Abstract
Increasing evidence implicates mitochondrial/cellular dynamics in ischemia reperfusion (I/R)-induced acute kidney injury (AKI). Sodium-glucose-co-transporter-2 inhibitors (SGLT2is, e.g., canagliflozin, CG) have been shown to mitigate I/R-induced AKI. Here, we hypothesized that CG-improved AKI was associated with altered mitochondrial dynamics and apoptosis in a previously established swine model. CG (300 mg, PO) significantly increased pro-apoptotic genes Bid, Bad, Bax, Bak1 and Casp1 expression (all p < 0.05). Pink1 (p = 0.0019), Optn (p = 0.038), and Map1lc3 (p = 0.0093) expression also increased with CG, implicating mitophagy; PINK1 protein levels were unchanged. The expression of mitochondrial fission regulator Fis1 increased with CG treatment (p = 0.0015) while fusion regulator Opa1 expression decreased (p = 0.038). TUNEL staining showed increased apoptosis primarily in damaged proximal tubular cells of CG animals. Ki67 staining revealed I/R-injury increased cell proliferation throughout the kidney, which was significantly attenuated with CG. Moreover, correlative analysis revealed that AKI severity positively correlated with cell proliferation. In this large animal model, CG reduced AKI via increased mitochondrial fission and pro-apoptotic gene expression, potentiating clearance of damaged mitochondria, and decreased cell proliferation. Future studies should evaluate other SGLT2is as a potential therapeutic for I/R AKI.
1. Introduction
Acute kidney injury (AKI) is a multifaceted clinical syndrome characterized by a rapid decline in kidney function, clinically resulting in reduced creatinine clearance, and increased blood urea nitrogen (BUN). AKI arises from diverse etiologies, including nephrotoxic drugs, septic shock, traumatic injury, renal transplantation, and cardiopulmonary bypass, and is strongly associated with morbidity and mortality [1]. In both civilian and military trauma populations, AKI following hemorrhagic shock remains a particularly devastating complication [2,3]. Even transient AKI episodes may accelerate progression to chronic kidney disease, worsen surgical outcomes, and contribute to multi-organ dysfunction [4].
Ischemia-reperfusion (I/R) injury is a leading mechanism of AKI in trauma and surgical contexts. Renal I/R occurs when blood flow is abruptly interrupted, followed by reperfusion that paradoxically amplifies injury. Prolonged ischemia depletes oxygen and nutrients, disrupts microvascular integrity, and primes tissue for reperfusion stress [5]. Upon reperfusion, a flood of reactive oxygen species (ROS), inflammatory mediators, and endothelial dysfunction further propagate injury [6]. The use of Resuscitative Endovascular Balloon Occlusion of the Aorta (REBOA), while lifesaving in non-compressible torso hemorrhage, imposes profound ischemic stress on the kidneys and increases the risk of I/R-induced AKI [7]. At present, the main line of defense against AKI involves renal replacement therapy for mitigation of metabolic consequences and comfort measures, with no disease-modifying therapies. This underscores the urgent need for novel and targeted interventions to protect the kidney in high-risk resuscitation settings.
One such target is the mitochondria, which play a central role in regulating energy metabolism, redox balance, and cell death in the kidney. I/R-induced AKI disrupts mitochondrial quality control and biogenesis, leading to dysfunction in key processes such as DNA repair, fission–fusion dynamics, and mitophagy [8]. Compromised mitochondria exhibit impaired ATP generation, reduced fatty acid and amino acid metabolism [8], and excessive release of ROS and pro-apoptotic factors, culminating in proximal tubular cell death. Dysregulated mitophagy further exacerbates injury by allowing the accumulation of damaged organelles and uncontrolled inflammation [9]. Thus, maintenance of mitochondrial dynamics and quality is essential for the kidneys’ ability to rebound from injury and prevent progression to chronic kidney disease.
Sodium glucose co-transporter 2 inhibitors (SGLT2is) are a class of FDA-approved medications that target glucose reabsorption within the proximal tubule. SGLT2 is the primary glucose transport protein in the proximal tubule of the nephron and contributes to around 90% of glucose that is resorbed. SGLT2is promote urinary excretion of glucose, sodium, and water, which lowers blood glucose and blood pressure, improves tubular oxygenation, reduces volume load, and reduces intraglomerular pressure via tubuloglomerular feedback [10]. Beyond metabolic effects, SGLT2is slow chronic kidney disease progression in patients with Type 2 diabetes [11,12], increase mitochondrial fission, and alter mitophagy and proapoptotic signaling, aiding in the maintenance of mitochondrial homeostasis in rodent AKI [13].
We have previously demonstrated that canagliflozin (CG), an SGLT2i, improves hemodynamics and attenuates I/R-induced AKI in a swine model [14]. However, the molecular mechanisms underlying this protection remain unclear. Prior work in obesity mouse models suggests that CG modulates mitochondrial dynamics, increasing fusion markers while reducing fission [15]. In this follow-up study, we investigated whether CG mitigates renal I/R injury in swine through regulation of mitochondrial function, apoptosis, and mitophagy. We hypothesized that CG would mitigate AKI through regulatory changes to apoptotic and mitophagic pathways, including targeted destruction and removal of damaged cellular material, as well as altered mitochondrial dynamics to conserve optimal kidney function.
2. Materials and Methods
2.1. Swine and Hemorrhagic Shock Model for I/R-Induced AKI
Female Yorkshire-cross swine (n = 20, weighing 68.35 ± 0.98) were purchased from Animal Biotech Industries (Doylestown, PA, USA). This study was ethically approved by the local Institutional Animal Care and Use Committee (IACUC) and all animal care was in strict compliance with the Guide for the Care and Use of Laboratory Animals and the National Institutes of Health Guide for the care and use of Laboratory Animals (NIH Publications No. 8023) in a facility accredited by the Association for the Assessment and Accreditation of Laboratory Animal Care International.
This study represents a follow-up to a previously established swine I/R hemorrhage model of AKI described previously [14]. Briefly, anesthetized swine were instrumented for injury and physiological monitoring for the experiment. Using percutaneous catheters, animals underwent 25% blood volume-controlled hemorrhage, with a balloon catheter (REBOA) advanced until the level of the renal arteries, which was confirmed by C-arm fluoroscopy. I/R-injury was subsequently initiated with 90 min occlusion of the aorta at the level of the renal arteries, at which point animals were randomized to receive either canagliflozin (n = 8300 mg, PO) or a negative vehicle control (n = 8, untreated: saline) 5 min into occlusion. After occlusion of the renal arteries, there was a 6 h ICU period, at which point animals were humanely euthanized and kidneys were collected. In that study, AKI was defined by serum creatinine and blood urea nitrogen, as well as urinary neutrophil gelatinase-associated lipocalin (NGAL), which were measured with a veterinary chemistry analyzer (HESKA, Loveland, CO, USA) and a commercially available ELISA (BioPorto Diagnostics, Hellerup, Denmark, Cat No. 044), respectively. In this study, four additional uninjured pigs were induced with anesthesia, but not injured, to be used as a comparator.
2.2. RNA Isolation and Quantification of Gene Expression
Flash-frozen kidney tissues containing both cortex and medulla (100 mg) were homogenized using a ceramic bead tissue disrupter system (VWR, Radnor, PA, USA, Cat No. 1432-0367) with 0.7 mL Qiazol solution for each sample. Total RNA was subsequently isolated from each sample using the miRNeasy Plus Mini kit (Qiagen, Germantown, MD, USA, Cat No. 217004). To eliminate genomic DNA contamination, an on-column DNase digestion step was performed using the Rnase-free Dnase Digestion Kit (Qiagen, Cat No. 79254) following the manufacturer’s specifications. Total RNA concentration and quality were assessed using a spectrophotometer (NanoDrop One, Thermo Fisher Scientific, Waltham, MA, USA). Samples yielding RNA with an A260/280 between 1.8 and 2.2 and a concentration sufficient for subsequent steps were considered for further analysis. Approximately 500 ng of extracted RNA was converted into cDNA using the High-Capacity cDNA Reverse Transcription kit (AppliedBiosystems, Foster City, CA, USA, Cat. No. 43-688-14).
