. We believe this finding indicates that ADSCs accelerate wound healing by modulating the wound microenvironment after the second week. Overall, both ADSC groups demonstrated superior outcomes across histological parameters, particularly with respect to increased angiogenesis and reduced inflammation.
Immunofluorescence microscopy demonstrated integration of GFP-labeled ADSCs throughout all layers of the newly formed tissue in both treatment groups, supporting the conclusion that ADSCs directly contributed to the repair process.
We illustrate in Figure 6 the proposed mechanism by which ADSCs promote wound healing in large skin defects, based on the findings of our study.
Figure 6.
Schematic illustration of the proposed mechanisms by which ADSCs facilitate wound healing, based on the findings of this study.
The beneficial effects of ADSC treatment on wound healing in cutaneous defects have been demonstrated in previous studies [15]. However, how ADSCs modulate and regulate the microenvironment in large wounds remains poorly understood.
In this study, the ADSC groups exhibited a wound microenvironment characterized by higher moisture and pH levels, which we believe had a beneficial effect on wound healing. From day 14, we propose that the wound microenvironment in the ADSC groups is modulated by cytokines, growth factors, and macromolecules secreted by ADSCs (Figure 6). When considered alongside the histopathological findings, these changes appear to support improved healing by regulating inflammation and enhancing angiogenesis.
Studies examining how stem cells alter wound healing have emphasized immunomodulation and paracrine signaling as key mechanisms, rather than direct cellular proliferation [45,46,47]. We propose that, in addition to modulating the wound microenvironment, stem cells may also influence their own differentiation through trophic factors delivered via microvesicles, thereby giving rise to cell types that contribute directly to regenerated skin (Figure 6). This interpretation is supported by our immunofluorescence findings in the ADSC-treated groups, which showed green fluorescence distributed throughout the full thickness of the healed tissue.
In our previous study using a major burn model involving 30% TBSA, subcutaneous stem cell injections resulted in complete wound closure at 70 days [39]. In the present study, the same-sized defects healed in 32 days in the ADSC-I group. This remarkable difference underscores the role of microenvironmental integrity in determining wound healing speed. Burn injuries generate chaotic conditions, including oxidative stress and extensive microvascular damage, which delay healing. In contrast, in the minimal of microenvironmental disruption, epithelial advancement from the wound edges likely progresses more rapidly toward the center, accelerating closure. This insight may help refine future therapeutic strategies for extensive skin injuries. We therefore believe that the more optimal the wound microenvironment becomes, the faster the wound will heal. Accordingly, identifying which microenvironmental parameters are impaired in the early phase of a wound and developing strategies to restore these parameters to homeostatic balance should be a central objective of wound management.
Some of the most notable studies on wound healing in the literature have investigated the use of acellular dermal matrix (ADM) [28,48,49,50]. ADM has been proposed to function as a temporary scaffold until new tissue forms, supporting the development of thicker epidermal and dermal layers and facilitating keratinocyte migration; once tissue regeneration is complete, the matrix is gradually degraded [50]. Accordingly, ADM is generally thought to promote healing primarily by enhancing epithelialization, largely through facilitating keratinocyte migration [28].
However, studies assessing the effects of ADM on cutaneous wounds have yielded inconsistent findings. Carvalho et al. evaluated ADM in a rabbit skin-defect model using histological and histomorphometric analyses and reported no significant improvement in healing [28]. Carvalho et al. found that ADM increased dermal and epidermal thickness but did not affect the rate of wound closure. They attributed this apparent discrepancy to the notion that contraction is the predominant mode of closure in rodents, whereas ADM primarily supports epithelialization via keratinocyte migration; thus, ADM may appear less effective in models where contraction dominates [28]. We believe that this interpretation may be incomplete.
Evidence suggests that the effectiveness of dermal matrices may depend largely on the availability of trophic factors within the wound bed that support adequate healing. In the study by Egaña and colleagues, vascularization of two dermal matrices was evaluated in vitro, and the matrix containing vascular endothelial growth factor showed more successful vascularization, whereas the matrix without a growth factor performed poorly [48]. This implies that a dermal matrix alone may be insufficient to promote optimal healing in the absence of pro-angiogenic signals [48]. Consistent with this view, Liu et al. proposed that because dermal matrices may be associated with limited vascularization, regenerative capacity can be enhanced by stem cell transplantation, with a resulting increase in vascularization mediated by trophic factors secreted by stem cells [49].