A total of 38 genes were methodically selected for the study, covering gene functional groups related to apoptosis, inflammation, and mitochondrial dynamics (including fusion and fission). Primer sequences for these genes were designed and constructed by Bio-Rad Laboratories and incorporated into 384-well plates. The qPCR reactions were performed using the QuantStudio 7 Pro Real-Time PCR System (Applied Biosystems, Ref. No. A43164) using the SsoAdvanced Universal SYBR Green Supermix (Bio-Rad, Hercules, CA, USA; Cat. No. 1725274). The plates were run with an optimized concentration of 10 ng cDNA per well [16,17] and contained samples from the untreated group (n = 8, received saline), uninjured animals (n = 4), and CG-treated animals (n = 8, received 300 mg PO CG). Fold change in expression was calculated using the method using the geometric mean of the two housekeeping genes GAPDH and -actin and the ΔCt for each gene from uninjured animals for normalization [18]. Outliers were identified and removed using the ROUT method (Q = 1%) within GraphPad Prism (Version 9, Boston, MA, USA).
2.3. Western Blot Analysis
Flash-frozen kidney tissues (approximately 100 mg, encompassing equal parts cortex and medulla) were excised and homogenized on ice. Tissue was placed into 2 mL Ceramic Hard Tissue Bead Homogenizing Tubes (VWR, Radnor, PA, USA, Cat. No. 10158-612) with 1.5 mL of cold RIPA buffer (Thermo Fisher Scientific, Ref. No. 89901) and was placed in the tissue disruptor (VWR, as above) at a speed of 4 for 6 min. The resulting lysates were clarified by centrifugation at 12,000 rpm for 20 min at 4 °C. The supernatant containing the total protein extract was transferred to a fresh tube. Total protein concentration was subsequently determined using the Pierce BCA Protein Assay Kit (Thermo Fisher Scientific, Cat. No. 23225) according to the manufacturer’s specifications.
For SDS-PAGE, 25 μg kidney lysate per sample (n = 19) was prepared. Samples were combined with 10× NuPAGE Sample Reducing Agent (Invitrogen, Waltham, MA, USA, Ref. No. 1243807), 4× NuPAGE Loading Buffer (Invitrogen, Ref. No. 1249698), and Pierce RIPA buffer (Thermo Fisher Scientific, Ref. No. 89901) to achieve the final loading volume. Samples were denatured by heating at 95 °C for 10 min, briefly vortexed, and then loaded onto 4–12% Bis-Tris 18-well precast gels (Bio-Rad, Cat. No. 3450124). Electrophoresis was run using NuPAGE SDS Running Buffer (Thermo Fisher Scientific, Cat No. NP000202) initially at 50 V for 5 min and then 100 V until the dye front reached the bottom of the gel. Separated proteins were transferred from the gel to 0.2 μm PVDF membranes (Bio-Rad, Cat. No. 1704156) using a semi-wet transfer method with the Trans-Blot Turbo Transfer System (Bio-Rad, Cat. No. 1704150) for 15 min at 25 V and 1 A. Transfer efficacy was verified by the visibility of a pre-stained protein ladder (Chameleon Duo Pre-Stained Protein Ladder, Licor, Lincoln, NE, USA, Cat No. 928-60000).
Following successful transfer, membranes were washed three times with 1× TBS (Tris-buffered Saline) and once with 1× TBST (Tween-20, Thermo Fisher Scientific, Lot No. 240204). Membranes were blocked for 1 h at room temperature using StartingBlock T20 (TBS) Blocking Buffer (Thermo Fisher Scientific, Ref. No. 37543). Primary antibodies were diluted in the blocking buffer and incubated with the membranes at 4 °C overnight. The following primary antibodies and concentrations were used: Caspase1 1:2000 (LSBio, Seattle, WA, USA, Cat. No. LS-C293197), Pink1 1:500 (Proteintech, Rosemont, IL, USA, Cat. No. 23274-1-AP), IL-18 1:100 (R&D Systems, Minneapolis, MN, USA, Cat. No. AF588), IL-1β 1:500 (Invitrogen, Ref. No. ASC0912), Fis1 1:1000 (Proteintech, Cat. No. 10956-1-AP), and Opa1 1:1000 (Invitrogen, Ref. No. PA1-16991). Membranes were then washed three times with TBS and once with TBST, followed by incubation with the appropriate secondary antibody at 1:12,500 (LiCor Goat Anti-rabbit, Cat. No. 926-68071 or LiCor Donkey Anti-goat, Cat. No. 926-68074) for 1 h at room temperature. Bands were detected using the Odyssey CLx imager (LiCor), and densitometries were quantified with the ImageStudio software (LiCor, Version 6), with the signal for the target proteins normalized to the corresponding β-actin loading control signal. Membranes were stripped using Restore PLUS Western Blot Stripping Buffer (Thermo Scientific, Ref. No. 46430) prior to re-probing with the housekeeping primary antibody -actin (Cell Signaling, Cat. No. 4970S) at a concentration of 1:12,500. Imaging and quantification for β-actin were performed as previously described.
2.4. Histology
Immediately following euthanasia, kidney tissues were harvested and fixed in 10% neutral-buffered formalin (Epredia, Kalamazoo, MI, USA, Ref No. 9400-1) for a minimum of 48 h. Fixed tissues were then processed via graded alcohol dehydration and embedded in paraffin to produce paraffin-embedded tissue blocks. Sections of 5 μm thickness were cut from these blocks for staining.
Terminal deoxynucleotidyl transferase dUTP nick end labeling (TUNEL) staining was performed to detect apoptotic cells using the TUNEL Assay Kit—HRP-DAB (Abcam, Waltham, MA, USA, Cat. No. ab206386) according to the manufacturer’s protocol. Stained slides were mounted using Limonene Mounting Medium (Abcam, Cat. No. ab104141) for subsequent microscopy.
Immunohistochemistry (IHC) staining for Ki67, a marker of cell proliferation, was automated using the Leica Bond RXm (Leica Biosystems, Deer Park, IL, USA). The automated procedure included baking, dewaxing, and antigen retrieval. The primary antibody, anti-KI67 antibody (MyBioSource, San Diego, CA, USA, Cat. No. MBS5306554), was diluted to a concentration of 1:400 and incubated for 30 min. Signal detection was achieved using the Leica Bond Polymer Refine Detection Kit (Cat. No. DS9800), which utilizes diaminobenzidine (DAB) chromogen. Upon completion, slides were dehydrated, cleared, and cover-slipped.
TUNEL-stained slides were digitized with the Axioscan Z.1 slide scanner (Zeiss, Oberkochen, Germany) utilizing the Zeiss ZEN software (Version 2.6, Zeiss). High-resolution images were acquired using the 20× objective lens in brightfield mode. High-resolution and magnified images were qualitatively studied for differences in the TUNEL signal.
Ki67 IHC slides were imaged using the Leica DM2500 LED (Leica Microsystems, Wetzlar, Germany) and LAS software version 3.7.6.25997 (Leica Application Suite, Leica Microsystems). Four representative 20× magnification images were obtained from both the cortex and medulla of each kidney section. Quantitative analysis was performed using ImageJ FIJI analysis software (v1.54p, Bethesda, MD, USA). The color deconvolution technique was applied to isolate the brown DAB signal from the blue hematoxylin counterstain. This histogram threshold was manually adjusted to consistently identify a positive DAB signal. The percent area of positive DAB staining was measured for each field, and the total percent area was averaged for all cortex and medulla images for each animal.
2.5. Statistical Analysis
All analyses were performed using GraphPad Prism software (v10.6.1, Boston, MA, USA). Data distributions were assessed for normality using the Shapiro–Wilk test. Normally distributed data is presented as the mean ± standard error of the mean (SEM), while non-normally distributed data is reported as the median and interquartile range (IQR). Statistical significance was defined as a p < 0.05. Gene expression data were analyzed with Welch’s t-test or Mann–Whitney tests, as appropriate. For comparisons involving three or more groups, statistical evaluation was performed using either a one-way or two-way Analysis of Variance (ANOVA). Tukey’s multiple comparisons posthoc tests, or Kruskal–Wallis testing followed by Dunn’s multiple comparisons test, were utilized depending on normality. Lastly, simple linear regression was used to determine the relationship with molecular findings and biomarkers of AKI.