Clinical studies have investigated the use of ADMs in humans. In a review by Susini et al., it was stated that deep, extensive full-thickness burns in children—covering up to 73% TBSA—could be treated with ADMs [51]. When we first read this, we considered it an important finding that we might have overlooked in the management of large and deep burns. However, after reviewing the original study cited, we realized that the clinical scenario was not as described. The study referenced in that review was conducted by Branski et al. [30]. In that clinical protocol, Integra® was initially applied in children with extensive deep burns (up to 73% TBSA), and the patients subsequently underwent autografting.
In our own clinical practice, we have also used ADMs for the management of large, severe burns. However, we did not observe that ADM alone could achieve complete wound closure in deep and extensive burns in which donor sites for skin grafting were unavailable. Nevertheless, scarring in these patients was minimal. We therefore suggest that ADM alone may be insufficient to fully close large defects, potentially due to the absence of trophic factors, cytokines, and other bioactive macromolecules required to support angiogenesis, cell migration, and regeneration. We believe that providing these mediators to the wound environment could substantially enhance the regenerative performance of ADMs. One practical strategy to achieve this may be to seed ADMs with stem cells.
In agreement with these reports, our findings showed that ADM alone was unsuccessful, both in promoting wound closure and in increasing dermal and epidermal thickness. We propose that these outcomes are closely related to the status of the wound microenvironment. Key determinants of this microenvironment include growth factors and other bioactive mediators that stimulate angiogenesis and support cell migration and differentiation. We suggest that ADSCs are particularly effective in wound healing because they can actively modulate the wound microenvironment through the secretion of such factors. Conversely, ADM is unlikely to be effective as a stand-alone treatment in large defects unless accompanied by cells and/or bioactive signals capable of supporting vascularization and regenerative remodeling.
In our study, we employed a rat model of wound healing. Because wound repair in rats has several species-specific characteristics, we believe it is important to briefly summarize key aspects of wound healing in this species. It has been claimed that cutaneous wound healing in rodents necessarily occurs through contraction; however, we do not agree with this view. Although contraction plays an important role in wound healing in rodents, wound repair in all mammals is governed by a set of fundamental principles. The central principle is the wound microenvironment. The aim of our study is to demonstrate that wound healing is accelerated when the wound microenvironment is optimized. In the dorsal skin of rodents, one of the major factors that promotes wound closure is contraction [52,53]. The muscle responsible for this contraction is the panniculus carnosus, a thin muscle layer located beneath the skin and firmly attached to it [53]. This muscle is absent in humans but is present in rats, other rodents, cats, dogs, and whales [53]. In species that possess this structure, myofibroblasts derived from the panniculus carnosus muscle and their contractile activity can promote wound closure through contraction during the healing process. In our study, however, we propose that the contraction mechanism does not contribute to wound closure because the panniculus carnosus muscle is removed during the excisional procedure used to create the large full-thickness skin defect. We further claim that, under these conditions, wound healing proceeds predominantly through stem cell induction, resulting in full-thickness restoration of intact skin. We support this claim with immunofluorescence findings. Wounds treated with stem cell therapy were examined under an immunofluorescence microscope and showed continuous green fluorescence throughout the full thickness of the regenerated skin, indicating complete coverage by stem cell–derived tissue. If wound closure had occurred primarily through contraction, as suggested by others, a population of stem cells corresponding to the panniculus carnosus muscle responsible for this contraction should have been detectable within the skin. At the beginning of the study, the panniculus carnosus muscle is clearly visible in skin sections obtained at the time of excisional defect creation (Supplementary Figure S3). In contrast, in the skin sections from the stem cell-treated group sacrificed at the end of the study, the panniculus carnosus muscle is absent (Supplementary Figure S3), supporting our assertion that contraction via this muscle did not play a role in wound closure in this model.
The improved healing observed in the SS-I is noteworthy; In our study, wound closure was statistically faster in the serum saline group; however, this group did not demonstrate favorable wound microenvironmental conditions, as reflected by pH, moisture and temperature measurements. We attribute this effect to a microneedling-like stimulus, as subdermal needle perforation at the wound edges may promote angiogenesis and fibroblast activation, consistent with previously reported mechanisms [54,55].
The optimal outcome of wound healing can be considered complete, scarless closure. However, high expression of histopathological parameters that reflect tissue repair also supports successful healing. In our study, in addition to monitoring macroscopic wound closure, we assessed the expression of rpS6 and telomerase (TERT)—two markers closely associated with wound repair—as histopathological endpoints at the end of the experiment.
Telomeres are DNA sequences within the cell nucleus that influence cellular aging and replicative capacity [56]. Telomerase is the enzyme complex that maintains telomere length [56]. Increased telomere length and telomerase activity have been associated with delayed cellular senescence and enhanced proliferative potential [56]. Accordingly, increased telomerase activity during cutaneous wound healing has been proposed to reflect an accelerated healing process [56]. Ribosomal protein S6 (rpS6) is a component of the 40S ribosomal subunit. In skin wounds, increased rpS6 expression and activation (including phosphorylation) are considered indicators of an active reparative response and have been linked to pro-healing pathways, including angiogenesis [57]. As a result of our study, we found that both telomerase and rpS6 expression were higher in the two local ADSC-treated groups than in the other groups.