3. Results
3.1. Canagliflozin Exacerbates Pro-Apoptotic Gene Expression Following I/R Injury
Gene expression analysis was performed on core regulators of the intrinsic apoptotic pathways, including Bak1, Bax, Bad, and Bid (Figure 1A), as they work to directly induce cell death through regulation of mitochondrial outer membrane permeabilization and apoptosis. I/R injury increased the expression of Bak1 by 6.76 (IQR: −6.00 to 19.53)-fold and Bax by 4.81 ± 1.73-fold. CG treatment drastically exacerbated this pro-apoptotic response, resulting in a significantly higher expression of Bak1 by 30.90-fold (IQR: 11.77 to 50.03) and Bax (16.27 ± 2.96-fold) compared to uninjured controls (p = 0.0047 and p = 0.0076, respectfully). Similarly, while Bad and Bid were not significantly altered in untreated animals compared to uninjured controls, CG treatment upregulated the expression within the kidney by 6.61 (IQR: 1.75 to 11.47)-fold and 4.51 ± 0.63-fold, respectively, compared to uninjured animals (p = 0.014 and p = 0.018). Conversely, expression of the anti-apoptosis marker Bcl2a1 remained unchanged across all groups (p = 0.67; Figure 1B). Expression of Mcl1 increased comparably in both untreated (3.19 ± 0.33-fold) and CG (3.61 ± 0.34-fold) groups relative to uninjured animals, showing no difference between the I/R groups (p = 0.38; Figure 1B).
Figure 1.
Effect of Canagliflozin on Bcl2 Family Gene Expression in the Kidney. (A) Pro-apoptotic gene expression. Relative mRNA fold-change of pro-apoptotic Bcl2 family members (Bak1, Bax, Bad, and Bid) in untreated (n = 8) and CG-treated animals (n = 8). CG treatment significantly exacerbated the expression of these genes following I/R injury. (B) Anti-apoptotic gene expression. Relative mRNA fold-change of anti-apoptotic markers (Bcl2a1 and Mcl1) showing no significant difference between untreated and CG groups. All gene expression data were obtained via RT-qPCR and normalized to uninjured control animals (n = 4). Fold change was determined using the method (normalized to the geometric mean of β-actin and GAPDH). Data are presented as the mean ± SEM or median (IQR) based on distribution analysis * p < 0.05; ** p < 0.01.
3.2. Caspase1 Gene Induction Does Not Translate to Increased Protein Levels or Tubular Apoptosis
Gene expression of the inflammatory and apoptotic initiator Caspase1 (Casp1) and its downstream effector Il18 were analyzed (Figure 2A). I/R injury led to an increase in Casp1 mRNA expression, but CG treatment significantly induced its expression (1.43 ± 0.21-fold, p = 0.0029) compared to untreated. Conversely, Il18 mRNA was decreased following I/R in untreated animals, and CG treatment resulted in an even further significant decrease in expression (0.15 ± 0.047-fold, p < 0.001). Despite the Casp1 gene upregulation, Western blot analysis showed that the 90 kDa uncleaved CASP1 tended to be lower in CG-treated animals compared to untreated (p = 0.10) and was significantly lower compared to uninjured controls (p = 0.017; Figure 2B,C). The level of cleaved (active) CASP1 (55 kDa) was unchanged between CG and untreated animals (p = 0.95), though CG levels were non-significantly decreased compared to uninjured (p = 0.35). Moreover, protein levels of NLRP3 (NOD-, LRR- and pyrin domain-containing protein 3), IL-18 and IL-1β, downstream products of inflammasome activation, were also unchanged with IRI (Supplementary Figure S1).
Figure 2.
Analysis of Apoptosis via Caspase-1 and TUNEL Staining. (A) Caspase1 (Casp1) and Il18 gene expression. Relative mRNA fold-change showing significant upregulation of Casp1 response in CG-treated animals (n = 8) compared to untreated (n = 8), alongside a significant reduction in the downstream effector Il18. All data normalized to uninjured controls (n = 4). (B) Representative Western blot of Caspase1 (CASP1). Original Western blot image can be found in Supplementary Materials. Western blot image showing uncleaved CASP1 (90 kDa) and cleaved CASP1 (55 kDa) isoforms across uninjured control (n = 4), untreated (n = 8), and CG-treated animals (n = 7). β-actin (42 kDa) serves as the loading control. (C) Quantitative analysis of CASP1 Protein. Densitometric analysis of CASP1 protein bands, normalized to β-actin. One-way ANOVA revealed significantly reduced CASP1 levels in CG-treated animals compared to uninjured controls. (D) TUNEL Staining in kidney tissue. Representative images of TUNEL-stained FFPE kidney sections. Untreated animals primarily exhibit generalized tubular damage, while CG-treated animals show a more pronounced TUNEL signal, predominantly in the proximal tubules. Scale bar 50 microns (μm). * p < 0.05; ** p < 0.01, *** p < 0.001.
TUNEL staining (Figure 2D), a marker for DNA fragmentation during apoptosis, revealed that while untreated animals displayed generalized tubular damage, similar to our previous results [14], CG-treated animals showed an increased targeted apoptotic signal primarily within the proximal tubules. This finding suggests that the increased cell death induced by CG is mediated by Caspase−1-independent pathways.
3.3. Mitophagy-Related Genes Are Significantly Upregulated in Canagliflozin-Treated Animals
To evaluate CG’s potential impacts on mitophagy (mitochondrial autophagy), several related genes were studied (Figure 3A). Expression of the mitochondrial serine/threonine kinase Pink1 was increased by 2.43 (IQR: 0.44 to 4.41)-fold in the untreated group following I/R, but was significantly further increased with CG-treatment by 8.35 (IQR: 5.45 to 11.25)-fold (p = 0.0019). Similarly, the autophagy receptor Optn and the autophagosome marker Map1lc3 were both significantly upregulated in the CG group. Optn increased by 4.08 (IQR: 2.36 to 5.81)-fold in CG-treated animals (p = 0.038), and Map1lc3 expression in CG (9.05-fold, IQR 3.69 to 14.41) was significantly greater than in untreated animals (3.02-fold, IQR: −0.84 to 6.89; p = 0.0093). Expression of the mitochondrial protease Parl increased in the untreated group (1.31 ± 0.43-fold, which was even further increased with CG treatment by 3.31 ± 0.83-fold), approaching statistical significance (p = 0.056). No changes were observed in Park2 expression (p = 0.55). Mirroring the Caspase-1 finding, the substantial increase in Pink1 gene expression did not translate into a significant change in PINK1 protein levels (30 kDa) between CG and untreated animals (p = 0.69).
Figure 3.
Mitophagy-related Gene and Protein Expression. (A) Mitophagy Gene Expression. Relative mRNA fold-change of core mitophagy genes (Pink1, Parl, Park2, Optn, and Map1lc3) showing significant upregulation of Pink1, Optn, and Map1lc3 in CG-treated animals (n = 8) compared to untreated (n = 8). All data normalized to uninjured animals (n = 4). (B) Representative Western blot of PINK1. Original Western blot image can be found in Supplemetary Materials. Western blot showing PINK1 (30 kDa isoform, expected MW is 63 kDa) and β-actin (42 kDa) loading control. (C) Quantitative Analysis of PINK1 Protein. Densitometric quantification of PINK1 protein levels normalized to β-actin in uninjured (n = 4), untreated (n = 8), and CG-treated animals (n = 7). One-way ANOVA post-hoc analysis revealed no significant differences in protein levels between groups. * p < 0.05; ** p < 0.01.
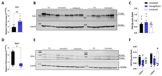
3.4. Mitochondrial Fission and Fusion Markers Are Altered Following Canagliflozin Treatment
The expression of the mitochondrial fission regulator, Fis1, was significantly increased in the CG group (1.97 ± 0.22-fold) compared to the untreated group (0.94 ± 0.12-fold), with CG doubling Fis1 expression (p = 0.0015; Figure 4A). Despite this robust gene expression increase, FIS1 protein (17 kDa) levels were not significantly different between CG and untreated animals (p = 0.79; Figure 4B,C).