ADSCs are thought to regulate wound healing and reduce the risk of fibrosis. In our study, dermal thickness increased significantly in both ADSC-treated groups, and we believe that this increase reflected restoration of normal dermal architecture rather than fibrotic thickening (Supplementary Figure S4). This interpretation is supported by our immunohistochemical findings, which showed significantly higher telomerase (TERT) expression in the ADSC groups. Previous studies have suggested that higher telomerase activity is associated with reduced cutaneous fibrosis [58,59].
Based on evidence that sex hormones influence wound healing—where estrogens may accelerate healing and androgens may impair it [60]—each experimental group was designed to include an equal number of male and female animals. However, sex-stratified analysis of the histopathological data revealed no significant differences between males and females across healing parameters, with the exception of vascularization, which was significantly higher in females.
An important finding of our study is that ADSCs may contribute to defect repair not only through paracrine effects but also—although we could not demonstrate this definitively—by local engraftment and differentiation into cell types that correspond to the missing tissue phenotype. While the underlying mechanism remains unclear, we speculate, in line with previous reports, that ADSCs may be guided toward lineage-specific differentiation by microenvironmental cues within the injured tissue, including the local presence (or relative absence) of key transcriptional regulators and other reprogramming signals in the wound milieu [10]. Thus, the phenotypic fate of ADSCs may have been influenced by the specific microenvironmental conditions at the delivery site.
Several limitations should be considered in interpreting our findings on the wound microenvironment in large, unburned full-thickness skin defects in rats treated with local ADSC applications. First, we were unable to centrally secure the larger ADMs, necessitating unilateral fixation. This likely resulted in uneven cellular distribution and contributed to asymmetric healing, in contrast to the more uniform circumferential delivery achieved with ADSC injections. Accordingly, in the ADSC–ADM group, both the histopathological outcomes and wound microenvironment parameter measurements were obtained from the right side, where the matrix was applied. In addition, we acknowledge the experimental nature of the rat model, which may limit direct translation to human clinical scenarios.
Finally, although we evaluated three key wound microenvironment parameters (pH, moisture, and temperature), other potentially relevant factors—including tissue perfusion and oxygenation, oxidative stress, inflammatory mediators, cytokine and growth factor profiles, and metabolic status—were not assessed. In future studies, we plan to investigate these microenvironmental and systemic changes in greater detail at predefined time intervals.
6. Conclusions
Based on our findings, we propose that in large full-thickness skin defects, ADSCs promote a more favorable wound-surface microenvironment through the growth factors and other bioactive mediators they secrete, which may contribute to accelerated wound healing. Accordingly, we emphasize that a central objective in wound management is to optimize and control the wound microenvironment.
Supplementary Materials
The following supporting information can be downloaded at: https://www.mdpi.com/article/10.3390/biom16020320/s1, Figure S1. Immunocytochemical characterization of adipose-derived stem cells (ADSCs). ADSCs show positive expression of mesenchymal stem cell markers: (A) CD90, (B) CD44, and (C) CD29. Figure S2. Flow Cytometric Analysis of Lentiviral GFP Transduction in ADSCs. Lentiviral GFP transduction in adipose-derived stem cells (ADSCs) was analyzed by flow cytometry using the FITC channel. In the A panel, non-infected ADSCs were shown, and the majority of cells were detected in the GFP-negative population (98.5%). In the B panel, infected but non-selected ADSCs were analyzed, and a marked increase in the GFP-positive cell population (89.3%) was observed. In the C panel, infected ADSCs selected with puromycin were presented, in which the proportion of GFP-positive cells was increased to 94.0%. These results demonstrated that lentiviral transduction was successfully achieved and that puromycin selection effectively enriched the GFP-positive cell population. Figure S3. Representative H&E-stained skin sections from a healthy rat and from a rat whose wound healed following ADSC injection after creation of a full-thickness skin defect. (A) Skin section excised at the beginning of the study to create the defect, showing epidermis (E), dermis (D), subcutaneous layer (S), muscle (M), and hair follicle (H). H&E, ×4. (B) Skin section obtained at the end of the study from a closed wound in the ADSC-I group, showing excision margins (black arrows), epidermis (E), dermis (D), and inflammatory cell infiltration (asterisk); the muscle layer is absent. H&E, ×4. Figure S4. (A) Representative dermal section from healthy rat skin and (B) dermal section from skin healed after ADSC injection following creation of a full-thickness defect. Both sections show a normal-appearing collagen architecture in the dermis. H&E, ×40.
Author Contributions
S.G. conceived, designed and supervised the research, T.T.Ş., B.S., M.G., M.D. (Muhammed Dündar), K.G., E.K., A.K., M.A., S.Y. and M.D. (Mehmet Demircan) analyzed the data and organized the results. S.G., T.T.Ş., B.S. and K.G. did the experimental phase of the study. T.T.Ş. and B.S. produced stem cells. The production of acellular dermal matrix was done by B.S. and T.T.Ş. M.D. (Muhammed Dündar) and A.K. performed the labeling of stem cells with green lentivirus. M.G. and E.K. performed histological evaluation. Statistical analysis did K.G. Macroscopic wound healing was evaluated by S.G. and K.G. The critical analysis and revision was done by S.G., T.T.Ş., K.G., S.Y. and M.D. (Mehmet Demircan). T.T.Ş., B.S., M.G., M.D. (Muhammed Dündar), K.G., E.K., A.K., M.A., S.Y. and M.D. (Mehmet Demircan) wrote the manuscript. All authors have read and agreed to the published version of the manuscript.
Funding
This work was supported by Inonu University Scientific Research Project Coordination Unit (project code: TOA-2024-3403).
Institutional Review Board Statement
Ethical approval for the experimental protocol was granted by the İnönü University Animal Experiments Ethics Committee (Approval No: 2023/9–5; Approval Date: 25 September 2023).
Informed Consent Statement
Not applicable.
Data Availability Statement
The original contributions presented in this study are included in the article. Further inquiries can be directed to the corresponding author.
Acknowledgments
We are sincerely appreciative of the assistance provided by Engin Korkmaz, Suat Tekin, Onur Özkaya and Asiye Beytur throughout the course of this study. Gemini 3.0 Pro was used for English-language editing (grammar and style) of the manuscript. The authors have reviewed and edited the output and take full responsibility for the content of this publication.
Conflicts of Interest
The authors declare that they have no known competing financial interests or personal relationships that could have appeared to influence the work reported in this paper.
References
- Slominski, R.M.; Raman, C.; Jetten, A.M.; Slominski, A.T. Neuro-immuno-endocrinology of the skin: How the environment regulates body homeostasis. Nat. Rev. Endocrinol. 2025, 21, 495–509, Erratum in Nat. Rev. Endocrinol. 2025, 21, 513. https://doi.org/10.1038/s41574-025-01126-8. [Google Scholar] [CrossRef] [PubMed] [PubMed Central]
- McGrath, J.A.; Uitto, J. Structure and Function of the Skin. In Rook’s Textbook of Dermatology; Barker, J., Griffiths, C., Bleiker, T., Simpson, R., Hussain, W., Eds.; John Wiley & Sons: Hoboken, NJ, USA, 2024. [Google Scholar] [CrossRef]
- Okur, M.E.; Karantas, I.D.; Şenyiğit, Z.; Üstündağ Okur, N.; Siafaka, P.I. Recent trends in wound management: New therapeutic choices based on polymeric carriers. Asian J. Pharm. Sci. 2020, 15, 661–684. [Google Scholar] [CrossRef] [PubMed] [PubMed Central]
- Junker, J.P.; Caterson, E.J.; Eriksson, E. The microenvironment of wound healing. J. Craniofac. Surg. 2013, 24, 12–16. [Google Scholar] [CrossRef] [PubMed]
- Li, H.; Li, B.; Lv, D.; Li, W.; Lu, Y.; Luo, G. Biomaterials releasing drug responsively to promote wound healing via regulation of pathological microenvironment. Adv. Drug Deliv. Rev. 2023, 196, 114778. [Google Scholar] [CrossRef] [PubMed]
- Paddle-Ledinek, J.E.; Nasa, Z.; Cleland, H.J. Effect of different wound dressings on cell viability and proliferation. Plast. Reconstr. Surg. 2006, 117, 110S–118S; discussion 119S–120S. [Google Scholar] [CrossRef] [PubMed]