Figure 4.
Mitochondrial Fission and Fusion Markers. (A) Fis1 Gene Expression. Relative mRNA fold-change showing a significant increase in the mitochondrial fission marker Fis1 in CG-treated animals compared to untreated. All data normalized to uninjured controls (n = 4). (B-C) FIS1 Protein Analysis. Representative Western blot image (B) and quantitative densitometry (C) of FIS1 protein (17 kDa) normalized to β-actin (42 kDa). Original Western blot image can be found in Supplementary Materials. No significant differences were detected between the untreated (n = 8) and CG (n = 7) groups. (D) Opa1 Gene Expression. Relative mRNA fold-change showing that the fusion marker Opa1 is significantly attenuated in CG-treated animals compared to untreated. All data normalized to uninjured controls (n = 4). (E,F) OPA1 Protein Analysis. Western blot image (E) and quantitative densitometries (F) of OPA1 protein showing the 92 kDa long isoform (l-OPA1) and 75 kDa short isoform (s-OPA1) normalized to β-actin (42 kDa). Original Western blot image can be found in Suplementary Materials. A One-Way ANOVA revealed that no significant differences were detected between the uninjured control (n = 4), untreated (n = 8), and CG-treated (n = 7) groups. * p < 0.05; ** p < 0.01.
Gene expression of the mitochondrial fusion marker Opa1 increased following I/R injury in untreated animals (1.4 ± 0.33-fold; p = 0.038 vs. uninjured), but was substantially attenuated in the CG group (0.59 ± 0.069-fold), representing a greater than two-fold reduction compared to untreated (Figure 4D). The long (92 kDa, l-OPA1) and short (75 kDa, s-OPA1) protein isoforms were measured via Western blot (Figure 4E,F). Neither l-OPA1 (p = 0.94) nor s-OPA1 (p = 0.69) protein levels demonstrated significant differences between the untreated and CG groups.
3.5. Canagliflozin Treatment Attenuates I/R Increases in Cell Proliferation
To assess tissue recovery status on a cellular level, proliferation was measured using Ki67 immunohistochemistry (Figure 5A). I/R injury induced a marked increase in Ki67 expression in untreated animals, particularly in the cortex. CG-treatment ameliorated this proliferative response (p = 0.0092). In the cortex, untreated animals showed a mean Ki67 percent area of 2.09 ± 0.63, which was substantially higher than both CG (0.66 ± 0.12) and uninjured controls (0.38 ± 0.071). A similar reduction in proliferation was observed in the medulla (p = 0.013), where the untreated mean percent area was 2.06 ± 0.38, significantly higher than CG (0.69 ± 0.18) and uninjured controls (0.25 ± 0.053; Figure 5B).
Figure 5.
Ki67 Immunohistochemistry in the kidney. (A) Ki67 Immunohistochemistry Images. Representative 20× images of kidney sections stained for the proliferative marker Ki67 (brown DAB signal). Untreated animals exhibit markedly increased cell proliferation, particularly in the tubular epithelial cells, which is significantly reduced in CG-treated animals. Uninjured controls demonstrate negligible proliferation. (B) Quantification of Ki67 Positive Area. Bar graph representing the percent area of Ki67-positive signal, quantified separately for the renal cortex and medulla using color deconvolution (ImageJ FIJI). CG significantly reduced I/R-induced proliferation in both zones compared to the untreated. Images obtained on Leica DM500 LED microscope. Scale bar represents 50 microns (μm). * p < 0.05; ** p < 0.01.
3.6. Ki67 Staining Is Positively Correlated with AKI Biomarkers
To further elucidate the significance of cell proliferation in AKI, the Ki67 staining cortex and medulla indices were correlated with well-established metrics of AKI, including serum creatinine (SCr), blood urea nitrogen (BUN), and urinary neutrophil gelatinase-associated lipocalin (NGAL), as reported previously [19] (Figure 6). Increased Ki67 signal was positively correlated with serum creatinine in both the cortex (p = 0.041) and medulla (p = 0.054), and with BUN in the cortex (p = 0.032). Elevated urinary NGAL was positively correlated with increased proliferation in both the cortex (p = 0.020) and medulla (p = 0.0015; Figure 6). Interestingly, the NGAL level was negatively correlated with the expression of several pro-apoptotic genes: Bad (p = 0.040), Bak1 (p = 0.048), Bax (p = 0.013), and Bid (p = 0.040), as well as Casp1 (p = 0.0012) and the mitophagy marker Pink1 (p = 0.0096; Supplementary Table S1). This suggests that early apoptotic gene expression is inversely related to the extent of tubular injury.
Figure 6.
Correlative Analysis of Kidney Markers Serum Creatinine (SCr), Blood Urea Nitrogen (BUN), and Neutrophil gelatinase-associated lipocalin (NGAL) with Ki67 proliferation staining. Correlative analysis between Ki67 positive signal and SCr had a linear regression with equation y = 1.436x − 1.672 (Cortex, p = 0.041) and y = 1.068x − 0.9064 (Medulla, p = 0.054). BUN correlations had equations of y = 0.1596x − 1.514 (Cortex, p = 0.032) and y = 0.9038x − 0.2862 (Medulla, p = 0.14). NGAL correlations had equations of y = 0.006167x + 0.05166 (Cortex, p = 0.020) and y = 0.005962x + 0.09198 (Medulla, p = 0.0015).
4. Discussion
Ischemia-reperfusion (I/R)-induced acute kidney injury (AKI) remains a major clinical challenge, lacking targeted therapies and carrying a high risk of progression to chronic kidney disease. Sodium-glucose co-transporter 2 inhibitors (SGL2is) have emerged as promising candidates for renal protection, yet their efficacy and acute mechanistic actions, particularly in a trauma setting, are poorly defined. In our preceding study, Canagliflozin (CG) therapy was shown to improve kidney function and mitigate systemic inflammation following REBOA-induced I/R AKI [14]. In this follow-up mechanistic investigation, we provide evidence that CG drives a rapid shift in cellular fate by enhancing apoptotic and mitochondrial quality control pathways while simultaneously suppressing the maladaptive cell proliferation that often precedes chronic injury. These effects are highly relevant, as CG’s ability to ameliorate I/R-induced proliferation correlated robustly with improved AKI severity markers, including serum creatinine, BUN, and NGAL [14].
SGLT2is (dapagliflozin, empagliflozin, and CG) are FDA-approved for Type 2 diabetes and have established renoprotective effects in chronic kidney disease, independent of glycemic control [20,21,22,23]. Due to their impact on the reduction of tubular energy and oxygen demand, it is proposed that SGLT2is may also reduce kidney hypoxia, which signifies their potential to alleviate acute kidney injury. SGLT2is have been evidenced to confer a decreased risk of AKI in both clinical trials and retrospective analyses [24,25,26,27]. Preclinical rodent studies consistently demonstrate SGLT2i’s ability to mitigate I/R AKI by reducing oxidative stress, inflammation, renal fibrosis, renal tubular injury, and death [28,29,30]. Mechanistically, these effects have been linked to improved mitochondrial function and restoration of fission-fusion balance. However, large-animal studies to validate these findings in a clinically relevant traumatic injury model have been lacking until this point. Most rodent studies use pre-treatment protocols with bilateral clamping of the renal pedicles, limiting their translational relevance. Therefore, the induction of I/R-induced AKI through hemorrhagic shock and the use of REBOA is the first study of its kind to identify how SGLT2is may be used for single-dose therapy. Canagliflozin, specifically, has one of the lower affinities for SGLT2 over SGLT1 compared to others in this class, Empagliflozin and Dapagliflozin [31]. In this sense, CG may have greater off-target effects not only in the kidney but also in, for example, the intestine, leading to a more robust short-term effect following traumatic injury [32,33].
To overcome these translational gaps, we employed a large-animal porcine model of hemorrhagic shock and REBOA-induced I/R, a clinically relevant model that more closely replicates human hemodynamics and physiologic responses [34]. Porcine models allow for the specific manipulation of blood volume and fluid administration to more closely model hemodynamic and clinically relevant approaches to shock and AKI [35]. Renal artery occlusion for 90 min has been successfully proven to induce ischemia-reperfusion-induced AKI in pigs, evidenced by the significant elevation of BUN, creatinine, NGAL, electrolyte imbalance, and acidosis [14]. This platform allowed us to test clinically relevant single-dose CG therapy at 300 mg, the standard commercially available dose.