- Hur, Y.H. Epidermal stem cells: Interplay with the skin microenvironment during wound healing. Mol. Cells 2024, 47, 100138. [Google Scholar] [CrossRef] [PubMed] [PubMed Central]
- Weatherbee, B.A.T.; Cui, T.; Zernicka-Goetz, M. Modeling human embryo development with embryonic and extra-embryonic stem cells. Dev. Biol. 2021, 474, 91–99. [Google Scholar] [CrossRef]
- Tian, Z.; Yu, T.; Liu, J.; Wang, T.; Higuchi, A. Introduction to stem cells. Prog. Mol. Biol. Transl. Sci. 2023, 199, 3–32. [Google Scholar] [CrossRef]
- Dulak, J.; Szade, K.; Szade, A.; Nowak, W.; Józkowicz, A. Adult stem cells: Hopes and hypes of regenerative medicine. Acta Biochim. Pol. 2015, 62, 329–337. [Google Scholar] [CrossRef]
- Shokrgozar, M.A.; Fattahi, M.; Bonakdar, S.; Kashani, I.R.; Majidi, M.; Haghighipour, N.; Bayati, V.; Sanati, H.; Saeedi, S.N. Healing potential of mesenchymal stem cells cultured on a collagen-based scaffold for skin regeneration. Iran. Biomed. J. 2012, 16, 68–76. [Google Scholar] [CrossRef] [PubMed]
- Abdel-Gawad, D.R.I.; Moselhy, W.A.; Ahmed, R.R.; Al-Muzafar, H.M.; Amin, K.A.; Amin, M.M.; El-Nahass, E.-S.; Abdou, K.A.H. Therapeutic effect of mesenchymal stem cells on histopathological, immunohistochemical, and molecular analysis in second-grade burn model. Stem Cell Res. Ther. 2021, 12, 308. [Google Scholar] [CrossRef]
- Öksüz, S.; Ülkür, E.; Öncül, O.; Köse, G.T.; Küçükodac, Z.; Urhan, M. The effect of subcutaneous mesenchymal stem cell injection on statis zone and apoptosis in an experimental burn model. Plast. Reconstr. Surg. 2013, 131, 463–471. [Google Scholar] [CrossRef]
- Yang, Y.; Zhang, W.; Li, Y.; Fang, G.; Zhang, K. Scalded skin of rat treated by using fibrin glue combined with allogeneic bone marrow mesenchymal stem cells. Ann. Dermatol. 2014, 26, 289–295. [Google Scholar] [CrossRef] [PubMed]
- Abdul Kareem, N.; Aijaz, A.; Jeschke, M.G. Stem Cell Therapy for Burns: Story so Far. Biologics 2021, 15, 379–397. [Google Scholar] [CrossRef]
- Hassan, W.U.; Greiser, U.; Wang, W. Role of adipose-derived stem cells in wound healing. Wound Repair. Regen. 2014, 22, 313–325. [Google Scholar] [CrossRef]
- Wallner, B.; Öhlbauer, M.; von Rüden, C. Long-term results of split-thickness skin grafting with and without additional dermal matrix in severe traumatic soft tissue defects of the lower limb. Eur. J. Trauma. Emerg. Surg. 2023, 49, 551–557. [Google Scholar] [CrossRef]
- Vasalou, V.; Kotidis, E.; Tatsis, D.; Boulogeorgou, K.; Grivas, I.; Koliakos, G.; Cheva, A.; Ioannidis, O.; Tsingotjidou, A.; Angelopoulos, S. The Effects of Tissue Healing Factors in Wound Repair Involving Absorbable Meshes: A Narrative Review. J. Clin. Med. 2023, 12, 5683. [Google Scholar] [CrossRef] [PubMed] [PubMed Central]
- Balaji, S.; Keswani, S.G.; Crombleholme, T.M. The Role of Mesenchymal Stem Cells in the Regenerative Wound Healing Phenotype. Adv. Wound Care 2012, 1, 159–165. [Google Scholar] [CrossRef] [PubMed] [PubMed Central]
- Raghuram, A.C.; Yu, R.P.; Lo, A.Y.; Sung, C.J.; Bircan, M.; Thompson, H.J.; Wong, A.K. Role of stem cell therapies in treating chronic wounds: A systematic review. World J. Stem Cells 2020, 12, 659–675. [Google Scholar] [CrossRef] [PubMed] [PubMed Central]
- Kirsner, R.S.; Bohn, G.; Driver, V.R.; Mills, J.L., Sr.; Nanney, L.B.; Williams, M.L.; Wu, S.C. Human acellular dermal wound matrix: Evidence and experience. Int. Wound J. 2015, 12, 646–654. [Google Scholar] [CrossRef] [PubMed] [PubMed Central]
- Mazzei, S.; Sindoni, A.; Famà, F.; Bertasi, G.; Buizon, N.J.; Shafei, M.A. Use of human acellular dermal matrix for wound heal-ing in a patient with necrotizing fasciitis, after failure of autologous dermal/epidermal skin graft: A case report. Glob. Surg. 2019, 5, 1–3. [Google Scholar] [CrossRef]