Interestingly, while rodent studies reported SGLT2i-driven increases in mitochondrial fusion (Opa1, Mfn2) and suppression of fission (Fis1, Drp1) [13,30,36], our findings in pigs revealed the opposite. CG treatment significantly upregulated Fis1 and downregulated Opa1 at the transcriptional level, with no significant translational changes. However, the increase in Fis1 gene expression after CG treatment is the opposite of what we would expect, since mitochondrial fragmentation via fission is a main occurrence during AKI. While the opposite findings with fusion are in line with these processes being thought of as a ratio, it is clear that both of these processes are complex and incompletely understood [37]. Mitochondrial dynamics are essential for maintaining quality control during I/R injury, as excessive fission and outer membrane permeabilization, mediated through Drp1 translocation and interaction with Fis1, promote mitochondrial fragmentation and apoptosis [38,39,40,41]. In contrast, fusion proteins such as Mfn1/2 and Opa1 preserve mitochondrial integrity by enabling content exchange and cristae remodeling [42,43]. Rodent studies have shown that empagliflozin and dapagliflozin upregulate Opa1 and Mfn2 while inhibiting Fis1 and Drp1, favoring fusion over fission and reducing renal injury [13,30,36]. The divergence of our results may therefore represent a species-specific mitochondrial regulation or context-dependent effect of CG, potentially related to its lower SGLT2 selectivity and broader tissue activity, highlighting the importance of large-animal validation. Importantly, the concurrent upregulation of mitophagy and apoptosis observed in our study suggests that increased fission may reflect an adaptive quality control response, facilitating the clearance of damaged mitochondria rather than purely signaling dysfunction.
Apoptosis is a hallmark of I/R AKI, particularly in proximal tubular epithelial cells, where energy depletion and calcium overload trigger caspase activation [44,45,46,47]. While excessive apoptosis worsens injury, controlled apoptosis may limit necrosis and preserve tissue integrity. Rodent studies of renal I/R injury suggest SGLT2is suppress maladaptive apoptosis, improving renal outcomes [45,48,49,50,51]. In contrast, our study found that CG enhanced the expression of multiple pro-apoptotic genes (Bad, Bid, Bak1, Bax) and Casp1, while reducing Il18. Caspase1 activation is often a product of inflammasome activation, which would also be supported by the increase in Il18 gene expression; however, Western blotting to NLRP3, IL-1β, and IL-18 did not reveal any semblance of significant changes (Supplementary Figure S1). TUNEL staining of the affected kidneys showed increased proximal tubular damage in the untreated animals, while CG-treated animals had increased positive-apoptotic cells. These histological findings, paired with our previous findings of a significantly lower kidney injury score in the CG group [14], point to a more protective pro-apoptotic effect of CG treatment. This suggests that CG may promote protective apoptosis, potentially via regulation of the mitochondrial permeability transition pore (mPTP). Opening of the mPTP during I/R injury disrupts ATP synthesis and releases pro-apoptotic mediators, often triggering mitophagy [9,52,53]. Mitophagy, largely driven by the PINK1-PRKN pathway [54,55,56], functions to remove damaged mitochondria and reduce ROS burden. Rodent studies show that impaired mitophagy exacerbates renal injury [9,57]. In our study, CG upregulated Pink1, Optn, and Map1lc3 expression, indicating enhanced mitophagy. However, protein-level changes were minimal, likely reflecting the short six-hour observation window. Alternatively, the ensuing metabolic effects of canagliflozin may allow for increased protein degradation, which could also prevent us from seeing translational changes. This temporal disconnect underscores the need for longitudinal studies, as translational effects may emerge later in the injury course.
One of the most notable findings was CG’s suppression of I/R-induced increases in cell proliferation. While early proliferative activity aids epithelial repair [58,59], persistent proliferation is energetically costly, reduces ATP availability [60], and promotes maladaptive repair processes including dedifferentiation, senescence, and profibrotic cytokine secretion [61,62,63]. Currently, whether the maladaptive cells are specifically being targeted by CG is speculative and is a subject of future investigation. Increased fibrosis and inflammation then contribute to decreased kidney function and increased damage, leaving the affected kidney vulnerable to the development of chronic kidney disease [64]. In our model, untreated animals exhibited high, persistent proliferative activity alongside severe tubular injury, indicative of disordered tubular repair. Conversely, CG-treated animals showed significantly reduced proliferation coupled with enhanced apoptotic signaling, a combination consistent with a quality-control mechanism that efficiently eliminates irreparable cells and establishes a foundation for healthier regeneration [65]. Correlative analysis of cell proliferation activity and levels of serum creatinine, BUN, and urinary NGAL showed that increased proliferation was associated with higher severity of AKI. Additionally, correlative analyses showed that decreased AKI severity was linked with higher levels of apoptotic and mitophagic gene expression. These findings point to a need for further investigation into the connections between apoptotic and mitophagic activity and the severity of AKI.
This study has several limitations. First, reliance on a single six-hour timepoint is a constraint, preventing the assessment of longitudinal molecular and histological changes that may be seen with the temporal progression of AKI. While alterations are seen consistently on the transcriptional level, it is possible that translational changes may occur at later time points. Second, the use of porcine-specific antibodies restricted protein-level analysis. Third, the relatively small sample size and inclusion of only one sex may limit generalizability. Finally, while our REBOA model is clinically relevant, the specific occlusion site and ischemia duration may not fully represent the heterogeneity of human trauma scenarios.
5. Conclusions
In summary, Canagliflozin treatment in a porcine model of hemorrhagic shock and I/R induced AKI promoted increases in genes related to apoptosis, reduced proliferation, and enhanced mitophagy-related gene expression. Alterations in mitochondrial balance, including fission, fusion, and autophagy, may help facilitate the clearance of damaged mitochondria and cells. These effects, though differing from rodent studies in mitochondrial fission/fusion patterns, highlight potential species-specific responses and underscore the value of large-animal models. Beyond trauma and resuscitation, our findings have broader implications for other clinical scenarios in which renal I/R injury is a central driver of morbidity. During cardiopulmonary bypass, kidneys are exposed to ischemia, oxidative stress, and systemic inflammation that parallel the pathophysiology observed in our model. Similarly, in renal transplantation, ischemia during cold storage and reperfusion at implantation represent critical determinants of graft function and survival. Therapies that preserve mitochondrial integrity and regulate cellular turnover, such as SGLT2is, may therefore hold promise in protecting renal function not only in trauma but also in surgical and transplant settings. Together, our findings support a role for SGLT2is in modulating mitochondrial quality control across diverse ischemic contexts, underscoring their potential as translational therapeutic candidates for AKI prevention and mitigation.
Supplementary Materials
The following supporting information can be downloaded at: https://www.mdpi.com/article/10.3390/biom16020279/s1, Figure S1: Urinary Neutrophil gelatinase-associated lipocalin (NGAL) Correlation with Kidney Apoptotic and Mitophagic Gene Expression Markers; Table S1. Correlations between urinary NGAL and selected gene expression levels.
Author Contributions
Conceptualization, Z.K.K., I.J.S., P.F.W. and D.M.B.; methodology, Z.K.K., M.C., J.A.M., H.E.; validation, all authors; formal analysis, Z.K.K., M.C., C.J.R. and D.M.B.; investigation, Z.K.K., M.C., H.E. and C.J.R.; resources, J.A.M., I.J.S., P.F.W. and D.M.B.; data curation, Z.K.K., M.C. and D.M.B.; writing—original draft preparation, Z.K.K. and D.M.B.; writing—review and editing, all authors; visualization, Z.K.K., M.C. and D.M.B.; supervision, P.F.W. and D.M.B.; project administration, P.F.W. and D.M.B.; funding acquisition P.F.W. and D.M.B. All authors have read and agreed to the published version of the manuscript.
Funding
This research was funded by the Defense Health Agency.
Institutional Review Board Statement
The animal study protocol (MED-21-071) was approved by the Institutional Animal Care and Use Committee of the Uniformed Services University of the Health Sciences on 18 November 2021.
Informed Consent Statement
Not applicable.
Data Availability Statement
The datasets used and/or analyzed during the current study and supporting the conclusions of this article are included in this article and the Supplementary Materials provided. These datasets are also available from the corresponding author on request.
Acknowledgments
The authors would like to thank Lisa Myers and the USU Biomedical Instrumentation Center for their assistance with histological processing.
Conflicts of Interest
The authors declare no conflicts of interest. The funders had no role in the design of the study; in the collection, analyses, or interpretation of data; in the writing of the manuscript; or in the decision to publish the results.
Abbreviations
The following abbreviations are used in this manuscript:
| AKI | Acute Kidney Injury |
| I/R | Ischemia Reperfusion |
| SGLT2is | Sodium glucose cotransporter 2 inhibitors |
| CG | Canagliflozin |
| TUNEL | Terminal deoxynucleotidyl transferase dUTP nick end labeling |
| BUN | Blood urea nitrogen |
| ROS | Reactive oxygen species |
| REBOA | Resuscitative Balloon Occlusion of the Aorta |
| IACUC | Institutional Animal Care and Use Committee |
| NGAL | Neutrophil gelatinase-associated lipocalin |
| SGLT1 | Sodium glucose cotransporter 1 |
| SCr | Serum creatinine |
| mPTP | Mitochondrial permeability transition pore |
References
- Li, Z.; Ludwig, N.; Thomas, K.; Mersmann, S.; Lehmann, M.; Vestweber, D.; Pittet, J.F.; Gomez, H.; Kellum, J.A.; Rossaint, J.; et al. The Pathogenesis of Ischemia-Reperfusion Induced Acute Kidney Injury Depends on Renal Neutrophil Recruitment Whereas Sepsis-Induced AKI Does Not. Front. Immunol. 2022, 13, 843782. [Google Scholar] [CrossRef] [PubMed]
- Lassola, S.; Cundari, F.; Marini, G.; Corradi, F.; De Rosa, S. Advancements in Trauma-Induced Acute Kidney Injury: Diagnostic and Therapeutic Innovations. Life 2024, 14, 1005. [Google Scholar] [CrossRef] [PubMed]
- Heegard, K.D.; Stewart, I.J.; Cap, A.P.; Sosnov, J.A.; Kwan, H.K.; Glass, K.R.; Morrow, B.D.; Latack, W.; Henderson, A.T.; Saenz, K.K.; et al. Early acute kidney injury in military casualties. J. Trauma. Acute Care Surg. 2015, 78, 988–993. [Google Scholar] [CrossRef]
- Gameiro, J.; Marques, F.; Lopes, J.A. Long-term consequences of acute kidney injury: A narrative review. Clin. Kidney J. 2021, 14, 789–804. [Google Scholar] [CrossRef]
- Nevalainen, T.J.; Armiger, L.C.; Gavin, J.B. Effects of ischaemia on vasculature. J. Mol. Cell. Cardiol. 1986, 18, 7–10. [Google Scholar] [CrossRef]
- Malek, M.; Nematbakhsh, M. Renal ischemia/reperfusion injury; from pathophysiology to treatment. J. Ren. Inj. Prev. 2015, 4, 20–27. [Google Scholar] [CrossRef]
- Joseph, B.; Zeeshan, M.; Sakran, J.V.; Hamidi, M.; Kulvatunyou, N.; Khan, M.; O’Keeffe, T.; Rhee, P. Nationwide Analysis of Resuscitative Endovascular Balloon Occlusion of the Aorta in Civilian Trauma. JAMA Surg. 2019, 154, 500–508. [Google Scholar] [CrossRef]
- Yao, C.; Li, Z.; Sun, K.; Zhang, Y.; Shou, S.; Jin, H. Mitochondrial dysfunction in acute kidney injury. Ren. Fail. 2024, 46, 2393262. [Google Scholar] [CrossRef] [PubMed]
- Chen, Y.; Li, Z.; Zhang, H.; Chen, H.; Hao, J.; Liu, H.; Li, X. Mitochondrial metabolism and targeted treatment strategies in ischemic-induced acute kidney injury. Cell Death Discov. 2024, 10, 69. [Google Scholar] [CrossRef]
- Bailey, C.J.; Day, C.; Bellary, S. Renal Protection with SGLT2 Inhibitors: Effects in Acute and Chronic Kidney Disease. Curr. Diabetes Rep. 2022, 22, 39–52. [Google Scholar] [CrossRef]
- Perry, R.J.; Shulman, G.I. Sodium-glucose cotransporter-2 inhibitors: Understanding the mechanisms for therapeutic promise and persisting risks. J. Biol. Chem. 2020, 295, 14379–14390. [Google Scholar] [CrossRef]
- Madero, M.; Chertow, G.M.; Mark, P.B. SGLT2 Inhibitor Use in Chronic Kidney Disease: Supporting Cardiovascular, Kidney, and Metabolic Health. Kidney Med. 2024, 6, 100851. [Google Scholar] [CrossRef]
- Martínez-Rojas, M.; Balcázar, H.; González-Soria, I.; González-Rivera, J.M.; Rodríguez-Vergara, M.E.; Velazquez-Villegas, L.A.; León-Contreras, J.C.; Pérez-Villalva, R.; Correa, F.; Rosetti, F.; et al. Transient inhibition of sodium-glucose cotransporter 2 after ischemia/reperfusion injury ameliorates chronic kidney disease. JCI Insight 2024, 9, e173675. [Google Scholar] [CrossRef]
- Tallowin, S.; Abel, B.; Mysore, B.; Mares, J.; Anderson, J.A.; Propper, B.W.; Stewart, I.J.; Burmeister, D.M. Canagliflozin Mitigates Acute Kidney Injury Secondary to Resuscitative Endovascular Balloon Occlusion of the Aorta in a Porcine Model of Hemorrhagic Shock. Ann. Surg. 2024. [Google Scholar] [CrossRef] [PubMed]
- Qu, J.; Tian, L.; Zhang, M.; Sun, B.; Chen, L. SGLT2 inhibitor canagliflozin reduces visceral adipose tissue in db/db mice by modulating AMPK/KLF4 signaling and regulating mitochondrial dynamics to induce browning. Mol. Cell. Endocrinol. 2024, 592, 112320. [Google Scholar] [CrossRef]
- Rowe, C.J.; Mang, J.; Huang, B.; Dommaraju, K.; Potter, B.K.; Schobel, S.A.; Gann, E.R.; Davis, T.A. Systemic inflammation induced from remote extremity trauma is a critical driver of secondary brain injury. Mol. Cell. Neurosci. 2023, 126, 103878. [Google Scholar] [CrossRef] [PubMed]
- Rowe, C.J.; Nwaolu, U.; Martin, L.; Huang, B.J.; Mang, J.; Salinas, D.; Schlaff, C.D.; Ghenbot, S.; Lansford, J.L.; Potter, B.K.; et al. Systemic inflammation following traumatic injury and its impact on neuroinflammatory gene expression in the rodent brain. J. Neuroinflamm. 2024, 21, 211. [Google Scholar] [CrossRef]
- Dragon, A.H.; Rowe, C.J.; Rhodes, A.M.; Pak, O.L.; Davis, T.A.; Ronzier, E. Systematic Identification of the Optimal Housekeeping Genes for Accurate Transcriptomic and Proteomic Profiling of Tissues following Complex Traumatic Injury. Methods Protoc. 2023, 6, 22. [Google Scholar] [CrossRef] [PubMed]
- Edelstein, C.L. Biomarkers of acute kidney injury. Adv. Chronic Kidney Dis. 2008, 15, 222–234. [Google Scholar] [CrossRef]