- Hill, D.M. A systematic review of the clinical use of a single-layer bovine collagen-elastin acellular dermal matrix. Burns Open 2024, 9, 100380. [Google Scholar] [CrossRef]
- Petrie, K.; Cox, C.T.; Becker, B.C.; MacKay, B.J. Clinical applications of acellular dermal matrices: A review. Scars Burn. Heal. 2022, 8, 20595131211038313. [Google Scholar] [CrossRef] [PubMed] [PubMed Central]
- Xu, J.; Chen, X.; Wang, J.; Zhang, B.; Ge, W.; Wang, J.; Yang, P.; Liu, Y. An ADSC-loaded dermal regeneration template promotes full-thickness wound healing. Regen. Ther. 2024, 26, 800–810. [Google Scholar] [CrossRef] [PubMed] [PubMed Central]
- Liang, W.; Wu, H.; Tan, L.; Meng, X.; Dang, W.; Han, M.; Zhen, Y.; Chen, H.; Bi, H.; An, Y. Porcine pericardial decellularized matrix bilayer patch containing adipose stem cell-derived exosomes for the treatment of diabetic wounds. Mater. Today Bio 2024, 30, 101398. [Google Scholar] [CrossRef] [PubMed] [PubMed Central]
- Lou, J.; Zhu, X.; Xiang, Z.; Song, J.; Huang, N.; Jin, G.; Cui, S.; Fan, Y.; Li, J. Efficacy of Acellular Dermal Matrix in Improving Clinical Outcomes in Pediatric Burns: A Systematic Review and Meta-Analysis of Randomized Controlled Trials. J. Pediatr. Surg. 2025, 60, 162270. [Google Scholar] [CrossRef] [PubMed]
- Carvalho-Júnior, J.D.C.; Zanata, F.; Aloise, A.C.; Ferreira, L.M. Acellular dermal matrix in skin wound healing in rabbits—Histological and histomorphometric analyses. Clinics 2021, 76, e2066. [Google Scholar] [CrossRef] [PubMed] [PubMed Central]
- Coruh, A.; Yontar, Y. Application of split-thickness dermal grafts in deep partial- and full-thickness burns: A new source of auto-skin grafting. J. Burn. Care Res. 2012, 33, e94–e100. [Google Scholar] [CrossRef] [PubMed]
- Branski, L.K.; Herndon, D.N.; Pereira, C.; Mlcak, R.P.; Celis, M.M.; Lee, J.O.; Sanford, A.P.; Norbury, W.B.; Zhang, X.J.; Jeschke, M.G. Longitudinal assessment of Integra in primary burn management: A randomized pediatric clinical trial. Crit. Care Med. 2007, 35, 2615–2623. [Google Scholar] [CrossRef] [PubMed]
- Zhu, S.; Zhao, B.; Li, M.; Wang, H.; Zhu, J.; Li, Q.; Gao, H.; Feng, Q.; Cao, X. Microenvironment responsive nanocomposite hydrogel with NIR photothermal therapy, vascularization and anti-inflammation for diabetic infected wound healing. Bioact. Mater. 2023, 26, 306–320. [Google Scholar] [CrossRef] [PubMed] [PubMed Central]
- Bi, S.; He, C.; Zhou, Y.; Liu, R.; Chen, C.; Zhao, X.; Zhang, L.; Cen, Y.; Gu, J.; Yan, B. Versatile conductive hydrogel orchestrating neuro-immune microenvironment for rapid diabetic wound healing through peripheral nerve regeneration. Biomaterials 2025, 314, 122841. [Google Scholar] [CrossRef] [PubMed]
- Yang, H.; Lv, D.; Qu, S.; Xu, H.; Li, S.; Wang, Z.; Cao, X.; Rong, Y.; Li, X.; Wu, H.; et al. A ROS-Responsive Lipid Nanoparticles Release Multifunctional Hydrogel Based on Microenvironment Regulation Promotes Infected Diabetic Wound Healing. Adv. Sci. 2024, 11, e2403219. [Google Scholar] [CrossRef] [PubMed] [PubMed Central]
- Bai, H.; Kyu-Cheol, N.; Wang, Z.; Cui, Y.; Liu, H.; Liu, H.; Feng, Y.; Zhao, Y.; Lin, Q.; Li, Z. Regulation of inflammatory microenvironment using a self-healing hydrogel loaded with BM-MSCs for advanced wound healing in rat diabetic foot ulcers. J. Tissue Eng. 2020, 11, 2041731420947242. [Google Scholar] [CrossRef] [PubMed] [PubMed Central]
- Rose, L.F.; Chan, R.K. The Burn Wound Microenvironment. Adv. Wound Care 2016, 5, 106–118. [Google Scholar] [CrossRef] [PubMed] [PubMed Central]