- Heerspink, H.J.L.; Stefánsson, B.V.; Correa-Rotter, R.; Chertow, G.M.; Greene, T.; Hou, F.F.; Mann, J.F.E.; McMurray, J.J.V.; Lindberg, M.; Rossing, P.; et al. Dapagliflozin in Patients with Chronic Kidney Disease. N. Engl. J. Med. 2020, 383, 1436–1446. [Google Scholar] [CrossRef]
- van Bommel, E.J.M.; Muskiet, M.H.A.; van Baar, M.J.B.; Tonneijck, L.; Smits, M.M.; Emanuel, A.L.; Bozovic, A.; Danser, A.H.J.; Geurts, F.; Hoorn, E.J.; et al. The renal hemodynamic effects of the SGLT2 inhibitor dapagliflozin are caused by post-glomerular vasodilatation rather than pre-glomerular vasoconstriction in metformin-treated patients with type 2 diabetes in the randomized, double-blind RED trial. Kidney Int. 2020, 97, 202–212. [Google Scholar] [CrossRef] [PubMed]
- Mima, A. Renal protection by sodium-glucose cotransporter 2 inhibitors and its underlying mechanisms in diabetic kidney disease. J. Diabetes Complicat. 2018, 32, 720–725. [Google Scholar] [CrossRef]
- Cherney, D.Z.I.; Dekkers, C.C.J.; Barbour, S.J.; Cattran, D.; Abdul Gafor, A.H.; Greasley, P.J.; Laverman, G.D.; Lim, S.K.; Di Tanna, G.L.; Reich, H.N.; et al. Effects of the SGLT2 inhibitor dapagliflozin on proteinuria in non-diabetic patients with chronic kidney disease (DIAMOND): A randomised, double-blind, crossover trial. Lancet Diabetes Endocrinol. 2020, 8, 582–593. [Google Scholar] [CrossRef]
- Alcantar-Vallin, L.; Zaragoza, J.J.; Díaz-Villavicencio, B.; Hernandez-Morales, K.; Camacho-Guerrero, J.R.; Perez-Venegas, M.A.; Carmona-Morales, E.J.; Oseguera-Gonzalez, A.N.; Murguia-Soto, C.; Chávez-Alonso, G.; et al. SGLT2i treatment during AKI and its association with major adverse kidney events. Front. Pharmacol. 2024, 15, 1356991. [Google Scholar] [CrossRef]
- Neuen, B.L.; Young, T.; Heerspink, H.J.L.; Neal, B.; Perkovic, V.; Billot, L.; Mahaffey, K.W.; Charytan, D.M.; Wheeler, D.C.; Arnott, C.; et al. SGLT2 inhibitors for the prevention of kidney failure in patients with type 2 diabetes: A systematic review and meta-analysis. Lancet Diabetes Endocrinol. 2019, 7, 845–854. [Google Scholar] [CrossRef]
- Lin, D.S.; Lee, J.K.; Chen, W.J. Clinical Adverse Events Associated with Sodium-Glucose Cotransporter 2 Inhibitors: A Meta-Analysis Involving 10 Randomized Clinical Trials and 71 553 Individuals. J. Clin. Endocrinol. Metab. 2021, 106, 2133–2145. [Google Scholar] [CrossRef]
- Zhuo, M.; Paik, J.M.; Wexler, D.J.; Bonventre, J.V.; Kim, S.C.; Patorno, E. SGLT2 Inhibitors and the Risk of Acute Kidney Injury in Older Adults with Type 2 Diabetes. Am. J. Kidney Dis. 2022, 79, 858–867.1. [Google Scholar] [CrossRef]
- Chang, Y.K.; Choi, H.; Jeong, J.Y.; Na, K.R.; Lee, K.W.; Lim, B.J.; Choi, D.E. Dapagliflozin, SGLT2 Inhibitor, Attenuates Renal Ischemia-Reperfusion Injury. PLoS ONE 2016, 11, e0158810. [Google Scholar] [CrossRef]
- Kale, A.; Sankrityayan, H.; Anders, H.J.; Bhanudas Gaikwad, A. Klotho: A possible mechanism of action of SGLT2 inhibitors preventing episodes of acute kidney injury and cardiorenal complications of diabetes. Drug Discov. Today 2021, 26, 1963–1971. [Google Scholar] [CrossRef]
- Yang, W.; Li, X.; He, L.; Zhu, S.; Lai, S.; Zhang, X.; Huang, Z.; Yu, B.; Cui, C.; Wang, Q. Empagliflozin improves renal ischemia-reperfusion injury by reducing inflammation and enhancing mitochondrial fusion through AMPK-OPA1 pathway promotion. Cell Mol. Biol. Lett. 2023, 28, 42. [Google Scholar] [CrossRef] [PubMed]
- Brown, E.; Wilding, J.P.H.; Alam, U.; Barber, T.M.; Karalliedde, J.; Cuthbertson, D.J. The expanding role of SGLT2 inhibitors beyond glucose-lowering to cardiorenal protection. Ann. Med. 2021, 53, 2072–2089. [Google Scholar] [CrossRef]
- Pitt, B.; Bhatt, D.L. Does SGLT1 Inhibition Add Benefit to SGLT2 Inhibition in Type 2 Diabetes? Circulation 2021, 144, 4–6. [Google Scholar] [CrossRef] [PubMed]
- Azizogli, A.R.; Vitti, M.R.; Mishra, R.; Osorno, L.; Heffernan, C.; Kumar, V.A. Comparison of SGLT1, SGLT2, and Dual Inhibitor biological activity in treating Type 2 Diabetes Mellitus. Adv. Ther. 2023, 6, 2300143. [Google Scholar] [CrossRef]
- Hukriede, N.A.; Soranno, D.E.; Sander, V.; Perreau, T.; Starr, M.C.; Yuen, P.S.T.; Siskind, L.J.; Hutchens, M.P.; Davidson, A.J.; Burmeister, D.M.; et al. Experimental models of acute kidney injury for translational research. Nat. Rev. Nephrol. 2022, 18, 277–293. [Google Scholar] [CrossRef]
- Burmeister, D.M.; Nguyen, J.N.; Stewart, I.J. Lessons Learned From Large Animal Models of Trauma-Induced AKI. Semin. Nephrol. 2025, 46, 151670. [Google Scholar] [CrossRef]
- Warren, A.M.; Knudsen, S.T.; Cooper, M.E. Diabetic nephropathy: An insight into molecular mechanisms and emerging therapies. Expert. Opin. Ther. Targets 2019, 23, 579–591. [Google Scholar] [CrossRef]
- Hao, Y.; Zhao, L.; Zhao, J.Y.; Han, X.; Zhou, X. Unveiling the potential of mitochondrial dynamics as a therapeutic strategy for acute kidney injury. Front. Cell Dev. Biol. 2023, 11, 1244313. [Google Scholar] [CrossRef] [PubMed]
- Huang, R.; Zhang, C.; Xiang, Z.; Lin, T.; Ling, J.; Hu, H. Role of mitochondria in renal ischemia–reperfusion injury. FEBS J. 2024, 291, 5365–5378. [Google Scholar] [CrossRef] [PubMed]
- Song, Z.; Xia, Y.; Shi, L.; Zha, H.; Huang, J.; Xiang, X.; Li, H.; Huang, H.; Yue, R.; Wang, H.; et al. Inhibition of Drp1- Fis1 interaction alleviates aberrant mitochondrial fragmentation and acute kidney injury. Cell. Mol. Biol. Lett. 2024, 29, 31. [Google Scholar] [CrossRef]
- Lee, Y.-j.; Jeong, S.-Y.; Karbowski, M.; Smith, C.L.; Youle, R.J. Roles of the Mammalian Mitochondrial Fission and Fusion Mediators Fis1, Drp1, and Opa1 in Apoptosis. Mol. Biol. Cell 2004, 15, 5001–5011. [Google Scholar] [CrossRef] [PubMed]
- Wang, S.; Zhu, H.; Li, R.; Mui, D.; Toan, S.; Chang, X.; Zhou, H. DNA-PKcs interacts with and phosphorylates Fis1 to induce mitochondrial fragmentation in tubular cells during acute kidney injury. Sci. Signal. 2022, 15, eabh1121. [Google Scholar] [CrossRef] [PubMed]
- Patten, D.A.; Wong, J.; Khacho, M.; Soubannier, V.; Mailloux, R.J.; Pilon-Larose, K.; MacLaurin, J.G.; Park, D.S.; McBride, H.M.; Trinkle-Mulcahy, L.; et al. OPA1-dependent cristae modulation is essential for cellular adaptation to metabolic demand. EMBO J. 2014, 33, 2676–2691. [Google Scholar] [CrossRef]
- Zhang, Y.; Wang, Y.; Xu, J.; Tian, F.; Hu, S.; Chen, Y.; Fu, Z. Melatonin attenuates myocardial ischemia-reperfusion injury via improving mitochondrial fusion/mitophagy and activating the AMPK-OPA1 signaling pathways. J. Pineal Res. 2019, 66, e12542. [Google Scholar] [CrossRef]
- Oh, C.J.; Kim, M.-J.; Lee, J.-M.; Kim, D.H.; Kim, I.-Y.; Park, S.; Kim, Y.; Lee, K.-B.; Lee, S.-H.; Lim, C.W.; et al. Inhibition of pyruvate dehydrogenase kinase 4 ameliorates kidney ischemia-reperfusion injury by reducing succinate accumulation during ischemia and preserving mitochondrial function during reperfusion. Kidney Int. 2023, 104, 724–739. [Google Scholar] [CrossRef]
- Havasi, A.; Borkan, S.C. Apoptosis and acute kidney injury. Kidney Int. 2011, 80, 29–40. [Google Scholar] [CrossRef] [PubMed]
- Pefanis, A.; Ierino, F.L.; Murphy, J.M.; Cowan, P.J. Regulated necrosis in kidney ischemia-reperfusion injury. Kidney Int. 2019, 96, 291–301. [Google Scholar] [CrossRef] [PubMed]
- Sharfuddin, A.A.; Molitoris, B.A. Pathophysiology of ischemic acute kidney injury. Nat. Rev. Nephrol. 2011, 7, 189–200. [Google Scholar] [CrossRef]
- Daemen, M.A.; van ‘t Veer, C.; Denecker, G.; Heemskerk, V.H.; Wolfs, T.G.; Clauss, M.; Vandenabeele, P.; Buurman, W.A. Inhibition of apoptosis induced by ischemia-reperfusion prevents inflammation. J. Clin. Investig. 1999, 104, 541–549. [Google Scholar] [CrossRef]
- Faubel, S.; Ljubanovic, D.; Reznikov, L.; Somerset, H.; Dinarello, C.A.; Edelstein, C.L. Caspase-1-deficient mice are protected against cisplatin-induced apoptosis and acute tubular necrosis. Kidney Int. 2004, 66, 2202–2213. [Google Scholar] [CrossRef]
- Xue, F.; Isaka, Y.; Takahara, T.; Imamura, R.; Suzuki, C.; Ichimaru, N.; Michieli, P.; Takahara, S. HGF-MSP chimera protects kidneys from ischemia-reperfusion injury. Biochem. Biophys. Res. Commun. 2007, 363, 451–456. [Google Scholar] [CrossRef]
- Chien, C.T.; Chang, T.C.; Tsai, C.Y.; Shyue, S.K.; Lai, M.K. Adenovirus-mediated bcl-2 gene transfer inhibits renal ischemia/reperfusion induced tubular oxidative stress and apoptosis. Am. J. Transpl. 2005, 5, 1194–1203. [Google Scholar] [CrossRef]
- Eirin, A.; Li, Z.; Zhang, X.; Krier, J.D.; Woollard, J.R.; Zhu, X.-Y.; Tang, H.; Herrmann, S.M.; Lerman, A.; Textor, S.C.; et al. A Mitochondrial Permeability Transition Pore Inhibitor Improves Renal Outcomes After Revascularization in Experimental Atherosclerotic Renal Artery Stenosis. Hypertension 2012, 60, 1242–1249. [Google Scholar] [CrossRef]
- Park, J.S.; Pasupulati, R.; Feldkamp, T.; Roeser, N.F.; Weinberg, J.M. Cyclophilin D and the mitochondrial permeability transition in kidney proximal tubules after hypoxic and ischemic injury. Am. J. Physiol. Ren. Physiol. 2011, 301, F134–F150. [Google Scholar] [CrossRef]
- Villa, E.; Marchetti, S.; Ricci, J.E. No Parkin Zone: Mitophagy without Parkin. Trends Cell Biol. 2018, 28, 882–895. [Google Scholar] [CrossRef] [PubMed]
- Han, R.; Liu, Y.; Li, S.; Li, X.J.; Yang, W. PINK1-PRKN mediated mitophagy: Differences between in vitro and in vivo models. Autophagy 2023, 19, 1396–1405. [Google Scholar] [CrossRef]
- Wang, S.; Long, H.; Hou, L.; Feng, B.; Ma, Z.; Wu, Y.; Zeng, Y.; Cai, J.; Zhang, D.-W.; Zhao, G. The mitophagy pathway and its implications in human diseases. Signal Transduct. Target. Ther. 2023, 8, 304. [Google Scholar] [CrossRef] [PubMed]
- Tang, C.; Han, H.; Yan, M.; Zhu, S.; Liu, J.; Liu, Z.; He, L.; Tan, J.; Liu, Y.; Liu, H.; et al. PINK1-PRKN/PARK2 pathway of mitophagy is activated to protect against renal ischemia-reperfusion injury. Autophagy 2018, 14, 880–897. [Google Scholar] [CrossRef]
- Feng, J.; Hu, W.; Feng, C.; Mao, X.; Jin, K.; Ye, Y. Increasing Proliferation of Intrinsic Tubular Cells after Renal Ischemia-reperfusion Injury in Adult Rat. Aging Dis. 2015, 6, 228–235. [Google Scholar] [CrossRef] [PubMed]
- Sari, F.T.; Sari, F.T.; Sari, F.T.; Arfian, N.; Sari, D.C.R. Effect of kidney ischemia/reperfusion injury on proliferation, apoptosis, and cellular senescence in acute kidney injury in mice. Med. J. Malays. 2020, 75, 20–23. [Google Scholar]
- Galichon, P.; Lannoy, M.; Li, L.; Serre, J.; Vandermeersch, S.; Legouis, D.; Valerius, M.T.; Hadchouel, J.; Bonventre, J.V. Energy depletion by cell proliferation sensitizes the kidney epithelial cells to injury. Am. J. Physiol. Ren. Physiol. 2024, 326, F326–F337. [Google Scholar] [CrossRef] [PubMed]
- Taguchi, K.; Elias, B.C.; Sugahara, S.; Sant, S.; Freedman, B.S.; Waikar, S.S.; Pozzi, A.; Zent, R.; Harris, R.C.; Parikh, S.M.; et al. Cyclin G1 induces maladaptive proximal tubule cell dedifferentiation and renal fibrosis through CDK5 activation. J. Clin. Investig. 2022, 132, e158096. [Google Scholar] [CrossRef]
- Sugahara, S.; Moriyama, T.; Taguchi, K.; Elias, B.C.; Brooks, C.R. Promotion of Mitochondrial Recovery Prevents Proximal Tubular Cell Maladaptive Repair and AKI-to-CKD Transition: SA-OR26. J. Am. Soc. Nephrol. 2024, 35, 10–1681. [Google Scholar] [CrossRef]
- Sakashita, M.; Tanaka, T.; Nangaku, M. New insights into tubular cell recovery after ischemic acute kidney injury. Kidney Int. 2020, 97, 845–846. [Google Scholar] [CrossRef] [PubMed]
- Yu, S.M.; Bonventre, J.V. Acute kidney injury and maladaptive tubular repair leading to renal fibrosis. Curr. Opin. Nephrol. Hypertens. 2020, 29, 310–318. [Google Scholar] [CrossRef]
- Hounsell, C.; Fan, Y. Death fuels growth: Emerging players bridging apoptosis and cell proliferation in Drosophila and beyond. Semin. Cell Dev. Biol. 2025, 169, 103602. [Google Scholar] [CrossRef] [PubMed]
Disclaimer/Publisher’s Note: The statements, opinions and data contained in all publications are solely those of the individual author(s) and contributor(s) and not of MDPI and/or the editor(s). MDPI and/or the editor(s) disclaim responsibility for any injury to people or property resulting from any ideas, methods, instructions or products referred to in the content. |
© 2026 by the authors. Licensee MDPI, Basel, Switzerland. This article is an open access article distributed under the terms and conditions of the Creative Commons Attribution (CC BY) license.