- Zhao, W.; Chen, X.; Han, Z.; Xun, Z.; Qi, Y.; Wang, H.; Chen, C.; Gong, Z.; Xue, X. Nanoenzymes-Integrated and Microenvironment Self-Adaptive Hydrogel for the Healing of Burn Injury and Post-Burn Depression. Adv. Sci. 2025, 12, e2413032. [Google Scholar] [CrossRef] [PubMed] [PubMed Central]
- Atalay, S.; Coruh, A.; Deniz, K. Stromal vascular fraction improves deep partial thickness burn wound healing. Burns 2014, 40, 1375–1383. [Google Scholar] [CrossRef] [PubMed]
- Caliari-Oliveira, C.; Yaochite, J.N.; Ramalho, L.N.; Palma, P.V.; Carlos, D.; Cunha Fde, Q.; De Souza, D.A.; Frade, M.A.; Covas, D.T.; Malmegrim, K.C.; et al. Xenogeneic Mesenchymal Stromal Cells Improve Wound Healing and Modulate the Immune Response in an Extensive Burn Model. Cell Transplant. 2016, 25, 201–215. [Google Scholar] [CrossRef] [PubMed]
- Gürünlüoğlu, K.; Satilmiş, B.; Gül, M.; Dündar, M.; Göktürk, N.; Akbulut, S.; Koç, A.; Gürünlüoğlu, S.; Aslan, M.; Karaaslan, E.; et al. The impact of subdermal adipose derived stem cell injections and early excision on systemic oxidative stress and wound healing in rats with severe scald burns. Burns 2024, 50, 2056–2069. [Google Scholar] [CrossRef] [PubMed]
- Sowa, Y.; Kishida, T.; Imura, T.; Numajiri, T.; Nishino, K.; Tabata, Y.; Mazda, O. Adipose-Derived Stem Cells Promote Peripheral Nerve Regeneration In Vivo without Differentiation into Schwann-Like Lineage. Plast. Reconstr. Surg. 2016, 137, 318e–330e. [Google Scholar] [CrossRef] [PubMed]
- Orbay, H.; Takami, Y.; Hyakusoku, H.; Mizuno, H. Acellular dermal matrix seeded with adipose-derived stem cells as a subcutaneous implant. Aesthetic Plast. Surg. 2011, 35, 756–763. [Google Scholar] [CrossRef] [PubMed]
- Requicha, J.F.; Viegas, C.A.; Albuquerque, C.M.; Azevedo, J.M.; Reis, R.L.; Gomes, M.E. Effect of anatomical origin and cell passage number on the stemness and osteogenic differentiation potential of canine adipose-derived stem cells. Stem Cell Rev. Rep. 2012, 8, 1211–1222. [Google Scholar] [CrossRef] [PubMed]
- Tobar Leitão, S.A.; Soares, D.D.S.; Carvas Junior, N.; Zimmer, R.; Ludwig, N.F.; Andrades, M. Study of anesthetics for euthanasia in rats and mice: A systematic review and meta-analysis on the impact upon biological outcomes (SAFE-RM). Life Sci. 2021, 284, 119916. [Google Scholar] [CrossRef] [PubMed]
- de Moura Estevão, L.R.; Cassini-Vieira, P.; Leite, A.G.B.; de Carvalho Bulhões, A.A.V.; da Silva Barcelos, L.; Evêncio-Neto, J. Morphological Evaluation of Wound Healing Events in the Excisional Wound Healing Model in Rats. Bio Protoc. 2019, 9, e3285. [Google Scholar] [CrossRef] [PubMed] [PubMed Central]
- Francis, E.; Kearney, L.; Clover, J. The effects of stem cells on burn wounds: A review. Int. J. Burns Trauma. 2019, 9, 1–12. [Google Scholar] [PubMed] [PubMed Central]
- Ghieh, F.; Jurjus, R.; Ibrahim, A.; Geagea, A.G.; Daouk, H.; El Baba, B.; Chams, S.; Matar, M.; Zein, W.; Jurjus, A. The Use of Stem Cells in Burn Wound Healing: A Review. Biomed. Res. Int. 2015, 2015, 684084. [Google Scholar] [CrossRef]
- Nourian Dehkordi, A.; Mirahmadi Babaheydari, F.; Chehelgerdi, M.; Raeisi Dehkordi, S. Skin tissue engineering: Wound healing based on stem-cell-based therapeutic strategies. Stem Cell Res. Ther. 2019, 10, 111. [Google Scholar] [CrossRef] [PubMed]
- Egaña, J.T.; Fierro, F.A.; Krüger, S.; Bornhäuser, M.; Huss, R.; Lavandero, S.; Machens, H.G. Use of human mesenchymal cells to improve vascularization in a mouse model for scaffold-based dermal regeneration. Tissue Eng. Part. A 2009, 15, 1191–1200. [Google Scholar] [CrossRef] [PubMed]
- Liu, S.; Zhang, H.; Zhang, X.; Lu, W.; Huang, X.; Xie, H.; Zhou, J.; Wang, W.; Zhang, Y.; Liu, Y.; et al. Synergistic angiogenesis promoting effects of extracellular matrix scaffolds and adipose-derived stem cells during wound repair. Tissue Eng. Part A 2011, 17, 725–739. [Google Scholar] [CrossRef] [PubMed]
- Goodarzi, P.; Falahzadeh, K.; Nematizadeh, M.; Farazandeh, P.; Payab, M.; Larijani, B.; Tayanloo Beik, A.; Arjmand, B. Tissue Engineered Skin Substitutes. Adv. Exp. Med. Biol. 2018, 1107, 143–188. [Google Scholar] [CrossRef] [PubMed]
- Susini, P.; Certini, M.; Marcaccini, G.; Mazzotta, R.; Cuomo, R.; Nisi, G.; Grimaldi, L.; Facchini, F. Pediatric Burns: Biological and Tissue Engineered Skin Substitutes-A Systematic Review. J. Clin. Med. 2025, 14, 7981. [Google Scholar] [CrossRef] [PubMed] [PubMed Central]
- Zhou, S.; Wang, W.; Zhou, S.; Zhang, G.; He, J.; Li, Q. A Novel Model for Cutaneous Wound Healing and Scarring in the Rat. Plast. Reconstr. Surg. 2019, 143, 468–477. [Google Scholar] [CrossRef] [PubMed]
- Naldaiz-Gastesi, N.; Bahri, O.A.; López de Munain, A.; McCullagh, K.J.A.; Izeta, A. The panniculus carnosus muscle: An evolutionary enigma at the intersection of distinct research fields. J. Anat. 2018, 233, 275–288. [Google Scholar] [CrossRef] [PubMed] [PubMed Central]
- Zduńska, K.; Kołodziejczak, A.; Rotsztejn, H. Is skin microneedling a good alternative method of various skin defects removal. Dermatol. Ther. 2018, 31, e12714. [Google Scholar] [CrossRef] [PubMed]
- Liu, X.; Barresi, R.; Kaminer, M.; Qian, K.; Thillou, F.; Bataillon, M.; Liao, I.-C.; Zheng, Q.; Bouez, C. Utilization of ex vivo tissue model to study skin regeneration following microneedle stimuli. Sci. Rep. 2022, 12, 18115. [Google Scholar] [CrossRef]
- Gürünlüoğlu, K.; Demircan, M.; Koç, A.; Koçbıyık, A.; Taşçı, A.; Durmuş, K.; Gürünlüoğlu, S.; Gözükara Bağ, H. The Effects of Different Burn Dressings on Length of Telomere and Expression of Telomerase in Children With Thermal Burns. J. Burn. Care Res. 2019, 40, 302–311. [Google Scholar] [CrossRef] [PubMed]
- Ring, N.A.R.; Dworak, H.; Bachmann, B.; Schädl, B.; Valdivieso, K.; Rozmaric, T.; Heimel, P.; Fischer, I.; Klinaki, E.; Gutasi, A.; et al. The p-rpS6-zone delineates wounding responses and the healing process. Dev. Cell 2023, 58, 981–992.e6. [Google Scholar] [CrossRef] [PubMed]
- De Felice, B.; Wilson, R.R.; Nacca, M. Telomere shortening may be associated with human keloids. BMC Med. Genet. 2009, 10, 110. [Google Scholar] [CrossRef] [PubMed] [PubMed Central]
- Shang, Y.; Yu, D.; Hao, L. Liposome-Adenoviral hTERT-siRNA Knockdown in Fibroblasts from Keloids Reduce Telomere Length and Fibroblast Growth. Cell Biochem. Biophys. 2015, 72, 405–410. [Google Scholar] [CrossRef] [PubMed]
- Gilliver, S.C.; Ashcroft, G.S. Sex steroids and cutaneous wound healing: The contrasting influences of estrogens and androgens. Climacteric 2007, 10, 276–288. [Google Scholar] [CrossRef]
Disclaimer/Publisher’s Note: The statements, opinions and data contained in all publications are solely those of the individual author(s) and contributor(s) and not of MDPI and/or the editor(s). MDPI and/or the editor(s) disclaim responsibility for any injury to people or property resulting from any ideas, methods, instructions or products referred to in the content. |
© 2026 by the authors. Licensee MDPI, Basel, Switzerland. This article is an open access article distributed under the terms and conditions of the Creative Commons Attribution (CC BY) license.





